Biomimetic Ceramic Composite: Characterization, Cell Response, and In Vivo Biocompatibility
Abstract
:1. Introduction
2. Materials and Methods
2.1. As-Prepared Coral Granules
2.2. Coral-Derived Biphasic CaPs
2.3. Surface and Microstructure Analysis
2.4. In Vitro Cytotoxicity Evaluation
2.5. A Pilot Study of the Rabbit Model for In Vivo Biocompatibility Assessment
2.6. Statistical Analysis
3. Results
3.1. Characterizations of the Propagated Coral Granules
3.2. Effects of Heat-Treated Duration on the Formation of Biphasic CaPs
3.3. In Vitro Cytotoxicity Response
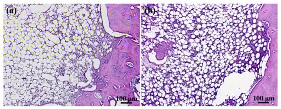
3.4. Bone Tissue Reaction Features
4. Discussion
5. Conclusions
Author Contributions
Funding
Institutional Review Board Statement
Informed Consent Statement
Data Availability Statement
Conflicts of Interest
References
- Shi, Y.; Pan, T.; Zhu, W.; Yan, C.; Xia, Z. Artificial bone scaffolds of coral imitation prepared by selective laser sintering. J. Mech. Behav. Biomed. Mater. 2020, 104, 103664. [Google Scholar] [CrossRef] [PubMed]
 - Matuda, Y.; Okamura, T.; Tabata, H.; Yasui, K.; Tatsumura, M.; Kobayashi, N.; Nishikawa, T.; Hashimoto, Y. Periodontal Regeneration Using Cultured Coral Scaffolds in Class II Furcation Defects in Dogs. J. Hard Tissue Biol. 2019, 28, 329–334. [Google Scholar] [CrossRef]
 - Takeuchi, A.; Tsuge, T.; Kikuchi, M. Preparation of porous β-tricalcium phosphate using starfish-derived calcium carbonate as a precursor. Ceram. Int. 2016, 42, 15376–15382. [Google Scholar] [CrossRef]
 - Chou, J.; Hao, J.; Ben-Nissan, B.; Milthorpe, B.; Otsuka, M. Coral exoskeletons as a precursor material for the development of a calcium phosphate drug delivery system for bone tissue engineering. Biol. Pharm. Bull. 2013, 36, 1662–1665. [Google Scholar] [CrossRef] [Green Version]
 - He, F.; Zhang, J.; Yang, F.; Zhu, J.; Tian, X.; Chen, X. In vitro degradation and cell response of calcium carbonate composite ceramic in comparison with other synthetic bone substitute materials. Mater. Sci. Eng. C 2015, 50, 257–265. [Google Scholar] [CrossRef]
 - Neto, A.S.; Ferreira, J.M.F. Synthetic and Marine-Derived Porous Scaffolds for Bone Tissue Engineering. Materials 2018, 11, 1702. [Google Scholar] [CrossRef] [Green Version]
 - Cui, W.; Song, Q.; Su, H.; Yang, Z.; Yang, R.; Li, N.; Zhang, X. Synergistic effects of Mg-substitution and particle size of chicken eggshells on hydrothermal synthesis of biphasic calcium phosphate nanocrystals. J. Mater. Sci. Technol. 2020, 36, 27–36. [Google Scholar] [CrossRef]
 - Eliaz, N.; Metoki, N. Calcium phosphate bioceramics: A review of their history, structure, properties, coating technologies and biomedical applications. Materials 2017, 10, 334. [Google Scholar] [CrossRef] [Green Version]
 - Bohner, M.; Santoni, B.L.G.; Döbelin, N. β-tricalcium phosphate for bone substitution: Synthesis and properties. Acta Biomater. 2020, 113, 23–41. [Google Scholar] [CrossRef]
 - Roy, D.M.; Linnehan, S.K. Hydroxyapatite formed from coral skeletal carbonate by hydrothermal exchange. Nature 1974, 247, 220–222. [Google Scholar] [CrossRef]
 - Jinawath, S.; Polchai, D.; Yoshimura, M. Low-temperature, hydrothermal transformation of aragonite to hydroxyapatite. Mater. Sci. Eng. C 2002, 22, 35–39. [Google Scholar] [CrossRef]
 - Rosa Cegla, R.-N.; Macha, I.J.; Ben-Nissan, B.; Grossin, D.; Heness, G.; Chung, R.-J. Comparative study of conversion of coral with ammonium dihydrogen phosphate and orthophosphoric acid to produce calcium phosphates. J. Aust. Ceram. Soc. 2014, 50, 154–161. [Google Scholar]
