Conventional versus Digital Impressions for Full Arch Screw-Retained Maxillary Rehabilitations: A Randomized Clinical Trial
Abstract
1. Introduction
2. Materials and Methods
2.1. Patient Selection
2.2. Pretreatment
2.3. Surgical Procedure
2.4. Post-Surgical Instructions
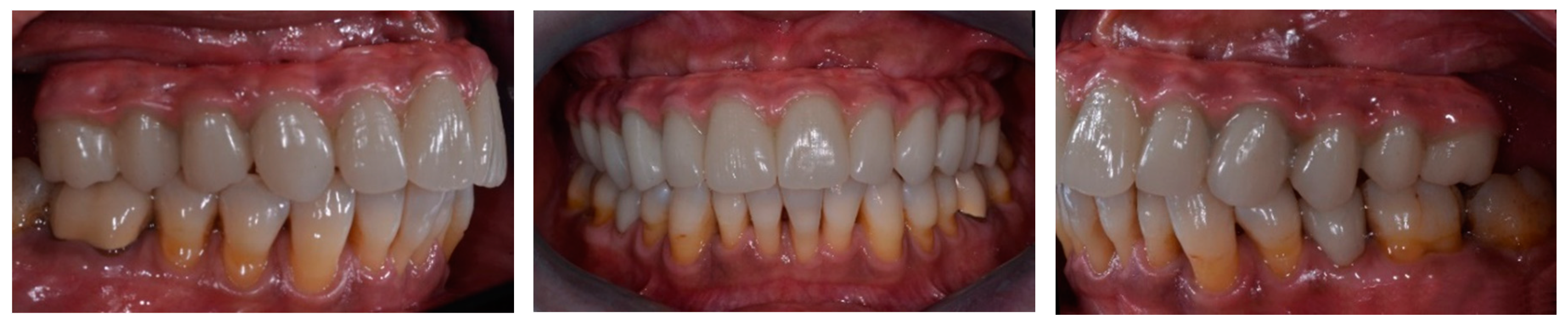
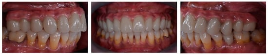
2.5. Prosthetic Protocol
2.6. Follow-Up
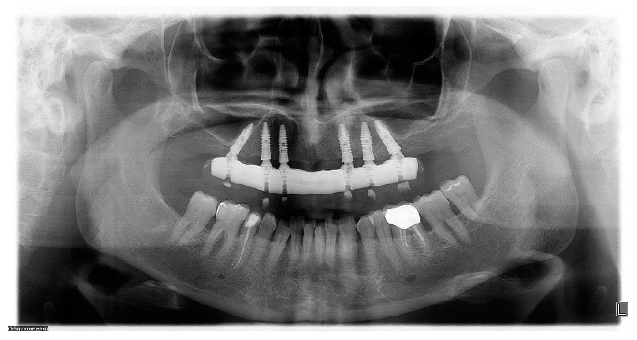
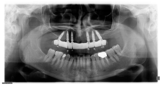
2.7. Radiographic Examination
2.8. Statistical Analysis
3. Results
4. Discussion
5. Conclusions
Author Contributions
Funding
Conflicts of Interest
References
- Crespi, R.; Capparè, P. Immediate occlusal loading of full-arch rehabilitations: Screw-retained versus cement-retained prosthesis. An 8-year clinical evaluation. Int. J. Oral Maxillofac. Implants 2014, 29, 1406–1411. [Google Scholar] [CrossRef] [PubMed]
- Bruschi, G.B.; Crespi, R. Localized management of sinus floor technique for implant placement in fresh molar sockets. Clin. Implant Dent. Relat. Res. 2013, 15, 243–250. [Google Scholar] [CrossRef] [PubMed]
- Bruschi, G.B.; Crespi, R. Transcrestal Sinus Floor Elevation: A Retrospective Study of 46 Patients up to 16 Years. Clin. Implant Dent. Relat. Res. 2012, 14, 759–767. [Google Scholar] [CrossRef] [PubMed]
- Agliardi, E.; Panigatti, S. Immediate rehabilitation of the edentulous jaws with full fixed prostheses supported by four implants: Interim results of a single cohort prospective study. Clin. Implant Dent. Relat. Res. 2010, 21, 459–465. [Google Scholar] [CrossRef] [PubMed]
- Papaspyridakos, P.; Rajput, N. Digital Workflow for Fixed Implant Rehabilitation of an Extremely Atrophic Edentulous Mandible in Three Appointments. J. Esthet. Restor. Dent. 2017, 29, 178–188. [Google Scholar] [CrossRef] [PubMed]
- Donovan, T.E.; Chee, W.W. A review of contemporary impression materials and techniques. Dent. Clin. N. Am. 2004, 48, 445–470. [Google Scholar] [CrossRef] [PubMed]
- Buzayan, M.M.; Yunus, N.B. Passive fit in screw retained multi-unit implant prosthesis understanding and achieving: A review of the literature. J. Indian Prosthodont. Soc. 2014, 14, 16–23. [Google Scholar] [CrossRef] [PubMed]
- Krishnan, V.; Tony Thomas, C. Management of Abutment Screw Loosening: Review of Literature and Report of a Case. J. Indian Prosthodont. Soc. 2014, 14, 208–214. [Google Scholar] [CrossRef] [PubMed]
- Hanif, A.; Qureshi, A. Complications in implant dentistry. Eur. J. Dent. 2017, 11, 135–140. [Google Scholar] [PubMed]
- Amin, S.; Weber, H.P. Digital vs. Conventional full-arch implant impressions: A comparative study. Clin. Oral Implants Res. 2017, 28, 1360–1367. [Google Scholar] [CrossRef] [PubMed]
- Gherlone, E.F.; Ferrini, F. Digital Impressions for Fabrication of Definitive “All-on-Four” Restorations. Implant Dent. 2015, 24, 125–129. [Google Scholar] [CrossRef] [PubMed]
