You are currently viewing a new version of our website. To view the old version click .
Craniomaxillofacial Trauma & Reconstruction
  • Craniomaxillofacial Trauma & Reconstruction is published by MDPI from Volume 18 Issue 1 (2025). Previous articles were published by another publisher in Open Access under a CC-BY (or CC-BY-NC-ND) licence, and they are hosted by MDPI on mdpi.com as a courtesy and upon agreement with Sage.
  • Article
  • Open Access

19 August 2015

Transcaruncular Approach for Treatment of Medial Wall and Large Orbital Blowout Fractures

,
,
,
and
Division of Plastic and Reconstructive Surgery, Department of Surgery, Washington University School of Medicine, St. Louis, MO, USA
*
Author to whom correspondence should be addressed.

Abstract

We evaluate the safety and efficacy of the transcaruncular approach for reconstruction of medial orbital wall fractures and the combined transcaruncular-transconjunctival approach for reconstruction of large orbital defects involving the medial wall and floor. A retrospective review of the clinical and radiographic data of patients who underwent either a transcaruncular or a combined transcaruncular-transconjunctival approach by a single surgeon for orbital fractures between June 2007 and June 2013 was undertaken. Seven patients with isolated medial wall fractures underwent a transcaruncular approach, and nine patients with combined medial wall and floor fractures underwent a transcaruncular-transconjunctival approach with a lateral canthotomy. Reconstruction was performed using a porous polyethylene implant. All patients with isolated medial wall fractures presented with enophthalmos. In the combined medial wall and floor group, five out of eight patients had enophthalmos with two also demonstrating hypoglobus. The size of the medial wall defect on preoperative computed tomography (CT) scan ranged from 2.6 to 4.6 cm2; the defect size of combined medial wall and floor fractures was 4.5 to 12.7 cm2. Of the 11 patients in whom postoperative CT scans were obtained, all were noted to have acceptable placement of the implant. All patients had correction of enophthalmos and hypoglobus. One complication was noted, with a retrobulbar hematoma having developed 2 days postoperatively. The transcaruncular approach is a safe and effective method for reconstruction of medial orbital floor fractures. Even large fractures involving the orbital medial wall and floor can be adequately exposed and reconstructed with a combined transcaruncular-transconjunctival-lateral canthotomy approach. The level of evidence of this study is IV (case series with pre/posttest).
Fractures of the medial orbit may be associated with isolated orbital blowout fractures and may be an important cause of late enophthalmos [1]. Transcutaneous, transconjunctival, bicoronal, and endoscopic approaches have previously been described for repair of these defects. Traditionally, surgical access to this area has been difficult, sometimes resulting in poor scarring or requiring extensive procedures to obtain adequate visualization for reconstruction of larger defects. The transcaruncular route has gained popularity in the last decade as a safe approach to the medial orbit while providing excellent exposure. In large orbital blowout fractures where wide access to the medial orbit and orbital floor is required, the transcaruncular incision can be combined with a lower lid transconjunctival incision [2].
The senior author (A.S.-W.) has used the transcaruncular approach to reconstruct medial orbital wall fractures with porous polyethylene implants. For combined orbital floor and medial orbital wall fractures, a transcaruncular incision was extended to a lower lid transconjunctival incision with a lateral canthotomy. We report our experience with these techniques.

