Next Article in Journal
Dog-Bite—Related Craniofacial Fractures among Pediatric Patients: A Case Series and Review of Literature
Previous Article in Journal
Temporoparietal Fascia Free Flap for Nasoseptal Perforation Repair
 
 
Craniomaxillofacial Trauma & Reconstruction is published by MDPI from Volume 18 Issue 1 (2025). Previous articles were published by another publisher in Open Access under a CC-BY (or CC-BY-NC-ND) licence, and they are hosted by MDPI on mdpi.com as a courtesy and upon agreement with Sage.
Font Type:
Arial Georgia Verdana
Font Size:
Aa Aa Aa
Line Spacing:
Column Width:
Background:
Short Note

A Novel Approach for the Management and Prevention of Self-Induced Masticatory Lingual Trauma in the Neurologically Injured Patient

by
Yash Avashia
1,
Peter Bittar
2,
Visakha Suresh
2 and
David B. Powers
1,*
1
Division of Plastic, Reconstructive, Maxillofacial and Oral Surgery, Department of Surgery, Duke University Hospital, 40 Duke Medicine Circle, Box 2955, Durham, NC 27710, USA
2
Duke University School of Medicine, Durham, NC, USA
*
Author to whom correspondence should be addressed.
Craniomaxillofac. Trauma Reconstr. 2018, 11(3), 242-247; https://doi.org/10.1055/s-0037-1606300
Submission received: 3 April 2017 / Revised: 1 May 2017 / Accepted: 30 May 2017 / Published: 19 September 2017

Abstract

:
Self-induced masticatory trauma is an unfortunate complication of a variety of neurologic disorders, including epileptic seizures, cerebral palsy, mental retardation, psychiatric disease, and brain trauma, in addition to other described etiologies. While single or occasional occurrences of tongue biting are relatively benign, recurrent selfinjury can pose major issues and predispose a patient to chronic, severe complications. To prevent the complications associated with ongoing trauma to the tongue, steps must be taken to protect individuals from chronic self-injurious behavior. Often, these interventions cause significant morbidity to the patient, such as elective removal of the dentition or complications in gaining access to the oral cavity/airway associated with maxillomandibular fixation. In the neurologically impaired patient, immobilization of the jaws is frequently associated with higher rates of agitation, aspiration, or development of complicating infections of the gingival tissues. We report a case of selfinduced masticatory trauma managed with the fabrication of a custom-fabricated oral appliance. This treatment modality successfully prevents the recurrence or incidence of self-induced masticatory trauma to the tongue. The benefits of this modality are that it allows access to the oral cavity, prevents immobilization of the jaws, has minimal to no morbidity, and is completely reversible.

Self-induced masticatory trauma is an unfortunate complication of a variety of neurologic disorders, including epileptic seizures, cerebral palsy, mental retardation, psychiatric disease, and brain trauma, in addition to other described etiologies (Figure 1). While single or occasional occurrences of tongue biting are relatively benign, recurrent self-injury can pose major issues and predispose a patient to chronic, severe complications.[1] To prevent the difficulties associated with ongoing trauma to the tongue, steps must be taken to protect individuals from chronic self-injurious behavior.
The diagnosis and management of chronic self-induced masticatory injuries can be difficult, as the majority of literature is in the form of case reports and there are no established standard treatment protocols.[2] In the face of these challenges, identification of risk factors and early diagnosis allow the provider to establish control over oral habits and prevent further injury.[3] We report a case of self-inflicted lingual trauma sustained in the intensive care setting by a young patient following poly-trauma. His treatment plan included both surgical repair of lingual trauma and the use of a prefabricated dental appliance for protective measures.

