Abstract
Study Design: Retrospective chart review of pediatric and globe injuries associated with orbital fractures. Objective: Our study seeks to examine these injuries and their association with orbital fractures at our trauma center to gain a better understanding of how to approach pediatric patients with orbital fractures. Methods: A retrospective review of all facial fractures in pediatric patients at an urban level 1 trauma center was performed for the years 2002 to 2014. Patient demographics were collected, as well as orbital fracture location, mechanism of injury, concomitant injuries, ophthalmologic documentation, imaging, and perioperative records. Results: One hundred sixteen pediatric patients over a 12-year period sustained an orbital fracture. The orbital floor was the most commonly fractured orbital bone in our series (60%). Thirty-four (30%) of the pediatric patients with orbital fractures had documented periorbital and/or globe injuries at the time of presentation. The most common periorbital injury was entrapment related to orbital floor fractures. Significant eyelid lacerations were present in seven patients, with five of these patients had canalicular injuries and two had canthal malposition. Five pediatric patients presented with traumatic optic neuropathy. Two patients had ruptured globes requiring enucleation. Conclusions: Periorbital soft tissue and globe injuries associated with orbital fractures occurs in a substantial number of pediatric patients. There are no guidelines for treatment of these type of injuries in the pediatric population. Further research should be performed to better understand the appropriate management of periorbital injuries in conjunction with surgical management of the orbital fractures.
Introduction
Pediatric orbital fractures are a unique subset of fractures that often present with concomitant injuries to the periorbital structures and the globe. Facial fractures are less common in children compared to adults; however, 40% of all facial fractures in children involve the orbit.[1] These types of fractures can be associated with periorbital injuries and injuries to the globe that could potentially cause long-term sequelae. Although there are studies discussing the management of these injuries in adult patients, there are relatively few published studies evaluating the characteristics and management of periorbital injuries as they relate to orbital fractures in the pediatric population.[2,3]
There are differences in orbital fracture patterns between adults and children. These can be attributed to differences in anatomy and bone characteristics between children and adults.[4] To sustain sub-cranial facial injury in this agegroup requires a higher impact force than in adults. The elasticity of the pediatric facial skeleton lends an element of resilience that, for any given impact, the force that would produce a fracture in an adult may not do so in a child.[5] One could then infer that, if the force extensive enough to produce an orbital fracture in a child is more than that of an adult, the associated injury to the periorbital tissues could be more devastating as well. The contents of the orbital cavity include the globe, extraocular muscles, lacrimal gland, periorbital fat, and neurovascular bundles. The ligamentous support of the globe is composed of the medial and lateral check ligaments, the orbital septum, and Lockwood’s suspensory ligament. The elasticity and resilience of these structures in the pediatric orbit provides additional stability.[6] Globe injury following orbital trauma ranges from 7.2% to 30% in the literature for the pediatric population. These injuries may range from minor corneal abrasions to globe rupture, which is the most common cause of blindness following orbital trauma. Additional acute traumatic ophthalmologic conditions often observed in the setting of orbital fracture include retinal detachment, vitreous hemorrhage, and optic nerve compression.[7]
The primary imaging modality to evaluate for orbital and facial trauma is high-resolution computed tomography (CT) of the maxillofacial skeleton, often combined with three-dimensional reconstructed images. Computed tomography scans are ideal for imaging bones and therefore are good for evaluating the presence or absence of fractures; however, they may not accurately image concurrent soft tissue injuries.[8,9] For rapid evaluation of the globe, ultrasound can be advantageous, with exception in suspicion of a ruptured globe since pressure upon the ocular surface may cause further acute eye decompensation, extravasation of intraocular contents, or both. MRI, while having superior ability to differentiate soft tissues, is usually not recommended for initial trauma evaluation and is contraindicated in cases where suspicion exists for a metallic foreign body.
While there are excellent studies discussing orbital fractures in the pediatric patient, there is a dearth of studies discussing the characteristics and clinical presentation of associated periorbital and globe injuries. The aim of this study is to examine the incidence and management of periorbital and globe injuries at our institution to gain a better understanding of how to approach pediatric patients with orbital fractures.
