Outcome of Reoperation for Local Recurrence Following En Bloc Resection for Bone Giant Cell Tumor of the Extremity
Abstract
1. Introduction
2. Materials and Methods
Statistical Analysis
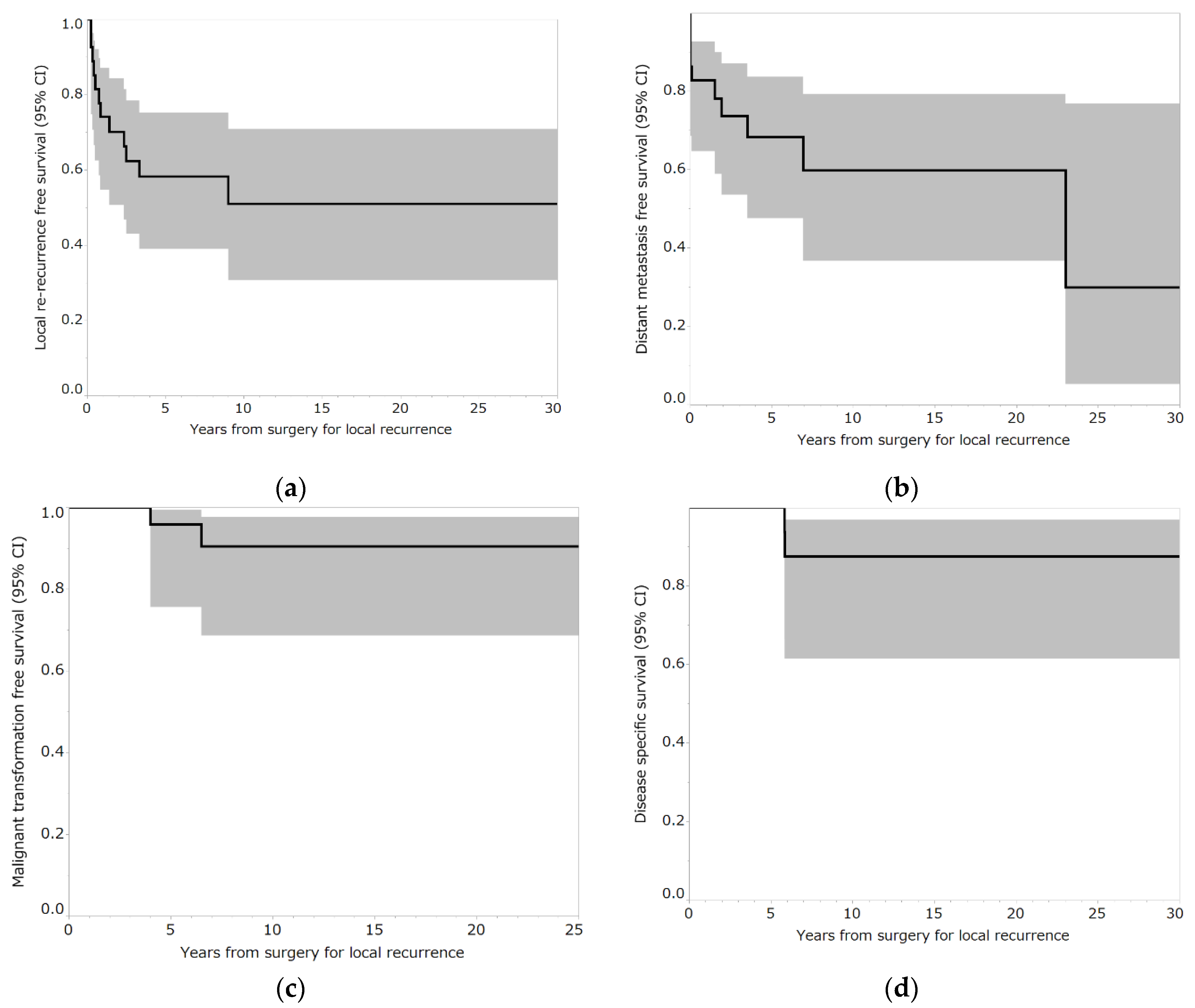
3. Results
4. Discussion
5. Conclusions
Author Contributions
Funding
Institutional Review Board Statement
Informed Consent Statement
Data Availability Statement
Acknowledgments
Conflicts of Interest
References
- Flanagan, A.M.; Larousserie, F.; O’Donnell, P.G.; Yoshida, A. Giant cell tumour of bone. In Soft Tissue and Bone Tumours. WHO Classification of Tumours, 5th ed.; The WHO Classification of Tumours Editorial Board, Ed.; IARC: Lyon, France, 2020; pp. 440–446. [Google Scholar]
- Machak, G.N.; Snetkov, A.I. The impact of curettage technique on local control in giant cell tumour of bone. Int. Orthop. 2021, 45, 779–789. [Google Scholar] [CrossRef] [PubMed]
- Dominkus, M.; Ruggieri, P.; Bertoni, F.; Briccoli, A.; Picci, P.; Rocca, M.; Mercuri, M. Histologically verified lung metastases in benign giant cell tumours--14 cases from a single institution. Int. Orthop. 2006, 30, 499–504. [Google Scholar] [CrossRef] [PubMed]
- Gupta, R.; Seethalakshmi, V.; Jambhekar, N.A.; Prabhudesai, S.; Merchant, N.; Puri, A.; Agarwal, M. Clinicopathologic Profile of 470 giant cell tumors of bone from a cancer hospital in Western India. Ann. Diagn. Pathol. 2008, 12, 239–248. [Google Scholar] [CrossRef]
- Rock, M.G.; Pritchard, D.J.; Unni, K.K. Metastases from histologically benign giant-cell tumor of bone. J. Bone Jt. Surg. Am. 1984, 66, 269–274. [Google Scholar] [CrossRef]
- Siebenrock, K.A.; Unni, K.K.; Rock, M.G. Giant- cell tumour of bone metastasising to the lungs. A long-term Follow-up. J. Bone Jt. Surg. Br. 1998, 80, 43–47. [Google Scholar] [CrossRef]
- Tubbs, W.S.; Brown, L.R.; Beabout, J.W.; Rock, M.G.; Unni, K.K. Benign giant-cell tumor of bone with pulmonary metastases: Clinical findings and radiologic appearance of metastases in 13 cases. Am. J. Roentgenol. 1992, 158, 331–334. [Google Scholar] [CrossRef]
- Tsukamoto, S.; Mavrogenis, A.F.; Leone, G.; Righi, A.; Akahane, M.; Tanzi, P.; Kido, A.; Honoki, K.; Tanaka, Y.; Donati, D.M.; et al. Denosumab does not decrease the risk of lung metastases from bone giant cell tumour. Int. Orthop. 2019, 43, 483–489. [Google Scholar] [CrossRef]
- Palmerini, E.; Picci, P.; Reichardt, P.; Downey, G. Malignancy in giant cell tumor of bone: A review of the literature. Technol. Cancer Res. Treat. 2019, 18, 1533033819840000. [Google Scholar] [CrossRef]
- Tsukamoto, S.; Righi, A.; Mavrogenis, A.F.; Akahane, M.; Honoki, K.; Tanaka, Y.; Donati, D.M.; Errani, C. Late Local recurrence of bone giant cell tumors associated with an increased risk for malignant transformation. Cancers 2021, 13, 3644. [Google Scholar] [CrossRef]
- Anract, P.; De Pinieux, G.; Cottias, P.; Pouillart, P.; Forest, M.; Tomeno, B. Malignant giant-cell tumours of bone. clinico-pathological types and prognosis: A review of 29 cases. Int. Orthop. 1998, 22, 19–26. [Google Scholar] [CrossRef]
- Bertoni, F.; Bacchini, P.; Staals, E.L. Malignancy in giant cell tumor of bone. Cancer 2003, 97, 2520–2529. [Google Scholar] [CrossRef] [PubMed]
- Liu, W.; Chan, C.M.; Gong, L.; Bui, M.M.; Han, G.; Letson, G.D.; Yang, Y.; Niu, X. Malignancy in giant cell tumor of bone in the extremities. J. Bone Oncol. 2021, 26, 100334. [Google Scholar] [CrossRef]
- Joo, M.W.; Lee, Y.-S.; Park, H.S.; Chung, Y.-G.; Yoon, C. Secondary malignancy in giant cell tumor: A single-center study. Curr. Oncol. 2022, 29, 4068–4080. [Google Scholar] [CrossRef]