Methods

A retrospective chart review was performed encompassing all patients treated by the senior author (A.S.-W.) with a transcaruncular incision for isolated orbital fractures in the Division of Plastic and Reconstructive Surgery and was approved by the Institutional Review Board. The study period comprised 6 years, from June 2007 to June 2013. Data were collected for patient demographics, mechanism of injury, treatment interval, preoperative symptoms, and operative or postoperative complications. Computed tomography (CT) was initially obtained to establish the fracture diagnosis (►Figure 1a); when deemed necessary, postoperative scans were obtained to assess adequacy of reconstruction (►Figure 1b). The fracture areas were calculated from axial, coronal, and sagittal views of the preoperative CT scan.
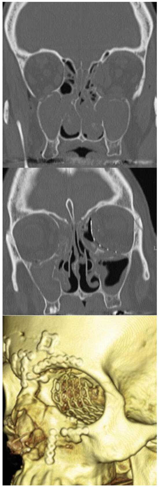
Figure 1. (a) Available preoperative CT scans and photographs were reviewed for each patient. Top row: A 31-year-old woman sustained right eye injury from assault (top left). Repeat physical exam revealed right-side enophthalmos (2 mm) and hypoglobus (2 mm). Bottom row: CT scan showing medial wall (4.0 cm2) and floor (4.9 cm2) fractures (arrows). (b) Top row: A 31-year-old woman at 10 weeks postoperative follow-up without complaints, enophthalmos, or vertical dystopia after repair of medial wall and floor fractures. Bottom row: Postoperative CT scan and 3D reconstruction showing placement of MEDPOR TITAN.
The patient’s clinical presentation and examination findings in conjunction with careful review of the CTscans were essential to recommending surgical intervention. Our indications included: enophthalmos, exophthalmos, diplopia, visual acuity deficits, and radiologic evidence of extensive fractures.

Anatomy and Surgical Technique

The caruncle is a mound of complex tissue consisting of nonkeratinized squamous epithelium mixed with sebaceous elements. It is an easily recognized papular structure in the medial canthal region situated medial to a fold of conjunctiva called the semilunar fold or plica semilunaris. Deep to the caruncle, a condensation of avascular tissue forms a plane leading to the medial orbit posterior to the medial canthal tendon and the lacrimal apparatus. This plane is located between the medial orbital septum and Horner muscle [3,4].
For the purposes of clarity and thoroughness, photographs from a cadaver dissection were used in lieu of intraoperative photographs (►Figure 2a–h). A corneal protector is placed at the beginning of every case. Two 5–0 silk traction sutures are placed in the lower lid tarsus through the gray line, medial and lateral to the position of the cornea, to allow postoperative visual assessment without corneal irritation. A 5–0 silk traction suture may also be placed in the caruncle to facilitate the operation. For cases necessitating wide access to the orbital floor and medial orbital wall, the transcaruncular2 approach is used in combination with a transconjunctival [5] incision and lateral canthotomy [6].
Figure 2. (a) The right orbit of a cadaver is used to demonstrate the steps of a combined transcaruncular and transconjunctival approach. The trans(or retro-)caruncular approach to the medial orbital wall begins with an incision between the caruncle (dashed arrow) and the plica semilunaris (solid arrow). (b) Dissection continues in a plane above Horner muscle toward the posterior lacrimal wall. (c) The periosteum is incised behind the lacrimal bone. A subperiosteal dissection provides exposure of the medial orbital wall (arrow). (d) Before incorporating the transconjunctival approach, a lateral canthotomy is performed. (e) The inferior eye lid is retracted and transconjunctival incision is planned (dotted lines). (f) Dissection through the transconjunctival incision is carried down to the inferior orbital rim (arrow). (g) The inferior oblique muscle (arrow) is evident with superior retraction of the globe. When necessary, the muscle is elevated with the periosteum or transected to allow placement of the implant. (h) A single MEDPOR TITAN implant (1 mm thick) that spans the medial and inferior orbital wall can be easily positioned through the combined transcaruncular and transconjunctival approach. The implant is secured to the orbital rim with a single, self-drilling screw. The inferior oblique is repaired before closure of the incisions.
