Alveolar Rhabdomyosarcoma of Nasopharynx and Paranasal Sinuses in Children Diagnosis and Treatment—Review of the Literature and Case Report
Abstract
1. Introduction
2. RMS Etiology
3. RMS Classification
- Embryonal Rhabdomyosarcoma (ERMS): This is the most common subtype, primarily affecting children. ERMS can be present in various forms, including botryoid and diffuse types. The botryoid variant has a favorable prognosis, especially when it arises in mucosal-lined sites such as the bladder or vagina.
- Alveolar Rhabdomyosarcoma (ARMS): Characterized by PAX3-FOXO1 or PAX7-FOXO1 gene fusions, ARMS is more aggressive than ERMS and is typically found in older children or adolescents. These tumors often have a worse prognosis due to the presence of these fusion genes, which disrupt normal cellular differentiation.
- Spindle Cell/Sclerosing Rhabdomyosarcoma: This subtype is rare and is noted for its spindle-shaped cells and sclerotic background. It is most commonly found in the head and neck or extremities, with a predilection for the paratesticular region in pediatric patients.Spindle cell RMS can be further categorized based on genetic findings:
- -
- VGLL2 and NCOA2 rearrangements are typically seen in infantile cases, which tend to have a favorable prognosis.
- -
- MYOD1 mutations, more common in adolescents and adults, are associated with a poor prognosis.
- -
- The intraosseous variant, involving TFCP2::NCOA2 fusion genes, is an additional form that can be identified in bone tissues.
- Pleomorphic Rhabdomyosarcoma: This subtype, mainly seen in adults, is characterized by pleomorphic tumor cells (irregular shapes and sizes). Pleomorphic RMS is associated with a poor prognosis due to its more aggressive clinical behavior [22].
- Embryonal RMS
- -
- Description: Characterized by primitive, ovoid, or angulated spindle-shaped cells.
- -
- Histology: Scattered rhabdomyoblasts (cells showing skeletal muscle differentiation).
- -
- Variant: A subset may exhibit diffuse anaplasia, which is associated with worse prognosis.
- -
- Significance: It is the most common subtype in children and has a relatively favorable prognosis.
- Alveolar RMS
- -
- Description: Composed of monotonous round cells.
- -
- Histology: May display a distinct alveolar pattern, resembling small clusters of cells in spaces (“alveoli”).
- -
- Genetics: Often associated with fusion genes, such as PAX3-FOXO1 or PAX7-FOXO1, linked to a more aggressive course.
- -
- Significance: Typically seen in adolescents and young adults.
- Spindle Cell RMS of MYOD1-mutated Type
- -
- Description: Features fascicles of spindle cells with areas of primitive round cells.
- -
- Histology: Dense sclerosis may be present, creating a pseudoalveolar pattern. Rare rhabdomyoblasts may be observed.
- -
- Genetics: Associated with MYOD1 mutations, which carry a poor prognosis.
- -
- Significance: This subtype differs from classic spindle cell RMS due to its molecular profile and aggressive behavior.
- Osseous Spindle Cell RMS
- -
- Description: Histology ranges from mixed spindled to epithelioid, with less frequent pure spindled or epithelioid patterns.
- -
- Significance: This rare subtype highlights the morphological diversity of RMS, which can include areas mimicking bone formation.
- Fusion-Driven Spindle Cell RMS
- -
- Description: A heterogeneous group with variable spindle cell morphology.
- -
- Genetics: Defined by specific gene fusions, which influence its clinical and pathological behavior.
- -
- Significance: This emerging category underscores the importance of molecular studies in diagnosing RMS.
- Spindle Cell RMS, NOS (Not Otherwise Specified)
- -
- Description: Appears as a non-descript spindle cell sarcoma with rhabdomyoblastic differentiation.
- -
- Significance: Lack of distinct genetic or histological markers places it in this catch-all category.
- Pleomorphic RMS
- -
- Description: Composed of large, pleomorphic rhabdomyoblasts.
- -
- Histology: Displays high-grade features with significant cellular atypia and pleomorphism.
- -
- Significance: Predominantly occurs in adults and has a poor prognosis.
- Epithelioid RMS
- -
- Description: Features a distinct epithelioid morphology resembling carcinoma or melanoma.
- -
- Histology: A unique presentation of RMS with cells mimicking epithelial tumors.
