Rabbit Hemorrhagic Disease Virus Isolated from Diseased Alpine Musk Deer (Moschus sifanicus)
Abstract
1. Introduction
2. Materials and Methods
2.1. Ethics Statement
2.2. Sample Collection Site
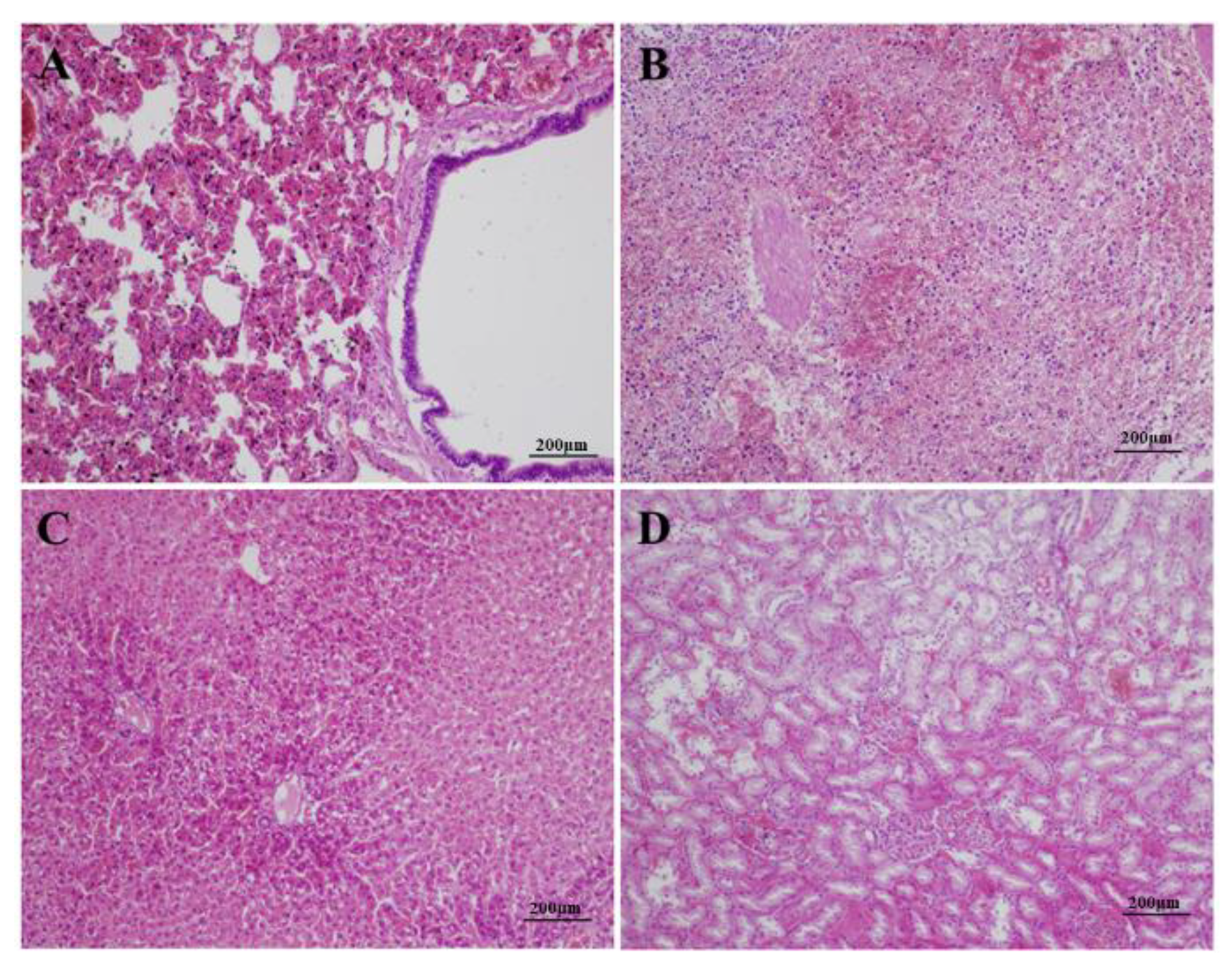
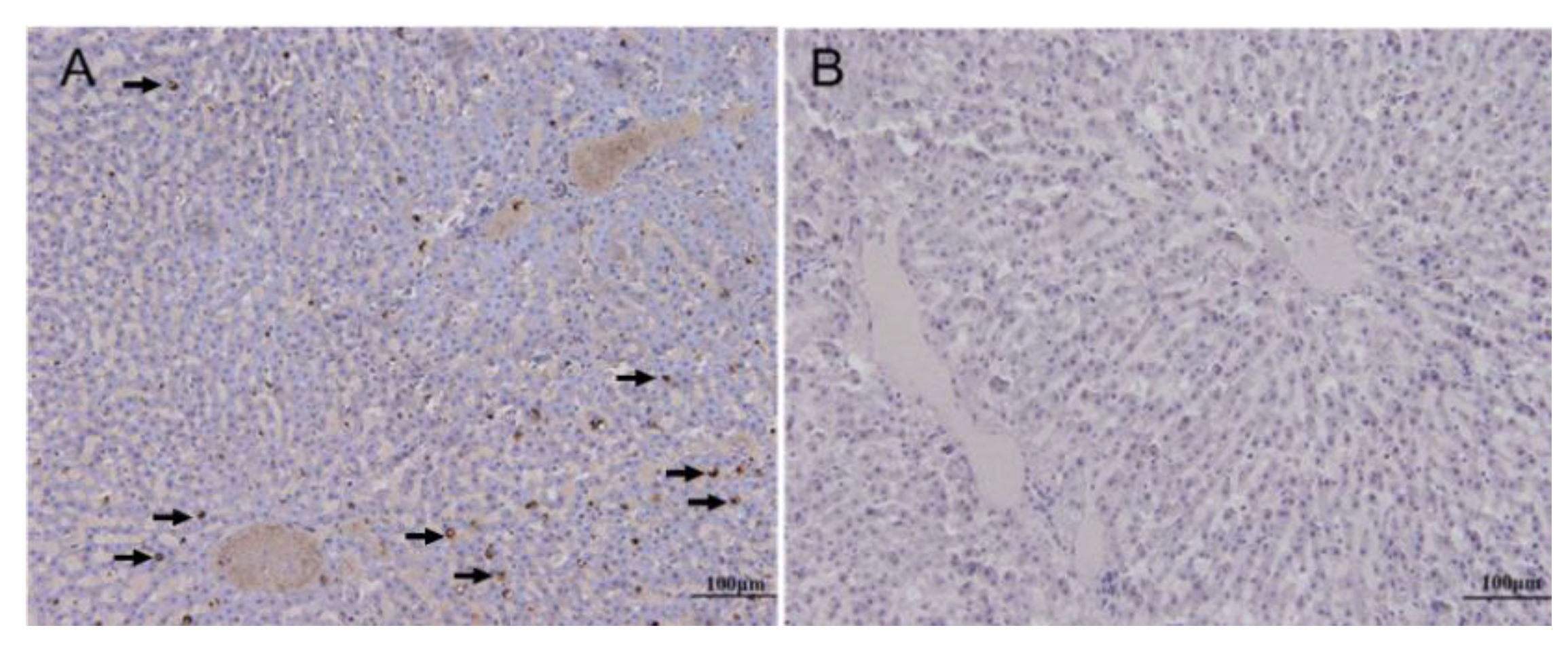
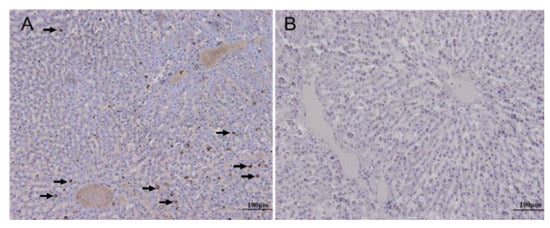
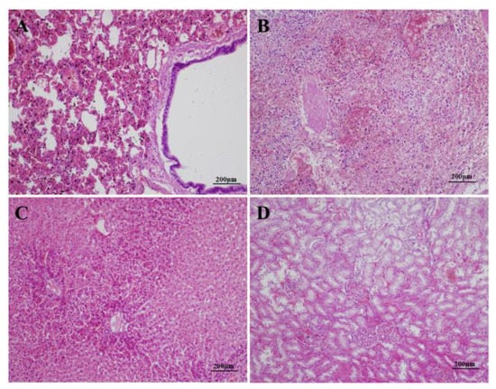
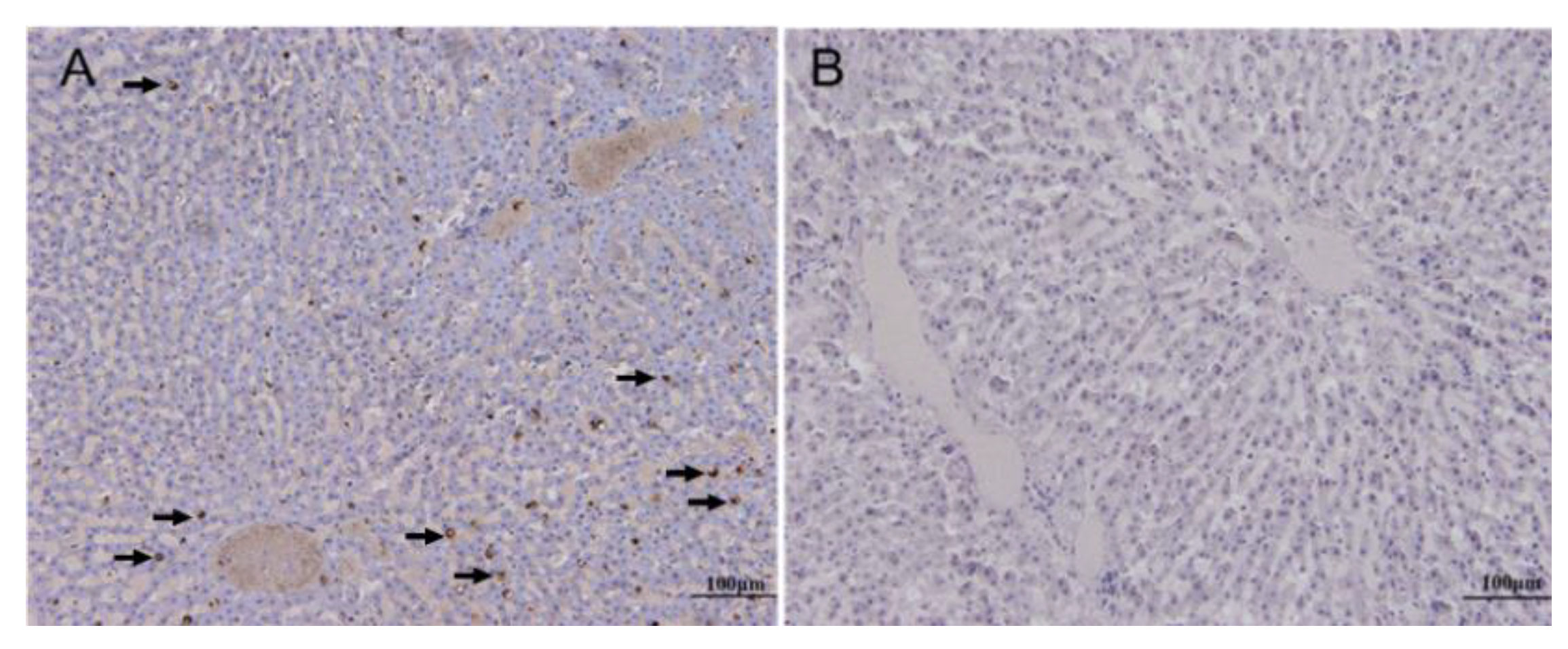
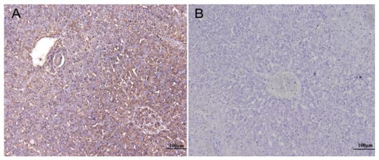
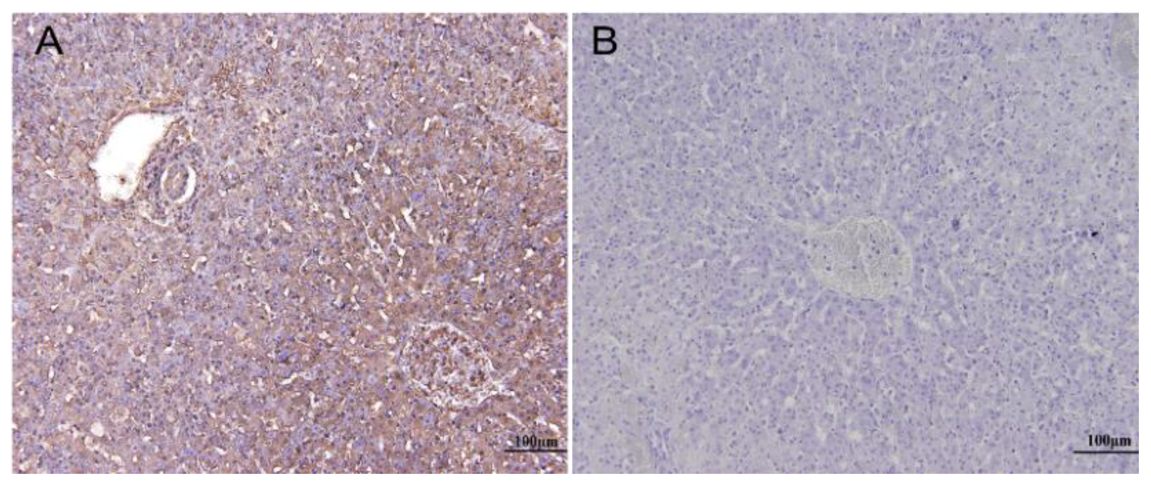
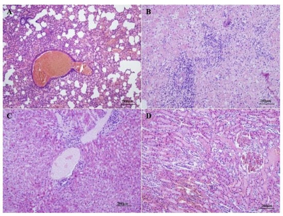
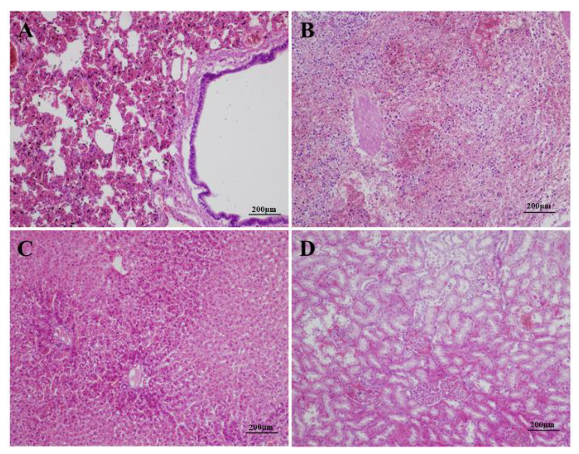
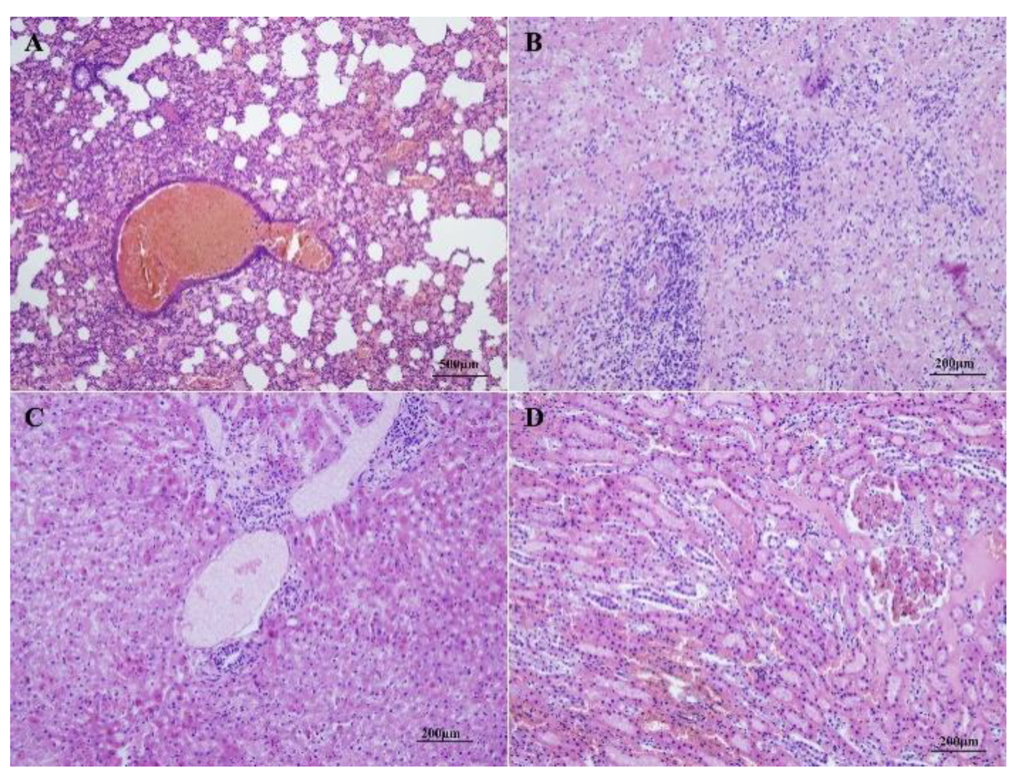
2.3. Clinical, Histopathological and Immunohistochemical Examination
2.4. Sequence Independent Single Primer Amplification (SISPA) and Sequencing
2.5. Negative Staining Electron Microscopy (EM)
2.6. Bacterial Culture and Virus Isolation
2.7. Genome Characterization
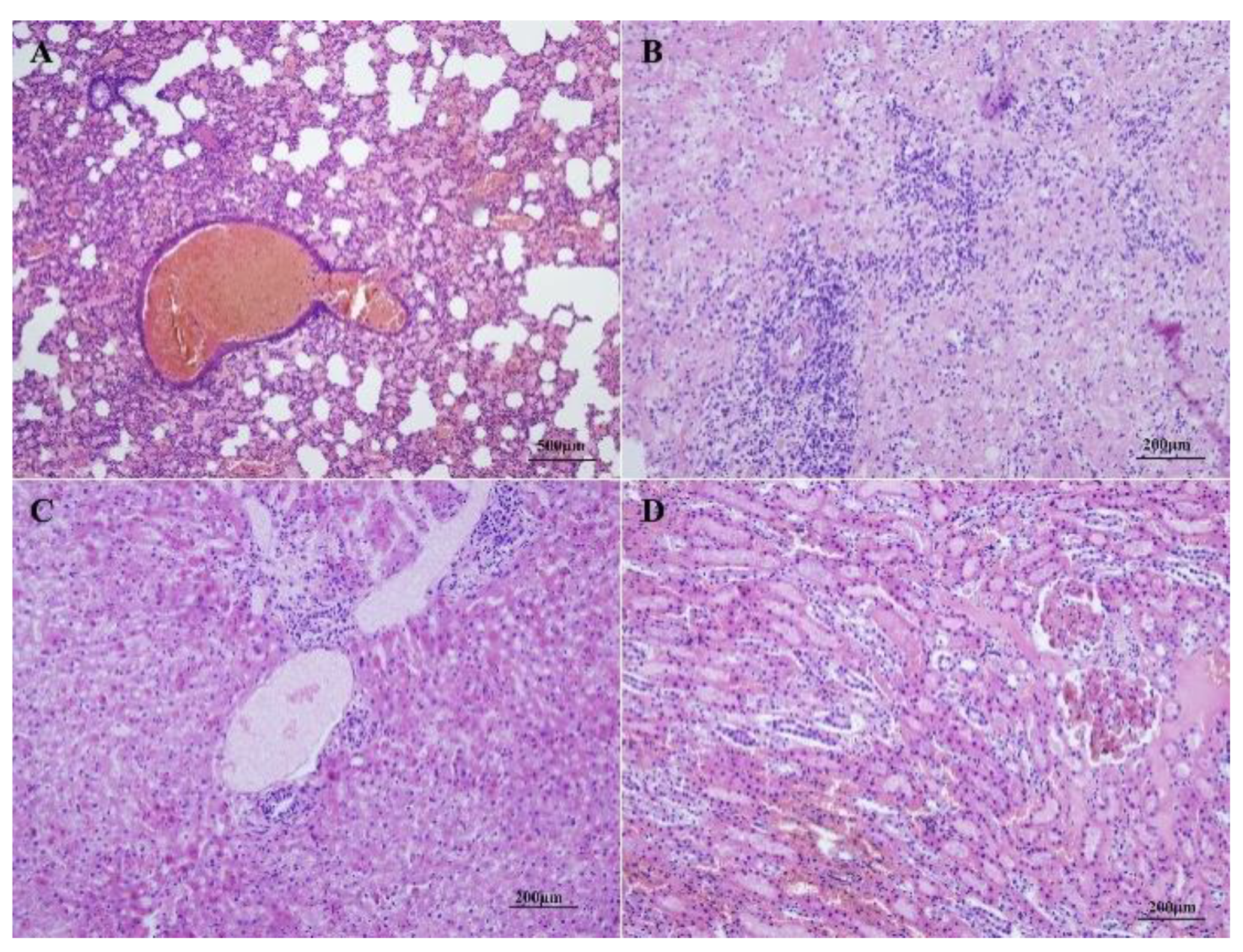
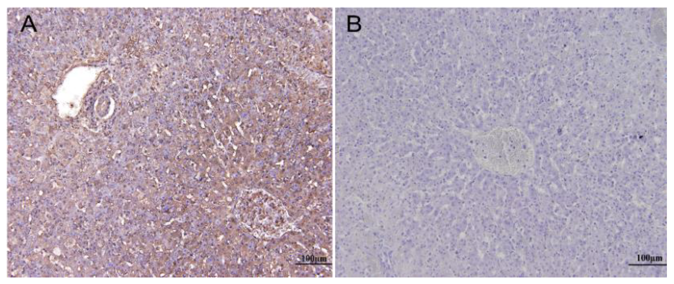
2.8. Animal Experiment
3. Results
3.1. Clinical and Histopathological Symptoms of Diseased Alpine Musk Deer
3.2. Identification of the RHDV Strain GS/YZ
3.3. Bacterial Culture and Virus Isolation
3.4. Genomic and Phylogenetic Characteristics of RHDV GS/YZ
3.5. Pathogenicity of RHDV GS/YZ in Rabbits
4. Discussion
Author Contributions
Funding
Conflicts of Interest
References
- Hu, X.; Liu, G.; Shafer, A.B.A.; Wei, Y.; Zhou, J.; Lin, S.; Wu, H.; Zhou, M.; Hu, D.; Liu, S. Comparative Analysis of the Gut Microbial Communities in Forest and Alpine Musk Deer Using High-Throughput Sequencing. Front. Microbiol. 2017, 8, 572. [Google Scholar] [CrossRef]
- Meng, X.; Perkins, G.C.; Yang, Q.; Feng, Z.; Meng, Z.; Xu, H. Relationship between estrus cycles and behavioral durations of captive female alpine musk deer. Integr. Zool. 2008, 3, 143–148. [Google Scholar] [CrossRef] [PubMed]
- Abrantes, J.; van der Loo, W.; Le Pendu, J.; Esteves, P.J. Rabbit haemorrhagic disease (RHD) and rabbit haemorrhagic disease virus (RHDV): A review. Vet. Res. 2012, 43, 12. [Google Scholar] [CrossRef] [PubMed]
- Meyers, G.; Wirblich, C.; Thiel, H.J. Rabbit hemorrhagic disease virus--molecular cloning and nucleotide sequencing of a calicivirus genome. Virology 1991, 184, 664–676. [Google Scholar] [CrossRef]
- Liu, S.J.; Xue, H.P.; Pu, B.Q.; Qian, N.H. A new viral disease of rabbits. Anim. Husband. Vet. Med. 1984, 16, 253–255. [Google Scholar]