- Errani, C.; Ruggieri, P.; Asenzio, M.A.N.; Toscano, A.; Colangeli, S.; Rimondi, E.; Rossi, G.; Longhi, A.; Mercuri, M. Giant cell tumor of the extremity: A review of 349 cases from a single institution. Cancer Treat. Rev. 2010, 36, 1–7. [Google Scholar] [CrossRef]
- Tsukamoto, S.; Mavrogenis, A.F.; Kido, A.; Errani, C. Current concepts in the treatment of giant cell tumors of bone. Cancers 2021, 13, 3647. [Google Scholar] [CrossRef]
- Niu, X.; Zhang, Q.; Hao, L.; Ding, Y.; Li, Y.; Xu, H.; Liu, W. Giant cell tumor of the extremity: Retrospective analysis of 621 Chinese patients from one institution. J. Bone Jt. Surg. Am. 2012, 94, 461–467. [Google Scholar] [CrossRef]
- Van der Heijden, L.; Dijkstra, P.D.S.; Campanacci, D.A.; Gibbons, C.L.M.H.; van de Sande, M.A.J. Giant Cell Tumor with Pathologic Fracture: Should We Curette or Resect? Clin. Orthop. Relat. Res. 2013, 471, 820–829. [Google Scholar] [CrossRef] [PubMed]
- Prosser, G.H.; Baloch, K.G.; Tillman, R.M.; Carter, S.R.; Grimer, R.J. Does curettage without adjuvant therapy provide low recurrence rates in giant-cell tumors of bone? Clin. Orthop. Relat. Res. 2005, 435, 211–218. [Google Scholar]
- Klenke, F.M.; Wenger, D.E.; Inwards, C.Y.; Rose, P.S.; Sim, F.H. Recurrent giant cell tumor of long bones: Analysis of surgical management. Clin. Orthop. Relat. Res. 2011, 469, 1181–1187. [Google Scholar] [CrossRef]
- Yokogawa, N.; Murakami, H.; Demura, S.; Kato, S.; Yoshioka, K.; Shimizu, T.; Oku, N.; Kitagawa, R.; Tsuchiya, H. Total spondylectomy for Enneking stage III giant cell tumor of the mobile spine. Eur. Spine J. 2018, 27, 3084–3091. [Google Scholar] [CrossRef]
- Niu, X.; Yang, Y.; Wong, K.C.; Huang, Z.; Ding, Y.; Zhang, W. Giant cell tumour of the bone treated with denosumab: How has the blood supply and oncological prognosis of the tumour changed? J. Orthop. Translat. 2019, 18, 100–108. [Google Scholar] [CrossRef]
- Zhang, R.-Z.; Ma, T.-X.; Qi, D.-W.; Zhao, M.; Hu, T.; Zhang, G.-C. Short-term preoperative denosumab with surgery in unresectable or recurrent giant cell tumor of bone. Orthop. Surg. 2019, 11, 1101–1108. [Google Scholar] [CrossRef]
- Campanacci, M.; Baldini, N.; Boriani, S.; Sudanese, A. Giant-cell tumor of bone. J. Bone Jt. Surg. Am. 1987, 69, 106–114. [Google Scholar] [CrossRef]
- Enneking, W.F.; Dunham, W.; Gebhardt, M.C.; Malawar, M.; Pritchard, D.J. A system for the functional evaluation of reconstructive procedures after surgical treatment of tumors of the musculoskeletal system. Clin. Orthop. Relat. Res. 1993, 286, 241–246. [Google Scholar] [CrossRef]
- Tsukamoto, S.; Mavrogenis, A.F.; Tanzi, P.; Leone, G.; Ciani, G.; Righi, A.; Akahane, M.; Honoki, K.; Tanaka, Y.; Donati, D.M.; et al. Denosumab for bone giant cell tumor of the distal radius. Orthopedics 2020, 43, 284–291. [Google Scholar] [CrossRef] [PubMed]
- Puri, A.; Gulia, A.; Agarwal, M.G.; Reddy, K. Ulnar translocation after excision of a Campanacci Grade-3 giant-cell tumour of the distal radius: An effective method of reconstruction. J. Bone Jt. Surg. Br. 2010, 92, 875–879. [Google Scholar] [CrossRef]
- Tsukamoto, S.; Mavrogenis, A.F.; Tanzi, P.; Leone, G.; Akahane, M.; Tanaka, Y.; Errani, C. Curettage as first surgery for bone giant cell tumor: Adequate surgery is more important than oncology training or surgical management by high volume specialized teams. Eur. J. Orthop. Surg. Traumatol. 2020, 30, 3–9. [Google Scholar] [CrossRef]
