You are currently viewing a new version of our website. To view the old version click .
Forests
  • Article
  • Open Access

25 July 2022

Design of Species-Specific Primers for Early Detection of Kretzschmaria zonata, the Causal Agent of Root and Neck Rot of Teak (Tectona grandis)

,
,
,
,
,
,
,
,
and
1
Laboratorio GeMBio, Centro de Investigación Científica de Yucatán A. C. Calle 43 # 130, x 32 y 34, Chuburná de Hidalgo, Mérida 97205, Mexico
2
Grupo Consultor Forestal Milenio, Monte Albán #26, Colonia Narvarte, Ciudad de Mexico 03020, Mexico
3
Facultad de Ciencias Agropecuarias-CV, Universidad Autónoma de Chiapas, Carretera Ocozocoautla, Villaflores 30470, Mexico
*
Author to whom correspondence should be addressed.
This article belongs to the Section Genetics and Molecular Biology

Abstract

Kretzschmaria zonata (Lév.) P.M.D. Martin is a fungus that causes root and neck rot in teak (Tectona grandis L.) worldwide. The detection of this fungus in asymptomatic plants is essential for its control but, to date, the disease can only be detected morphologically or by sequencing this fungus’s isolates. The aim of this work was to design, at least, one set of specific PCR primers for a quickly, early and accurate diagnosis of this pathogen. Nineteen isolates of K. zonata from teak plants at different locations in Mexico were obtained. ITS region sequences and two software were used to design the PCR-based primers. All primers obtained were tested on DNA samples from infected teak tissue, K. zonata pure isolates, and other different fungi species (in vitro and in silico). The sensitivity of the primers was evaluated at five different concentrations of target DNA. The primer set KZ-AQ-3F/KZ-AQ-3R was selected for its specificity (amplifies only K. zonata) and sensitivity (1 × 10−5 ng/µL detection). This is the first report of a Kretzschmaria zonata-specific primer set. Tests carried out on asymptomatic teak and artificially inoculated plants with this fungus demonstrated the usefulness of these primers for the accurate detection of K. zonata, and taking early control measures.

1. Introduction

Tectona grandis Linn. (Verbenaceae) is among the most valuable species of the tropics and is common in deciduous forests and well-drained alluvial soils []. This species is native to South and Southeast Asia, mainly India, Indonesia, Malaysia and Myanmar [], but it has been introduced in more than 35 tropical countries across Asia, Africa and America []. In Mexico, it is planted in the states of Campeche, Chiapas, Tabasco, Veracruz, Michoacán and Nayarit [].
Teak wood has many properties, which makes it highly valuable, along with its lightness and at the same time its strength, ease of use without cracking and splitting, its resistance to termites and weather, its durability and its resistance to decay, even when it is unprotected by paints or preservatives. For all these reasons, it is extensively used to manufacture furniture, in boat and shipbuilding, in house construction, as a decorative veneer, to make musical instruments and handicrafts, and in woodcarving [,]. In addition, teak is a major constituent in traditional medicine in different countries. This plant is used in treatments of different ailments such as urinary diseases, biliousness, hyperacidity, diabetes, leprosy, scabies and bronchitis, as well as being used as a laxative or sedative. Furthermore, a teak wood powder paste has been used to treat headache and swelling; and leaf extracts of this species are widely used in Asian folklore for the treatment of various kinds of wounds, especially burn wounds [,].
The oldest recorded report of a disease in teak (leaf rust) dates from 1960 []. Subsequently, many fungal [] and some bacterial pathogens [] have been found in plantations of this species worldwide.
Bacterial diseases such as cotyledon rot, collar rot and seedling wilt are caused by Pseudomonas tectonae in teak. A severe incidence of these diseases resulted in the failure of nurseries and large-scale mortality of plants in young plantations []. Meanwhile, Crown gall caused by the Agrobacterium tumefaciens species complex emerged as a significant nursery disease in Brazil [].
Among fungal diseases of teak, some stand out due to the severity of the damage they cause. Root rot, which contributes to the fall of affected trees, is caused by the pathogens Polyporus zonalis and Peniophora rhizomorpho-sulphurea [], Rigidoporus lignosus [], and Phellinus noxius []. Lasiodiplodia theobromae causes canker disease, a serious threat to the commercial industry, since the affected trees are unsuitable for timber purposes []. Another economically important fungal disease is teak leaf rust, caused by Olivea tectonae, the symptoms (angular brown to grey necrotic areas on the adaxial leaf surface) of which have been observed on the leaves and inflorescences of diseased plants. This pathogen has been reported in almost all teak-producing countries and causes loss of most leaves on severely affected teak plants [,,,]. Serious yield and quality losses occur when Wilt disease appears on Tectona grandis, and this disease can be caused by different pathogens such as Thielaviopsis basicola [,], Ceratocystis fimbriata [], and the Fusarium oxysporum species complex [].
Generally, fruits and the aerial parts of teak have a higher incidence of fungi. Species such as Aspergillus niger, Chaetomium globosum, Cunninghamella sp., Fusarium moniliforme, Rhizopus stolonifer, and Sphaeronema sp. have been recorded affecting above 50% of teak plantations. Fusarium semitectum and Fusarium solani were also recorded at a high incidence [,].
The fungus Kretzschmaria zonata (Lév.) P.M.D. Martin has been reported on teak in Nigeria [], Mexico [] and, recently, Brazil, where teak trees showed typical die-back symptoms with root collar rot; and a phylogenetic study of the internal transcribed spacer (ITS) region of rDNA confirmed that the isolates belonged to Kretzschmaria zonata []. This disease begins in the root and spreads to the collar of the tree, causing a collapse in sap flow, leading to mortality [,].
For more than a decade now, in southeastern Mexico, the disease that causes root and neck rot of teak has triggered severe mortality in trees aged four to eight years. The causal pathogen was morphologically identified as Kretzschmaria zonata (Lév.) []. In this country, teak plantations cover 18,716 ha, which represents almost 10% of the commercial forest area of Mexico; and due to the qualities of the wood of this species, the plantation area is predicted to increase []. The detection of this pathogen in asymptomatic plants is essential for its control but, to date, the disease can only be detected by morphological examination, when symptoms appear and the teak tree is already dying, or by sequencing this fungus’s isolates, which can cause a delay in taking control measures. Therefore, an early, fast and accurate diagnosis of this disease’s causative pathogen is necessary, in order to apply control measures on symptomless plants, and avoid losses greater than those that already occur.
For all the above reasons, the main aim of this work was to design, at least, a set of species-specific primers of Kretzschmaria zonata, for early and fast diagnosis of this causative pathogen of root and neck rot of teak. This molecular tool will facilitate disease control through elimination of infected but symptomless plants.

