An Experimental Investigation of Flow Regimes in Imbibition and Drainage Using a Microfluidic Platform
Abstract
:1. Introduction
2. Materials and Methods
2.1. Fluids Preparation
2.2. Micromodels and Experimental Setup
3. Results and Discussion
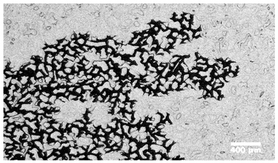
3.1. Drainage
3.1.1. Phase Diagram
3.1.2. Width of Stabilized Zone
3.2. Imbibition
Phase Diagram
4. Conclusions
Author Contributions
Funding
Acknowledgments
Conflicts of Interest
Nomenclature
| Non-Dimensional Numbers: | |
| Ca | capillary number; vµ1/γ |
| M | viscosity ratio; µ2/µ1 |
| Df | fractal dimension |
| Acronyms and abbreviations: | |
| EOR | Enhanced oil recovery |
| Deionized | DI |
| Greek Letters: | |
| μ | dynamic viscosity, cp |
| γ | the interfacial tension, mN/m |
References
- Kenneth, C.C.; McDonald, K.; Marble, J.; Russo, A.E.; Brusseau, M.L. The Impact of Transitions between Two-Fluid and Three-Fluid Phases on Fluid Configuration and Fluid-Fluid Interfacial Area in Porous Media. Water Resour. Res. 2015, 51, 7189–7201. [Google Scholar]
- Isha, S.; Bedeaux, D.; Kjelstrup, S.; Vassvik, M.; Sinha, S.; Hansen, A. Ensemble Distribution for Immiscible Two-Phase Flow in Porous Media. Phys. Rev. 2017, 95, 023116. [Google Scholar]
- Lincoln, P. Diffusion-Limited Aggregation and Two-Fluid Displacements in Porous Media. Phys. Rev. Lett. 1984, 52, 1621–1624. [Google Scholar]
- Roland, L. Liquids in Porous Media. J. Phys. Condens. Matter 1990, 2, 79–88. [Google Scholar]
- Changyong, Z.; Oostrom, M.; Wietsma, T.W.; Grate, J.W.; Warner, M.G. Influence of Viscous and Capillary Forces on Immiscible Fluid Displacement: Pore-Scale Experimental Study in a Water-Wet Micromodel Demonstrating Viscous and Capillary Fingering. Energy Fuels 2011, 25, 3493–3505. [Google Scholar]
- Gvirtzman, H.; Roberts, P.V. Pore Scale Spatial Analysis of Two Immiscible Fluids in Porous Media. Water Resour. Res. 1991, 27, 1165–1176. [Google Scholar] [CrossRef]
- Grate, J.W.; Changyong, Z.; Wietsma, T.W.; Warner, M.G.; Anheier, N.C.; Bernacki, B.E.; Orr, G.; Oostrom, M. A Note on the Visualization of Wetting Film Structures and a Nonwetting Immiscible Fluid in a Pore Network Micromodel Using a Solvatochromic Dye. Water Resour. Res. 2010, 46, 11602–11608. [Google Scholar] [CrossRef]
- Lenormand, R.; Zarcone, C.; Sarr, A. Mechanisms of the Displacement of One Fluid by Another in a Network of Capillary Ducts. J. Fluid Mech. 1983, 135, 337–353. [Google Scholar] [CrossRef]
- Lenormand, R.; Touboul, E. Numerical Models and Experiments on Immiscible Displacements in Porous Media. J. Fluid Mech. 1988, 189, 165–187. [Google Scholar] [CrossRef]
- Wang, Y.; Changyong, Z.; Ning, W.; Oostrom, M.; Wietsma, T.W.; Li, X.; Bonneville, A. Experimental Study of Crossover from Capillary to Viscous Fingering for Supercritical CO2–Water Displacement in a Homogeneous Pore Network. Environ. Sci. Technol. 2012, 47, 212–218. [Google Scholar] [CrossRef]
- Lenormand, R. Differents Mecanismes de Deplacements Visqueux et Cspillaires en Milieu Poreux: Diagramme De Phase; Gauthier-Villars: Paris, France, 1985; Volume 301. [Google Scholar]
- Schwille, F.; Pankow, J.F. Dense Chlorinated Solvents in Porous and Fractured Media-Model Experiments; Lewis Publishers: Chelsea, MI, USA, 1988. [Google Scholar]
- Changyong, Z.; Oostrom, M.; Grate, J.W.; Wietsma, T.W.; Warner, M.G. Liquid CO2 Displacement of Water in a Dual-Permeability Pore Network Micromodel. Environ. Sci. Technol. 2011, 45, 7581–7588. [Google Scholar]
