Deep Learning Based Cardiac MRI Segmentation: Do We Need Experts?
Abstract
:1. Introduction
2. Methods and Data
3. Experimental Setup
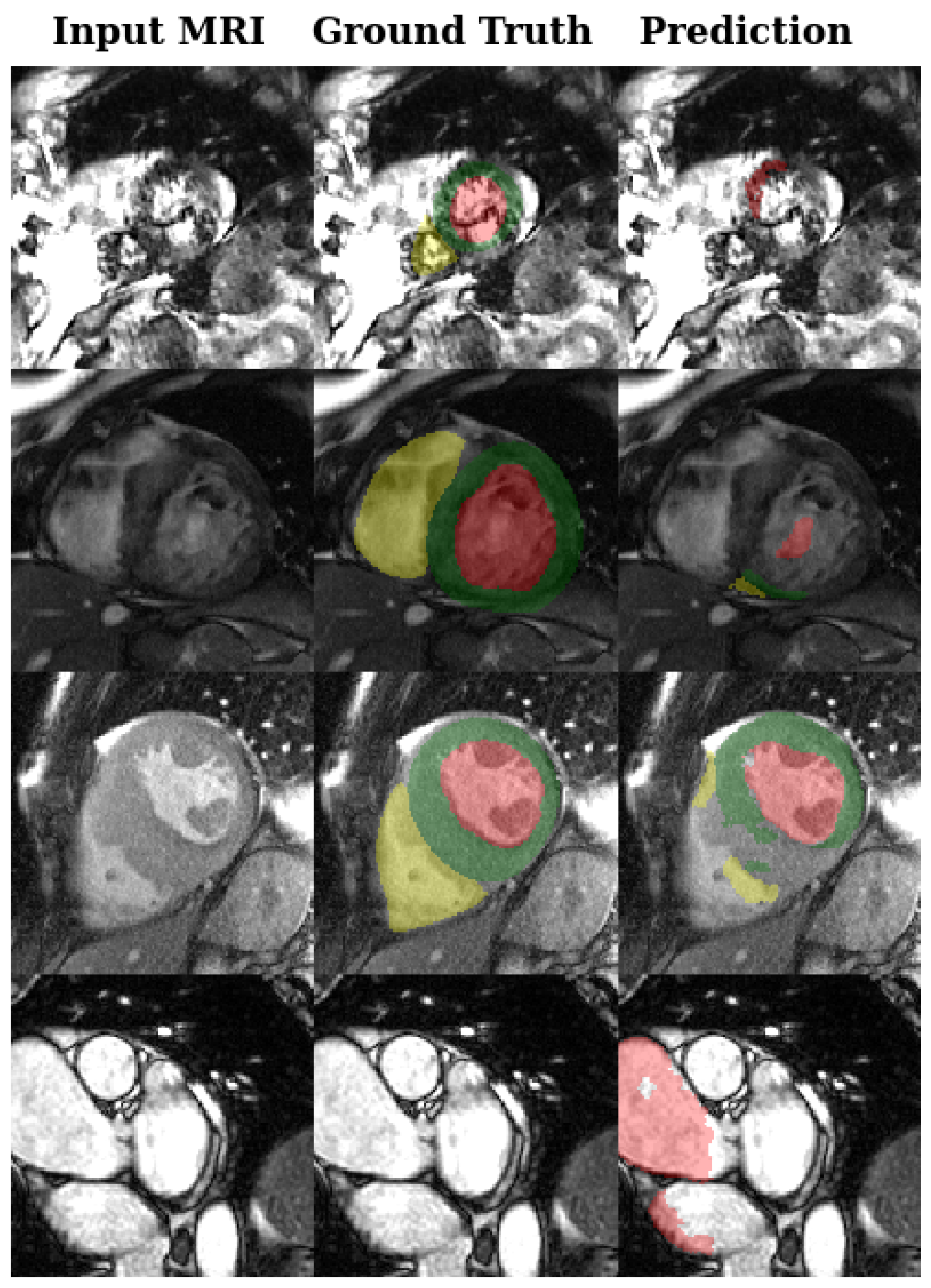
- Automated Cardiac Diagnosis Challenge (ACDC) data set [2]: This data set comprises 150 exams acquired at the University Hospital of Dijon (all from different patients). It is divided into 5 evenly distributed subgroups (4 pathological plus 1 healthy subject groups) and split into 100 exams for training, and 50 are held out set for testing. The exams were acquired using two MRI scanners with different magnetic strengths (1.5 T and 3 T). The pixel spacing varies from 0.7 mm to 1.9 mm with a slice spacing varying between 5 mm and 10 mm. An example of images with the different expert and non-expert annotations is shown in Figure 1.
