A Rigid Motion Artifact Reduction Method for CT Based on Blind Deconvolution
Abstract
1. Introduction
- Richardson–Lucy (RL) deconvolution with SATV regularization is brought into the ordered subset expectation maximization (OSEM) iteration.
- With the proposed method, image reconstruction and motion artifact reduction are completed alternately in the iteration process.
- The simulation results are given to verify that the proposed method can be applied to any scanning mode.
2. Methods
2.1. Ordered Subset Expectation Maximization (OSEM) Reconstruction
2.2. Iterative Blind Deconvolution
2.2.1. Image Degradation Model
2.2.2. RL Deconvolution with SATV Regularization
2.3. Motion Artifact Reduction in Reconstruction
3. Results
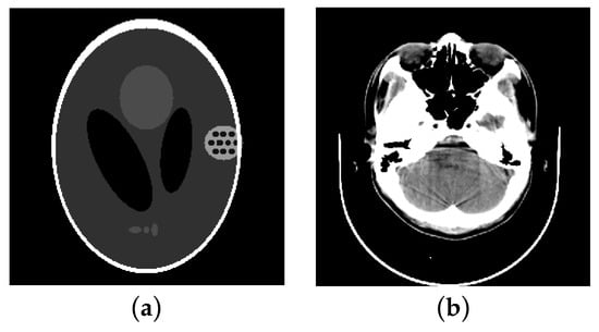
3.1. Numerical Phantom Experiments
3.2. Head Phantom Experiments
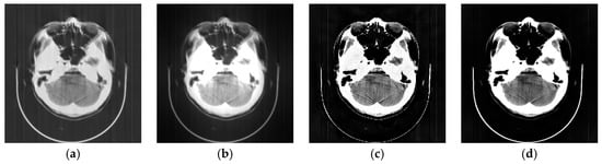
3.3. Patient Scan Experiments
4. Discussion
5. Conclusions
Author Contributions
Funding
Acknowledgments
Conflicts of Interest
Abbreviations
| BD | Blind Deconvolution |
| BD-OSEM | the combination of Blind Deconvolution and Ordered Subset Expectation Maximization reconstruction |
| CC | Pearson Correlation Coefficient |
| CT | Computed Tomography |
| CBCT | Cone Beam CT |
| HLCC | Helgason-Ludwig Consistency Condition |
| MSSIM | Mean Structural Similarity |
| OSEM | Ordered Subsets Expectation Maximization |
| OSEM-BD | OSEM reconstruction algorithm with motion correction by BD-iteration |
| PSF | Point Spread Function |
| RL | Richardson–Lucy |
| RL-OSEM | the combination of Richardson–Lucy deconvolution and OSEM reconstruction |
| RMSE | Root-Mean-Square Error |
| RLTV | RL Algorithm with Total Variation Regularization |
| RLSATV | RL algorithm with SATV regularization |
| ROI | Region of Interest |
| SATV | Spatially Adaptive Total Variation |
References
- Kim, J.H.; Sun, T.; Alcheikh, A.R.; Kuncic, Z.; Nuyts, J.; Fulton, R. Correction for human head motion in helical X-ray CT. Phys. Med. Biol. 2016, 61, 1416–1438. [Google Scholar] [CrossRef] [PubMed]
- Liu, J.; Ma, J.; Zhang, Y.; Chen, Y.; Yang, J.; Shu, H.; Luo, L.; Goatrieux, G.; Yang, W.; Feng, Q.; et al. Discriminative feature representation to improve projection data inconsistency for low dose CT imaging. IEEE Trans. Med. Imaging 2018, 36, 2499–2509. [Google Scholar] [CrossRef] [PubMed]
- Chen, Y.; Zhang, Y.; Yang, J.; Shu, H.; Luo, L.; Coatrieux, J.L.; Feng, Q. Structure-adaptive fuzzy estimation for random-valued impulse noise suppression. IEEE Trans. Circuits Syst. Video Technol. 2018, 28, 414–427. [Google Scholar] [CrossRef]
- Fahmi, F.; Henk, A.M.; Geert, J.S.; Ludo, F.M.B.; Natasja, N.Y.J.; Charles, B.L.M.; Ed, B. Automatic detection of CT perfusion datasets unsuitable for analysis due to head movement of acute ischemic stroke patients. J. Healthc. Eng. 2014, 5, 67–78. [Google Scholar] [CrossRef] [PubMed]
- Li, L.; Chen, Z.; Jin, X.; Yu, H.; Wang, G. Experimental measurement of human head motion for high-resolution computed tomography system design. Opt. Eng. 2010, 49, 063201. [Google Scholar] [CrossRef]
- Chandler, A.; Wei, W.; Herron, D.H. Semiautomated motion correction of tumors in lung CT-perfusion studies. Acad. Radiol. 2011, 18, 286–293. [Google Scholar] [CrossRef]
- Kim, J.H.; Nuyts, J.; Kyme, A.; Kuncic, Z.; Fulton, R. A rigid motion correction method for helical computed tomography (CT). Phys. Med. Biol. 2015, 60, 2047–2073. [Google Scholar] [CrossRef]
