Abstract
Histological examinations of the host reaction types (RTs); short galls, rough galls and smooth galls in slash pine seedlings inoculated with Cronartium quercuum f. sp. fusiforme revealed host reaction zone(s) [RZ(s)]. These RZs differed among the host RTs in location and pattern of occurrence in the stem, staining reaction, periderm formation and amount of fungal colonization. The RZ within short galls were wide, deep in the cortex, continuous around the stem, bordered on both sides by a well-developed periderm encircling the stem with limited fungal colonization. The RZ of the rough galls lacked a periderm, were small, numerous and discontinuous around the stem circumference, being separated by symptomatic tissue typical of a susceptible reaction. Fungal colonization of the rough galls was limited and hyphae and haustoria were encrusted. The RZ of the smooth galls were small and narrow conforming to the stem circumference, shallow in the cortex and interconnected by symptomatic tissues typical of a susceptible reaction. A narrow periderm developed along the innermost portion of the RZ in smooth galls and fungal colonization was abundant in the cortex. We suggest that the RTs large galls (rough and smooth), short galls, and hypersensitive-like stem lesions represent increasing resistance to the fusiform rust pathogen.
1. Introduction
Fusiform rust of pines, caused by Cronartium quercuum (Berk.) Miyabe ex. Shirai f. sp. fusiforme, is an important disease of slash [Pinus elliottii (Engelm.) var. elliottii] and loblolly (P. taeda L.) pines. Losses to the disease are severe in intensively managed pine plantations in the southeastern USA [1,2]. Deployment of rust-resistant genotypes has substantially reduced fusiform rust incidence and losses in newly established plantations [3,4,5,6,7]. Selection for resistance to C. quercuum f. sp. fusiforme was initially assessed by the presence or absence of galls in field trials [8,9] and in shadehouse tests [10,11]. Subsequently, in greenhouse trials on pine seedlings at the Resistance Screening Center, Bent Creek Experimental Forest, NC [12] stem gall morphology and hypersensitive-like reaction types were included in a performance index to better correlate resistance and susceptibility between greenhouse tests and field trials [13]. The anatomy and histopathology of several reaction types and host RZ are described in the fusiform rust pathosystem [14,15,16,17].
Our objectives were to describe and compare the histopathology of the undescribed reaction types: rough, smooth (both large galls, length >25 mm) and short galls (≤25 mm in length), especially the latter, since Schmidt et al. [18] reported that short galls rarely sporulated and were a host family response independent of fungal isolate and method of inoculation. The authors suggested that short galls were an indication of partial resistance and perhaps a measure of quantitative resistance.
2. Experimental Section
Seedlings were progenies of wind-pollinated clones of slash pine of known rust resistance from field progeny trials [19,20] and greenhouse tests [10]. Inocula were basidiospores collected from germinating telia on red oak (Quercus rubra L.) leaves previously inoculated with aeciospores. Aeciospores were collected from six stem galls (three each on two rust-susceptible families), mixed, vacuum dried and stored at 5 °C in sealed ampoules.
Pine seedlings were inoculated at the Resistance Screening Center using standard procedure [20]. Briefly, rapidly growing 6-week-old seedlings were sprayed with an aqueous suspension of basidiospores at a concentration of 20,000 spores∙mL−1, incubated for 24 h in a dark moist chamber (21 °C and >97% relative humidity) and placed in a greenhouse (15 to 20 °C and 30 ft candles of light at plant height from fluorescent lamps for 12 h per day). Reaction types were recorded 6 months after inoculation and short, rough and smooth galls were selected for histological examination at 9 months of age from several resistant families.
Galls were cut from the stem and divided into segments prior to fixation in a 18:1:1 solution of formalin-propionic acid-ethyl alcohol (50%) (FPA). The segments were taken from the uppermost region, regions R1, R2, and R3, and the lowermost region of the gall (Figure 1). Samples were also taken from the enlarged and constricted portion of the rough galls, typical of this reaction type.
Figure 1.
Nine-month-old seedling of a slash pine with a fusiform rust rough gall showing the regions sampled for histological examination (1×).
Figure 1.
Nine-month-old seedling of a slash pine with a fusiform rust rough gall showing the regions sampled for histological examination (1×).