The operation begins with transcaruncular access (►Figure 2a). As the caruncle is retracted medially with a 5–0 silk suture and the semilunar fold is retracted laterally with a forceps, an incision is made through the lateral aspect of the caruncle. The access is approximately 1.5 to 2.5 cm long for isolated medial wall exposure but can be connected to the inferior transconjunctival incision for wider exposure. The posterior lacrimal crest is initially palpated with a blunt instrument, which is felt as a prominent bump in the medial orbital wall. A thin malleable retractor is placed posterior to this structure. Stevens tenotomy scissors are then slid over the malleable retractor and spreading dissection is performed to incise the periosteum and access the medial orbital wall (►Figure 2b). The globe is then retracted and subperiosteal dissection is performed posteriorly to visualize the fracture.
This incision should be sufficient to allow unobstructed access to the medial orbital wall (►Figure 2c).
If additional exposure is required to address an orbital floor fracture, a lateral canthotomy is carried through the lateral aspect of the lower lid, 1 to 2 mm medial to the lateral canthus, with iris scissors directed in an inferolateral direction (►Figure 2d). In this way, the lateral canthal insertion is not disrupted while still providing excellent exposure to the orbital floor. An inferior cantholysis completely frees up lower lid attachments. A lower lid transconjunctival incision is then made with pinpoint electrocautery just inferior to the tarsal plate, allowing access to the preseptal plane (►Figure 2e). A 5–0 silk traction suture is placed on the cut end of the septum and conjunctiva. With a Desmarres retractor placed on the lower lid and a malleable gently retracting the globe, cotton-tipped applicators are used to bluntly dissect in this preseptal plane down to the orbital rim (►Figure 2f). The periosteum at the orbital rim is then incised with a needle-tipped cautery.
The orbital floor and medial wall are dissected in a subperiosteal plane using a sharp-ended elevator. The inferior oblique muscle is identified and usually elevated along with the periorbita (►Figure 2g). Alternatively, it may be tagged with 5–0 Vicryl (Ethicon, Somerville, NJ) sutures, cut close to its origin, and then reapproximated at the end of the case. The displaced orbital tissue is dissected out from the maxillary and ethmoid sinuses and brought back into the orbit. Dissection is performed to expose the entire fracture and intact bone on all sides. The dimensions of the fracture are measured with a small paper ruler. A MEDPOR (Stryker, Kalamazoo, MI) implant (1 mm thick) is cut to these measured dimensions and placed through the transcaruncular incision over the medial wall defect. For large medial wall and floor fractures, MEDPOR TITAN implants (1 mm thick) are used. This implant is embedded with titanium mesh and can be bent to simulate the curve between the orbital floor and medial orbit. Appropriate sizing of the implant can be confirmed by utilizing a thin sheet of nylon (SupraFOIL, South Jackson, VA) as a guide. MEDPOR implants are presoaked in a bacitracin solution before insertion. The placement of the implant is visually confirmed so that it rests on stable bony ledges on all sides (►Figure 2h). The implant is then secured to the orbital rim with a single, self-drilling screw. Implants placed for isolated medial wall fractures may not require screw fixation if determined to be stable intraoperatively. No other methods of fixation are used. A forced duction test is performed to ensure absence of orbital entrapment. After reassurance that there is no restriction of ocular motility, the corneal shield is replaced. The operative field is irrigated and hemostasis assured.
Closure of the incisions is performed in appropriate fashion. The lower lid tarsus is reapproximated with 5–0 Vicryl sutures; this is left loose and tightened after the conjunctival incision is closed. The caruncle and conjunctiva are closed with 6–0 fast absorbing gut with buried, interrupted sutures. The traction sutures in the caruncle and septum are removed. The 5–0 silk sutures in the lower lid tarsus may be taped to the forehead and used as Frost sutures when necessary.