- Rahali, N.; Sghaier, S.; Kbaier, H.; Zanati, A.; Bahloul, C. Genetic characterization and phylogenetic analysis of rabbit hemorrhagic disease virus isolated in Tunisia from 2015 to 2018. Arch. Virol. 2019, 164, 2327–2332. [Google Scholar] [CrossRef]
- Ismail, M.M.; Mohamed, M.H.; El-Sabagh, I.M.; Al-Hammadi, M.A. Emergence of new virulent rabbit hemorrhagic disease virus strains in Saudi Arabia. Trop. Anim. Health Prod. 2017, 49, 295–301. [Google Scholar] [CrossRef]
- Gould, E.A. First case of rabbit haemorrhagic disease in Canada: Contaminated flying insect, vs. long-term infection hypothesis. Mol. Ecol. 2012, 21, 1042–1047. [Google Scholar] [CrossRef]
- Fitzner, A.; Niedbalski, W. Phylogenetic analysis of rabbit haemorrhagic disease virus (RHDV) strains isolated in Poland. Arch. Virol. 2017, 162, 3197–3203. [Google Scholar] [CrossRef][Green Version]
- Elliott, S.; Saunders, R. Rabbit haemorrhagic disease in the UK. Vet. Rec. 2017, 181, 516. [Google Scholar] [CrossRef]
- Bergin, I.L.; Wise, A.G.; Bolin, S.R.; Mullaney, T.P.; Kiupel, M.; Maes, R.K. Novel calicivirus identified in rabbits, Michigan, USA. Emerg. Infect. Dis. 2009, 15, 1955–1962. [Google Scholar] [CrossRef] [PubMed]
- Abrantes, J.; Lopes, A.M.; Dalton, K.P.; Melo, P.; Correia, J.J.; Ramada, M.; Alves, P.C.; Parra, F.; Esteves, P.J. New variant of rabbit hemorrhagic disease virus, Portugal, 2012–2013. Emerg. Infect. Dis. 2013, 19, 1900–1902. [Google Scholar] [CrossRef] [PubMed]
- Guittre, C.; Baginski, I.; Le Gall, G.; Prave, M.; Trepo, C.; Cova, L. Detection of rabbit haemorrhagic disease virus isolates and sequence comparison of the N-terminus of the capsid protein gene by the polymerase chain reaction. Res. Vet. Sci. 1995, 58, 128–132. [Google Scholar] [CrossRef]
- Dalton, K.P.; Nicieza, I.; Balseiro, A.; Muguerza, M.A.; Rosell, J.M.; Casais, R.; Alvarez, A.L.; Parra, F. Variant rabbit hemorrhagic disease virus in young rabbits, Spain. Emerg. Infect. Dis. 2012, 18, 2009–2012. [Google Scholar] [CrossRef]
- Le Gall-Recule, G.; Zwingelstein, F.; Boucher, S.; Le Normand, B.; Plassiart, G.; Portejoie, Y.; Decors, A.; Bertagnoli, S.; Guerin, J.L.; Marchandeau, S. Detection of a new variant of rabbit haemorrhagic disease virus in France. Vet. Rec. 2011, 168, 137–138. [Google Scholar] [CrossRef]