After fixing, gall segments were dehydrated in a graded ethanol/tertiary butyl alcohol series (50 to 100%) for 2 h each, and embedded in Tissuemat® (melting point 56.5 °C) (Fischer Scientific Company Pittsburgh, PA, USA). Embedded tissues were sectioned (5–12 µm) with a rotary microtome. Serial sections were thermally mounted on microscope slides coated with Haupt's adhesive and formalin 4%, dewaxed in three changes of 100% xylene, and passed through a series of xylene and absolute ethyl alcohol (ETOH) (1:1), absolute ETOH, and 70% ETOH. Sections were stained with Pianeze IIIB [21], a staining solution that has long been used in plant pathology to distinguish fungal and host cells [22,23]. Eight sections from each gall segment were observed under a light microscope. Soluble and insoluble proteins, such as functional hyphae stained red and non-living material, such as phenol-like material, stained yellow-green to dark green. Photomicrographs of representative sections were taken using an Olympus/BMH camera or a Nikon OPTIPHOT II system.
3. Results
The reaction types short, rough, and smooth galls exhibited well-defined RZs—An area of necrotic host cells in the cortex of infected pine seedlings. Among host reaction types, the RZ differed in pattern (size and location), staining reaction, periderm formation and fungal colonization as summarized in Table 1.
Table 1.
Histopathology of the reaction zone(s) and fungal colonization for the host reaction types short, rough and smooth galls in the slash pine-fusiform rust pathosystem.
| Characteristics | Short galls | Rough galls | Smooth galls |
|---|---|---|---|
| Reaction zone(s) | |||
| Location | Innermost portion of the cortex | In the cortex near the epidermis | Radial to epidermis |
| Pattern | Widest in radial width and continuous around the circumference of the cambial area | Numerous small and narrow (radially) developing around the stem circumference with areas typical of susceptible reaction between reaction zones | Small and narrow conforming to the stem circumference, interconnected with areas typical of a susceptible reaction |
| Staining | Uniformly dark green | Very dark green | Light green |