- Tsukamoto, S.; Mavrogenis, A.F.; Akahane, M.; Honoki, K.; Kido, A.; Tanaka, Y.; Donati, D.M.; Errani, C. Risk factors of fracture following curettage for bone giant cell tumors of the extremities. BMC Musculoskelet. Disord. 2022, 23, 477. [Google Scholar] [CrossRef]
- Hindiskere, S.; Errani, C.; Doddarangappa, S.; Ramaswamy, V.; Rai, M.; Chinder, P.S. Is a short-course of preoperative denosumab as effective as prolonged therapy for giant cell tumor of bone? Clin. Orthop. Relat. Res. 2020, 478, 2522–2533. [Google Scholar] [CrossRef]
- O’Donnell, R.J.; Springfield, D.S.; Motwani, H.K.; Ready, J.E.; Gebhardt, M.C.; Mankin, H.J. Recurrence of giant-cell tumors of the long bones after curettage and packing with cement. J. Bone Jt. Surg. Am. 1994, 76, 1827–1833. [Google Scholar] [CrossRef]
- Cheng, C.Y.; Shih, H.N.; Hsu, K.Y.; Hsu, R.W. Treatment of giant cell tumor of the distal radius. Clin. Orthop. Relat. Res. 2001, 383, 221–228. [Google Scholar] [CrossRef] [PubMed]
- Sheth, D.S.; Healey, J.H.; Sobel, M.; Lane, J.M.; Marcove, R.C. Giant cell tumor of the distal radius. J. Hand Surg. Am. 1995, 20, 432–440. [Google Scholar] [CrossRef]
- McDonald, D.J.; Sim, F.H.; McLeod, R.A.; Dahlin, D.C. Giant-cell tumor of bone. J. Bone Jt. Surg. Am. 1986, 68, 235–242. [Google Scholar] [CrossRef]
- Dreinhöfer, K.E.; Rydholm, A.; Bauer, H.C.; Kreicbergs, A. Giant-cell tumours with fracture at diagnosis. Curettage and acrylic cementing in ten cases. J. Bone Jt. Surg. Br. 1995, 77, 189–193. [Google Scholar] [CrossRef]
- Blackley, H.R.; Wunder, J.S.; Davis, A.M.; White, L.M.; Kandel, R.; Bell, R.S. Treatment of giant-cell tumors of long bones with curettage and bone-grafting. J. Bone Jt. Surg. Am. 1999, 81, 811–820. [Google Scholar] [CrossRef] [PubMed]
- Deheshi, B.M.; Jaffer, S.N.; Griffin, A.M.; Ferguson, P.C.; Bell, R.S.; Wunder, J.S. Joint salvage for pathologic fracture of giant cell tumor of the lower extremity. Clin. Orthop. Relat. Res. 2007, 459, 96–104. [Google Scholar] [CrossRef]
- Turcotte, R.E.; Wunder, J.S.; Isler, M.H.; Bell, R.S.; Schachar, N.; Masri, B.A.; Moreau, G.; Davis, A.M.; Canadian Sarcoma Group. Giant Cell Tumor of Long Bone: A Canadian Sarcoma Group Study. Clin. Orthop. Relat. Res. 2002, 379, 248–258. [Google Scholar] [CrossRef]
- Salunke, A.A.; Chen, Y.; Chen, X.; Tan, J.H.; Singh, G.; Tai, B.C.; Khin, L.W.; Puhaindran, M.E. Does pathological fracture affect the rate of local recurrence in patients with a giant cell tumour of bone? A meta-analysis. Bone Jt. J. 2015, 97-B, 1566–1571. [Google Scholar] [CrossRef]
- Takeuchi, A.; Tsuchiya, H.; Niu, X.; Ueda, T.; Jeon, D.-G.; Wang, E.H.M.; Asavamongkolkul, A.; Kusuzaki, K.; Sakayama, K.; Kang, Y.-K. The prognostic factors of recurrent GCT: A Cooperative Study by the Eastern Asian Musculoskeletal Oncology Group. J. Orthop. Sci. 2011, 16, 196–202. [Google Scholar] [CrossRef]
- Atkins, G.J.; Kostakis, P.; Vincent, C.; Farrugia, A.N.; Houchins, J.P.; Findlay, D.M.; Evdokiou, A.; Zannettino, A.C.W. RANK Expression as a cell surface marker of human osteoclast precursors in peripheral blood, bone marrow, and giant cell tumors of bone. J. Bone Miner. Res. 2006, 21, 1339–1349. [Google Scholar] [CrossRef]
- Goldring, S.R.; Roelke, M.S.; Petrison, K.K.; Bhan, A.K. Human giant cell tumors of bone identification and characterization of cell types. J. Clin. Investig. 1987, 79, 483–491. [Google Scholar] [CrossRef] [PubMed]
- Huang, L.; Xu, J.; Wood, D.J.; Zheng, M.H. Gene Expression of osteoprotegerin ligand, osteoprotegerin, and receptor activator of NF-KappaB in giant cell tumor of bone: Possible involvement in tumor cell-induced osteoclast-like cell formation. Am. J. Pathol. 2000, 156, 761–767. [Google Scholar] [CrossRef]