- Multi-Centre, Multi-Vendor and Multi-Disease Cardiac Image Segmentation (M&M) data set [19]: This data set consists of 375 cases from 3 different countries (Spain, Germany and Canada) totaling 6 different centers with 4 different MRI manufacturers (Siemens, General Electric, Philips and Canon). The cohort is composed of patients with hypertrophic and dilated cardiomyopathies as well as healthy subjects. The cine MR images were annotated by experienced clinicians from the respective centers.
4. Results and Discussion
5. Conclusions
Author Contributions
Funding
Institutional Review Board Statement
Informed Consent Statement
Data Availability Statement
Acknowledgments
Conflicts of Interest
References
- Litjens, G.; Kooi, T.; Bejnordi, B.E.; Setio, A.A.A.; Ciompi, F.; Ghafoorian, M.; van der Laak, J.A.; van Ginneken, B.; Sánchez, C.I. A survey on deep learning in medical image analysis. Med. Image Anal. 2017, 42, 60–88. [Google Scholar] [CrossRef] [PubMed] [Green Version]
- Bernard, O.; Lalande, A.; Zotti, C.; Cervenansky, F.; Yang, X.; Heng, P.A.; Cetin, I.; Lekadir, K.; Camara, O.; Ballester, M.A.G.; et al. Deep learning techniques for automatic MRI cardiac multi-structures segmentation and diagnosis: Is the problem solved? IEEE Trans. Med. Imaging 2018, 37, 2514–2525. [Google Scholar] [CrossRef] [PubMed]
- Painchaud, N.; Skandarani, Y.; Judge, T.; Bernard, O.; Jodoin, A.P.M. Cardiac Segmentation with Strong Anatomical Guarantees. IEEE Trans. Med. Imaging 2020, 39, 3703–3713. [Google Scholar] [CrossRef] [PubMed]
- Venkataramani, R.; Ravishankar, H.; Anamandra, S. Towards Continuous Domain Adaptation for Medical Imaging. In Proceedings of the 2019 IEEE 16th International Symposium on Biomedical Imaging, Venice, Italy, 8–11 April 2019; pp. 443–446. [Google Scholar]
- Maier-Hein, L.; Eisenmann, M.; Reinke, A.; Onogur, S.; Stankovic, M.; Scholz, P.; Arbel, T.; Bogunović, H.; Bradley, A.; Carass, A.; et al. Why rankings of biomedical image analysis competitions should be interpreted with care. Nat. Commun. 2018, 9, 5217. [Google Scholar] [CrossRef] [PubMed] [Green Version]
- Dataset List—A List of the Biggest Machine Learning Datasets. 2021. Available online: https://www.datasetlist.com/ (accessed on 14 July 2021).
- Amazon Mechanical Turk. 2021. Available online: https://www.mturk.com/ (accessed on 14 July 2021).
