Minimally Invasive Conversion Surgery for Unresectable Gastric Cancer with Splenic Metastasis and Splenic Vein Tumor Thrombus: A Case Report
Abstract
1. Introduction
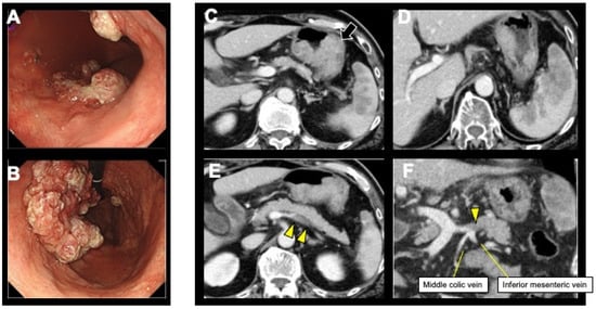
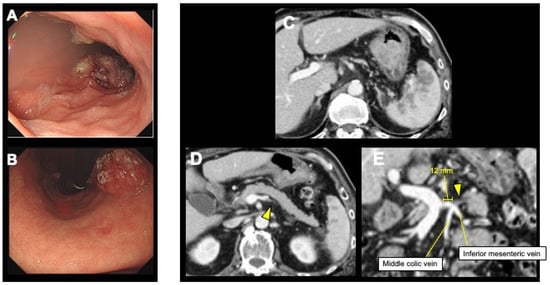
2. Case Presentation
3. Discussion
4. Conclusions
Author Contributions
Funding
Institutional Review Board Statement
Informed Consent Statement
Data Availability Statement
Conflicts of Interest
References
- Sung, H.; Ferlay, J.; Siegel, R.L.; Laversanne, M.; Soerjomataram, I.; Jemal, A.; Bray, F. Global Cancer Statistics 2020: GLOBOCAN Estimates of Incidence and Mortality Worldwide for 36 Cancers in 185 Countries. CA Cancer J. Clin. 2021, 71, 209–249. [Google Scholar] [CrossRef] [PubMed]
- Yang, D.; Hendifar, A.; Lenz, C.; Togawa, K.; Lenz, F.; Lurje, G.; Pohl, A.; Winder, T.; Ning, Y.; Groshen, S.; et al. Survival of Metastatic Gastric Cancer: Significance of Age, Sex and Race/Ethnicity. J. Gastrointest. Oncol. 2011, 2, 77–84. [Google Scholar] [CrossRef] [PubMed]
- Japanese Gastric Cancer Association. Japanese Gastric Cancer Treatment Guidelines 2021 (6th Edition). Gastric Cancer 2023, 26, 1–25. [Google Scholar] [CrossRef] [PubMed]
- Ajani, J.A.; D’Amico, T.A.; Bentrem, D.J.; Chao, J.; Cooke, D.; Corvera, C.; Das, P.; Enzinger, P.C.; Enzler, T.; Fanta, P.; et al. Gastric cancer, version 2.2022, NCCN clinical practice guidelines in oncology. J. Natl. Compr. Canc. Netw. 2022, 20, 167–192. [Google Scholar] [CrossRef] [PubMed]
- Yasufuku, I.; Tsuchiya, H.; Fujibayashi, S.; Okumura, N.; Sengoku, Y.; Fukada, M.; Asai, R.; Sato, Y.; Tajima, J.Y.; Kiyama, S.; et al. Oligometastasis of Gastric Cancer: A Review. Cancers 2024, 16, 673. [Google Scholar] [CrossRef] [PubMed]
- Yoshida, K.; Yamaguchi, K.; Okumura, N.; Tanahashi, T.; Kodera, Y. Is Conversion Therapy Possible in Stage IV Gastric Cancer: The Proposal of New Biological Categories of Classification. Gastric Cancer 2016, 19, 329–338. [Google Scholar] [CrossRef] [PubMed]
- Yoshida, K.; Yasufuku, I.; Terashima, M.; Young Rha, S.; Moon Bae, J.; Li, G.; Katai, H.; Watanabe, M.; Seto, Y.; Hoon Noh, S.; et al. CONVO-GC-1 Study Group, Federation of Asian Clinical Oncology (FACO). International Retrospective Cohort Study of Conversion Therapy for Stage IV Gastric Cancer 1 (CONVO-GC-1). Ann. Gastroenterol. Surg. 2022, 6, 227–240. [Google Scholar] [CrossRef] [PubMed]
- Sawasaki, M.; Tsubamoto, H.; Nakamoto, Y.; Kakuno, A.; Sonoda, T. S-1, Oxaliplatin, Nab-Paclitaxel and Itraconazole for Conversion Surgery for Advanced or Recurrent Gastric Cancer. Anticancer Res. 2020, 40, 991–997. [Google Scholar] [CrossRef]
