Hand-Wrist Disorders in Chainsaw Operators: A Follow-Up Study in a Group of Italian Loggers
Abstract
1. Introduction
2. Materials and Methods
- Personal data collection: age, Body Mass Index (BMI), dominant hand, working experience (years), sports/hobbies, type of contract; existence of a second job. In particular, for the contract type we considered the number of working days per year, while the second job, if present, was labeled as primary sector (extraction and production of raw materials), secondary sector (manufacturing), tertiary sector (services).
- Anamnesis has been collected through a questionnaire addressed at upper limbs symptoms with a hand chart (Figure 2). Hand chart included the radio-ulnar distal joint, and each participant was asked to report the presence or absence of four different symptoms: numbness/tingling, burn, ache, weakness [21,22]. Participants were also required to quantify the severity of the symptoms on a 0–10 scale, to specify their duration and clarify whether the symptoms appeared during working activity. Based on these data, we identified the subject showing symptoms related to the median nerve impairment in case of responses in the first three fingers, in the last two weeks before the data collection.
- Physical examination of the upper limbs, including Tinel’s and Phalen’s maneuvers performed on both wrists in order to detect carpal tunnel syndrome [23]; results were encoded in a dichotomous way as negative or positive regarding the presence of wrist disorders.
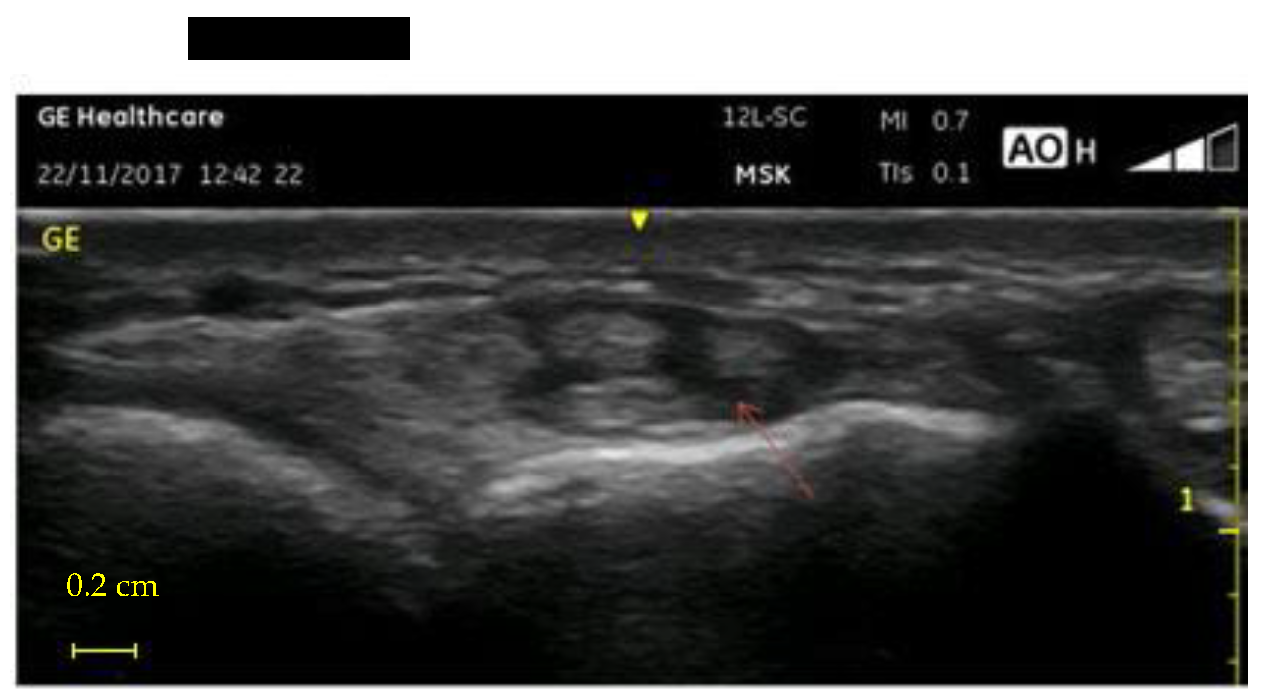
- UI of the hand-wrist area, performed with portable ultrasound device (Venue Scan, Venue 40, GE Healthcare®, Chicago, IL, USA) that allowed the researchers to store the examinations for further evaluation and discussion with other hospital experts in the final evaluation of all cases. A trained sonographer performed the wrist ultrasound. According to the European Society of Musculoskeletal Radiology’s protocol (ESSR) [23], acoustic windows were investigated in both the dorsal wrist, focusing on the extensor tendons and the radiocarpal joint, and the ventral wrist, focusing on the flexor tendons and the median nerve (Table 1).