Materials and Methods
A protocol was submitted and approved by the institutional review board of the study institution. A retrospective review of all facial fractures in pediatric patients at University Hospital in Newark, our level 1 trauma center, during the period of 2002 to 2014. One hundred sixteen patients were identified who met criteria for the study. All patients included in this study were less than 18 years of age and had suffered a traumatic injury to the face which resulted in facial fracture confirmed with CT. Patient demographics were collected, as well as orbital fracture type, mechanism of injury, concomitant injuries, ophthalmologic documentation, imaging, and surgical records. All information was gathered from the electronic medical record and a database was created. Chi square analysis was used for statistical comparison of dichotomous groups. Multivariate regressions were calculated for possible confounders. All statistical analyses were conducted using IBM SPSS Statistics (Version 25, IBM Corp.) and significance was set to the level of P < .05.
Results
One hundred sixteen pediatric patients sustained an orbital fracture; 30% of those patients (N = 34) had periorbital and globe injuries severe enough to necessitate operative intervention. The mean age of the pediatric patients with periorbital injuries was 11.4 years. There was a male predominance with 1.8:1 male to female ratio (22 vs 12); interestingly, in the subset of patients less than 10 years (N = 10), six of these patients were female. The most common mechanism of injury in children and adolescent patients with periorbital injuries was motor vehicle collision, which occurred in 23.5% of patients. When patients are subdivided into groups of less than 10 years of age and patient age 10-18 days, the next most common mechanism of injury in children less than 10 is pedestrian struck injuries followed by falls. In patient age 10-18, the next most common mechanism of injury is