- -
- Significance: Highlights the potential diagnostic challenges due to their resemblance to non-sarcomatous malignancies.
- RMS Arising in Immature Rhabdomyoblastic Tumors (IRMT)
- -
- Description: Morphology ranges from epithelioid to rhabdoid or undifferentiated spindle to epithelioid cells.
- -
- Significance: Reflects RMS transformation in a previously identified precursor tumor type, potentially impacting clinical management.
4. RMS in Differential Diagnoses
5. RMS Treatment Options and Survival Rates
5.1. Surgical Approach
- -
- group 1—The tumor is completely removed;
- -
- group 2—Microscopic residual tumor tissue, invasive loco-regional ganglia, or both;
- -
- group 3—High residual tumor tissue;
- -
- group 4—Distant metastases.
5.2. Radiotherapy Treatment
- -
- Group I—36 Gy;
- -
- Group II—41.4 Gy;
- -
- Group III—50.4 Gy after lesion extension [8].
5.3. Chemotherapy Treatment
- -
- Complete response—No measurable tumor;
- -
- Good response—Reducing tumor volume by 2/3 compared to the initial volume;
- -
- Poor response—Reduction of tumor volume ˃1/3 and ˂2/3 from the initial volume;
- -
- Objective response—Reduction of tumor volume ˃1/3 compared to an initial volume;
- -
- Progressive disease—The Volume increases ˃1/3 or new lesions appear.
- -
- It is desirable to decrease or omit the alkylating therapy;
- -
- Doxorubicin does not improve prognosis in those at high risk;
- -
- high dose chemotherapy and stem cells do not improve prognosis in those at high risk;
- -
- In the USA, vincristine, actinomycin, and cyclophosphamide remain an important part of the therapy;
- -
- In Europe, the alkylating agent is ifosfamide;
- -
- High-risk patients with the worst prognosis have not improved their prognosis against the 1972 trial;
- -
- Increasing the dose received to be aggressive and decreasing the risk of relapse should be considered, provided it is not possible to identify a priori children with a high risk of relapse.
5.4. Survival Rates
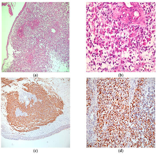
6. Our Experience—Case Report
7. Conclusions
Author Contributions
Funding
Institutional Review Board Statement
Informed Consent Statement
Conflicts of Interest
References
- Huang, Y.-L.; Tseng, C.-F.; Yang, L.-K.; Tsai, C.-H. Rhabdomyosarcoma of the Adult Nasopharynx A Case Report. J. Intern. Med. Taiwan 2005, 16, 146–150. [Google Scholar]
- Ricker, C.A.; Woods, A.D.; Simonson, W.; Lathara, M.; Srinivasa, G.; Rudzinski, E.R.; Mansoor, A.; Irwin, R.G.; Keller, C.; Berlow, N.E. Refractory alveolar rhabdomyosarcoma in an 11-year-old male. Cold Spring Harb. Mol. Case Stud. 2021, 7, a005983. [Google Scholar] [CrossRef]
- Hettmer, S.; Linardic, C.M.; Kelsey, A.; Rudzinski, E.R.; Vokuhl, C.; Selfe, J.; Ruhen, O.; Shern, J.F.; Khan, J.; Kovach, A.R.; et al. Molecular testing of rhabdomyosarcoma in clinical trials to improve risk stratification and outcome: A consensus view from European paediatric Soft tissue sarcoma Study Group, Children’s Oncology Group and Cooperative Weichteilsarkom-Studiengruppe. Eur. J. Cancer 2022, 172, 367–386. [Google Scholar] [CrossRef]