- Carvalho, C.L.; Silva, S.; Gouveia, P.; Costa, M.; Duarte, E.L.; Henriques, A.M.; Barros, S.S.; Luis, T.; Ramos, F.; Fagulha, T.; et al. Emergence of rabbit haemorrhagic disease virus 2 in the archipelago of Madeira, Portugal (2016–2017). Virus Genes 2017, 53, 922–926. [Google Scholar] [CrossRef]
- Baily, J.L.; Dagleish, M.P.; Graham, M.; Maley, M.; Rocchi, M.S. RHDV variant 2 presence detected in Scotland. Vet. Rec. 2014, 174, 411. [Google Scholar] [CrossRef]
- Westcott, D.G.; Choudhury, B. Rabbit haemorrhagic disease virus 2-like variant in Great Britain. Vet. Rec. 2015, 176, 74. [Google Scholar] [CrossRef]
- Hall, R.N.; Mahar, J.E.; Haboury, S.; Stevens, V.; Holmes, E.C.; Strive, T. Emerging Rabbit Hemorrhagic Disease Virus 2 (RHDVb), Australia. Emerg. Infect. Dis. 2015, 21, 2276–2278. [Google Scholar] [CrossRef]
- Martin-Alonso, A.; Martin-Carrillo, N.; Garcia-Livia, K.; Valladares, B.; Foronda, P. Emerging rabbit haemorrhagic disease virus 2 (RHDV2) at the gates of the African continent. Infect. Genet. Evol. 2016, 44, 46–50. [Google Scholar] [CrossRef]
- Hu, B.; Wang, F.; Fan, Z.; Song, Y.; Abrantes, J.; Zuo, Y.; Esteves, P.J. Recombination between G2 and G6 strains of rabbit hemorrhagic disease virus (RHDV) in China. Arch. Virol. 2017, 162, 269–272. [Google Scholar] [CrossRef] [PubMed]
- Hu, B.; Fan, Z.; Wang, F.; Song, Y.; Wei, H.; Liu, X.; Qiu, R.; Xu, W.; Yuan, W.; Xue, J. A new variant of rabbit hemorrhagic disease virus G2-like strain isolated in China. Virus Res. 2016, 215, 20–24. [Google Scholar] [CrossRef] [PubMed]
- Urakova, N.; Hall, R.; Strive, T.; Frese, M. Restricted Host Specificity of Rabbit Hemorrhagic Disease Virus Is Supported by Challenge Experiments in Immune-compromised Mice (Mus musculus). J. Wildl. Dis. 2019, 55, 218–222. [Google Scholar] [CrossRef] [PubMed]
- Frolich, K.; Klima, F.; Dedek, J. Antibodies against rabbit hemorrhagic disease virus in free-ranging red foxes from Germany. J. Wildl. Dis. 1998, 34, 436–442. [Google Scholar] [CrossRef] [PubMed]
- Merchan, T.; Rocha, G.; Alda, F.; Silva, E.; Thompson, G.; de Trucios, S.H.; Pages, A. Detection of rabbit haemorrhagic disease virus (RHDV) in nonspecific vertebrate hosts sympatric to the European wild rabbit (Oryctolagus cuniculus). Infect. Genet. Evol. 2011, 11, 1469–1474. [Google Scholar] [CrossRef]