Case Example

A 19-year-old otherwise healthy male was brought to our institution after being involved in a motor vehicle accident sustaining intraparenchymal hemorrhage, subarachnoid hemorrhage, diffuse axonal injury, left zygomaticomaxillary complex (ZMC) fracture, and left anterior table frontal sinus fracture. A multidisciplinary approach to his care included serial neurologic exams with initial intracranial pressure monitoring catheter which was removed shortly thereafter after normal pressures. Neurosurgical recommendations included refraining from sedation to allow serial neurologic exams. The Craniomaxillofacial Trauma Service was consulted for management of his facial fractures. The patient’s left ZMC complex fracture was repaired with open reduction and internal fixation via an intraoral approach. Within the first postoperative day, the patient was found to engage in persistent tonguebiting not amenableto bite-block placement due to his recent fracture repair, along with poor response to verbal commands secondary to his neurologic status.
With the full-thickness nature of his self-induced masticatory trauma to the tongue, lingual repair along with protection was required. Maxillary and mandibular dental impressions were obtained utilizing polyvinylsiloxane impression material (Reprosil; Dentsply Sirona, York, PA) for the fabrication of an oral appliance to prevent further masticatory trauma to the tongue (Figure 2a–c). The dental impressions were used to create stone models of the dentition, which were then mounted on a dental articulator to exactly recreate the patient’s occlusal relationship. The oral appliance was fabricated with Dentsply Orthodontic Resin (Dentsply Sirona) with an omega-shaped flange, allowing the tongue to lay passively within the oral cavity, but negated the need for immobilization of the jaws. The orthotic was fabricated to adapt exactly to the mandibular dentition, and the interface with the maxillary dentition was adjusted on the acrylic resin to allow for uniform masticatory force distribution and occlusal relationship. Fabrication of the appliance was performed within 36 hours at a local commercial dental laboratory. During this interval, the patient’s mandible was immobilized to prevent further masticatory lingual trauma. The patient was then taken again to the operative room for repair of his lingual trauma, which was noted to be a full-thickness injury, with 10-cm aggregate involvement of the ventral and dorsal surfaces of the tongue (Figure 3). Repair involved placement of interrupted and running 3–0 Vicryl sutures to establish the normal shape and contour of the tongue (Figure 4a, b). The previously fabricated orthotic was adapted to the mandibular dentition and secured with interrupted 24-gauge stainless steel surgical wires, which had been preloaded on the back table in the operating room to facilitate ease of placement, and passage of the surgical wires through the dental embrasures of multiple mandibular teeth (Figure 5a, b). The omega-shaped flange did not prevent closure of the mouth, but mechanically prevented tongue protrusion and masticatory trauma. The patient’s neurologic status improved in the postoperative course and the orthotic was then removed on postoperative day 7 with evidence of healed lingual repair.

