Next Issue
Volume 18, 03
Previous Issue
Volume 18, 01
 
 
cardiovascmed-logo

Journal Browser

Journal Browser
Cardiovascular Medicine is published by MDPI from Volume 28 Issue 1 (2025). Previous articles were published by another publisher in Open Access under a CC-BY (or CC-BY-NC-ND) licence, and they are hosted by MDPI on mdpi.com as a courtesy and upon agreement with Editores Medicorum Helveticorum (EMH).

Cardiovasc. Med., Volume 18, Issue 2 (02 2015) – 8 articles

  • Issues are regarded as officially published after their release is announced to the table of contents alert mailing list.
  • You may sign up for e-mail alerts to receive table of contents of newly released issues.
  • PDF is the official format for papers published in both, html and pdf forms. To view the papers in pdf format, click on the "PDF Full-text" link, and use the free Adobe Reader to open them.
Order results
Result details
Select all
Export citation of selected articles as:
1 pages, 46 KB  
Communication
Cardiovascular Biology Prize 2015
by Swiss Society of Cardiology
Cardiovasc. Med. 2015, 18(2), 70; https://doi.org/10.4414/cvm.2015.00316 - 18 Feb 2015
Viewed by 105
Abstract
An Official Scientific Prize of the Swiss Society of Cardiology [...] Full article
2 pages, 194 KB  
Interesting Images
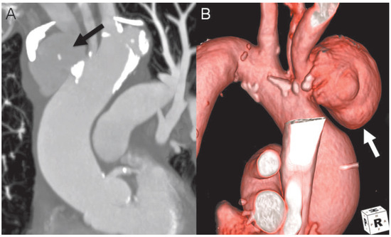
Simple Repair Technique for Rupture of the Brachiocephalic Trunk
by Grzegorz Zuk, Jens Bremerich, Friedrich Eckstein and Peter Matt
Cardiovasc. Med. 2015, 18(2), 68; https://doi.org/10.4414/cvm.2015.00320 - 18 Feb 2015
Viewed by 131
Abstract
A 79–year-old woman with chronic obstructive pulmonary disease and history of severe arterial hypertension was admitted to our hospital due to recurrent chest discomfort and dyspnea [...] Full article
Show Figures

Figure 1

10 pages, 438 KB  
Review
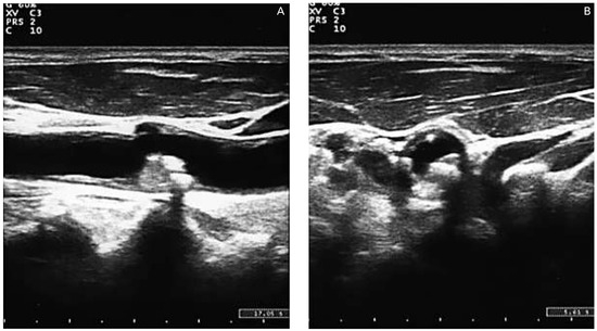
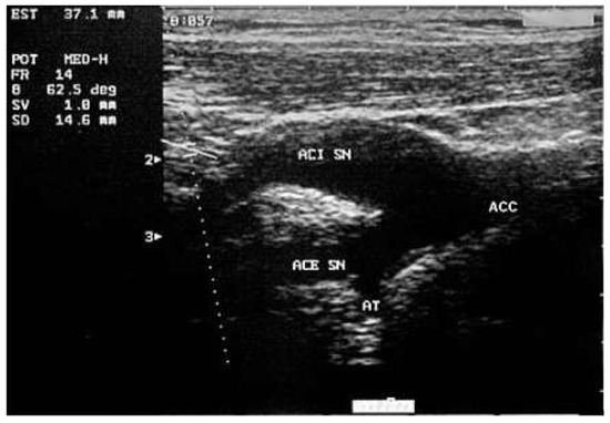
Carotid Ultrasonography in the Assessment of Cardiovascular Risk
by Aldo Pende, Nathan Artom, Giovanni Pistocchi, Livia Pisciotta and Franco Dallegri
Cardiovasc. Med. 2015, 18(2), 61; https://doi.org/10.4414/cvm.2015.00309 - 18 Feb 2015
Viewed by 305
Abstract
Carotid ultrasound is one of the most accessible examinations in daily clinical practice for the evaluation of the arterial status. However, the clinical implications of the presence, the extension and the morphology of carotid damage are not entirely clear. Aim of this narrative [...] Read more.
Carotid ultrasound is one of the most accessible examinations in daily clinical practice for the evaluation of the arterial status. However, the clinical implications of the presence, the extension and the morphology of carotid damage are not entirely clear. Aim of this narrative review is to discuss the role of carotid ultrasound in the assessment of cardiovascular risk through the examination of the updated evidence in the literature. We describe the technical aspects of the procedure and the possible correlations between the imaging results and the assessment of the cardiovascular risk. Some insights about new, more sophisticated techniques for carotid evaluation, such as carotid three-dimensional and contrast-enhanced ultrasound, are also presented. Full article
Show Figures