 - Nandi, S.K.; Kundu, B.; Mukherjee, J.; Mahato, A.; Datta, S.; Balla, V.K. Converted marine coral hydroxyapatite implants with growth factors: In vivo bone regeneration. Mater. Sci. Eng. C 2015, 49, 816–823. [Google Scholar] [CrossRef]
 - Karacan, I.; Ben-Nissan, B.; Sinutok, S. Marine-Based Calcium Phosphates from Hard Coral and Calcified Algae for Biomedical Applications. In Marine-Derived Biomaterials for Tissue Engineering Applications; Springer: Berlin/Heidelberg, Germany, 2019; pp. 137–153. [Google Scholar]
 - Vallet-Regi, M.; González-Calbet, J.M. Calcium phosphates as substitution of bone tissues. Prog. Solid State Chem. 2004, 32, 1–31. [Google Scholar] [CrossRef]
 - Webler, G.; Zapata, M.; Agra, L.; Barreto, E.; Silva, A.; Hickmann, J.; Fonseca, E. Characterization and evaluation of cytotoxicity of biphasic calcium phosphate synthesized by a solid state reaction route. Curr. Appl. Phys. 2014, 14, 876–880. [Google Scholar] [CrossRef]
 - Mirjalili, F.; Bagheshahi, S.; Aghaee, M. Synthesis and characterization of β-TCP/HA nanocomposite: Morphology and microstructure. J. Thermoplast. Compos. Mater. 2020, 33, 1292–1313. [Google Scholar] [CrossRef]
 - Roopavath, U.K.; Sah, M.K.; Panigrahi, B.B.; Rath, S.N. Mechanochemically synthesized phase stable and biocompatible β-tricalcium phosphate from avian eggshell for the development of tissue ingrowth system. Ceram. Int. 2019, 45, 12910–12919. [Google Scholar] [CrossRef]
 - Zhang, L.; Zhang, C.; Zhang, R.; Jiang, D.; Zhu, Q.; Wang, S. Extraction and characterization of HA/β-TCP biphasic calcium phosphate from marine fish. Mater. Lett. 2019, 236, 680–682. [Google Scholar] [CrossRef]
 - Ho, W.-F.; Hsu, H.-C.; Hsu, S.-K.; Hung, C.-W.; Wu, S.-C. Calcium phosphate bioceramics synthesized from eggshell powders through a solid state reaction. Ceram. Int. 2013, 39, 6467–6473. [Google Scholar] [CrossRef]
 - Laonapakul, T.; Sutthi, R.; Chaikool, P.; Talangkun, S.; Boonma, A.; Chindaprasirt, P. Calcium phosphate powders synthesized from CaCO3 and CaO of natural origin using mechanical activation in different media combined with solid-state interaction. Mater. Sci. Eng. C 2021, 118, 111333. [Google Scholar] [CrossRef]
 - Guo, X.; Yan, H.; Zhao, S.; Li, Z.; Li, Y.; Liang, X. Effect of calcining temperature on particle size of hydroxyapatite synthesized by solid-state reaction at room temperature. Adv. Powder Technol. 2013, 24, 1034–1038. [Google Scholar] [CrossRef]
 - Hou, P.-J.; Lee, C.-Y.; Ou, K.-L.; Lan, W.-C.; Chuo, Y.-C.; Lin, H.-Y.; Chao, H.-W.; Huang, B.-H.; Saito, T.; Tsai, H.-Y. Calcium release from different toothpastes after the incorporation of tricalcium phosphate and amorphous calcium phosphate. Appl. Sci. 2021, 11, 1848. [Google Scholar] [CrossRef]
 - Choi, D.; Kumta, P.N. Mechano-chemical synthesis and characterization of nanostructured β-TCP powder. Mater. Sci. Eng. C 2007, 27, 377–381. [Google Scholar] [CrossRef]
 - Rhee, S.-H. Synthesis of hydroxyapatite via mechanochemical treatment. Biomaterials 2002, 23, 1147–1152. [Google Scholar] [CrossRef]
 - Barton, J.A.; Willis, B.L.; Hutson, K.S. Coral propagation: A review of techniques for ornamental trade and reef restoration. Rev. Aquac. 2017, 9, 238–256. [Google Scholar] [CrossRef]
 - Liu, S.; Chen, J.; Chen, T.; Zeng, Y. Fabrication of trabecular-like beta-tricalcium phosphate biomimetic scaffolds for bone tissue engineering. Ceram. Int. 2021, 47, 13187–13198. [Google Scholar] [CrossRef]
