Evaluation of the Microstructure, Tribological Characteristics, and Crack Behavior of a Chromium Carbide Coating Fabricated on Gray Cast Iron by Pulsed-Plasma Deposition
Abstract
1. Introduction
2. Materials and Methods
3. Results
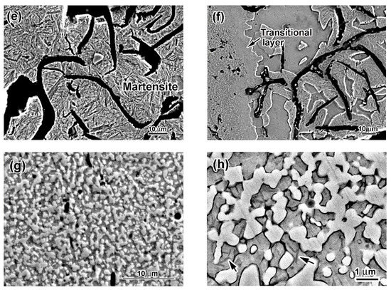
3.1. Microstructure and Phase Constituents
3.2. EDS Characterization
3.3. Tribological Characterictics
3.3.1. Three-Body Abrasion Testing
3.3.2. Dry-Sliding Testing
4. Discussion
5. Conclusions
- A high-chromium coating of 210–250 mm width was fabricated on the surface of gray cast iron by atmospheric pulsed-plasma treatment using an eroded cathode made of high-Cr cast iron (2.3 wt.% C-27.4 wt.% Cr-3.1 wt.% Mn). The as-deposited coating had a γFe (84 vol.%)/αFe (16 vol.%) matrix with a low amount of carbides. Post-plasma heat treatment resulted in the precipitation of M7C3 carbides leading to the coating microhardness of 990–1180 HV and a microstructure consisting of 48 vol.% carbides (M7C3, M3C), 48 vol.% martensite, and 4 vol.% retained austenite.
- Under pulsed-plasma deposition, the plasma-induced melting of the substrate took place, leading to a transitional layer of 8–25 µm width. The formation of the coating microstructure under post-plasma heat treatment occurred under counter-diffusion flow of Cr, Mn atoms from the coating to the substrate and the movement of C atoms toward them. This phenomenon led to a smooth elemental/structural gradient through low-carbide transition layer/ferrite/martensite zones, providing a good metallurgical bonding between the coating and the substrate.
- The heat-treated coating performed the improved wear characteristics compared with gray cast iron (non-heat-treated and heat-treated conditions):
- -
- By 3.0–3.2 times higher abrasive wear resistance;
- -
- By 1.8–3.9 times lower volume loss (sliding against 100Cr6 steel ball)
- -
- By 1.2–1.7 times lower volume loss (sliding against SiC ball);
- -
- By 51.8–1208.8 times lower volume loss (sliding against a diamond cone).
- The coating manifested a tendency of solidification cracking caused by tensile stress due to the formation of a mostly austenitic structure with a lower specific volume. Cracks locally facilitated abrasion wear and caused occasional spalling under sliding against the diamond cone. Under sliding against 100Cr6 steel ball and SiC ball cracks negligibly affected the coating wear mechanism.
Author Contributions
Funding
Institutional Review Board Statement
Informed Consent Statement
Data Availability Statement
Acknowledgments
Conflicts of Interest
References
- Murakami, T.; Inoue, T.; Shimura, H.; Nakano, M.; Sasaki, S. Damping and tribological properties of Fe–Si–C cast iron prepared using various heat treatments. Mater. Sci. Eng. A 2006, 432, 113–119. [Google Scholar] [CrossRef]
- Abdou, S.; Elkaseer, A.; Kouta, H.; Qudeiri, J.A. Wear behaviour of grey cast iron with the presence of copper addition. Adv. Mech. Eng. A 2018, 10, 1–8. [Google Scholar] [CrossRef]
- Wang, B.; Pan, Y.; Liu, Y.; Lyu, N.; Barber, G.C.; Wang, R.; Cui, W.; Qiu, F.; Hu, M. Effects of quench-tempering and laserhardening treatment on wear resistance of gray cast iron. J. Mater. Res. Technol. 2020, 9, 8163–8171. [Google Scholar] [CrossRef]
- Pang, Z.B.; Zhou, H.; Xie, G.; Cong, D.; Meng, C.; Ren, L.Q. Effect of bionic coupling units׳ forms on wear resistance of grey cast iron under dry linear reciprocating sliding condition. Opt. Laser Technol. 2015, 70, 89–93. [Google Scholar] [CrossRef]