3. Results
4. Discussion
5. Conclusions
Author Contributions
Funding
Institutional Review Board Statement
Informed Consent Statement
Data Availability Statement
Conflicts of Interest
References
- INAIL. Schede di Rischio Da Sovraccarico Biomeccanico Degli Arti Superiori nei Comparti Della Piccola Industria, Dell’artigianato e Dell’agricoltura. Edizione 2014. 2014, Volume II. Available online: https://www.inail.it/cs/internet/comunicazione/pubblicazioni/catalogo-generale/schede_di_rischio_da_sovraccarico_biomeccanico.html (accessed on 23 June 2021).
- Masci, F.; Spatari, G.; Giorgianni, C.M.; Bortolotti, S.; Rosecrance, J.; Colosio, C. A Wearable Device to Assess the Spine Biomechanical Overload in a Sample of Loggers. In Proceedings of the 21st Congress of the International Ergonomics Association (IEA 2021); Black, N.L., Neumann, W.P., Noy, I., Eds.; Lecture Notes in Networks and Systems; Springer: Cham, Switzerland, 2022; Volume 223. [Google Scholar] [CrossRef]
- Masci, F.; Rosecrance, J.; Mixco, A.; Cortinovis, I.; Calcante, A.; Mandic-Rajcevic, S.; Colosio, C. Personal and occupational factors contributing to biomechanical risk of the distal upper limb among dairy workers in the Lombardy region of Italy. Appl. Ergon. 2020, 83, 102796. [Google Scholar] [CrossRef]
- U.S. Department of Health and Human Services. Musculoskeletal Disorders and Workplace Factors: A Critical Review of Epidemiologic Evidence for Work-Related Musculoskeletal Disorders of the Neck, Upper Extremity, and Low Back; Public Health Service Centers for Disease Control and Prevention, National Institute for Occupational Safety and Health: Cincinnati, OH, USA, 1997. [Google Scholar]
- Iftime, M.D.; Dumitrascu, A.-E.; Ciobanu, V.D. Chainsaw operators’ exposure to occupational risk factors and incidence of professional diseases specific to the forestry field. Int. J. Occup. Saf. Ergon. 2020, 15, 1–12. [Google Scholar] [CrossRef]
- Brune, E. Expert Forecast on Emerging Biological Risks Related to Occupational Safety and Health; European Agency for Safety and Health at Work: Bilbao, Spain, 2007; 145p.
