Next Article in Journal
Abklärung der Koronaren Herzkrankheit Mittels Herz-MR Oder Mehrzeilen-CT
Previous Article in Journal
Very Late Stent Thrombosis of a Paclitaxel-Eluting Stent After Left Main Coronary Artery Stenting
 
 
Cardiovascular Medicine is published by MDPI from Volume 28 Issue 1 (2025). Previous articles were published by another publisher in Open Access under a CC-BY (or CC-BY-NC-ND) licence, and they are hosted by MDPI on mdpi.com as a courtesy and upon agreement with Editores Medicorum Helveticorum (EMH).
Font Type:
Arial Georgia Verdana
Font Size:
Aa Aa Aa
Line Spacing:
Column Width:
Background:
Article

Imaging as a Cardiovascular Risk Modifier in Primary Care Patients Using Predictor Models of the European and International Atherosclerosis Societies

by
Michel Romanens
1,*,
André R. Miserezb
2,
Franz Ackermannc
3,
Walter Riesend
4,
J. David Spencee
5 and
Roger Dariolif
6
1
Cardiology Consultant, Cantonal Hospital, Olten, Switzerland
2
Head Cardiovascular Risk Clinic, Department of Internal Medicine, Basel and University Hospital Bruderholz, Bruderholz, Switzerland
3
Private Practice for Internal Medicine, Olten, Switzerland
4
Institute for Clinical Chemistry and Hematology, Cantonal Hospital, St. Gallen, Switzerland
5
Stroke Prevention & Atherosclerosis Research Centre, Robarts Research Institute, London, Ontario, Canada
6
Head Medical Outpatient Department, University Hospital, Lausanne, Switzerland
*
Author to whom correspondence should be addressed.
Cardiovasc. Med. 2007, 10(4), 139; https://doi.org/10.4414/cvm.2007.01242
Submission received: 27 January 2007 / Revised: 27 February 2007 / Accepted: 27 March 2007 / Published: 27 April 2007

Abstract

Purpose: To compare the effectiveness of assessment tools for 10-year cardiovascular risk in physician-referred Swiss patients. Material and Methods: The risk evaluation according to the Prospective Cardiovascular Münster algorithm, adapted for the Swiss population (CH-PROCAM) was defined as PROCAM corrected by the factor 0.7 for Switzerland in all subjects ≥50 years of age and 0.18 in women <50 years in age. In these subjects, CH-PROCAM, the algorithm of the European Atherosclerosis Society (EU-SCORE), coronary calcium score percentiles (CS%), and total plaque area of the carotid arteries (TPA) were available. Posttest probabilities (PTP) for CS% and for TPA were calculated by using the Bayes formula. Agreement for starting an LDL cholesterol (LDLC)-lowering therapy between CH-PROCAM and CH-PROCAM-PTP was assessed in intermediate risk patients. Results: CH-PROCAM identified 17 (10%) and EU-SCORE 42 (24%) out of 175 individuals at high risk (p = 0.0006, weighted kappa (wK) = 0.45). CH-PROCAM-PTP identified 30 (17%) and EU-SCORE-PTP 66 (38%) individuals at high risk (p <0.001, wK = 0.26). The 19 patients with vascular disease (9% of 213) were detected by CH-PROCAM-PTP (receiver operating characteristics (ROC) 0.69, p = 0.002), but not by the other methods. Agreement to start a LDLC-lowering therapy in intermediate risk subjects was moderate (wK = 0.54). Conclusion: CH-PROCAM classified patients at high risk significantly less often than EUSCORE. EU-SCORE-PTP appears to substantially overestimate the true risk. What is most important, CH-PROCAM-PTP identified patients with clinical vascular disease, as shown by ROC analysis. Therefore, CH-PROCAMPTP currently represents a valuable method for further stratifying risk in primary care patients who have been defined by CH-PROCAM as being at intermediate risk, and may be helpful to correctly identify subjects who deserve an LDL lowering therapy.

Introduction

Cardiovascular risk prediction in primary care is ambitious. In the PROCAM cohort, only about a third of the subjects who experienced a myocardial infarction during follow-up had been correctly identified as being at high risk. Approximately another third of those subjects who experienced a myocardial infarction had been identified as being at intermediate risk [1]. To improve risk prediction, particularly in the intermediate-risk group, the use of innovative biochemical or genetic tests [2] or novel tools of atherosclerosis imaging are necessary.
Non-invasive atherosclerosis imaging is a promising tool for determining the cardiovascular risk on the basis of plaque development in either coronary or carotid arteries. Recent work based on ROC analysis has confirmed that coronary calcification is more accurate compared to risk assessment tools derived from the Framingham study to predict the combined endpoint of fatal and nonfatal myocardial infarction [3,4,5,12,13]. Carotid intimato-media thickness (IMT) also has been studied extensively, both as part of primary care studies and in intervention studies. However, because of the problems regarding the reproducibility and the lack of evidence that there is an added value of IMT to predict vascular risk, this latter method is not recommended in daily clinical practice [6]. Another risk prediction tool that is derived from carotid imaging is the total plaque area (TPA) [7]. As shown by ROC analysis, this test is particularly useful to predict the combined endpoint of myocardial infarction, stroke, and vascular death.
New risk prediction tools for primary prevention of vascular events have been or are being issued in different countries. The aim of developing these new risk prediction tools is to assess global risk based on data from risk charts or risk algorithms. Like atherosclerosis imaging, they can be used for the prediction of fatal or nonfatal myocardial infarction (International Atherosclerosis Society [IAS] guidelines [8]) or for the prediction of fatal stroke and fatal myocardial infarction (European Atherosclerosis Society [EAS] guidelines [9]). Since both, the PROCAM algorithm and coronary calcification, are risk markers for fatal and nonfatal myocardial infarction, coronary calcification can be used sequentially to calculate posttest probabilities. Similarly, both EUSCORE and TPA are used to test the risk for fatal stroke and fatal myocardial infarction, TPAcan be used to calculate posttest probabilities in sequential testing.
The present study aims first to compare the risk stratification obtained from CH-PROCAM and EU-SCORE in a physician-referred patient group and second to obtain risk assessments using the additional information provided by coronary calcification and TPA, which allows to calculate posttest probabilities. A group of patients with known vascular disease served to assess the performance of CH-PROCAM, EU-SCORE and the posttest probabilities of coronary calcification and TPA to discriminate these vascular patients from the whole study group.

Materials and methods

Patients

The patients in the study were all referred by physicians, either in order to examine chest pain of unknown origin or to determine the individual cardiovascular risk and in whom the addition of atherosclerosis imaging was felt to give additional clinical information. Patients were assessed between April 2002 and December 2003. A total of 213 patients were enrolled. From these 213 patients, 19 had clinically defined vascular disease (9 myocardial infarction, 3 coronary bypass operations, 4 percutaneous coronary angioplasties, 3 transient ischaemic cerebral attacks) and 19 had diabetes mellitus. The total number of primary care patients having no manifest vascular disease or diabetes mellitus was thus 175.