Figure 1

11 pages, 343 KB  
Review
Biomarker des Lipoproteinstoffwechsels
by Arnold von Eckardstein
Cardiovasc. Med. 2015, 18(2), 53; https://doi.org/10.4414/cvm.2015.00297 - 18 Feb 2015
Viewed by 112
Abstract
Biomarkers of lipoprotein metabolism: The lipid status (total, HDL and LDL cholesterol [HDL-C and LDL-C], as well as triglycerides) is a key tool in estimating cardiovascular risk and defining indications and target values for lipid-lowering treatments. Due to the inaccuracy and method-dependency [...] Read more.
Biomarkers of lipoprotein metabolism: The lipid status (total, HDL and LDL cholesterol [HDL-C and LDL-C], as well as triglycerides) is a key tool in estimating cardiovascular risk and defining indications and target values for lipid-lowering treatments. Due to the inaccuracy and method-dependency of HDL-C and LDL-C measurements, varying risk categories are determined for up to 20% of the population, depending upon the method used. Replacing HDL-C and LDL-C with apolipoproteins (apo) A-I and B does not significantly improve the prediction of either cardiovascular risk or therapy success. Taking into account LDL and HDL subclasses does not improve risk prediction either. HDL and LDL particle numbers (HDL-P, LDL-P) exhibit better prediction potential. Combining LDL-C with ApoB, non-HDL-C, or LDL-P seems to improve risk prediction, whereby measuring non-HDL-C in addition is most cost-effective. The functionality of HDL is an interesting concept for the discovery of new HDL biomarkers. The bioassays used help in discovering proteins and lipids, as well as their modifications, which can be employed in developing standardised quantitative assays that must be validated clinically and epidemiologically. Despite pathogenic relevance, lipoprotein(a) (Lp[a]) only marginally improves risk stratification using standard risk factors. The cut-off is also disputed: 300 mg/L vs 500 mg/L (= 80th percentiles) according to standard and more recent recommendations, respectively. The activity and concentration of lipoprotein-associated phospholipase A2 (LpPLA2) constitute relevant risk factors for athero sclerosis. Nonetheless, too little research has been conducted as to whether LpPLA2 improves risk prediction as compared to standard risk factors. Routine LpPLA2 measurement thus appears inappropriate. The increased clinical use of Lp(a) and LpPLA2 assays depends upon the effectiveness of new therapies directed against these proteins. Full article
12 pages, 349 KB  
Review
Cardiovascular Risk Factors: A Critical Issue of Preventive Cardiology
by Federico Carbone and Fabrizio Montecucco
Cardiovasc. Med. 2015, 18(2), 45; https://doi.org/10.4414/cvm.2015.00283 - 18 Feb 2015
Viewed by 142
Abstract
In the last decades, relevant financial investments in cardiovascular research have been made to reduce acute ischaemic cardiovascular diseases (CVD), which still represent the first cause of mortality worldwide. The assessment of a “global” cardiovascular (CV) risk combining different risk factors has been [...] Read more.
In the last decades, relevant financial investments in cardiovascular research have been made to reduce acute ischaemic cardiovascular diseases (CVD), which still represent the first cause of mortality worldwide. The assessment of a “global” cardiovascular (CV) risk combining different risk factors has been suggested by inter national guidelines that regularly update Score Charts. However, all available algorithms lose predictive power in clinical translation mainly because patient-tailored information is included in models mainly based on high-risk populations. Therefore, the assessment of CV risk in the general population using available scores might present some intrinsic limitations. Furthermore, the knowledge of pathophysiological processes underlying atherogenesis and atherosclerotic plaque vulnerability is constantly evolving. Thus, all available predictive models based on traditional risk factors (i.e., age, smoking, gender, blood pressure and lipid profile) might not appropriately consider the pathophysiological relevance of soluble pro-atherosclerotic biomarkers, such as pro-atherosclerotic mediators. These limitations might confer to the physician a quite arbitrary role in the decision-making process to prevent acute cardiovascular diseases in patients at low/moderate CV risk. This narrative review aims at reporting and discussing the most recent European and American guidelines to assess cardio vascular risk. An update on novel and promising CV risk factors was also performed. Full article
6 pages, 553 KB  
Editorial
Cavete Collegae
by Thomas F. Lüscher
Cardiovasc. Med. 2015, 18(2), 40; https://doi.org/10.4414/cvm.2015.00233 - 18 Feb 2015
Viewed by 102
Abstract
So will man nicht jeden nennen – ja, die Anrede ist eine Auszeichnung: Collega, lateinisch für Amtsge­nosse oder Mitabgeortneter, wie der Duden weiss [...] Full article
Show Figures

Figure 1

2 pages, 213 KB  
Editorial
La Prévention Cardiovasculaire: Un défi Au-Delà de la Cardiologie
by Philippe Meyer
Cardiovasc. Med. 2015, 18(2), 38; https://doi.org/10.4414/cvm.2015.00318 - 18 Feb 2015
Viewed by 115
Abstract
Malgré les progrès thérapeutiques spectaculaires accomplis ces dernières décennies, les maladies cardiovasculaires restent la première cause de mortalité dans le monde [...] Full article
Show Figures

Figure 1

1 pages, 48 KB  
Communication
Otto Hess Trainee Award 2015 of the Swiss Society of Cardiology
by Hans Rickli and Urs Kaufmann
Cardiovasc. Med. 2015, 18(2), 315; https://doi.org/10.4414/cvm.2015.00315 - 18 Feb 2015
Viewed by 96
Abstract
The Swiss Society of Cardiology (SSC) has created the Otto Hess Trainee Award to recognize and support trainees in cardiology, who have made a significant contribution to research in the field of cardiology at an early stage of their career [...] Full article
Previous Issue
Next Issue
Back to TopTop