- Gherlone, E.F.; Capparé, P. Conventional Versus Digital Impressions for “All-on-Four” Restorations. Int. J. Oral Maxillofac. Implants 2016, 31, 324–330. [Google Scholar] [CrossRef] [PubMed]
- Ting-Shu, S.; Jian, S. Intraoral digital impression technique: A review. J. Prosthodont. 2015, 24, 313–321. [Google Scholar] [CrossRef] [PubMed]
- Gjelvold, B.; Chrcanovic, B.R. Intraoral digital impression technique compared to conventional impression techniques. A randomized clinical trial. J. Prosthodont. 2016, 25, 282–287. [Google Scholar] [CrossRef] [PubMed]
- Ahlholm, P.; Sipila, K. Digital Versus Conventional Impressions in Fixed Prosthodontics: A Review. J. Prosthodont. 2018, 27, 35–41. [Google Scholar] [CrossRef] [PubMed]
- Ender, A.; Mehl, A. In vitro evaluation of the accuracy of conventional and digital methods of obtaining full-arch dental impressions. Quintessence Int. 2015, 46, 9–17. [Google Scholar] [PubMed]
- Ferrini, F.; Capparè, P. Digital versus Traditional Workflow for Posterior Maxillary Rehabilitations Supported by One Straight and One Tilted Implant: A 3-Year Prospective Comparative Study. BioMed Res. Int. 2018, 2018, 4149107. [Google Scholar] [CrossRef] [PubMed]
- Joda, T.; Brägger, U. Complete digital workflow for the production of implant-supported single-unit monolithic crowns. Clin. Oral Implants Res. 2014, 25, 1304–1306. [Google Scholar] [CrossRef] [PubMed]
- Schepke, U.; Meijer, H. Digital versus analog complete-arch impressions for single-unit premolar implant crowns: Operating time and patient preference. J. Prosthet. Dent. 2015, 114, 403.e1–406.e1. [Google Scholar] [CrossRef] [PubMed]
- Wismeijer, D.; Mans, R. Patients’ preferences when comparing analogue implant impressions using a polyether impression material versus digital impressions (Intraoral Scan) of dental implants. Clin. Oral Implants Res. 2014, 25, 1113–1118. [Google Scholar] [CrossRef] [PubMed]
- Gintaute, A.; Papatriantafyllou, N. Accuracy of computerized and conventional impression-making procedures for multiple straight and tilted dental implants. Int. J. Esthet. Dent. 2018, 13, 550–565. [Google Scholar] [PubMed]
- Rech-Ortega, C.; Fernandez-Estevan, L. Comparative in vitro study of the accuracy of impression techniques for dental implants: Direct technique with an elastomeric impression material versus intraoral scanner. Med. Oral Patol. Oral Cir. Bucal 2019, 24, e89–e95. [Google Scholar] [CrossRef] [PubMed]
- Muhlemann, S.; Kraus, R.D. Is the use of digital technologies for the fabrication of implant-supported reconstructions more efficient and/or more effective than conventional techniques: A systematic review. Clin. Oral Implants Res. 2018, 9, 184–195. [Google Scholar] [CrossRef] [PubMed]
- Juodzbalys, G.; Sakavicius, D. Classification of Extraction Sockets Based Upon Soft and Hard Tissue Components. J. Periodontol. 2008, 79, 413–424. [Google Scholar] [CrossRef] [PubMed]