Design, methods and risk calculations based on atherosclerosis imaging

The study design is presented as an overview in Figure 1. We used four different risk prediction models to define risk in our 175 primary care patients:
(a.)
CH-PROCAM
(b.)
CH-PROCAM combined with coronary calcification to calculate posttest-risk for fatal or nonfatal myocardial infarction (CH-PROCAM-PTP)
(c.)
EU-SCORE
(d.)
EU-SCORE combined with TPA to calculate posttest risk for fatal stroke or fatal myocardial infarction (EU-SCORE-PTP).

Risk assessment based on PROCAM and SCORE

Cardiovascular risk was calculated by using the PROspective CArdiovascular Münster (PROCAM) algorithm, adapted for the Swiss population (CH-PROCAM) and the algorithm of the European Atherosclerosis Society that was adapted for low-risk populations (EU-SCORE). The AGLA 2005 guidelines defined CH-PROCAM by applying a correction factor of 0.7 for Switzerland in men and in women 50 years old or older, and a correction factor of 0.18 in women less than 50 years old. These correction factors are based on estimates from the MONICA study [23]. Patients with diabetes mellitus (n = 19) and patients with known vascular disease (n = 19) were excluded from the comparative analysis in order to obtain a truly primary care group of patients (N = 175).
For CH-PROCAM, high-risk and low-risk for myocardial infarction were defined as ≥20% and <10% in the next ten years, respectively. For EU-SCORE, high-risk and low-risk for vascular death were defined as ≥5% and < 3%, respectively.

Imaging method and risk assessment using total plaque area of carotid arteries (TPA)

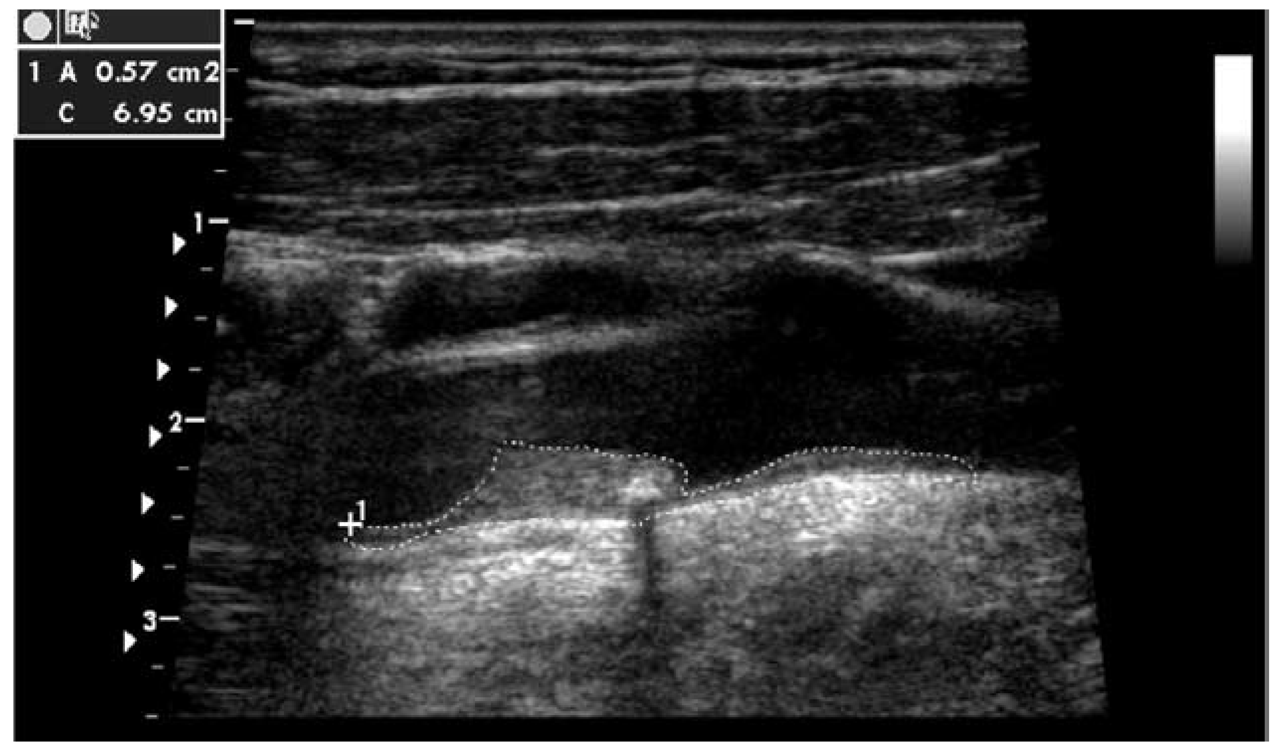
Total plaque area (TPA) is a measure of the total plaque burden of the carotid arteries. Plaques are traced longitudinally, and the TPA is derived from the sum of all plaque areas detected during the imaging of both carotid arteries. Imaging was done with the patients in the supine position as described in the original London cohort [7]. During examination of the carotid artery, the patient was brought into a position that allowed head rotation to both sides. The sonographer stood to the right of the patient’s chest. The head was rotated 35–45° away from the side being examined and retroflexed by approximately 10–20°. Imaging was started with a transverse (short-axis) sweep to check for the presence of plaque (defined by a thickening >1 mm) and included the total length of the common carotid artery, the bulb, and all visible parts of the internal and external carotid arteries. Plaque quantification was made from a longitudinal image. Online tracing of the plaque surface area was performed by using calipers. The sum of all plaque surface areas was defined as the TPA (Figure 2).
For the TPA, we used the London (Canada) cohort [7]. The mean age of these subjects was 59 years, and the fatal myocardial infarction and stroke event rate for the whole group was 1.4% in 2.61 years or by linear extrapolation, 5.2% in 10 years, thus forming a moderately high-risk group of fatal myocardial infarction or fatal stroke. With increasing levels of TPA, we found increased levels of risk for fatal myocardial infarction or fatal stroke with a 10-year event rate of 17.5% in the highest quartile (Table 5).
In order to test the diagnostic performance of TPA of the London cohort [7], we performed a ROC analysis for the entire group (n = 1686). The diagnostic performance of TPA in the London cohort showed the highest area under the curve (AUC) for fatal myocardial infarction (n = 20; AUC 0.79), for death of any cause (n = 44; AUC 0.77), and for death due to myocardial infarction or stroke (n = 23; AUC 0.77). For the combined endpoint of fatal and nonfatal myocardial infarction, the AUC was only 0.56 (p = 0.02). For the calculation of posttest probabilities, therefore, TPA was used as a surrogate marker for the combined outcome of fatal myocardial infarction and stroke, which then could be incorporated in addition to the EU-SCORE by using the Bayes formula.