- Chong, R.; Shi, M.; Grueber, C.E.; Holmes, E.C.; Hogg, C.J.; Belov, K.; Barrs, V.R. Fecal Viral Diversity of Captive and Wild Tasmanian Devils Characterized Using Virion-Enriched Metagenomics and Metatranscriptomics. J. Virol. 2019, 93, e00205–e00219. [Google Scholar] [CrossRef]
- Victoria, J.G.; Kapoor, A.; Dupuis, K.; Schnurr, D.P.; Delwart, E.L. Rapid identification of known and new RNA viruses from animal tissues. PLoS Pathog. 2008, 4, e1000163. [Google Scholar] [CrossRef]
- Stang, A.; Korn, K.; Wildner, O.; Uberla, K. Characterization of virus isolates by particle-associated nucleic acid PCR. J. Clin. Microbiol. 2005, 43, 716–720. [Google Scholar] [CrossRef]
- Burland, T.G. DNASTAR’s Lasergene sequence analysis software. Methods Mol. Biol. 2000, 132, 71–91. [Google Scholar]
- Kumar, S.; Stecher, G.; Tamura, K. MEGA7: Molecular Evolutionary Genetics Analysis Version 7.0 for Bigger Datasets. Mol. Biol. Evol. 2016, 33, 1870–1874. [Google Scholar] [CrossRef]
- Mahar, J.E.; Nicholson, L.; Eden, J.S.; Duchene, S.; Kerr, P.J.; Duckworth, J.; Ward, V.K.; Holmes, E.C.; Strive, T. Benign Rabbit Caliciviruses Exhibit Evolutionary Dynamics Similar to Those of Their Virulent Relatives. J. Virol. 2016, 90, 9317–9329. [Google Scholar] [CrossRef] [PubMed]
- Wang, X.; Xu, F.; Liu, J.; Gao, B.; Liu, Y.; Zhai, Y.; Ma, J.; Zhang, K.; Baker, T.S.; Schulten, K.; et al. Atomic model of rabbit hemorrhagic disease virus by cryo-electron microscopy and crystallography. PLoS Pathog. 2013, 9, e1003132. [Google Scholar] [CrossRef] [PubMed]
- Aleksija, N.; Ulrika, L.P.; Nina, H.; Dolores, G.-W.; Tanja, S. Elucidation of the pathology and tissue distribution of Lagovirus europaeus GI.2/RHDV2 (rabbit haemorrhagic disease virus 2) in young and adult rabbits (Oryctolagus cuniculus). Vet. Res. 2018, 49, 46. [Google Scholar]
- Abade dos Santos, F.A.; Carvalho, C.; Nuno, O.; Correia, J.J.; Henriques, M.; Peleteiro, M.C.; Fevereiro, M.; Duarte, M.D. Detection of rabbit Haemorrhagic disease virus 2 during the wild rabbit (Oryctolagus cuniculus) eradication from the Berlengas archipelago, Portugal. BMC Vet. Res. 2017, 13, 336. [Google Scholar] [CrossRef] [PubMed]