- Bovenzi, M.; Prodi, A.; Mauro, M. A longitudinal study of neck and upper limb musculoskeletal disorders and alternative measures of vibration exposure. Int. Arch. Occup. Environ. Health 2016, 89, 923–933. [Google Scholar] [CrossRef][Green Version]
- Calvo, A. Musculoskeletal disorders (MSD) risks in forestry: A case study to propose an analysis method. Ergon. Syst. Eng. 2008, 2006, 1–9. [Google Scholar]
- Hamgen, K.B.; Magnus, P.; Vetlesen, K. Neck/Shoulder and Low-Back Disorders in the Forestry Industry: Relationship to Work Tasks and Perceived Psychosocial Job Stress. Ergonomics 1998, 41, 1510–1518. Available online: http://www.ncbi.nlm.nih.gov/pubmed/9802255 (accessed on 28 June 2021). [CrossRef]
- Thomsen, J.F.; Mikkelsen, S.; Andersen, J.H.; Fallentin, N.; Loft, I.P.; Frost, P.; Kaergaard, A.; Bonde, J.P.; Overgaard, E. Risk factors for hand-wrist disorders in repetitive work. Occup. Environ. Med. 2007, 64, 527–533. [Google Scholar] [CrossRef] [PubMed]
- Nilsson, T.; Wahlström, J.; Burström, L. Hand-arm vibration and the risk of vascular and neurological diseases-A systematic review and meta-analysis. PLoS ONE 2017, 12, e0180795. [Google Scholar] [CrossRef] [PubMed]
- Newington, L.; Harris, E.C.; Walker-Bone, K. Carpal Tunnel Syndrome and Work. Best Pract. Res. Clin. Rheumatol. 2015, 29, 440–453. Available online: http://www.ncbi.nlm.nih.gov/pubmed/26612240 (accessed on 28 June 2021). [CrossRef] [PubMed]
- Van Rijn, R.M.; Huisstede, B.M.; Koes, B.W.; Burdorf, A. Associations between work-related factors and the carpal tunnel syndrome—A systematic review. Scand. J. Work Environ. Health 2009, 35, 19–36. [Google Scholar] [CrossRef]
- Koskimies, K.; Farkkila, M.; Pyykko, I.; Jantti, V.; Aatola, S.; Starck, J.; Inaba, R. Carpal tunnel syndrome in vibration disease. Br. J. Ind. Med. 1990, 47, 411–416. [Google Scholar] [CrossRef]
- Mhoon, J.T.; Juel, V.C.; Hobson-Webb, L.D. Median nerve ultrasound as a screening tool in carpal tunnel syndrome: Correlation of cross-sectional area measures with electrodiagnostic abnormality. Muscle Nerve 2012, 46, 861–870. [Google Scholar] [CrossRef]
- Martinoli, C.; Bianchi, S.; Dahmane, M.; Pugliese, F.; Bianchi-Zamorani, M.P.; Valle, M. Ultrasound of tendons and nerves. Eur. Radiol. 2002, 12, 44–45. [Google Scholar] [CrossRef]
- Aseem, F.; Williams, J.W.; Walker, F.O.; Cartwright, M.S. Neuromuscular Ultrasound in Patients with Carpal Tunnel Syndrome and Normal Nerve Conduction Studies. Muscle Nerve 2017, 55, 913–915. Available online: https://onlinelibrary.wiley.com/doi/abs/10.1002/mus.25462 (accessed on 28 June 2021). [CrossRef] [PubMed]
- Gitto, S.; Draghi, A.G.; Draghi, F. Sonography of non-neoplastic disorders of the hand and wrist tendons. J. Ultrasound Med. 2018, 37, 51–68. [Google Scholar] [CrossRef]
- Ng, A.W.H.; Griffith, J.F.; Lee, R.K.L.; Tse, W.L.; Wong, C.W.Y.; Ho, P.C. Ultrasound Carpal Tunnel Syndrome: Additional Criteria for Diagnosis. Clin. Radiol. 2018, 73, 214.e11–214.e18. Available online: https://linkinghub.elsevier.com/retrieve/pii/S0009926017304117 (accessed on 28 June 2021). [CrossRef] [PubMed]
- Eurostat. Ageing Europe [Internet]. 2019. Available online: https://ec.europa.eu/eurostat/documents/3217494/10166544/KS-02-19-681-EN-N.pdf/c701972f-6b4e-b432-57d2-91898ca94893 (accessed on 28 June 2021).