2. Materials and Methods

2.1. Fungal Isolation

Samples from teak trees were collected from different localities of Mexico: an orchard property of the Bienes Ecoforestales S. P. R. de R. L. company, located at the municipality of Tizimin, Yucatán state; two orchards at the Hopelchen and Candelaria municipalities of Campeche state; four orchards located at the Huimanguillo municipality of Tabasco state; and another orchard in Palenque, a municipality of Chiapas state.
In order to isolate fungal strains, tissue samples were obtained from three different types of lesions on teak plants: from the basal part of teak stems showing early symptoms of the disease (reduced stem diameter and slight cracks at the base); from teak roots that presented small necrotic areas, as well as slight mycelial development; and from trees with advanced symptoms, such as aggregation and stripping of the base, stems with hyperplasia (skirt) and rot, as well as the beginning of the stromal formation of the fungus (Figure 1).
Figure 1. (a) Advanced symptoms of root and neck rot of teak, debarking with hyperplasia at stem base, can be observed; (b) teak stem cut longitudinally where the progress of the fungus from the base to upper part of the stem can be seen.
The samples of trees with initial symptoms were collected with the help of a bayonet disinfected with 70% sodium hypochlorite, and the advanced lesions of both stem and root, with a knife or chainsaw, also disinfected with 70% sodium hypochlorite, to take a lesion segment. Later, with a sterile pair of forceps, samples were placed in a plastic bag, properly labeled.
At the laboratory, all samples were washed with plenty of tap water, to remove soil particles and vegetative material remains. The tissues were disinfected in a 10% commercial sodium hypochlorite solution with 0.1% tween 20. Afterwards, the samples were rinsed with sterile distilled water; and under sterile conditions, they were cut into small segments of 5 mm × 5 mm in diameter. A fraction of each sample was separated to extract genomic DNA directly from the tissue and the rest were used to obtain fungal isolates. In order to obtain fungal isolates, the above-mentioned segments were placed in Petri dishes, containing modified YMPG sterile semisolid culture medium (yeast extract (Difco, Waltham, MA, USA) 2 g/L, malt extract (Bioxon, Mexico) 10 g/L, peptone (Bioxon, Mexico) 2 g/L, glucose (Sigma, Mexico) 10 g/L, KH2PO4 (Sigma, Mexico) 2 g/L, MgSO4: H2O (Sigma, Mexico) 1 g/L, thiamine (Sigma, Mexico) 1 mg/L, bacteriological agar (Bioxon, Mexico) 20 g/L, and distilled H2O). Petri dishes were incubated in a FELISA brand incubator (Model FE-133D, Mexico City, Mexico) in dark conditions, at temperature of 28 ± 2 °C. The inoculated plates were checked every 24 h, to verify the development of fungal colonies. The isolates obtained underwent the hypha tip technique to obtain pure fungal strains. These strains were subcultured again, under the same conditions previously described. From the total isolates obtained, nineteen, representative, in terms of morphology, of those that had been isolated from the three types of samples taken, were selected for the entire study. The growth and morphology of the fungal colonies were observed for 30 days. Microscopic observations of the fungal structures obtained were made in a Axiostar plus, Carl Zeiss microscope (Oberkochen, Germany).

2.2. Genomic DNA Isolation

Total genomic DNA was extracted, according to the Tapia–Tusell protocol [], from the 128 samples of infected plant tissues obtained in the collections; also from the mycelium of nineteen putative isolates of K. zonata and seven other species of fungi (as negative controls), according to the Tapia–Tusell protocol []. The resulting DNA were dried at room temperature and dissolved in 50 µL of sterile distilled water.
The DNA concentration of each sample was determined using a Nanodrop 2000 spectrophotometer (Thermo Fisher Scientific, Waltham, MA, USA) at 260/280 nm; and then the samples were diluted in sterile distilled water to a final concentration of 20 ng/µL. The quality and integrity of the DNA samples were verified on a 0.8% agarose (Invitrogen, Carslbad, CA, USA) gel, and visualized by ethidium bromide staining.

2.3. Fungal DNA Sequencing

The nineteen selected isolates were molecularly identified by nucleotide sequence analysis. The 5.8-ITS regions were amplified with the universal primers ITS1 and ITS4 []. PCR reactions were performed in reaction volumes of 25 µL containing: 50 ng of genomic DNA, 1X PCR buffer (10X: 200 mM Tris–HCl, 500 mM KCl, pH 8.4; Invitrogen, Carslbad, CA, USA), 0.20 mM of each dNTP (Invitrogen, Carslbad, CA, USA), 1.5 mM MgCl2 (Invitrogen, Carslbad, CA, USA), 1 µM of each primer, and 1.0 U Platinum Taq DNA polymerase (Invitrogen, Carslbad, CA, USA). DNA amplification was performed in a Thermal cycler 2720 (Applied Biosystems, Foster City, California, USA) and the program consisted of an initial denaturing step at 94 °C for 4 min, followed by 30 cycles of 1 min at 94 °C, 1 min at 58 °C and 1 min at 72 °C, and a final extension step of 7 min at 72 °C. PCR products were separated by electrophoresis in 1.5% (w/v) agarose (Invitrogen, Carslbad, CA, USA) gels and visualized by ethidium bromide staining. PCR products were purified and sequenced by Macrogen Inc. Korea. Alignment and edition were carried out with the BioEdit Sequence Alignment program [] and visually corrected. When trying to align the sequences obtained with those registered in the NCBI database, we found that there was no records at that time for the species K. zonata, so a phylogenetic tree was made with the sequences obtained and sequences of other Kretzschmaria species that have ITS region sequences recorded in this database, in order to identify all isolates from this work.

