Refractory Splenic Marginal Zone Lymphoma Responsive to Combination Venetoclax and Bortezomib (Velcade) (V2) Therapy
Abstract
1. Introduction
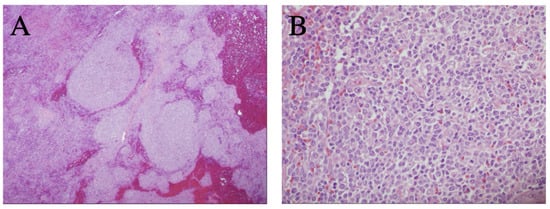
2. Case Report
3. Discussion
4. Conclusions
Author Contributions
Funding
Institutional Review Board Statement
Informed Consent Statement
Data Availability Statement
Conflicts of Interest
References
- Dos Santos, T.S.; Tavares, R.S.; de Farias, D.L.C. Splenic marginal zone lymphoma: A literature review of diagnostic and therapeutic challenges. Rev. Bras. Hematol. Hemoter. 2017, 39, 146–154. [Google Scholar] [CrossRef]
- Camacho, F.I.; Mollejo, M.; Mateo, M.-S.; Algara, P.; Navas, C.; Hernández, J.-M.; Santoja, C.; Solé, F.; Sánchez-Beato, M.; Piris, M.A. Progression to Large B-Cell Lymphoma in Splenic Marginal Zone Lymphoma: A Description of a Series of 12 Cases. Am. J. Surg. Pathol. 2001, 25, 1268–1276. [Google Scholar] [CrossRef]
- Conconi, A.; Franceschetti, S.; von Hohenstaufen, K.A.; Margiotta-Casaluci, G.; Stathis, A.; Moccia, A.A.; Bertoni, F.; Ramponi, A.; Mazzucchelli, L.; Cavalli, F.; et al. Histologic transformation in marginal zone lymphomas. Ann. Oncol. 2015, 26, 2329–2335. [Google Scholar] [CrossRef]
- Cheson, B.D.; Fisher, R.I.; Barrington, S.F.; Cavalli, F.; Schwartz, L.H.; Zucca, E.; Lister, T.A. Recommendations for initial evaluation, stag-ing, and response assessment of Hodgkin and non-Hodgkin lymphoma: The Lugano classification. J. Clin. Oncol. 2014, 32, 3059–3068. [Google Scholar] [CrossRef]
- Thieblemont, C.; Felman, P.; Callet-Bauchu, E.; Traverse-Glehen, A.; Salles, G.; Coiffier, B.; Berger, F. Splenic marginal-zone lymphoma: A distinct clinical and pathological entity. Lancet Oncol. 2003, 4, 95–103. [Google Scholar] [CrossRef]
- Cerhan, J.R.; Habermann, T.M. Epidemiology of marginal zone lymphoma. Ann. Lymphoma 2021, 5, 1. [Google Scholar] [CrossRef]
- Matutes, E.; Oscier, D.; Montalban, C.; Berger, F.; Callet-Bauchu, E.; Dogan, A.; Felman, P.; Franco, V.; Iannitto, E.; Mollejo, M.; et al. Splenic marginal zone lymphoma proposals for a revision of diagnostic, staging and therapeutic criteria. Leukemia 2008, 22, 487–495. [Google Scholar] [CrossRef]
- Vallisa, D.; Bernuzzi, P.; Arcaini, L.; Sacchi, S.; Callea, V.; Marasca, R.; Lazzaro, A.; Trabacchi, E.; Anselmi, E.; Arcari, A.L.; et al. Role of Anti-Hepatitis C Virus (HCV) Treatment in HCV-Related, Low-Grade, B-Cell, Non-Hodgkin’s Lymphoma: A Multicenter Italian Experience. J. Clin. Oncol. 2005, 23, 468–473. [Google Scholar] [CrossRef]
- Tarella, C.; Arcaini, L.; Baldini, L.; Barosi, G.; Billio, A.; Marchetti, M.; Rambaldi, A.; Vitolo, U.; Zinzani, P.L.; Tura, S. Italian Society of Hematology, Italian Society of Experimental Hematology, and Italian Group for Bone Marrow Transplantation Guidelines for the Management of Indolent, Nonfollicular B-Cell Lymphoma (Marginal Zone, Lymphoplasmacytic, and Small Lymphocytic Lymphoma). Clin. Lymphoma Myeloma Leuk. 2015, 15, 75–85. [Google Scholar] [CrossRef]
