Next Issue
Volume 15, 01
Previous Issue
Volume 14, 11
 
 
cardiovascmed-logo

Journal Browser

Journal Browser
Cardiovascular Medicine is published by MDPI from Volume 28 Issue 1 (2025). Previous articles were published by another publisher in Open Access under a CC-BY (or CC-BY-NC-ND) licence, and they are hosted by MDPI on mdpi.com as a courtesy and upon agreement with Editores Medicorum Helveticorum (EMH).

Cardiovasc. Med., Volume 14, Issue 12 (12 2011) – 5 articles

  • Issues are regarded as officially published after their release is announced to the table of contents alert mailing list.
  • You may sign up for e-mail alerts to receive table of contents of newly released issues.
  • PDF is the official format for papers published in both, html and pdf forms. To view the papers in pdf format, click on the "PDF Full-text" link, and use the free Adobe Reader to open them.
Order results
Result details
Select all
Export citation of selected articles as:
3 pages, 1103 KB  
Interesting Images
A Dangerous “Alternans”
by Andrea Menafoglio and Marcello Di Valentino
Cardiovasc. Med. 2011, 14(12), 355; https://doi.org/10.4414/cvm.2011.01631 - 21 Dec 2011
Viewed by 91
Abstract
A 68-year-old man was hospitalised because of three syncopes in the same day [...] Full article
Show Figures

Figure 1

4 pages, 835 KB  
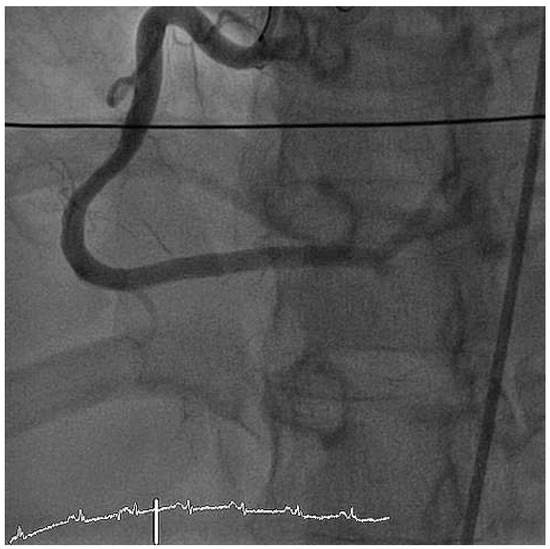
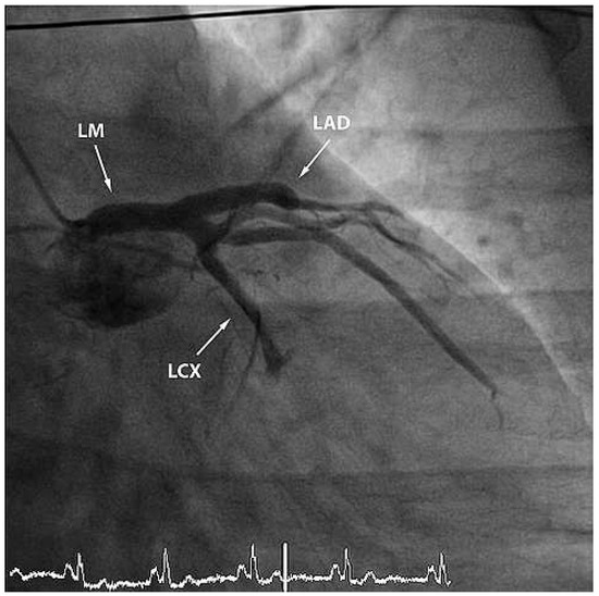
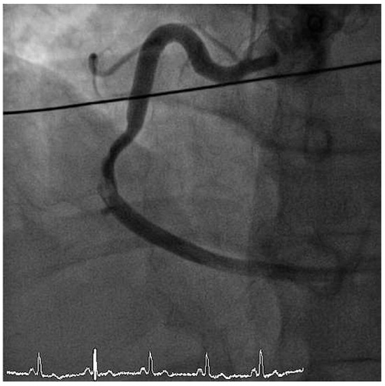
Case Report
An Uncommon Myocardial Infarction
by Daniel Mattle and Rolf Vogel
Cardiovasc. Med. 2011, 14(12), 351; https://doi.org/10.4414/cvm.2011.01629 - 21 Dec 2011
Viewed by 87
Abstract
We report the case of a 47-year old man who presented with severe cardiogenic shock and signs of ST-elevation myocardial infarction. Urgent coronary angiography showed thrombotic occlusion of the mid left anterior descending artery (LAD) and the circumflex artery, as well as a [...] Read more.
We report the case of a 47-year old man who presented with severe cardiogenic shock and signs of ST-elevation myocardial infarction. Urgent coronary angiography showed thrombotic occlusion of the mid left anterior descending artery (LAD) and the circumflex artery, as well as a subtotal thrombotic occlusion of the right coronary artery without signs of relevant atherosclerotic coronary disease. The patient was treated with thrombus aspiration in all coronary vessels and PTCA of the LAD with good result. Despite thorough investigation of major nonatherosclerotic causes of myocardial infarction, which are further discussed in our case report, the case remains unsolved. Until today the patient is free of symptoms under long-term dual antiplatelet-inhibitor therapy. Full article
Show Figures

