- Interesting Images
Dilatation Tardive de la Racine Aortique Après Réparation d’Une Tétralogie de Fallot
- Pedro Trigo Trindade,
- Dominique Didier,
- Afksendiyos Kalangos,
- Maurice Beghetti and
- Beat Friedli
30 March 2005
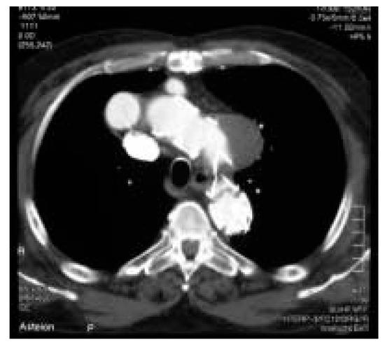
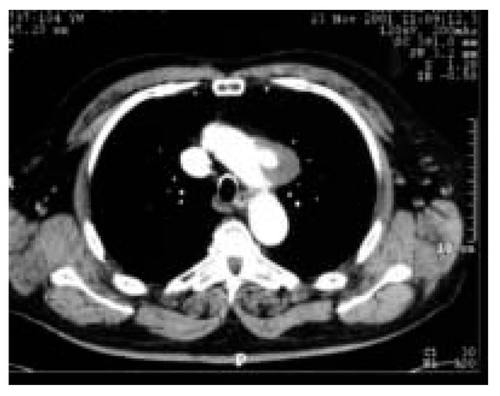
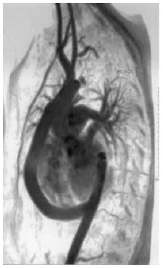
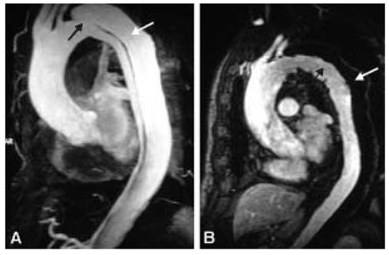
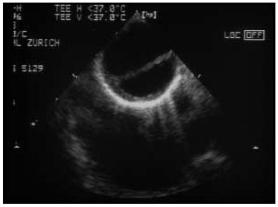
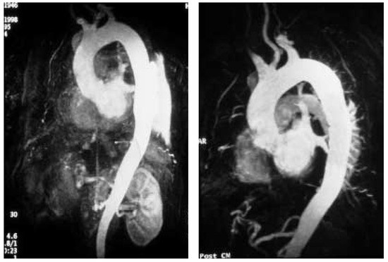
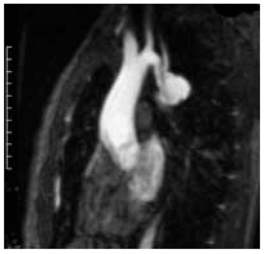
Une patiente de 31 ans souffrant d’une cardiopathie congénitale consulte car elle souhaite une grossesse [...]