Results

Preoperative Findings

In this study, 24 patients with orbital fractures of the medial wall or combined medial wall–floor fractures underwent orbital reconstruction using a transcaruncular approach. Of these, 16 patients were available for follow-up. Patient demographics are summarized in ►Table 1. The transcaruncular approach was used in aforementioned 16 patients during the study period—seven patients with isolated medial wall fractures underwent a transcaruncular approach, and nine patients with combined medial wall and floor fractures underwent a combined transcaruncular–transconjunctival– lateral canthotomy approach for reconstruction. The mean patient age standard deviation was 31.5 14.0 years (range, 13–65 years), with the majority of patients being male (10 males and 6 females). The most common mechanism of injury was interpersonal violence (11), followed by falls (3), motor vehicle accidents (1), and blunt facial trauma (1). The mean interval between injury and surgery for the medial orbital fracture group was 16.0 days (range, 6–30 days), and for the medial wall and floor group was 24.6 days (range, 11–67 days). Of note, while six of the patients with combined injuries were repaired within 2 weeks, three patients were slow to follow-up accounting for treatment delays (26, 46, and 67 days). Preoperatively, all patients with isolated medial wall fractures had enophthalmos. Of the patients with medial wall and floor fractures, five patients had enophthalmos with two also demonstrating hypoglobus. Diplopia was present in one of the patients with isolated medial wall fractures and was present in two of the nine patients with medial wall and floor fractures. Preoperative CT scan records were available for four of the isolated medial wall fractures and eight of the medial wall and floor fractures; these were used to measure the size of the fracture defect. The mean area of the defect for isolated medial wall fractures was 3.5 0.9 cm2 (range, 2.6–4.6 cm2), and that for combined medial wall and floor fractures was 8.6 2.2 cm2 (range, 4.5–12.7 cm2).
Table 1. Patient demographics and preoperative measurements.