- Chomsurin, C.; Werth, C.J. Analysis of Pore-Scale Nonaqueous Phase Liquid Dissolution in Etched Silicon Pore Networks. Water Resour. Res. 2003, 39, 1265–1276. [Google Scholar] [CrossRef]
- Werth, C.J.; Changyong, Z.; Brusseau, M.L.; Oostrom, M.; Baumann, T. A Review of Non-Invasive Imaging Methods and Applications in Contaminant Hydrogeology Research. J. Contam. Hydrol. 2010, 113, 1–24. [Google Scholar] [CrossRef]
- Riazi, M.; Sohrabi, M.; Bernstone, C.; Jamiolahmady, M.; Ireland, S. Visualisation of Mechanisms Involved in CO2 Injection and Storage in Hydrocarbon Reservoirsand Water-Bearing Aquifers. Chem. Eng. Res. Des. 2011, 89, 1827–1840. [Google Scholar] [CrossRef]
- Kim, Y.; Wan, J.; Kneafsey, T.J.; Tokunaga, T.K. Dewetting of Silica Surfaces Upon Reactions with Supercritical CO2 and Brine: Pore-Scale Studies in Micromodels. Environ. Sci. Technol. 2012, 46, 4228–4235. [Google Scholar] [CrossRef]
- Liu, H.; Valocchi, A.J.; Kang, Q.; Werth, C. Pore-Scale Simulations of Gas Displacing Liquid in a Homogeneous Pore Network Using the Lattice Boltzmann Method. Trans. Porous Media 2013, 99, 555–580. [Google Scholar] [CrossRef]
- Ferer, M.; Ji, C.; Bromhal, G.S.; Cook, J.; Ahmadi, G.; Smith, D.H. Crossover from Capillary Fingering to Viscous Fingering for Immiscible Unstable Flow: Experiment and Modeling. Phys. Rev. 2004, 70, 016303. [Google Scholar] [CrossRef]
- Rabbani, H.S.; Or, D.; Liu, Y.; Lai, C.-Y.; Lu, N.B.; Datta, S.S.; Stone, H.A.; Shokri, N. Suppressing Viscous Fingering in Structured Porous Media. Proc. Natl. Acad. Sci. USA 2018, 115, 4833–4838. [Google Scholar] [CrossRef]
- Cottin, C.; Bodiguel, H.; Colin, A. Drainage in Two-Dimensional Porous Media: From Capillary Fingering to Viscous Flow. Phys. Rev. 2010, 82, 046315. [Google Scholar] [CrossRef]
- Feng, G.; He, J.; Johnson, P.A.; Aryana, S.A. Stabilization of CO2 Foam Using by-Product Fly Ash and Recyclable Iron Oxide Nanoparticles to Improve Carbon Utilization in Eor Processes. Sustain. Energy Fuels 2017, 1, 814–822. [Google Scholar]
- Guo, F.; Aryana, S.A. An Experimental Investigation of Nanoparticle-Stabilized CO2 Foam Used in Enhanced Oil Recovery. Fuel 2016, 186, 430–442. [Google Scholar] [CrossRef]
- Alaskar, M. In-Situ Multifunctional Nanosensors for Fractured Reservoir Characterization. Ph.D. Thesis, Stanford University, Stanford, CA, USA, 2013. [Google Scholar]
- Alaskar, M.; Li, K.; Horne, R. Influence of Particle Size on Its Transport in Discrete Fractures: Pore-Scale Visualization Using Micromodels. In Proceedings of the Thirty-Eighth Workshop on Geothermal Reservoir Engineering, Stanford, CA, USA, 11–13 February 2013. [Google Scholar]
- Aryana, S.A.; Kovscek, A.R. Experiments and Analysis of Drainage Displacement Processes Relevant to Carbon Dioxide Injection. Phys. Rev. 2012, 86, 066310. [Google Scholar] [CrossRef]
- Barenblatt, G.I.; Patzek, T.W.; Silin, D.B. The Mathematical Model of Nonequilibrium Effects in Water-Oil Displacement. SPE J. 2003, 8, 409–416. [Google Scholar] [CrossRef]
- Rapoport, L.A.; Leas, W.J. Properties of Linear Waterfloods. J. Pet. Technol. 1953, 5, 139–148. [Google Scholar] [CrossRef]
- U.S. Energy Information Administration. Oil and Natural Gas Resource Categories Reflect Varying Degrees of Certainty. Available online: www.eia.gov/todayinenergy/detail.php?id=17151. (accessed on 14 March 2019).