- Ruymann, F.B. Rhabdomyosarcoma in children and adolescents: A review. Hematol./Oncol. Clin. N. Am. 1987, 1, 621–654. [Google Scholar] [CrossRef]
- Pack, G.T.; Eberhart, W.F. Rhabdomyosarcoma of skeletal muscle; report of 100 cases. Surgery 1952, 32, 1023. [Google Scholar] [PubMed]
- Cleary, M.M.; Mansoor, A.; Settelmeyer, T.; Ijiri, Y.; Ladner, K.J.; Svalina, M.N.; Rubin, B.P.; Guttridge, D.C.; Keller, C. NFkappaB signaling in alveolar rhabdomyosarcoma. Dis. Models Mech. 2017, 10, 1109–1115. [Google Scholar] [CrossRef]
- Ohkawa, T.; Nishimura, A.; Kosaki, K.; Aoki-Nogami, Y.; Tomizawa, D.; Kashimada, K.; Morio, T.; Kato, M.; Mizutani, S.; Takagi, M. PAX3/7-FOXO1 fusion-negative alveolar rhabdomyosarcoma in Schuurs-Hoeijmakers syndrome. J. Hum. Genet. 2022, 67, 51–54. [Google Scholar] [CrossRef]
- Rosen, E.J.; Deskin, R.W. Pediatric Head and Neck Malignancies. In Grand Rounds Presentation; UTMB Department of Otolaryngology: Chamonix, France, 2003. [Google Scholar]
- Choudhary, P.; Sharma, S.; Singh, A.; Agarwal, S.; Singhal, P.; Singh, Y. Primary Alveolar Rhabdomyosarcoma of the Thyroid: A Case Report. Indian J. Otolaryngol. Head Neck Surg. 2024, 76, 3676–3678. [Google Scholar] [CrossRef]
- Bassi, A.; Zamma Gallarati, B.; Sardi, I.; Guidi, M.; Caporalini, C.; Pelosi, P.; de Martino, M. Alveolar rhabdomyosarcoma in a 6-month-old boy. Arch. Dis. Child. 2018, 103, 95. [Google Scholar] [CrossRef]
- Dasgupta, R.; Fuch, J.; Rodeberg, D. Rhabdomyosarcoma, Review. Semin. Pediatr. Surg. 2016, 25, 276–283. [Google Scholar] [CrossRef]
- Hu, Y.; He, Z.; Liu, S.; Ying, W.; Chen, Y.; Zhao, M.; He, M.; Wu, X.; Tang, Y.; Gu, W.; et al. Patient-derived rhabdomyosarcoma cells recapitulate the genetic and transcriptomic landscapes of primary tumors. iScience 2024, 27, 110862. [Google Scholar] [CrossRef] [PubMed]
- Jawad, N.; McHugh, K. The clinical and radiologic features of paediatric rhabdomyosarcoma. Pediatr. Radiol. 2019, 49, 1516–1523. [Google Scholar] [CrossRef] [PubMed]
- Healy, J.N.; Borg, M.F. Paediatric nasopharyngeal rhabdomyosarcoma: A case series and literature review. J. Med. Imaging Radiat. Oncol. 2010, 54, 388–394. [Google Scholar] [CrossRef] [PubMed]
- Chen, J.; Zhang, F.; Wang, L.; Sun, D.; Chen, X. Alveolar Rhabdomyosarcoma of the Nasal Dorsum of a Pediatric Patient: A Case Report. Ear Nose Throat J. 2023, online ahead of print. [Google Scholar] [CrossRef]
- Larson, J.H.; Rutledge, R.; Hunnell, L.; Choi, D.K.; Kellogg, R.G.; Naran, S. Nasal Embryonal Rhabdomyosarcoma in the Pediatric Population: Literature Review and Report of Midline Presentation. Plast. Reconstr. Surg. Glob. Open 2021, 9, e3534. [Google Scholar] [CrossRef]
- Liu, H.; Zhao, W.; Huang, M.; Zhou, X.; Gong, Y.; Lu, Y. Alveolar rhabdomyosarcoma of nasopharynx and paranasal sinuses with metastasis to breast in a middle-aged woman: A case report and literature review. Int. J. Clin. Exp. Pathol. 2015, 8, 15316–15321. [Google Scholar]
- Watanapokasin, N.; Phattraprayoon, N.; Limsiri, T.; Tungyingyong, P.; Ungtrakul, T. Bilateral Proptosis as an Unusual Presentation of Adult-Onset Alveolar-Type Rhabdomyosarcoma of Ethmoid Sinus: A Case Report. Case Rep. Oncol. 2022, 15, 783–791. [Google Scholar] [CrossRef]