Operative Findings

Isolated medial orbital wall fractures were reconstructed with single MEDPOR (Stryker) implants. Combined medial wall and floor fractures were reconstructed with MEDPOR TITAN implants; a single implant was used in seven patients, and two implants were used in one patient (to avoid the need to divide the inferior oblique muscle) (see ►Figure 5). Excellent exposure was achieved in all cases. No intraoperative complications were encountered.
Figure 5. A 48-year-old man with a large left-side combined orbital floor and medial orbital wall blowout fracture from an assault. Fracture area was 7.8 cm2 and was covered with two separate pieces of MEDPOR TITAN implant, divided to avoid transection of the inferior oblique muscle. Preoperative scan (top), postoperative scan (middle), and postoperative 3D rendering (bottom).

Postoperative Findings

Standard protocol dictated postoperative evaluation for a minimum of 3 months. However, due to the nature of the patient population, numerous patients were lost to followup before this time point. The mean follow-up for patients with isolated medial wall fractures was 2.6 weeks (range, 2–3 weeks) and that for combined medial wall and floor fractures was 9.5 weeks (range, 2–34 weeks). Postoperative CT scans were obtained for three of the medial wall fracture patients and for eight medial wall and floor fracture patients. Although the MEDPOR implants are difficult to visualize on CT scan (►Figure 3), the orbital contents were seen to be reduced in a satisfactory position in all the three patients with isolated medial wall fractures. The MEDPOR TITAN implants were seen to be in a good position in seven patients. In one patient, the implant slid off the medial fracture ledge with the edge of the implant resting in the ethmoid sinus (►Figure 6). Despite this, the patient had no visual complaints and did not require reoperation. The combined transcaruncular and transconjunctival approaches were incorporated into a diverse range of periorbital procedures and allowed for precise and stable placement of the implant (►Figs. 3–6).
Figure 3. Transcaruncular approach: A 17-year-old adolescent girl with an isolated left-side medial orbital wall fracture from an assault. The fracture area was 4.9 cm2 and was covered with MEDPOR. Of note, the implant is radiolucent on postoperative imaging; however, the implant placement is outlined (dashed line). Preoperative scan (top) and postoperative scan (bottom).
Figure 6. A 24-year-old woman with a large right-side combined orbital floor and medial orbital wall blowout fracture from a traumatic fall. The fracture area was 7.5 cm2 and was covered with MEDPOR TITAN. Preoperative scan and 3D rendering (top), postoperative scan and 3D rendering (bottom). Note that the superior edge of the implant (dotted arrow) slid off the fracture line (solid arrow).
There were no postoperative complications in any of the patients who underwent isolated medial wall reconstruction. For patients with medial wall and floor reconstruction, five patients were without complications. In the remaining three patients, complications occurred that include transient epiphora (three), blepharospasm (one), and retrobulbar hematoma (one). Two of the three patients with preoperative diplopia had continued, but improved, symptoms.