- Kalpadakis, C.; Pangalis, G.A.; Angelopoulou, M.K.; Sachanas, S.; Kontopidou, F.N.; Yiakoumis, X.; Kokoris, S.I.; Dimitriadou, E.M.; Dimopoulou, M.N.; Moschogiannis, M.; et al. Treatment of Splenic Marginal Zone Lymphoma With Rituximab Monotherapy: Progress Report and Comparison With Splenectomy. Oncology 2013, 18, 190–197. [Google Scholar] [CrossRef] [PubMed]
- Lenglet, J.; Traullé, C.; Mounier, N.; Benet, C.; Munoz-Bongrand, N.; Amorin, S.; Noguera, M.-E.; Traverse-Glehen, A.; Ffrench, M.; Baseggio, L.; et al. Long-term follow-up analysis of 100 patients with splenic marginal zone lymphoma treated with splenectomy as first-line treatment. Leuk. Lymphoma 2014, 55, 1854–1860. [Google Scholar] [CrossRef] [PubMed]
- Bennett, M.; Schechter, G.P. Treatment of Splenic Marginal Zone Lymphoma: Splenectomy Versus Rituximab. Semin. Hematol. 2010, 47, 143–147. [Google Scholar] [CrossRef] [PubMed]
- Kalpadakis, C.; Pangalis, G.A.; Vassilakopoulos, T.P.; Sachanas, S.; Angelopoulou, M.K. Treatment of splenic marginal zone lymphoma: Should splenectomy be abandoned? Leuk Lymphoma. 2014, 55, 1463–1470. [Google Scholar] [CrossRef]
- Bennett, M.; Yegena, S.; Dave, H.P.; Schechter, G.P. Re: Rituximab monotherapy is highly effective in splenic marginal zone lymphoma. Hematol. Oncol. 2008, 26, 114. [Google Scholar] [CrossRef] [PubMed]
- Else, M.; De La Cruz, F.; Batty, P.; Dearden, C.E.; Catovsky, D.; Matutes, E.; Marín-Niebla, A.; La Cruz, F.; Ríos, E. Rituximab, used alone or in combination, is superior to other treatment modalities in splenic marginal zone lymphoma. Br. J. Haematol. 2012, 159, 322–328. [Google Scholar] [CrossRef]
- Tsimberidou, A.M.; Catovsky, D.; Schlette, E.; O’Brien, S.; Wierda, W.G.; Kantarjian, H. Outcomes in patients with splenic marginal zone lymphoma and marginal zone lymphoma treated with rituximab with or without chemotherapy or chemotherapy alone. Cancer 2006, 107, 125–135. [Google Scholar] [CrossRef] [PubMed]
- Kalpadakis, C.; Pangalis, G.A.; Angelopoulou, M.K.; Vassilakopoulos, T.P. Treatment of splenic marginal zone lymphoma. Best Pr. Res. Clin. Haematol. 2016, 30, 139–148. [Google Scholar] [CrossRef] [PubMed]
- Bennett, M.; Sharma, K.; Yegena, S.; Gavish, I.; Dave, H.P.; Schechter, G.P. Rituximab monotherapy for splenic marginal zone lymphoma. Haematologica 2005, 90, 856–858. [Google Scholar]
- Iannitto, E.; Bellei, M.; Amorim, S.; Ferreri, A.J.M.; Marcheselli, L.; Cesaretti, M.; Haioun, C.; Mancuso, S.; Bouabdallah, K.; Gressin, R.; et al. Efficacy of bendamustine and rituximab in splenic marginal zone lymphoma: Results from the phase II BRISMA/IELSG36 study. Br. J. Haematol. 2018, 183, 755–765. [Google Scholar] [CrossRef]