- Sui, Q.; Zhou, H.; Zhang, H.; Feng, L.; Yang, L.; Zhang, P. Effect of alternate biomimetic coupling units on dry sliding wear resistance of grey cast iron. J. Mater. Res. 2017, 32, 343–353. [Google Scholar] [CrossRef]
- Sui, Q.; Zhou, H.; Liang, G.; Zhang, H.; Zhang, P.; Chen, Z. Lubricating property of cast iron combined with two-scale unit structure by biomimetic laser treatment. Tribol. Int. 2018, 11, 180–188. [Google Scholar] [CrossRef]
- Yang, X.; Shi, L.; Niu, S.; Shi, Y.; Chen, G.; Ni, J.; Wu, C. A bio-inspired concept to improve crack resistance of gray cast iron. Mater. Lett. 2018, 216, 203–206. [Google Scholar] [CrossRef]
- Efremenko, V.G.; Zurnadzhi, V.I.; Chabak, Y.G.; Tsvetkova, O.V.; Dzherenova, A.V. Application of the Q-n-P-treatment for increasing the wear resistance of low-alloy steel with 0.75 %C. Mater. Sci. 2017, 53, 67–75. [Google Scholar] [CrossRef]
- Fischer, S.F.; Muschna, S.; Bührig-Polaczek, A.; Bünck, M. In-situ surface hardening of cast iron by surface layer metallurgy. Mater. Sci. Eng. A 2014, 615, 61–69. [Google Scholar] [CrossRef]
- Chen, Z.-K.; Zhou, T.; Zhao, R.-Y.; Zhang, H.-F.; Lu, S.-C.; Yang, W.-S.; Zhou, H. Improved fatigue wear resistance of grey cast iron by localized laser carburizing. Mater. Sci. Eng. A 2015, 644, 1–9. [Google Scholar] [CrossRef]
- Zhou, H.; Zhang, P.; Sun, N.; Wang, C.T.; Lin, P.Y.; Ren, L.Q. Wear properties of compact graphite cast iron with bionic units processed by deep laser cladding WC. Appl. Surf. Sci. 2010, 256, 6413–6419. [Google Scholar] [CrossRef]
- Jeyaprakash, N.; Yang, C.-H.; Duraiselvam, M.; Prabu, G. Microstructure and tribological evolution during laser alloying WC-12% Co and Cr3C2−25%NiCr powders on nodular iron surface. Results Phys. 2019, 12, 1610–1620. [Google Scholar] [CrossRef]
- Zhong, M.; Liu, W.J.; Zhang, H.J. Corrosion and wear resistance characteristics of NiCr coating by laser alloying with powder feeding on grey iron liner. Wear 2006, 260, 1349–1355. [Google Scholar] [CrossRef]
- Tong, X.; Zhou, H.; Ren, L.-Q.; Zhang, Z.-H.; Cui, R.-D.; Zhang, W. Thermal fatigue characteristics of grey cast iron with non-smooth surface treated by laser alloying of Cr powder. Surf. Coat. Technol. 2008, 202, 2527–2534. [Google Scholar] [CrossRef]
- Weng, Z.; Wang, A.; Wang, Y.; Xiong, D.; Tang, H. Diode laser cladding of Fe-based alloy on ductile cast iron and related interfacial behavior. Surf. Coat. Technol. 2016, 286, 64–71. [Google Scholar] [CrossRef]
- Li, Y.; Dong, S.; Yan, S.; Liu, X.; Li, E.; He, P.; Xu, B. Elimination of voids by laser remelting during laser cladding Nibased alloy on grey cast iron. Opt. Laser Technol. 2019, 112, 30–38. [Google Scholar] [CrossRef]
- Womersley, D. Thermal spraying and powder spray welding processes for the hardfacing of grey cast iron. Mater. Des. 1990, 11, 153–155. [Google Scholar] [CrossRef]
- Lan, D.Y.; Wang, Q.; Xuan, Z.Z. Interfacial microstructure and characterization of double-layer coatings on cast iron by arcspraying and sintering. Mater. Sci. Eng. A 2008, 473, 312–316. [Google Scholar] [CrossRef]
- Ryabtsev, S.I.; Polonskyy, V.A.; Sukhova, O.V. Effect of scandium on the structure and corrosion properties of vapor-deposited nanostructural quasicrystalline Al–Cu–Fe films. Powder Metall. Met. Ceram. 2020, 58, 567–575. [Google Scholar] [CrossRef]
- Oleshkevych, A.I.; Voloshko, S.M.; Sidorenko, S.I.; Langer, G.A.; Beke, D.L.; Rennie, A.R. Enhanced Diffusion caused by Surface Reactions in Thin Films of Sn-Cu-Mn. Thin Solid Film. 2014, 550, 723–731. [Google Scholar] [CrossRef]
