Next Article in Journal
Jahresbericht 2003 der Schweizerischen Arbeitsgruppe für Kardiale Rehabilitation
Previous Article in Journal
Facharztprüfung für die Erlangung des Facharzttitels Kardiologie
 
 
Cardiovascular Medicine is published by MDPI from Volume 28 Issue 1 (2025). Previous articles were published by another publisher in Open Access under a CC-BY (or CC-BY-NC-ND) licence, and they are hosted by MDPI on mdpi.com as a courtesy and upon agreement with Editores Medicorum Helveticorum (EMH).
Font Type:
Arial Georgia Verdana
Font Size:
Aa Aa Aa
Line Spacing:
Column Width:
Background:
Interesting Images

A Heart with Holes and Deformed Forearms: Is There a Connection?

by
Christine H. Attenhofer Jost
*,
Michael Richter
and
Kurt Schneider
HerzGefässZentrum Zürich, Klinik im Park, Seestrasse 220, CH-8027 Zürich, Switzerland
*
Author to whom correspondence should be addressed.
Cardiovasc. Med. 2005, 8(4), 150; https://doi.org/10.4414/cvm.2005.01090
Submission received: 29 January 2005 / Revised: 28 February 2005 / Accepted: 29 March 2005 / Published: 29 April 2005

Case report

A 69-year-old woman was referred to the cardiologist for increasing shortness of breath. She had no previous cardiac examinations. The patient reported dizziness and some episodes of near-fainting in the last months. She complained of dyspnea on exertion NYHA II, but no angina and no obvious signs of heart failure. In the past, she had a history of several small surgical procedures on both hands. Her family history reveals that a brother had died suddenly a few weeks after pacemaker surgery.
