- Case Report
Evidence for Vagal Denervation as a Possible Mechanism of Successful RF-Ablation of Atrial Fibrillation
- Christoph Scharf,
- Corinna Brunckhorst,
- Johannes Holzmeister and
- Firat Duru
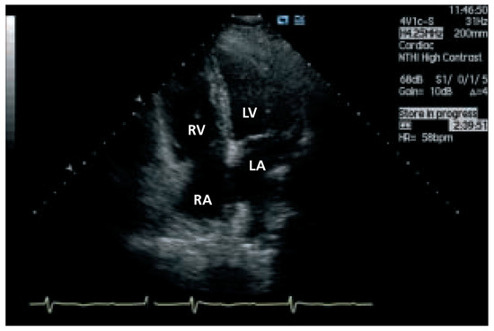
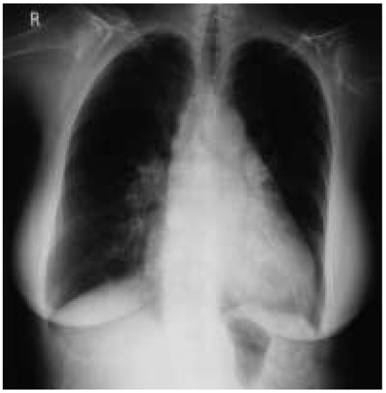
Case description A 70-year-old former athlete complained about a twenty-year history of paroxysmal atrial fibrillation with onset at rest and during the night, which became persistent in the last three years [...]