- Liu, Y.; Pengfei, L.v.; Yao, L.; Lanlan, J.; Tetsuya, S.; Song, Y.; Wu, B.; Liu, S. CO2/Water Two-Phase Flow in a Two-Dimensional Micromodel of Heterogeneous Pores and Throats. RSC Adv. 2016, 6, 73897–73905. [Google Scholar] [CrossRef]
- Wang, Y.; Aryana, S.A.; Furtado, F.; Ginting, V. Analysis of Nonequilibrium Effects and Flow Instability in Immiscible Two-Phase Flow in Porous Media. Adv. Water Resour. 2018, 122, 291–303. [Google Scholar] [CrossRef]
- Aryana, S.A.; Kovscek, A.R. Nonequilibrium Effects and Multiphase Flow in Porous Media. Trans. Porous Media 2013, 97, 373–394. [Google Scholar] [CrossRef]
- Guo, F.; Aryana, S.A. Improved Sweep Efficiency Due to Foam Flooding in a Heterogeneous Microfluidic Device. J. Pet. Sci. Eng. 2018, 164, 155–163. [Google Scholar] [CrossRef]
- Ren, G.; Rafiee, J.; Aryana, S.A.; Younis, R.M. A Bayesian Model Selection Analysis of Equilibrium and Nonequilibrium Models for Multiphase Flow in Porous Media. Int. J. Multiph. Flow 2017, 89, 313–320. [Google Scholar] [CrossRef]
- Majhi, S.; Al-Otaibi, B.; Al-Omair, S.; Abdullah, M.B. Mitigating Water Recycling in a Heterogeneous Carbonate Reservoir. In SPE Kuwait Oil and Gas Show and Conference; Society of Petroleum Engineers: Mishref, Kuwait, 2015. [Google Scholar]
- Lv, W.; Siyu, Y.; Yongzhi, Y.; Shenglai, Y.; Xiaohong, M.; Li, S.; Wu, C.; Hao, M. Produced Gas Utilisation Strategy Study on Low Permeability Reservoir CO2 Eor Process. In SPE Asia Pacific Oil & Gas Conference and Exhibition; Society of Petroleum Engineers: Perth, Australia, 2016. [Google Scholar]
- Belhaj, H. Management of Injected Nitrogen into a Gas Condensate Reservoir. Ngeniería Investig. 2016, 36, 52–61. [Google Scholar] [CrossRef]
- Liu, H.; Yonghao, Z.; Valocchi, A.J. Lattice Boltzmann Simulation of Immiscible Fluid Displacement in Porous Media: Homogeneous Versus Heterogeneous Pore Network. Phys. Fluids 2015, 27, 052103. [Google Scholar] [CrossRef]
- Yamabe, H.; Takeshi, T.; Liang, Y.; Matsuoka, T. Influence of Fluid Displacement Patterns on Seismic Velocity During Supercritical CO2 Injection: Simulation Study for Evaluation of the Relationship between Seismic Velocity and CO2 Saturation. Int. J. Greenh. Gas Control 2016, 46, 197–204. [Google Scholar] [CrossRef]
- Tsakiroglou, C.D.; Theodoropoulou, M.; Karoutsos, V.; Papanicolaou, D.; Sygouni, V. Experimental Study of the Immiscible Displacement of Shear-Thinning Fluids in Pore Networks. J. Coll. Interf. Sci. 2003, 267, 217–232. [Google Scholar] [CrossRef]
- Chang, L.-C.; Tsai, J.-P.; Shan, H.-Y.; Chen, H.-H. Experimental Study on Imbibition Displacement Mechanisms of Two-Phase Fluid Using Micro Model. Environ. Earth Sci. 2009, 59, 901. [Google Scholar] [CrossRef]
