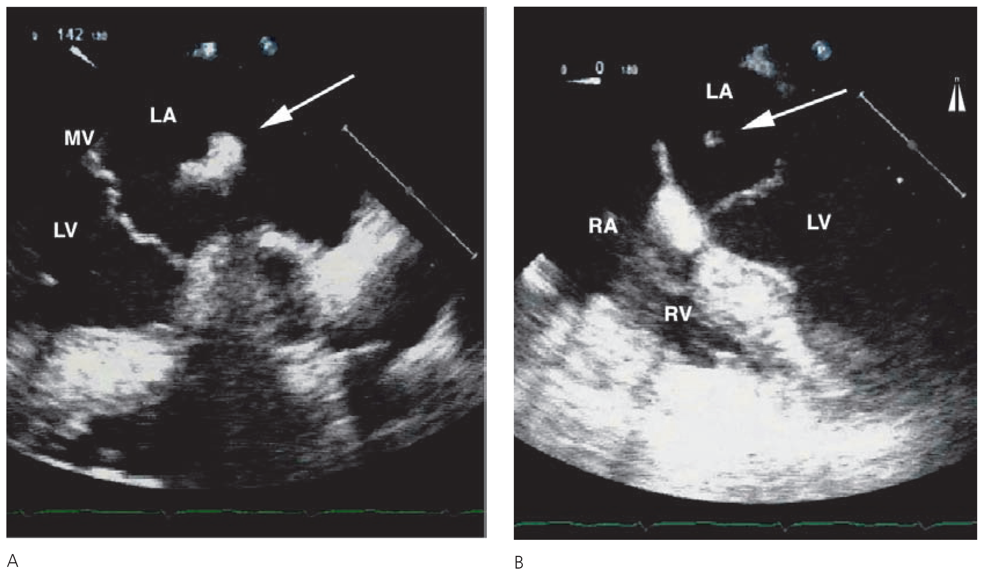
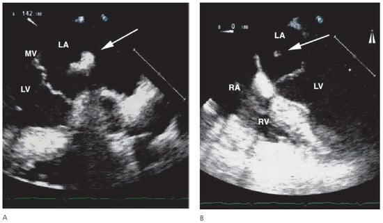
Mysterious Floating Structure in the Left Atrium After Coronary Artery Bypass Grafting
Conflicts of Interest

© 2007 by the authors. Attribution—Non-Commercial—NoDerivatives 4.0.
Share and Cite
Koepfli, P.; Enseleit, F.; Jenni, R. Mysterious Floating Structure in the Left Atrium After Coronary Artery Bypass Grafting. Cardiovasc. Med. 2007, 10, 153. https://doi.org/10.4414/cvm.2007.01238
Koepfli P, Enseleit F, Jenni R. Mysterious Floating Structure in the Left Atrium After Coronary Artery Bypass Grafting. Cardiovascular Medicine. 2007; 10(4):153. https://doi.org/10.4414/cvm.2007.01238
Chicago/Turabian StyleKoepfli, Pascal, Frank Enseleit, and Rolf Jenni. 2007. "Mysterious Floating Structure in the Left Atrium After Coronary Artery Bypass Grafting" Cardiovascular Medicine 10, no. 4: 153. https://doi.org/10.4414/cvm.2007.01238
APA StyleKoepfli, P., Enseleit, F., & Jenni, R. (2007). Mysterious Floating Structure in the Left Atrium After Coronary Artery Bypass Grafting. Cardiovascular Medicine, 10(4), 153. https://doi.org/10.4414/cvm.2007.01238