Discussion

Self-induced trauma to the tongue, and other oral structures, is most classically associated with epileptic seizures, but has also been reported in patients with Lesch-Nyan syndrome, cerebral palsy, congenital insensitivity to pain with anhidrosis, mental retardation, psychiatric disease, meningitis, and brain trauma.[4,5,6,7] Furthermore, self-injury is sometimes a premeditated action, functioning as an attention-seeking method to either manipulate or a means to seek help.[2,6,8,9] Accordingly, a distinction can be made between organic causes, in which the individual acts unconsciously, and functional injury that manifests from deliberate provocation.[2]
Chronic tongue biting causes soft-tissue, vascular, and lymphatic injuries that lead to edema and predispose the tongue to further injury.[1] As a result, patients can suffer from loss of tissue and superinfection.[6,10] Severe trauma resulting in lingual artery hematoma can lead to traumatic macroglossia and airway compromise.[11,12,13,14]
A review of the current literature illustrates several important concepts in the management of oral lesions. Patients suspected of or at risk for traumatic injury to the tongue should undergo repeat examinations. Both surfaces of the tongue should be assessed for evidence of lacerations, hematoma, and swelling; the oral cavity for pieces of teeth, tissue, and foreign bodies; and thejaw for range of motion.[11,15,16] This inspection allows a provider to determine both the degree of injury and the potential need for airway management. Severe macroglossia from hematoma can make laryngoscopy nearly impossible, potentially necessitating blind intubation or tracheostomy. Steroids and the aggressive use of muscle relaxants to help reduce airway obstruction have been described in the literature with mixed results.[12,13,17] Thus, it is vital to secure an airway as soon as possible before massive swelling occurs.[11,14,17]
Once an airway is secured, attention can turn to the injuries themselves. To prevent infection, wounds should be debrided and irrigated with normal saline to remove necrotic material and foreign bodies.[16,18] Although some texts suggest the use of antibiotics, the usefulness of prophylactic treatment in oral lacerations is inconclusive.[16,18,19] Whether to use antibiotics, therefore, can be based on the presence of heavy contamination, delayed wound debridement, and/or immunocompromise.[18]
Due to the rich vascular supply of the oropharynx, tongue and oral mucosal wounds tend to heal quickly and do not always necessitate closure. Lacerations that are smaller than 2 cmand do not present with difficulty in obtaining hemostasis may not need suturing if they are in good approximation.[19] Larger injuries, deep lacerations, or penetrating wounds should be closed. Deep wounds should be closed in layers with chromic gut suture in the muscle to prevent hematoma, and 4–0 Vicryl in the superficial layers.[16] For penetrating wounds, both the dorsal and ventral aspects should be closed. Loss of tissue from the lateral aspect or tip of the tongue will usually resolve due to tongue hypertrophy. In a patient with coagulopathy, it may be advisable to suture small lacerations due to delayed healing.[19]
To prevent the complications associated with ongoing trauma to the tongue, steps must be taken to protect individuals from chronic self-injurious behavior. A variety of treatment modalities have been described in the literature, and can be broadly organized into four categories: psychological treatment, pharmacologic treatment, intra-oral devices, and surgery.[2,8]
For cases of functional self-injury, psychological treatment should be considered in the initial phase of treatment. Psychological evaluation can determine the cause of a patient’s selfinjury and help the development of a therapeutic approach.[2] Approaches include positive and negative reinforcement of behavior, overcorrection, and distraction techniques.[7] Although behavioral therapy may have limited effectiveness in isolation, particularly in cases where the patients are unable to stop their habits, some cases have responded favorably to therapy.[2] Moreover, behavioral therapy is noninvasive and lacks the risks associated with medication and surgery.[9]
Pharmacological treatments forbiting-relatedinjuryinclude tricyclic antidepressants, neurotransmitter agonists/antagonists, anticonvulsants, and botulinum toxin injections. Some theories on self-mutilation posit that self-injurious behavior arises from dysregulation of the opiatergic, dopaminergic, and/or serotonergic systems.[17,20] Accordingly, drugs to compensate for potential neurotransmitter deficits have been trialed in patients, such as dopamine receptor antagonist (haloperidol and fluphenazine), serotonin reuptake inhibitors (fluoxetine and trazodone), and the anticonvulsant (carbamazepine).[8,9,20] However, none of these approaches have yielded success at a generalizable scale, and their use often has an excessively sedative effect on patients.[2]
On the other hand, the use of botulinum toxin A (BTX-A) has shown promising results as a safe and effective treatment for self-induced trauma.[20] Although not fully understood, BTX-A is thought to function through several mechanisms to cause muscular relaxation. It cleaves SNARE proteins at the terminal membrane of α-motor neurons, preventing acetylcholine from binding to receptors at the neuromuscular junction, and may decrease the release of substance P from dorsal root ganglia, resulting in decreased muscle strength and less frequent action.[21] Randomized control studies by Lee et al and Guarda-Nardini et al suggested that injection of BTX-A directly into the masseter muscle is an effective and safe treatment to treat involuntary bruxism.[21,22,23,24] Case reports have shown similar effectiveness in patients with bruxism secondary to brain injury from motor vehicle accidents and neurological disorders.[2,21,25] However, further study is needed to elucidate the mechanism and safety of BTX-A injections.[2,20,21]
To directly prevent injury, intraoral devices can be used, including mouth guards, splints, lip bumpers, and combinations thereof. These prosthetics serve to suppress biting behavior and act as physical barriers against injury, providing better protection and control according to some clinicians.[2,3] While potentially obviating the need for invasive procedures and surgery, they carry with them the potential adverse effects of infection if not properly maintained and cleaned.[2] Mouth guards are the most commonly used intraoral device. Stock mouth guards are durable, easy to use, and inexpensive, but loose and limited in their potential for modification.[26] As such, custom-made mouth protectors such as acrylic splints are considered more effective owing to their customizability, stability, and retention.[3,26] Splints can be affixed in the mouth using bands, wire loops, or cement, creating a barrier to removal. Any dental prosthetic used shouldbe able tomaintain separation between the teeth and oral tissue without causing further damage to the mouth or interfering with the function of the jaw. Furthermore, they should be able to be cleaned and tolerate normal intraoral forces.[2] Impressions should be taken to customize the device for each individual’s anatomy and the degree of affixation can be determined based on the cooperability of the patient. Generally, the oral appliances that are secured within the oral cavity, and particularly devices such as the type described in this article, are best utilized in the comatose or semicomatose patient population due to the potential for the appliance to stimulate a gag-reflex or agitation secondary to the inability to fully move the tongue. Removable devices allow for better hygiene, but necessitate a patient’s collaboration with therapy.[1,3,20] Proper use of these devices can allow healing of lacerations or ulcerated lesions within a matter of weeks and prevent long-term injury.[1,3,10,20,26,27,28] Adequate follow-up is necessary to monitor healing and assess for new lesions, particularly in young patients whose dentition is changing.[2]
In severe and refractory cases, surgery can be utilized to prevent chronic injury. The extraction of all dentition is an extreme, but effective, method to prevent mutilation. As an alternative, some surgeons have created open bites in patients to prevent contact and preserve tissue, but this treatment subjects the patients to an orthognathic surgical procedure which may result in additional complications in osseous healing due to chronic nutritional deficits or the repetitive muscular function commonly seen in neurologically impaired patients.[2,20,26]
Although there is no standardized consensus for the treatment of tongue biting patients, it is reasonable to employ an intraoral prosthetic to allow for lesion healing and prevent future trauma. Alone or in combination with psychological therapy for functional causes and/or pharmacological treatment, these devices can significantly improve the quality of life of patients suffering from self-induced tongue injury. As compared with other forms of appliances mentioned in the literature, we feel the device described in our article alleviates the issues associated with a unilateral or bilateral posterior mouth prop appliances and helps maintain a functional occlusal relationship, which prevents potential dentoalveolar migration or alterations in the occlusal plane associated with potential long-term use, and still allows for easy access to the oral cavity for hygiene and maintenance of the dentition.[20,26,27,28]

