Next Issue
Volume 18, 04
Previous Issue
Volume 18, 02
 
 
cardiovascmed-logo

Journal Browser

Journal Browser
Cardiovascular Medicine is published by MDPI from Volume 28 Issue 1 (2025). Previous articles were published by another publisher in Open Access under a CC-BY (or CC-BY-NC-ND) licence, and they are hosted by MDPI on mdpi.com as a courtesy and upon agreement with Editores Medicorum Helveticorum (EMH).

Cardiovasc. Med., Volume 18, Issue 3 (03 2015) – 9 articles

  • Issues are regarded as officially published after their release is announced to the table of contents alert mailing list.
  • You may sign up for e-mail alerts to receive table of contents of newly released issues.
  • PDF is the official format for papers published in both, html and pdf forms. To view the papers in pdf format, click on the "PDF Full-text" link, and use the free Adobe Reader to open them.
Order results
Result details
Select all
Export citation of selected articles as:
7 pages, 208 KB  
Article
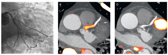
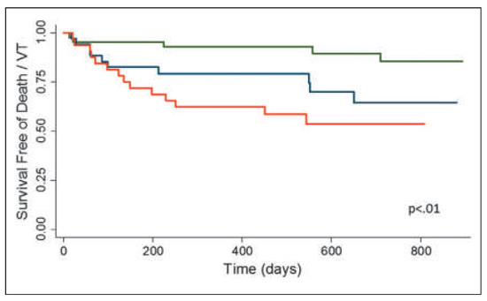
Outcome After Simultaneous PCI and Left Atrial Appendage Occlusion
by Dezsö Körmendy, Thomas Pilgrim, Cédric Pulver, Samera Shakir, Thomas Zanchin, Steffen Gloekler, Fabian Nietlispach, Julie Rat-Wirtzler, Aris Moschovitis, Ahmed A. Khattab, Stefan Stortecky, Lutz Büllesfeld, Lorenz Räber, Peter Wenaweser, Stephan Windecker and Bernhard Meier
Cardiovasc. Med. 2015, 18(3), 96; https://doi.org/10.4414/cvm.2015.00300 - 18 Mar 2015
Viewed by 44
Abstract
Aims: To investigate feasibility and safety of concomitant percutaneous coronary intervention (PCI) and left atrial appendage occlusion (LAAO) as compared to PCI in combination with antithrombotic treatment in patients with coronary artery disease and nonvalvular atrial fibrillation (AF). Methods and results: [...] Read more.
Aims: To investigate feasibility and safety of concomitant percutaneous coronary intervention (PCI) and left atrial appendage occlusion (LAAO) as compared to PCI in combination with antithrombotic treatment in patients with coronary artery disease and nonvalvular atrial fibrillation (AF). Methods and results: Patients with AF undergoing concomitant PCI with drug-eluting stents (DES) and LAAO with dedicated devices were consecutively entered into a prospective single-centre registry and were compared to AF patients from the Bern DES registry treated with different antithrombotic strategies. Among 379 patients with AF, 56 patients were treated with concomitant PCI and LAAO, 268 patients were treated with PCI and dual therapy (DT), and 55 patients were started on triple antithrombotic therapy (TT). Clinical follow-up was assessed by standardised telephone interviews. Patients with PCI + LAAO were older (76 ± 7 years) as compared to patients with PCI + DT (72 ± 9 years) or PCI + TT (73 ± 8 years) (p <0.01). They more commonly had a history of cerebrovascular events (31% vs 10% vs 16%, p <0.001). CHA2DS2-vasc scores amounted to 3.5 ± 2.2, 3.6 ± 1.3, and 4.2 ± 1.3 among patients with PCI + LAAO, PCI + DT, and PCI + TT, respectively (p = 0.03). At 30 days, the composite of all-cause death, myocardial infarction, ischemic stroke, or BARC bleeding type 3–5 was documented in 12.5% of patients undergoing PCI + LAAO, 8.2% in patients with PCI + DT, and 9.2% in patients with PCI + TT, with no significant differences between groups in an age-adjusted analysis (PCI + DT being the reference; PCI + LAAO: HR 1.27 (95% CI 0.54–2.99), p = 0.58; PCI + TT (1.19 [95% CI 0.49–2.92], p = 0.70). Two patients (3.6%) with PCI + LAAO suffered a periprocedural stroke, and 5 patients (8.9%) were recorded to have bleeding BARC type 3a or 3b. At 1 year, all-cause mortality in patients with PCI + DT, amounted to, 6.7% (reference). It was 6.3% (HR 0.51, 95%CI 0.12– 2.20, p = 0.36) and 18.2% (HR 2.89, 95% CI 1.33–6.26, p <0.01) in PCI + LAAO and PCI + TT, respectively. There was no difference with regards to the composite of all-cause death, myocardial infarction, ischaemic stroke, or bleeding (BARC type 3–5) (PCI + DT being the reference; PCI + LAAO: HR 1.17 (95% CI 0.56–2.45), p = 0.67; PCI + TT (1.68 [95% CI 0.89–3.15], p = 0.11). Conclusion: PCI with concomitant LAAO is a feasible alternative to combined anti-platelet and anti-thrombotic management in patients with CAD and AF. Longer-term follow-up will be needed to demonstrate efficacy. Full article
Show Figures

