Surgical Treatment of Posttraumatic Laterognathia: A Case Report and a Literature Review, Focused on the Effects of a Condylar Fracture on the Face
Abstract
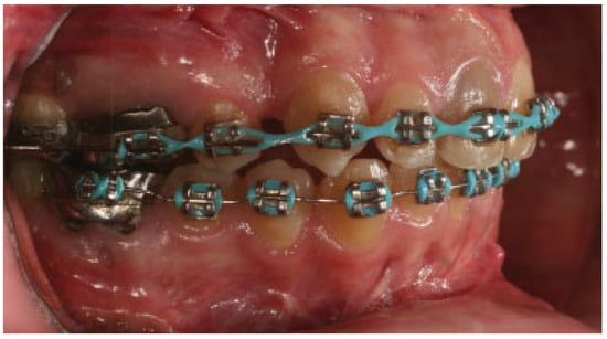
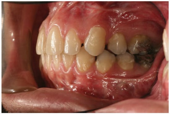
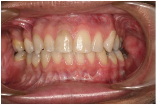
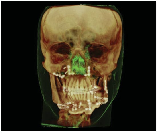
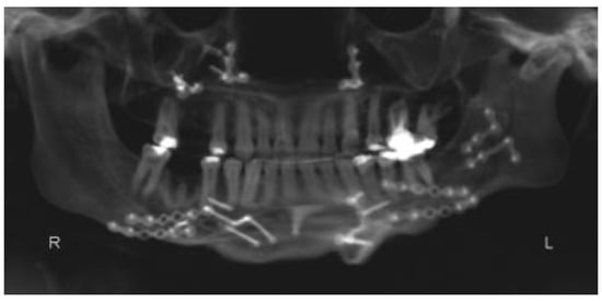
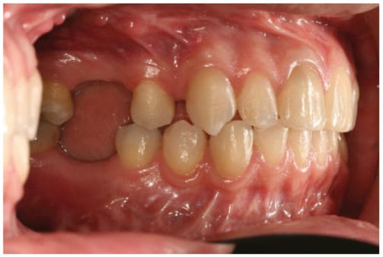
:Case Report
Discussion
Conclusions
References
- Bailey, L.J.; Haltiwanger, L.H.; Blakey, G.H.; Proffit, W.R. Who seeks surgical-orthodontic treatment: a current review. Int J Adult Orthodon Orthognath Surg 2001, 16, 280–292. [Google Scholar] [PubMed]
- Kawamoto, H.K.; Kim, S.S.; Jarrahy, R.; Bradley, J.P. Differential diagnosis of the idiopathic laterally deviated mandible. Plast Reconstr Surg 2009, 124, 1599–1609. [Google Scholar] [PubMed]
- Yamashiro, T.; Okada, T.; Takada, K. Case report: facial asymmetry and early condylar fracture. Angle Orthod 1998, 68, 85–90. [Google Scholar]
- Bishara, S.E.; Burkey, P.S.; Kharouf, J.G. Dental and facial asymmetries: a review. Angle Orthod 1994, 64, 89–98. [Google Scholar]
- Choi, J.; Oh, N.; Kim, I.K. A follow-up study of condyle fracture in children. Int J Oral Maxillofac Surg 2005, 34, 851–858. [Google Scholar]
- Dimitroulis, G. Condylar injuries in growing patients. Aust Dent J 1997, 42, 367–371. [Google Scholar]
- Ellis, E., III; Throckmorton, G. Facial symmetry after closed and open treatment of fractures of the mandibular condylar process. J Oral Maxillofac Surg 2000, 58, 719–728, discussion 729–730. [Google Scholar] [PubMed]
- Becking, A.G.; Zijderveld, S.A.; Tuinzing, D.B. Thesurgicalmanagementof post-traumatic malocclusion. Clin Plast Surg 2007, 34, e37–e43. [Google Scholar]
- Dahlström, L.; Kahnberg, K.E.; Lindahl, L. 15 years follow-up on condylar fractures. Int J Oral Maxillofac Surg 1989, 18, 18–23. [Google Scholar]
- Becking, A.G.; Zijderveld, S.A.; Tuinzing, D.B. Management of posttraumatic malocclusion caused by condylar process fractures. J Oral Maxillofac Surg 1998, 56, 1370–1374, discussion 1374–1375. [Google Scholar]
- Rubens, B.C.; Stoelinga, P.J.; Weaver, T.J.; Blijdorp, P.A. Management of malunited mandibular condylar fractures. Int J Oral Maxillofac Surg 1990, 19, 22–25. [Google Scholar]
- Spitzer, W.J.; Vanderborght, G.; Dumbach, J. Surgical management of mandibular malposition after malunited condylar fractures in adults. J Craniomaxillofac Surg 1997, 25, 91–96. [Google Scholar]
- Smets, L.M.; Van Damme, P.A.; Stoelinga, P.J. Non-surgical treatment of condylar fractures in adults: a retrospective analysis. J Craniomaxillofac Surg 2003, 31, 162–167. [Google Scholar]
- De Souza, M.; Oeltjen, J.C.; Panthaki, Z.J.; Thaller, S.R. Posttraumatic mandibular deformities. J Craniofac Surg 2007, 18, 912–916. [Google Scholar] [PubMed]
- Demianczuk, A.N.; Verchere, C.; Phillips, J.H. The effect on facial growth of pediatric mandibular fractures. J Craniofac Surg 1999, 10, 323–328. [Google Scholar] [PubMed]