- Katz, J.N.; Stirrat, C.R.; Larson, M.G.; Fossel, A.H.; Eaton, H.M.; Liang, M.H. A self-administered hand symptom diagram for the Diagnosis and Epidemiologic Study of Carpal Tunnel Syndrome. J. Rheumatol. 1990, 17, 1495–1498. Available online: http://www.ncbi.nlm.nih.gov/pubmed/2273490 (accessed on 28 June 2021). [PubMed]
- Hegmann, K.T.; Merryweather, A.; Thiese, M.S.; Kendall, R.; Garg, A.; Kapellusch, J.; Foster, J.; Drury, D.; Wood, E.M.; Melhorn, J.M. Median Nerve Symptoms, Signs, and Electrodiagnostic Abnormalities Among Working Adults. J. Am. Acad. Orthop. Surg. 2018, 26, 576–584. [Google Scholar] [CrossRef] [PubMed]
- Martinoli, C. Musculoskeletal Ultrasound: Technical Guidelines. Insights Imaging 2010, 1, 99–141. Available online: http://link.springer.com/10.1007/s13244-010-0032-9 (accessed on 28 June 2021). [CrossRef] [PubMed]
- Masci, F.; Tassoni, M.; Bossi, M.; Magenta Biasina, A.; Serrao, G.; Rosecrance, J.; Colosio, C. Assessing the effects of biomechanical overload on dairy parlor workers’ wrist: Definition of a study approach and preliminary results. Work 2016, 55, 747–756. [Google Scholar] [CrossRef]
- Torres-Costoso, A.; Martínez-Vizcaíno, V.; Álvarez-Bueno, C.; Ferri-Morales, A.; Cavero-Redondo, I. Accuracy of Ultrasonography for the Diagnosis of Carpal Tunnel Syndrome: A Systematic Review and Meta-Analysis. Arch. Phys. Med. Rehabil. 2018, 99, 758–765.e10. [Google Scholar] [CrossRef]
- Wong, S.M.; Griffith, J.F.; Hui, A.C.F.F.; Lo, S.K.; Fu, M.; Wong, K.S. Carpal Tunnel Syndrome: Diagnostic Usefulness of Sonography. Radiology 2004, 232, 93–99. [Google Scholar] [CrossRef]
- Wiesler, E.R.; Chloros, G.D.; Cartwright, M.S.; Smith, B.P.; Rushing, J.; Walker, F.O. The Use of Diagnostic Ultrasound in Carpal Tunnel Syndrome. J. Hand Surg. 2006, 31, 726–732. Available online: http://www.ncbi.nlm.nih.gov/entrez/query.fcgi?cmd=Retrieve&db=PubMed&dopt=Citation&list_uids=16713832 (accessed on 28 June 2021). [CrossRef]
- Yoshii, Y.; Zhao, C.; Amadio, P.C. Recent Advances in Ultrasound Diagnosis of Carpal Tunnel Syndrome. Diagnostics 2020, 10, 596. [Google Scholar] [CrossRef] [PubMed]
- Lewark, S. Institutionen för Skogens Produkter Och Marknader Scientific Reviews of Ergonomic Situation in Mechanized Forest Operations. Bachelor’s Thesis, Swedish University of Agricultural Sciences, Uppsala, Sweden, 2005. [Google Scholar]
- Violante, F.S.; Bonfiglioli, R.; Graziosi, F.; Caso, A.; Isolani, L.; Fiorentini, C.; Mattioli, S. Potential of ultrasonography for epidemiological study of work-related wrist tenosynovitis. Occup. Environ. Med. 2006, 64, 82–86. [Google Scholar] [CrossRef]
- Khan, K.M.; Cook, J.L.; Taunton, J.E.; Bonar, F. Overuse tendinosis, not tendinitis part 1: A new paradigm for a difficult clinical problem. Phys. Sportsmed. 2000, 28, 38–48. [Google Scholar] [CrossRef][Green Version]
- Masci, F.; Crespi, E.; Pernigotti, E.; Tassoni, M.; Rosecrance, J.; Colosio, C. Carpal tunnel syndrome among milking parlor workers in Northern Italy: A comparison of screening approaches. Med. Lav. 2019, 110, 271–277. [Google Scholar] [CrossRef] [PubMed]