Discussion

Pure orbital blowout fractures most commonly involve the orbital floor or the medial orbital wall, as these are the thinnest bones of the orbit [1]. Access to the medial orbit is challenging, as there are important structures in close proximity, such as the medial canthus and lacrimal apparatus. Various approaches to the medial orbit have been described. The traditional technique involves the Lynch incision, which is a vertical incision between the medial canthus and bridge of the nose. A subperiosteal plane of dissection is carried to the medial orbit while protecting the medial canthal tendon and the lacrimal apparatus from inadvertent injury. The major advantage of this technique is its simplicity and quick access. However, it leaves a visible cutaneous scar, occasionally resulting in webbing. Access to the posterior medial orbit is also restricted. The coronal approach provides an excellent view of the entire medial orbit. Nonetheless, this technique is not without drawbacks, such as blood loss, a long incision in the hairline, potential scar alopecia, an extensive dissection, and possible sensory abnormalities. Upper and lower lid transcutaneous approaches have the advantage of a wellcamouflaged scar and a more direct approach. Exposure, however, is limited and unfavorable scarring may lead to entropion or ectropion. The endoscopic endonasal approach uses an endoscope to access the medial orbit via the ethmoid sinus [7]. The ethmoid air cells are removed, the herniated contents are replaced back into the orbit, and the medial orbital wall reconstructed with a bone graft or implant. Packing is placed in the ethmoid sinus to maintain reduction and is removed weeks later. The major advantage of this technique is that it leaves no external scar. However, it has not achieved wide acceptance, and long-term results are not well documented.
Since the introduction of the transcaruncular technique for management of orbital blowout fractures by Garcia et al. [2] in 1998, several other reports have been published attesting to the safety and efficacy of this approach. The technique helped expose the medial orbital wall with minimal residual scarring or complications for procedures ranging from fracture repair to dysthyroid orbitopathy decompression.1,3 Despite the small incision, implants of up to 2 cm in height have been successfully inserted [8]. Others have described the ease in which one can obtain additional exposure to the orbital floor by incorporating a transconjunctival incision and lateral canthotomy [9,10,11]. We were successful in providing adequate fracture coverage of large fractures with a single implant through these combined incisions. Su and Harris published their series of 19 patients with orbital fractures, effectively reconstructed with overlapping thin implants via the combined transcaruncular/transconjunctival incision [12]. Several transient complications and subclinical sequelae of the transcaruncular approach have been reported. Malhotra et al. noted in a series of 13 patients postoperative corneal epitheliopathy, orbital inflammation, inferior oblique underaction, symblepharon, and conjunctival granuloma [13]. In an interesting study by Lee et al., postoperative orbital volume in the repaired side remained greater than the contralateral normal orbit without noticeable clinical enophthalmos or complications.
Large orbital fractures involving the orbital floor and medial orbital wall are challenging to repair because of difficulty obtaining adequate exposure. The transcaruncular approach combined with an inferior transconjunctival approach and a lateral canthotomy provides excellent visualization of the fracture and surrounding intact orbit so that an appropriately sized implant can be placed. Out of the three patients in our study who presented with diplopia, two patients had persistent but improved double vision postoperatively. Both of the patients with persistent diplopia had combined medial/floor fractures on presentation (total area: 4.5 and 9.6 cm2, respectively). One patient’s diplopia resolved completely after working with an ocular motility therapist, while the other patient was noted to have regained normal vision at a 6-month follow-up visit and did not require further intervention. The underlying cause of this persistent diplopia is not entirely clear. All patients had documented normal globe motility confirmed with a forced duction test at the conclusion of the orbital reconstruction. The incidence of residual diplopia after repair orbital wall fracture has been reported to be up to 10% in case series [10]. The possible cause of the persistent diplopia can be injury to the inferior oblique because of the original trauma, surgical dissection, or scar formation that restricts movement of the extraocular muscles. We prefer to dissect the inferior oblique subperiosteally with the periorbita. At the conclusion of the case, the muscle is repositioned as the periosteum is sutured back. In cases where the inferior oblique was not elevated along with the periorbita, the muscle is divided and subsequently sutured back after the implant has been placed. Graham et al. described 49 patients who underwent a transcaruncular approach, including 26 for medial orbital decompression. The authors reported a single case of medial fornix scarring causing diplopia as the only complication, which required a revision with resolution of diplopia [9]. Thus, the possibility of persistent diplopia and additional procedures should be explained to the patient before surgery.
One patient developed a retrobulbar hematoma requiring evacuation. The patient was a 27-year-old man who sustained a right-side combined medial wall/floor fracture with a total area of 9 cm2 after an assault. Notably, he did not present for initial repair until 46 days later, due to extenuating social circumstances. The CT scan done on postoperative day 1 showed optimal placement of the MEDPOR TITAN implant and no other abnormalities. A retrobulbar hematoma was diagnosed on postoperative day 2 after the patient complained of increasing pain and eye swelling. The patient recovered completely without any visual disturbances after operative evacuation of approximately 10 mL of hematoma. Although this is a rare complication, it requires considerable clinical suspicion and immediate action because it can cause blindness. It has been reported after trauma, facial fracture surgery, periorbital surgery (e.g., blepharoplasty), and circumbulbar anesthesia.14,15 The vessels most often involved in retrobulbar hematomas include either the infraorbital arteries or the anterior and posterior ethmoidal arteries. Repairs are generally performed within 2 weeks of initial trauma because fibrosis and scarring increase difficulty in repair and risk of latent complications [16]. Regarding choice implant choice, nonporous implants such MEDPOR TITAN do not allow orbital blood to drain into the maxillary sinus. One possible solution to this is to drill holes in the implant to allow for drainage, which is now the senior author’s practice.
Indications for repair of orbital blowout fractures include large bony defects, acute enophthalmos, diplopia with entrapment of orbital tissue, and occurrence of the oculocardiac reflex. In our series, enophthalmos was corrected in all patients postoperatively. Postoperative CT scans showed the implants to be in acceptable position in all patients. We believe that it is important to completely dissect out orbital defect and the place the implant on stable bone at the margins of the fracture.
As a retrospective analysis of a single surgeon’s experience, this study has several limitations. Currently, only the senior author routinely uses the described techniques for the repair of orbital fractures at our institution. This detail limited the number of patients who could be effectively studied and followed. A notable weakness of our study is the low rate of patient followup (67%). Ideally, postoperative clinic visits provide the surgeon an opportunity to evaluate the patient’s healing and to address any complications. Despite our best efforts, our several patients could not be scheduled or contacted. Poor follow-up is unfortunately a common finding in trauma populations, and especially in those who are uninsured. Our limited long-term evaluation of some of our patients may be related to various socioeconomic factors that we do not fully appreciate (e.g., patient understanding of the disease process, financial burden, insurance status, and availability of transportation). Patients who did not follow-up potentially tolerated the procedure well and had an uneventful postoperative course. Alternatively, the opposite possibility exists that some may have been dissatisfied with their care and sought treatment elsewhere. Currently, the authors advocate the combined transcaruncular and transconjunctival approach based on the available data; however, future studies involving additional surgeons, a larger cohort, and longer follow-up are needed.