assault followed by gunshot wounds. The traumatic etiology and its associated periorbital injury are presented in Table 1. The most common orbital fracture types in all pediatric patients in our series were orbital floor (60%) and medial orbital wall (48%). Figure 1 shows the proportion of each orbital fracture type that was associated with periorbital injury.
Table 1.
Comparison Between Mechanism of Trauma and the Resulting Periorbital Injury.
Figure 1.
Pediatric orbital fracture location associated with periorbital/globe injury. (Lat indicates lateral; Med, medial; Inf, inferior).
Abbreviations: GSW, gunshot wound; Inj, injury; MVC: motor vehicle collision.We also analyzed the timing of surgery for each type of periorbital injury suffered. Most interventions were performed in an elective setting, although in 22% cases, surgical intervention was performed in an emergent fashion. The most common periorbital injury that required emergent surgical management was muscle entrapment secondary to orbital fractures (Figure 2). Eighty-seven percent of the pediatric patients who developed muscle entrapment had an associated orbital floor fracture; one patient had muscle entrapment caused by a medial orbital wall defect.
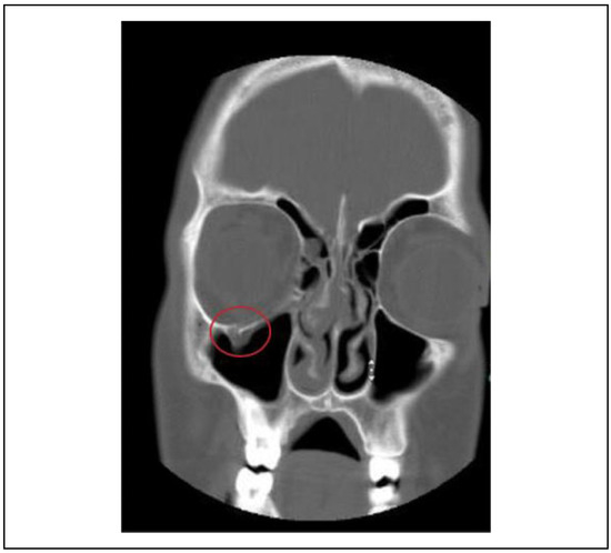
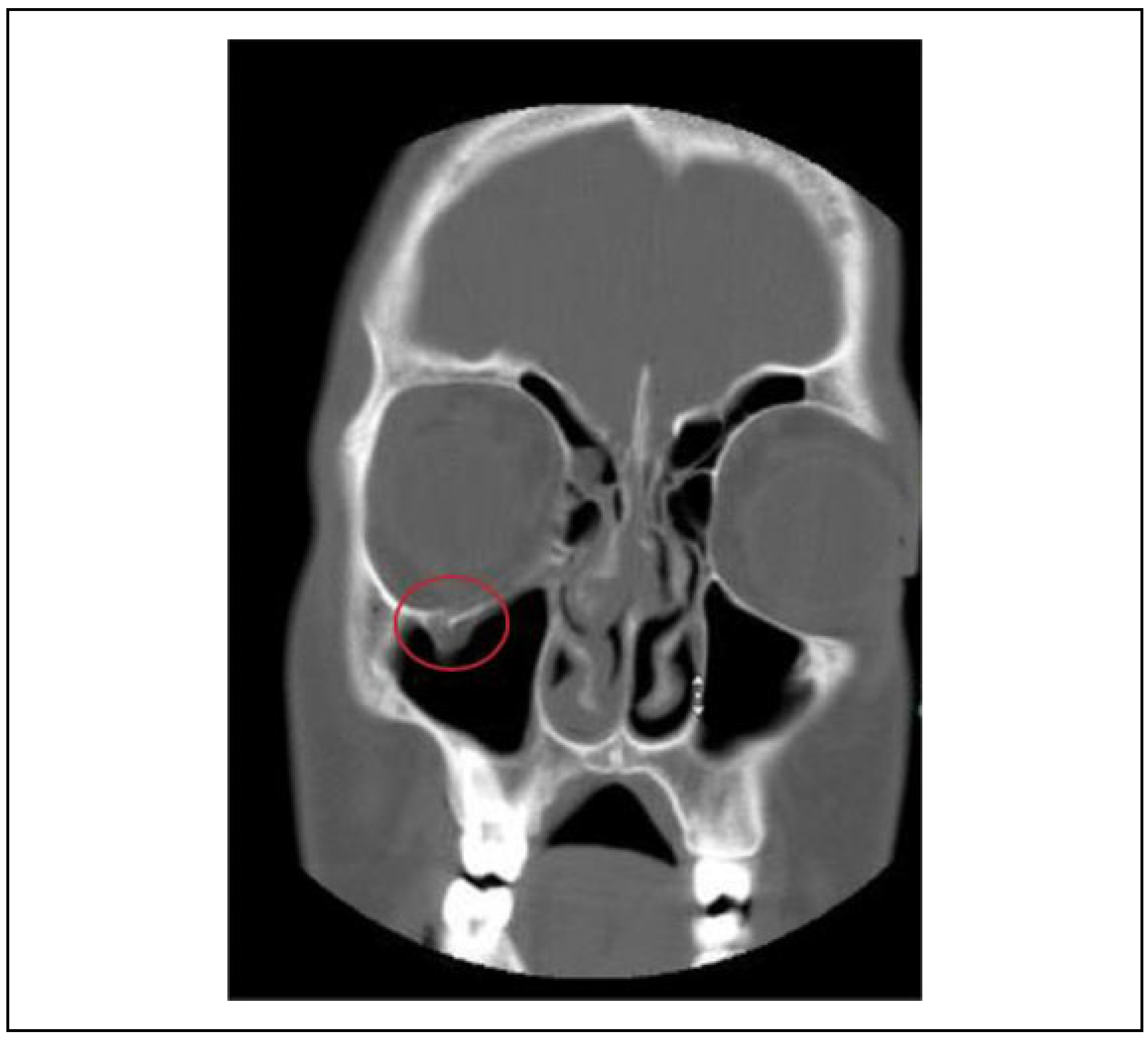
Figure 2.
Pediatric patient with right-sided orbital floor fracture with muscle entrapment.
In addition to muscle entrapment, many other types of periorbital and globe injuries were diagnosed in our pediatric cohort. Complex eyelid lacerations were requiring operative intervention occurred in seven patients, with two of these patients requiring canthal repositioning. There were five cases of lacrimal/canalicular injury, five cases of traumatic optic neuropathy, and three cases of hyphema. Two patients had ruptured globe requiring enucleation. One patient had direct injury to the optic nerve by gunshot wound to the orbit penetrating the optic canal (Figure 3).
