Is the Temporomandibular Joints’ Reciprocal Clicking Related to the Morphology and Position of the Mandible, as Well as to the Sagittal Position of Lower Incisors?—A Case-Control Study
Abstract
1. Introduction
2. Materials and Methods
2.1. Participants
2.2. Protocol
2.2.1. TMJ Extraoral Examination
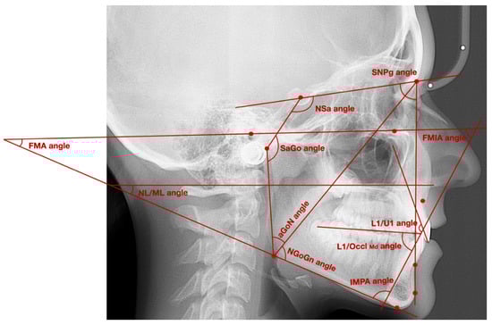
2.2.2. Lateral Cephalograms’ Analysis
2.3. Statistical Analysis
3. Results
3.1. Demographic Characteristics of the Examined Patients
3.2. Skeletal Class Assessment
3.3. Assessment of the Position and Morphology of the Mandible
3.4. Position of the Mandibular Incisors
4. Discussion
5. Conclusions
Author Contributions
Funding
Institutional Review Board Statement
Informed Consent Statement
Data Availability Statement
Conflicts of Interest
References
- Schiffman, E.; Ohrbach, R.; Truelove, E.; Look, J.; Anderson, G.; Goulet, J.P.; List, T.; Svensson, P.; Gonzalez, Y.; Lobbezoo, F.; et al. Diagnostic Criteria for Temporomandibular Disorders (DC/TMD) for Clinical and Research Applications: Recommendations of the International RDC/TMD Consortium Network and Orofacial Pain Special Interest Group. J. Oral Facial Pain Headache 2014, 28, 6–27. [Google Scholar] [CrossRef]
- Wilkes, C.H. Internal derangements of the temporomandibular joint. Pathological variations. Arch Otolaryngol. Head Neck Surg. 1989, 115, 469–477. [Google Scholar] [CrossRef]
- Pullinger, A.G.; Seligman, D.A.; Gornbein, J.A. A multiple logistic regression analysis of the risk and relative odds of temporomandibular disorders as a function of common occlusal features. J. Dent. Res. 1993, 72, 968–979. [Google Scholar] [CrossRef]
- Pihut, M.; Gorecka, M.; Ceranowicz, P.; Wieckiewicz, M. The Efficiency of Anterior Repositioning Splints in the Management of Pain Related to Temporomandibular Joint Disc Displacement with Reduction. Pain Res. Manag. 2018, 2018, 9089286. [Google Scholar] [CrossRef] [PubMed]
- Shen, P.; Chen, X.; Xie, Q.; Zhang, S.; Yang, C. Assessment of Occlusal Appliance for the Reposition of Temporomandibular Joint Anterior Disc Displacement with Reduction. J. Craniofac. Surg. 2019, 30, 1140–1143. [Google Scholar] [CrossRef] [PubMed]
- Olliver, S.J.; Broadbent, J.M.; Thomson, W.M.; Farella, M. Occlusal Features and TMJ Clicking: A 30-Year Evaluation from a Cohort Study. J. Dent. Res. 2020, 99, 1245–1251. [Google Scholar] [CrossRef]
- Young, A.L. Internal derangements of the temporomandibular joint: A review of the anatomy, diagnosis, and management. J. Indian Prosthodont. Soc. 2015, 15, 2–7. [Google Scholar] [CrossRef]
- Naeije, M.; Te Veldhuis, A.H.; Te Veldhuis, E.C.; Visscher, C.M.; Lobbezoo, F. Disc displacement within the human temporomandibular joint: A systematic review of a ‘noisy annoyance’. J. Oral Rehabil. 2013, 40, 139–158. [Google Scholar] [CrossRef]
- Bueno, C.H.; Pereira, D.D.; Pattussi, M.P.; Grossi, P.K.; Grossi, M.L. Gender differences in temporomandibular disorders in adult populational studies: A systematic review and meta-analysis. J. Oral Rehabil. 2018, 45, 720–729. [Google Scholar] [CrossRef]
- Marpaung, C.; van Selms, M.K.A.; Lobbezoo, F. Temporomandibular joint anterior disc displacement with reduction in a young population: Prevalence and risk indicators. Int. J. Paediatr. Dent. 2019, 29, 66–73. [Google Scholar] [CrossRef] [PubMed]
