Next Issue
Volume 15, 03
Previous Issue
Volume 15, 01
 
 
cardiovascmed-logo

Journal Browser

Journal Browser
Cardiovascular Medicine is published by MDPI from Volume 28 Issue 1 (2025). Previous articles were published by another publisher in Open Access under a CC-BY (or CC-BY-NC-ND) licence, and they are hosted by MDPI on mdpi.com as a courtesy and upon agreement with Editores Medicorum Helveticorum (EMH).

Cardiovasc. Med., Volume 15, Issue 2 (02 2012) – 9 articles

  • Issues are regarded as officially published after their release is announced to the table of contents alert mailing list.
  • You may sign up for e-mail alerts to receive table of contents of newly released issues.
  • PDF is the official format for papers published in both, html and pdf forms. To view the papers in pdf format, click on the "PDF Full-text" link, and use the free Adobe Reader to open them.
Order results
Result details
Select all
Export citation of selected articles as:
1 pages, 431 KB  
Communication
Awards
by Stephane Cook
Cardiovasc. Med. 2012, 15(2), 66; https://doi.org/10.4414/cvm.2012.01645 - 22 Feb 2012
Viewed by 88
Abstract
The following awards were given during the last “Wintermeeting” (Montreux, January 20–21, 2012) of our working group “Interventional Cardiology and Acute Coronary Syndrome” [...] Full article
3 pages, 1404 KB  
Communication
Tour de Coeur
by Philipp K. Haager and Hans Rickli
Cardiovasc. Med. 2012, 15(2), 64; https://doi.org/10.4414/cvm.2012.01644 - 22 Feb 2012
Viewed by 88
Abstract
Mit dem Velo von Bern nach Paris zum ESC (European Society of Cardiology), eine verrückte Idee einiger passionierter Velofahrer oder doch eine Herzenssache für die, die einfach gerne per Velo unterwegs sind? [...] Full article
Show Figures

Figure 1

2 pages, 941 KB  
Interesting Images
A Family with Upper Limb Malformations and Dyspnoea–The Holt-Oram Syndrome
by Nikesh Raj Shrestha and Stéphane Cook
Cardiovasc. Med. 2012, 15(2), 62; https://doi.org/10.4414/cvm.2012.01649 - 22 Feb 2012
Viewed by 88
Abstract
A 16-year-old male presented at our outpatient clinic with palpitations and worsening dyspnoea during the preceding five days. [...] Full article
Show Figures

Figure 1

3 pages, 787 KB  
Interesting Images
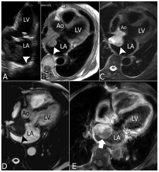
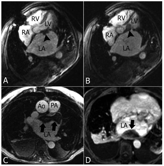
Atrioventricular Reentrant Tachycardia and Atrial Fibrillation in the Same Patient: One or Two Diseases?
by Tobias Reichlin, Christian Sticherling and Michael Kühne
Cardiovasc. Med. 2012, 15(2), 59; https://doi.org/10.4414/cvm.2012.01646 - 22 Feb 2012
Viewed by 80
Abstract
A 70-year-old lady presented to the emergency room due to palpitations. She reported occasional self-limiting tachycardias occurring for more than 15 years. [...] Full article
Show Figures

Figure 1

4 pages, 966 KB  
Case Report
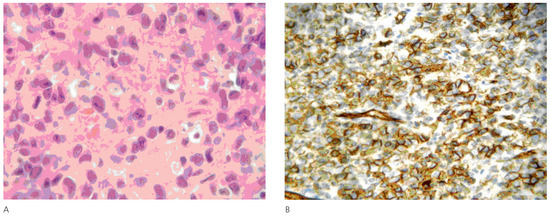
Primary Left Atrial Angiosarcoma Determining Severe Mitral Valve Stenosis
by Natalia Pavone, Vasileios Tsiopoulos, Riccardo Marano, Mariangela Novello and Mario Gaudino
Cardiovasc. Med. 2012, 15(2), 55; https://doi.org/10.4414/cvm.2012.01642 - 22 Feb 2012
Viewed by 95
Abstract
Primary cardiac tumours are a rare pathogical entity. In the vast majority of cases these tumours are benign [1,2]; among malignant histotypes, angiosarcoma is the most common, representing 15–35% of all cardiac tumours [2,3]. Primary cardiac angiosarcomas usually arise from the right atrium [...] Read more.
Primary cardiac tumours are a rare pathogical entity. In the vast majority of cases these tumours are benign [1,2]; among malignant histotypes, angiosarcoma is the most common, representing 15–35% of all cardiac tumours [2,3]. Primary cardiac angiosarcomas usually arise from the right atrium or the pericardium; they typically occur in the third to fifth decade of life and are two to three times more frequent in males. We report a case of primary angiosarcoma arising from the left atrium in a female patient who had already undergone mitral valve repair. Full article
Show Figures

