Next Issue
Volume 15, 12
Previous Issue
Volume 15, 10
 
 
cardiovascmed-logo

Journal Browser

Journal Browser
Cardiovascular Medicine is published by MDPI from Volume 28 Issue 1 (2025). Previous articles were published by another publisher in Open Access under a CC-BY (or CC-BY-NC-ND) licence, and they are hosted by MDPI on mdpi.com as a courtesy and upon agreement with Editores Medicorum Helveticorum (EMH).

Cardiovasc. Med., Volume 15, Issue 11 (11 2012) – 5 articles

  • Issues are regarded as officially published after their release is announced to the table of contents alert mailing list.
  • You may sign up for e-mail alerts to receive table of contents of newly released issues.
  • PDF is the official format for papers published in both, html and pdf forms. To view the papers in pdf format, click on the "PDF Full-text" link, and use the free Adobe Reader to open them.
Order results
Result details
Select all
Export citation of selected articles as:
1 pages, 221 KB  
Communication
Swiss Society of Cardiology and Swiss Society of Cardiac and Vascular Thoracic Surgery Award Ceremony 2012
by Hans Rickli and Mirjam Rüdiger
Cardiovasc. Med. 2012, 15(11), 333; https://doi.org/10.4414/cvm.2012.00117 - 21 Nov 2012
Viewed by 123
Abstract
At the joint annual meeting of the Swiss Society of Cardiology (SSC) and the Swiss Society of Cardiac and Vascular Thoracic Surgery, numerous prizes were awarded [...] Full article
Show Figures

Figure 1

2 pages, 525 KB  
Interesting Images
A Dangerous Spike: Cause or Coincidence?
by Julija Klimusina and Andrea Menafoglio
Cardiovasc. Med. 2012, 15(11), 331; https://doi.org/10.4414/cvm.2012.00122 - 21 Nov 2012
Viewed by 123
Abstract
A 62-year-old male was admitted to hospital because of cardiac arrest. [...] Full article
Show Figures

Figure 1

2 pages, 1687 KB  
Interesting Images
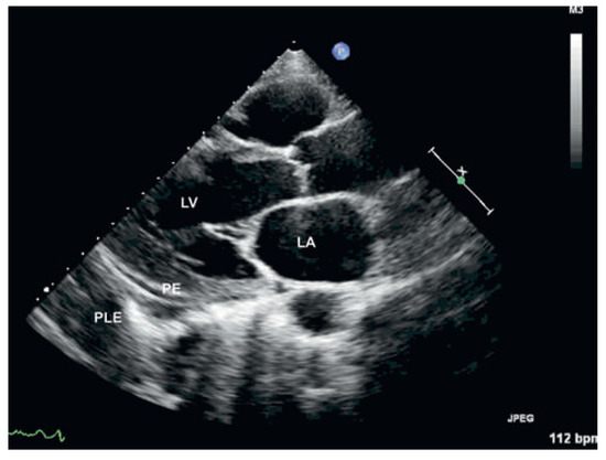
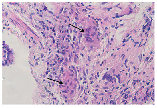
Heart Failure in a Patient with Multi-Organ Sarcoidosis
by Marc Buser, Theresa Dellas Buser, Jens Bremerich and Daniel Tobler
Cardiovasc. Med. 2012, 15(11), 329; https://doi.org/10.4414/cvm.2012.00124 - 21 Nov 2012
Viewed by 147
Abstract
A 53-year-old woman was admitted to our emergency department with progressive shortness of breath during exertion for three months. [...] Full article
Show Figures