- Lenormand, R.; Zarcone, C. Role of Roughness and Edges During Imbibition in Square Capillaries. In SPE Annual Technical Conference and Exhibition; Society of Petroleum Engineers: Houston, TX, USA, 1984. [Google Scholar]
- Falconer, K. Fractal Geometry: Mathematical Foundations and Applications; John Wiley & Sons: West Sussex, UK, 2004. [Google Scholar]










| µ1, cp | Nonwetting Fluids | µ2, cp | Wetting Fluids | M | Interfacial Tension γ, mN/m |
|---|---|---|---|---|---|
| 10 | Pentane + Hydrobrite 550PO | 1 | Water | 0.1 | 49.26 |
| 2 | Pentane + Carnation | 1 | Water | 0.5 | 43.79 |
| 2 | Pentane + Carnation | 10 | Water + Glycerol | 5 | 30.10 |
| 0.24 | Pentane | 12 | Water + Glycerol | 50 | 22.99 |
| 0.24 | Pentane | 24 | Water + Glycerol | 100 | 21.56 |
| 0.24 | Pentane | 48 | Water + Glycerol | 200 | 20.55 |
| 0.24 | Pentane | 72 | Water + Glycerol | 300 | 19.22 |
| 0.015 | CO2 | 10 | Water + Glycerol | 680.3 | 70.60 |
| 0.015 | CO2 | 200 | Water + Glycerol | 13,605.4 | 42.90 |
| µ1, cp | Wetting Fluids | µ2, cp | Nonwetting Fluids | M | Interfacial Tension γ, mN/m |
|---|---|---|---|---|---|
| 2.4 | Pentane + Carnation | 24 | Water + Glycerol | 0.1 | 22.48 |
| 12 | Pentane + Carnation | 24 | Water + Glycerol | 0.5 | 29.20 |
| 12 | Pentane + Carnation | 12 | Water + Glycerol | 1 | 28.90 |
| 5 | Pentane + Carnation | 1 | Water | 5 | 31.63 |
| 10 | Pentane + Carnation | 1 | Water | 10 | 32.84 |
| 50 | Pentane + Hydrobrite 550PO | 1 | Water | 50 | 33.27 |
| 100 | Pentane + Hydrobrite 550PO | 1 | Water | 100 | 35.25 |
| 200 | Pentane + Hydrobrite 550PO | 1 | Water | 200 | 37.01 |
© 2019 by the authors. Licensee MDPI, Basel, Switzerland. This article is an open access article distributed under the terms and conditions of the Creative Commons Attribution (CC BY) license (http://creativecommons.org/licenses/by/4.0/).
Share and Cite
Guo, F.; Aryana, S.A. An Experimental Investigation of Flow Regimes in Imbibition and Drainage Using a Microfluidic Platform. Energies 2019, 12, 1390. https://doi.org/10.3390/en12071390
Guo F, Aryana SA. An Experimental Investigation of Flow Regimes in Imbibition and Drainage Using a Microfluidic Platform. Energies. 2019; 12(7):1390. https://doi.org/10.3390/en12071390
Chicago/Turabian StyleGuo, Feng, and Saman A. Aryana. 2019. "An Experimental Investigation of Flow Regimes in Imbibition and Drainage Using a Microfluidic Platform" Energies 12, no. 7: 1390. https://doi.org/10.3390/en12071390
APA StyleGuo, F., & Aryana, S. A. (2019). An Experimental Investigation of Flow Regimes in Imbibition and Drainage Using a Microfluidic Platform. Energies, 12(7), 1390. https://doi.org/10.3390/en12071390