- Liao, T.S.; Yurgelun, M.B.; Chang, S.-S.; Zhang, H.-Z.; Murakami, K.; Blaine, T.A.; Parisien, M.V.; Kim, W.; Winchester, R.J.; Lee, F.Y.-I. Recruitment of osteoclast precursors by stromal cell derived factor-1 (SDF-1) in giant cell tumor of bone. J. Orthop. Res. 2005, 23, 203–209. [Google Scholar] [CrossRef]
- Roux, S.; Amazit, L.; Meduri, G.; Guiochon-Mantel, A.; Milgrom, E.; Mariette, X. RANK (Receptor Activator of Nuclear Factor Kappa B) and RANK ligand are expressed in giant cell tumors of bone. Am. J. Clin. Pathol. 2002, 117, 210–216. [Google Scholar] [CrossRef]
- Skubitz, K.M.; Cheng, E.Y.; Clohisy, D.R.; Thompson, R.C.; Skubitz, A.P.N. Gene expression in giant-cell tumors. J. Lab. Clin. Med. 2004, 144, 193–200. [Google Scholar] [CrossRef] [PubMed]
- Thomas, D.M.; Skubitz, K.M. Giant cell tumour of bone. Curr. Opin. Oncol. 2009, 21, 338–344. [Google Scholar] [CrossRef] [PubMed]
- Branstetter, D.G.; Nelson, S.D.; Manivel, J.C.; Blay, J.-Y.; Chawla, S.; Thomas, D.M.; Jun, S.; Jacobs, I. Denosumab induces tumor reduction and bone formation in patients with giant-cell tumor of bone. Clin. Cancer Res. 2012, 18, 4415–4424. [Google Scholar] [CrossRef]
- Lau, Y.S.; Sabokbar, A.; Gibbons, C.L.M.H.; Giele, H.; Athanasou, N. Phenotypic and molecular studies of giant-cell tumors of bone and soft tissue. Hum. Pathol. 2005, 36, 945–954. [Google Scholar] [CrossRef]
- Chawla, S.; Henshaw, R.; Seeger, L.; Choy, E.; Blay, J.-Y.; Ferrari, S.; Kroep, J.; Grimer, R.; Reichardt, P.; Rutkowski, P.; et al. Safety and efficacy of denosumab for adults and skeletally mature adolescents with giant cell tumour of bone: Interim analysis of an open-label, parallel-group, phase 2 study. Lancet Oncol. 2013, 14, 901–908. [Google Scholar] [CrossRef]
- Rutkowski, P.; Ferrari, S.; Grimer, R.J.; Stalley, P.D.; Dijkstra, S.P.D.; Pienkowski, A.; Vaz, G.; Wunder, J.S.; Seeger, L.L.; Feng, A.; et al. Surgical downstaging in an open-label phase ii trial of denosumab in patients with giant cell tumor of bone. Ann. Surg. Oncol. 2015, 22, 2860–2868. [Google Scholar] [CrossRef]
- Müller, D.A.; Beltrami, G.; Scoccianti, G.; Campanacci, D.A.; Franchi, A.; Capanna, R. Risks and benefits of combining denosumab and surgery in giant cell tumor of bone-a case series. World J. Surg. Oncol. 2016, 14, 281. [Google Scholar] [CrossRef] [PubMed]
- Medellin, M.R.; Fujiwara, T.; Tillman, R.M.; Jeys, L.M.; Gregory, J.; Stevenson, J.D.; Parry, M.; Abudu, A. Prognostic factors for local recurrence in extremity-located giant cell tumours of bone with pathological fracture. Bone Jt. J. 2018, 100-B, 1626–1632. [Google Scholar] [CrossRef] [PubMed]
- Sahito, B.; Ali, S.M.E.; Kumar, D.; Kumar, J.; Hussain, N.; Lakho, T. Role of denosumab before resection and reconstruction in giant cell tumors of bone: A single-centered retrospective cohort study. Eur. J. Orthop. Surg. Traumatol. 2022, 32, 567–574. [Google Scholar] [CrossRef]
- Tsukamoto, S.; Mavrogenis, A.F.; Tanaka, Y.; Kido, A.; Kawaguchi, M.; Errani, C. Denosumab does not decrease local recurrence in giant cell tumor of bone treated with en bloc resection. Orthopedics 2021, 44, 326–332. [Google Scholar] [CrossRef] [PubMed]
- Wang, B.; Chen, W.; Xie, X.; Tu, J.; Huang, G.; Zou, C.; Yin, J.; Wen, L.; Shen, J. Development and validation of a prognostic index to predict pulmonary metastasis of giant cell tumor of bone. Oncotarget 2017, 8, 108054–108063. [Google Scholar] [CrossRef] [PubMed][Green Version]