The physical exam shows obvious deformity of both forearms as shown in Figure 1. There was neither clubbing nor cyanosis. O2 saturation at rest was normal. Heart auscultation revealed a 2/6 systolic murmur at the base and over the left second interspace. There were normal breathing sounds, no signs of biventricular heart failure and no peripheral edema. There was a digitalised triphalangeal thumb on the right side, the left sided thumb had been surgically amputated.
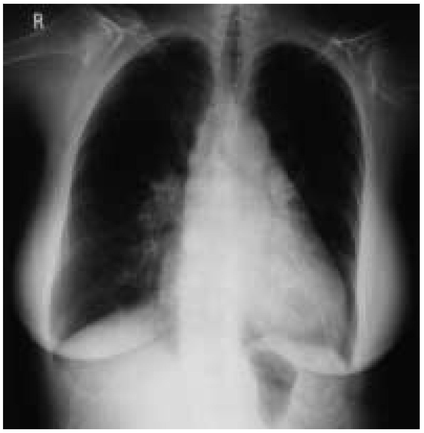
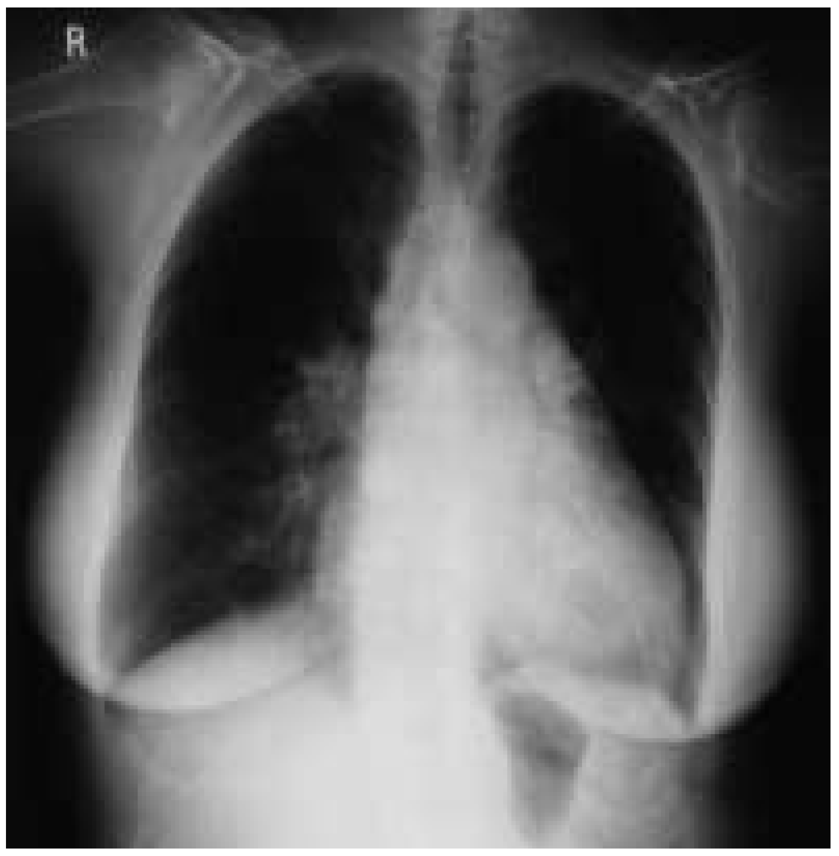
The chest-XR (Figure 2) shows cardiomegaly, some increased pulmonary vasculature and dilatation of the main pulmonary artery on the right side.
The ECG at rest is abnormal (Figure 3): there is sinus rhythm with a very prolonged PR time of 396 ms due to first degree AV block, the QRS axis is 111 degrees, the QRS time 106 ms and QT time 426 ms. The 24-hour Holter ECG reveals intermittent second and third degree AV block.
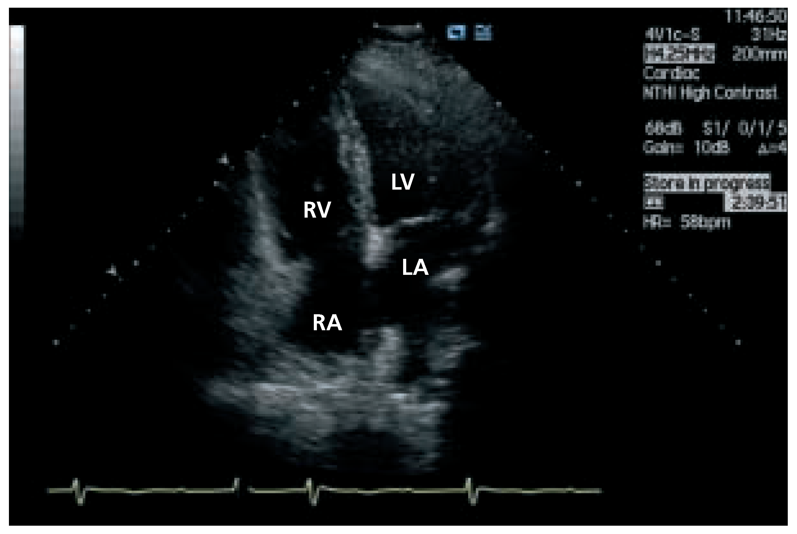
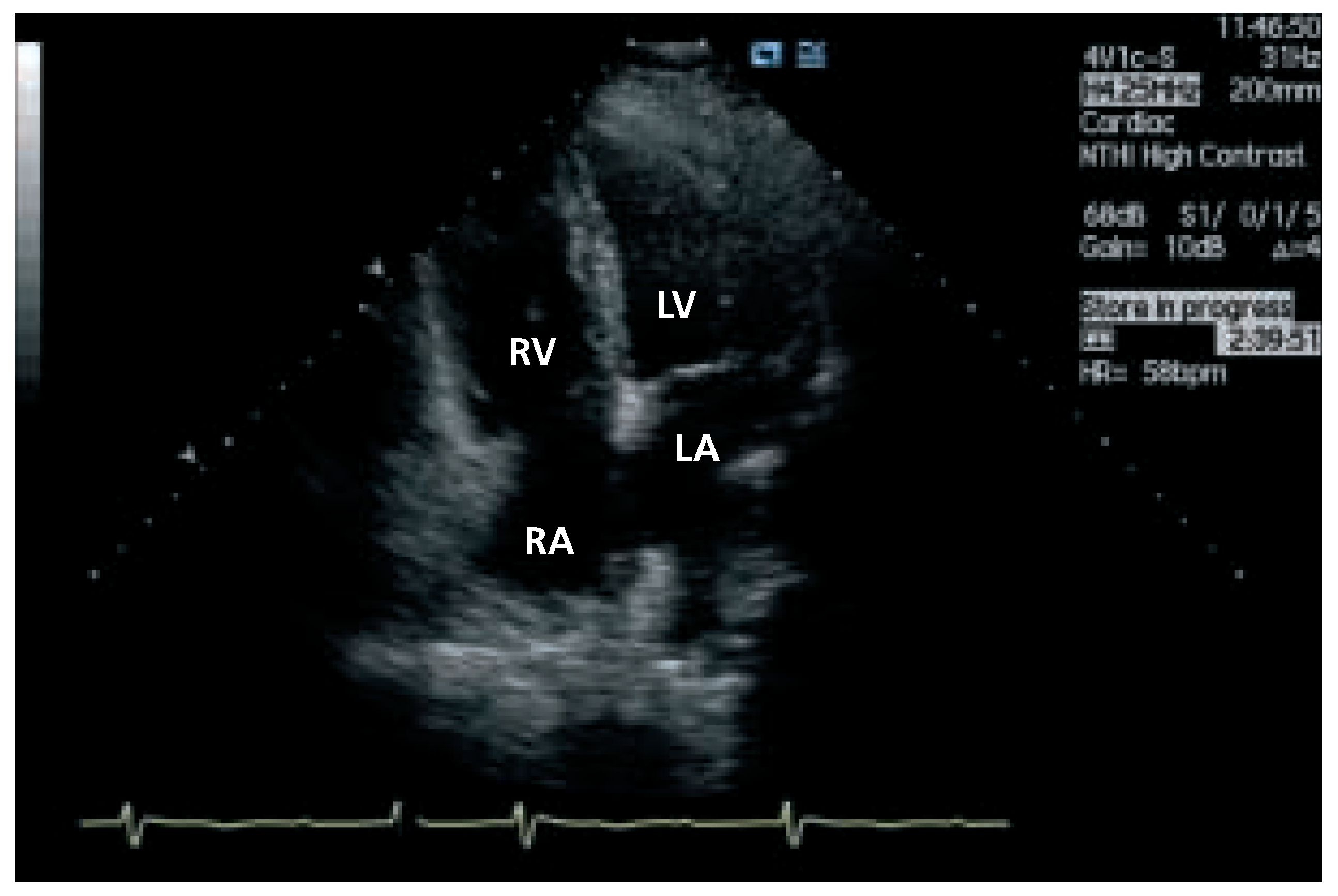
Transthoracic echocardiography (Figure 4 and Figure 5) is not normal and shows right heart overload with dilatation of the right sided cavities, elevated pulmonary artery pressure (estimated systolic pulmonary pressure about 56 mm Hg) and normal sized left ventricle. The reason for the dilatation of the right sided cavities was found in the presence of two secundum atrial septal defects with predominantly left-to-right shunting. Transoesophageal echocardiography was not performed.
The findings are compatible with Holt-Oram syndrome. Holt-Oram syndrome is the prototype of a heart-hand syndrome and was described in 1960 [1]. Holt-Oram syndrome is an autosomal dominant condition accompanied by skeletal abnormalities and congenital heart disease. It occurs in one of every 100 000 life births [2].