References

  1. Pigno, M.A.; Funk, J.J. Prevention of tongue biting with a removable oral device: a clinical report. J Prosthet Dent 2000, 83, 508–510. [Google Scholar] [PubMed]
  2. Limeres, J.; Feijoo, J.F.; Baluja, F.; Seoane, J.M.; Diniz, M.; Diz, P. Oral selfinjury: an update. Dent Traumatol 2013, 29, 8–14. [Google Scholar] [PubMed]
  3. Kwon, I.J.; Kim, S.M.; Park, H.K.; Myoung, H.; Lee, J.H.; Lee, S.K. Successful treatment of self-inflicted tongue trauma patient using a special oral appliance. Int J Pediatr Otorhinolaryngol 2015, 79, 1938–1941. [Google Scholar]
  4. Coyne, B.M.; Montague, T. Teeth grinding, tongue and lip biting in a 24-month-old boy with meningococcal septicaemia. Report of a case. Int J Paediatr Dent 2002, 12, 277–280. [Google Scholar]
  5. Millwood, J.M.S.; Munday, R.; Pierce, E.; Fiske, J. A report from an investigation of abnormal oral reflexes, lip trauma and awareness levels in patients with profound brain damage. J Disability Oral Health 2005, 6, 72–78. [Google Scholar]
  6. Romer, M.; Dougherty, N.; Fruchter, M. Alternative therapies in the treatment or oral self-injurious behavior: a case report. Spec Care Dentist 1998, 18, 66–69. [Google Scholar]
  7. Siragusa, M.; Ferri, R.; Russo, R.; Lentini, M.; Schepis, C. Self-inflicted lesions of the mouth and lips in mentally retarded young subjects. Eur J Dermatol 2013, 23, 843–848. [Google Scholar]
  8. Saemundsson, S.R.; Roberts, M.W. Oral self-injurious behavior in the developmentally disabled: review and a case. ASDC J Dent Child 1997, 64, 205–209, 228. [Google Scholar]
  9. Winchel, R.M.; Stanley, M. Self-injurious behavior: a review of the behavior and biology of self-mutilation. Am J Psychiatry 1991, 148, 306–317. [Google Scholar]
  10. Almeida, D.; da Costa, K.N.; Castro Rde, A.; Almeida, M.L.; Vianna, R.; Antonio, A.G. Self-inflicted oral injury in an infant with transverse myelitis. Spec Care Dentist 2009, 29, 254–258. [Google Scholar]
  11. Chase, C.R.; Hebert, J.C.; Farnham, J.E. Post-traumatic upper airway obstruction secondary to a lingual artery hematoma. J Trauma 1987, 27, 953–954. [Google Scholar] [CrossRef]
  12. Lo, B.M.; Campbell, B.H. A traumatic swollen tongue. Resuscitation 2010, 81, 267. [Google Scholar]
  13. Saah, D.; Braverman, I.; Elidan, J.; Nageris, B. Traumatic macroglossia. Ann Otol Rhinol Laryngol 1993, 102, 729–730. [Google Scholar] [CrossRef]
  14. Hing, N.R.; Bowler, M.D.; Byth, P.L.; Daly, C.G. Lingual haematoma leading to upper airway obstruction. Br J Oral Maxillofac Surg 1985, 23, 322–325. [Google Scholar] [PubMed]
  15. Das, U.M.; Gadicherla, P. Lacerated tongue injury in children. Int J Clin Pediatr Dent 2008, 1, 39–41. [Google Scholar]
  16. Fonseca, R.B.J.; Powers, M.; Beck, B.; Holton, J. Management of Soft Tissue Injuries, 4th ed.; Elsevier: Missouri, 2013. [Google Scholar]
  17. Jakobson, D.J.; Einav, S.; Krichevsky, I.; Sprung, C.L.; Sela, M.S. Traumatic macroglossia: a life-threatening complication. Crit Care Med 1999, 27, 1643–1645. [Google Scholar]
  18. Armstrong, B.D. Lacerations of the mouth. Emerg Med Clin North Am 2000, 18, 471–480, vi. [Google Scholar]
  19. Mark, D.G.; Granquist, E.J. Are prophylactic oral antibiotics indicated for the treatment of intraoral wounds? Ann Emerg Med 2008, 52, 368–372. [Google Scholar] [CrossRef] [PubMed]
  20. Ragazzini, G.; Delucchi, A.; Calcagno, E.; Servetto, R.; Denotti, G. A modified intraoral resin mouthguard to prevent self-mutilations in Lesch-Nyhan patients. Int J Dent 2014, 2014, 396830. [Google Scholar]
  21. Tinastepe, N.; Küçük, B.B.; Oral, K. Botulinum toxin for the treatment of bruxism. Cranio 2015, 33, 291–298. [Google Scholar]
  22. Guarda-Nardini, L.; Manfredini, D.; Salamone, M.; Salmaso, L.; Tonello, S.; Ferronato, G. Efficacy of botulinum toxin in treating myofascial pain in bruxers: a controlled placebo pilot study. Cranio 2008, 26, 126–135. [Google Scholar] [PubMed]
  23. Lee, S.J., Jr.; McCall, W.D., Jr.; Kim, Y.K.; Chung, S.C.; Chung, J.W. Effect of botulinum toxin injection on nocturnal bruxism: a randomized controlled trial. Am J Phys Med Rehabil 2010, 89, 16–23. [Google Scholar] [PubMed]
  24. Long, H.; Liao, Z.; Wang, Y.; Liao, L.; Lai, W. Efficacyof botulinum toxins on bruxism: an evidence-based review. Int Dent J 2012, 62, 1–5. [Google Scholar]