- Singh, S.K.; Chattopadhyaya, S.; Pramanik, A.; Kumar, S.; Basak, A.K.; Pandey, S.M.; Murtaza, Q.; Legutko, S.; Litak, G. Tribological properties of chromium nitride on the cylinder liner under the influence of high temperature. Materials 2020, 13, 4497. [Google Scholar] [CrossRef]
- Li, Y.; Dong, S.; Yan, S.; Liu, X.; Xu, B. Microstructure evolution during laser cladding Fe-Cr alloy coatings on ductile cast iron. Opt. Laser Technol. 2018, 108, 255–264. [Google Scholar] [CrossRef]
- Liu, Y.; Qu, W.; Su, Y. TiC Reinforcement composite coating produced using graphite of the cast iron by laser cladding. Materials 2016, 9, 815. [Google Scholar] [CrossRef]
- Shi, K.Y.; Hu, S.B.; Zheng, H.F. Microstructure and fatigue properties of plasma transferred arc alloying TiC-W-Cr on grey cast iron. Surf. Coat. Technol. 2011, 206, 1211–1217. [Google Scholar] [CrossRef]
- Fernandes, F.; Lopes, B.; Cavaleiro, A.; Ramalho, A.; Loureiro, A. Effect of arc current on microstructure and wear characteristics of a Ni-based coating deposited by PTA on grey cast iron. Surf. Coat. Technol. 2011, 205, 4094–4106. [Google Scholar] [CrossRef]
- Perepl’otchikov, E.F.; Vasyliv, K.B.; Vynar, V.A.; Zakiev, V.I. Elevation of the wear resistance of low-alloy structural steel by Plasma-Powder surfacing with alloys based on iron, chromium, and nickel. Mater. Sci. 2018, 54, 378–386. [Google Scholar] [CrossRef]
- Halim, Z.A.A.; Ahmad, N.; Hanapi, M.F.; Zainal, M.N.F. Rapid surface treatment of grey cast iron for reduction of friction and wear by alumina coating using gas tunnel plasma spray. Mater. Chem. Phys. 2021, 260, 124134. [Google Scholar] [CrossRef]
- Morks, M.F.; Tsunekawa, Y.; Fahim, N.F.; Okumiya, M. Microstructure and friction properties of plasma sprayed Al–Si alloyed cast iron coatings. Mater. Chem. Phys. 2006, 96, 170–175. [Google Scholar] [CrossRef]
- Qi, X.B.; Zhu, S.G. Effect of CeO2 addition on thermal shock resistance of WC–12% Co coating deposited on ductile iron by electric contact surface strengthening. Appl. Surf. Sci. 2015, 349, 792–797. [Google Scholar] [CrossRef]
- Sokolov, O.D.; Mannapova, O.V.; Kostrzhyts’kyi, A.I.; Olik, A.P. Enhancement of the corrosion resistance of grey cast iron by ion nitriding. Mater. Sci. 2006, 42, 849–852. [Google Scholar] [CrossRef]
- Park, I.-C.; Lee, H.-K.; Kim, S.-J. Microstructure and cavitation damage characteristics of surface treated grey cast iron by plasma ion nitriding. Appl. Surf. Sci. 2019, 47731, 147–153. [Google Scholar] [CrossRef]
- Agarwal, K.; Shivpuri, R.; Vincent, J.; Rolinski, E.; Sharp, G. DC pulsed plasma deposition of nanocomposite coatings for improved tribology of grey cast iron stamping dies. J. Mater. Process. Technol. 2013, 213, 864–876. [Google Scholar] [CrossRef]
- Duryagina, Z.A.; Bespalov, S.A.; Pidkova, V.Y.; Polockyj, D.Y. Examination of the dielectric layers on the structural materials formed by hybrid ion-plasma discharge system. Metallofiz. Noveishie Tekhnol. 2011, 33, 393–400. [Google Scholar]
- Posuvailo, V.M.; Kulyk, V.V.; Duriagina, Z.A.; Koval’chuck, I.V.; Student, M.M.; Vasyliv, B.D. The effect of electrolyte composition on the plasma electrolyte oxidation and phase composition of oxide ceramic coatings formed on 2024 aluminium alloy. Arch. Mater. Sci. Eng. 2020, 105, 49–55. [Google Scholar] [CrossRef]
- Cheng, X.; Hu, S.; Song, W.; Xiong, X. A comparative study on grey and nodular cast irons surface melted by plasmabeam. Vacuum 2014, 101, 177–183. [Google Scholar] [CrossRef]