- Okuno, K.; Kawaba, D.; Maejima, A.; Kakee, S.; Namba, N. A high-risk alveolar rhabdomyosarcoma case with Duchenne muscular dystrophy. Pediatr. Int. 2022, 64, e14754. [Google Scholar] [CrossRef]
- Tarakanova, A.V.; Sharlay, A.S.; Konovalov, D.M. Alveolar rhabdomyosarcoma: Novel surrogate markers associated with oncogenic translocation. Arkhiv Patol. 2023, 85, 10–15. [Google Scholar] [CrossRef]
- Rodeberg, D.A.; Paidas, C.N.; Lobe, T.L.; Brown, K.; Andrassy, R.J.; Crist, W.M.; Wiener, E.S. Surgical Principles for Children/Adolescents With Newly Diagnosed Rhabdomyosarcoma: A Report from the Soft Tissue Sarcoma Committee of the Children’s Oncology Group. Sarcoma 2002, 6, 111–122. [Google Scholar] [CrossRef]
- Dehner, C.A.; Rudzinski, E.R.; Davis, J.L. Rhabdomyosarcoma: Updates on classification and the necessity of molecular testing beyond immunohistochemistry. Hum. Pathol. 2024, 147, 72–81. [Google Scholar] [CrossRef] [PubMed]
- Torres-Peña, J.L.; Castrillo, A.I.R.; Mencía-Gutiérrez, E.; Gutiérrez-Díaz, E.; Rodríguez-Peralto, J.L.; Bengoa-González, Á. Nasal Cavity or Alveolar Paranasal Sinus Rhabdomyosarcoma with Orbital Extension in Adults: 2 Cases. Plast. Reconstr. Surg. Glob. Open 2015, 8, e414. [Google Scholar] [CrossRef] [PubMed]
- Nayak, D.R.; Balakrishnan, R.; Shahab, A.S.; Rao, L. Alveolar rhabdomyosarcoma of paranasal sinus with cervical metastasis-a case report. Indian J. Otolaryngol. Head Neck Surg. 2000, 52, 162–165. [Google Scholar] [CrossRef] [PubMed]
- Kana, L.A.; Smith, J.D.; Bellile, E.L.; Chugh, R.; McKean, E.L. Surgical Management of Rhabdomyosarcoma of the Nasal Cavity and Paranasal Sinuses: Analysis of Operative Indications, Settings, and Outcomes. J. Neurol. Surg. B Skull Base 2021, 83, 350–358. [Google Scholar] [CrossRef]
- Ahmed, A.A.; Tsokos, M. Sinonasal rhabdomyosarcoma in children and young adults. Int. J. Surg. Pathol. 2007, 15, 160–165. [Google Scholar] [CrossRef]
- Machavoine, R.; Helfre, S.; Bernier, V.; Bolle, S.; Leseur, J.; Corradini, N.; Rome, A.; Defachelles, A.-S.; Deneuve, S.; Bernard, S.; et al. Locoregional Control and Survival in Children, Adolescents, and Young Adults with Localized Head and Neck Alveolar Rhabdomyosarcoma—The French Experience. Front. Pediatr. 2022, 9, 783754. [Google Scholar] [CrossRef]
- Ozturk, K.; Gawande, R.; Gencturk, M.; Boegel, K.; Caicedo-Granados, E.; Cayci, Z. Imaging features of sinonasal tumors on positron emission tomography and magnetic resonance imaging including diffusion weighted imaging: A pictorial review. Clin. Imaging 2018, 51, 217–228. [Google Scholar] [CrossRef]
- Pulickal, G.G.; Navaratnam, A.V.; Nguyen, T.; Dragan, A.D.; Dziedzic, M.; Lingam, R.K.; Pulickal, G.G.; Navaratnam, A.V.; Nguyen, T.; Dragan, A.D.; et al. Imaging Sinonasal disease with MRI: Providing insight over and above CT. Eur. J. Radiol. 2018, 102, 157–168. [Google Scholar] [CrossRef]
- Tiwari, R.; Hardillo, J.A.; Mehta, D.; Slotman, B.; Tobi, H.; Croonenburg, E.; van der Waal, I.; Snow, G.B. Squamous cell carcinoma of maxillary sinus. Head Neck 2000, 22, 164–169. [Google Scholar] [CrossRef]
- Hermans, R.; De Vuysere, S.; Marchal, G. Squamous cell carcinoma of the sinonasal cavities. Semin. Ultrasound CT MR 1999, 20, 150–161. [Google Scholar] [CrossRef]