- Niemann, C.U.; Wiestner, A. B-cell receptor signaling as a driver of lymphoma development and evolution. In Seminars in Cancer Biology; Academic Press: Cambridge, MA, USA, 2013; Volume 23, pp. 410–421. [Google Scholar]
- Noy, A.; De Vos, S.; Thieblemont, C.; Martin, P.; Flowers, C.R.; Morschhauser, F.; Collins, G.; Ma, S.; Coleman, M.; Peles, S.; et al. Targeting Bruton tyrosine kinase with ibrutinib in relapsed/refractory marginal zone lymphoma. Blood 2017, 129, 2224–2232. [Google Scholar] [CrossRef]
- Noy, A.; De Vos, S.; Coleman, M.; Martin, P.; Flowers, C.R.; Thieblemont, C.; Morschhauser, F.; Collins, G.P.; Ma, S.; Peles, S.; et al. Durable ibrutinib responses in relapsed/refractory marginal zone lymphoma: Long-term follow-up and biomarker analysis. Blood Adv. 2020, 24, 5773–5784. [Google Scholar] [CrossRef]
- Yan, Q.; Huang, Y.; Watkins, A.J.; Kocialkowski, S.; Zeng, N.; Hamoudi, R.; Isaacson, P.G.; de Leval, L.; Wotherspoon, A.; Du, M.-Q. BCR and TLR signaling pathways are recurrently targeted by genetic changes in splenic marginal zone lymphomas. Haematologica 2012, 97, 595–598. [Google Scholar] [CrossRef] [PubMed]
- Patriarca, A.; Gaidano, G. Investigational drugs for the treatment of diffuse large B-cell lymphoma. Expert Opin. Investig. Drugs 2021, 30, 25–38. [Google Scholar] [CrossRef] [PubMed]
- De Vos, S.; Goy, A.; Dakhil, S.R.; Saleh, M.N.; McLaughlin, P.; Belt, R.; Boral, A.L. Multicenter randomized phase II study of weekly or twice-weekly bortezomib plus rituximab in patients with relapsed or refractory follicular or marginal-zone B-cell lymphoma. J. Clin. Oncol. 2009, 27, 5023–5030. [Google Scholar] [CrossRef] [PubMed]
- Leonard, J.P.; Trneny, M.; Izutsu, K.; Fowler, N.H.; Hong, X.; Zhu, J.; Zhang, H.; Offner, F.; Scheliga, A.; Nowakowski, G.S.; et al. AUGMENT: A Phase III Study of Lenalidomide Plus Rituximab Versus Placebo Plus Rituximab in Relapsed or Refractory Indolent Lymphoma. J. Clin. Oncol. 2019, 37, 1188–1199. [Google Scholar] [CrossRef]
- Becnel, M.R.; Nastoupil, L.J.; Samaniego, F.; Davis, R.E.; You, M.J.; Green, M.; Hagemeister, F.B.; Fanale, M.A.; Fayad, L.E.; Westin, J.R.; et al. Lenalidomide plus rituximab (R2) in previously untreated marginal zone lymphoma: Subgroup analysis and long-term follow-up of an open-label phase 2 trial. Br. J. Haematol. 2019, 185, 874–882. [Google Scholar] [CrossRef]
- Andorsky, D.J.; Coleman, M.; Yacoub, A.; Melear, J.M.; Fanning, S.R.; Kolibaba, K.; Lansigan, K.; Reynolds, C.; Foon, K.F.; Li, J.; et al. MAGNIFY: Phase IIIb interim analysis of induction R2 followed by maintenance in relapsed/refractory indolent non-Hodgkin lymphoma. JCO 2019, 37 (Suppl. 15), 7513. [Google Scholar] [CrossRef]