2.4. Design of Kretzschmaria zonata-Specific PCR Primers

Once the sequences of the 5.8-ITS region of the rDNA gene from nineteen isolates were obtained, and their identities as K. zonata were verified, a multiple sequence alignment was made for these sequences, using the BioEdit Sequence Alignment program []. The alignment was analyzed to identify specific and unique sites of K. zonata in this sequence, and then a consensus sequence was generated. From this consensus sequence, primers that specifically amplify this fungus were developed using Primer3 v. 0.4.0 software [] and PrimerQuest Tool IDT integrated DNA technologies, USA.
The specificity of the designed primer sequences was confirmed in silico, before their synthesis.
Sequences of the ITS region of thirteen fungi species of the genus Kretzschmaria and eleven other fungal species (Table 1) were searched in the NCBI database, to evaluate in silico, with the software Genome Compiler, with the specificity of all primer sets obtained.
Table 1. List of fungal species and their NCBI sequence accessions, with which the specificity of the primer sets obtained was tested in silico.

2.5. Kretzschmaria zonata-Specific PCR Primers Amplification

All primer sets obtained were used for Kretzschmaria zonata-specific amplification of samples in vivo. The samples used for these tests were DNA from all nineteen K. zonata isolates selected and other DNA samples from infected teak tissue taken from the field. Additionally, DNA from other fungal species such as Fusarium equiseti, Fusarium solani, Phellinus sp., Colletotrichum gloeosporiodies and Lasiodiplodia theobromae and the Oomycete Phytophthora sp. were tested with these primer sets. All these strains are part of the GeMBio laboratory collection, and they were previously identified and molecularly characterized. Further, it the strain Kretzschmaria deusta ATCC ® 38992 was included in these tests as a certificated control. PCR reactions were performed in reaction volumes of 25 µL containing: 40 ng of genomic DNA, 1X PCR buffer (10X: 200 mM Tris–HCl, 500 mM KCl, pH 8.4; Invitrogen, Carslbad, CA, USA), 0.20 mM each of dNTP (Invitrogen, Carlsbad, CA, USA) and 2.5 mM MgCl2 (Invitrogen, Carslbad, CA, USA), 0.2 µM of each primer, and 1.0 U Platinum Taq DNA polymerase (Invitrogen, Carlsbad, CA, USA). DNA amplification was performed in a Thermal cycler 2720 (Applied Biosystems, Foster City, California, USA) and consisted of an initial denaturing step at 94 °C for 4 min, followed by 35 cycles of 1 min at 94 °C, 30 s at 59 °C, and 1 min at 72 °C, and a final extension step of 7 min at 72 °C. PCR products were visualized by electrophoresis in 1.5% (w/v) agarose gel run in 1X Tris–Borate-EDTA [TBE] buffer and stained with ethidium bromide. All amplicons obtained were purified and sequenced by Macrogen Inc. Korea. The sequences obtained were aligned and edited with the BioEdit Sequence Alignment program []. Sequences were then compared with those available of K. zonata in the GenBank database in order to corroborate the specificity of primer sets.

2.6. The Sensitivity of Kretzschmaria zonata-Specific PCR Primers

The sensitivity of PCR primers to detect K. zonata was tested using DNA templates from two K. zonata isolates (the krt-1 and krt-2 strains), at decimally diluted concentrations—20, 10, 0.1, 0.001, 1 × 10−5, 1 × 10−7 and 1 × 10−8 ng/µL. PCR reactions were performed as previously described with all primer sets of K. zonata-specific primers obtained.

2.7. Kretzschmaria zonata Detection on Symptomless Plants

Once the primer sets for the detection of K. zonata were selected, two experiments were carried out to determine the usefulness of these primers in the detection of the fungus in asymptomatic plants.
In the first test, three areas (A, B, and C) were delimited in the orchard property of Bienes Ecoforestales S. P. R. de R. L. company, located at the municipality of Tizimin, Yucatán state. Each area had been planted at a density of 800 trees per ha. For this study, a square of 10 rows with 10 teak trees in each was delimited, so that, in the center of each area, there was a plant with advanced symptoms of root and neck rot. In areas A, B and C, the trees were four, six and eight years old, respectively. All the trees in each area were sampled, taking tissue from the base of the stem, drilling it with a Pressler drill (Haglöf, Sweden) of 200 mm L × 5.15 mm D; and with the purpose of traversing the stem to obtain the sample, both from the periphery and from the vascular tissue (Figure 2a,b). The hole made in each stem was immediately sealed with Bordocop 12.5 WP (42.4% cuprocalcium sulfate) (Adama, Mexico). The samples were placed in 15 mL Falcon tubes, labeled and taken to the laboratory.
Figure 2. (a) Sampling tissue, in the field, from the base of the teak stem; (b) teak sample obtained both from the periphery and the vascular tissue; (c) three-month-old teak plants in greenhouse; (d) segment of teak tissue infected with krt-2 strain; (e,f) placement of the infected tissue segment in close contact with the base of the plant stem to be inoculated.
The second trial consisted of germinating and growing teak plants under controlled conditions in a greenhouse located at the municipality of Conkal, Yucatán state. Sixty healthy three-month-old plants which had very similar phenotypes in terms of height and stem thickness were selected, and fifty of these plants were inoculated with K. zonata using segments of teak tissue (8 cm L × 2.5 cm W × 0.5 cm H) previously infected in the laboratory with the krt-2 strain. These inoculated tissue segments were placed in close contact with the base of the stem of the plants to be inoculated (Figure 2c–f), and the remaining ten plants were left as a negative control. Every 30 days post-inoculation, samples were taken from the base of the stem of five different plants and from one control until the plants were nine months old, cutting with a scalpel a small segment of tissue (approximately 2.5 cm) from the area of the base of the stem. The samples were taken to the laboratory for diagnosis.
Total genomic DNA from all samples was extracted according to the Tapia–Tusell protocol []. PCR amplification to detect the possible presence of K. zonata was performed using the primer set KZ-AQ-3F/KZ-AQ-3R. PCR reactions were performed as previously described for this primer set, and amplified products were visualized by electrophoresis in 1.5% (w/v) agarose gel run in 1X Tris–Borate-EDTA [TBE] buffer and stained with ethidium bromide.