  25. Kesikburun, S.; Alaca, R.; Aras, B.; Tuğcu, I.; Tan, A.K. Botulinum toxin injection for bruxism associated with brain injury: case report. J Rehabil Res Dev 2014, 51, 661–664. [Google Scholar] [PubMed]
  26. Yamanaka, R.; Soga, Y.; Moriya, Y.; et al. Management of lacerated and swollen tongue after convulsive seizure with a mouth protector: interprofessional collaboration including dentists in intensive care. Acta Med Okayama 2014, 68, 375–378. [Google Scholar]
  27. Kiat-Amnuay, S.; Koh, S.H.; Powner, D.J. An occlusal guard for preventing and treating self-inflicted tongue trauma in a comatose patient: a clinical report. J Prosthet Dent 2008, 99, 421–424. [Google Scholar] [CrossRef]
  28. Arhakis, A.; Topouzelis, N.; Kotsiomiti, E.; Kotsanos, N. Effective treatment of self-injurious oral trauma in Lesch-Nyhan syndrome: a case report. Dent Traumatol 2010, 26, 496–500. [Google Scholar]
Figure 1. Example of self-induced masticatory trauma to the tongue of a 58-year-old patient with catastrophic neurological impairment secondary to a cerebrovascular accident. This highlights the severity of the injuries to the lingual mucosa that can result as a consequence of self-induced trauma.
Figure 1. Example of self-induced masticatory trauma to the tongue of a 58-year-old patient with catastrophic neurological impairment secondary to a cerebrovascular accident. This highlights the severity of the injuries to the lingual mucosa that can result as a consequence of self-induced trauma.
Cmtr 11 00041 g001
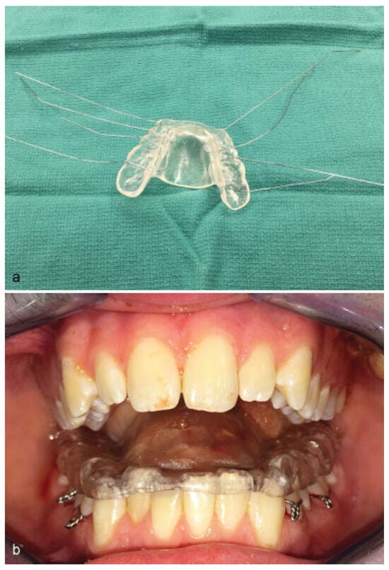
Figure 2. (a) Inferior view of custom-fabricated dental orthotic. This appliance was custom fabricated for the patient after obtaining dental impressions at bedside. (b) Posterior view of custom-fabricated dental orthotic displays superior omega-shaped flange, which allows tongue to lay passively underneath the acrylic resin preventing masticatory trauma. Note the predrilled holes in the appliance for the passage of stainless steel surgical wires between the teeth. (c) Superior view of custom-fabricated dental orthotic. Dental models have been used to create a uniform occlusal pattern without masticatory interferences. Omega-shaped flange does not inhibit mandibular opening or closing.
Figure 2. (a) Inferior view of custom-fabricated dental orthotic. This appliance was custom fabricated for the patient after obtaining dental impressions at bedside. (b) Posterior view of custom-fabricated dental orthotic displays superior omega-shaped flange, which allows tongue to lay passively underneath the acrylic resin preventing masticatory trauma. Note the predrilled holes in the appliance for the passage of stainless steel surgical wires between the teeth. (c) Superior view of custom-fabricated dental orthotic. Dental models have been used to create a uniform occlusal pattern without masticatory interferences. Omega-shaped flange does not inhibit mandibular opening or closing.
Cmtr 11 00041 g002
Figure 3. Self-inflicted masticatory lingual trauma in 19-year-old patient who sustained traumatic brain injury from motor vehicle collision.
Figure 3. Self-inflicted masticatory lingual trauma in 19-year-old patient who sustained traumatic brain injury from motor vehicle collision.
Cmtr 11 00041 g003
Figure 4. (a) Repaired dorsal surface of the tongue. (b) Repaired ventral surface of the tongue.
Figure 4. (a) Repaired dorsal surface of the tongue. (b) Repaired ventral surface of the tongue.
Cmtr 11 00041 g004
Figure 5. (a) Custom orthotic with 24-gauge stainless steel surgical wires preloaded through the lingual flange of the appliance prior to placement into the patient. Preloading the wires facilitates ease of insertion in the operating room. (b) Custom orthotic secured to mandibular dentition after repair of self-induced masticatory trauma to the tongue.
Figure 5. (a) Custom orthotic with 24-gauge stainless steel surgical wires preloaded through the lingual flange of the appliance prior to placement into the patient. Preloading the wires facilitates ease of insertion in the operating room. (b) Custom orthotic secured to mandibular dentition after repair of self-induced masticatory trauma to the tongue.
Cmtr 11 00041 g005