Figure 1

2 pages, 630 KB  
Case Report
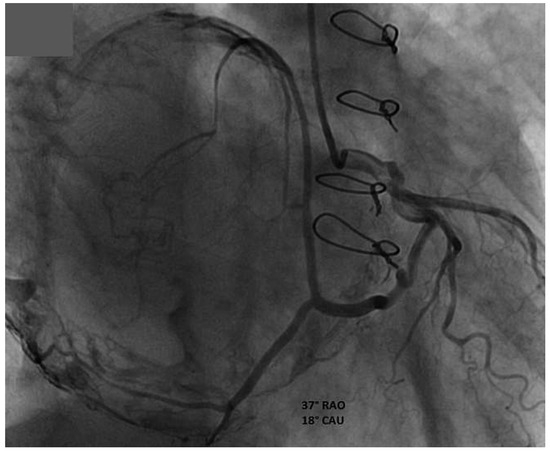
Anterior ST-Elevation Myocardial Infarction After Excimer Laser Extraction of Defibrillator Leads
by Reto Berli, Jürg Grünenfelder and Christophe Wyss
Cardiovasc. Med. 2012, 15(2), 53; https://doi.org/10.4414/cvm.2012.01641 - 22 Feb 2012
Viewed by 103
Abstract
We describe a case of a so far unknown complication after failed extraction of defibrillator leads. Perforation of the LIMA bypass caused by Excimer laser created an arterio-venous fistula from the proximal bypass to the superior subclavian vein and occlusion of the distal [...] Read more.
We describe a case of a so far unknown complication after failed extraction of defibrillator leads. Perforation of the LIMA bypass caused by Excimer laser created an arterio-venous fistula from the proximal bypass to the superior subclavian vein and occlusion of the distal LIMA bypass with consecutive anterior S T-elevation myocardial infarction. Full article
Show Figures

Figure 1

5 pages, 627 KB  
Article
Interventional Cardiology in Switzerland During the Year 2010
by Micha T. Maeder, Giovanni Pedrazzini, Marco Roffi, Christoph A. Kaiser, Stéphane Cook, Roberto Corti, Peter Wenaweser and Hans Rickli
Cardiovasc. Med. 2012, 15(2), 48; https://doi.org/10.4414/cvm.2012.01647 - 22 Feb 2012
Cited by 3 | Viewed by 66
Abstract
Background: Since 1987, a nationwide annual survey of percutaneous cardiac interventions has been performed in Switzerland to assess trends in endovascular cardiac procedures. Methods: The volume and type of endovascular cardiac procedures performed during the year 2010 were collected by means of a [...] Read more.
Background: Since 1987, a nationwide annual survey of percutaneous cardiac interventions has been performed in Switzerland to assess trends in endovascular cardiac procedures. Methods: The volume and type of endovascular cardiac procedures performed during the year 2010 were collected by means of a standardised questionnaire from all adult cardiac intervention centres in Switzerland. Results: The number of coronary angiographies (2010: n = 42,648; +2.5% compared to 2009) and percutaneous coronary interventions (n = 19,925; +4.7%) continued to increase with a slight increase in the PCI/CA ratio (46.7%; 2009: 45.7%). After a decrease from 2006 to 2007 and a plateau from 2007 to 2009, the proportion of drug-eluting stents (DES) raised again to 79% in 2010 (2009: 72%). Apart from shunt closures which remained stable (closure of patent foramen ovale [n = 733; 2009: n = 728] and atrial septal defects [n = 142; 2009: n = 152]), the number of procedures for structural heart disease increased in 2010 mainly due to an increasing number of transcatheter aortic valve implantations (n = 382 performed in 11 centres; 2009: n = 277 performed in 8 centres) although the number of procedures for transcatheter mitral valve repair rose as well (n = 67; 2009: n = 33). Conclusions: The number of both CA and PCI procedures increased in Switzerland in 2010 compared with the previous year. However, the most expanding segment of percutaneous cardiac intervention involved those for structural heart disease, namely TAVI. Full article
Show Figures

Figure 1

7 pages, 525 KB  
Review
High Altitude in the Heart of Healthy and Sick
by Hans-Peter Brunner-La Rocca
Cardiovasc. Med. 2012, 15(2), 41; https://doi.org/10.4414/cvm.2012.01643 - 22 Feb 2012
Cited by 1 | Viewed by 94
Abstract
Today exposure to high altitudes is relatively common. Thus, basic knowledge is important also for physicians that are not specialised in this topic. Exercise capacity is limited at high altitude, mainly due to hypoxia. Additional factors (circumstances) may aggravate the problem. Still, day [...] Read more.
Today exposure to high altitudes is relatively common. Thus, basic knowledge is important also for physicians that are not specialised in this topic. Exercise capacity is limited at high altitude, mainly due to hypoxia. Additional factors (circumstances) may aggravate the problem. Still, day trips to altitudes up to 3000–3500 m are relatively safe even in patients with cardiovascular diseases, unless patients are not stable. Unstable patients are not suited for hypoxia exposure although direct evidence is largely lacking. Overnight stay at high altitude increases the risk. Also, patients with moderate to severe pulmonary hypertension, irrespective of the underlying cause, should limit exposure to altitudes of not more than 1500–2000 m. With respect to flying, similar limitations apply. Moreover, circumstances of travel must be taken into account (e.g., limited access to medical help) and sufficient medication (in duplicate at different places) should be taken with the patient. As discussed in the last part of this review, subjects that are susceptible to develop high altitude pulmonary edema should avoid rapid ascent to high altitude, or should be treated prophylactically. To what extent research in these subjects is relevant for pathophysiology of pulmonary hypertension at normoxia needs further investigation. Full article
Show Figures

Figure 1

2 pages, 454 KB  
Editorial
Quo Vadis Swiss Report on Interventional Cardiology?
by Giovanni B. Pedrazzini
Cardiovasc. Med. 2012, 15(2), 39; https://doi.org/10.4414/cvm.2012.01648 - 22 Feb 2012
Viewed by 90
Abstract
Without wishing to encroach on the editorials [1,2] that have accompanied the annual reports on interventional cardiology activities in Switzerland in the last two years and in the face of growing and justified criticism on the objectives of a registry started more than [...] Read more.
Without wishing to encroach on the editorials [1,2] that have accompanied the annual reports on interventional cardiology activities in Switzerland in the last two years and in the face of growing and justified criticism on the objectives of a registry started more than 20 years ago [3], we would like to take stock of the current debate and illustrate the expected changes and future goals of this epidemiological tool which we believe to be of fundamental medical importance and of great public utility. [...] Full article
Previous Issue
Next Issue
Back to TopTop