- Paidpally, V.; Chirindel, A.; Lam, S.; Agrawal, N.; Quon, H.; Subramaniam, R.M. FDG-PET/CT imaging biomarkers in head and neck squamous cell carcinoma. Imaging Med. 2012, 4, 633–647. [Google Scholar] [CrossRef] [PubMed]
- Dulguerov, P.; Allal, A.S.; Calcaterra, T.C. Esthesioneuroblastoma: A meta-analysis and review. Lancet Oncol. 2001, 2, 683–690. [Google Scholar] [CrossRef] [PubMed]
- Broski, S.M.; Hunt, C.H.; Johnson, G.B.; Subramaniam, R.M.; Peller, P.J. The added value of 18F-FDG PET/CT for evaluation of patients with esthesioneuroblastoma. J. Nucl. Med. 2012, 53, 1200–1206. [Google Scholar] [CrossRef] [PubMed]
- Raghavan, P.; Phillips, C.D. Magnetic resonance imaging of sinonasal malignancies. Top. Magn. Reson. Imaging 2007, 18, 259–267. [Google Scholar] [CrossRef] [PubMed]
- Maroldi, R.; Ravanelli, M.; Farina, D.; Facchetti, L.; Bertagna, F.; Lombardi, D.; Nicolai, P. Posttreatment evaluation of paranasal sinuses after treatment of sinonasal neoplasms. Neuroimaging Clin. N. Am. 2015, 25, 667–685. [Google Scholar] [CrossRef]
- Yoshioka, H.; Kamada, T.; Kandatsu, S.; Koga, M.; Yoshikawa, K.; Matsuoka, Y.; Mizoe, J.; Itai, Y.; Tsujii, H. MRI of mucosal malignant melanoma of the head and neck. J. Comput. Assist. Tomogr. 1998, 22, 492–497. [Google Scholar] [CrossRef]
- Haerle, S.K.; Soyka, M.B.; Fischer, D.R.; Murer, K.; Strobel, K.; Huber, G.F.; Holzmann, D. The value of 18F-FDG-PET/CT imaging for sinonasal malignant melanoma. Eur. Arch. Otorhinolaryngol. 2011, 269, 127–133. [Google Scholar] [CrossRef]
- Ichikawa, Y.; Sumi, M.; Sasaki, M.; Sumi, T.; Nakamura, T. Efficacy of diffusion-weighted imaging for the differentiation between lymphomas and carcinomas of the nasopharynx and oropharynx: Correlations of apparent diffusion coefficients and histologic features. Am. J. Neuroradiol. 2011, 33, 761–766. [Google Scholar] [CrossRef]
- Tempescul, A.; Querellou, S.; Ianotto, J.-C.; Boisramé, S.; Valette, G.; Berthou, C. 18F-FDG PET/CT in primary non-Hodgkin’s lymphoma of the sinonasal tract. Ann. Hematol. 2010, 89, 635–637. [Google Scholar] [CrossRef][Green Version]
- Rischin, D.; Coleman, A. Sinonasal malignancies of neuroendocrine origin. Hematol./Oncol. Clin. N. Am. 2008, 22, 1297–1316. [Google Scholar] [CrossRef]
- Gil, Z.; Even-Sapir, E.; Margalit, N.; Fliss, D.M. Integrated PET/CT system for staging and surveillance of skull base tumors. Head Neck 2007, 29, 537–545. [Google Scholar] [CrossRef] [PubMed]
- Banks, K.P.; Ly, J.Q.; Thompson, L.D.; Michaelson, P.G.; Davis, S.W. Mesenchymal chondrosarcoma of sinonasal cavity: A case report and brief literature review. Eur. J. Radiol. Extra 2004, 49, 47–51. [Google Scholar] [CrossRef]
- Eller, R.; Sillers, M. Common fibro-osseous lesions of the paranasal sinuses. Otolaryngol. Clin. N. Am. 2006, 39, 585–600. [Google Scholar] [CrossRef] [PubMed]
- Kubo, T.; Furuta, T.; Johan, M.P.; Ochi, M. Prognostic significance of 18F-FDG PET at diagnosis in patients with soft tissue sarcoma and bone sarcoma; systematic review and meta-analysis. Eur. J. Cancer 2016, 58, 104–111. [Google Scholar] [CrossRef]
