- Interesting Images
A Tachycardia with QRS Duration Narrower Than That During Sinus Rhythm
- Danielle Zaugg Longchamp and
- Etienne Pruvot
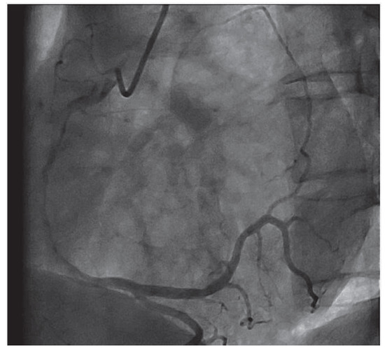
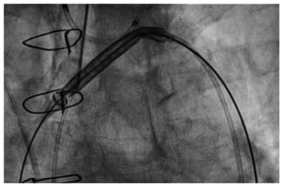
An 83-year-old man with ischaemic heart disease and a triple bypass in 2007 presented to the emergency department with increasing shortness of breath and weight gain of 5 kg over one month [...]