- Kumar, S.K.; Harrison, S.J.; Cavo, M.; de la Rubia, J.; Popat, R.; Gasparetto, C.; Hungria, V.; Salwender, H.; Suzuki, K.; Kim, I.; et al. Venetoclax or placebo in combination with bortezomib and dexamethasone in patients with relapsed or refractory multiple myeloma (BELLINI): A randomised, double-blind, multicentre, phase 3 trial. Lancet Oncol. 2020, 21, 1630–1642. [Google Scholar] [CrossRef]
- Hughes, M.E.; Landsburg, D.J.; Rubin, D.J.; Schuster, S.J.; Svoboda, J.; Gerson, J.N.; Namoglu, E.; Nasta, S.D. Treatment of Patients with Relapsed/Refractory Non-Hodgkin Lymphoma with Venetoclax: A Single-Center Evaluation of Off-Label Use. Clin. Lymphoma Myeloma Leuk. 2019, 19, 791–798. [Google Scholar] [CrossRef]
- Gerecitano, J.F.; Roberts, A.W.; Seymour, J.F. A phase 1 study of venetoclax (ABT-199/GDC-0199) monotherapy in patients with relapsed/refractory non-Hodgkin lymphoma. Blood 2015, 126, 254. [Google Scholar] [CrossRef]
- de Vos, S.; Swinnen, L.J.; Wang, D.; Reid, E.; Fowler, N.; Cordero, J.; Dunbar, M.; Enschede, S.H.; Nolan, C.; Petrich, A.M.; et al. Venetoclax, bendamustine, and rituximab in patients with relapsed or refractory NHL: A phase Ib dose-finding study. Ann. Oncol. 2018, 29, 1932–1938. [Google Scholar] [CrossRef]
- Zinzani, P.L.; Flinn, I.W.; Yuen, S.L.S.; Topp, M.S.; Rusconi, C.; Fleury, I.; Le Dû, K.; Arthur, C.; Pro, B.; Gritti, G.; et al. Venetoclax-rituximab with or without bendamustine vs. bendamustine-rituximab in relapsed/refractory follicular lymphoma. Blood 2020, 136, 2628–2637. [Google Scholar]
- Zelenetz, A.D.; Salles, G.; Mason, K.; Casulo, C.; Le Gouill, S.; Sehn, L.H.; Tilly, H.; Cartron, G.; Chamuleau, M.E.D.; Goy, A.; et al. Venetoclax plus R- or G-CHOP in non-Hodgkin lymphoma: Results from the CAVALLI phase 1b trial. Blood 2019, 133, 1964–1976. [Google Scholar] [CrossRef] [PubMed]
- Juárez-Salcedo, L.M.; Desai, V.; Dalia, S. Venetoclax: Evidence to date and clinical potential. Drugs Context 2019, 8, 212574. [Google Scholar] [CrossRef] [PubMed]
- Kaur, P. Nodal Marginal Zone Lymphoma with Increased Large Cells: Myth Versus Entity. Arch. Pathol. Lab. Med. 2011, 135, 964–966. [Google Scholar] [CrossRef] [PubMed][Green Version]
- Aasebø, E.; Berven, F.S.; Hovland, R.; Døskeland, S.O.; Bruserud, Ø.; Selheim, F.; Hernandez-Valladares, M. The Progression of Acute Myeloid Leukemia from First Diagnosis to Chemoresistant Relapse: A Comparison of Proteomic and Phosphoproteomic Profiles. Cancers 2020, 12, 1466. [Google Scholar] [CrossRef] [PubMed]
- Danilova, O.V.; Dumont, L.J.; Levy, N.B.; Lansigan, F.; Kinlaw, W.B.; Danilov, A.V.; Kaur, P. FASN and CD36 predict survival in rituximab-treated diffuse large B-cell lymphoma. J. Hematop. 2013, 6, 11–18. [Google Scholar] [CrossRef]


| Date | Specimen | Pathology | Antigen Profile | Additional Characterization |