- Bertoni, F.; Present, D.; Enneking, W.F. Giant-cell tumor of bone with pulmonary metastases. J. Bone Jt. Surg. Am. 1985, 67, 890–900. [Google Scholar] [CrossRef]
- Bertoni, F.; Present, D.; Sudanese, A.; Baldini, N.; Bacchini, P.; Campanacci, M. Giant-cell tumor of bone with pulmonary metastases. Six case reports and a review of the literature. Clin. Orthop. Relat. Res. 1988, 237, 275–285. [Google Scholar] [CrossRef]
- Kay, R.M.; Eckardt, J.J.; Seeger, L.L.; Mirra, J.M.; Hak, D.J. Pulmonary Metastasis of benign giant cell tumor of bone. six histologically confirmed cases, including one of spontaneous regression. Clin. Orthop. Relat. Res. 1994, 302, 219–230. [Google Scholar] [CrossRef]
- Viswanathan, S.; Jambhekar, N.A. Metastatic giant cell tumor of bone: Are there associated factors and best treatment modalities? Clin. Orthop. Relat. Res. 2010, 468, 827–833. [Google Scholar] [CrossRef]
- Cheng, J.C.; Johnston, J.O. Giant cell tumor of bone. Prognosis and treatment of pulmonary metastases. Clin. Orthop. Relat. Res. 1997, 338, 205–214. [Google Scholar] [CrossRef]
- Osaka, S.; Toriyama, M.; Taira, K.; Sano, S.; Saotome, K. Analysis of giant cell tumor of bone with pulmonary metastases. Clin. Orthop. Relat. Res. 1997, 335, 253–261. [Google Scholar] [CrossRef]




| Variable ( n = 29) | No. (%) of Patients |
|---|---|
| Median age (years) | 34 (IQR, 26.5–52.6) |
| Sex | |
| Male | 13 (44.8) |
| Female | 16 (55.2) |
| Site | |
| Distal radius | 12 (41.4) |
| Proximal femur | 2 (6.9) |
| Hand and foot | 3 (10.3) |
| Distal femur | 4 (13.8) |
| Proximal tibia | 3 (10.3) |
| Proximal humerus | 1 (3.4) |
| Others | 4 (13.8) |
| Campanacci classification at presentation | |
| Stage II | 4 (13.8) |
| Stage III | 25 (86.2) |
| Lung metastases at presentation | |
| No | 27 (93.1) |
| Yes | 2 (6.9) |
| Pathological fracture at presentation | |
| No | 24 (82.8) |
| Yes | 5 (17.2) |
| Denosumab use at initial en bloc resection | |
| No | 27 (93.1) |
| Yes | 2 (6.9) |
| Previous surgery | |
| No | 21 (72.4) |
| Yes | 8 (27.6) |
| Median period from initial en bloc resection to local recurrence (months) | 16 (IQR, 7.8–28.4) |
| Site of local recurrence | |
| Bone | 11 (37.9) |
| Soft tissue | 18 (62.1) |
| Surgery for local recurrence | |
| Curettage | 3 (10.3) |
| Resection | 25 (86.2) |
| Amputation | 1 (3.4) |
| Denosumab administration before surgery for local recurrence | |
| No | 27 (93.1) |
| Yes | 2 (6.9) |
| Variable ( n = 29) | No. (%) of Patients |
|---|---|
| Local re-recurrence | |
| No | 17 (58.6) |
| Yes | 12 (41.4) |
| Median period from surgery for local recurrence to local re-recurrence (months) | 7.5 (IQR, 4–25.3) |
| Distant metastases | |
| No | 19 (65.5) |
| Yes | 10 (34.5) |
| Median period from surgery for local recurrence to distant metastasis (months) | 9.5 (IQR, 0–52.3) |
| Malignant transformation | |
| No | 27 (93.1) |
| Yes | 2 (6.9) |
| Median period from surgery for local recurrence to malignant transformation (months) | 13.5 (IQR, 3–24) |
| Median follow-up period from initial en bloc resection (months) | 97 (IQR, 66.4–141.5) |
| Median follow-Up period from surgery for local recurrence (months) | 70.1 (IQR, 40.5–123.8) |
| Oncological outcome | |
| NED (Local recurrence) | 18 (62.1) |
| NED (Metastasis) | 4 (13.8) |
| AWD (Metastasis) | 5 (17.2) |
| DOD | 2 (6.9) |
| Median period from surgery for local recurrence to DOD (months) | 70 (IQR, 70–70) |
| Median MSTS score | 26 (IQR, 23–28) |
| Surgery-related complication | |