Imaging method and risk assessment using coronary calcifications (CS%)

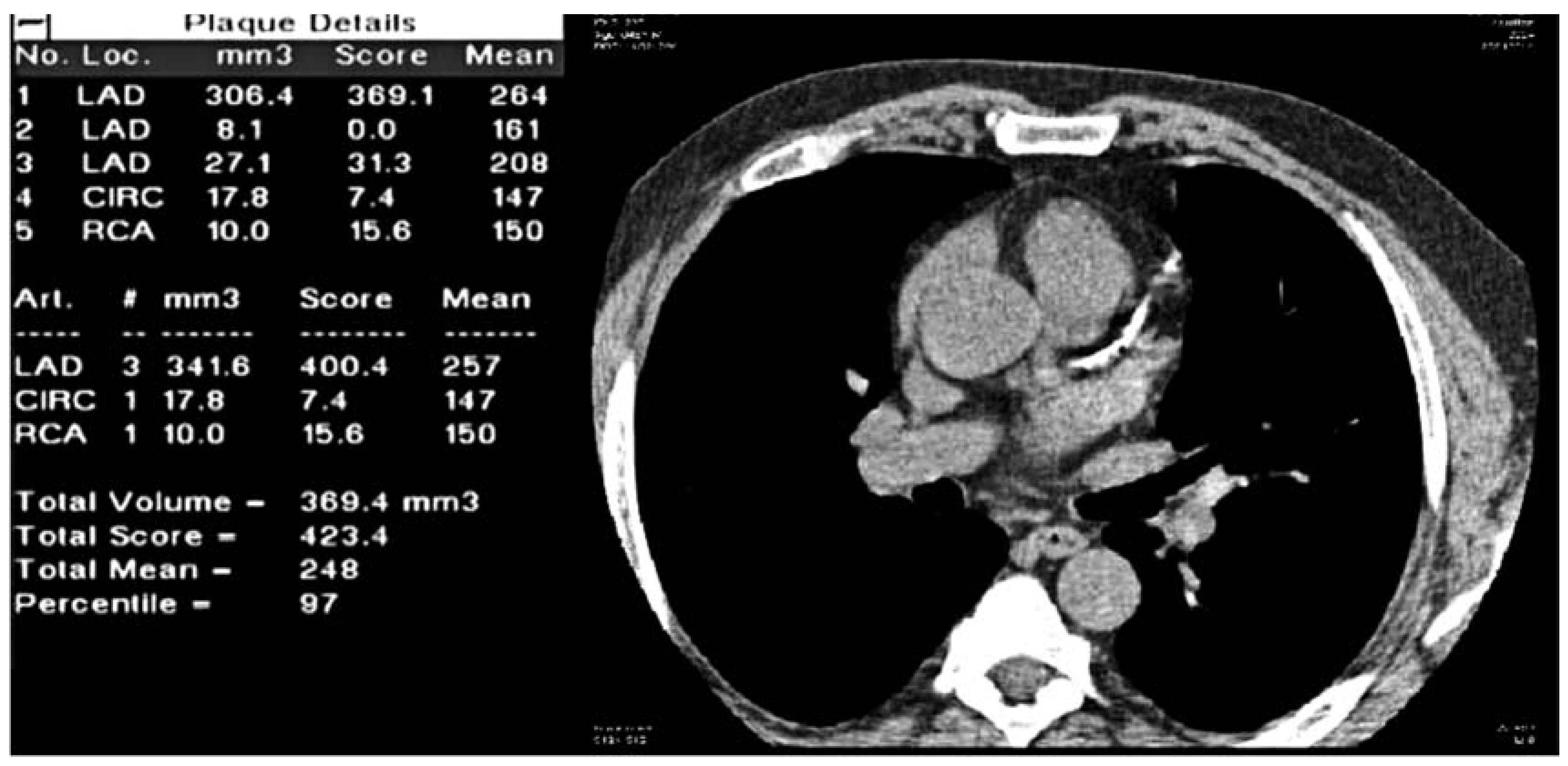
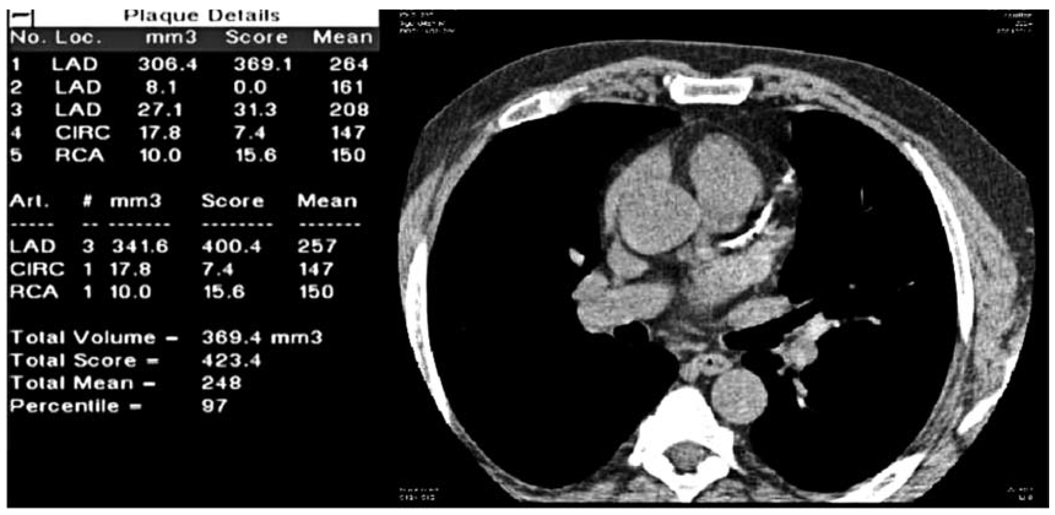
Visualisation of coronary calcifications by cardiac gated computed tomography allows to measure the total calcified plaque burden in the coronary arteries. By using the Agatston method, which quantifies coronary calcifications based on plaque area and plaque density, a score was derived (Agatston score). Coronary calcifications were made visible for further processing by using a single-breath hold, multislice (Aquilion, Toshiba, Japan) ECG-gated, non-contrast enhanced, low-radiation scan sequence. Data were processed by using the NetraMD Software (ScImage Palo Alto, California, USA), which provides reproducible data on total Agatston calcium scores, percentile of Agatston scores, and plaque volumes for all coronary arteries and total plaque volume. The cut-off point to define that a plaque is calcified was set at 130 Hounsfield units (Figure 3).
In all patients, coronary calcium score percentile (CS%) estimates were available. Posttest probabilities (PTP) for CS% were calculated by using published sensitivities, specificities (Table 4, [3,10]) for the occurrence of fatal or nonfatal myocardial infarction using the Bayes formula. This endpoint had occurred in 30 of 676 patients who were observed over a mean time of 2.7 years. In this cohort [10] the mean age was 52 years, and the myocardial infarction—either fatal or non fatal—event rate for the entire group was 4.44% in 2.7 years (or by linear extrapolation, 16% in 10 years). Thus, we adopted a risk prediction model based on coronary calcium percentiles derived from a U.S. cohort with an intermediate-risk for fatal or nonfatal myocardial infarction.
The four risk prediction models were compared in 175 consecutive primary care patients without apparent vascular disease. More specifically, for the calculation of test performance of EU-SCORE in comparison to CH-PROCAM, the CH-PROCAM defined the high-risk patients against which EU-SCORE was tested (Table 2). Similarly, CH-PROCAM-PTP high-risk patients served as the test reference to calculate test performance of EU-SCORE-PTP to detect high-risk patients defined by CH-PROCAM-PTP (Table 3).
Finally, these four risk prediction models were compared by ROC analyses based on the data from 19 patients, in whom vascular disease was known from the patient’s histories.
Figure 4. Diagnostic ability (ROC Analysis) to detect 19 patients with known vascular disease.
Figure 4. Diagnostic ability (ROC Analysis) to detect 19 patients with known vascular disease.
Cardiovascmed 10 00139 g004