Conclusion

We have found the transcaruncular approach to provide excellent exposure of the medial orbit. Even large fractures involving the medial orbital wall and orbital floor can be adequately exposed and safely reconstructed with a combined transcaruncular–transconjunctival–lateral canthotomy approach. There were no complications involving the nasolacrimal system, extraocular muscles, or conjunctiva. Porous polyethylene implants (e.g., MEDPOR and MEDPOR TITAN), our preference in orbital repair, can be easily and successfully positioned through this exposure.
Disclosures
None.

Author Contributions

Dennis, C. Nguyen, MD—concept, design, data acquisition/ analysis/interpretation, article drafting, and revising. Farooq Shahzad, MD—concept, design, data acquisition, article drafting, and revising. Alison Snyder-Warwick, MD—concept, design, data acquisition, and article revising. Kamlesh, B. Patel, MD—concept, design, data acquisition, and article revising. Albert, S. Woo, MD—concept, design, data acquisition/ analysis/interpretation, article drafting, and revising

Note

1
This article was orally presented at the Annual Meeting of the American Society of Plastic Surgeons (ASPS), Denver, CO, October 23–27, 2011.

References

  1. Burm, J.S.; Chung, C.H.; Oh, S.J. Pure orbital blowout fracture: New concepts and importance of medial orbital blowout fracture. Plast Reconstr Surg 1999, 103, 1839–1849. [Google Scholar] [CrossRef] [PubMed]
  2. Garcia, G.H.; Goldberg, R.A.; Shorr, N. The transcaruncular approach in repair of orbital fractures: A retrospective study. J Craniomaxillofac Trauma 1998, 4, 7–12. [Google Scholar] [PubMed]
  3. Shorr, N.; Baylis, H.I.; Goldberg, R.A.; Perry, J.D. Transcaruncular approach to the medial orbit and orbital apex. Ophthalmology 2000, 107, 1459–1463. [Google Scholar] [CrossRef] [PubMed]
  4. Goldberg, R.A.; Mancini, R.; Demer, J.L. The transcaruncular approach: Surgical anatomy and technique. Arch Facial Plast Surg 2007, 9, 443–447. [Google Scholar] [CrossRef] [PubMed]
  5. Lee, C.S.; Yoon, J.S.; Lee, S.Y. Combined transconjunctival and transcaruncular approach for repair of large medial orbital wall fractures. Arch Ophthalmol 2009, 127, 291–296. [Google Scholar] [CrossRef] [PubMed]
  6. Stoll, W.; Busse, H.; Kroll, P. [Transconjunctival incision and lateral canthotomy. A suitable approach for orbital floor and zygomatic bone correction]. Laryngol Rhinol Otol (Stuttg) 1984, 63, 45–47. [Google Scholar] [CrossRef] [PubMed]
  7. Han, K.; Choi, J.H.; Choi, T.H.; et al. Comparison of endoscopic endonasal reduction and transcaruncular reduction for the treatment of medial orbital wall fractures. Ann Plast Surg 2009, 62, 258–264. [Google Scholar] [CrossRef] [PubMed]
  8. Baumann, A.; Ewers, R. Transcaruncular approach for reconstruction of medial orbital wall fracture. Int J Oral Maxillofac Surg 2000, 29, 264–267. [Google Scholar] [CrossRef] [PubMed]
  9. Graham, S.M.; Thomas, R.D.; Carter, K.D.; Nerad, J.A. The transcaruncular approach to the medial orbital wall. Laryngoscope 2002, 112, 986–989. [Google Scholar] [CrossRef] [PubMed]
  10. Kim, S.; Helen Lew, M.; Chung, S.H.; Kook, K.; Juan, Y.; Lee, S. Repair of medial orbital wall fracture: Transcaruncular approach. Orbit 2005, 24, 1–9. [Google Scholar] [CrossRef] [PubMed]
  11. Scolozzi, P. Reconstruction of severe medial orbital wall fractures using titanium mesh plates placed using transcaruncular-transconjunctival approach: A successful combination of 2 techniques. J Oral Maxillofac Surg 2011, 69, 1415–1420. [Google Scholar] [CrossRef] [PubMed]
  12. Su, G.W.; Harris, G.J. Combined inferior and medial surgical approaches and overlapping thin implants for orbital floor and medial wall fractures. Ophthal Plast Reconstr Surg 2006, 22, 420–423. [Google Scholar] [CrossRef] [PubMed]
  13. Malhotra, R.; Saleh, G.M.; de Sousa, J.L.; Sneddon, K.; Selva, D. The transcaruncular approach to orbital fracture repair: Ophthalmic sequelae. J Craniofac Surg 2007, 18, 420–426. [Google Scholar] [CrossRef] [PubMed]
  14. Hass, A.N.; Penne, R.B.; Stefanyszyn, M.A.; Flanagan, J.C. Incidence of postblepharoplasty orbital hemorrhage and associated visual loss. Ophthal Plast Reconstr Surg 2004, 20, 426–432. [Google Scholar] [CrossRef] [PubMed]
  15. Liu, D. Blindness after blow-out fracture repair. Ophthal Plast Reconstr Surg 1994, 10, 206–210. [Google Scholar] [CrossRef] [PubMed]
  16. Burnstine, M.A. Clinical recommendations for repair of isolated orbital floor fractures: An evidence-based analysis. Ophthalmology 2002, 109, 1207–1210, discussion 1210–1211, quiz 1212–1213. [Google Scholar] [CrossRef] [PubMed]

Article Metrics

Citations

Article Access Statistics

Multiple requests from the same IP address are counted as one view.