- Goldsmith, C.S.; Ksiazek, T.G.; Rollin, P.E.; Comer, J.A.; Nicholson, W.L.; Peret, T.C.; Erdman, D.D.; Bellini, W.J.; Harcourt, B.H.; Rota, P.A.; et al. Cell culture and electron microscopy for identifying viruses in diseases of unknown cause. Emerg. Infect. Dis. 2013, 19, 886–891. [Google Scholar] [CrossRef] [PubMed]
- Hazelton, P.R.; Gelderblom, H.R. Electron microscopy for rapid diagnosis of infectious agents in emergent situations. Emerg. Infect. Dis. 2003, 9, 294–303. [Google Scholar] [CrossRef]
- Eden, J.S.; Kovaliski, J.; Duckworth, J.A.; Swain, G.; Mahar, J.E.; Strive, T.; Holmes, E.C. Comparative Phylodynamics of Rabbit Hemorrhagic Disease Virus in Australia and New Zealand. J. Virol. 2015, 89, 9548–9558. [Google Scholar] [CrossRef]
- Neimanis, A.S.; Ahola, H.; Larsson Pettersson, U.; Lopes, A.M.; Abrantes, J.; Zohari, S.; Esteves, P.J.; Gavier-Widen, D. Overcoming species barriers: An outbreak of Lagovirus europaeus GI.2/RHDV2 in an isolated population of mountain hares (Lepus timidus). BMC Vet. Res. 2018, 14, 367. [Google Scholar] [CrossRef]
- Calvete, C.; Mendoza, M.; Sarto, M.P.; Bagues, M.P.J.; Lujan, L.; Molin, J.; Calvo, A.J.; Monroy, F.; Calvo, J.H. Detection of Rabbit Hemorrhagic Disease Virus GI.2/RHDV2/b in the Mediterranean Pine Vole (Microtus duodecimcostatus) and White-Toothed Shrew (Crocidura russula). J. Wildl. Dis. 2019, 55, 467–472. [Google Scholar]
- Katpally, U.; Voss, N.R.; Cavazza, T.; Taube, S.; Rubin, J.R.; Young, V.L.; Stuckey, J.; Ward, V.K.; Virgin, H.W.; Wobus, C.E.; et al. High-resolution cryo-electron microscopy structures of murine norovirus 1 and rabbit hemorrhagic disease virus reveal marked flexibility in the receptor binding domains. J. Virol. 2010, 84, 5836–5841. [Google Scholar] [CrossRef]
- Zhu, J.; Miao, Q.; Tan, Y.; Guo, H.; Liu, T.; Wang, B.; Chen, Z.; Li, C.; Liu, G. Inclusion of an Arg-Gly-Asp receptor-recognition motif into the capsid protein of rabbit hemorrhagic disease virus enables culture of the virus in vitro. J. Biol. Chem. 2017, 292, 8605–8615. [Google Scholar] [CrossRef] [PubMed]
- Zhu, J.; Miao, Q.; Tang, J.; Wang, X.; Dong, D.; Liu, T.; Qi, R.; Yang, Z.; Liu, G. Nucleolin mediates the internalization of rabbit hemorrhagic disease virus through clathrin-dependent endocytosis. PLoS Pathog. 2018, 14, e1007383. [Google Scholar] [CrossRef] [PubMed]