| Periderm | Well-developed, encircling the RZ | Absent | Narrow and poorly developed along the innermost portion of the RZ |
| Fungal colonization in the RZ | Limited hyphae, both functional and nonfunctional based on the staining reaction. Haustoria few or absent | Absent | Limited hyphae present |
| Pattern | Haustoria and thick-walled hyphae abundant only in and adjacent to phloem ray cells | Distorted and limited haustoria radially inward from margins of the RZ | Dense colonization radially inward from RZ, hyphae multiseptate. |
3.1. Reaction Zones (RZs)
The RZ of the short galls formed a single, wide and continuous layer in the innermost region of the cortex, with portions extending to the cambium (Figure 2a). The RZ was well-defined, deeper in the cortex (approximately 30 µm inward from the epidermis) and wider (7–10 µm) than the RZ of the other reaction types. Cells in the RZ stained dark green, suggesting abundant necrosis. A well-developed periderm (two cells in width) encircled the RZ (Figure 2b). The RZ in the lower region of the short galls was sometimes continuous along the axis of the stem. In this region cortical cells were greatly distorted and disorganized.
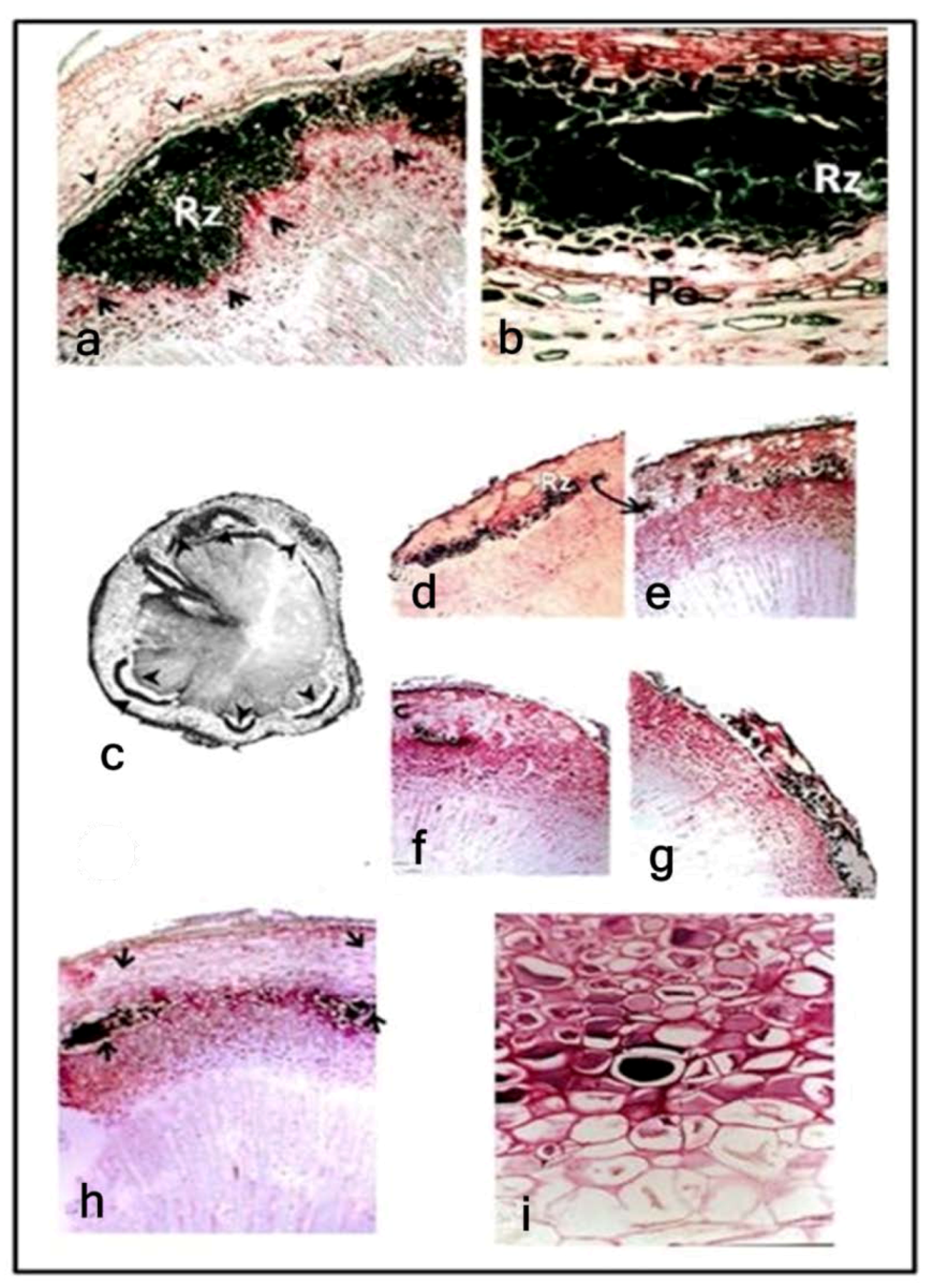
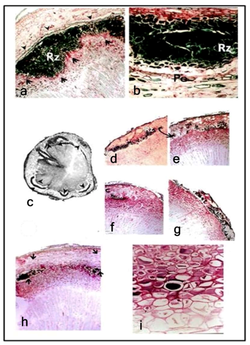
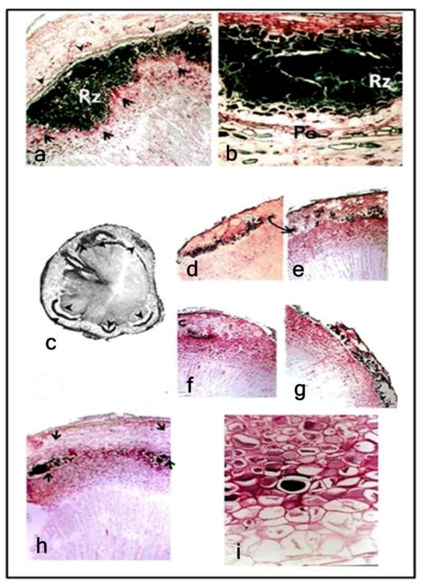
Figure 2.
Photomicrographs of the locations and patterns of reaction zones (RZs) in cross-sections (R2, Figure 1) of short, rough and smooth fusiform rust galls on slash pine: (a) RZ bounded by a layer of cells (arrowheads) separating affected cells below and unaffected cells above of a short gall (20×); (b) periderm (Pe) beneath the RZ of a short gall (20×); (c) numerous, interrupted reaction zones (arrowheads) resulting in swollen and constricted areas around the stem of a rough gall (10×); (d) a RZ forming in the cortex near the surface of a rough gall; (e) spreading into the phloem and isolating (f) and exfoliating the cortex (g); (h) two narrow lightly-stained RZs (arrows) separated by symptomatic tissue typical of a rust-susceptible reaction of a smooth gall (10×); (i) cortical cells between the reaction zones of a smooth gall (20×).