- Karimi, D.; Dou, H.; Warfield, S.K.; Gholipour, A. Deep learning with noisy labels: Exploring techniques and remedies in medical image analysis. Med. Image Anal. 2020, 65, 101759. [Google Scholar] [CrossRef] [PubMed]
- Can, Y.B.; Chaitanya, K.; Mustafa, B.; Koch, L.M.; Konukoglu, E.; Baumgartner, C.F. Learning to Segment Medical Images with Scribble-Supervision Alone. In Deep Learning in Medical Image Analysis and Multimodal Learning for Clinical Decision Support; Springer International Publishing: Cham, Switzerland, 2018; pp. 236–244. [Google Scholar]
- Choudhary, A.; Tong, L.; Zhu, Y.; Wang, M. Advancing Medical Imaging Informatics by Deep Learning-Based Domain Adaptation. Yearb. Med. Inf. 2020, 29, 129–138. [Google Scholar] [CrossRef] [PubMed]
- Goodfellow, I.; Pouget-Abadie, J.; Mirza, M.; Xu, B.; Warde-Farley, D.; Ozair, S.; Courville, A.; Bengio, Y. Generative adversarial nets. Adv. Neural Inf. Process. Syst. 2014, 2, 2672–2680. [Google Scholar]
- Skandarani, Y.; Painchaud, N.; Jodoin, P.M.; Lalande, A. On the effectiveness of GAN generated cardiac MRIs for segmentation. arXiv 2020, arXiv:2005.09026. [Google Scholar]
- Girum, K.B.; Créhange, G.; Hussain, R.; Lalande, A. Fast interactive medical image segmentation with weakly supervised deep learning method. Int. J. Comput. Assist. Radiol. Surg. 2020, 15, 1437–1444. [Google Scholar] [CrossRef] [PubMed]
- Sun, C.; Shrivastava, A.; Singh, S.; Gupta, A. Revisiting Unreasonable Effectiveness of Data in Deep Learning Era. In Proceedings of the 2017 IEEE International Conference on Computer Vision (ICCV), Venice, Italy, 22–29 October 2017; pp. 843–852. [Google Scholar]
- Ronneberger, O.; Fischer, P.; Brox, T. U-net: Convolutional networks for biomedical image segmentation. In International Conference on Medical Image Computing and Computer-Assisted Intervention; Springer: Cham, Switzerland, 2015; pp. 234–241. [Google Scholar]
- Oktay, O.; Schlemper, J.; Folgoc, L.L.; Lee, M.J.; Heinrich, M.; Misawa, K.; Mori, K.; McDonagh, S.G.; Hammerla, N.; Kainz, B.; et al. Attention U-Net: Learning Where to Look for the Pancreas. arXiv 2018, arXiv:1804.03999. [Google Scholar]
- Paszke, A.; Chaurasia, A.; Kim, S.; Culurciello, E. Enet: A deep neural network architecture for real-time semantic segmentation. arXiv 2016, arXiv:1606.02147. [Google Scholar]
- Ghosh, A.; Kumar, H.; Sastry, P. Robust loss functions under label noise for deep neural networks. In Proceedings of the AAAI Conference on Artificial Intelligence, San Francisco, CA, USA, 4–10 February 2017; Volume 31. [Google Scholar]
- Campello, V.M.; Gkontra, P.; Izquierdo, C.; Martín-Isla, C.; Sojoudi, A.; Full, P.M.; Maier-Hein, K.; Zhang, Y.; He, Z.; Ma, J.; et al. Multi-Centre, Multi-Vendor and Multi-Disease Cardiac Segmentation: The M&Ms Challenge. IEEE Trans. Med. Imaging 2021. [Google Scholar] [CrossRef]
- Heim, E.; Roß, T.; Seitel, A.; März, K.; Stieltjes, B.; Eisenmann, M.; Lebert, J.; Metzger, J.; Sommer, G. Large-scale medical image annotation with crowd-powered algorithms. J. Med. Imaging 2018, 5, 1. [Google Scholar] [CrossRef] [PubMed]
- Ganz, M.; Kondermann, D.; Andrulis, J.; Knudsen, G.M.; Maier-Hein, L. Crowdsourcing for error detection in cortical surface delineations. Int. J. Comput. Assist. Radiol. Surg. 2016, 12, 161–166. [Google Scholar] [CrossRef] [PubMed]




| U-Net | |||||||
| Test Set | ACDC Trainset | Loss | Avg. DSC | Avg. HD | Avg. EF (%) | Avg EF Err. | Avg. EDV (mL) |