- Urakova, N.; Strive, T.; Frese, M. RNA-Dependent RNA Polymerases of both Virulent and Benign Rabbit Caliciviruses Induce Striking Rearrangement of Golgi Membranes. PLoS ONE 2017, 12, e0169913. [Google Scholar] [CrossRef]
- Urakova, N.; Warden, A.C.; White, P.A.; Strive, T.; Frese, M. A Motif in the F Homomorph of Rabbit Haemorrhagic Disease Virus Polymerase Is Important for the Subcellular Localisation of the Protein and Its Ability to Induce Redistribution of Golgi Membranes. Viruses 2017, 9, 202. [Google Scholar] [CrossRef]








| Primer | Location | Sequence (5′–3′) | Length (bp) |
|---|---|---|---|
| K9N | GACCATCTAGCGACCTCCCANNNNNNNNN | ||
| K | GACCATCTAGCGACCTCCCA | ||
| RHDV-F1 | 1–30 | GTGAAAGTTATGGYGGCTATGTCRCGCCTT | 1363 |
| RHDV-R1 | 1333–1363 | CCTCRTTRGCCATTTTCACAACTGTCATAAC | |
| RHDV-F2 | 1222–1244 | GGTGCTGGCAARCTCACAACCTT | 1097 |
| RHDV-R2 | 2290–2318 | CCYTCGATATGTGAACTTGATTGTATGGG | |
| RHDV-F3 | 2224–2255 | TGGAARCAGTACTTTGTYATGTATGGTTGTGT | 1375 |
| RHDV-R3 | 3569–3598 | CAATCTTKGTGGAGTCTGACAATGTCTTCT | |
| RHDV-F4 | 3296–3322 | ATGYTCWCCCACYACTGAYCTGTGCCT | 1156 |
| RHDV-R4 | 4426–4451 | GRGATGTCATRTCAACGCCAACTGC | |
| RHDV-F5 | 4352–4328 | TGYTRTGGGGYTGTGACGTTGGTGT | 971 |
| RHDV-R5 | 5298–5322 | CGGGCTTTGCCCTCCATAACATTC | |
| RHDV-F6 | 5209–5240 | CARTTYARTGTTTACAGCTACGATGCTGCTAG | 1499 |
| RHDV-R6 | 6678–6707 | TGACRACAGAYGCRAACATGATGGGTGTG | |
| RHDV-F7 | 6377–6402 | GTGCAATCTGGAACAGTAACAGCGGT | 995 |
| RHDV-R7 | 7335–7371 | CTGGAYTCRCCWGTGGTRTTATARATCTTAACACTAT | |
| 3′-terminus-F | 6942–6967 | CTTGACTGAACTCATTGACGTACGCC | 536 |
| TX22 | 7372–7394 | GGGAATTCCATATGTTTTTTTTTTTTTTTTTTTTTT |
| RHDV Strain | GenBank Accession No. | Country | Genotype and Genogroup | RHDV GS YZ | ||||||
|---|---|---|---|---|---|---|---|---|---|---|
| Nucleotides (%) | Amino Acids (%) | |||||||||
| Genome | NSP * | VP60 | ORF2 | NSP * | VP60 | VP10 | ||||
| RHDV-SD | Z29514.1 | China | G1 | 95.0 | 94.6 | 96.1 | 96.6 | 98.0 | 98.1 | 96.6 |
| Hartmannsdorf | EF558586.1 | Germany | G1 | 90.9 | 89.3 | 95.2 | 96.3 | 96.1 | 96.6 | 97.5 |
| CB137 Pt | JX886002.1 | Portugal | G1 | 93.0 | 93.6 | 94.3 | 94.4 | 97.8 | 96.6 | 94.1 |
| HB | KY437668.1 | China | G2 | 98.7 | 98.8 | 98.5 | 98.6 | 99.3 | 98.6 | 98.3 |
| WXChina 1984 | AF402614.1 | China | G2 | - | - | 98.8 | - | - | 99.1 | - |
| Korea/2719 | KY235678.1 | Korea | G2 | 97.9 | 97.7 | 98.3 | 98.6 | 99.1 | 98.8 | 97.5 |
