Next Issue
Volume 10, 05
Previous Issue
Volume 10, 03
 
 
cardiovascmed-logo

Journal Browser

Journal Browser
Cardiovascular Medicine is published by MDPI from Volume 28 Issue 1 (2025). Previous articles were published by another publisher in Open Access under a CC-BY (or CC-BY-NC-ND) licence, and they are hosted by MDPI on mdpi.com as a courtesy and upon agreement with Editores Medicorum Helveticorum (EMH).

Cardiovasc. Med., Volume 10, Issue 4 (04 2007) – 5 articles

  • Issues are regarded as officially published after their release is announced to the table of contents alert mailing list.
  • You may sign up for e-mail alerts to receive table of contents of newly released issues.
  • PDF is the official format for papers published in both, html and pdf forms. To view the papers in pdf format, click on the "PDF Full-text" link, and use the free Adobe Reader to open them.
Order results
Result details
Select all
Export citation of selected articles as:
1 pages, 215 KB  
Interesting Images
Mysterious Floating Structure in the Left Atrium After Coronary Artery Bypass Grafting
by Pascal Koepfli, Frank Enseleit and Rolf Jenni
Cardiovasc. Med. 2007, 10(4), 153; https://doi.org/10.4414/cvm.2007.01238 - 27 Apr 2007
Viewed by 109
Abstract
A 60-year-old male patient was referred to our hospital for coronary artery bypass graft surgery due to prior subacute myocardial infarction and subsequently angiographically diagnosed 3-vessel coronary artery disease [...] Full article
Show Figures

Figure 1

2 pages, 389 KB  
Interesting Images
Tachycardie Ventriculaire?
by Jürg Schläpfer
Cardiovasc. Med. 2007, 10(4), 151; https://doi.org/10.4414/cvm.2007.01239 - 27 Apr 2007
Cited by 1 | Viewed by 103
Abstract
Histoire clinique. Femme de 47 ans, connue pour des accès de fibrillation auriculaire (FA) paroxystique idiopathique traitée par flécaïnide 2 × 100 mg/j [...] Full article
Show Figures

Figure 1

12 pages, 343 KB  
Article
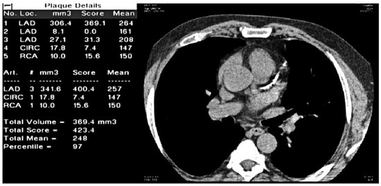
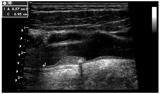
Imaging as a Cardiovascular Risk Modifier in Primary Care Patients Using Predictor Models of the European and International Atherosclerosis Societies
by Michel Romanens, André R. Miserezb, Franz Ackermannc, Walter Riesend, J. David Spencee and Roger Dariolif
Cardiovasc. Med. 2007, 10(4), 139; https://doi.org/10.4414/cvm.2007.01242 - 27 Apr 2007
Viewed by 113
Abstract
Purpose: To compare the effectiveness of assessment tools for 10-year cardiovascular risk in physician-referred Swiss patients. Material and Methods: The risk evaluation according to the Prospective Cardiovascular Münster algorithm, adapted for the Swiss population (CH-PROCAM) was defined as PROCAM corrected by [...] Read more.
Purpose: To compare the effectiveness of assessment tools for 10-year cardiovascular risk in physician-referred Swiss patients. Material and Methods: The risk evaluation according to the Prospective Cardiovascular Münster algorithm, adapted for the Swiss population (CH-PROCAM) was defined as PROCAM corrected by the factor 0.7 for Switzerland in all subjects ≥50 years of age and 0.18 in women <50 years in age. In these subjects, CH-PROCAM, the algorithm of the European Atherosclerosis Society (EU-SCORE), coronary calcium score percentiles (CS%), and total plaque area of the carotid arteries (TPA) were available. Posttest probabilities (PTP) for CS% and for TPA were calculated by using the Bayes formula. Agreement for starting an LDL cholesterol (LDLC)-lowering therapy between CH-PROCAM and CH-PROCAM-PTP was assessed in intermediate risk patients. Results: CH-PROCAM identified 17 (10%) and EU-SCORE 42 (24%) out of 175 individuals at high risk (p = 0.0006, weighted kappa (wK) = 0.45). CH-PROCAM-PTP identified 30 (17%) and EU-SCORE-PTP 66 (38%) individuals at high risk (p <0.001, wK = 0.26). The 19 patients with vascular disease (9% of 213) were detected by CH-PROCAM-PTP (receiver operating characteristics (ROC) 0.69, p = 0.002), but not by the other methods. Agreement to start a LDLC-lowering therapy in intermediate risk subjects was moderate (wK = 0.54). Conclusion: CH-PROCAM classified patients at high risk significantly less often than EUSCORE. EU-SCORE-PTP appears to substantially overestimate the true risk. What is most important, CH-PROCAM-PTP identified patients with clinical vascular disease, as shown by ROC analysis. Therefore, CH-PROCAMPTP currently represents a valuable method for further stratifying risk in primary care patients who have been defined by CH-PROCAM as being at intermediate risk, and may be helpful to correctly identify subjects who deserve an LDL lowering therapy. Full article
Show Figures