- Kamomae, T.; Monzen, H.; Nakayama, S.; Mizote, R.; Oonishi, Y.; Kaneshige, S. Accuracy of image guidance using free-breathing cone-beam computed tomography for stereotactic lung radiotherapy. PLoS ONE 2015, 10, e0126152. [Google Scholar] [CrossRef]
- Yu, H.; Wang, G. Data consistency based rigid motion artifact reduction in fan-beam CT. IEEE Trans. Med. Imaging 2007, 26, 249–260. [Google Scholar] [CrossRef]
- Zhang, Y.; Zhang, L.; Sun, Y. Rigid motion artifact reduction in CT using frequency domain analysis. J. X-ray Sci. Technol. 2017, 25, 721–736. [Google Scholar] [CrossRef]
- Zhang, Y.; Zhang, L.; Sun, Y. Rigid motion artifact reduction in CT using extended difference function. J. X-ray Sci. Technol. 2019, 27, 273–285. [Google Scholar] [CrossRef]
- Berger, M.; Müller, K.; Aichert, A.; Unberath, M.; Thies, J.; Choi, J.; Fahrig, R.; Maier, A. Marker-free motion correction in weight-bearing cone-beam CT of the knee joint. Med. Phys. 2016, 43, 1235–1248. [Google Scholar] [CrossRef]
- Eldib, M.E.; Hegazy, M.A.A.; Cho, M.H.; Cho, M.H.; Lee, S.Y. A motion artifact reduction method for dental CT based on subpixel-resolution image registration of projection data. Comput. Biol. Med. 2018, 103, 232–243. [Google Scholar] [CrossRef]
- Sun, T.; Kim, J.H.; Fulton, R.; Nuyts, J. An iterative projection-based motion estimation and compensation scheme for head X-ray CT. Med. Phys. 2016, 43, 5705–5716. [Google Scholar] [CrossRef]
- Jang, S.; Kim, S.; Kim, M.; Ra, J.B. Head motion correction based on filtered backprojection for X-ray CT imaging. Med. Phys. 2018, 45, 589–604. [Google Scholar] [CrossRef]
- Chen, M.; He, P.; Feng, P.; Liu, B.; Yang, Q.; Wei, B.; Wang, G. General rigid motion correction for computed tomography imaging based on locally linear embedding. Opt. Eng. 2018, 57, 023102. [Google Scholar] [CrossRef]
- Jiang, M.; Wang, G.; Skinner, M.W.; Rubinstein, J.T.; Vannier, M.W. Blind deblurring of spiral CT images. IEEE Trans. Med. Imaging 2003, 22, 837–845. [Google Scholar] [CrossRef]
- Ayers, G.R.; Dainty, J.C. Iterative blind deconvolution method and its applications. Opt. Lett. 1988, 13, 547–549. [Google Scholar] [CrossRef]
- Oppenheim, A.; Schafer, R.; Stockham, T. Nonlinear filtering of multiplied and convolved signals. IEEE Trans. Audio Electroacoust. 1968, 16, 437–466. [Google Scholar] [CrossRef]
- Stockham, T.G.; Cannon, T.M.; Ingebretsen, R.B. Blind deconvolution through digital signal processing. Proc. IEEE 1975, 63, 678–692. [Google Scholar] [CrossRef]
- Prasath, V.B.S.; Urbano, J.M.; Vorotnikov, D. Analysis of adaptive forward-backward diffusion flows with applications in image processing. Inverse Probl. 2015, 31, 105008. [Google Scholar] [CrossRef]
- Vaissier, P.E.B.; Goorden, M.C.; Taylor, A.B.; Beekman, F.J. Fast count-regulated OSEM reconstruction with adaptive resolution recovery. IEEE Trans. Med. Imaging 2013, 32, 2250–2261. [Google Scholar] [CrossRef]
- Zeng, Y.; Lan, J.; Ran, B.; Wang, Q.; Gao, J. Restoration of motion-blurred image based on border deformation detection: A traffic sign restoration model. PLoS ONE 2015, 10, e0120885. [Google Scholar] [CrossRef]
- Rudin, L.I.; Osher, S.; Fatemi, E. Nonlinear total variation based noise removal algorithms. Physica D 1992, 60, 259–268. [Google Scholar] [CrossRef]
- Yuan, Q.; Zhang, L.; Shen, H. Multiframe super-resolution employing a spatially weighted total variation model. IEEE Trans. Circuits Syst. Video Technol. 2012, 22, 379–392. [Google Scholar] [CrossRef]
- Gong, G.; Zhang, H.; Yao, M. Construction model for total variation regularization parameter. Opt. Express 2014, 22, 10500–10508. [Google Scholar] [CrossRef]