Figure 2.
Photomicrographs of the locations and patterns of reaction zones (RZs) in cross-sections (R2, Figure 1) of short, rough and smooth fusiform rust galls on slash pine: (a) RZ bounded by a layer of cells (arrowheads) separating affected cells below and unaffected cells above of a short gall (20×); (b) periderm (Pe) beneath the RZ of a short gall (20×); (c) numerous, interrupted reaction zones (arrowheads) resulting in swollen and constricted areas around the stem of a rough gall (10×); (d) a RZ forming in the cortex near the surface of a rough gall; (e) spreading into the phloem and isolating (f) and exfoliating the cortex (g); (h) two narrow lightly-stained RZs (arrows) separated by symptomatic tissue typical of a rust-susceptible reaction of a smooth gall (10×); (i) cortical cells between the reaction zones of a smooth gall (20×).

The RZ of the rough galls were small, numerous and discontinuous around the circumference of the stem (Figure 2c) without periderm formation (Figure 2d). RZ were present in the constricted portions of the gall and interrupted by symptomatic tissues in the enlarged portions of the stem where host response and fungal colonization was typical of a susceptible reaction [13,16]. The RZ were stained very dark green and contained many necrotic cells, however, cell distortion and proliferation were not evident. Subsequently the outer cortex was isolated and exfoliated (Figure 2e–g).
The RZ of smooth galls were small and narrow conforming to the stem circumference, and were separated by symptomatic tissue typical of a susceptible reaction type (Figure 2h–i). Cortical cells in the RZ stained light green suggesting little necrotization. The RZ had more intercellular spaces than the RZ of the other reaction types.
3.2. Fungal Colonization
In the RZ of the short galls mycelia were limited, with functional (stained red) and nonfunctional (stained yellow-green) hyphae (Figure 3a). However, the pathogen did not escape the RZ. The cortex region between the RZ and the epidermis showed no colonization. Haustoria, which are typically abundant in susceptible host reaction types, were few or absent. In the lower portion of the gall, hyphae were thinner than in region R2 of the gall and abundant in the intercellular space; hautoria were few or absent. In the innermost of the RZ region near the phloem-ray cells haustoria and thick-walled hyphae were abundant and were associated with increased cell wall thickness and cells were filled with oil-like material (Figure 3b). Hyphae were not observed within the RZ of rough galls (Figure 3c). The fungus was limited to the innermost portion of the RZ. In this region, hyphae were usually encrusted and collapsed; more hyphae than haustoria were observed. Intensive colonization (hyphae and haustoria) extended from the innermost part of the RZ toward the phloem and cambium. Often cells beneath the RZ were distorted and larger than those in uninfected tissues. The intercellular hyphae were thin and relatively sparse with few haustoria (Figure 3d). Ray cells in the gall tissue(s) were more numerous (about eight cells deep) and distorted compared to uninfected cells and hyphae cell walls in ray tissue were thicker than those in other cells. Normal rays averaged three cells high and two cells wide. The swollen portions of the gall, adjacent to the constricted areas, exhibited anatomical abnormalities characteristic of the susceptible reaction type (large galls).
In the RZ of the smooth galls hyphae were limited in number, but appeared functional (Figure 3e). In the innermost portions of the RZ hyphae were unusually multi-septate, larger and more distorted than hyphae of a typical susceptible reaction type. Inward from the RZ, hyphae and haustoria were abundant (Figure 3f). In the cambium, fungal colonization was dense. Reaction parenchyma occurred in sections from the lower portions of the gall (Figure 3g). Spermatia were seen in only the lower region of the smooth galls beneath the RZ in the cortex (Figure 3h).
Figure 3.