- Tyurin, Y.N.; Kolisnichenko, O.V.; Baskaran, B.V.; Angayasamy, S.E. Plasma for Modification of A Surface; Square Energy Equipments Pvt Ltd: Tamilnadu, India, 2018. [Google Scholar]
- Kovaleva, M.; Tyurin, Y.; Kolisnichenko, O.; Prozorova, M.; Arseenko, M. Properties of Detonation Nanostructured Titanium-Based Coatings. J. Therm. Spray Technol. 2013, 22, 518–524. [Google Scholar] [CrossRef]
- Ayday, A.; Durman, M. Reciprocating wear behavior of ductile cast iron modified by pulse plasma technology. Acta Phys. Pol. A 2014, 125, 189–191. [Google Scholar] [CrossRef]
- Cherenda, N.N.; Uglov, V.; Poluyanova, M.G.; Astashynski, V.M.; Kuzmitski, A.M.; Pogrebnjak, A.D.; Stritzker, B. The influence of the coating thickness on the phase and element composition of a Ti coating/steel system surface layer treated by a compression plasma flow. Plasma Process. Polym. 2009, 6, 178–182. [Google Scholar] [CrossRef]
- Kolyada, Y.E.; Bizyukov, A.A.; Bulanchuk, O.N.; Fedun, V.I. Pulse electrothermal plasma accelerators and its application in the technologies. Probl. At. Sci. Technol. Ser. Plasma Phys. 2015, 98, 319–324. [Google Scholar]
- Kolyada, Y.E.; Fedun, V.I.; Tyutyunnikov, V.I.; Savinkov, N.A.; Kapustin, A.E. Formation mechanism of the metallic nanostructures using pulsed axial electrothermal plasma accelerator. Probl. At. Sci. Technol. Ser. Plasma Phys. 2013, 4, 297–300. [Google Scholar]
- Efremenko, V.G.; Chabak, Y.G.; Lekatou, A.; Karantzalis, A.E.; Shimizu, K.; Fedun, V.I.; Azarkhov, A.Y.; Efremenko, A.V. Pulse dplasma deposition of Fe-C-Cr-W coating on high-Cr-cast iron: Effect of layered morphology and heat treatment on the microstructure and hardness. Surf. Coat. Technol. 2016, 304, 293–305. [Google Scholar] [CrossRef]
- Chabak, Y.G.; Fedun, V.I.; Pastukhova, T.V.; Zurnadzhy, V.I.; Berezhnyy, S.P.; Efremenko, V.G. Modification of steel surface by pulsed plasma heating. Probl. At. Sci. Technol. Ser. Plasma Phys. 2017, 110, 97–102. [Google Scholar]
- Chabak, Y.G.; Efremenko, V.G.; Fedun, V.I.; Petryshynets, I.; Pastukhova, T.V.; Efremenko, B.V.; Kromka, F.; Tsvetkova, E.V. Surface modification of grey cast iron by pulsed-plasma deposition and subsequent laser beam melting. J. Nano-Electron. Phys. 2021, 13, 02030. [Google Scholar] [CrossRef]
- Chabak, Y.G.; Fedun, V.I.; Efremenko, V.G.; Pastukhova, T.V.; Efremenko, B.V. Plasma coating formation by the deposition ofcathode material eroded through high-current pulsed discharge. Probl. At. Sci. Technol. Ser. Plasma Phys. 2019, 123, 167–174. [Google Scholar]
- Chabak, Y.G.; Fedun, V.I.; Shimizu, K.; Efremenko, V.G.; Zurnadzhy, V.I. Phase-structural composition of coating obtained by pulsed plasma treatment using eroded cathode of T1 high speed steel. Probl. At. Sci. Technol. Ser. Plasma Phys. 2016, 102, 100–106. [Google Scholar]
- Jing, S.; Yu, H. Microstructure development and mechanical properties of quenching and partitioning (Q&P) steel and an incorporation of hot-dipping galvanization during Q&P process. Mater. Sci. Eng. A 2013, 586, 100–107. [Google Scholar] [CrossRef]
- Vander Voort, G.F. Metallography, Principles and Practice; ASTM International: West Conshohocken, PA, USA, 1999. [Google Scholar]
- Efremenko, V.G.; Chabak, Y.G.; Fedun, V.I.; Shimizu, K.; Pastukhova, T.V.; Petryshynets, I.; Zusin, A.M.; Kudinova, E.V.; Efremenko, B.V. Formation mechanism, microstructural features and dry-sliding behaviour of “Bronze/WC carbide” composite synthesized by atmospheric pulsed-plasma deposition. Vacuum 2021, 185, 110031. [Google Scholar] [CrossRef]