- Silva, M.A.G.; Pantoja, L.L.Q.; Dutra-Horstmann, K.L.; Valladares-Neto, J.; Wolff, F.L.; Porporatti, A.L.; Guerra, E.N.S.; De Luca Canto, G. Prevalence of degenerative disease in temporomandibular disorder patients with disc displacement: A systematic review and meta-analysis. J. Craniomaxillofac. Surg. 2020, 48, 942–955. [Google Scholar] [CrossRef]
- Chang, C.L.; Wang, D.H.; Yang, M.C.; Hsu, W.E.; Hsu, M.L. Functional disorders of the temporomandibular joints: Internal derangement of the temporomandibular joint. Kaohsiung J. Med. Sci. 2018, 34, 223–230. [Google Scholar] [CrossRef]
- Huddleston Slater, J.J.; Lobbezoo, F.; Onland-Moret, N.C.; Naeije, M. Anterior disc displacement with reduction and symptomatic hypermobility in the human temporomandibular joint: Prevalence rates and risk factors in children and teenagers. J. Orofac. Pain. 2007, 21, 55–62. [Google Scholar] [PubMed]
- Murphy, M.K.; MacBarb, R.F.; Wong, M.E.; Athanasiou, K.A. Temporomandibular disorders: A review of etiology, clinical management, and tissue engineering strategies. Int. J. Oral Maxillofac. Implant. 2013, 28, e393–e414. [Google Scholar] [CrossRef] [PubMed]
- Israel, H.A. Internal Derangement of the Temporomandibular Joint: New Perspectives on an Old Problem. Oral Maxillofac. Surg. Clin. N. Am. 2016, 28, 313–333. [Google Scholar] [CrossRef]
- Ibi, M. Inflammation and Temporomandibular Joint Derangement. Biol. Pharm. Bull. 2019, 42, 538–542. [Google Scholar] [CrossRef] [PubMed]
- Shu, C.; Xiong, X.; Huang, L.; Liu, Y. The relation of cephalometric features to internal derangements of the temporomandibular joint: A systematic review and meta-analysis of observational studies. Orthod. Craniofac. Res. 2020. [Google Scholar] [CrossRef]
- Derwich, M.; Mitus-Kenig, M.; Pawlowska, E. Temporomandibular Joints’ Morphology and Osteoarthritic Changes in Cone-Beam Computed Tomography Images in Patients with and without Reciprocal Clicking-A Case Control Study. Int. J. Environ. Res. Public Health 2020, 17, 3428. [Google Scholar] [CrossRef]
- Derwich, M.; Mitus-Kenig, M.; Pawlowska, E. Morphology of the Temporomandibular Joints Regarding the Presence of Osteoarthritic Changes. Int. J. Environ. Res. Public Health 2020, 17, 2923. [Google Scholar] [CrossRef] [PubMed]
- Marpaung, C.M.; Kalaykova, S.I.; Lobbezoo, F.; Naeije, M. Validity of functional diagnostic examination for temporomandibular joint disc displacement with reduction. J. Oral. Rehabil. 2014, 41, 243–249. [Google Scholar] [CrossRef]
- Steiner, C.C. Cephalometrics for you and me. Am. J. Orthod. 1953, 39, 729–755. [Google Scholar] [CrossRef]
- Jacobson, A. Update on the Wits appraisal. Angle Orthod. 1988, 58, 205–219. [Google Scholar]
- Tweed, C.H. The diagnostic facial triangle in the control of treatment objectives. Am. J. Orthod. 1969, 55, 651–657. [Google Scholar] [CrossRef]
- Tweed, C.H. The Frankfort-mandibular plane angle in orthodontic diagnosis, classification, treatment planning, and prognosis. Am. J. Orthod. Oral. Surg. 1946, 32, 175–230. [Google Scholar] [CrossRef]
- Siriwat, P.P.; Jarabak, J.R. Malocclusion and facial morphology is there a relationship? An epidemiologic study. Angle Orthod. 1985, 55, 127–138. [Google Scholar] [CrossRef] [PubMed]
- Arnett, G.W.; Jelic, J.S.; Kim, J.; Cummings, D.R.; Beress, A.; Worley, C.M., Jr.; Chung, B.; Bergman, R. Soft tissue cephalometric analysis: Diagnosis and treatment planning of dentofacial deformity. Am. J. Orthod. Dentofac. Orthop. 1999, 116, 239–253. [Google Scholar] [CrossRef]