|---|---|---|---|---|
| 1 February 2001 | Liver Bx | Nodular lymphoid infiltrates composed of a mixture of small and scattered large cells | Positive: CD20, kappa, BCL2, focal IgD and BCL6 (mostly on few larger cells). Negative: Lambda, CD5, CD10 and MUM1 | Ki67 < 15%; focal p53 expression (few large cells) |
| 1 February 2001 | Blood | Positive: CD20, CD19, CD22 and CD79b. Negative: CD5, CD10, CD23, CD11c, CD25, CD103 | ||
| 1 June 2002 | BM Bx | Hypercellular, nodular aggregates of small lymphocytes with interspersed large lymphocytes | Positive: CD20, kappa, BCL2, and BCL6 (mostly on few larger cells). Negative: Lambda, CD5, CD10 and MUM1 | |
| 1 April 2006 | Spleen | Composed predominantly of small lymphocytes, some with plasmacytic differentiation and some large lymphs mainly in white pulp | Positive: CD20, CD19, CD22 and CD79b | Ki67: 15–20%; focal P53 expression (few large cells) |
| 1 October 2007 | BM Bx | Unchanged | Karyotype 46XY, del (2) (q13q33); t (1; 17), (q25; q21) add (4) (p14), del (2) (5) (q13q15) | |
| 1 September 2016 | LAN Bx | Increased % of large cells | Unchanged | Ki67: up to 30% |
| 1 May 2018 | Liver Bx | Same as LN | Unchanged | Ki67: up to 30% |
| 1 June 2019 | BM Bx | Unchanged | Unchanged | Ki67: up to 30% |
| 1 January 2020 | LAN bx | Unchanged | Unchanged | Ki67: up to 30% |
Publisher’s Note: MDPI stays neutral with regard to jurisdictional claims in published maps and institutional affiliations. |
© 2022 by the authors. Licensee MDPI, Basel, Switzerland. This article is an open access article distributed under the terms and conditions of the Creative Commons Attribution (CC BY) license (https://creativecommons.org/licenses/by/4.0/).
Share and Cite
Roche, K.C.; DeRosa, P.A.; Liu, M.-L.; Nava, V.E.; Aggarwal, A. Refractory Splenic Marginal Zone Lymphoma Responsive to Combination Venetoclax and Bortezomib (Velcade) (V2) Therapy. Curr. Oncol. 2022, 29, 4117-4124. https://doi.org/10.3390/curroncol29060328
Roche KC, DeRosa PA, Liu M-L, Nava VE, Aggarwal A. Refractory Splenic Marginal Zone Lymphoma Responsive to Combination Venetoclax and Bortezomib (Velcade) (V2) Therapy. Current Oncology. 2022; 29(6):4117-4124. https://doi.org/10.3390/curroncol29060328
Chicago/Turabian StyleRoche, Kyle C., Peter A. DeRosa, Min-Ling Liu, Victor E. Nava, and Anita Aggarwal. 2022. "Refractory Splenic Marginal Zone Lymphoma Responsive to Combination Venetoclax and Bortezomib (Velcade) (V2) Therapy" Current Oncology 29, no. 6: 4117-4124. https://doi.org/10.3390/curroncol29060328
APA StyleRoche, K. C., DeRosa, P. A., Liu, M.-L., Nava, V. E., & Aggarwal, A. (2022). Refractory Splenic Marginal Zone Lymphoma Responsive to Combination Venetoclax and Bortezomib (Velcade) (V2) Therapy. Current Oncology, 29(6), 4117-4124. https://doi.org/10.3390/curroncol29060328