Cardiac defects occur in 95% of familial cases. Typical are cardiac defects of the septum including single or multiple atrial septal defects, ventricular septal defects, or atrioventricular-canal defects. Other cardiovascular defects such as hypoplastic left heart syndrome, persistent superior vena cava and mitral valve prolapse have been reported [2]. Conduction system disease as in our patient is also common and can involve sinus bradycardia, atrioventricular block, atrial fibrillation, and sinus-node dysfunction; therefore, permanent pacemaker implantation is frequently needed [3]. The brother of our patient who received a pacemaker had also finger deformities and thus most likely a Holt-Oram syndrome too. Finger and arm anomalies were also reported in other family members.
Bilateral forelimb deformities are common. Skeletal abnormalities include subtle carpal-bone abnormalities to triphalangeal or absent thumbs or frank upper extremity phocomelia [3]. The radial ray is predominantly affected. The severity of skeletal deformities does not parallel the severity of cardiac malformations.
Genetically, in some families, Holt-Oram syndrome can be linked to single-gene mutations in the T-box transcription factor TBX5 [2,4]. Nearly 40 mutations in TBX5 have been found in Holt-Oram syndrome. TBX5 is a member of the Brachyury (T) gene family [2,4]. This gene defined as the TBX5 is located on the long arm of chromosome 12 (12q2). However, Holt-Oram syndrome is genetically heterogeneous. There is another autosomal dominant disorder often causing a secundum ASD and conduction system disease with no skeletal defects due to mutations in the transcription factor NKX2-5 [5].
There can be wide variability in the expression of the phenotype within a family; however, there is 100% penetrance.
To conclude, especially in patients with an atrial septal defect, we have to consider the possibility of a heart-hand syndrome.