- Crespi, R.; Capparè, P. Midfacial Tissue Assessment of the Effect of Amount of Keratinized Mucosa on Immediate Temporarization of Fresh Socket Implants: 8-Year Follow-up. Int. J. Periodont. Restor. Dent. 2018, 39, 227–232. [Google Scholar] [CrossRef] [PubMed]
- Bruschi, G.B.; Crespi, R. Clinical study of flap design to increase the keratinized gingiva around implants: 4-year follow-up. J. Oral Implantol. 2014, 40, 459–464. [Google Scholar] [CrossRef] [PubMed]
- Gastaldi, G.; Vinci, R. Immediate versus delayed loading of a new conical connection implant in the esthetic zone: A randomized study with 2-year follow-up. J. Osseointegr. 2017, 9, 271–275. [Google Scholar]
- Gherlone, E.F.; Capparè, P. Evaluation of resistance against bacterial microleakage of a new conical implant-Abutment connection versus conventional connections: An in vitro study. New Microbiol. 2016, 39, 59–66. [Google Scholar]
- Maló, P.; de Araùjo Nobre, M. All-on-4® Treatment Concept for the Rehabilitation of the Completely Edentulous Mandible: A 7-Year Clinical and 5-Year Radiographic Retrospective Case Series with Risk Assessment for Implant Failure and Marginal Bone Level. Clin. Implant Dent. Relat. Res. 2015, 17, e531–e541. [Google Scholar] [CrossRef] [PubMed]
- Mandelli, F.; Gherlone, E.F. Full-arch intraoral scanning: Comparison of the two different strategies and their accuracy outcomes. J. Osseointegr. 2018, 10, 65–74. [Google Scholar]
- Flugge, T.V.; Schlager, S. Precision of intraoral digital dental impressions with iTero and extraoral digitization with the iTero and a model scanner. Am. J. Orthod. Dentofac. Orthop. 2013, 144, 471–478. [Google Scholar] [CrossRef] [PubMed]
- Abdel-Azim, T.; Zandinejad, A. The influence of digital fabrication options on the accuracy of dental implant-based single units and complete-arch frameworks. Int. J. Oral Maxillofac. Implants 2014, 29, 1281–1288. [Google Scholar] [CrossRef] [PubMed]
- Albdour, E.A.; Shaheen, E. A novel in vivo method to evaluate trueness of digital impressions. BMC Oral Health 2018, 18, 117. [Google Scholar] [CrossRef] [PubMed]
- Alikhasi, M.; Siadat, H. Three-Dimensional Accuracy of Digital Impression versus Conventional Method: Effect of Implant Angulation and Connection Type. Int. J. Dent. 2018, 2018, 3761750. [Google Scholar] [CrossRef] [PubMed]
- Zimmermann, M.; Koller, C. A Precision of guided scanning procedures for full-arch digital impressions in vivo. J. Orofac. Orthop. 2017, 78, 466–471. [Google Scholar] [CrossRef] [PubMed]
- Park, G.H.; Son, K. Feasibility of using an intraoral scanner for a complete-arch digital scan. J. Prosthet. Dent. 2018. [Google Scholar] [CrossRef] [PubMed]
- Mangano, A.; Beretta, M. Conventional Vs Digital Impressions: Acceptability, Treatment Comfort and Stress Among Young Orthodontic Patients. Open Dent. J. 2018, 12, 118–124. [Google Scholar] [CrossRef] [PubMed]