- Zanin, R.F.; Ommizolo, G.; Weber, A.; Heitz, C.; de Lima, E.M.S. Oral health-related quality of life in women with temporomandibular joint disk anterior displacement before and after disk repositioning and anchoring surgery assessed with the Oral Health Impact Profile (OHIP-14). Oral Surg. Oral. Med. Oral Pathol. Oral Radiol. 2019, 128, 112–116. [Google Scholar] [CrossRef] [PubMed]
- Almoznino, G.; Zini, A.; Zakuto, A.; Sharav, Y.; Haviv, Y.; Hadad, A.; Chweidan, H.; Yarom, N.; Benoliel, R. Oral Health-Related Quality of Life in Patients with Temporomandibular Disorders [published correction appears in J Oral Facial Pain Headache. 2015 Autumn;29(4):330. Avraham, Hadad [corrected to Hadad, Avraham]; Noam, Yarom [corrected to Yarom, Noam]]. J. Oral Facial Pain Headache 2015, 29, 231–241. [Google Scholar] [CrossRef] [PubMed]
- Pigozzi, L.B.; Pereira, D.D.; Pattussi, M.P.; Moret-Tatay, C.; Irigaray, T.Q.; Weber, J.B.B.; Grossi, P.K.; Grossi, M.L. Quality of life in young and middle age adult temporomandibular disorders patients and asymptomatic subjects: A systematic review and meta-analysis. Health Qual. Life Outcomes 2021, 19, 83. [Google Scholar] [CrossRef]
- Gidarakou, I.K.; Tallents, R.H.; Stein, S.; Kyrkanides, S.; Moss, M.E. Comparison of skeletal and dental morphology in asymptomatic volunteers and symptomatic patients with unilateral disk displacement with reduction. Angle Orthod. 2004, 74, 212–219. [Google Scholar] [CrossRef] [PubMed]
- Gidarakou, I.K.; Tallents, R.H.; Kyrkanides, S.; Stein, S.; Moss, M.E. Comparison of skeletal and dental morphology in asymptomatic volunteers and symptomatic patients with bilateral disk displacement with reduction. Angle Orthod. 2002, 72, 541–546. [Google Scholar] [CrossRef]
- Gidarakou, I.K.; Tallents, R.H.; Kyrkanides, S.; Stein, S.; Moss, M.E. Comparison of skeletal and dental morphology in asymptomatic volunteers and symptomatic patients with unilateral disk displacement without reduction. Angle Orthod. 2003, 73, 121–127. [Google Scholar] [CrossRef] [PubMed]
- Gidarakou, I.K.; Tallents, R.H.; Kyrkanides, S.; Stein, S.; Moss, M.E. Comparison of skeletal and dental morphology in asymptomatic volunteers and symptomatic patients with bilateral disk displacement without reduction. Angle Orthod. 2004, 74, 684–690. [Google Scholar] [CrossRef]
- Kang, S.C.; Lee, D.G.; Choi, J.H.; Kim, S.T.; Kim, Y.K.; Ahn, H.J. Association between estrogen receptor polymorphism and pain susceptibility in female temporomandibular joint osteoarthritis patients. Int. J. Oral Maxillofac. Surg. 2007, 36, 391–394. [Google Scholar] [CrossRef]
- Ribeiro-Dasilva, M.C.; Peres Line, S.R.; Leme Godoy dos Santos, M.C.; Arthuri, M.T.; Hou, W.; Fillingim, R.B.; Rizzatti Barbosa, C.M. Estrogen receptor-alpha polymorphisms and predisposition to TMJ disorder. J. Pain 2009, 10, 527–533. [Google Scholar] [CrossRef] [PubMed]
- Takaoka, R.; Yatani, H.; Senzaki, Y.; Koishi, Y.; Moriguchi, D.; Ishigaki, S. Relative risk of positional and dynamic temporomandibular disc abnormality for osteoarthritis-magnetic resonance imaging study. J. Oral Rehabil. 2021, 48, 375–383. [Google Scholar] [CrossRef] [PubMed]
- Lei, J.; Han, J.; Liu, M.; Zhang, Y.; Yap, A.U.; Fu, K.Y. Degenerative temporomandibular joint changes associated with recent-onset disc displacement without reduction in adolescents and young adults. J Craniomaxillofac. Surg. 2017, 45, 408–413. [Google Scholar] [CrossRef] [PubMed]
- Sakar, O.; Calisir, F.; Oztas, E.; Marsan, G. Evaluation of the effects of temporomandibular joint disk displacement and its progression on dentocraniofacial morphology in symptomatic patients using lateral cephalometric analysis. CRANIO 2011, 29, 211–218. [Google Scholar] [CrossRef]