3. Results

3.1. Fungal Isolates

Eighty-three fungal isolates were obtained from a total of 128 samples collected at different localities of Mexico from teak plants that presented characteristic symptoms of root and neck rot. Of these, the nineteen most representative isolates, in terms of their morphological characteristics, were selected for this study. Their colonies showed white to dark gray mycelium that was black on the back of the Petri dish, with entire margins, and reached a diameter of 90 mm at 30 days of culture. Microscopic examination showed conidia aseptate, hyaline, ovoid to fusiform-ellipsoid in shape, measuring 5.5–8 µm × 2–3.5 µm; stromata of surface brown to dark brown, separated or fused, attached to substrate; perithecia mainly globose to obovoid, hyaline ascae (300 × 10 µm), with eight dark brown aseptate ascospores, slightly sharp (25–31 µm × 8.5–10.5 µm ends), and with a straight germinal line slightly less than ascospore length. All of the above observations were according to what was described for this species [,,]; and as these nineteen isolates were a representative collection of all the sampled localities, they were selected to carry out the entire study (Table 2).
Table 2. Strain name, NCBI accession number and locality of origin of Kretzschmaria zonata isolates used in this study.

3.2. Sequence Variation in ITS Region and Kretzschmaria zonata-Specific PCR Primer Design

The primers ITS1 and ITS4 were used to amplify the 5.8-ITS region of the rDNA gene. The size of PCR products for all putative K. zonata isolates was 615 bp.
The identity of the isolates obtained was confirmed as K. zonata and it was shown that they were a different species of the genus Kretzschmaria, through the phylogenetic tree obtained with the isolates of this study and several sequences of the ITS region of the other species of this genus, registered in the NCBI database (K. deusta, K. guyanensis, K. micropus, K. lucidula and K. clavus) as well as other fungal species (Figure 3).
Figure 3. Neighbor-joining tree derived from 5.8-ITS of rDNA, showing the phylogenetic position of all K. zonata strains from this work. GenBank accession numbers are before the name of each strain. Bootstrap values were determined from 1000 iterations. Fusarium solani isolate JG2 was used as an out-group to root the tree.
The alignment of the ITS sequences obtained in this study with other K. zonata accessions, subsequently registered in the NCBI database [], enabled finding the consensus sequence and then designing five primer sets (Table 3) to amplify a sequence within the ITS1/ITS2 region of K. zonata (Figure 4). Comparisons in silico between the five primer sequences with DNA database sequences (NCBI) showed 100% identity with the sequences of K. zonata.
Table 3. Specific PCR primer sets for Kretzschmaria zonata detection.
Figure 4. DNA in silico sequence comparison of the internal transcribed spacer (ITS) region between K. zonata from Mexico (MW015147.1, strain krt-1, and MW015744.1, strain krt-2) and from Brazil (MH481853.1, strain GFP131, and MH481854.1, strain GFP132) and K. deusta (EU162067.1, strain 910506.1). The location of the K. zonata species-specific primer set (KZ-AQ-3F and KZ-AQ-3R) sequences are delimited in boxes. In the nucleotide sequence by convention, the colors of the nucleotides are: green for adenine, red for thymine, blue for cytosine, and black for guanine.