References

  1. Holt, M.; Oram, S. Familial heart disease with skeletal malformations. Br Heart J 1960, 22, 236–242. [Google Scholar] [CrossRef] [PubMed]
  2. Mori, D.A.; Bruneau, B.G. TBX5 mutations and congenital heart disease. Holt-Oram syndrome revealed. Curr Opinion Cardiol 2004, 19, 211–215. [Google Scholar] [CrossRef] [PubMed]
  3. Basson, C.T.; Cowley, G.S.; Solomon, S.D.; et al. The clinical and genetic spectrum of the Holt-Oram syndrome (Heart-hand syndrome). N Engl J Med 1994, 330, 885–891. [Google Scholar] [CrossRef] [PubMed]
  4. Basson, C.T.; Solomon, S.D.; Weissman, B.; et al. Genetic heterogeneity of heart-hand syndrome. Circulation 1995, 91, 1326–1329. [Google Scholar] [CrossRef] [PubMed]
  5. Schott, J.J.; Benson, D.W.; Basson, C.T.; et al. Congenital heart disease caused by mutations in the transcription factor NKX2-5. Science 1998, 281, 108. [Google Scholar] [CrossRef] [PubMed]
Figure 1. Deformity of both forearms with triphalangeal thumb on the right side and hypoplasia of both forearms.
Figure 1. Deformity of both forearms with triphalangeal thumb on the right side and hypoplasia of both forearms.
Cardiovascmed 08 00150 g001
Figure 2. Chest X-ray with cardiomegaly and enlarged pulmonary artery on the right side.
Figure 2. Chest X-ray with cardiomegaly and enlarged pulmonary artery on the right side.
Cardiovascmed 08 00150 g002
Figure 3. ECG at rest with sinus bradycardia and pronounced first degree AV block.
Figure 3. ECG at rest with sinus bradycardia and pronounced first degree AV block.
Cardiovascmed 08 00150 g003
Figure 4. Echocardiography: 4 chamber view with enlarged right ventricular size. RA = right atrium; LA = left atrium; RV = right ventricle; LV = left ventricle.
Figure 4. Echocardiography: 4 chamber view with enlarged right ventricular size. RA = right atrium; LA = left atrium; RV = right ventricle; LV = left ventricle.
Cardiovascmed 08 00150 g004
Figure 5. Echocardiography: subcostal view with the 2 secundum atrial septal defects (arrows). RA = right atrium; LA = left atrium.
Figure 5. Echocardiography: subcostal view with the 2 secundum atrial septal defects (arrows). RA = right atrium; LA = left atrium.
Cardiovascmed 08 00150 g005

Share and Cite

MDPI and ACS Style

Jost, C.H.A.; Richter, M.; Schneider, K. A Heart with Holes and Deformed Forearms: Is There a Connection? Cardiovasc. Med. 2005, 8, 150. https://doi.org/10.4414/cvm.2005.01090

AMA Style

Jost CHA, Richter M, Schneider K. A Heart with Holes and Deformed Forearms: Is There a Connection? Cardiovascular Medicine. 2005; 8(4):150. https://doi.org/10.4414/cvm.2005.01090

Chicago/Turabian Style

Jost, Christine H. Attenhofer, Michael Richter, and Kurt Schneider. 2005. "A Heart with Holes and Deformed Forearms: Is There a Connection?" Cardiovascular Medicine 8, no. 4: 150. https://doi.org/10.4414/cvm.2005.01090

APA Style

Jost, C. H. A., Richter, M., & Schneider, K. (2005). A Heart with Holes and Deformed Forearms: Is There a Connection? Cardiovascular Medicine, 8(4), 150. https://doi.org/10.4414/cvm.2005.01090

Article Metrics

Back to TopTop