Photomicrographs of fungal colonization in cross-sections (from R2 Figure 1) of short, rough and smooth fusiform rust galls on slash pine: (a) functional (arrowheads) and apparently nonfunctional (arrows) hyphae in cortical cells of the RZ of a short gall (40×); (b) fungal colonization (hp) and oil-like deposits in cortical and phloem cells of a short gall (20×); (c) swollen (ms) and constricted area (ca) of the stem of a rough gall (20×); (d) scattered haustoria (arrowheads) in the constricted area (ca) of a rough gall (20×); (e) limits of fungal colonization (hp) in the RZ of a smooth gall (40×); (f) thick dark functional hyphae (arrows) and apparently nonfunctional hyphae (arrowheads) beneath the RZ of a smooth gall (40×); (g) reaction parenchyma (Rp) of a smooth gall (40×); (h) spermatia (arrows) beneath the RZ of a smooth gall (20×).
Figure 3.
Photomicrographs of fungal colonization in cross-sections (from R2 Figure 1) of short, rough and smooth fusiform rust galls on slash pine: (a) functional (arrowheads) and apparently nonfunctional (arrows) hyphae in cortical cells of the RZ of a short gall (40×); (b) fungal colonization (hp) and oil-like deposits in cortical and phloem cells of a short gall (20×); (c) swollen (ms) and constricted area (ca) of the stem of a rough gall (20×); (d) scattered haustoria (arrowheads) in the constricted area (ca) of a rough gall (20×); (e) limits of fungal colonization (hp) in the RZ of a smooth gall (40×); (f) thick dark functional hyphae (arrows) and apparently nonfunctional hyphae (arrowheads) beneath the RZ of a smooth gall (40×); (g) reaction parenchyma (Rp) of a smooth gall (40×); (h) spermatia (arrows) beneath the RZ of a smooth gall (20×).

4. Discussion
Reaction zones in slash pine occurred in response to colonization by the fusiform rust pathogen as shown by Miller et al. [13], Lundquist and Miller [24] and Jewell et al. [16] and by our observation of the reaction types rough, smooth and short galls, which differed in the RZ location, pattern of staining and fungal colonization. Our observations showed that the RZ and associated periderm formation are the major components limiting the progress of the pathogen in short galls and suggest increasing host resistance from the susceptible large rough gall to the resistant short galls and hypersensitive-like stem lesions which do not result in stem galls [13].
Periderm formation, which was well-developed and encircled the RZ in short galls was associated with host resistance in the fusiform rust pathosystem [25] and in white pine blister rust [26]. Mullick [27] showed that periderms formed in trees as a generalized host response to wounding and other injurious agents. Cell proliferation and accumulations of fatty and granular-like substances in the lumen of phloem cells are thought to be common responses of host cells to rust infection [15,28] and seem to be related to the ability of cells to develop a periderm [16].These responses were particularly extensive in short galls, moderate in rough galls and negligible in smooth galls. In these reaction types the pathogen is confined in the stem as a result of defense responses, which present a series of barriers to pathogenesis, whereas in a typical susceptible reaction the pathogen colonizes the host in the absence of a strong defense reaction.
The fusiform rust pathosystem exhibits both major gene resistance [29,30,31,32,33] and components of partial resistance [18]. Short galls rarely, if ever, sporulate and occur independent of pathogen isolates and inoculation techniques. Schmidt et al. (unpublished) reported that only 5% of small galls became large galls and these sporulated. Small galls often became barely visible as irregular stem lesion after several years in the greenhouse. Similar inactivation of small galls on slash and loblolly pine seedlings several years after outplanting was reported by Snow et al. [34].
5. Conclusions
Short galls ≤25 mm are a phenotypic expression of host resistance in the slash pine-fusiform rust pathosystem, as opposed to large galls (rough or smooth) which are an expression of susceptibility. Others [18] have reported that slash pine families with a high proportion of short galls compared to large galls are an indication of partial resistance and perhaps quantitative resistance. Here we describe the histopathology of reaction zones and periderms which restrict fungal colonization in the stem and result in the formation of short galls.
Acknowledgments
We wish to acknowledge the Forest Biology Research Cooperative and former Integrated Forest Pest Management Cooperative for their support and Carol Young at the RSC for her aid in data collection. Also we want to thank Rose Kimlinger for her aid in manuscript preparation and Winnie Lante for her help in the lab.