- Yasufuku, I.; Nunobe, S.; Ida, S.; Kumagai, K.; Ohashi, M.; Hiki, N.; Sano, T. Conversion Therapy for Peritoneal Lavage Cytology-Positive Type 4 and Large Type 3 Gastric Cancer Patients Selected as Candidates for R0 Resection by Diagnostic Staging Laparoscopy. Gastric Cancer 2020, 23, 319–327. [Google Scholar] [CrossRef] [PubMed]
- Ma, F.; Li, Y.; Li, W.; Kang, W.; Liu, H.; Ma, S.; Xie, Y.; Zhong, Y.; Xu, Q.; Wang, B.; et al. Metastasectomy Improves the Survival of Gastric Cancer Patients with Krukenberg Tumors: A Retrospective Analysis of 182 Patients. Cancer Manag. Res. 2019, 11, 10573–10580. [Google Scholar] [CrossRef] [PubMed]
- Yamaguchi, K.; Yoshida, K.; Tanahashi, T.; Takahashi, T.; Matsuhashi, N.; Tanaka, Y.; Tanabe, K.; Ohdan, H. The Long-Term Survival of Stage IV Gastric Cancer Patients with Conversion Therapy. Gastric Cancer 2018, 21, 315–323. [Google Scholar] [CrossRef] [PubMed]
- Mieno, H.; Yamashita, K.; Hosoda, K.; Moriya, H.; Higuchi, K.; Azuma, M.; Komori, S.; Yoshida, T.; Tanabe, S.; Koizumi, W.; et al. Conversion Surgery after Combination Chemotherapy of Docetaxel, Cisplatin and S-1 (DCS) for Far-Advanced Gastric Cancer. Surg. Today 2017, 47, 1249–1258. [Google Scholar] [CrossRef] [PubMed]
- Al-Batran, S.E.; Homann, N.; Pauligk, C.; Illerhaus, G.; Martens, U.M.; Stoehlmacher, J.; Schmalenberg, H.; Luley, K.B.; Prasnikar, N.; Egger, M.; et al. Effect of Neoadjuvant Chemotherapy Followed by Surgical Resection on Survival in Patients with Limited Metastatic Gastric or Gastroesophageal Junction Cancer: The AIO-FLOT3 Trial. JAMA Oncol. 2017, 3, 1237–1244. [Google Scholar] [CrossRef] [PubMed]
- Kinoshita, J.; Fushida, S.; Tsukada, T.; Oyama, K.; Okamoto, K.; Makino, I.; Nakamura, K.; Miyashita, T.; Tajima, H.; Takamura, H.; et al. Efficacy of Conversion Gastrectomy Following Docetaxel, Cisplatin, and S-1 Therapy in Potentially Resectable Stage IV Gastric Cancer. Eur. J. Surg. Oncol. 2015, 41, 1354–1360. [Google Scholar] [CrossRef] [PubMed]
- Japanese Gastric Cancer Association. Japanese classification of gastric carcinoma: 3rd English edition. Gastric Cancer 2011, 14, 101–112. [Google Scholar] [CrossRef] [PubMed]
- Eisenhauer, E.A.; Therasse, P.; Bogaerts, J.; Schwartz, L.H.; Sargent, D.; Ford, R.; Dancey, J.; Arbuck, S.; Gwyther, S.; Mooney, M.; et al. New response evaluation criteria in solid tumours: Revised RECIST guideline (version 1.1). Eur. J. Cancer 2009, 45, 228–247. [Google Scholar] [CrossRef] [PubMed]
- Obana, A.; Komatsu, N.; Aiba, K.; Nakanishi, S.; Abe, M.; Yamaguchi, T.; Hayashi, M.; Obi, H.; Koyama, M.; Hashimoto, S. A Case of Long-Term Survival after Splenectomy for Solitary Splenic Metastasis from Gastric Cancer. World J. Surg. Oncol. 2020, 18, 250. [Google Scholar] [CrossRef] [PubMed]