Figure 1

13 pages, 729 KB  
Review
Contributions of Cardiac PET/CT to Better Assess the Cardiovascular Risk
by Ines Valenta, Alessandra Quercioli and Thomas H. Schindler
Cardiovasc. Med. 2015, 18(3), 83; https://doi.org/10.4414/cvm.2015.00303 (registering DOI) - 18 Mar 2015
Viewed by 51
Abstract
Imaging of myocardial perfusion with SPECT, SPECT/CT and PET/CT is widely used for the detection of flow-limiting epicardial lesions and risk stratification of patients with suspected or known CAD. While regional reductions in radiotracer uptake during stress as compared to rest identify flow-limiting [...] Read more.
Imaging of myocardial perfusion with SPECT, SPECT/CT and PET/CT is widely used for the detection of flow-limiting epicardial lesions and risk stratification of patients with suspected or known CAD. While regional reductions in radiotracer uptake during stress as compared to rest identify flow-limiting effects of the most advanced focal epicardial lesions, the haemodynamic significance of less severe obstructive CAD lesions in multivessel disease or the presence of subclinical and nonobstructive CAD may be missed. The concurrent ability of PET/CT to determine regional myocardial blood flow (MBF) in ml/g/min at rest and during pharmacologically induced hyperaemic flows allows the calculation of the myocardial flow reserve (MFR). Adding the hyperaemic MBF and MFR to the conventional visual analysis of myocardial perfusion (1.) signifies reductions in coronary vasodilator capacity, as functional precursor of the CAD process, and determines its response to preventive medical intervention, (2.) provides important prognostic information in subclinical – and clinically manifest CAD, as well as in cardiomyopathy, (3.) improves the identification and characterisation of the extent and severity of CAD burden; and (4.) contributes to denote the flow-limiting effect of single lesions in multivessel CAD. The diagnostic scope of PET/CT, however, extends beyond myocardial flow to the identification of hibernating stunning myocardium in ischaemic cardiomyopathy, cardiac sarcoid involvement, and inflammatory coronary plaque burden. It is anticipated that with the advent of PET/MRI (magnetic resonance imaging) further advances and refinement in the comprehensive assessment of cardiovascular pathology will ensue. Full article
Show Figures

Figure 1

8 pages, 499 KB  
Review
The Coronary Calcium Score for Risk Prediction
by Raimund Erbel, Amir A Mahabadi and Hagen Kälsch
Cardiovasc. Med. 2015, 18(3), 75; https://doi.org/10.4414/cvm.2015.00310 - 18 Mar 2015
Viewed by 72
Abstract
Sudden cardiac death belongs to the acute coronary syndromes, beside unstable angina and myocardial infarction. Today, 60%–80% of deaths due to myocardial infarction still occur outside the hospital. In order to detect individuals prone to such events, risk scores have been developed, including [...] Read more.
Sudden cardiac death belongs to the acute coronary syndromes, beside unstable angina and myocardial infarction. Today, 60%–80% of deaths due to myocardial infarction still occur outside the hospital. In order to detect individuals prone to such events, risk scores have been developed, including the Heart Score of the European Society of Cardiology. Drawbacks of all current risk scores are, however, the exclusion of signs of atherosclerosis, the underlying aetiology of plaque rupture and erosion leading to sudden death. Computed tomography is an ideal imaging tool, which is able to detect, to localise and to quantify calcified and noncalcified plaques in coronary vessels. The amount of calcium is related to coronary and cardiovascular risk, as well as all-cause mortality. The use of calcium-score risk prediction can eliminate a big problem of the current risk factors, because the lifetime exposure to risk factors, including genetic and heritable features, has an important influence on atherosclerosis. Individual, meaning personalised, management is provided. Plaque burden indicates the degree of risk, which is what matters most. Full article
Show Figures