- Arnett, G.W.; Jelic, J.S.; Kim, J.; et al. Soft tissue cephalometric analysis: diagnosis and treatment planning of dentofacial deformity. Am J Orthod Dentofacial Orthop 1999, 116, 239–253. [Google Scholar] [PubMed]
- Proffit, W.R.; Turvey, T.A. Asimetria dentofacial; Proffit, W.R.; Turvey, T.A.; Sarver, D.M. Tratamento Contemporâneo de Deformidades Dentofaciais; Artmed: Porto Alegre, Brazil, 2005; pp. 609–680. [Google Scholar]
- Leake, D.; Doykos, J., III; Habal, M.B.; Murray, J.E. Long-term follow-up of fractures of the mandibular condyle in children. Plast Reconstr Surg 1971, 47, 127–131. [Google Scholar]
- Kaban, L.B.; Mulliken, J.B.; Murray, J.E. Facial fractures in children: an analysis of 122 fractures in 109 patients. Plast Reconstr Surg 1977, 59, 15–20. [Google Scholar]
- Silvennoinen, U.; Iizuka, T.; Oikarinen, K.; Lindqvist, C. Analysis of possible factors leading to problems after nonsurgical treatment of condylar fractures. J Oral Maxillofac Surg 1994, 52, 793–799. [Google Scholar]
- de Amaratunga, N.A. Mouth opening after release of maxillomandibular fixation in fracture patients. J Oral Maxillofac Surg 1987, 45, 383–385. [Google Scholar]
- Hovinga, J.; Boering, G.; Stegenga, B. Long-term results of nonsurgical management of condylar fractures in children. Int J Oral Maxillofac Surg 1999, 28, 429–440. [Google Scholar]
- Stoustrup, P.; Küseler, A.; Kristensen, K.D.; Herlin, T.; Pedersen, T.K. Orthopaedic splint treatment can reduce mandibular asymmetry caused by unilateral temporomandibular involvement in juvenile idiopathic arthritis. Eur J Orthod 2013, 35, 191–198. [Google Scholar] [PubMed]
- Pedersen, T.K.; Grønhøj, J.; Melsen, B.; Herlin, T. Condylar condition and mandibular growth during early functional treatment of children with juvenile chronic arthritis. Eur J Orthod 1995, 17, 385–394. [Google Scholar]
- Ueki, K.; Hashiba, Y.; Marukawa, K.; et al. Comparison of maxillary stability after Le Fort I osteotomy for occlusal cant correction surgery and maxillary advanced surgery. Oral Surg Oral Med Oral Pathol Oral Radiol Endod 2007, 104, 38–43. [Google Scholar]
- Zachariades, N.; Mezitis, M.; Michelis, A. Posttraumatic osteotomies of the jaws. Int J Oral Maxillofac Surg 1993, 22, 328–331. [Google Scholar]
- Bloomquist, D.S. Mandibular body sagittal osteotomy in the correction of malunited edentulous mandibular fractures. J Maxillofac Surg 1982, 10, 18–23. [Google Scholar] [PubMed]
- Proffit, W.R.; Vig, K.W.; Turvey, T.A. Early fracture of the mandibular condyles: frequently an unsuspected cause of growth disturbances. Am J Orthod 1980, 78, 1–24. [Google Scholar]
- Proffit, W.R.; White, R.P., Jr. Surgical Orthodontic Treatment; Mosby: St Louis, MO, USA, 1986; pp. 483–549. [Google Scholar]
- Motta, A.; Louro, R.S.; Medeiros, P.J.; Capelli, J., Jr. Orthodontic and surgical treatment of a patient with an ankylosed temporomandibular joint. Am J Orthod Dentofacial Orthop 2007, 131, 785–796. [Google Scholar]