- Nedelcu, R.; Olsson, P. Finish line distinctness and accuracy in 7 intraoral scanners versus conventional impression: An in vitro descriptive comparison. BMC Oral Health 2018, 18, 27. [Google Scholar] [CrossRef] [PubMed]
- Imburgia, M.; Logozzo, S. Accuracy of four intraoral scanners in oral implantology: A comparative in vitro study. BMC Oral Health 2017, 17, 92. [Google Scholar] [CrossRef] [PubMed]
- Joda, T.; Katsoulis, J. Clinical Fitting and Adjustment Time for Implant-Supported Crowns Comparing Digital and Conventional Workflows. Clin. Implant Dent. Relat. Res. 2016, 18, 946–954. [Google Scholar] [CrossRef] [PubMed]
- Joda, T.; Bragger, U. Digital vs. conventional implant prosthetic workflows: A cost/time analysis. Clin. Oral Implants Res. 2015, 26, 1430–1435. [Google Scholar] [CrossRef] [PubMed]
- Yuzbasioglu, E.; Kurt, H. Comparison of digital and conventional impression techniques: Evaluation of patients’ perception, treatment comfort, effectiveness and clinical outcomes. BMC Oral Health 2014, 14, 10. [Google Scholar] [CrossRef] [PubMed]
- Gherlone, E.; Mandelli, F. A 3 years retrospective study of survival for zirconia-based single crowns fabricated from intraoral digital impressions. J. Dent. 2014, 42, 1151–1155. [Google Scholar] [CrossRef] [PubMed]
- Treesh, J.C.; Liacouras, P.C. Complete-arch accuracy of intraoral scanners. J. Prosthet. Dent. 2018, 120, 382–388. [Google Scholar] [CrossRef] [PubMed]
- Pesce, P.; Pera, F. Al Precision and Accuracy of a Digital Impression Scanner in Full-Arch Implant Rehabilitation. Int. J. Prosthodont. 2018, 31, 171–175. [Google Scholar] [CrossRef] [PubMed]
- Penarrocha-Diago, M.; Balaguer-Martì, J.C. A combined digital and stereophotogrammetric technique for rehabilitation with immediate loading of complete-arch, implant-supported prostheses: A randomized controlled pilot clinical trial. J. Prosthet. Dent. 2017, 118, 596–603. [Google Scholar] [CrossRef] [PubMed]
- Mangano, F.; Gandolfi, A. Intraoral scanners in dentistry: A review of the current literature. BMC Oral Health 2017, 17, 149. [Google Scholar] [CrossRef] [PubMed]
- Gimenez, B.; Ozcan, M. Accuracy of a digital impression system based on parallel confocal laser technology for implants with consideration of operator experience and implant angulation and depth. Int. J. Oral Maxillofac. Implants 2014, 29, 853–862. [Google Scholar] [CrossRef] [PubMed]
- Van der Meer, W.J.; Andriessen, F.S. Application of intraoral dental scanners in the digital workflow of implantology. PLoS ONE 2012, 8, e43312. [Google Scholar] [CrossRef]
- Gimenez, B.; Ozcan, M. Accuracy of a digital impression system based on active wavefront sampling technology for implants considering operator experience, implant angulation, and depth. Clin. Implant Dent. Relat. Res. 2015, 17, e54–e64. [Google Scholar] [CrossRef] [PubMed]
- Seelbach, P.; Brueckel, C. Accuracy of digital and conventional impression techniques and workflow. Clin. Oral Investig. 2013, 17, 1759–1764. [Google Scholar] [CrossRef] [PubMed]