Figure 3.
Direct injury to the optic canal and optic nerve by gunshot wound.
Mean follow-up time for our patient cohort was 32.5 months (range 0-180). Six patients suffered sequelae related to their original periorbital/globe injury that was documented in their medical record at our institution. One patient with a full-thickness lower lid laceration required multiple revision procedures to treat ectropion. Another patient with an extensive upper lid laceration involving the frontal branch of the facial nerve required a gold weight to be placed due to exposure keratopathy. Two patients with lacrimal system injuries on initial presentation suffered chronic dacrocytistis that required dacryocystorhinostomy several months later. One patient with canalicular injury required Jones tube placement several weeks after initial injury. Interestingly, one of the five patients with traumatic optic neuropathy did show vision improvement in her follow-up visit; one remained completely blind, and the others were lost to follow-up.
Discussion
Management of pediatric periorbital injuries is an important topic of discussion, as no landmark studies exist and no guidelines have been developed. The high incidence of periorbital and globe injuries associated with orbital fractures suggest the need for further understanding the pathophysiology and management of these injuries. In many centers, the treatment algorithms for adult facial fractures is extrapolated to guide management of the pediatric patient.[10] One study, published by Cossman et al, describes a retrospective review study for a 2-year period in a level 1 trauma center, where 1171 patients with traumatic orbital or skull base fractures were identified and included. The population in this study included both adults and pediatric patients. Notably, approximately half of these patients were found to have ophthalmologic injuries associated to orbital fractures.[11]
In recent literature, several studies discussing orbital fracture management specifically in the patients have been published. Significant differences have been identified in the fracture patterns in children, compared to adults.[12,13,14,15,16] These differences may be attributable to differences in anatomy and bone characteristics between the two groups. Unlike adults, children, particularly those younger than 7 years, are more likely to suffer isolated orbital roof fractures because of immature or incomplete sinus development and a more prominent forehead.[11] This correlates to the results of our study, in which there was a significantly higher proportion in orbital roof fractures in children less than 10 when compared to the older pediatric and adolescent cohort.
Even though there may be some controversies with indications for operative repair of facial fractures in the pediatric population, there is consensus that operative repair of orbital fractures is absolutely indicated in cases of muscular entrapment.[16,17,18] In nearly all of the studies discussing orbital floor management in children, 100% of patients who presented with clinical evidence of entrapment underwent emergent surgical intervention with 48 hours of hospital admission. The majority of studies (83%) that analyzed time to surgery in relation to outcomes found that children who present early after initial injury and undergo prompt surgical repair appear to recover faster and have better postoperative motility than those receiving delayed treatment. Most studies have found that earlier surgical intervention for children with entrapment results in better outcomes than later intervention.[18] In our study, all patients with entrapment were treated within 24 to 48 hours after presentation, with no long-term sequelae noted in the follow-up records.
It should be mentioned that eyelid lacerations in children, just as in adults, can lead to scleral show, ectropion, and lid-lag. The functional and aesthetic complications related to significant lacerations can cause significant morbidity in children. A retrospective review of eyelid lacerations in adult and children indicates that most complications are not related to the timing of repair, as many lacerations were repaired after 24 hours. Rather, complications such as ptosis, lid retraction, and persistent deformity were related to initial injury severity.[19] Oftentimes, laceration repair was delayed due to the need for management of more emergent issues related to concomitant injuries.
Lacrimal duct injuries typical occur in conjunction with injuries medial to the lacrimal punctum, often affecting the inferior canaliculus.[20] Unrepaired lacrimal injuries can result in persistent epiphora and aesthetic deformity. Lacrimal injuries can be diagnosed by physical examination, which should include interrogation of the canicular system.[21] Canilicular injuries should be repaired within 48 hours of diagnosis, either by direct anastomosis or repair over a stent.[20] Long-term sequelae can occur and persistent epiphora or dacrocystitis can require subsequent procedures months or even years after initial injury.