References
- Powers, H.R., Jr.; McClure, J.P.; Knight, H.A.; Dutrow, G.F. Fusiform Rust: Forest Survey Incidence Data and Financial Impact in the South; Forest Service Research Paper SE 127; Department of Agriculture, Forest Service, Southeastern Forest Experiment Station: Asheville, NC, USA, 1975. [Google Scholar]
- Anderson, R.L.; McClure, J.P.; Cost, N.C.; Uhler, R.J. Estimating fusiform rust losses in five southeastern states. South. J. Appl. For. 1986, 10, 237–240. [Google Scholar]
- Hodge, G.R.; Schmidt, R.A.; White, T.L. Substantial realized gains from mass selection of fusiform rust-free trees in highly infected stands of slash pine. South. J. Appl. For. 1990, 14, 143–146. [Google Scholar]
- Powers, H.R.; Miller, T.; Belanger, R.P. Management strategies to reduce losses from fusiform rust. South. J. Appl. For. 1993, 17, 146–149. [Google Scholar]
- Pye, J.M.; Wagner, J.E.; Holmes, T.P.; Cubbage, F.W. Evaluation of the Effects of Fusiform Rust Research on Southern Pine Timber Investment Returns; Research Paper Forest Experiment Station; Research Work Unit SE 4851 Southeast: Research Triangle Park, NC, USA, 1994. [Google Scholar]
- Schmidt, R.A.; Powers, H.R.; Snow, G.A. Application of genetic disease resistance for the control of fusiform rust in intensively managed southern pine. Phytopathology 1981, 71, 993–997. [Google Scholar] [CrossRef]
- Schmidt, R.A.; Holley, R.C.; Klapproth, M.C. Results from operational plantings of fusiform rust resistant slash loblolly pines in high rust incidence areas in Florida Georgia. In Proceedings of the Rusts of Hard Pines Working Party Conference (S.2.06-10), Athens, GA, USA, 16–21 September 1985; pp. 33–41.
- Barber, J.C.; Dorman, K.W.; Bauer, E. Slash Pine Progeny Tests Indicate Genetic Variation in Resistance to Rust; Research Note 104; Southeastern Forest Experiment Station: Asheville, NC, USA, 1957. [Google Scholar]
- Schmidt, R.A.; Goddard, R.E. Preliminary Results of Fusiform Rust Resistance from Field Progeny Tests of Selected Slash Pines. In Proceedings of the 11th Southern Forest Tree Improvement Conference, Atlanta, GA, USA, 15–16 June 1971; pp. 37–44.
- Goddard, R.E.; Schmidt, R.A. Early identification of fusiform rust resistant slash pine families through controlled inoculation. In Proceedings of the 11th Southern Forest Tree Improvement Conference, Atlanta, GA, USA, 15–16 June 1971; pp. 31–36.
- Jewell, F.F. Inoculation of slash pine seedlings with Cronartium fusiforme. Phytopathology 1960, 50, 48–51. [Google Scholar]
- Screening for Disease Resistance as a Service for Tree Improvement Programs; Protection Report R8-PR8; Forest Health Protection, Southern Region, USDA Forest Service: Atlanta, GA, USA, 2004.
- Walkinshaw, C.H.; Dell, T.R.; Hubbard, S.D. Predicting Field Performance of Slash Pine Families from Inoculated Greenhouse Seedlings; Forest Experiment Station Research Paper SO-160U; Southern Forest Experiment Station: New Orleans, LA, USA, 1980. [Google Scholar]
- Miller, T.; Cowing, E.B.; Powers, H.R.; Blalock, T.E. Types of resistance and compatibility in slash pine seedlings infected by Cronartium fusiforme. Phytopathology 1976, 66, 1229–1235. [Google Scholar]
- Jackson, L.W.; Parker, J.N. Anatomy of fusiform rust galls on loblolly pine. Phytopathology 1958, 48, 637–650. [Google Scholar]
- Jewell, F.F.; Jewell, D.C.; Walkinshaw, C.H. Histopathology of the initiation of resistance-zones in juvenile slash pine to Cronartium quercuum f. sp. fusiforme. Phytopath. Med. 1980, 19, 8–12. [Google Scholar]
- Jewell, F.F.; Speirs, D.C. Histopathology of one- and two-year-old resisted infections by Cronartium fusiforme in slash pine. Phytopathology 1976, 66, 741–748. [Google Scholar]
- Schmidt, R.A.; Gramacho, K.P.; Miller, T.; Young, C.H. Components of Partial Resistance in the Slash Pine-Fusiform Rust Pathosystem. Phytopathology 2000, 90, 1005–1010. [Google Scholar] [CrossRef]
- Sohn, S.I.; Goddard, R.E.; Schmidt, R.A. Comparative Performances of Slash Pine for fusiform Rust Resistance in High Rust Hazard Locations. In Proceedings of the 13th Southern Forest Tree Improvement Conference, Raleigh, NC, USA, 10–11 June 1975; pp. 204–211.