Figure 1

2 pages, 61 KB  
Editorial
Score Calcique et PET/CT
by René Nkoulou
Cardiovasc. Med. 2015, 18(3), 73; https://doi.org/10.4414/cvm.2015.00319 - 18 Mar 2015
Viewed by 50
Abstract
Les maladies cardiovasculaires sont marquées par la progression lente durant plusieurs décennies de l’athérosclérose avec l’apparition tardive de symptômes lies à l’obstruction aiguë ou chronique des axes vasculaires [...] Full article
1 pages, 274 KB  
Editorial
Announcement of the 4th European Live Summit on Retrograde CTO Revascularization
by Alfredo R. Galassi, Thomas F. Luescher and George Sianos
Cardiovasc. Med. 2015, 18(3), 112; https://doi.org/10.4414/cvm.2015.00329 - 18 Mar 2015
Viewed by 56
Abstract
At least every tenth patient undergoing a percutaneous coronary intervention (PCI) presents with one or more chronically occluded coronary arteries (CTO) [...] Full article
4 pages, 52 KB  
Reply
Reply to the Letter of Mikael Rabaeus
by Patrick Siegrist and Satoru Sumitsuji
Cardiovasc. Med. 2015, 18(3), 111r; https://doi.org/10.4414/cvm.2015.00325 - 18 Mar 2015
Viewed by 14
Abstract
We t hank Dr Rabaeus for his interest i n our article and wish to respond to the issues he has raised [...] Full article
1 pages, 45 KB  
Letter
Re: “Chronic Total Occlusion: Current Methods of Revascularisation” by Patrick T. Siegrist and Satoru Sumitsuji (Cardiovascular Medicine. 2014;17(12):347–356)
by Mikael Rabaeus
Cardiovasc. Med. 2015, 18(3), 111; https://doi.org/10.4414/cvm.2015.00324 - 18 Mar 2015
Viewed by 62
Abstract
I think a few comments regarding this article [...] Full article
4 pages, 1107 KB  
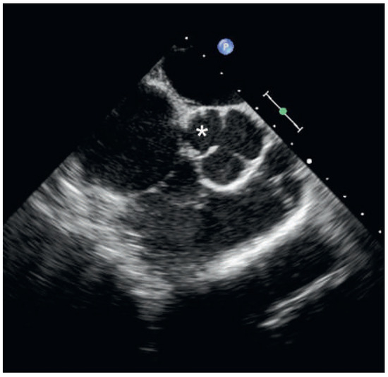
Interesting Images
Infarct or Pericarditis?
by Sebastian Rogowski, Flurina Arquint, Hans Rickli, Niklas F. Ehl and Micha T. Maeder
Cardiovasc. Med. 2015, 18(3), 107; https://doi.org/10.4414/cvm.2015.00314 - 18 Mar 2015
Viewed by 53
Abstract
A 56-year-old man was referred at 5 a.m. with severe central chest pain radiating into the left arm, which had awoken him from sleep one hour previously [...] Full article
Show Figures

Figure 1

4 pages, 409 KB  
Case Report
Radiofrequency Ablation of Atrial Tachycardia from ''No-Man's Land"
by Nikola Pavlović, Sven Knecht, Aline Mühl, Tobias Reichlin, Beat Schaer, Stefan Osswald, Christian Sticherling and Michael Kühne
Cardiovasc. Med. 2015, 18(3), 103; https://doi.org/10.4414/cvm.2015.00322 (registering DOI) - 18 Mar 2015
Viewed by 60
Abstract
Atrial tachycardias can originate from almost any part of the atria, with a predilection for certain anatomical structures. Tachycardias originating from the peri-atrioventricular nodal region are rare, and can be challenging to ablate owing to the potential risk of atrioventricular block. We describe [...] Read more.
Atrial tachycardias can originate from almost any part of the atria, with a predilection for certain anatomical structures. Tachycardias originating from the peri-atrioventricular nodal region are rare, and can be challenging to ablate owing to the potential risk of atrioventricular block. We describe a patient with peri-nodal atrial tachycardia that was successfully ablated from the non-coronary aortic cusp. Full article
Show Figures

Figure 1

Previous Issue
Next Issue
Back to TopTop