The arguably most severe and feared complication of periocular injury in children is blindness. This can occur due to direct trauma to the globe or traumatic optic neuropathy due to significant blunt injury to the cranium. A retrospective evaluation of over 58 000 pediatric patients in the National Trauma Data Bank showed that the most common visual pathway injury was traumatic optic neuropathy, often associated with oculomotor nerve injury.[19] The nerve is the most often damaged along its intracanalicular pathway.[20] Sheering forces and ischemia can cause swelling of the nerve in a tight space and vision loss can delay manifestation for 2 months.[21] Although slight recovery can be expected in some cases, as observed in one of our patients, often traumatic optic neuropathy is irreversible.[20,21,22,23,24] There is currently no evidence to suggest that treatment, including surgical decompression and systemic steroids, provides better visual outcomes than observation.[25,26,27]
There were several limitations to this study. First, the study was designed and performed as a retrospective review of a single center, which limits the variables able to be included in the study. The sample size was also limited due to the low incidence of periorbital injuries in the pediatric population of our institution. These limitations leave room for improvement for subsequent studies.
Conclusions
Periorbital soft tissue and globe injuries associated with orbital fractures occurs in a substantial number of pediatric patients. Although there are vast evidence and treatment algorithms for treatment of these injuries in adults, there is a lack in consensus for the treatment in the pediatric population. Further research should be performed to better understand the appropriate management of these injuries in conjunction with surgical management of the fractures.
Funding
The author(s) received no financial support for the research, authorship, and/or publication of this article.
Conflicts of Interest
The author(s) declared no potential conflicts of interest with respect to the research, authorship, and/or publication of this article.
References
- Miller, A.; Elman, D.; Aronson, P.; Kimia, A.A.; Neuman, M.I. Epidemiology and predictors of orbital fractures in children. Pediatr Emerg Care. 2018, 34, 21–24. [Google Scholar]
- Paek, S.H.; Jung, J.H.; Kwok, Y.H.; et al. Clinical decision rule to identify orbital wall fracture among children. Pediatr Emerg Care. 2020, 36, e280–e284. [Google Scholar]
- Bansagi, Z.; Meyer, D. Internal orbital fractures in the pediatric age group: characterization and management. Ophthalmology. 2000, 107, 829–836. [Google Scholar] [PubMed]
- Feldman, M.; Rhodes, J. Pediatric orbital floor fracture. ePlasty. 2012, 12, ic9. [Google Scholar]
- Luce, E. Discussion: pediatric orbital floor fractures: outcome analysis of 72 children with orbital floor fractures. Plast Reconstr Surge. 2015, 136, 829–830. [Google Scholar]
- Oppenheimer, A.; Monson, L.; Buchman, S. Pediatric orbital fractures. Craniomaxillofac Trauma Reconstr. 2013, 6, 9–20. [Google Scholar] [PubMed]
- Imahara, S.; Hopper, R.; Wang, J.; Rivara, F.P.; Klein, M.B. Patterns and outcomes of pediatric facial fractures in the United States: a survey of the National Trauma Data Bank. J Am Coll Surg. 2008, 207, 710–716. [Google Scholar]
- Parbhu, K.; Galler, K.; Li, C.; Mawn, L.S. Underestimation of soft tissue entrapment by computer tomography in orbital floor fractures in the pediatric population. Ophthalmology. 2008, 115, 1620–1625. [Google Scholar]