CHCH-PROCAM guidelines for starting an LDL cholesterol (LDLC)-lowering therapy

According to the Swiss guidelines for LDLC-lowering (treatment goals that should be achieved in relation to the CH-PROCAM risk), LDLC should be lowered to <2.6 mmol/l in high-risk patients, to 2.6–3.4 mmol/l in intermediate risk patients, to 3.5–4.1 mmol/l in low-risk patients with one additional cardiovascular risk factor and <4.9 mmol/l in all patients. Eventual modification of LDLC lowering indication was obtained using CH-PROCAM-PTP, irrespective of concomitant statin therapy.

Statistical methods

Data was compiled in a Microsoft® Office Excel data sheet (Microsoft, Redmond, WA, USA) and further analysed by using GB-STAT version 9.0 (Dynamic Microsystems, 2000, Silver Spring, MD, USA) by using chi-squared statistics or the Wilcoxon/Mann-Whitney rank sum test. For ROC and the comparison of risk grouping with weighted kappa statistics (wK), we used Analyze-itTM, Ltd., version 1.67. Posttest probabilities were calculated as follows: for each patient, a pretest probability was calculated from either CH-PROCAM or EU-SCORE. Results of atherosclerosis imaging (CS%, TPA) were used to define the level of sensitivity and specificity of these tests according to Table 4 and Table 5 respectively. Posttest risk was calculated as follows (Bayes theorem):
PTP pos: (PV _ SE) / [PV _ SE + (1 − PV) _ (1 − SP)]
PTP neg: [PV _ (1 − SE)] / [PV _ (1 − SE) + SP _ (1 − PV)]
(PTP pos = posttest probability for a disease if the test is positive [pathologic]; PTP neg = posttest probability for a disease if the test is negative [normal]; PV = pretest probability [or prevalence {PV}] for a disease; SE = sensitivity; SP = specificity.)
For statistical analysis, the level of significance was set at p <0.05.

Results

CH-PROCAM and EU-SCORE characteristics in relation to atherosclerosis imaging

The total number of patients originally included in this study was 213, whereas 45 (21%) were women (Table 1).
In the 213 patients, 191 (90%) had plaque as defined by TPA. The TPA correlated significantly with the risk levels predicted by using CH-PROCAM and EU-SCORE (both p = 0.01; Table 1). Patients without carotid plaque were significantly younger by an average of 6 years (p = 0.006), but the presence of single risk factors was not significantly different between those patients with and those patients without carotid plaques.
In the 213 patients, 166 (78%) had plaques as defined by Agatston scores. The Agatston Scores correlated significantly with the risk assessment levels predicted by using the CH-PROCAM and EU-SCORE (p <0.0001 and p = 0.0008, respectively; Table 1). Patients without calcified plaques in the coronaries were significantly younger by an average of 7 years (p = 0.007), but again, the presence of single risk factors was not significantly different between those patients with and those patients without coronary calcifications. A non-significant trend for hypertension was, however, detectable in the total group of 213 patients (p = 0.056). In these patients, carotid plaques were present significantly more frequent than calcified coronary plaques (n = 191 vs. n = 166, chi-squared = 9.98; p = 0.0016).

Comparison of results from atherosclerosis imaging

ACS% >75 were found in 55 of the 213 patients (26%). The TPA had an AUC of 0.58 (95% CI 0.50–0.67; p = 0.03) to detect these 55 high-risk patients. By using an arbitrary cut-off of the TPA of >1.00 cm2, we found a sensitivity of 24%, a specificity of 85%, a positive and a negative predictive value of 36% and 76%, respectively, and an overall accuracy of 69% to detect high-risk patients defined by a coronary calcium score percentile of >75.

Characteristics of the primary care group

To investigate a primary care group (see methods section), 19 patients with known vascular disease and 19 patients with diabetes mellitus (which is by definition a high coronary risk) were excluded from the comparative analyses (Figure 1).
The primary care group consisted therefore of 175 patients, of whom 38 (22%) were women. Of these 175 patients, 54 (30%) were referred for a work-up to examine chest pain of undetermined origin, whereas 121 (70%) were referred for cardiovascular risk stratification only. The median age of the 175 patients was 59 years (range 36–83), with no significant difference compared to the total number of patients.

Comparison of CH-PROCAM and EU-SCORE, and posttest probabilities (PTP) on risk assessment

In the primary care group (n = 175), CH-PROCAM defined 17 patients as being at high risk for a heart attack, whereas EU-SCORE defined 42 primary care patients as being at high risk (chi-squared = 11.17, p = 0.0006; Table 2). Using CH-PROCAM-PTP, the number of highrisk patients increased from 17 to 30 (chisquared 3.54, p = 0.06; Table 2 and Table 3); using EU-SCORE-PTP, the number of high-risk patients increased from 42 to 66 (chi-squared 5.79, p = 0.02; Table 2 and Table 3).
By using weighted Kappa statistics, the agreement in risk grading was best between CH-PROCAM and EU-SCORE (weighted Kappa: 0.45; Table 2). Agreement was lower between CH-PROCAM and CH-PROCAM-PTP (weighted Kappa: 0.35) and still lower between CH-PROCAM-PTP and EU-SCORE (weighted Kappa: 0.24) and EU-SCORE-PTP (weighted Kappa: 0.26; Table 3).
Sensitivity and specificity of EU-SCORE to identify high-risk patients defined by CH-PROCAM was 82% and 82% respectively.
However, after having applied atherosclerosis imaging to calculate posttest probabilities, sensitivity and specificity of EU-SCORE-PTP to identify high-risk patients defined by CH-PROCAM-PTP decreased to 70% and 69% respectively.