- Compérat, E.; Bardier-Dupas, A.; Camparo, P.; Capron, F.; Charlotte, F. Splenic Metastases: Clinicopathologic Presentation, Differential Diagnosis, and Pathogenesis. Arch. Pathol. Lab. Med. 2007, 131, 965–969. [Google Scholar] [CrossRef] [PubMed]
- Yamanouchi, K.; Ikematsu, Y.; Waki, S.; Kida, H.; Nishiwaki, Y.; Gotoh, K.; Ozawa, T.; Uchimura, M. Solitary Splenic Metastasis from Gastric Cancer: Report of a Case. Surg. Today 2002, 32, 1081–1084. [Google Scholar] [CrossRef] [PubMed]
- Yoshizawa, J.; Kubo, N.; Ishizone, S.; Karasawa, F.; Nakayama, A. Curative Resection by Splenectomy for Solitary Splenic Metastasis from Early Gastric Cancer: A Case Report and Literature Review. BMC Cancer 2017, 17, 436. [Google Scholar] [CrossRef] [PubMed]
- Sato, S.; Nagai, E.; Taki, Y.; Watanabe, M.; Takahashi, M.; Kyoden, Y.; Ohata, K.; Kanemoto, H.; Oba, N.; Taku, K.; et al. A Long-Surviving Case of Gastric Cancer with Main Portal Vein Tumor Thrombus After Surgical Resection and Postoperative S-1 Therapy. Clin. J. Gastroenterol. 2016, 9, 233–237. [Google Scholar] [CrossRef] [PubMed]
- Eom, B.W.; Lee, J.H.; Lee, J.S.; Kim, M.J.; Ryu, K.W.; Choi, I.J.; Cho, S.J.; Lee, J.Y.; Rhee, J.; Nam, B.H.; et al. Survival Analysis of Gastric Cancer Patients with Tumor Thrombus in the Portal Vein. J. Surg. Oncol. 2012, 105, 310–315. [Google Scholar] [CrossRef] [PubMed]
- Yamamoto, M.; Omori, T.; Shinno, N.; Hara, H.; Mukai, Y.; Sugase, T.; Takeoka, T.; Asukai, K.; Kanemura, T.; Nakai, N.; et al. Robotic Total Gastrectomy with Thrombectomy and Portal Vein Reconstruction for Gastric Cancer and Portal Vein Tumor Thrombus. World J. Surg. Oncol. 2022, 20, 36. [Google Scholar] [CrossRef] [PubMed]
- Ishigami, S.; Arigami, T.; Okubo, K.; Sasaki, K.; Kurahara, H.; Uenosono, Y.; Okumura, H.; Owaki, T.; Kijima, Y.; Ueno, S.; et al. Successful Treatment of Advanced Gastric Adenocarcinoma with Portal Tumor Thrombosis by Total Gastrectomy Following CDDP and S-1 Therapy. Clin. J. Gastroenterol. 2012, 5, 230–233. [Google Scholar] [CrossRef] [PubMed]
- Yan, Y.; Ou, C.; Cao, S.; Hua, Y.; Sha, Y. Laparoscopic vs. Open Distal Gastrectomy for Locally Advanced Gastric Cancer: A Systematic Review and Meta-analysis of Randomized Controlled Trials. Front. Surg. 2023, 10, 1127854. [Google Scholar] [CrossRef] [PubMed]
- Pang, H.Y.; Chen, X.F.; Chen, L.H.; Yan, M.H.; Chen, Z.X.; Sun, H. Comparisons of Perioperative and Long-Term Outcomes of Laparoscopic versus Open Gastrectomy for Advanced Gastric Cancer after Neoadjuvant Therapy: An Updated Pooled Analysis of Eighteen Studies. Eur. J. Med. Res. 2023, 28, 224. [Google Scholar] [CrossRef]