- Lin, K.; Ngai, P.; Echegoyen, J.; Tao, J.P. Imaging in orbital trauma. Saudi J Ophthalmol. 2012, 26, 427–432. [Google Scholar]
- Egbert, J.; May, K.; Kersten, R.; Kulwin, D.R. Pediatric orbital floor fracture: direct extraocular muscle involvement. Ophthalmology. 2000, 107, 1875–1879. [Google Scholar]
- Cossman, J.; Morrison, C.; Taylor, H.; Salter, A.B. Traumatic orbital roof fractures: interdisciplinary evaluation and management. Plast Reconstr Surg. 2014, 133, 335–343. [Google Scholar] [CrossRef] [PubMed]
- Broyles, J.M.; Jones, D.; Bellamy, J.; et al. Pediatric orbital floor fractures: outcome analysis of 72 children with orbital floor fractures. Plast Reconstr Surg. 2015, 136, 822–828. [Google Scholar] [CrossRef] [PubMed]
- Losee, J.E.; Afifi, A.; Jiang, S. Pediatric orbital fractures: classification, management, and early follow-up. Plast Reconstr Surg. 2008, 122, 886–897. [Google Scholar] [CrossRef]
- Hink, E.M.; Wie, L.A.; Durairaj, V.D. Clinical features and treatment of pediatric orbit fractures. Ophthal Plast Reconstr Surg. 2014, 30, 124–131. [Google Scholar] [CrossRef]
- Coon, D.; Yuan, N.; Jones, D.; Howell, L.K.; Grant, M.P.; Redett, R.J. Defining pediatric orbital roof fractures: patterns, sequelae and indications for operation. Plast Reconstr Surg. 2014, 134, 442–448. [Google Scholar] [CrossRef]
- Coon, D.; Kosztowski, M.; Mahoney, N.; Mundinger, G.S.; Grant, M.P.; Redett, R.J. Principles for management of orbital fractures in the pediatric population: a cohort study of 150 patients. Plast Reconstr Surg. 2016, 137, 1234–1240. [Google Scholar] [CrossRef]
- Dorafshar, A.; Davidson, E.; Manson, P. Controversies in the principles for management of orbital fractures in the pediatric population. Plast Reconstr Surg. 2017, 139, 804–805. [Google Scholar] [CrossRef] [PubMed]
- Wei, L.; Durairaj, V. Pediatric orbital floor fractures. J AAPOS. 2011, 15, 173–180. [Google Scholar] [CrossRef]
- Chiang, E.; Bee, C.; Harris, G.J.; Wells, T.S. Does delayed repair of eyelid lacerations compromise outcome? Am J Emerg Med. 2017, 35, 1766–1767. [Google Scholar] [CrossRef]
- Ducasse, A.; Arndt, C.; Brugniart, C.; Larre, I. Lacrimal traumatology. J Fr Opthtalmol. 2016, 39, 213–218. [Google Scholar] [CrossRef]
- Aytogan, H.; Karadeniz Ugurlu, S. Evaluation of anatomical and functional outcomes in patients undergoing repair of traumatic canalicular laceration. Ulus Travma Acil Cerrahi Derg. 2017, 23, 66–71. [Google Scholar] [CrossRef] [PubMed]
- Gise, R.; Truong, T.; Parsikia, A.; Mbekeani, J.N. Visual pathway injuries in pediatric ocular trauma-a survey of the national Trauma Data Bank From 2008 to 2014. Pediatr Neurol. 2018, 85, 43–50. [Google Scholar] [CrossRef]
- Warner, N.; Eggenberger, E. Traumatic optic neuropathy: a review of the current literature. Curr Opin Ophthalmol. 2010, 21, 459–462. [Google Scholar] [CrossRef] [PubMed]
- Yu-Wai-Man, P.; Griffiths, P.G. Steroids for traumatic optic neuropathy. Cochrane Database Syst Rev. 2013, 6, CD006032. [Google Scholar] [CrossRef]
- Yu-Wai-Man, P.; Griffiths, P.G. Surgery for traumatic optic neuropathy. Cochrane Database Syst Rev. 2013, 6, CD005024. [Google Scholar] [CrossRef]
- Kashkouli, M.B.; Yousefi, S.; Nojomi, M.; et al. Traumatic optic neuropathy treatment trial (TONTT): open label, phase 3, multicenter, semi-experimental trial. Graefes Arch Clin Exp Ophthalmol. 2018, 256, 209–218. [Google Scholar] [CrossRef]
- Goldenberg-Cohen, N.; Miller, N.R.; Repka, M.X. Traumatic optic neuropathy in children and adolescents. J AAPOS. 2004, 8, 20–27. [Google Scholar] [CrossRef]
© 2020 by the author. The Author(s) 2020.
