Next Issue
Volume 10, 04
Previous Issue
Volume 10, 02
 
 
cardiovascmed-logo

Journal Browser

Journal Browser
Cardiovascular Medicine is published by MDPI from Volume 28 Issue 1 (2025). Previous articles were published by another publisher in Open Access under a CC-BY (or CC-BY-NC-ND) licence, and they are hosted by MDPI on mdpi.com as a courtesy and upon agreement with Editores Medicorum Helveticorum (EMH).

Cardiovasc. Med., Volume 10, Issue 3 (03 2007) – 6 articles

  • Issues are regarded as officially published after their release is announced to the table of contents alert mailing list.
  • You may sign up for e-mail alerts to receive table of contents of newly released issues.
  • PDF is the official format for papers published in both, html and pdf forms. To view the papers in pdf format, click on the "PDF Full-text" link, and use the free Adobe Reader to open them.
Order results
Result details
Select all
Export citation of selected articles as:
9 pages, 349 KB  
Article
Interventional Cardiology in Switzerland During the Year 2005
by Micha T. Maeder, Jean-Christoph Stauffer, Stephan Windecker, Giovanni Pedrazzini, André Vuillomenet and Hans Rickli
Cardiovasc. Med. 2007, 10(3), 92; https://doi.org/10.4414/cvm.2007.01233 - 23 Mar 2007
Cited by 1 | Viewed by 77
Abstract
Background: Since 1987, a nationwide annual survey of percutaneous cardiac interventions is performed in Switzerland, which allows recognition of contemporary trends and comparison with other countries. Methods: Based on a standardised questionnaire, all adult percutaneous cardiac intervention centres in Switzerland were [...] Read more.
Background: Since 1987, a nationwide annual survey of percutaneous cardiac interventions is performed in Switzerland, which allows recognition of contemporary trends and comparison with other countries. Methods: Based on a standardised questionnaire, all adult percutaneous cardiac intervention centres in Switzerland were asked to report on the volume and the circumstances of their activities in 2005. The response rate was 100%. Data were compared with those from previous years. Results: In 2005, 36 436 coronary angiographies (CA) (2004: 35 201; + 3.5%) and 16 624 percutaneous coronary interventions (PCI) (2004: 15 680; + 6%) were carried out in 5 university hospitals, 9 public, non-university hospitals, and 13 private hospitals by 205 operators (80 of them performing only diagnostic studies). Ninety-three percent of PCI were performed ad hoc, and 78% were single-vessel interventions. Stents were placed in 91% of PCI (2004: 91%). Drug-eluting stents (DES) were used in 78% of procedures (2004: 66%). Emergency procedures (primary PCI or rescue PCI after failed thrombolysis) accounted for 19% of interventions. Glycoprotein IIb/IIIa inhibitors were used in 23% of PCI (2004: 23%). Myocardial infarction after PCI was reported in 1.1% of PCI, emergency coronary artery bypass grafting was needed in 0.1% of cases, and in-hospital mortality after PCI was 0.5%. In addition, 52 mitral, 11 aortic, and 16 pulmonary balloon valvuloplasties, and 510 interventions for closure of patent foramen ovale (2004: 438) as well as 94 interventions for closure of atrial septal defect (2004: 92) were performed. Conclusions: The number of CA and PCI and especially the utilisation of DES are steadily increasing in Switzerland. The number of interventions for closure of patent foramen ovale and atrial septal defect is still growing, most probably due to a more aggressive diagnostic work-up and treatment of patients with stroke. Full article
Show Figures

Figure 1

5 pages, 174 KB  
Editorial
Interventional Cardiology on a Roll
by Bernhard Meier
Cardiovasc. Med. 2007, 10(3), 87; https://doi.org/10.4414/cvm.2007.01237 - 23 Mar 2007
Viewed by 64
Abstract
The year 2007 marks the 30th anniversary of percutaneous transluminal coronary angioplasty (PTCA), more recently called percutaneous coronary intervention (PCI) [...] Full article
2 pages, 362 KB  
Interesting Images
Myocardial Perfusion SPECT Features of Severe Pulmonary Artery Hypertension
by Micha T. Maeder, Martin Stöckli and Michael J. Zellweger
Cardiovasc. Med. 2007, 10(3), 113; https://doi.org/10.4414/cvm.2007.01234 (registering DOI) - 23 Mar 2007
Cited by 1 | Viewed by 63
Abstract
A 49-year-old man with a history of sarcoidosis and associated severe pulmonary hypertension was referred for myocardial perfusion imaging (MPI) because of preoperative workup (planed lung transplant) [...] Full article
Show Figures

Figure 1

2 pages, 180 KB  
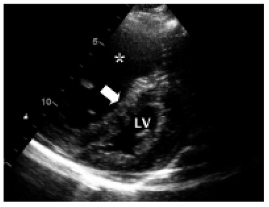
Interesting Images
Progrediente Herzinsuffizienz Trotz Biventrikulärer Stimulation
by C. Bösch, B. Schaer and S. Osswald
Cardiovasc. Med. 2007, 10(3), 111; https://doi.org/10.4414/cvm.2007.01236 (registering DOI) - 23 Mar 2007
Viewed by 58
Abstract
Drei Monate nach Implantation eines CRTGerätes hatte sich die Dyspnoe des Patienten von NYHA IV auf NYHA II verbessert [...] Full article
Show Figures

Figure 1

3 pages, 234 KB  
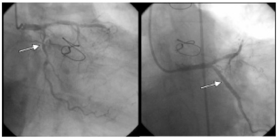
Case Report
Nichtkardiogenes Kontrastmittelinduziertes Lungenödem
by Christophe A. Wyss and Thomas F. Lüscher
Cardiovasc. Med. 2007, 10(3), 108; https://doi.org/10.4414/cvm.2007.01235 - 23 Mar 2007
Viewed by 65
Abstract
Allgemeine milde Reaktionen auf nichtionische Kontrastmittel sind häufig, schwere Reaktionen (z.B. Dyspnoe, Hypotonie, Kreislaufstillstand) sind selten [...] Full article
Show Figures

Figure 1

7 pages, 974 KB  
Proceeding Paper
Endobronchiales Stenting
by Felix J. F. Herth and Ralf Eberhardt
Cardiovasc. Med. 2007, 10(3), 101; https://doi.org/10.4414/cvm.2007.01232 - 23 Mar 2007
Viewed by 66
Abstract
Patients with lung cancer often have bulky endobronchial disease, endobronchial extension, or airway compression. Many endobronchial treatment modalities are available to supplement traditional therapies for advanced lung cancer. Since the early 1980s, technical advances in interventional techniques have enhanced symptom-free survival and quality [...] Read more.
Patients with lung cancer often have bulky endobronchial disease, endobronchial extension, or airway compression. Many endobronchial treatment modalities are available to supplement traditional therapies for advanced lung cancer. Since the early 1980s, technical advances in interventional techniques have enhanced symptom-free survival and quality of life for patients with lung cancer. Although interventional procedures are not definitive therapies, they often relieve the strangling sensation produced by airway occlusion. For patients with respiratory symptoms associated with their disease, the stent placement provides symptom palliation and improves quality of life. The author reviews the use of several available endobronchial stents. Full article
Show Figures

Figure 1

Previous Issue
Next Issue
Back to TopTop