Accuracy of assessment tools in patients with known vascular disease

From the total 213 patients, 19 patients had known vascular disease (AMI 9, CABG 3, PTCA 4, TIA 3). The AUC of CH-PROCAM, EU-SCORE, or TPA was between 0.54 to 0.55 (p = ns) to discriminate these 19 patients among 213 study patients. However, by using the Agatston scores and CH-PROCAM-PTP, which is a posttest estimate of risk that incorporates coronary calcium score percentiles, these patients were correctly identified (AUC 0.73, p <0.0001 and 0.69, p = 0.0022, respectively; Figure 2).

CH-PROCAM-PTP as a modifier of intensity of LDLC-lowering

From a total of 175 primary care patients, 105 (60%) had no indication for a LDLC-lowering treatment based on CH-PROCAM. Using CH-PROCAM-PTP in these 175 patients, 113 (65%) remained without indication for LDLC-lowering treatment. Furthermore, in 24 patients (14%) only, there was a disagreement with respect to a need for LDLC-lowering treatment when using the two different algorithms (weighted Kappa 0.71).
In addition, CH-PROCAM identified 38 of 175 patients as being at intermediate risk (22%). In these 38 patients, 19 (50%) did not qualify for LDLC-lowering treatment. CH-PROCAM-PTP identified 18 of 175 patients as being at intermediate risk, who would not require an LDLC lowering treatment (47%), but disagreement for a need to modify LDLC was found in 9 of 38 patients (24%) resulting in a weighted kappa value of 0.53.

Discussion

This is the first study that aims to assess cardiovascular risk using Swiss-adopted global risk markers (CH-PROCAM, EU-SCORE) and imaging risk markers (CS%, TPA) simultaneously in a primary care patient group. The major findings of the present scientific work show an only moderate agreement between the Swiss-adapted risk assessment tools recommended by the IAS (CH-PROCAM) and by the EAS (EU-SCORE).
We found, that the risk algorithms recommended by the IAS and the EAS corrected for low-risk populations match only moderately with respect to the definition of high-risk patients. As expected, in this cross-sectional observation of physician-referred patients without clinically manifested vascular disease, the IAS-derived risk algorithm (CH-PROCAM) identified fewer patients (9.7%; 17 out of 175) as being at high risk when compared to the EAS-derived risk algorithm (EU-SCORE), which identified 42 out of 175 patients (24%) as being at high risk (Table 2). However, the sensitivity and specificity of EU-SCORE to identify high-risk patients defined by CH-PROCAM was good (82% and 82% respectively). The agreement with respect to risk classification for CH-PROCAM and EU-SCORE was moderate (weighted Kappa 0.45).
Our observations are in line with several observations, where coronary risk algorithms were compared among each other. The PROCAM algorithm showed for example a higher sensitivity and specificity when compared to the Framingham risk algorithm [24]. Asimilar comparison showed, that the Framingham risk algorithm overestimated the risk in the PROCAM cohort by 50% [25]. Further, a comparison between the PROCAM algorithm, the SCORE algorithm and the Swiss lipid guidelines 2005 showed a very poor agreement (Kappa <0.25 among each of the comparisons) for the indication to lower LDLC in 8829 subjects [26].
Further, none of these risk assessment algorithms have been validated for the Swiss population using outcome studies.
Therefore, as an additional information, atherosclerosis imaging may be used in selected patients as an additional test in order to assess, whether cardiovascular risk factors have already caused a damage to the arteries, and to what extent, in an individual patient. Because we believe, that atherosclerosis imaging should be integrated into the risk assessment furnished by the framework of major and independant cardiovascular risk factors, we used the model of posterior probabilities (posttest risk), and performed posttest risk calculations in every patient.
By applying our posttest coronary risk stratification tool (CH-PROCAM-PTP), which incorporates a biological correlate of risk as defined by plaque formation in coronary arteries and by using posttest coronary risk that is based on coronary calcium percentiles, the number of high-risk patients increased from 17 to 30. Of these 17 patients, only 10 were defined as being at high risk by CH-PROCAM (data not shown). On the other hand, out of 38 intermediate-risk patients as defined by CH-PROCAM, 11 (29%) were re-classified into the high-risk category and 16 (42%) were reclassified into the low-risk category by using the CH-PROCAM-PTP algorithm (data not shown). Therefore, the knowledge of the presence and extent of coronary calcifications may be helpful to detect high-risk subjects, mainly assessed as intermediate risk subjects by CH-PROCAM. CH-PROCAM-PTP may close the detection gap inherent to conventional risk testing (CH-PROCAM) and allow for earlier risk reduction interventions.
The sensitivity and specificity of the EU-SCORE-PTP algorithm to detect high-risk patients defined by the CH-PROCAM-PTP extension were only 70% and 69%, respectively (Table 3). The agreement between CH-PROCAM-PTP and EU-SCORE-PTP for risk classification in this patient group was very low (weighted Kappa 0.26). This emphasises the possibility, that the incorporation of atherosclerosis imaging on top of CH-PROCAM and EU-SCORE increases the mutual validity of these algorithms; and that the differences between CH-PROCAM-PTP and EU-SCOREPTP are at least in part due to differences in the pretest probabilities.
An important clinical implication of atherosclerosis imaging can be exemplified for the indication of LDLC-lowering in the CH-PROCAM algorithm. As we showed in a very recent population survey on 914 Swiss primary care subjects (CORDICARE I Study, data on file), the agreement to initiate an LDLC-lowering therapy was very low between CH-PROCAM and EU-SCORE (weighted Kappa 0.26 [27]).
In this study, we applied atherosclerosis imaging using coronary calcium for the estimation of posttest risk (CH-PROCAM-PTP) to the whole group of 175 primary care patients. This strategy modifies the indication for a LDLC-lowering therapy in 24 of 175 patients (14%). Therefore, the agreement between CH-PRO-CAM and CH-PROCAM-PTP (weighted kappa 0.71) was sufficient. We therefore conclude that coronary calcium imaging should not be used as a screening test to decide whether a LDLC-lowering drug treatment should be started or not. However, in the intermediate risk patients (n = 38) defined by CH-PROCAM, the indication for a LDLC-lowering therapy was different in 9 of 38 patients (24%) when using the CH-PROCAM-PTP algorithm. The indication to start a LDLC-lowering treatment was therefore quite different 0.53 (weighted kappa statistics). This example underlines the importance of additional risk modification tools in intermediate risk patients. Furthermore, our findings are in line with the recommendation of a consensus paper on coronary calcifications [28].

