Next Issue
Volume 15, 10
Previous Issue
Volume 15, 08
 
 
cardiovascmed-logo

Journal Browser

Journal Browser
Cardiovascular Medicine is published by MDPI from Volume 28 Issue 1 (2025). Previous articles were published by another publisher in Open Access under a CC-BY (or CC-BY-NC-ND) licence, and they are hosted by MDPI on mdpi.com as a courtesy and upon agreement with Editores Medicorum Helveticorum (EMH).

Cardiovasc. Med., Volume 15, Issue 9 (09 2012) – 9 articles

  • Issues are regarded as officially published after their release is announced to the table of contents alert mailing list.
  • You may sign up for e-mail alerts to receive table of contents of newly released issues.
  • PDF is the official format for papers published in both, html and pdf forms. To view the papers in pdf format, click on the "PDF Full-text" link, and use the free Adobe Reader to open them.
Order results
Result details
Select all
Export citation of selected articles as:
1 pages, 614 KB  
Communication
Cardiology Update 2013 Feiert das 20. Jubiläum. Davos, 10.–15. Februar 2013
by Ruth Amstein
Cardiovasc. Med. 2012, 15(9), 268; https://doi.org/10.4414/cvm.2012.01696 - 26 Sep 2012
Viewed by 108
Abstract
Cardiology Update feiert im nächsten Februar in Davos sein 20. Jubiläum mit einem hochaktuellen Programm sowie einem neuen Tagesablauf, der den Compliance- Anforderungen und Richtlinien der SAMW an wissenschaftliche Kongresse entspricht. Der Kongress richtet sich an Fachärzte der Kardiologie und Inneren Medizin und [...] Read more.
Cardiology Update feiert im nächsten Februar in Davos sein 20. Jubiläum mit einem hochaktuellen Programm sowie einem neuen Tagesablauf, der den Compliance- Anforderungen und Richtlinien der SAMW an wissenschaftliche Kongresse entspricht. Der Kongress richtet sich an Fachärzte der Kardiologie und Inneren Medizin und bietet i n einem intensiven Wochenprogramm einen Überblick über neueste Entwicklungen und Trends auf allen wichtigen Gebieten der Kardiologie, angefangen bei den Risikofaktoren, i hrer Prävention, hin zur koronaren Herzkrankheit, dem akuten Koronarsyndrom und Revaskularisationsstrategien bis zu neuen perkutanen Klappeninterventionen, neuen diagnostischen Imaging-Methoden, Arrhythmien, Herzinsuffizienz und der Stammzelltherapie. Hochkarätige Referenten und Meinungsbildner aus Europa und Nordamerika sprechen über die neuesten Erkenntnisse aus der klinischen Forschung sowie Innovationen in der medikamentösen und interventionellen Therapie [...] Full article
2 pages, 778 KB  
Interesting Images
« Bizarre…You Said Bizarre…»
by Marc Zimmermann
Cardiovasc. Med. 2012, 15(9), 266; https://doi.org/10.4414/cvm.2012.01690 - 26 Sep 2012
Viewed by 110
Abstract
A 76-year-old male patient was admitted to the emergency room for dyspnoea, cyanosis and chest discomfort [...] Full article
Show Figures

Figure 1

3 pages, 1010 KB  
Interesting Images
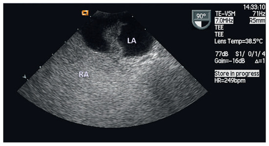
Bachmann Bundle Block Occurring During Radiofrequency Ablation at the Inter-Atrial Septum
by Fabio Rigamonti and Dipen Shah
Cardiovasc. Med. 2012, 15(9), 263; https://doi.org/10.4414/cvm.2012.01689 - 26 Sep 2012
Cited by 1 | Viewed by 255
Abstract
A 69-year-old woman was admitted for an elective radiofrequency ablation (RFA) of symptomatic paroxysmal atrial fibrillation, without concomitant structural heart disease except for mild left atrial dilatation [...] Full article
Show Figures

Figure 1

2 pages, 771 KB  
Interesting Images
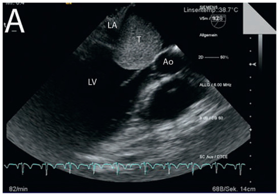
Dyspnoea and Impaired Ventricular Filling Due to Infiltration of the Left Atrium with a Lung Adenocarcinoma
by Federico Moccetti, Björn Müller-Edenborn, Walter Weder and Urs Eriksson
Cardiovasc. Med. 2012, 15(9), 261; https://doi.org/10.4414/cvm.2012.01691 - 26 Sep 2012
Viewed by 125
Abstract
A 59-year-old patient without a history of heart failure complained of progressive dyspnoea of two weeks’ duration [...] Full article
Show Figures