- Ahn, S.J.; Kim, T.W.; Nahm, D.S. Cephalometric keys to internal derangement of temporomandibular joint in women with Class II malocclusions. Am. J. Orthod. Dentofac. Orthop. 2004, 126, 486–494. [Google Scholar] [CrossRef] [PubMed]
- Bósio, J.A.; Burch, J.G.; Tallents, R.H.; Wade, D.B.; Beck, F.M. Lateral cephalometric analysis of asymptomatic volunteers and symptomatic patients with and without bilateral temporomandibular joint disk displacement. Am. J. Orthod. Dentofac. Orthop. 1998, 114, 248–255. [Google Scholar] [CrossRef]
- Brand, J.W.; Nielson, K.J.; Tallents, R.H.; Nanda, R.S.; Currier, G.F.; Owen, W.L. Lateral cephalometric analysis of skeletal patterns in patients with and without internal derangement of the temporomandibular joint. Am. J. Orthod. Dentofac. Orthop. 1995, 107, 121–128. [Google Scholar] [CrossRef]
- Derwich, M.; Mitus-Kenig, M.; Pawlowska, E. Interdisciplinary Approach to the Temporomandibular Joint Osteoarthritis-Review of the Literature. Medicina 2020, 56, 225. [Google Scholar] [CrossRef]
- Ma, Z.; Xie, Q.; Yang, C.; Zhang, S.; Shen, Y.; Abdelrehem, A. Can anterior repositioning splint effectively treat temporomandibular joint disc displacement? Sci. Rep. 2019, 9, 534. [Google Scholar] [CrossRef] [PubMed]
- Cianetti, S.; Abraha, I.; Pagano, S.; Lupatelli, E.; Lombardo, G. Sonic and ultrasonic oscillating devices for the management of pain and dental fear in children or adolescents that require caries removal: A systematic review. BMJ Open 2018, 8, e020840. [Google Scholar] [CrossRef] [PubMed]


| Group | Inclusion and Exclusion Criteria for Group Selection |
|---|---|
| General | Inclusion criteria:
|
| Study group (n = 50 patients) | Inclusion criteria:
|
| Control group (n = 55 patients) | Inclusion criteria:
|
| Points/Lines/Angles | Description of Points/Lines/Angles |
|---|---|
| Point S | Sella—geometrical center of Sella turcica |
| Point N | Nasion—the most anterior point localized in the frontonasal suture |
| Point Go | Gonion—point localized at the intersection of mandibular line and line tangent to the posterior border of mandibular ramus |
| Point a | Articulare—point localized at the intersection of sphenoid bone base and the posterior part of condylar outline |
| Point Po | Porion—the most superior part of external acoustic opening |
| Point Or | Orbitale—the most inferior point localized in the lower margin of the orbit |
| Point A | Subspinale—the deepest point localized in the anterior outline of the maxilla, below the anterior nasal spine |
| Point B | Supramentale—the deepest point localized in the anterior outline of the mandible, above the pogonion |
| Wits | AO-BO—the distance between the perpendicular projection of points A and B onto the functional occlusal plane |
| Point Pg | Pogonion—the most prominent point localized in the osseous outline of mental tuberosity |
| NL line | Nasal line—line between anterior and posterior nasal spines |
| ML line | Mandibular line—line between gnathion and the lowest point localized in the masseteric tuberosity (also known as GoGn line) |
| FH line | Frankfort horizontal line—line between points: porion and orbitale |
| L1 line | Long axis of lower incisor—line which connects the incisal edge with the radiological apex of lower incisor |