3.3. Specificity and Sensitivity of the K. zonata Primer Sets

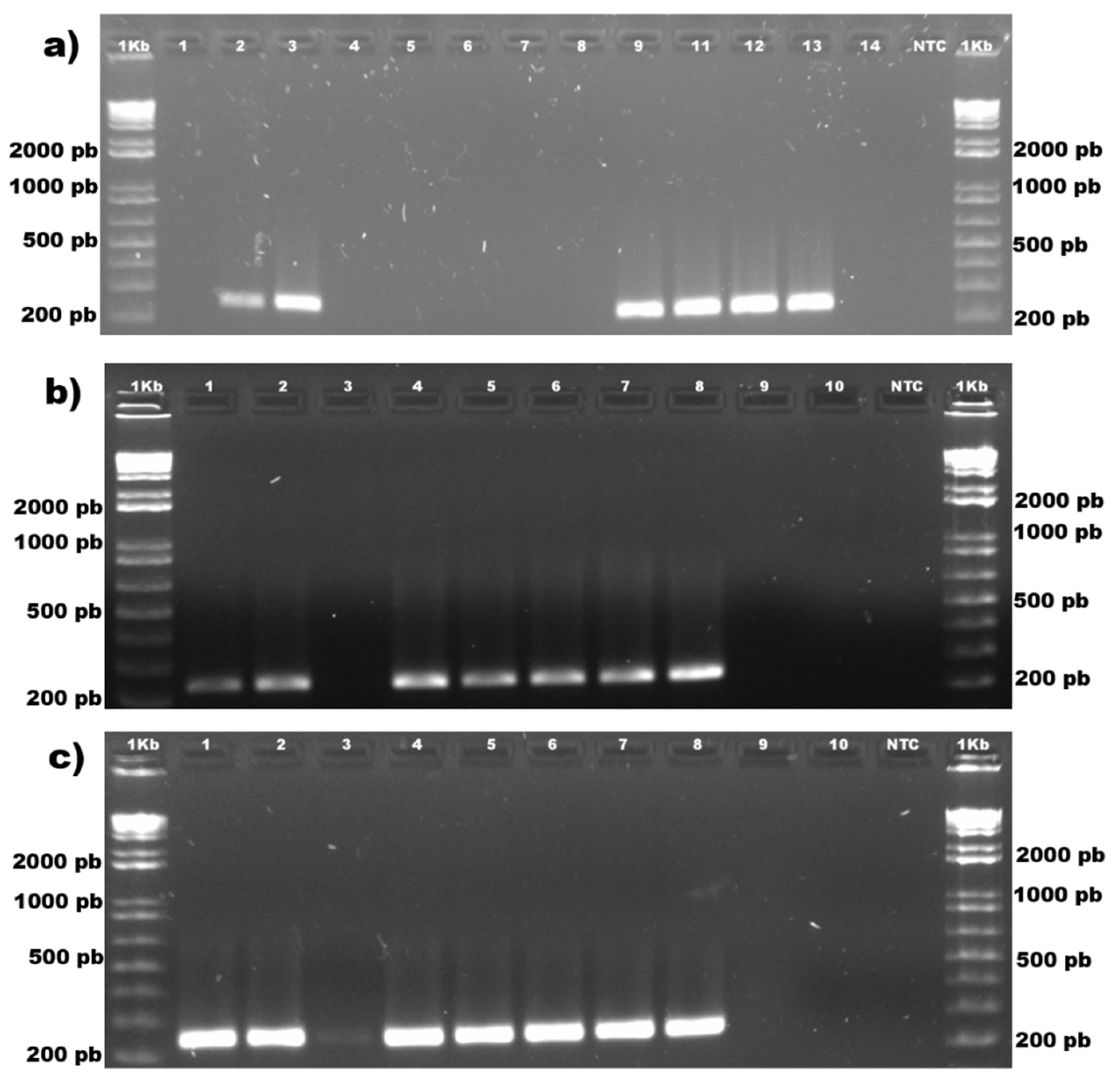
The specificity of five primer sets was demonstrated in vivo when only the nineteen K. zonata isolates and DNA obtained from infected tissue samples, taken in the field from teak lesions of this fungus, showed a positive band with the expected base pairs for each primer set, while the remaining isolates of other species (Fusarium equiseti, Fusarium solani, Phellinus sp., Colletotrichum gloeosporioides, Lasiodiplodia theobromae and Kretzschmaria deusta) had no PCR products with these primers (Figure 5).
Figure 5. Specificity of PCR with the primer set KZ-AQ-3F/KZ-AQ-3R. (a) The 1 Kb lanes are for the DNA marker (1 Kb DNA ladder); positive bands at 241 bp; lane 1: krt-2 isolate; lane 2: krt-8 isolate; lane 3: krt-9 isolate; lane 4: infected teak tissue take from the field; lane 5: infected teak tissue take from the field; lane 6: infected teak tissue take from the field; lane 7: K. zonata krt-1 strain, positive control; lane 8: Fusarium solani; lane 9: Phytophthora sp.; lane 10: Fusarium equiseti; lane 11: Phellinus sp.; lane 12: Colletotrichum gloeosporioides; lane 13: Lasiodiplodia theobromae; lane NTC: non-template control. (b) The 1 Kb lanes are for the DNA marker (1 Kb DNA ladder); positive bands at 241 bp; lane 1: krt-3 isolate; lane 2: krt-8 isolate; lane 3: krt-9 isolate; lane 4: infected teak tissue take from the field; lane 5: Kretzschmaria deusta ATCC ® 38992; lane 6: Fusarium equiseti; lane 7: Lasiodiplodia theobromae; lane 8: K. zonata krt-1 strain, positive control; lane 9: Phellinus sp.; lane NTC: non-template control.
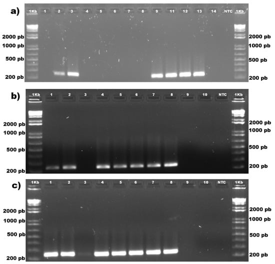
The sensitivity of four of the primer sets was 0.001 ng/μL of genomic DNA in a 25 µL PCR reaction; meanwhile, the primer set KZ-AQ-3F/KZ-AQ-3R had a higher sensitivity of 1 × 10−5 ng/µL in a 25 µL PCR reaction (Figure 6).
Figure 6. PCR sensitivity assay using the primer set KZ-AQ-3F/KZ-AQ-3R. The 1 Kb lanes are for the DNA marker (1 Kb DNA ladder); positive bands at 241 bp, lanes 1–7: amplified products using genomic DNA of the krt-1 strain at a concentration of: 20, 10, 0.1, 0.001, 1 × 10−5, 1 × 10−7 and 1 × 10−8 ng/µL, respectively; lane NTC: non-template control.

3.4. Kretzschmaria zonata Detection on Symptomless Plants

The results of the molecular diagnosis of K. zonata, obtained from the DNA amplifications of the samples taken in the field areas A, B and C, showed that 19, 21 and 17%, respectively, of the asymptomatic trees were infected. In each area, the highest percentage of infected trees (ranging from 65 to 82%) was found in the five rows closest to the infected tree, located in the center of study area (Figure 7a).
Figure 7. Kretzschmaria zonata detection using the primer set KZ-AQ-3F/KZ-AQ-3R. (a) DNA amplification products from asymptomatic teak tree samples from field area A; the 1 Kb lanes are for the DNA marker (1 Kb DNA ladder); positive bands at 241 bp; lanes 1–12: samples from symptomless tress; lane 13: K. zonata krt-1 strain, positive control; lane 14: Kretzschmaria deusta ATCC ® 38992; NTC: non-template control. (b) DNA amplification products from inoculated teak plants at six months old (three months post-inoculation); the 1 Kb lanes are for the DNA marker (1 Kb DNA ladder); positive bands at 241 bp; lane 1: K. zonata krt-1 strain, positive control; lanes 2–8: samples from inoculated plants; lane 9: DNA from healthy teak plant tissue; lane 10: Kretzschmaria deusta ATCC ® 38992. (c) DNA amplification products from inoculated teak plants at eight months old (five months post-inoculation); the 1 Kb lanes are for the DNA marker (1 Kb DNA ladder); positive bands at 241 bp; lane 1: K. zonata krt-1 strain, positive control; lanes 2–8: samples from inoculated plants; lane 9: DNA from healthy teak plant tissue; lane 10: Kretzschmaria deusta ATCC ® 38992.
Inoculation test of K. zonata in young teak plants showed that the inoculated plants remained asymptomatic for almost the entire duration of the test (six months). K. zonata began to be detected molecularly in the samples after the plants were six months old (three months post-inoculation) (Figure 7b); and at nine months old, all were positive for this pathogen. Some symptoms of the disease, such as wilting and reduced growth, began to be observed in the plants from 8 months of age (five months post-inoculation) (Figure 7c).