- Ender, A.; Mehl, A. Influence of scanning strategies on the accuracy of digital intraoral scanning systems. Int. J. Comput. Dent. 2013, 16, 11–21. [Google Scholar] [PubMed]
- Muller, P.; Ender, A. Impact of digital intraoral scan strategies on the impression accuracy using the TRIOS Pod scanner. Quintessence Int. 2016, 47, 343–349. [Google Scholar] [PubMed]
- Medina-Sotomayor, P.; Pascual, M.A. Accuracy of four digital scanners according to scanning strategy in complete-arch impressions. PLoS ONE 2018, 13, e0202916. [Google Scholar] [CrossRef] [PubMed]
- Lee, S.J.; Macarthur, R.X., IV. An evaluation of student and clinician perception of digital and conventional implant impressions. J. Prosthet. Dent. 2013, 110, 420–423. [Google Scholar] [CrossRef] [PubMed]









| MAXILLA n = 300 | |||
|---|---|---|---|
| Total n = 300 | length 13 mm | length 15 mm | |
| diameter 4.2 mm | 13 | 30 | |
| diameter 3.8 mm | 214 | 43 | |
| Parameter | CIG | DIG | p Value |
|---|---|---|---|
| Procedure time | 16:45 ± 4:49 | 8:59 ± 2:46 | <0.05 |
| Additional time | 06:02 ± 2:01 | 2:34 ± 1:02 | <0.05 |
| No. of retakes | 2 | 7 |
| Bone Loss | IMPLANTS | |
|---|---|---|
| CIG | DIG | |
| 6 months (mm) | 1.03 ± 0.32 | 0.99 ± 0.48 |
| 12 months (mm) | 1.04 ± 0.56 | 1.08 ± 0.52 |
| 24 months (mm) | 1.07 ± 0.66 | 1.11 ± 0.54 |
© 2019 by the authors. Licensee MDPI, Basel, Switzerland. This article is an open access article distributed under the terms and conditions of the Creative Commons Attribution (CC BY) license (http://creativecommons.org/licenses/by/4.0/).
Share and Cite
Cappare, P.; Sannino, G.; Minoli, M.; Montemezzi, P.; Ferrini, F. Conventional versus Digital Impressions for Full Arch Screw-Retained Maxillary Rehabilitations: A Randomized Clinical Trial. Int. J. Environ. Res. Public Health 2019, 16, 829. https://doi.org/10.3390/ijerph16050829
Cappare P, Sannino G, Minoli M, Montemezzi P, Ferrini F. Conventional versus Digital Impressions for Full Arch Screw-Retained Maxillary Rehabilitations: A Randomized Clinical Trial. International Journal of Environmental Research and Public Health. 2019; 16(5):829. https://doi.org/10.3390/ijerph16050829
Chicago/Turabian StyleCappare, Paolo, Gianpaolo Sannino, Margherita Minoli, Pietro Montemezzi, and Francesco Ferrini. 2019. "Conventional versus Digital Impressions for Full Arch Screw-Retained Maxillary Rehabilitations: A Randomized Clinical Trial" International Journal of Environmental Research and Public Health 16, no. 5: 829. https://doi.org/10.3390/ijerph16050829
APA StyleCappare, P., Sannino, G., Minoli, M., Montemezzi, P., & Ferrini, F. (2019). Conventional versus Digital Impressions for Full Arch Screw-Retained Maxillary Rehabilitations: A Randomized Clinical Trial. International Journal of Environmental Research and Public Health, 16(5), 829. https://doi.org/10.3390/ijerph16050829