| U1 line | Long axis of upper incisor—line which connects the incisal edge with the radiological apex of upper incisor |
| OcclMd | Mandibular occlusal plane—line which connects the anterior cusp tips of lower first molars with the incisal edges of the lower central incisors |
| SN line | Sella-nasion line—line of anterior cranial base, which connects points: nasion and sella |
| Sa line | Line which connects points: sella and articulare |
| aGo line | Line which connects points: articulare and gonion |
| NGo line | Line which connects points: nasion and gonion |
| NPg line | Line which connects points: nasion and pogonion |
| SNPg angle | Angle between SN line and NPg line |
| NL/ML angle | Angle between NL line and ML line |
| FMA angle | Angle between FH line and ML line |
| FMIA angle | Angle between FH line and long axis of lower incisor |
| IMPA angle | Angle between long axis of lower incisor and ML line |
| L1/U1 angle | Interincisal angle—angle between long axes of lower and upper incisors |
| L1/OcclMd angle | Angle between long axis of lower incisor and mandibular occlusal plane |
| NSa angle | Saddle angle—angle between SN line and Sa line |
| SaGo angle | Articular angle—angle between Sa line and aGo line |
| aGoGn angle | Gonial angle—angle between aGo line and GoGn line |
| aGoN angle | Upper gonial angle—angle between aGo line and NGo line |
| NGoGn angle | Lower gonial angle—angle between NGo line and GoGn line |
| Analysis of Morphology and Position of the Mandible and Position of the Mandibular Incisors | Measurement |
| Skeletal class | Wits analysis |
| Sagittal position of the mandible | SNPg angle NSa angle SaGo angle |
| Vertical position of the mandible | FMA angle NL/ML angle |
| Angle of the mandible | aGoGn angle |
| Inclination of mandibular ramus | aGoN angle |
| Inclination of mandibular corpus | NGoGn angle |
| Position of the mandibular incisors | FMIA angle IMPA angle L1/OcclMd angle L1/U1 angle |
| Comparable Characteristic | Study Group (n = 50) “Reciprocal Clicking” | Control Group (n = 55) “No Symptoms of TMD” | p-Value |
|---|---|---|---|
| AGE | 0.9502 1 | ||
| av. (SD) | 24.98 (8.3) | 24.88 (7.3) | |
| range | 16.0–47.0 | 16.0–44.0 | |
| median | 21.75 | 22.7 | |
| 95%CI | [22.68;27.28] | [22.98;26.78] | |
| SEX | 0.8630 2 | ||
| Female (%) | 38 (76.0%) | 41 (74.55%) | |
| Male (%) | 12 (24.0%) | 14 (25.45%) |
| Measurement | Study Group (n = 50) “Reciprocal Clicking” | Control Group (n = 55) “No Symptoms of TMD” | p-Value |
|---|---|---|---|
| Wits analysis [mm] | 0.4680 1 | ||
| Skeletal class I (Wits = 0 ± 2 mm) | 16 (32%) | 23 (41.82%) | |
| Skeletal class II (Wits > 2 mm) | 23 (46%) | 24 (43.64%) | |
| Skeletal class III (Wits < −2 mm) | 11 (22%) | 8 (14.54%) |
| Measurement | Study Group (n = 50) “Reciprocal Clicking” | Control Group (n = 55) “No Symptoms of TMD” | p-Value |
|---|---|---|---|
| SNPg angle [°] | 0.1933 1 | ||
| av. (SD) | 78.23 (3.67) | 79.14 (3.32) | |
| range | 70.0–86.0 | 73.0–88.0 | |
| median | 78.25 | 79.0 | |
| 95%CI | [77.21;79.25] | [78.26;80.01] | |
| NSa angle [°] | 0.8956 1 | ||
| av. (SD) | 124.0 (4.9) | 123.9 (5.0) | |
| range | 114.5–135.0 | 113.0–134.0 | |
| median | 123.8 | 123.0 | |
| 95%CI | [122.6;125.4] | [122.5;125.2] | |
| SaGo angle [°] | 0.2926 1 | ||
| av. (SD) | 145.6 (7.4) | 144.0 (7.7) | |
| range | 122.5–165.0 | 128.5–161.0 | |
| median | 145.0 | 144.0 | |
| 95%CI | [143.5;147.7] | [141.9;146.1] | |
| FMA [°] | 0.7698 1 | ||
| av. (SD) | 25.3 (4.9) | 24.9 (5.7) | |