4. Discussion

The objective of this work was to design, at least, a set of species-specific primers of Kretzschmaria zonata that have the highest possible sensitivity and are specific in their detection of this pathogen, in order to use them for an early, fast and accurate diagnosis of root and neck rot of teak.
In the case of forest species, such as teak, the different types of control of pests and diseases have various drawbacks for their implementation; for example, for genetic control, there are not always resistant individuals against pathogens of economic importance; in cultural control, crop rotation is not applicable to perennial species; in biological and chemical control, most studies focused on the seedling and nursery phases [].
Currently, adequate control of the root and neck rot of teak cannot be carried out (in the initial stages), since there is no way to detect this disease, except by observing classic symptoms, and this occurs only at a very advanced stage, when the tree is many meters tall, so the only control option is to cut down and burn the affected tree []. In the absence of disease symptoms and signs, the early stages of infection are difficult to diagnose in plantations. In addition, most of the trees were healthy and infected, but symptomless, with a uniform canopy size; thus in the early stages of infection, they are mostly indistinguishable one from another [].
There is no early detection test for K. zonata. For this reason, it was imperative to develop a PCR test for the detection of this fungus.
These primer sets were developed based on ITS regions and the 5.8S rDNA gene. The complex ITS regions (non-coding and variable) and the 5.8S rRNA gene (coding and conserved) are useful for measuring close genealogical relationships []. In the case of K. zonata in the NCBI database, all the sequences registered (except one, from the alpha-actin gene region) correspond to the ITS region, so our study had to be based on this region to develop the primer sets.
Five primer sets were designed, and the specificity of this set was demonstrated when only DNA from samples of K. zonata were amplified in the PCR reactions. Samples from K. deusta (species from the same genera) and other fungal species, pathogens of teak, that are relatively close taxonomically to K. zonata are not amplified with any of these primer sets developed in this study.
Although we proved the specificity of the five sets of primers designed for K. zonata, the degree of sensitivity is very important, given that the higher the sensitivity of the primers, the lower the amount of the fungus needed for detection in the tissue, which allows better detection in the early stages of the infection. For this reason, the best primer set was KZ-AQ-3F/KZ-AQ-3R, because of its higher sensitivity at 1 × 10−5 ng/µL of K. zonata DNA in the PCR reaction.
To our knowledge, there are no previous reports of K. zonata-specific primers; therefore, the development of this primer set is very important, not only for early diagnosis and control of this disease, but also for further research in this field—for example, for resistant germplasm selection in forest genetic improvement programs.
The results of the detection of K. zonata carried out in asymptomatic plants in the field (areas A, B and C) showed that it is enough for there to be an infected tree in the plot for the fungus to spread between 17 to 21% to the surrounding trees. This may seem a lower percentage of incidence, possibly in another crop, but in the case of teak, which is a forest species, it is very significant and worrying, because each the infected tree, in turn, will be a focus of infection, and the disease will continue to spread silently, since the plants could remain asymptomatic for a long time (up to two years). When a diseased tree is removed from plantations, it is a common practice that producers carry out constant monitoring of the surrounding trees to eradicate those that present visible symptoms of the disease. The implementation of this management strategy implies extra investment in labor and resources, which increases production costs, although the cost–benefit ratio undoubtedly leans towards this monitoring, since in the short term, it contributes to the preservation of plantation health and avoids potentially greater losses [,]. If, as we propose with these specific primers, this monitoring is reduced to a simple molecular diagnosis, the savings in detection time and any other investment for would be considerable. It is also important to consider the costs of ultimately having to eliminate so many diseased trees if the pathogen is not detected in time and control measures are not taken. This is what happened in Malaysia, in teak plantations affected by Phellinus noxius, where the severity of the disease, although low, had the potential to destroy entire plantations if measures had not been taken to control or manage the outbreak [].
Regarding the inoculation test of K. zonata in young teak plants in the nursery, the results showed that plants can be infected without symptoms for several months, which is certainly a problem if diseased asymptomatic plants are used to establish a plantation. A timely diagnosis would allow detecting infected plants and avoid an investment loss of 70% faced by a teak plantation in the first five years [,]. This reinforces the importance of the molecular diagnosis that we develop. As already stated, the success of plantations in any afforestation program is dependent on the quality of seedlings; for this reason, much consideration should be given to the prevention and control of seedling diseases at the nursery stages [,].

5. Conclusions

From the five primer sets developed to specifically amplify Kretzschmaria zonata, the primer set KZ-AQ-3F/KZ-AQ-3R is the best, because of its higher sensitivity (1 × 10−5 ng/µL), and so the it is recommended by authors of this study for the diagnosis of the root and neck rot of teak, and for any other purpose that implies the identification of this fungus species.
Tests carried out on asymptomatic teak and artificially inoculated plants with this fungus demonstrated the usefulness of these primers for the accurate detection of K. zonata and taking early control measures both in the nursery and in plantations.