Performance of atherosclerosis imaging

By analysing the original London cohort, it could be demonstrated that TPA is a valuable method for predicting total mortality during follow-up (AUC 0.77) and the mortality from myocardial infarction and stroke (AUC 0.77) (personal calculation from the original data of the London cohort [7]). In addition, in our study patients, a TPA >1.0 cm2 showed a positive predictive value of 36% and a specificity of 85% to detect patients with coronary calcification above the 75th percentile. Therefore, TPA might be used as a first step in sequential testing. If the TPA indicates that the patient is at intermediate risk, the calcium score methodology then could be used as the decisive final test. However, the TPA has shown only low to moderate overall diagnostic performance for detecting a CS% >75 (AUC 0.58, p = 0.03) in this study population.
The predictive value of coronary calcium scoring has been a matter of debate [11]. Recently, two important outcome studies on coronary calcium scoring have been published [12,13]. Both studies showed in large, populationbased cohorts without self-referral selection bias, that coronary calcifications improved risk prediction for coronary events above prospective measurements of conventional risk factors and high-sensitivity C-reactive protein [12] or for coronary and vascular events above prospective measurements of conventional risk factors, Ankle Brachial Index and carotid IMT [13]. Moreover, in the Rotterdam study [13], subjects were not aware of the results of coronary calcium scoring, thus forming a truly unbiased group with respect to medical intervention.
The diagnostic value of plaque imaging has been quantified in the present study. We tried to define the test performance of our four algorithms to discriminate 19 patients with known vascular disease from the whole study group (n = 213). Using ROC analysis, only the algorithm that incorporated a measure of coronary calcium allowed to discrimate these 19 vascular patients from the rest of the study group in a statistically significant manner (Figure 2).

Limitations

We were able to include only a limited number of patients for the comparison of the Swiss-specific PROCAM algorithm (CH-PROCAM) and the EAS algorithm for low-risk populations (EU-SCORE). Another limitation was that the gold standard (ie, prospectively assessed event rates for myocardial infarction, stroke, and death) was not available and we tried to circumvene this problem by looking at the diagnostic performance of our risk assessment tools to discriminate vascular patients (Figure 2). However, it must be emphasised, that none of the risk factor based tests incorporated in the PROCAM and SCORE algorithms were compared with the gold standard, which is the development of severe cardiac events (hard endpoints such as fatal or non-fatal myocardial infarction).
We therefore used a surrogate marker for the risk of myocardial infarction. In middle-aged, asymptomatic subjects with no detectable coronary calcium, event rates for fatal and non-fatal myocardial infarction are extremely low (2–4 events/1000 subjects/year [4,5,10,13]). Thus, one can argue that the absence of coronary calcium in intermediaterisk subjects (as defined by PROCAM) helps to identify the low-risk subject. In our study population, we were able to demonstrate that 16 of 38 (42%) intermediate-risk subjects, as defined by CH-PROCAM, could be re-classified into the low-risk category by using coronary calcium percentiles (CH-PROCAM-PTP). The risk that is related to coronary calcification may be even lower in low-risk populations (such as the Swiss population) than in the US cohort from which our surrogate marker (CS% >50) was originally obtained [10]. However, this extrapolation needs further confirmation in independent studies. If the risk of coronary calcification is lower in low-risk populations, this risk relationship would allow physicians to re-classify intermediate-risk subjects in low-risk populations as low-risk subjects. Posttest risk calculations that included additional risk markers, such as the Ankle Brachial Index [14,17] or the carotid intima media thickness, do not improve the accuracy to predict myocardial infarction events [6,13].
Athird limitation was that we had to adopt data from the electron beam computed tomography (EBCT) risk prognosis database [10] into multislice computed tomography (MSCT) imaging since a database that allowed the calculation of accurate posttest probabilities was not available at the time of this study for MSCT in Europe. The results from the MESA trial [18] and the Heinz Nixdorf Recall Study [19] were not yet available. Moreover, these studies are outcome studies. This means that the results will be not quite accurate since medical interventions allowed during the study may reduce the risk in those subjects who had already been identified as being at high risk. This is true for all event studies that assessed risk tools. For this reason, the necessity of reclassifying subjects who exhibit a coronary calcium percentile >75% into a high-risk category will always remain an expert indication (class IIb). Nevertheless, the cut-off of CS% >75 has been recently incorporated into the NCEP III [20] and the European [21] guidelines as a powerful tool to further risk stratify subjects who are assessed initially as being at intermediate risk by conventional risk charts. Therefore, the poor sensitivity of PROCAM- and NCEP III-based risk algorithms is improved by the incorporation of atherosclerosis imaging into the risk prediction [28].
A fourth limitation of the present study is the linear extrapolation of event rates from follow-up times of 2.7 years for CS% and 2.5 years for TPA to a ten-year risk estimate. Based on a Swiss mortality registry (mortality due to ischaemic heart disease), the increase in risk in both men and women between the age groups 55–59, 60–64, and 65–69 was almost linear [22]. Nevertheless, this linear extrapolation may actually underestimate the risk inherent in vascular plaque formation and therefore represents a conservative estimate of cardiovascular risk as with increasing age, risk tends to increase exponentially, particularly after the age of 65 years.

Conclusions

We conclude that in our group of middle-aged patients with a low to intermediate risk of heart attacks as defined by a new PROCAM derived risk algorithm (CH-PROCAM) and by a population-adapted algorithm (EU-SCORE), the agreement of these two methods are rather low.
Furthermore, atherosclerosis imaging identified a substantial portion of high-risk patients that would otherwise be overseen when assessment of risk is not extended to biological markers of coronary risk such as eg coronary calcifications.
The added value of extending the risk assessment to include coronary calcifications has been validated in the present study. We also demonstrated that the measurement of coronary calcifications is a strong tool to identify patients with known vascular diseases. Although the study involved a small number of patients from a single study center, it is the first study demonstrating that the measurement of coronary calcifications has a major impact to identify patients with known vascular diseases. We therefore conclude that atherosclerosis imaging is a useful tool for the clinician to improve risk prediction in primary care, in particular in intermediate-risk patients when the intensity of preventive therapy (LDLC-lowering) is doubtful.
In intermediate risk patients, the additional information of the CS% value allows to further risk stratify 71% of these remaining patients. High risk as predicted by atherosclerosis imaging (eg, CS% >75, TPA >1.00 cm2) corrects classification of patients who had been classified by the current cardiovascular risk assessment guidelines as being at intermediate risk only. Further studies are, however, needed to elucidate the relative prognostic impact of TPA and CS%, to address the question of whether TPA may serve as a substitute for the measurement of coronary calcifications in selected patients, and the prognostic impact of our posttest risk calculation model.

Conflicts of Interest

The authors declare no conflict of interest.