| range | 12.50–35.0 | 8.0–41.5 | |
| median | 25.0 | 25.0 | |
| 95%CI | [23.9;26.6] | [23.4;26.5] | |
| NL/ML [°] | 0.4340 1 | ||
| av. (SD) | 23.2 (6.3) | 22.3 (5.9) | |
| range | 10.5–38.5 | 7.0–35.0 | |
| median | 23.5 | 22.5 | |
| 95%CI | [21.4;25.0] | [20.7;23.8] | |
| aGoGn angle [°] | 0.6575 1 | ||
| av. (SD) | 122.0 (6.7) | 122.6 (7.1) | |
| range | 108.0–134.5 | 100.5–136.5 | |
| median | 123.5 | 122.5 | |
| 95%CI | [120.1;123.9] | [120.7;124.5] | |
| aGoN angle [°] | 0.0629 1 | ||
| av. (SD) | 49.5 (3.9) | 51.0 (4.4) | |
| range | 41.0–57.5 | 42.5–59.0 | |
| median | 49.8 | 51.5 | |
| 95%CI | [48.4;50.6] | [49.9;52.2] | |
| NGoGn angle [°] | 0.3604 1 | ||
| av. (SD) | 72.5 (5.3) | 71.6 (5.1) | |
| range | 61.5–83.0 | 55.5–84.0 | |
| median | 72.0 | 71.5 | |
| 95%CI | [71.0;74.0] | [70.2;72.9] |
| Measurement | Study Group (n = 50) “Reciprocal Clicking” | Control Group (n = 55) “No Symptoms of TMD” | p-Value |
|---|---|---|---|
| FMIA angle [°] | 0.6581 1 | ||
| av. (SD) | 61.4 (7.9) | 60.7 (8.5) | |
| range | 45.5–76.5 | 42.5–85.0 | |
| median | 60.5 | 60.0 | |
| 95%CI | [59.2;63.7] | [58.4;63.0] | |
| IMPA angle [°] | 0.5494 1 | ||
| av. (SD) | 93.3 (7.6) | 94.3 (9.5) | |
| range | 76.0–106.5 | 75.0–121.0 | |
| median | 94.0 | 95.0 | |
| 95%CI | [91.2;95.5] | [91.8;96.9] | |
| L1/OcclMd angle [°] | 0.6349 2 | ||
| av. (SD) | 71.2 (7.8) | 70.1 (8.8) | |
| range | 59.0–85.5 | 47.0–92.5 | |
| median | 70.5 | 68.5 | |
| 95%CI | [69.0;73.4] | [67.8;72.5] | |
| L1/U1 angle [°] | 0.5347 1 | ||
| av. (SD) | 134.9 (15.6) | 133.0 (14.7) | |
| range | 95.0–168.5 | 88.5–169.5 | |
| median | 133.3 | 129.5 | |
| 95%CI | [130.4;139.3] | [129.1;137.0] |
Publisher’s Note: MDPI stays neutral with regard to jurisdictional claims in published maps and institutional affiliations. |
© 2021 by the authors. Licensee MDPI, Basel, Switzerland. This article is an open access article distributed under the terms and conditions of the Creative Commons Attribution (CC BY) license (https://creativecommons.org/licenses/by/4.0/).
Share and Cite
Derwich, M.; Mitus-Kenig, M.; Pawlowska, E. Is the Temporomandibular Joints’ Reciprocal Clicking Related to the Morphology and Position of the Mandible, as Well as to the Sagittal Position of Lower Incisors?—A Case-Control Study. Int. J. Environ. Res. Public Health 2021, 18, 4994. https://doi.org/10.3390/ijerph18094994
Derwich M, Mitus-Kenig M, Pawlowska E. Is the Temporomandibular Joints’ Reciprocal Clicking Related to the Morphology and Position of the Mandible, as Well as to the Sagittal Position of Lower Incisors?—A Case-Control Study. International Journal of Environmental Research and Public Health. 2021; 18(9):4994. https://doi.org/10.3390/ijerph18094994
Chicago/Turabian StyleDerwich, Marcin, Maria Mitus-Kenig, and Elzbieta Pawlowska. 2021. "Is the Temporomandibular Joints’ Reciprocal Clicking Related to the Morphology and Position of the Mandible, as Well as to the Sagittal Position of Lower Incisors?—A Case-Control Study" International Journal of Environmental Research and Public Health 18, no. 9: 4994. https://doi.org/10.3390/ijerph18094994
APA StyleDerwich, M., Mitus-Kenig, M., & Pawlowska, E. (2021). Is the Temporomandibular Joints’ Reciprocal Clicking Related to the Morphology and Position of the Mandible, as Well as to the Sagittal Position of Lower Incisors?—A Case-Control Study. International Journal of Environmental Research and Public Health, 18(9), 4994. https://doi.org/10.3390/ijerph18094994