- Latko, W.A.; Armstrong, T.J.; Franzblau, A.; Ulin, S.S.; Werner, R.A.; Albers, J.W. Cross-sectional study of the relationship between repetitive work and the prevalence of upper limb musculoskeletal disorders. Am. J. Ind. Med. 1999, 36, 248–259. [Google Scholar] [CrossRef]
- English, J.H.J.; Gwynne-Jones, D.P. Incidence of carpal tunnel syndrome requiring surgical decompression: A 10.5-year review of 2,309 patients. J. Hand. Surg. Am. 2015, 40, 2427–2434. [Google Scholar] [CrossRef] [PubMed]
- Walker-Bone, K.; Palmer, K.T.; Reading, I.; Coggon, D.; Cooper, C. Prevalence and impact of musculoskeletal disorders of the upper limb in the general population. Arthritis Care Res. 2004, 51, 642–651. [Google Scholar] [CrossRef]
- Katz, J.N. The Carpal Tunnel Syndrome: Diagnostic Utility of the History and Physical Examination Findings. Ann. Intern. Med. 1990, 112, 321. [Google Scholar] [CrossRef] [PubMed]
- Franzblau, A.; Werner, R.A.; Albers, J.W.; Grant, C.L.; Olinski, D.; Johnston, E. Workplace surveillance for carpal tunnel syndrome using hand diagrams. J. Occup. Rehabil. 1994, 4, 185–198. [Google Scholar] [CrossRef] [PubMed]
- Elnady, B.; Rageh, E.M.; Ekhouly, T.; Fathy, S.M.; Alshaar, M.; Fouda, E.S.; Attar, M.; Abdelaal, A.M.; el Tantawi, A.; Algethami, M.M.; et al. Diagnostic potential of ultrasound in carpal tunnel syndrome with different etiologies: Correlation of sonographic median nerve measures with electrodiagnostic severity. BMC Musculoskelet. Disord. 2019, 20, 634. [Google Scholar] [CrossRef] [PubMed]





| US Dorsal Scans | Heading |
|---|---|
| Distal radioulnar joint | |
| I compartment | Retinaculum |
| Abductor pollicis longus tendon | |
| Extensor pollicis brevis tendon | |
| II compartment | Retinaculum |
| Extensor carpi radialis longus tendon | |
| Extensor carpi radialis brevis tendon | |
| III compartment | Retinaculum |
| Extensor pollicis longus tendon | |
| IV compartment | Retinaculum |
| Extensor digitorum communis tendons | |
| Extensor indicis proprius tendon | |
| V compartment | Retinaculum |
| Extensor digiti quinti proprius tendon | |
| VI compartment | Retinaculum |
| Extensor carpi ulnaris tendon | |
| Radiocarpal/midcarpal joint | |
| US Ventral Scans | |
| I compartment | Flexor carpi radialis tendon |
| II compartmentCarpal tunnel | Retinaculum |
| Median nerve | |
| Flexor pollicis longus tendon | |
| Flexor digitorum superficialis tendons | |
| III compartment | Guyon tunnel |
| IVcompartment | Flexor carpi ulnaristendon |
| Heading | All Subjects (n = 38), n (%) in 2017 | All Subjects (n = 38), n (%) in 2019 | p Values |
|---|---|---|---|
| Age (years), mean ± SD | 52.7 ± 0.5 | 53.34 ± 0.5 | p > 0.05 |
| BMI, mean ± SD | 27.8 ± 3.5 | 27.58 ± 3.6 | p > 0.05 |
| Right-handed | 37 (97.3%) | 37 (97.3%) | p > 0.05 |
| Having hobbies or sports | 3 (7.8%) | 3 (7.8%) | p > 0.05 |
| Years in current job, mean ± SD Other jobs Primary sector Secondary sector Tertiary sector None | 27.52 ± 6.1 14 (37.5%) 9 (22.5%) 3 (7.5%) 12 (32.5%) | 29.39 ± 6.1 18 (47.3%) 13 (34.2%) 3 (7.8%) 4 (10.5%) | p > 0.05 p > 0.05 p > 0.05 p > 0.05 p > 0.05 p = 0.005 |