| Expert | CE+Dice | ||||||
| ACDC | Non-Expert 1 | ||||||
| Non-Expert 2 | |||||||
| Expert | CE+Dice | ||||||
| M&Ms | Non-Expert 1 | ||||||
| Non-Expert 2 | |||||||
| Attention U-Net | |||||||
| Test Set | ACDC Trainset | Loss | Avg. DSC | Avg. HD | Avg. EF (%) | Avg EF Err. | Avg. EDV |
| Expert | CE+Dice | ||||||
| ACDC | Non-Expert 1 | ||||||
| Non-Expert 2 | |||||||
| Expert | CE+Dice | ||||||
| M&Ms | Non-Expert 1 | ||||||
| Non-Expert 2 | |||||||
| E-Net | |||||||
| Test Set | ACDC Trainset | Loss | Avg. DSC | Avg. HD | Avg. EF (%) | Avg EF Err. | Avg. EDV |
| Expert | CE+Dice | ||||||
| ACDC | Non-Expert 1 | ||||||
| Non-Expert 2 | |||||||
| Expert | CE+Dice | ||||||
| M&Ms | Non-Expert 1 | ||||||
| Non-Expert 2 |
| U-Net | |||||
| Test Set | ACDC Trainset | Loss | Avg. DSC | Avg. HD | Avg. Mass Err. |
| Expert | CE+Dice | ||||
| ACDC | Non-Expert 1 | ||||
| Non-Expert 2 | |||||
| Expert | CE+Dice | ||||
| M&Ms | Non-Expert 1 | ||||
| Non-Expert 2 | |||||
| Attention U-Net | |||||
| Test Set | ACDC Trainset | Loss | Avg. DSC | Avg. HD | Avg. Mass Err. |
| Expert | CE+Dice | ||||
| ACDC | Non-Expert 1 | ||||
| Non-Expert 2 | |||||
| Expert | CE+Dice | ||||
| M&Ms | Non-Expert 1 | ||||
| Non-Expert 2 | |||||
| E-Net | |||||
| Test Set | ACDC Trainset | Loss | Avg. DSC | Avg. HD | Avg. Mass Err. |
| Expert | CE+Dice | ||||
| ACDC | Non-Expert 1 | ||||
| Non-Expert 2 | |||||
| Expert | CE+Dice | ||||
| M&Ms | Non-Expert 1 | ||||
| Non-Expert 2 |
| U-Net | |||||||
| Test Set | ACDC Train set | Loss | Avg. DSC | Avg. HD | Avg. EF (%) | Avg EF Err. | Avg. EDV (mL) |
| Expert | CE+Dice | ||||||
| ACDC | Non-Expert 1 | ||||||
| Non-Expert 2 | |||||||
| Expert | CE+Dice | ||||||
| M&Ms | Non-Expert 1 | ||||||
| Non-Expert 2 | |||||||
| Attention U-Net | |||||||
| Test Set | ACDC Train set | Loss | Avg. DSC | Avg. HD | Avg. EF (%) | Avg EF Err. | Avg. EDV (mL) |
| Expert | CE+Dice | ||||||
| ACDC | Non-Expert 1 | ||||||
| Non-Expert 2 | |||||||
| Expert | CE+Dice | ||||||
| M&Ms | Non-Expert 1 | ||||||
| Non-Expert 2 | |||||||
| E-Net | |||||||
| Test Set | ACDC Train set | Loss | Avg. DSC | Avg. HD | Avg. EF (%) | Avg EF Err. | Avg. EDV (mL) |
| Expert | CE+Dice | ||||||
| ACDC | Non-Expert 1 | ||||||
| Non-Expert 2 | |||||||
| Expert | CE+Dice | ||||||
| M&Ms | Non-Expert 1 | ||||||
| Non-Expert 2 |
Publisher’s Note: MDPI stays neutral with regard to jurisdictional claims in published maps and institutional affiliations. |
© 2021 by the authors. Licensee MDPI, Basel, Switzerland. This article is an open access article distributed under the terms and conditions of the Creative Commons Attribution (CC BY) license (https://creativecommons.org/licenses/by/4.0/).
Share and Cite
Skandarani, Y.; Jodoin, P.-M.; Lalande, A. Deep Learning Based Cardiac MRI Segmentation: Do We Need Experts? Algorithms 2021, 14, 212. https://doi.org/10.3390/a14070212
Skandarani Y, Jodoin P-M, Lalande A. Deep Learning Based Cardiac MRI Segmentation: Do We Need Experts? Algorithms. 2021; 14(7):212. https://doi.org/10.3390/a14070212
Chicago/Turabian StyleSkandarani, Youssef, Pierre-Marc Jodoin, and Alain Lalande. 2021. "Deep Learning Based Cardiac MRI Segmentation: Do We Need Experts?" Algorithms 14, no. 7: 212. https://doi.org/10.3390/a14070212
APA StyleSkandarani, Y., Jodoin, P.-M., & Lalande, A. (2021). Deep Learning Based Cardiac MRI Segmentation: Do We Need Experts? Algorithms, 14(7), 212. https://doi.org/10.3390/a14070212