Figure 1

3 pages, 579 KB  
Case Report
Waiting for Evidence Seems to Make Sense—Except for the One Providing the Evidence
by Thomas Pilgrim, Rolf Vogel and Bernhard Meier
Cardiovasc. Med. 2012, 15(9), 258; https://doi.org/10.4414/cvm.2012.01697 - 26 Sep 2012
Viewed by 130
Abstract
A 58-year-old male presented with a history of two prior transient ischaemic attacks and was found to have a patent foramen ovale (PFO) in the absence of atrial fibrillation or relevant carotid atheromatosis. PFO closure was deferred at this stage due to the [...] Read more.
A 58-year-old male presented with a history of two prior transient ischaemic attacks and was found to have a patent foramen ovale (PFO) in the absence of atrial fibrillation or relevant carotid atheromatosis. PFO closure was deferred at this stage due to the lack of clinical evidence. Three years later the patient was re-admitted after a major stroke with residual symptoms and finally underwent PFO closure in a minimally invasive procedure using an Amplatzer PFO Occluder. Full article
Show Figures

Figure 1

2 pages, 526 KB  
Case Report
Does Hyperthyroidism Cause Coronary Vasospasms?
by Stefan Toggweiler and Ronald G. Carere
Cardiovasc. Med. 2012, 15(9), 256; https://doi.org/10.4414/cvm.2012.01694 - 26 Sep 2012
Viewed by 188
Abstract
We report a 62-year-old women with atypical chest pain who had catheter-induced vasospasms during which she experienced the same type of chest pain she had before hospital admission. In addition, she was found to have hyperthyroidism and was discharged on methamizole and a [...] Read more.
We report a 62-year-old women with atypical chest pain who had catheter-induced vasospasms during which she experienced the same type of chest pain she had before hospital admission. In addition, she was found to have hyperthyroidism and was discharged on methamizole and a beta blocker. Within a few weeks, TSH, fT3, and fT4 normalised, and she did not have recurrent chest pain. Summarising our case report and the existing literature, it appears likely that hyperthyroidism causes coronary vasospasms at least in a subset of patients and therefore, we believe that hyperthyroidism should be ruled out in patients with chest pain that is thought to be secondary to vasospasms. Full article
Show Figures

Figure 1

3 pages, 781 KB  
Case Report
Triple Percutaneous Patent Foramen Ovale Closure
by Fabien Praz, Andreas Wahl and Bernhard Meier
Cardiovasc. Med. 2012, 15(9), 253; https://doi.org/10.4414/cvm.2012.01692 - 26 Sep 2012
Viewed by 113
Abstract
Percutaneous patent foramen ovale (PFO) closure is mainly performed for secondary prevention of presumed paradoxical embolism. Since a residual shunt has been associated with recurrent events, complete PFO closure is desirable. We report the first case of ultimately successful percutaneous PFO closure using [...] Read more.
Percutaneous patent foramen ovale (PFO) closure is mainly performed for secondary prevention of presumed paradoxical embolism. Since a residual shunt has been associated with recurrent events, complete PFO closure is desirable. We report the first case of ultimately successful percutaneous PFO closure using successively 3 Amplatzer PFO devices. Full article
Show Figures

Figure 1

8 pages, 879 KB  
Editorial
Transcatheter Prosthetic Paravalvular Leak Closure
by Stéphane Noble, Arsène Basmadjian and Réda Ibrahim
Cardiovasc. Med. 2012, 15(9), 245; https://doi.org/10.4414/cvm.2012.01695 - 26 Sep 2012
Cited by 9 | Viewed by 303
Abstract
Paravalvular leak affects up to 27% of all prosthetic heart valves implanted by conventional surgery. Patients with paravalvular regurgitation can be asymptomatic or may present with symptoms of congestive heart failure and/or haemolytic anaemia. Assessment and quantification of these paravalvular leaks are difficult [...] Read more.
Paravalvular leak affects up to 27% of all prosthetic heart valves implanted by conventional surgery. Patients with paravalvular regurgitation can be asymptomatic or may present with symptoms of congestive heart failure and/or haemolytic anaemia. Assessment and quantification of these paravalvular leaks are difficult since transthoracic c olour flow Doppler images may be obscured by annular calcifications and prosthetic material. Surgical re-intervention is the conventional treatment of choice for severe cases but is associated with significant morbidity and mortality, and is not always successful because of underlying tissue fragility. Over the last decade, transcatheter treatment of paravalvular leaks has emerged as an attractive alternative to surgery for high-risk patients and is now favoured as the initial approach in some experienced centres. Transcatheter repair is technically feasible in 60 to 90% of cases according to different published series. Technical success is associated with clinical improvement in 50 to 90% of the cases. Full article
Show Figures

Figure 1

2 pages, 455 KB  
Editorial
Bureaucracy and Medicine, an Unholy Marriage
by Giuseppe Cocco
Cardiovasc. Med. 2012, 15(9), 243; https://doi.org/10.4414/cvm.2012.01693 - 26 Sep 2012
Cited by 1 | Viewed by 134
Abstract
It is said that every people has the Government it deserves [...] Full article
Previous Issue
Next Issue
Back to TopTop