Endoscopic Dacryocystorhinostomy Following Nasolacrimal Drainage System Trauma and Medial Orbital Wall Reconstruction
Abstract
Introduction
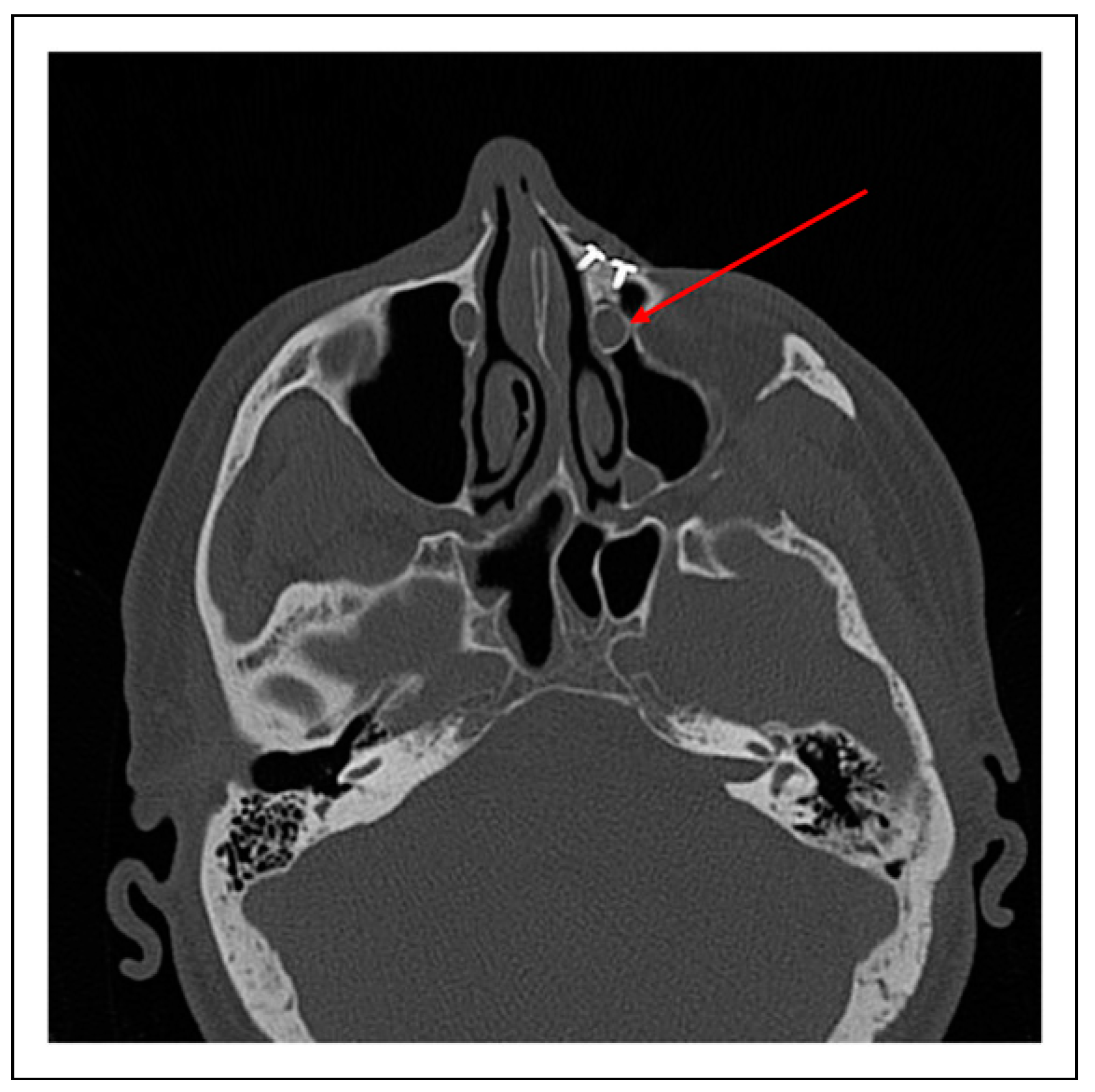
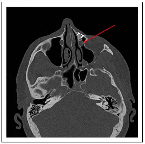
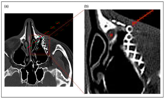
Case 1
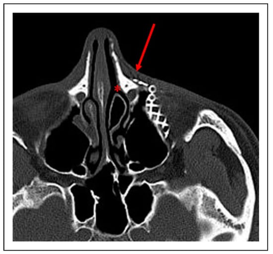
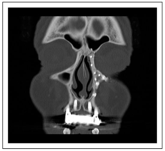
Case 2
Discussion
Funding
Conflicts of Interest
References
- Shim, W.S.; Cho, M.J.; Kim, J.; Jung, H.J. Epiphora after nasolacrimal duct fracture in patients with midfacial trauma: A retrospective study. Medicine (Baltim.) 2019, 98, e18120. [Google Scholar] [CrossRef]
- Uzun, F.; Karaca, E.E.; Konuk, O. Surgical management of traumatic nasolacrimal duct obstruction. Eur J Ophthalmol. 2016, 26, 517–519. [Google Scholar] [CrossRef] [PubMed]
- Kang, J.M.; Kalin-Hajdu, E.; Idowu, O.O.; Vagefi, M.R.; Kersten, R.C. Nasolacrimal obstruction following the placement of maxillofacial hardware. Craniomaxillofacial Trauma Reconstr. 2020, 13, 32–37. [Google Scholar] [CrossRef] [PubMed]
- Chon, B.H.; Zhang, R.; Bardenstein, D.S.; Coffey, M.; Collins, A.C. Bloody epiphora (hemolacria) years after repair of orbital floor fracture. Ophthalmic Plast Reconstr Surg. 2017, 33, e118–e120. [Google Scholar] [CrossRef]
- Mauriello, J.A.; Fiore, P.M.; Kotch, M. Dacryocystitis. Late complication of orbital floor fracture repair with implant. Ophthalmology. 1987, 94, 248–250. [Google Scholar] [CrossRef] [PubMed]
- Kohn, R.; Romano, P.E.; Puklin, J.E. Lacrimal obstruction after migration of orbital floor implant. Am J Ophthalmol. 1976, 82, 934–936. [Google Scholar] [CrossRef] [PubMed]
- Gruss, J.S.; Hurwitz, J.J.; Nik, N.A.; Kassel, E.E. The pattern and incidence of nasolacrimal injury in naso-orbital-ethmoid fractures: The role of delayed assessment and dacryocystorhinostomy. Br J Plast Surg. 1985, 38, 116–121. [Google Scholar] [CrossRef] [PubMed]