Figure 1

6 pages, 541 KB  
Article
LDL-Cholesterol and the Potential for Coronary Risk Improvement
by Michel Romanens, Franz Ackermann, Isabella Sudano, Thomas Szucs, Walter Riesen, Roger Darioli and Mathias Schwenkglenks
Cardiovasc. Med. 2011, 14(12), 345; https://doi.org/10.4414/cvm.2011.01628 - 21 Dec 2011
Viewed by 96
Abstract
Aim: To determine population-attributable predicted coronary risk for major coronary risk factors and derive potential for reduction of global coronary risk. Methods: We obtained images of carotid atherosclerosis in practice-based subjects from self-referred CORDICARE (COR) and physician-referred KARDIOLAB (KAR) patients and [...] Read more.
Aim: To determine population-attributable predicted coronary risk for major coronary risk factors and derive potential for reduction of global coronary risk. Methods: We obtained images of carotid atherosclerosis in practice-based subjects from self-referred CORDICARE (COR) and physician-referred KARDIOLAB (KAR) patients and calculated 10-year predicted coronary risk according t o Swiss guidelines (AGLA) and via reclassification by post-test risk derived from ultrasound-measured total plaque area of the left and right carotid artery. We calculated predicted coronary risk reduction attributable to achievement of all AGLA goals, and for individual risk factors: smokers became nonsmokers, diabetic patients became nondiabetic patients, HDL level, if not already attained, was increased to 1.5 mmol/l, similarly, LDL level was lowered to 1.8 mmol/l, systolic blood pressure (BP) was lowered to 130 and then 10-year risk was recalculated for every subject. Results: COR included N = 900 (48% female), mean age 59 ± 9 years, KAR included N = 600 (35% female), mean age 58 ± 9 years. COR vs KAR: fewer smokers (12% vs 28%), fewer diabetic patients (3% vs 9%), higher systolic BP (133 ± 15 vs 128 ± 19) and higher HDL (1.6 ± 0.4 vs 1.4 ± 0.4 mmol/l), lower AGLA coronary risk (6.6 ± 7.0 vs 8.1 ± 8.6%), lower post-test risk (13.4 ± 14.1 vs 16.2 ± 16.4%). Predicted percent risk reductions for COR and KAR were: all AGLA treatment goals reached (–46% vs –51%), AGLA LDL goals met (–29% vs –29%), LDL ≤1.8 mmol/l (–52% vs –49%), no smokers (–7% vs –12%), HDL 1.50 mmol/l (–13% vs –21%), blood pressure ≤130 (–7% vs –6%), no diabetes (–1% vs –3%). Conclusions: Achieving LDL ≤1.8 mmol/l would be the single most important intervention in lowering coronary risk by 50%. In reaching all AGLA goals, the predicted 10-year risk would fall from 13–7% in COR and from 16–8% in KAR. Subjects are predominantly at low risk according to AGLA, at intermediate risk after reclassification, and could become true low risk through intensified intervention. Full article
Show Figures

Figure 1

6 pages, 612 KB  
Article
The Use of Shear Rate-Diameter Dose-Response Curves to Assess Endothelial Function
by Lee Stoner and Manning J. Sabatier
Cardiovasc. Med. 2011, 14(12), 339; https://doi.org/10.4414/cvm.2011.01630 - 21 Dec 2011
Cited by 2 | Viewed by 114
Abstract
The brachial artery flow-mediated dilation test (FMD) is the noninvasive gold standard used to test endothelial function. Reduced FMD is an early event in the development of atherosclerosis and provides a marker for predicting future cardiovascular disease events. However, the potential for this [...] Read more.
The brachial artery flow-mediated dilation test (FMD) is the noninvasive gold standard used to test endothelial function. Reduced FMD is an early event in the development of atherosclerosis and provides a marker for predicting future cardiovascular disease events. However, the potential for this promising test is limited by poor reproducibility. Three major limitations associated with standard FMD methodology account for the majority of the poor reproducibility. Firstly, expressing FMD as a percentage limits statistical power. Secondly, studies often fail to account for the stimulus, i.e., shear stress. Lastly, peak diameters in response to reactive hyperaemia are short-lived and, therefore, hard to capture. To compensate for these limitations, we suggest t hat endothelial function be estimated using shear rate: diameter dose response curves. The use of dose-response curves could potentially improve measurement reliability and validity. Full article
Show Figures

Figure 1

4 pages, 472 KB  
Editorial
Indignez-Vous! Plädoyer Gegen Die Anpassung
by Thomas F. Lüscher
Cardiovasc. Med. 2011, 14(12), 335; https://doi.org/10.4414/cvm.2011.01627 - 21 Dec 2011
Viewed by 70
Abstract
Im Frühjahr 2011 erschien in Paris ein unauffälliges Büchlein mit dem auffälligen Titel «Indignez-vous!» [...] Full article
Previous Issue
Next Issue
Back to TopTop