- Knighten, J.L.; Young, C.H.; McCartney, T.C.; Anderson, R.L. Resistance Screening Center Procedures Manual: A Step-by-Step Guide to Materials and Methods Used in Operational Screening of Southern Pines for Resistance to Fusiform Rust; USDA Forest Service, Forest Health Protection: Asheville, NC, USA, 1988. [Google Scholar]
- Vaughan, R.E. A method for the differential staining of fungus and host cells. Ann. Mo. Bot. Gard. 1914, 1, 241–242. [Google Scholar] [CrossRef]
- Bao, J.R.; Lazarovits, G. Differential colonization of tomato roots by nonpathogenic and pathogenic Fusarium oxysporum may influence Fusarium wilt control. Phytopathology 2001, 91, 449–456. [Google Scholar] [CrossRef]
- Dhingra, O.D.; Sinclair, J.B. Basic Plant Pathology Methods; Lewis Publishers: Boca Raton, FL, USA, 1995. [Google Scholar]
- Lundquist, J.E.; Miller, T. Development of stem lesions on slash pine seedlings infected by Cronartium quercuum f. sp. fusiforme. Phytopathology 1984, 74, 514–518. [Google Scholar] [CrossRef]
- Miller, T.; Cowling, E.B. Infection and colonization of different organs of slash pine seedling by Cronartium fusiforme. Phytopathology 1977, 67, 179–186. [Google Scholar] [CrossRef]
- Struckmeyer, B.E.; Riker, A.J. Wound periderm formation in white-pine trees resistant to blister rust. Phytopathology 1951, 41, 276–281. [Google Scholar]
- Mullik, D.B. The non-specific nature of defense in bark and wood during wounding, insect and pathogen attack. Recent Adv. Phytochem. 1977, 11, 395–442. [Google Scholar]
- Kinloch, B.B.; Littlefield, J.L. White pine blister rust: Hypersensitive resistance in sugar pine. Can. J. Bot. 1977, 55, 1148–1155. [Google Scholar]
- Nelson, C.D.; Doudrick, R.L.; Nance, W.L.; Hamaker, J.M.; Capo, B. Specificity of host: Pathogen genetic interaction for fusiform rust disease on slash pine. In Proceedings of the 22nd Southern Forest Tree Improvement Conference, Atlanta, GA, USA, 14–17 June 1993; pp. 403–410.
- Wilcox, P.L.; Amerson, H.V.; Kuhlman, E.G.; Liu, B.H.; O’Malley, D.M.; Sederoff, R.R. Detection of a major gene for resistance to fusiform rust disease in loblolly pine by genomic mapping. Proc. Natl. Acad. Sci. USA 1996, 93, 3859–3864. [Google Scholar] [CrossRef]
- Kong, X. RAPD Mapping and Its Application to Slash Pine Breeding. Ph.D. Thesis, Texas A & M University, College Station, TX, USA, 1996; p. 124. [Google Scholar]
- Nelson, C.D.; Kubisiak, T.L.; Amerson, H.V. Unraveling and managing fusiform rust disease: A model 31 approach for coevolved forest tree pathosystems. For. Pathol. 2010, 40, 67–72. [Google Scholar]
- Kubisiak, T.L.; Anderson, C.L.; Amerson, H.V.; Smith, J.A.; Davis, J.M.; Nelson, C.D. A genomic amp enriched for markers linked to Avr1 in Cornartium quercuum f. sp. fusiforme. Fungal Gen. Biol. 2011, 48, 266–274. [Google Scholar] [CrossRef]
- Snow, G.A.; Jewell, F.F.; Eleuterius, L.N. Apparent recovery of slash and loblolly pine seedlings from fusiform rust infection. Plant Dis. Rep. 1963, 47, 318–319. [Google Scholar]
© 2013 by the authors; licensee MDPI, Basel, Switzerland. This article is an open access article distributed under the terms and conditions of the Creative Commons Attribution license (http://creativecommons.org/licenses/by/3.0/).