| Infection | 2 (6.9) |
| Wrist arthropathy | 1 (3.4) |
| Fracture | 1 (3.4) |
| Case | Sex | Age (Years) | Site | Campanacci Stage | Lung Metastasis at Presentation | Pathological Fracture at Presentation | Dose of Preoperative Denosumab | Reconstruction after Initial En Bloc Resection | Complication | Time to Local Recurrence (Months) | Site of Local Recurrence | Surgery for Local Recurrence | Dose of Denosumab before Reoperation |
|---|---|---|---|---|---|---|---|---|---|---|---|---|---|
| 1 | M | 59 | Metacarpal | Stage 3 | No | No | 0 | Allograft | No | 123 | Soft tissue | En bloc resection | 0 |
| 2 | M | 23 | Distal radius | Stage 3 | No | No | 0 | Allograft | No | 16 | Bone | Curettage | 0 |
| 3 | F | 26 | Distal radius | Stage 3 | Yes | No | 0 | Allograft | Allograft fracture | 6 | Bone | Curettage | 0 |
| 4 | M | 53 | Proximal tibia | Stage 3 | No | No | 0 | No reconstruction | No | 23 | Soft tissue | En bloc resection | 0 |
| 5 | M | 63 | Proximal femur | Stage 3 | No | Yes | 0 | Prosthesis | Infection | 27 | Bone | En bloc resection and prosthesis | 0 |
| 6 | F | 24 | Distal radius | Stage 3 | No | No | 0 | Allograft | Wrist arthropathy | 11 | Bone | En bloc resection and allograft | 0 |
| 7 | F | 42 | Distal femur | Stage 3 | No | No | 0 | Prosthesis | No | 21 | Soft tissue | En bloc resection | 0 |
| 8 | F | 54 | Hand phalanges | Stage 2 | No | No | 0 | Allograft | No | 3 | Bone | Curettage | 0 |
| 9 | F | 51 | Distal radius | Stage 3 | Yes | Yes | 0 | Allograft | No | 8 | Soft tissue | En bloc resection | 0 |
| 10 | M | 63 | Proximal femur | Stage 2 | No | Yes | 0 | Prosthesis | No | 12 | Bone | En bloc resection and prosthesis | 0 |
| 11 | M | 52 | Distal radius | Stage 2 | No | No | 0 | Allograft | No | 9 | Soft tissue | En bloc resection | 0 |
| 12 | M | 54 | Distal radius | Stage 3 | No | No | 0 | Allograft | No | 23 | Soft tissue | En bloc resection | 0 |
| 13 | F | 23 | Distal radius | Stage 3 | No | No | 0 | Allograft | No | 8 | Soft tissue | En bloc resection | 0 |
| 14 | M | 41 | Distal ulna | Stage 3 | No | No | 0 | No reconstruction | No | 7 | Bone | En bloc resection | 0 |
| 15 | M | 38 | Distal radius | Stage 3 | No | No | 0 | Allograft | No | 13 | Soft tissue | En bloc resection | 0 |
| 16 | F | 29 | Proximal tibia | Stage 2 | No | No | 0 | Prosthesis | No | 16 | Soft tissue | En bloc resection | 0 |
| 17 | F | 28 | Metacarpal | Stage 3 | No | No | 0 | Allograft | No | 30 | Soft tissue | En bloc resection | 0 |
| 18 | M | 22 | Distal radius | Stage 3 | No | No | 0 | Allograft | No | 32 | Bone | En bloc resection and allograft | 0 |
| 19 | F | 50 | Patella | Stage 3 | No | No | 0 | Reconstruction of quadriceps tendon with mesh | Infection | 36 | Soft tissue | En bloc resection | 0 |
| 20 | F | 30 | Distal femur | Stage 3 | No | No | 0 | Prosthesis | No | 46 | Soft tissue | En bloc resection | 0 |
| 21 | F | 24 | Proximal fibula | Stage 3 | No | No | 0 | No reconstruction | No | 52 | Soft tissue | En bloc resection | 0 |
| 22 | M | 40 | Distal radius | Stage 3 | No | No | 0 | Allograft | No | 9 | Soft tissue | En bloc resection | 0 |
| 23 | M | 20 | Proximal tibia | Stage 3 | No | No | 0 | Prosthesis | No | 16 | Soft tissue | En bloc resection | 0 |
| 24 | F | 29 | Distal femur | Stage 3 | No | No | 0 | Prosthesis | No | 24 | Bone | En bloc resection and prosthesis | 0 |
| 25 | F | 31 | Proximal fibula | Stage 3 | No | No | 0 | No reconstruction | No | 6 | Soft tissue | En bloc resection | 0 |