- Wheeler, T.T.; McGorray, S.P.; Yurkiewicz, L.; Keeling, S.D.; King, G.J. Orthodontic treatment demand and need in third and fourth grade schoolchildren. Am J Orthod Dentofacial Orthop 1994, 106, 22–33. [Google Scholar]



















| Categories | ||
|---|---|---|
| Glenoid fossa malposition due to modification in the cranial base | Condylar abnormalities | |
| Muscular torticollis (especially in the mild form)[2] | X | |
| Previous subcondylar or condylar fractures[2,14,17] | X | |
| Delayed fracture treatment or unfavorable outcome from surgery[8] | X | |
| Forceps birth trauma[30] | X | |
| Condylar hyperplasia[2] | X | |
| Condylar hypoplasia[2] | X | |
| Juvenile condylar arthritis[2] | X | |
| Hemifacial microssomia[2,17] | X | |
| Deformational posterior plagiocephaly[2] | X | |
| Unilateral coronal craniosynostosis[2] | X | |
| Cosmetic appearance from obvious facial asymmetry[2,5] |
| Anterior open bite[12] |
| Distinct difference between centric occlusion and centric relation[12] |
| Dorsal dislocation of the mandible[12] |
| Shortening of the posterior and lengthening of the anterior facial height[11,12] |
| Altered occlusion[2,5,11] |
| Alterations in the jaw range of motion[2,5] |
| Masticatory muscles hypertonia[11] |
| Inability to generate sufficient bite force[11] |
| Constellation of TMJ disorder symptoms (such as pain and clicking)[2,5,11] |
© 2017 by the author. The Author(s) 2017.
Share and Cite
Pereira, F.L.; de Marilac de Alencar Pinheiro, L.; Araújo, P.M.; Chihara, L.L.; Maia Nogueira, R.L.; Sant'Ana, E. Surgical Treatment of Posttraumatic Laterognathia: A Case Report and a Literature Review, Focused on the Effects of a Condylar Fracture on the Face. Craniomaxillofac. Trauma Reconstr. 2018, 11, 211-218. https://doi.org/10.1055/s-0037-1601861
Pereira FL, de Marilac de Alencar Pinheiro L, Araújo PM, Chihara LL, Maia Nogueira RL, Sant'Ana E. Surgical Treatment of Posttraumatic Laterognathia: A Case Report and a Literature Review, Focused on the Effects of a Condylar Fracture on the Face. Craniomaxillofacial Trauma & Reconstruction. 2018; 11(3):211-218. https://doi.org/10.1055/s-0037-1601861
Chicago/Turabian StylePereira, Felipe Ladeira, Luísa de Marilac de Alencar Pinheiro, Phelype Maia Araújo, Letícia Liana Chihara, Renato Luiz Maia Nogueira, and Eduardo Sant'Ana. 2018. "Surgical Treatment of Posttraumatic Laterognathia: A Case Report and a Literature Review, Focused on the Effects of a Condylar Fracture on the Face" Craniomaxillofacial Trauma & Reconstruction 11, no. 3: 211-218. https://doi.org/10.1055/s-0037-1601861
APA StylePereira, F. L., de Marilac de Alencar Pinheiro, L., Araújo, P. M., Chihara, L. L., Maia Nogueira, R. L., & Sant'Ana, E. (2018). Surgical Treatment of Posttraumatic Laterognathia: A Case Report and a Literature Review, Focused on the Effects of a Condylar Fracture on the Face. Craniomaxillofacial Trauma & Reconstruction, 11(3), 211-218. https://doi.org/10.1055/s-0037-1601861