 - Ferreira, J.; Kannan, S. Phase transition mechanisms involved in the formation of structurally stable β-Ca3 (PO4) 2-α-Al2O3 composites. J. Eur. Ceram. Soc. 2017, 37, 2953–2963. [Google Scholar]
 - Sinusaite, L.; Grigoraviciute-Puroniene, I.; Popov, A.; Ishikawa, K.; Kareiva, A.; Zarkov, A. Controllable synthesis of tricalcium phosphate (TCP) polymorphs by wet precipitation: Effect of washing procedure. Ceram. Int. 2019, 45, 12423–12428. [Google Scholar] [CrossRef]
 - Aguiar, H.; Chiussi, S.; López-Álvarez, M.; González, P.; Serra, J. Structural characterization of bioceramics and mineralized tissues based on Raman and XRD techniques. Ceram. Int. 2018, 44, 495–504. [Google Scholar] [CrossRef]
 - Narayan, R. Encyclopedia of Biomedical Engineering; Elsevier: Amsterdam, The Netherlands, 2018. [Google Scholar]
 - Wallin, R.F.; Arscott, E. A practical guide to ISO 10993-5: Cytotoxicity. Med. Device Diagn. Ind. 1998, 20, 96–98. [Google Scholar]
 









| Phase | HT-0.1 | HT-3 | HT-7 | 
|---|---|---|---|
| HAp | 39.8 | 61.0 | 62.6 | 
| β-TCP | 60.2 | 39.0 | 37.4 | 
| OD570 nm | Viability (%) | Cell Lysis (%) | |
|---|---|---|---|
| Blank | 0.986 ± 0.002 | 100 | 0 | 
| NC | 0.984 ± 0.003 | 100 | 0 | 
| PC | 0.098 ± 0.001 | 10 | 90 | 
| HT-3 | 0.929 ± 0.035 | 94 | 6 | 
| 50% HT-3 | 0.963 ± 0.028 | 98 | 2 | 
| HT-3 (n = 10) | Autogenous Bone Group (n = 10) | p Value | |
|---|---|---|---|
| Polymorphonuclea | 1.2 ± 1.8 | 0.8 ± 1.1 | 0.68 | 
| Lymphocytes | 4.4 ± 0.9 | 3.6 ± 0.9 | 0.20 | 
| Plasma cells | 0 | 0 | |
| Macrophages | 0 | 0 | |
| Giant cells | 0 | 0 | |
| Necrosis | 0 | 0 | |
| Neovascularization | 0 | 0 | |
| Fibrosis | 0.6 ± 0.5 | 0.6 ± 0.5 | >0.05 | 
| Fatty infiltrate | 2.2 ± 0.5 | 2.4 ± 0.9 | 0.67 | 
Publisher’s Note: MDPI stays neutral with regard to jurisdictional claims in published maps and institutional affiliations.  | 
© 2021 by the authors. Licensee MDPI, Basel, Switzerland. This article is an open access article distributed under the terms and conditions of the Creative Commons Attribution (CC BY) license (https://creativecommons.org/licenses/by/4.0/).
Share and Cite
Lin, H.-Y.; Lu, Y.-J.; Chou, H.-H.; Ou, K.-L.; Huang, B.-H.; Lan, W.-C.; Saito, T.; Cho, Y.-C.; Ou, Y.-H.; Yang, T.-S.; et al. Biomimetic Ceramic Composite: Characterization, Cell Response, and In Vivo Biocompatibility. Materials 2021, 14, 7374. https://doi.org/10.3390/ma14237374
Lin H-Y, Lu Y-J, Chou H-H, Ou K-L, Huang B-H, Lan W-C, Saito T, Cho Y-C, Ou Y-H, Yang T-S, et al. Biomimetic Ceramic Composite: Characterization, Cell Response, and In Vivo Biocompatibility. Materials. 2021; 14(23):7374. https://doi.org/10.3390/ma14237374
Chicago/Turabian StyleLin, Hung-Yang, Yi-Jung Lu, Hsin-Hua Chou, Keng-Liang Ou, Bai-Hung Huang, Wen-Chien Lan, Takashi Saito, Yung-Chieh Cho, Yu-Hsin Ou, Tzu-Sen Yang, and et al. 2021. "Biomimetic Ceramic Composite: Characterization, Cell Response, and In Vivo Biocompatibility" Materials 14, no. 23: 7374. https://doi.org/10.3390/ma14237374
APA StyleLin, H.-Y., Lu, Y.-J., Chou, H.-H., Ou, K.-L., Huang, B.-H., Lan, W.-C., Saito, T., Cho, Y.-C., Ou, Y.-H., Yang, T.-S., & Peng, P.-W. (2021). Biomimetic Ceramic Composite: Characterization, Cell Response, and In Vivo Biocompatibility. Materials, 14(23), 7374. https://doi.org/10.3390/ma14237374
        
                                                