- Becelli, R.; Renzi, G.; Mannino, G.; Cerulli, G.; Iannetti, G. Posttraumatic obstruction of lacrimal pathways: A retrospective analysis of 58 consecutive naso-orbitoethmoid fractures. J Craniofac Surg. 2004, 15, 29–33. [Google Scholar] [CrossRef] [PubMed]
- Garg, R.K.; Hartman, M.J.; Lucarelli, M.J.; Leverson, G.; Afifi, A.M.; Gentry, L.R. Nasolacrimal system fractures: A description of radiologic findings and associated outcomes. Ann Plast Surg. 2015, 75, 407–413. [Google Scholar] [CrossRef] [PubMed]
- Mukherjee, B.; Dhobekar, M. Traumatic nasolacrimal duct obstruction: Clinical profile, management, and outcome. Eur J Ophthalmol. 2013, 23, 615–622. [Google Scholar] [CrossRef] [PubMed]
- Raslan, O.A.; Ozturk, A.; Pham, N.; Chang, J.; Strong, E.B.; Bobinski, M. A comprehensive review of cross-sectional imaging of the nasolacrimal drainage apparatus: What radiologists need to know. AJR Am J Roentgenol. 2019, 213, 1331–1340. [Google Scholar] [CrossRef] [PubMed]
- Freitag, S.K.; Woog, J.J.; Kousoubris, P.D.; Curtin, H.D. Helical computed tomographic dacryocystography with threedimensional reconstruction: A new view of the lacrimal drainage system. Ophthalmic Plast Reconstr Surg. 2002, 18, 121–132. [Google Scholar] [CrossRef] [PubMed]
- Ali, M.J.; Singh, S.; Naik, M.N.; Kaliki, S.; Dave, T.V. Interactive navigation-guided ophthalmic plastic surgery: The utility of 3D CT-DCG-guided dacryolocalization in secondary acquired lacrimal duct obstructions. Clin Ophthalmol. 2017, 11, 127–133. [Google Scholar] [CrossRef] [PubMed]
- Shoshani, Y.; Samet, N.; Ardekian, L.; Taicher, S. Nasolacrimal duct injury after Le Fort I osteotomy. J Oral Maxillofac Surg. 1994, 52, 406–407. [Google Scholar] [CrossRef] [PubMed]
- Drnovsek-Olup, B.; Beltram, M. Trauma of the lacrimal drainage system: Retrospective study of 32 patients. Croat Med J. 2004, 45, 292–294. [Google Scholar] [PubMed]
- Ali, M.J.; Gupta, H.; Honavar, S.G.; Naik, M.N. Acquired nasolacrimal duct obstructions secondary to naso-orbitoethmoidal fractures: Patterns and outcomes. Ophthalmic Plast Reconstr Surg. 2012, 28, 242–245. [Google Scholar] [CrossRef] [PubMed]