Glossary

PROCAMPROspective Cardiovascular Münster (PROCAM) algorithm.
SCOREAlgorithm of the European Atherosclerosis Society.
CH-PROCAMPROCAM algorithm adopted for Switzerland according to AGLA Guidelines 2005. CH-PROCAM allows to estimate the 10-year-risk for fatal and nonfatal myocardial infarction.
EU-SCORESCORE algorithm adopted for Switzerland according to SCORE Guidelines 2003. EU-SCORE allows to estimate the 10-year-risk for vascular death.
ROC analysisReceiver operating curves (ROC) display a plot of sensitivity versus (1—specificity) over all possible test results of a continuous predictor; an AUC value should be >0.70, which means, that the medical test has an acceptable diagnostic performance.
TPATotal plaque area is an ultrasound measure of the global plaque burden of the carotid arteries calculated for both sides and expressed in cm2. Usually, a value above 1.00 cm2 implies a high risk. This test has the best accuracy, based on ROC analysis, to foresee vascular death caused by either stroke or myocardial infarction. Based on known sensitivities and specificities of this test, it allows to calculate posterior probabilities for vascular death in combination with the EU-SCORE as the pretest probability. Test performance for vascular mortality was tested in the London cohort [7].
Coronary CalciumCoronary Calcium (Agatston score) was measured with a MSCT scanner and percentiles were calculated from a U.S. cohort [Ref 10]. A percentile of >75 usually implies a high risk for fatal or nonfatal myocardial infarction. Coronary calcium percentiles are best used to calculate posterior probabilities for fatal or nonfatal myocardial infarction with the CH-PROCAM algorithm as the pretest probability.
PTPPosterior Test Probabilities are derived from a pretest probability (which in this study is defined by CH-PROCAM for the risk of fatal or nonfatal myocardial infarction and defined by EU-SCORE for the risk of death due to stroke or myocardial infarction), and the sensitivities and specificities of CS% (Table 4) or TPA (Table 5). As an example, a subject with a pretest probability of 15% (CH-PROCAM) and a CS% >75 has a PTP of 35% (95 CI 25–46%) to develop a fatal or nonfatal myocardial infarction in 10 years. Similarly, a patient with an EU-SCORE pretest probability to develop fatal stroke or myocardial infarction in 10 years of 3.0% and a TPA of >1.18 cm2 has a posttest probability of 8.2 % (95 CI 5.7–11.6%). The formulas to calculate posttest risk are displayed in the section “statistical methods” of this paper. Pre- and posttest risk calculations can also be performed on our website: www.scopri.ch.

