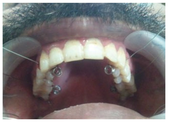
Spiral Intermaxillary Fixation
Abstract
:References
- Roccia, F.; Tavolaccini, A.; Dell’Acqua, A.; Fasolis, M. An audit of mandibular fractures treated by intermaxillary fixation using intraoral cortical bone screws. J Craniomaxillofac Surg 2005, 33, 251–254. [Google Scholar] [PubMed]
- Cousin GCS. Wire-free fixation of jaw fractures. Br J Oral Maxillofac Surg 2009, 47, 521–524. [Google Scholar]
- Ramsay-Baggs, P. The Ulster hook for intermaxillary fixation. Br J Oral Maxilllofac Surg 2011, 49, 324–325. [Google Scholar] [CrossRef] [PubMed]
- Koulocheris, P.; Sakkas, N.; Otten, J.E. Maxillomandibular fixation with Otten mini-hooks. Br J Oral Maxillofac Surg 2007, 45, 679–680. [Google Scholar] [CrossRef] [PubMed]




© 2012 by the author. The Author(s) 2012.
Share and Cite
Kumar, Y.R.; Chaudhary, Z.; Sharma, P. Spiral Intermaxillary Fixation. Craniomaxillofac. Trauma Reconstr. 2012, 5, 97-98. https://doi.org/10.1055/s-0032-1313361
Kumar YR, Chaudhary Z, Sharma P. Spiral Intermaxillary Fixation. Craniomaxillofacial Trauma & Reconstruction. 2012; 5(2):97-98. https://doi.org/10.1055/s-0032-1313361
Chicago/Turabian StyleKumar, Yuvika Raj, Zainab Chaudhary, and Pankaj Sharma. 2012. "Spiral Intermaxillary Fixation" Craniomaxillofacial Trauma & Reconstruction 5, no. 2: 97-98. https://doi.org/10.1055/s-0032-1313361
APA StyleKumar, Y. R., Chaudhary, Z., & Sharma, P. (2012). Spiral Intermaxillary Fixation. Craniomaxillofacial Trauma & Reconstruction, 5(2), 97-98. https://doi.org/10.1055/s-0032-1313361