Author Contributions

Conceptualization, A.Q.-R., D.P.-B., and A.M.-Á.; funding acquisition and project administration, A.Q.-R., R.M.-M., J.C.-T., and A.N.-G.; investigation and performed experiments, A.M.-Á., A.Q.-R., A.N.-G., S.G.-C., Y.S.-R., M.E.O.-R., A.C.-V., T.V.-Y., and R.M.-M.; data analysis, A.M.-Á., T.V.-Y., and A.C.-V.; writing—original draft, A.M.-Á., and D.P.-B.; writing—review and editing, D.P.-B. All authors have read and agreed to the published version of the manuscript.

Funding

The authors are grateful for the support of “Evaluation of management strategies for root and collar disease caused by Kretzschmaria zonata in teak (Tectona grandis) in the tropics and subtropics of Mexico”. This research was funded by CONACYT-CONAFOR, grant number 2017-3-292434.

Institutional Review Board Statement

No applicable.

Data Availability Statement

The data generated from this study are those presented in the manuscript, there are no publicly archived data.

Acknowledgments

We acknowledge the Bienes Ecoforestales SPR de RL company for providing the facilities to access plant material, and for allowing different evaluations to be carried out on their teak plantations; the Architect Ruben Quezada Rodríguez, Manager of the Bienes Ecoforestales company, for providing facilities with infrastructure, tools, and technical and field personnel. In memorian of our colleague and friend Andrés Quijano-Ramayo, who was the architect of this project.

Conflicts of Interest

The authors declare no conflict of interest.