- Wille, G.; Bourrat, X.; Maubec, N.; Guegan, R.; Lahfid, A. Raman-in-SEM studies of inorganic materials. In Spectroscopic Properties of Inorganic and Organometallic Compounds: Techniques, Materials and Applications; Yarwood, J., Douthwaite, R., Duckett, S.B., Eds.; The Royal Society of Chemistry: London, UK, 2014; pp. 79–116. [Google Scholar] [CrossRef]
- Efremenko, V.; Shimizu, K.; Pastukhova, T.; Chabak, Y.; Brykov, M.; Kusumoto, K.; Efremenko, A. Three-body abrasive wear behaviour of metastable spheroidal carbide cast irons with different chromium contents. Int. J. Mater. Res. 2018, 109, 147–156. [Google Scholar] [CrossRef]
- Kazantsev, E.I. Industrial Furnaces; Metallurgia: Moscow, Russia, 1975. [Google Scholar]
- Loboda, P.I.; Soloviova, T.O.; Bogomol, Y.I.; Remizov, D.O.; Bilyi, O.I. Effect of the crystallization kinetic parameters on the structure and properties of a eutectic alloy of the LaB6–TiB2 system . J. Superhard Mater. 2015, 37, 394–401. [Google Scholar] [CrossRef]
- Gonzalez-Pociño, A.; Alvarez-Antolin, F.; Asensio-Lozano, J. Erosive wear resistance regarding different destabilization heat treatments of austenite in high chromium white cast iron, alloyed with Mo. Metals 2019, 9, 522. [Google Scholar] [CrossRef]
- Chabak, Y.G.; Efremenko, V.G. Change of secondary-carbides’ nanostate in 14.5% Cr cast iron at high-temperature heating. Metallofiz. Noveishie Tekhnol. 2012, 34, 1205–1220. [Google Scholar]
- Efremenko, V.G.; Chabak, Y.G.; Shimizu, K.; Lekatou, A.G.; Zurnadzhy, V.I.; Karantzalis, A.E.; Halfa, H.; Mazur, V.A.; Efremenko, B.V. Structure refinement of high-Cr cast iron by plasma surface melting and post-heat treatment. Mater. Des. 2017, 126, 278–290. [Google Scholar] [CrossRef]
- Malinov, L.S.; Malinov, V.L.; Burova, D.V. Impact of Metastable austenite on the wear resistance of tool steel. J. Frict. Wear 2018, 39, 349–353. [Google Scholar] [CrossRef]
- Sugishita, J.; Fujiyoshi, S. The effect of cast iron graphites on friction and wear performance: Graphite film formation on grey cast iron surfaces. Wear 1981, 66, 209–221. [Google Scholar] [CrossRef]
- Tysoe, W. Onstress-induced tribochemica lreaction rates. Tribol. Lett. 2017, 65, 48. [Google Scholar] [CrossRef]
- Zhou, D.; Guillon, O.; Vaßen, R. Development of YSZ thermal barrier coatings using axial suspension plasma spraying. Coatings 2017, 7, 120. [Google Scholar] [CrossRef]
- Mendiratta, M.G.; Krauss, G. The development of martensitic microstructure and microcracking in an Fe-1.86 C alloy. Metall. Mater. Trans. B 1972, 3, 1755–1760. [Google Scholar] [CrossRef]
- Kukhar, V.V.; Grushko, A.V.; Vishtak, I.V. Shape indexes for dieless forming of elongated forgings with sharpened end by tensile drawing with rupture. Solid State Phenom. 2018, 284, 408–415. [Google Scholar] [CrossRef]
- Pereira, A.; Costa, M.; Anflor, C.; Pardal, J.; Leiderman, R. Estimating the effective elastic parameters of nodular cast iron from micro-tomographic imaging and multiscale finite elements: Comparison between numerical and experimental results. Metals 2018, 8, 695. [Google Scholar] [CrossRef]
- Elmer, J.W.; Olson, D.; Matlock, K. The thermal expansion characteristics of stainless steel weldmetal. Weld. Res. Suppl. 1982, September 293–301. Available online: http://files.aws.org/wj/supplement/WJ_1982_09_s293.pdf (accessed on 19 June 2020).