- Ku, J.K.; Yun, P.Y.; Kim, Y.K.; Kim, J.H. Dacryolith after a Le Fort I fracture: Case report. Int J Oral Maxillofac Surg. 2020, 49, 1199–1201. [Google Scholar] [CrossRef] [PubMed]
- Uraloğlu, M.; Erkin Unlü, R.; Ortak, T.; Sensöz, O. Delayed assessment of the nasolacrimal system at naso-orbito-ethmoid fractures and a modified technique of dacryocystorhinostomy. J Craniofac Surg. 2006, 17, 184–189. [Google Scholar] [CrossRef] [PubMed]
- Keren, S.; Abergel, A.; Manor, A.; et al. Endoscopic dacryocystorhinostomy: Reasons for failure. Eye. 2020, 34, 948–953. [Google Scholar] [CrossRef] [PubMed]
- Jawaheer, L.; MacEwen, C.J.; Anijeet, D. Endonasal versus external dacryocystorhinostomy for nasolacrimal duct obstruction. Cochrane Database Syst Rev. 2017, 2, CD007097. [Google Scholar] [CrossRef] [PubMed]






© 2024 by the author. The Author(s) 2024.
Share and Cite
Turner, L.D.; Gounder, P.A.; Dobson, R.; Rajak, S.N. Endoscopic Dacryocystorhinostomy Following Nasolacrimal Drainage System Trauma and Medial Orbital Wall Reconstruction. Craniomaxillofac. Trauma Reconstr. 2024, 17, 62. https://doi.org/10.1177/19433875241250221
Turner LD, Gounder PA, Dobson R, Rajak SN. Endoscopic Dacryocystorhinostomy Following Nasolacrimal Drainage System Trauma and Medial Orbital Wall Reconstruction. Craniomaxillofacial Trauma & Reconstruction. 2024; 17(4):62. https://doi.org/10.1177/19433875241250221
Chicago/Turabian StyleTurner, Laura Drayer, Pav A. Gounder, Randolph Dobson, and Saul N. Rajak. 2024. "Endoscopic Dacryocystorhinostomy Following Nasolacrimal Drainage System Trauma and Medial Orbital Wall Reconstruction" Craniomaxillofacial Trauma & Reconstruction 17, no. 4: 62. https://doi.org/10.1177/19433875241250221
APA StyleTurner, L. D., Gounder, P. A., Dobson, R., & Rajak, S. N. (2024). Endoscopic Dacryocystorhinostomy Following Nasolacrimal Drainage System Trauma and Medial Orbital Wall Reconstruction. Craniomaxillofacial Trauma & Reconstruction, 17(4), 62. https://doi.org/10.1177/19433875241250221