Figure 1

13 pages, 529 KB  
Proceeding Paper
Abklärung der Koronaren Herzkrankheit Mittels Herz-MR Oder Mehrzeilen-CT
by Jürg Schwitter
Cardiovasc. Med. 2007, 10(4), 126; https://doi.org/10.4414/cvm.2007.01241 - 27 Apr 2007
Viewed by 105
Abstract
Non-invasive cardiac imaging with magnetic resonance (CMR) and multi-detector computed tomography (MDCT) has progressed rapidly within the past few years and will most likely become and integral part of the diagnostic work-up of patients with known or suspected coronary artery disease (CAD). In [...] Read more.
Non-invasive cardiac imaging with magnetic resonance (CMR) and multi-detector computed tomography (MDCT) has progressed rapidly within the past few years and will most likely become and integral part of the diagnostic work-up of patients with known or suspected coronary artery disease (CAD). In this article, the capabilities, advantages and disadvantages of CMR and MDCT-coronary angiography will be presented and the rationale for their utilisation will be discussed. Therefore, the requirements for a modern management of patients with CAD will be first analysed. Invasive coronary angiography studies in the pre-interventional area showed, that CAD progresses through repeated ruptures of vulnerable plaques. Current imaging techniques are not developed enough for a reliable characterisation of vulnerable plaques in the coronary system. However, vulnerable plaques are defined not only by composition, but also by their stenosis severity, since high-grade stenosis are associated with an increased risk of rupture and occlusion. These severe, haemodynamically significant coronary lesions can be detected by CMR perfusion imaging or by anatomical depiction by MDCT-coronary angiography. In large CMR perfusion multicenter trials, the sensitivity and specificity for detection of ≥50% diameter stenoses by CMR perfusion imaging ranges from 86–91% and 65–84%, respectively. In “MR-IMPACT”, the MR perfusion technique was superior to single photon-emission computed tomography (91% and 67% with CMR versus 74% and 57% with SPECT) with exclusion rates of 2.2% and 3.6%, respectively. Advantages of CMR are: high diagnostic performance as proven in multicenter trials, no harmful radiation exposure, and thus repeatability, and the CMR examination is safe and lasts 1–1.5 hours only. For MDCT-coronary angiography, one multicenter trial is available and reported an exclusion rate of 42% of patients because of inadequate image quality, and thus, could not confirm the single center studies. In single center studies sensitivities and specificities range from 82–95% and 86–98%, respectively. MDCT coronary angiography is relatively easy to apply and lasts about 15 minutes. Due to the radiation exposure, MDCT-coronary angiography seems not ideal for monitoring CAD. In current practice, patients are examined only after symptoms occur (re-active strategy). With this re-active strategy, about every second cardiac death occurs before the patient reaches the hospital or the catheter-lab for invasive treatment (statistics USA 2004). The goal of an active strategy is therefore to detect high-risk patients earlier by modern diagnostic techniques and to perform revascularisations in these patients before potentially deadly infarcts occur. Since CAD is a chronic disease, an active strategy would involve a repeated risk stratification. For such an active strategy, an ideal test should therefore be highly accurate, non-harmful, and thus, repeatable, and unexpensive. Full article
Show Figures

Figure 1

5 pages, 528 KB  
Editorial
«Cardiac Imaging»: die Qual der Wahl?
by Thomas F. Lüscher, Philipp Kaufmann, Roberto Corti and Pedro Trigo-Trindade
Cardiovasc. Med. 2007, 10(4), 121; https://doi.org/10.4414/cvm.2007.01240 (registering DOI) - 27 Apr 2007
Cited by 1 | Viewed by 106
Abstract
Dass das unsichtbare Organ Herz für den Arzt sichtbar wurde, ist ein historisch relativ junges Ereignis [...] Full article
Show Figures

Figure 1

Previous Issue
Next Issue
Back to TopTop