- Li, Z.; Wu, H.; Lin, H.; Pan, G.; Ren, J.; Li, J.; Xu, Y. The Short- and Long-Term Effect of Laparoscopic Total Gastrectomy in D2 Radical Treatment Combined with Spleno-Pancreatectomy under Membrane Anatomy. Surg. Endosc. 2023, 37, 1551–1561. [Google Scholar] [CrossRef] [PubMed]
- Nakauchi, M.; Suda, K.; Kadoya, S.; Inaba, K.; Ishida, Y.; Uyama, I. Technical Aspects and Short- and Long-Term Outcomes of Totally Laparoscopic Total Gastrectomy for Advanced Gastric Cancer: A Single-Institution Retrospective Study. Surg. Endosc. 2016, 30, 4632–4639. [Google Scholar] [CrossRef]




Disclaimer/Publisher’s Note: The statements, opinions and data contained in all publications are solely those of the individual author(s) and contributor(s) and not of MDPI and/or the editor(s). MDPI and/or the editor(s) disclaim responsibility for any injury to people or property resulting from any ideas, methods, instructions or products referred to in the content. |
© 2024 by the authors. Licensee MDPI, Basel, Switzerland. This article is an open access article distributed under the terms and conditions of the Creative Commons Attribution (CC BY) license (https://creativecommons.org/licenses/by/4.0/).
Share and Cite
Tanioka, N.; Kuwahara, M.; Sakai, T.; Nokubo, Y.; Shimizu, S.; Hiroi, M.; Akimori, T. Minimally Invasive Conversion Surgery for Unresectable Gastric Cancer with Splenic Metastasis and Splenic Vein Tumor Thrombus: A Case Report. Curr. Oncol. 2024, 31, 2662-2669. https://doi.org/10.3390/curroncol31050201
Tanioka N, Kuwahara M, Sakai T, Nokubo Y, Shimizu S, Hiroi M, Akimori T. Minimally Invasive Conversion Surgery for Unresectable Gastric Cancer with Splenic Metastasis and Splenic Vein Tumor Thrombus: A Case Report. Current Oncology. 2024; 31(5):2662-2669. https://doi.org/10.3390/curroncol31050201
Chicago/Turabian StyleTanioka, Nobuhisa, Michio Kuwahara, Takashi Sakai, Yuzuko Nokubo, Shigeto Shimizu, Makoto Hiroi, and Toyokazu Akimori. 2024. "Minimally Invasive Conversion Surgery for Unresectable Gastric Cancer with Splenic Metastasis and Splenic Vein Tumor Thrombus: A Case Report" Current Oncology 31, no. 5: 2662-2669. https://doi.org/10.3390/curroncol31050201
APA StyleTanioka, N., Kuwahara, M., Sakai, T., Nokubo, Y., Shimizu, S., Hiroi, M., & Akimori, T. (2024). Minimally Invasive Conversion Surgery for Unresectable Gastric Cancer with Splenic Metastasis and Splenic Vein Tumor Thrombus: A Case Report. Current Oncology, 31(5), 2662-2669. https://doi.org/10.3390/curroncol31050201

