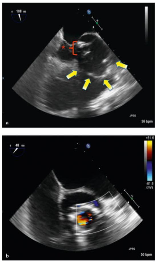
- Editorial
Research Prize of the Swiss Heart Foundation 2017
- Swiss Heart Foundation Research Committee
The Swiss Heart Foundation awards an annual prize of Swiss Francs 20 000 for one or several outstanding publications/accepted manuscripts of scientific research in the field of prevention, diagnosis and/or treatment of cardiovascular diseases [...]