Share and Cite

MDPI and ACS Style

Avashia, Y.; Bittar, P.; Suresh, V.; Powers, D.B. A Novel Approach for the Management and Prevention of Self-Induced Masticatory Lingual Trauma in the Neurologically Injured Patient. Craniomaxillofac. Trauma Reconstr. 2018, 11, 242-247. https://doi.org/10.1055/s-0037-1606300

AMA Style

Avashia Y, Bittar P, Suresh V, Powers DB. A Novel Approach for the Management and Prevention of Self-Induced Masticatory Lingual Trauma in the Neurologically Injured Patient. Craniomaxillofacial Trauma & Reconstruction. 2018; 11(3):242-247. https://doi.org/10.1055/s-0037-1606300

Chicago/Turabian Style

Avashia, Yash, Peter Bittar, Visakha Suresh, and David B. Powers. 2018. "A Novel Approach for the Management and Prevention of Self-Induced Masticatory Lingual Trauma in the Neurologically Injured Patient" Craniomaxillofacial Trauma & Reconstruction 11, no. 3: 242-247. https://doi.org/10.1055/s-0037-1606300

APA Style

Avashia, Y., Bittar, P., Suresh, V., & Powers, D. B. (2018). A Novel Approach for the Management and Prevention of Self-Induced Masticatory Lingual Trauma in the Neurologically Injured Patient. Craniomaxillofacial Trauma & Reconstruction, 11(3), 242-247. https://doi.org/10.1055/s-0037-1606300

Article Metrics

Back to TopTop