References

  1. Assmann, G.; Cullen, P.; Schulte, H. Simple scoring scheme for calculating the risk of acute coronary events based on the 10-year follow-up of the prospective cardiovascular Munster (PROCAM) study. Circulation. 2002, 105, 310–315. [Google Scholar] [CrossRef]
  2. Albert, M.; Glynn, R.; Ridker, P. Plasma concentration of C-reactive protein and the calculated Framingham coronary heart disease risk score. Circulation. 2003, 108, 161–165. [Google Scholar] [CrossRef]
  3. Callister, T.; Raggi, P. Electron-beam computed tomography: A Bayesian approach to risk assessment. Am J Cardiol. 2001, 88, 39–41E. [Google Scholar] [CrossRef]
  4. Arad, Y.; Spadaro, L.; Goodman, K.; et al. Prediction of coronary events with electron beam computed tomography. J Am Coll Cardiol. 2000, 36, 1253–1260. [Google Scholar] [CrossRef]
  5. Keelan, P.; Bielak, L.; Ashai, K.; JamJoum, L.; Denktas, A.; Rumberger, J.; et al. Long-term prognostic value of coronary calcifications detected by electron-beam computed tomography in patients undergoing coronary angiography. Circulation. 2001, 104, 412–417. [Google Scholar] [CrossRef] [PubMed]
  6. Del Sol, A.; Moons, K.; Hollander, M.; Hofman, A.; Koudstaal, P.; Grobbee, D.; et al. Is carotid intima-media thickness useful in cardiovascular disease risk assessment? Stroke. 2001, 32, 1532–1538. [Google Scholar] [CrossRef]
  7. Spence, D.; Eliasziw, M.; Di Cicco, M.; et al. Carotid plaque area: A tool for targeting and evaluating vascular preventive therapy. Stroke 2002, 33, 2916–2922. [Google Scholar] [CrossRef] [PubMed]
  8. Executive summary of the third report of the national cholesterol education program. NCEP Adult Treatment Panel III. JAMA. 2001, 285, 2486–2497. [CrossRef]
  9. Conroy, R.; Pyörälä, K.; Fitzgerald, A.; et al. Score project group. Estimation of ten-year risk of fatal cardiovascular disease in Europe: The SCORE project. Eur Heart J. 2003, 24, 987–1003. [Google Scholar] [CrossRef] [PubMed]
  10. Raggi, P.; Cooil, B.; Callister, T. Use of electron beam tomography data to develop models for prediction of hard coronary events. Am Heart J. 2001, 141, 375–382. [Google Scholar] [CrossRef]
  11. O’Rourke, R.; Brundage, B.; Froelicher, V.; Greenland, P.; Grundy, S.; Hachamovitch, R.; et al. American College of Cardiology / American Heart Association Expert Consensus document on electron-beam computed tomography for the diagnosis and prognosis of coronary artery disease. Circulation. 2000, 102, 126–140. [Google Scholar] [CrossRef]
  12. Arad, Y.; Goodman, K.; Roth, M.; Newstein, D.; Guerci, A. Coronary calcification, coronary disease risk factors, C-reactive protein, and atherosclerotic cardiovascular disease events. The St. Francis Heart Study. J Am Coll Cardiol. 2005, 46, 158–165. [Google Scholar] [CrossRef] [PubMed]
  13. Vliegenthart, R.; Oudkerk, M.; Hofman, A.; et al. Coronary calcification improves cardiovascular risk prediction in the elderly. Circulation. 2005, 112, 572–577. [Google Scholar] [CrossRef]
  14. Spence, J.D.; Hegele, R.A. Non-invasive measurement of atherosclerosis risk. Curr Drug Targets Cardiovasc Haematol Disord 2004, 4, 125–128. [Google Scholar] [CrossRef]
  15. Spence, J.D.; Hegele, R.A. Noninvasive phenotypes of atherosclerosis: Similar windows but different views. Stroke. 2004, 35, 649–653. [Google Scholar] [CrossRef] [PubMed]
  16. Shaw, L.; Raggi, P.; Schistermann, E.; et al. Prognostic value of cardiac risk factors and coronary artery calcium screening for all-cause mortality. Radiology. 2003, 228, 826–833. [Google Scholar] [CrossRef]
  17. Newman, A.B.; Shemanski, L.; Manolio, T.A.; Cushman, M.; Mittelmark, M.; Polak, J.F.; et al. Ankle-arm index as a predictor of cardiovascular disease and mortality in the cardiovascular health study. Arterioscler Thromb Vasc Biol. 1999, 19, 538–545. [Google Scholar] [CrossRef]
  18. Bild, D.; Detrano, R.; Peterson, D.; Guerci, A.; Liu, K.; Shahar, E.; et al. Ethnic differences in coronary calcification. The Multi-Ethnic Study of Atherosclerosis (MESA). Circulation. 2005, 111, 1313–1320. [Google Scholar] [CrossRef] [PubMed]
  19. Schmermund, A.; Möhlenkamp, S.; Stang, A.; et al. The Heinz Nixdorf Recall Study Investigative Group. Assessment of clinically silent atherosclerotic disease and established and novel risk factors for predicting myocardial infarction and cardiac death in healthy middle-aged subjects: Rationale and design of the Heinz Nixdorf Recall Study. Am Heart J. 2002, 144, 212–218. [Google Scholar]
  20. Detection, evaluation and treatment of high blood cholesterol in adults (Adult treatment panel III). Final report. National Cholesterol Education Program, National Heart, Lung, and Blood Institute. NIH Publication No. 02–5215, September, 2002.
  21. European guidelines on cardiovascular disease prevention in clinical practice. EJCPR. 2003, 10 (Suppl. 1), S1–78.
  22. Sterbefälle und Sterbeziffern wichtiger Todesursachen, nach Alter und Geschlecht. Schweiz:. Bundesamt für Gesundheit; 1999. Available online: www.statistik.admin.ch.
  23. Tunstall-Pedoe, H.; Kuulasmaa, K.; Mahonen, M.; Tolonen, H.; Ruokokoski, E.; Amouyel, P. Contribution of trends in survival and coronary-event rates to changes in coronary heart disease mortality: 10-year results from 37 WHO MONICA project populations. Monitoring trends and determinants in cardiovascular disease. Lancet. 1999, 353, 1547–1557. [Google Scholar] [CrossRef] [PubMed]
  24. Assmann, G.; Cullen, P.; Schulte, H. Simple scoring scheme for calculating the risk of acute coronary events based on the 10-year follow-up of the Prospective Cardiovascular Münster (PROCAM) Study. Circulation 2002, 105, 310–315. [Google Scholar] [CrossRef]
  25. Hense, H.W.; Schulte, H.; Löwel, H.; Assmann, G.; Keil, U. Framingham risk function overestimates risk of coronary heart disease in men and women from Germany—results from the MONICA Augsburg and the PROCAM cohorts. Eur Heart J. 2003, 24, 937–945. [Google Scholar] [CrossRef]
  26. Riesen, W.; Darioli, R.; Noseda, G.; Bertel, O.; Buser, P. Empfehlungen zur Prävention der Atherosklerose. SAEZ. 2005, 22, 1355–1361. [Google Scholar]
  27. Romanens, M.; Miserez, A. International (IAS) and European (EAS) Atherosclerosis Society Guidelines for LDL lowering therapy in Swiss primary care: Initial experience of cordicare I, a population based sample. [Abstract, oral presentation]. SGIM, Lausanne, May, 2006.
  28. ACCF/AHA 2007 Clinical expert consensus document on coronary artery calcium scoring by computed tomography in global cardiovascular risk assessment and in evaluation of patients with chest pain. Circulation. 2007, 115, 402–426. [CrossRef] [PubMed]
Figure 1. Synopsis of patient groups and structure of study analysis.
Figure 1. Synopsis of patient groups and structure of study analysis.
Cardiovascmed 10 00139 g001
Figure 2. Qualitative and quantitative display of a common carotid artery plaque traced longitudinally.
Figure 2. Qualitative and quantitative display of a common carotid artery plaque traced longitudinally.
Cardiovascmed 10 00139 g002
Figure 3. Qualitative and quantitative display of coronary calcifications using images obtained from a four slice MSCT scanner and quantification software from ScImage.Inc (fda approved).
Figure 3. Qualitative and quantitative display of coronary calcifications using images obtained from a four slice MSCT scanner and quantification software from ScImage.Inc (fda approved).
Cardiovascmed 10 00139 g003
Table 1. Clinical characteristics and presence or absence of carotid plaque and coronary calcification.
Table 1. Clinical characteristics and presence or absence of carotid plaque and coronary calcification.
Cardiovascmed 10 00139 i001
Table 2. Direct comparison of CH-PROCAM and EU-SCORE risk assessment tools.
Table 2. Direct comparison of CH-PROCAM and EU-SCORE risk assessment tools.
Cardiovascmed 10 00139 i002
Table 3. Direct comparison of CH-PROCAM-PTP and EU-SCORE-PTP risk assessment tools.
Table 3. Direct comparison of CH-PROCAM-PTP and EU-SCORE-PTP risk assessment tools.
Cardiovascmed 10 00139 i003
Table 4. Diagnostic performance of the calcium score percentile to predict fatal or nonfatal myocardial infarction in 10 years.
Table 4. Diagnostic performance of the calcium score percentile to predict fatal or nonfatal myocardial infarction in 10 years.
Cardiovascmed 10 00139 i004
Table 5. Diagnostic performance of the TPA to predict fatal myocardial infarction or fatal stroke in 10 years.
Table 5. Diagnostic performance of the TPA to predict fatal myocardial infarction or fatal stroke in 10 years.
Cardiovascmed 10 00139 i005

Share and Cite

MDPI and ACS Style

Romanens, M.; Miserezb, A.R.; Ackermannc, F.; Riesend, W.; Spencee, J.D.; Dariolif, R. Imaging as a Cardiovascular Risk Modifier in Primary Care Patients Using Predictor Models of the European and International Atherosclerosis Societies. Cardiovasc. Med. 2007, 10, 139. https://doi.org/10.4414/cvm.2007.01242

AMA Style

Romanens M, Miserezb AR, Ackermannc F, Riesend W, Spencee JD, Dariolif R. Imaging as a Cardiovascular Risk Modifier in Primary Care Patients Using Predictor Models of the European and International Atherosclerosis Societies. Cardiovascular Medicine. 2007; 10(4):139. https://doi.org/10.4414/cvm.2007.01242

Chicago/Turabian Style

Romanens, Michel, André R. Miserezb, Franz Ackermannc, Walter Riesend, J. David Spencee, and Roger Dariolif. 2007. "Imaging as a Cardiovascular Risk Modifier in Primary Care Patients Using Predictor Models of the European and International Atherosclerosis Societies" Cardiovascular Medicine 10, no. 4: 139. https://doi.org/10.4414/cvm.2007.01242

APA Style

Romanens, M., Miserezb, A. R., Ackermannc, F., Riesend, W., Spencee, J. D., & Dariolif, R. (2007). Imaging as a Cardiovascular Risk Modifier in Primary Care Patients Using Predictor Models of the European and International Atherosclerosis Societies. Cardiovascular Medicine, 10(4), 139. https://doi.org/10.4414/cvm.2007.01242

Article Metrics

Back to TopTop