| Mexico/2718 | KY235677.1 | Mexico | G2 | 98.5 | 98.5 | 98.4 | 98.9 | 99.3 | 98.8 | 99.2 |
| Lagovirus europaeus/GI. 1d/O cun/FR/2000/00-21 | MH190418.1 | France | G5 | 94.0 | 93.4 | 95.7 | 95.0 | 97.6 | 97.8 | 93.9 |
| Jena | EF558576.1 | Germany | G5 | 94.9 | 94.4 | 96.4 | 97.2 | 97.8 | 97.6 | 94.9 |
| Sch07 | KY171748.1 | China | G6 | 89.7 | 88.4 | 92.1 | 95.5 | 96.2 | 95.2 | 96.6 |
| CD/China | AY523410.1 | China | G6 | 89.9 | 88.5 | 92.7 | 96.0 | 96.3 | 95.3 | 97.5 |
| WHNRH | DQ280493.1 | China | G6 | 89.9 | 88.5 | 92.6 | 94.4 | 95.9 | 95.9 | 96.6 |
| NJ-2009 | HM623309.1 | China | G6 | 90.3 | 88.9 | 93.2 | 95.5 | 96.7 | 95.9 | 97.5 |
| NY-01 | EU003581.1 | USA | G6 | 89.8 | 88.3 | 93.3 | 96.0 | 95.9 | 96.2 | 97.5 |
| STR2012 | KF677011.2 | Poland | G6 | 89.9 | 88.6 | 92.9 | 95.2 | 96.4 | 96.0 | 98.3 |
| RHDV2-NL2016 | MN061492.1 | China | RHDV2 | 85.1 | 86.7 | 82.2 | 86.2 | 95.8 | 88.4 | 83.1 |
| CBMad17-1 | MF407655.1 | Portugal | RHDV2 | 78.7 | 77.3 | 82.5 | 84.5 | 88.2 | 88.4 | 83.3 |
| AUS/NSW/BRO-2/2015 | MF421648.1 | Australia | RHDV2 | 87.9 | 90.2 | 81.9 | 85.7 | 97.2 | 88.3 | 83.3 |
| Viruses | Amino Acid Sites | ||||||||||||||||||||
|---|---|---|---|---|---|---|---|---|---|---|---|---|---|---|---|---|---|---|---|---|---|
| VP60 | p16 | p23 | p29 | Pro | RdRp | VP10 | |||||||||||||||
| 299 | 307 | 309 | 377 | 386 | 412 | 426 | 51 | 138 | 57 | 51 | 138 | 150 | 8 | 3 | 18 | 148 | 478 | 491 | 18 | 84 | |
| HB | K | G | A | E | N | T | V | I | S | N | R | K | A | Y | N | H | S | H | D | V | T |
| GS/YZ | R | N | S | Q | G | A | I | N | P | S | K | R | T | H | D | N | A | Q | A | I | A |
| Mexico/2718 | R | S | A | E | G | A | I | N | P | N | R | R | A | H | N | H | A | Q | A | V | A |
| Mexico89 | R | S | A | E | G | A | I | N | P | N | R | R | A | H | N | H | A | Q | A | V | A |
| Korea/2719 | R | S | A | E | G | T | I | N | P | N | R | K | A | H | N | H | A | Q | A | V | A |
| PD_1989 | R | S | A | E | G | A | I | N | P | N | R | K | A | H | N | H | A | Q | A | V | A |
| KGM_1988 | R | S | A | E | G | A | I | N | P | S | R | K | A | H | N | H | A | Q | A | V | A |
| MAL | R | S | A | E | G | A | I | N | P | N | R | K | A | H | N | H | A | Q | A | V | A |
| FRG | R | S | A | E | G | A | I | N | P | N | R | K | A | H | N | H | A | Q | A | V | A |