| 26 | F | 71 | Proximal humerus | Stage 3 | No | Yes | 9 | Prosthesis | No | 6 | Bone | En bloc resection and prosthesis | 29 |
| 27 | M | 27 | Distal radius | Stage 3 | No | No | 0 | Vascularized fibular graft | No | 18 | Soft tissue | En bloc resection | 0 |
| 28 | F | 28 | Distal femur | Stage 3 | No | Yes | 0 | Vascularized fibular graft | No | 83 | Bone | Amputation above knee | 0 |
| 29 | F | 34 | Distal radius | Stage 3 | No | No | 2 | Translocation of the ipsilateral ulna | No | 6 | Soft tissue | En bloc resection | 1 |
| Case | Local Re-Recurrence | Interval between Surgery for Local Recurrence and Local Re-Recurrence (Months) | Surgery for Local Re-Recurrence | MSTS Score | Malignant Transformation | Interval between Surgery for Local Recurrence and Malignant Transformation (Months) | Distant Metastasis | Treatment for Distant Metastasis | Interval between Surgery for Local Recurrence and Distant Metastasis (Months) | Follow-Up Period from Initial En Bloc Resection (Months) | Follow-Up Period from Surgery for Local Recurrence (Months) | Status |
|---|---|---|---|---|---|---|---|---|---|---|---|---|
| 1 | No | NA | NA | 20 | No | NA | No | NA | NA | 124 | 1 | NED (RL) |
| 2 | Yes | 17 | En bloc resection | 24 | No | NA | No | NA | NA | 83 | 67 | NED (RL) |
| 3 | No | NA | NA | 28 | No | NA | Lung | Metastasectomy | 0 | 42 | 36 | AWD (M) |
| 4 | No | NA | NA | 20 | No | NA | No | NA | NA | 70 | 48 | NED (RL) |
| 5 | Yes | 28 | En bloc resection | 17 | Yes | 24 | No | NA | NA | 97 | 70 | DOD |
| 6 | Yes | 30 | En bloc resection | 24 | No | NA | Lung | Metastasectomy (twice) | 0 | 139 | 128 | NED (M) |
| 7 | No | NA | NA | 29 | No | NA | No | NA | NA | 63 | 42 | NED (RL) |
| 8 | Yes | 3 | Curettage | Unknown | No | NA | Lung | Observation | 18 | 42 | 39 | AWD (M) |
| 9 | Yes | 3 | En bloc resection | Unknown | No | NA | Lung | Observation | 0 | 134 | 126 | AWD (M) |
| 10 | No | NA | NA | 25 | No | NA | Lung | Metastasectomy | 23 | 97 | 86 | AWD (M) |
| 11 | Yes | 10 | Curettage | 27 | No | NA | No | NA | NA | 47 | 38 | NED (RL) |
| 12 | No | NA | NA | 28 | No | NA | No | NA | NA | 81 | 58 | NED (RL) |
| 13 | Yes | 9 | En bloc resection | 24 | No | NA | No | NA | NA | 121 | 113 | NED (RL) |
| 14 | No | NA | NA | 30 | No | NA | No | NA | NA | 169 | 162 | NED (RL) |
| 15 | Yes | 5 | En bloc resection | 24 | No | NA | No | NA | NA | 77 | 64 | NED (RL) |
| 16 | No | NA | NA | 23 | No | NA | No | NA | NA | 167 | 151 | NED (RL) |
| 17 | Yes | 6 | En bloc resection | 23 | No | NA | Lung | Metastasectomy (twice) | 1 | 118 | 88 | NED (M) |
| 18 | No | NA | NA | 28 | No | NA | Lung | Metastasectomy | 83 | 223 | 191 | NED (M) |
| 19 | No | NA | NA | 28 | No | NA | No | NA | NA | 48 | 12 | NED (RL) |
| 20 | No | NA | NA | 28 | No | NA | No | NA | NA | 168 | 122 | NED (RL) |
| 21 | Yes | 4 | En bloc resection | 30 | No | NA | Lung | Metastasectomy | 0 | 73 | 20 | AWD (M) |
| 22 | No | NA | NA | 22 | No | NA | No | NA | NA | 90 | 81 | NED (RL) |
| 23 | No | NA | NA | 17 | No | NA | No | NA | NA | 18 | 3 | NED (RL) |
| 24 | No | NA | NA | 30 | No | NA | No | NA | NA | 144 | 120 | NED (RL) |
| 25 | Yes | 4 | En bloc resection | 28 | No | NA | No | NA | NA | 114 | 108 | NED (RL) |
| 26 | Yes | 40 | En bloc resection | Unknown | Yes | 3 | Lung | Chemotherapy | 42 | 76 | 70 | DOD |
| 27 | No | NA | NA | Unknown | No | NA | Ilium | Curettage | 276 | 327 | 309 | NED (M) |
| 28 | No | NA | NA | Unknown | No | NA | No | NA | NA | 446 | 363 | NED (RL) |
| 29 | No | NA | NA | 28 | No | NA | No | NA | NA | 51 | 45 | NED (RL) |