- Shmykov, A.A. Thermist’s Handbook; Mashgis: Moscow, Russia, 1961. [Google Scholar]
- Chabak, Y.G.; Fedun, V.I.; Efremenko, V.G.; Shimizu, K.; Petryshynets, I.; Zurnadzhy, V.I.; Dzherenova, A.V. Effect of cathode material on microstructure status of the coating fabricated using an electro-thermal axial plasma accelerator. Rom. J. Phys. 2021, 66, 501. [Google Scholar]
- Pavlina, E.J.; Vantyne, C. Correlation of yield strength and tensile strength with hardness for steels. J. Mater. Eng. Perform. 2008, 7, 888–893. [Google Scholar] [CrossRef]
- Sapronov, O.O.; Buketov, A.V.; Marushchak, P.O.; Panin, S.V.; Brailo, M.V.; Yakushchenko, S.V.; Sapronova, A.V.; Leshchenko, O.V.; Menou, A. Research of crack initiation and propagation under loading for providing impact resilience of protective coating. Funct. Mater. 2019, 26, 114–120. [Google Scholar] [CrossRef]













Publisher’s Note: MDPI stays neutral with regard to jurisdictional claims in published maps and institutional affiliations. |
© 2021 by the authors. Licensee MDPI, Basel, Switzerland. This article is an open access article distributed under the terms and conditions of the Creative Commons Attribution (CC BY) license (https://creativecommons.org/licenses/by/4.0/).
Share and Cite
Chabak, Y.; Efremenko, V.; Džupon, M.; Shimizu, K.; Fedun, V.; Wu, K.; Efremenko, B.; Petryshynets, I.; Pastukhova, T. Evaluation of the Microstructure, Tribological Characteristics, and Crack Behavior of a Chromium Carbide Coating Fabricated on Gray Cast Iron by Pulsed-Plasma Deposition. Materials 2021, 14, 3400. https://doi.org/10.3390/ma14123400
Chabak Y, Efremenko V, Džupon M, Shimizu K, Fedun V, Wu K, Efremenko B, Petryshynets I, Pastukhova T. Evaluation of the Microstructure, Tribological Characteristics, and Crack Behavior of a Chromium Carbide Coating Fabricated on Gray Cast Iron by Pulsed-Plasma Deposition. Materials. 2021; 14(12):3400. https://doi.org/10.3390/ma14123400
Chicago/Turabian StyleChabak, Yuliia, Vasily Efremenko, Miroslav Džupon, Kazumichi Shimizu, Victor Fedun, Kaiming Wu, Bohdan Efremenko, Ivan Petryshynets, and Tatiana Pastukhova. 2021. "Evaluation of the Microstructure, Tribological Characteristics, and Crack Behavior of a Chromium Carbide Coating Fabricated on Gray Cast Iron by Pulsed-Plasma Deposition" Materials 14, no. 12: 3400. https://doi.org/10.3390/ma14123400
APA StyleChabak, Y., Efremenko, V., Džupon, M., Shimizu, K., Fedun, V., Wu, K., Efremenko, B., Petryshynets, I., & Pastukhova, T. (2021). Evaluation of the Microstructure, Tribological Characteristics, and Crack Behavior of a Chromium Carbide Coating Fabricated on Gray Cast Iron by Pulsed-Plasma Deposition. Materials, 14(12), 3400. https://doi.org/10.3390/ma14123400