| Italy-90 | R | S | A | E | G | A | I | N | P | N | R | K | A | H | N | H | A | Q | A | V | A |
| RHDV-V351 | K | S | A | E | G | A | I | N | P | N | R | K | A | H | N | H | A | Q | A | V | A |
| NZ54 | R | S | A | E | G | A | I | N | P | N | R | K | A | H | N | H | A | Q | A | V | A |
| NZ61 | R | S | A | E | G | A | I | N | P | N | R | K | A | H | N | H | A | Q | A | V | A |
| AUS/ACT/AIN-1/2009 | R | S | A | E | S | N | I | N | P | S | K | K | A | H | N | H | A | Q | A | V | A |
| AUS/ACT/GUN1-52/2009 | R | G | A | E | S | N | I | N | P | S | K | K | A | H | N | H | A | Q | A | V | A |
| AUS/ACT/MtPt-4/2010 | R | S | A | E | S | N | I | N | P | S | K | K | A | H | N | H | A | Q | A | V | A |
| AUS/ACT/PI-1/2009 | R | S | A | E | S | N | I | N | P | S | K | K | A | H | N | H | A | Q | A | V | A |
| AUS/NSW/M9/2007 | R | S | A | E | S | N | I | N | P | S | K | K | A | H | N | H | A | Q | A | V | A |
| AUS/SA/ORA383/2008 | K | N | A | E | G | N | I | N | P | N | R | K | A | H | N | H | A | Q | A | I | A |
| AUS/WA/B.Hill/2013 | K | N | A | Q | G | N | I | N | P | S | R | K | A | H | N | H | A | Q | A | I | A |
© 2020 by the authors. Licensee MDPI, Basel, Switzerland. This article is an open access article distributed under the terms and conditions of the Creative Commons Attribution (CC BY) license (http://creativecommons.org/licenses/by/4.0/).
Share and Cite
Bao, S.; An, K.; Liu, C.; Xing, X.; Fu, X.; Xue, H.; Wen, F.; He, X.; Wang, J. Rabbit Hemorrhagic Disease Virus Isolated from Diseased Alpine Musk Deer (Moschus sifanicus). Viruses 2020, 12, 897. https://doi.org/10.3390/v12080897
Bao S, An K, Liu C, Xing X, Fu X, Xue H, Wen F, He X, Wang J. Rabbit Hemorrhagic Disease Virus Isolated from Diseased Alpine Musk Deer (Moschus sifanicus). Viruses. 2020; 12(8):897. https://doi.org/10.3390/v12080897
Chicago/Turabian StyleBao, Shijun, Kai An, Chunguo Liu, Xiaoyong Xing, Xiaoping Fu, Huiwen Xue, Fengqin Wen, Xijun He, and Jingfei Wang. 2020. "Rabbit Hemorrhagic Disease Virus Isolated from Diseased Alpine Musk Deer (Moschus sifanicus)" Viruses 12, no. 8: 897. https://doi.org/10.3390/v12080897
APA StyleBao, S., An, K., Liu, C., Xing, X., Fu, X., Xue, H., Wen, F., He, X., & Wang, J. (2020). Rabbit Hemorrhagic Disease Virus Isolated from Diseased Alpine Musk Deer (Moschus sifanicus). Viruses, 12(8), 897. https://doi.org/10.3390/v12080897