References

  1. Nidavani, R.B.; Mahalakshmi, A.M. Teak (Tectona grandis Linn.): A renowned timber plant with potential medicinal values. Int. J. Pharm. Pharm. Sci. 2014, 6, 48–54. [Google Scholar]
  2. Ghareeb, M.A.; Hussein, A.H.; Hassan, M.F.M.; Laila, A.R.; Mona, A.M.; Amal, M.S. Antioxidant and cytotoxic activities of Tectona grandis Linn leaves. Int. J. Phytopharm. 2014, 5, 143–157. [Google Scholar]
  3. Balám-Che, M.; Gómez-Guerrero, A.; Vargas-Hernández, J.J.; Aldrete, A.; Obrador-Olán, J.J. Fertilización inicial de plantaciones comerciales de teca (Tectona grandis Linn F.) en el sureste de México. Rev. Fitotec. Mex. 2015, 38, 205–212. [Google Scholar] [CrossRef]
  4. Kaosa-ard, A. Teak (Tectona grandis Linn. f) its natural distribution and related factors. Nat. His. Bull. Siam. Soc. 1981, 29, 55–74. [Google Scholar]
  5. Nayeem, N.; Karvekkar, M.D. Isolation of phenolic compounds from the methanolic extract of Tectona grandis. Res. J. Pharm. Biol. Chem. Sci. 2010, 1, 221–225. [Google Scholar]
  6. Boedijn, K.B. The Uredinales of Indonesia. Nova Hedwig. 1960, 1, 463–494. [Google Scholar]
  7. Doilom, M.; Taylor, J.E.; Bhat, D.J.; Chukeatirote, E.; Hyde, K.; To-Anun, C.; Jones, E. Checklist of fungi on teak. Mycosphere 2016, 7, 656–678. [Google Scholar] [CrossRef]
  8. Mohanan, C. Bacterial diseases of teak (Tectona grandis Lf) in forest nurseries and plantations in Kerala and their management. Indian J. For. 2009, 32, 131–136. [Google Scholar]
  9. Borges, R.C.; Macedo, M.A.; Cabral, C.S.; Rossato, M.; Fontes, M.G.; Santos, M.D.; Ferreira, M.A.; Fonseca, M.E.; Reis, A.; Boiteux, L.S. Vascular wilt of teak (Tectona grandis) caused by Fusarium oxysporum in Brazil. Phytopathol. Mediterr. 2018, 57, 115–121. [Google Scholar]
  10. Bakshi, B.K.; Singh, S.; Singh, U. A new root rot disease complex in Teak. Indian For. 1966, 92, 566–569. [Google Scholar]
  11. Momoh, Z.O. Status of Root Rot Disease of Teak (Tectona grandis Linn. f.) in Nigeria. Proc. Natl. Acad. Sci. USA 1976, 22, 43–48. [Google Scholar] [CrossRef]
  12. Mohd Farid, A.; Lee, S.S.; Maziah, Z.; Rosli, H.; Norwati, M. Basal Root Rot, a new Disease of Teak (Tectona grandis) in Malaysia caused by Phellinus noxius. Malays J. Microbiol. 2005, 1, 40–45. [Google Scholar] [CrossRef]
  13. Borges, R.C.F.; Santos, M.D.M.; Macedo, M.A.; Martins, I.; Nascimento, A.G.; Café-Filho, A.C.; Boiteux, L.S.; Fonseca, M.E.N.; Inácio, C.A.; Mello, S.C.M. A trunk canker disease of Tectona grandis induced by Lasiodiplodia theobromae in Brazil. New Dis. Rep. 2015, 31, 26. [Google Scholar] [CrossRef]
  14. Daly, A.M.; Shivas, R.G.; Pegg, G.S.; Mackie, A.E. First record of teak leaf rust (Olivea tectonae) in Australia. Australas. Plant Dis. Notes 2006, 1, 25–26. [Google Scholar] [CrossRef][Green Version]
  15. Kaneko, S.; Pham, T.Q.; Hiratsuka, Y. Notes on some rust fungi in Vietnam. Mycoscience 2007, 48, 263–265. [Google Scholar] [CrossRef]
  16. Perez, M.; Lopez, M.O.; Marti, O. Olivea tectonae, leaf rust of teak, occurs in Cuba. New Dis. Rep. 2008, 17, 32. [Google Scholar] [CrossRef]
  17. Cabral, P.G.C.; Capucho, A.S.; Pereira, O.L.; Maciel-Zambolim, E.; Freitas, R.L.; Zambolim, L. First report of teak leaf rust disease caused by Olivea tectonae in Brazil. Australas. Plant Dis. Notes 2010, 5, 113–114. [Google Scholar] [CrossRef]
  18. Coumans, J.V.F.; Harvey, J.; Backhouse, D.; Poljak, A.; Raftery, M.J.; Nehl, D.; Katz, M.E.; Pereg, L. Proteomic assessment of host-associated microevolution in the fungus Thielaviopsis basicola. Environ. Microbiol. 2011, 13, 576–588. [Google Scholar] [CrossRef]
  19. Borges, R.C.F.; Santos, M.D.M.; Macedo, M.A.; Martins, I.; Nascimento, A.G.; Boiteux, L.S.; Fonseca, M.E.N.; Mello, S.C.M. First report of a wilt disease of Tectona grandis caused by Thielaviopsis basicola in Brazil. New Dis. Rep. 2014, 30, 17. [Google Scholar] [CrossRef]
  20. Firmino, A.C.; Tozze, H.J., Jr.; Furtado, E.L. First report of Ceratocystis fimbriata causing wilt in Tectona grandis in Brazil. New Dis. Rep. 2012, 25, 24. [Google Scholar] [CrossRef]
  21. Murthy, N.; Lokesh, S. Impact of Cercospora apii on teak nursery and its management in vivo. Int. J. Agric. Sci. Res. 2013, 3, 47–54. [Google Scholar]
  22. West, J. A preliminary list of plant diseases in Nigeria. Kew Bull. 1938, 1, 17. [Google Scholar] [CrossRef]
  23. Cibrián Tovar, D.; Pérez Vera, O.A.; García Díaz, S.E.; Medel Ortiz, R.; Cibrián Tovar, J. Kretzschmaria zonata (Lév.) PMD Martin, causante de la pudrición del cuello y la raíz de teca. Rev. Mex. Cienc. For. 2014, 5, 110–118. [Google Scholar] [CrossRef]
  24. Alfenas, R.F.; Arenhart, M.L.; Alexandre, F.S.; Maitan-Alfenas, G.P. Root collar rot, a new lethal disease on Tectona grandis caused by Kretzschmaria zonata in Brazil. Plant Dis. 2021, 105, 221. [Google Scholar] [CrossRef] [PubMed]
  25. Situación Actual del Germoplasma Utilizado en los Programas de Plantaciones Forestales Comerciales en el Sureste de México. Available online: https://www.gob.mx/cms/uploads/attachment/file/246716/Situacion_actual_de_germoplasma_utilizado_en_los_proyectos_de_PFC_en_el_sureste.pdf (accessed on 18 September 2021).
  26. Tapia–Tussell, R.; Quijano-Ramayo, A.; Rojas-Herrera, R.; Larque-Saavedra, A.; Perez-Brito, D. A fast, simple, and reliable high-yielding method for DNA extraction from different plant species. Mol. Biotechnol. 2005, 31, 137–139. [Google Scholar] [CrossRef]
  27. Tapia-Tussell, R.; Lappe, P.; Ulloa, M.; Quijano-Ramayo, A.; Cáceres-Farfán, M.; Larqué-Saavedra, A.; Perez-Brito, D. A rapid and simple method for DNA extraction from yeasts and fungi isolated from Agave fourcroydes. Mol. Biotechnol. 2006, 33, 67–70. [Google Scholar] [CrossRef] [PubMed]
  28. White, T.J.; Bruns, T.; Lee, S.; Taylor, J. Amplification and direct sequencing of fungal ribosomal RNA genes for phylogenetics. In PCR Protocols: A Guide to Methods and Applications; Innis, M.A., Gelfand, D.H., Shinsky, J.J., White, T.J., Eds.; Academic Press Inc.: New York, NY, USA, 1990; pp. 315–322. [Google Scholar]
  29. Altschul, S.F.; Gish, W.; Miller, W.; Myers, E.W.; Lipman, D.J. Basic local alignment search tool. J. Mol. Biol. 1990, 215, 403–410. [Google Scholar] [CrossRef]
  30. Rozen, S.; Skaletsky, H.J. Primer3 on the WWW for general users and for biologists programmers. In Bioinformatics Methods Protocols: Methods in Molecular Biology; Krawetz, S., Misener, S., Eds.; Human Press: Totowa, NJ, USA, 2000; pp. 365–386. [Google Scholar]
  31. Herrera, G.M.R.; González, S.G.M. A revision of the genus Kretzschmaria (Ascomycota, Xylariaceae) in Cuba. Willdenowia 2014, 44, 57–64. [Google Scholar] [CrossRef]
  32. Abraham, A.; Philip, S.; Jacob, S.K.; Jayachandran, K. Novel bacteria endophytes from Hevea brasiliensis as biocontrol agent against Phytophthora leaf fall disease. BioControl 2013, 58, 675–684. [Google Scholar] [CrossRef]
  33. Martinez-Culebras, P.V.; Querol, A.; Suarez-Fernandez, M.B.; Garcia-Lopez, M.D.; Barrio, E. Phylogenetic relationships among Colletotrichum pathogens of strawberry and design of PCR primers for their identification. J. Phytopathol. 2003, 151, 135–143. [Google Scholar] [CrossRef]
  34. Cibrián Tovar, D. Manual Para la Identificación y Manejo de Plagas en Plantaciones Forestales Comerciales; Comisión Nacional Forestal: Ciudad de México, México, 2016; pp. 16–21. Available online: http://www.conafor.gob.mx/biblioteca/Manuales-Tecnicos/Manual_para_la_identificacion_y_manejo_de_plagas_en_plantaciones_forestales.pdf (accessed on 11 January 2022).
Publisher’s Note: MDPI stays neutral with regard to jurisdictional claims in published maps and institutional affiliations.

Article Metrics

Citations

Article Access Statistics

Multiple requests from the same IP address are counted as one view.