Figure 1

4 pages, 1887 KB  
Case Report
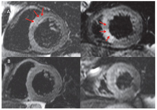
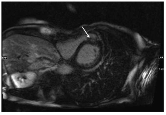
Left Ventricular Apical Ballooning Syndrome with Extensive Myocardial Late Gadolinium Enhancement: Tako-Tsubo Cardiomyopathy, Perhaps Not as Benign as Previously Thought?
by Vincent Gabus, Juerg Schwitter, Eric Eeckhout and Didier Locca
Cardiovasc. Med. 2012, 15(11), 325; https://doi.org/10.4414/cvm.2012.00120 - 21 Nov 2012
Viewed by 148
Abstract
Aim: In patients meeting the criteria for LV apical ballooning syndrome, CMR typically identifies myocardial oedema without Late Gadolinium Enhancement (LGE). However, LGE does not exclude LV apical ballooning syndrome and small necrotic areas can be seen in the acute setting resolving [...] Read more.
Aim: In patients meeting the criteria for LV apical ballooning syndrome, CMR typically identifies myocardial oedema without Late Gadolinium Enhancement (LGE). However, LGE does not exclude LV apical ballooning syndrome and small necrotic areas can be seen in the acute setting resolving at follow-up. Results: We describe the case of a 61 year-old woman admitted with a 2 h history of retrosternal chest pain. ECG demonstrated Q waves and dynamic ST segment elevation. Cardiac enzymes on admission were elevated. Coronary angiography showed unobstructed coronary arteries. Left ventriculography showed apical ballooning. Cardiac Magnetic Resonance (CMR) revealed antero-septal and anterior akinesia. Myocardial oedema was seen in the septal wall. Late gadolinium enhancement (LGE) was seen in the same territory indicating the presence of necrosis. A follow up CMR scan was performed at 3 months showing a complete resolution of the septal oedema. However, on LGE sequences there was evidence of persistent extensive fibrotic scar located in the septal wall. The size of this fibrotic scar was 20% bigger than on the previous scan. Conclusions: Detection and quantification of a scar is important, as scar tissue on LGE images has been described as a predictor of major adverse cardiac events. Therefore, this case suggests that the spectrum of Tako-tsubo cardiomyopathy may include a more severe variant than previously described. CMR examinations could serve as a useful means to identify severe cases and predict potential complications of this pathology as well as to drive therapeutic decisions. Full article
Show Figures

Figure 1

8 pages, 596 KB  
Article
Early Versus Late Initial Echocardiographic Assessment in Infective Endocarditis: Similar Findings and No Difference in Clinical Outcome
by Nicole R. Bonetti, Mehdi Namdar, Huldrych F. Guenthard, Christiane Gruner, Matthias Greutmann, Jan Steffel, David Huerlimann, Christian Ruef, Felix C. Tanner, Rolf Jenni and Patric Biaggi
Cardiovasc. Med. 2012, 15(11), 317; https://doi.org/10.4414/cvm.2012.00115 - 21 Nov 2012
Cited by 1 | Viewed by 145
Abstract
Background: The optimal timing of the initial echocardiographic assessment and the influence of microorganisms on echocardiographic findings in patients with infective endocarditis (IE) are not well studied. Methods: In 274 patients with IE, we studied the impact of antibiotic treatment duration [...] Read more.
Background: The optimal timing of the initial echocardiographic assessment and the influence of microorganisms on echocardiographic findings in patients with infective endocarditis (IE) are not well studied. Methods: In 274 patients with IE, we studied the impact of antibiotic treatment duration of ≤2 days (early, 119 patients) or >2 days (late, 144 patients) prior to diagnostic echocardiography on IE specific findings and on clinical outcomes. Results were stratified for patients with Staphylococcus aureus (SA patients, n = 84) and those with other causative organisms (non-SA patients, n = 190). Results: There were no differences on specific echocardiographic findings between patients with early versus late echocardiography: Presence of vegetations: 91% vs 86%, p = 0.25; size of vegetations: 1.5 ± 0.7 cm vs. 1.5 ± 0.8 cm, p = 0.83; paravalvular abscess: 24% vs. 24%, p = 0.88, or valve destruction: 44% vs. 35%, p = 0.17. There were also no differences in terms of clinical outcomes between the two groups: Heart surgery for IE in 61% vs. 53%, p = 0.21, and in-hospital death in 8% vs. 11%, p = 0.46. The presence of SA was not associated with specific findings on echocardiography or worse clinical outcomes compared to non-SA patients. Conclusions: In patients with infective endocarditis, the findings of early vs late initial echocardiographic assessment did not differ, and echocardiographic findings did not allow inference on the causing organism. Neither the timing of the initial echocardiographic study nor any organism involved was associated with clinical outcome. Full article
Show Figures

Figure 1

Previous Issue
Next Issue
Back to TopTop