| Contract type | |||
| 75 days per year | 26 (68.4%) | 26 (68.4%) | p > 0.05 |
| 151 days per year | 9 (23.6%) | 9 (23.6%) | p > 0.05 |
| Permanent job | 3 (7.8%) | 3 (7.8%) | p > 0.05 |
| 2017 | 2019 | p Value | 2017 | 2019 | p Value | |
|---|---|---|---|---|---|---|
| Dominant Hand (n = 38) | Dominant Hand (n = 38) | Non-Dominant HAND (n = 38) | Non-Dominant Hand (n = 38) | |||
| Tendinopathies | 21 (55.2%) | 24 (63.1%) | p > 0.05 | 18 (47.3%) | 30 (78.9%) | p = 0.04 |
| Tendinitis | 14 (36.8%) | 18 (43.7%) | p > 0.05 | 12 (31.5%) | 23 (60.5%) | p = 0.011 |
| Tenosynovitis | 9 (23.6%) | 18 (47.3%) | p = 0.03 | 9 (23.6%) | 16 (41.1%) | p > 0.05 |
| All Subjects (n = 38), n (%) in 2017 | All Subjects (n = 38), n (%) in 2019 | p Value | |
|---|---|---|---|
| Positive questionnaire | |||
| Dominant hand | 10 (26.3%) | 19 (50%) | p = 0.020 |
| Non-dominant hand | 8 (21%) | 11 (28.9%) | p > 0.05 |
| Positive hand chart | |||
| Dominant hand | 5 (13.1%) | 9 (23.6%) | p > 0.05 |
| Non-dominant hand | 6 (15.8%) | 6 (15.8%) | p > 0.05 |
| US cross-sectional area >0.10 cm2 | |||
| Dominant hand | 12 (32%) | 31 (81.5%) | p < 0.001 |
| Non-dominant hand | 10 (25%) | 21 (55.2%) | p = 0.008 |
Publisher’s Note: MDPI stays neutral with regard to jurisdictional claims in published maps and institutional affiliations. |
© 2021 by the authors. Licensee MDPI, Basel, Switzerland. This article is an open access article distributed under the terms and conditions of the Creative Commons Attribution (CC BY) license (https://creativecommons.org/licenses/by/4.0/).
Share and Cite
Masci, F.; Spatari, G.; Giorgianni, C.M.; Pernigotti, E.; Antonangeli, L.M.; Bordoni, V.; Magenta Biasina, A.; Pietrogrande, L.; Colosio, C. Hand-Wrist Disorders in Chainsaw Operators: A Follow-Up Study in a Group of Italian Loggers. Int. J. Environ. Res. Public Health 2021, 18, 7217. https://doi.org/10.3390/ijerph18147217
Masci F, Spatari G, Giorgianni CM, Pernigotti E, Antonangeli LM, Bordoni V, Magenta Biasina A, Pietrogrande L, Colosio C. Hand-Wrist Disorders in Chainsaw Operators: A Follow-Up Study in a Group of Italian Loggers. International Journal of Environmental Research and Public Health. 2021; 18(14):7217. https://doi.org/10.3390/ijerph18147217
Chicago/Turabian StyleMasci, Federica, Giovanna Spatari, Concetto Mario Giorgianni, Elisa Pernigotti, Laura Maria Antonangeli, Vittorio Bordoni, Alberto Magenta Biasina, Luca Pietrogrande, and Claudio Colosio. 2021. "Hand-Wrist Disorders in Chainsaw Operators: A Follow-Up Study in a Group of Italian Loggers" International Journal of Environmental Research and Public Health 18, no. 14: 7217. https://doi.org/10.3390/ijerph18147217
APA StyleMasci, F., Spatari, G., Giorgianni, C. M., Pernigotti, E., Antonangeli, L. M., Bordoni, V., Magenta Biasina, A., Pietrogrande, L., & Colosio, C. (2021). Hand-Wrist Disorders in Chainsaw Operators: A Follow-Up Study in a Group of Italian Loggers. International Journal of Environmental Research and Public Health, 18(14), 7217. https://doi.org/10.3390/ijerph18147217