| Variable | No. of Patients (n = 29) | 5-Year Local Re-Recurrence-Free Survival (95% CI) (%) | p-Value |
|---|---|---|---|
| Sex | 0.4647 | ||
| Male | 13 | 63.6 (33.9–85.7) | |
| Female | 16 | 54.1 (29.8–76.7) | |
| Age (years) | 0.9640 | ||
| <30 | 12 | 54.5 (26.8–79.7) | |
| ≥30 | 17 | 61.4 (36.2–81.6) | |
| Site | 0.1566 | ||
| Distal radius/Proximal femur/Foot and hand | 4 | 100 | |
| Others | 25 | 52.8 (32.9–71.7) | |
| Campanacci classification | 0.6924 | ||
| Stage I, II | 4 | 50.0 (12.3–87.7) | |
| Stage III | 25 | 59.4 (38.5–77.5) | |
| Lung metastases at presentation | 0.5086 | ||
| No | 27 | 59.1 (39.2–76.5) | |
| Yes | 2 | 50.0 (5.9–94.1) | |
| Pathological fracture at presentation | 0.5357 | ||
| No | 24 | 63.0 (41.5–80.4) | |
| Yes | 5 | 40.0 (10.0–80.0) | |
| Denosumab administration before initial en bloc resection | 0.9573 | ||
| No | 27 | 59.3 (39.4–76.6) | |
| Yes | 2 | 50.0 (5.9–94.1) | |
| Previous surgery | 0.3484 | ||
| No | 21 | 53.0 (31.3–73.7) | |
| Yes | 8 | 71.4 (32.7–92.8) | |
| Period from initial en bloc resection to local recurrence (months) | 0.6973 | ||
| <24 | 20 | 57.4 (35.0–77.2) | |
| ≥24 | 9 | 60.0 (25.4–86.9) | |
| Site of local recurrence | 0.8180 | ||
| Bone | 11 | 53.0 (25.0–79.2) | |
| Soft tissue | 18 | 62.5 (37.7–82.1) | |
| Surgery for local recurrence | 0.2070 | ||
| Curettage | 3 | 33.3 (4.3–84.6) | |
| Resection or amputation | 26 | 61.8 (41.2–78.8) | |
| Denosumab administration before surgery for local recurrence | 0.9573 | ||
| No | 27 | 59.3 (39.4–76.6) | |
| Yes | 2 | 50.0 (5.9–94.1) | |
| Distant metastases | 0.1548 | ||
| No | 19 | 69.7 (44.5–86.8) | |
| Yes | 10 | 37.5 (13.5–69.7) | |
| Malignant transformation | 0.2416 | ||
| No | 27 | 63.5 (43.4–79.9) | |
| Yes | 2 | 0 |
Publisher’s Note: MDPI stays neutral with regard to jurisdictional claims in published maps and institutional affiliations. |
© 2022 by the authors. Licensee MDPI, Basel, Switzerland. This article is an open access article distributed under the terms and conditions of the Creative Commons Attribution (CC BY) license (https://creativecommons.org/licenses/by/4.0/).
Share and Cite
Tsukamoto, S.; Mavrogenis, A.F.; Hindiskere, S.; Honoki, K.; Kido, A.; Fujii, H.; Masunaga, T.; Tanaka, Y.; Chinder, P.S.; Donati, D.M.; et al. Outcome of Reoperation for Local Recurrence Following En Bloc Resection for Bone Giant Cell Tumor of the Extremity. Curr. Oncol. 2022, 29, 6383-6399. https://doi.org/10.3390/curroncol29090503
Tsukamoto S, Mavrogenis AF, Hindiskere S, Honoki K, Kido A, Fujii H, Masunaga T, Tanaka Y, Chinder PS, Donati DM, et al. Outcome of Reoperation for Local Recurrence Following En Bloc Resection for Bone Giant Cell Tumor of the Extremity. Current Oncology. 2022; 29(9):6383-6399. https://doi.org/10.3390/curroncol29090503
Chicago/Turabian StyleTsukamoto, Shinji, Andreas F. Mavrogenis, Suraj Hindiskere, Kanya Honoki, Akira Kido, Hiromasa Fujii, Tomoya Masunaga, Yasuhito Tanaka, Pramod S. Chinder, Davide Maria Donati, and et al. 2022. "Outcome of Reoperation for Local Recurrence Following En Bloc Resection for Bone Giant Cell Tumor of the Extremity" Current Oncology 29, no. 9: 6383-6399. https://doi.org/10.3390/curroncol29090503
APA StyleTsukamoto, S., Mavrogenis, A. F., Hindiskere, S., Honoki, K., Kido, A., Fujii, H., Masunaga, T., Tanaka, Y., Chinder, P. S., Donati, D. M., & Errani, C. (2022). Outcome of Reoperation for Local Recurrence Following En Bloc Resection for Bone Giant Cell Tumor of the Extremity. Current Oncology, 29(9), 6383-6399. https://doi.org/10.3390/curroncol29090503