- Yan, L.; Fang, H.; Zhong, S. Blind image deconvolution with spatially adaptive total variation regularization. Opt. Lett. 2012, 37, 2778–2780. [Google Scholar] [CrossRef]
- Li, G.; Huang, X.; Li, S.G. Adaptive bregmanized total variation model for mixed noise removal. AEU-Int. J. Electron. C 2017, 80, 29–35. [Google Scholar] [CrossRef]
- Dey, N.; Feraud, L.B.; Zimmer, C.; Roux, P.; Kam, Z.; Marin, J.C.O.; Zerubia, J. Richardson–Lucy algorithm with total variation regularization for 3D confocal microscope deconvolution. Micros. Res. Tech. 2006, 69, 260–266. [Google Scholar] [CrossRef]
- Ouadah, S.; Stayman, J.W.; Gang, G.J.; Ehtiati, T.; Siewerdsen, J.H. Self-calibration of cone-beam CT geometry using 3d–2d image registration. Phys. Med. Biol. 2016, 61, 2613–2632. [Google Scholar] [CrossRef]








| Method | Metric | RMSE (HU) 1 | CC 2 | MSSIM 3 |
|---|---|---|---|---|
| OSEM | Mean | 164.3943 | 0.6474 | 0.3206 |
| Standard deviation | 30.2477 | 0.0614 | 0.0723 | |
| OSEM-BD | Mean | 161.4823 | 0.7166 | 0.6678 |
| Standard deviation | 26.2257 | 0.0603 | 0.0714 | |
| RL-OSEM | Mean | 95.2396 | 0.8213 | 0.7722 |
| Standard deviation | 10.1925 | 0.0592 | 0.0579 | |
| BD-OSEM | Mean | 72.2313 | 0.9378 | 0.9188 |
| Standard deviation | 7.6535 | 0.0315 | 0.0379 |
| Method | Metric | RMSE (HU) | CC | MSSIM |
|---|---|---|---|---|
| OSEM | Mean | 582.7321 | 0.3867 | 0.2184 |
| Standard deviation | 97.3525 | 0.0911 | 0.1068 | |
| OSEM-BD | Mean | 512.6562 | 0.4080 | 0.2517 |
| Standard deviation | 90.5623 | 0.0893 | 0.1049 | |
| RL-OSEM | Mean | 309.0913 | 0.5058 | 0.3522 |
| Standard deviation | 70.1526 | 0.0682 | 0.0778 | |
| BD-OSEM | Mean | 198.3918 | 0.5844 | 0.4248 |
| Standard deviation | 50.2433 | 0.0515 | 0.0618 |
| Method | Metric | RMSE (HU) | CC | MSSIM |
|---|---|---|---|---|
| OSEM | Mean | 103.4223 | 0.7632 | 0.6963 |
| Standard deviation | 27.5123 | 0.0601 | 0.0688 | |
| OSEM-BD | Mean | 98.6049 | 0.7867 | 0.7069 |
| Standard deviation | 25.4556 | 0.0598 | 0.0678 | |
| RL-OSEM | Mean | 52.7084 | 0.8177 | 0.7559 |
| Standard deviation | 11.0234 | 0.0594 | 0.0623 | |
| BD-OSEM | Mean | 38.2367 | 0.9385 | 0.9068 |
| Standard deviation | 8.7886 | 0.0312 | 0.0388 |
| Method | Metric | RMSE (HU) | CC | MSSIM |
|---|---|---|---|---|
| Uncorrected | Mean | 231.4553 | 0.5182 | 0.3996 |
| Standard deviation | 80.6443 | 0.0848 | 0.1043 | |
| OSEM-BD | Mean | 223.8676 | 0.5285 | 0.4069 |
| Standard deviation | 77.5233 | 0.0838 | 0.1028 | |
| RL-OSEM | Mean | 126.2337 | 0.8236 | 0.7440 |
| Standard deviation | 35.2356 | 0.0590 | 0.0635 | |
| BD-OSEM | Mean | 88.4645 | 0.9497 | 0.8976 |
| Standard deviation | 22.6645 | 0.0301 | 0.0394 |
© 2019 by the authors. Licensee MDPI, Basel, Switzerland. This article is an open access article distributed under the terms and conditions of the Creative Commons Attribution (CC BY) license (http://creativecommons.org/licenses/by/4.0/).
Share and Cite
Zhang, Y.; Zhang, L. A Rigid Motion Artifact Reduction Method for CT Based on Blind Deconvolution. Algorithms 2019, 12, 155. https://doi.org/10.3390/a12080155
Zhang Y, Zhang L. A Rigid Motion Artifact Reduction Method for CT Based on Blind Deconvolution. Algorithms. 2019; 12(8):155. https://doi.org/10.3390/a12080155
Chicago/Turabian StyleZhang, Yuan, and Liyi Zhang. 2019. "A Rigid Motion Artifact Reduction Method for CT Based on Blind Deconvolution" Algorithms 12, no. 8: 155. https://doi.org/10.3390/a12080155
APA StyleZhang, Y., & Zhang, L. (2019). A Rigid Motion Artifact Reduction Method for CT Based on Blind Deconvolution. Algorithms, 12(8), 155. https://doi.org/10.3390/a12080155