- Kim, J.H.; Yoon, D.Y.; Baek, S.; Park, M.W.; Kwon, K.H.; Rho, Y.S. CT, MRI, and FDG PET/CT findings of sinonasal sarcoma: Differentiation from squamous cell carcinoma. J. Korean Radiol. 2016, 75, 17–25. [Google Scholar] [CrossRef]
- Wang, X.; Song, L.; Chong, V.; Wang, Y.; Li, J.; Xian, J. Multiparametric MRI findings of sinonasal rhabdomyosarcoma in adults with comparison to carcinoma. J. Magn. Reson. Imaging 2017, 45, 998–1004. [Google Scholar] [CrossRef]
- Chan, K.H.; Gao, D.; Fernandez, P.G.; Kingdom, T.T.; Kumpe, D.A. Juvenile nasopharyngeal angiofibroma. Laryngoscope 2013, 124, 672–677. [Google Scholar] [CrossRef]
- Lee, D.K.; Chung, S.K.; Dhong, H.J.; Kim, H.Y.; Kim, H.J.; Bok, K.H. Focal hyperostosis on CT of sinonasal inverted papilloma as a predictor of tumor origin. Am. J. Neuroradiol. 2007, 28, 618–621. [Google Scholar]
- Jeon, T.Y.; Kim, H.-J.; Chung, S.-K.; Dhong, H.-J.; Kim, H.Y.; Yim, Y.J.; Kim, S.T.; Jeon, P.; Kim, K.H. Sinonasal inverted papilloma: Value of convoluted cerebriform pattern on MR imaging. Am. J. Neuroradiol. 2008, 29, 1556–1560. [Google Scholar] [CrossRef]
- Ojiri, H.; Ujita, M.; Tada, S.; Fukuda, K. Potentially distinctive features of sinonasal inverted papilloma on MR imaging. Am. J. Roentgenol. 2000, 175, 465–468. [Google Scholar] [CrossRef]
- Shojaku, H.; Fujisaka, M.; Yasumura, S.; Ishida, M.; Tsubota, M.; Nishida, H.; Watanabe, Y.; Kawano, M.; Shimizu, M.; Fukuoka, J. Positron emission tomography for predicting malignancy of sinonasal inverted papilloma. Clin. Nucl. Med. 2007, 32, 275–278. [Google Scholar] [CrossRef] [PubMed]
- Yang, B.; Wang, Y.; Wang, S.; Dong, J. Magnetic resonance imaging features of schwannoma of the sinonasal tract. J. Comput. Assist. Tomogr. 2015, 39, 860–865. [Google Scholar] [CrossRef] [PubMed]
- Maroldi, R.; Ravanelli, M.; Borghesi, A.; Farina, D. Paranasal sinus imaging. Eur. J. Radiol. 2008, 66, 372–386. [Google Scholar] [CrossRef]
- Fitzpatrick, K.A.; Taljanovic, M.S.; Speer, D.P.; Graham, A.R.; Jacobson, J.A.; Barnes, G.R.; Hunter, T.B. Imaging findings of fibrous dysplasia with histopathologic and intraoperative correlation. Am. J. Roentgenol. 2004, 182, 1389–1398. [Google Scholar] [CrossRef] [PubMed]
- Werner, R.L.; Castle, J.T. Inflammatory myofibroblastic tumor of the nasal cavity. Head Neck Pathol. 2015, 10, 336–339. [Google Scholar] [CrossRef][Green Version]
- Yan, Z.; Wang, Y.; Zhang, Z. Inflammatory myofibroblastic tumor: An entity of CT and MR imaging to differentiate from malignant tumors of the sinonasal cavity. J. Comput. Assist. Tomogr. 2014, 38, 14–19. [Google Scholar] [CrossRef]
- Duval, M.; Hwang, E.; Kilty, S.J. Systematic review of treatment and prognosis of sinonasal hemangiopericytoma. Head Neck 2012, 35, 1205–1210. [Google Scholar] [CrossRef]
- Hennessey, P.T.; Reh, D.D. Benign sinonasal neoplasms. Am. J. Rhinol. Allergy 2013, 27, 31–34. [Google Scholar] [CrossRef]
- Fyrmpas, G.; Wurm, J.; Athanassiadou, F.; Papageorgiou, T.; Beck, J.-D.; Iro, H. Constantinidis Management of pediatric sinonasal rhabdomyosarcoma. J. Laryngol. Otol. 2009, 123, 990–996. [Google Scholar] [CrossRef]
- Hiroshima, Y.; Otomi, Y.; Shinya, T.; Otsuka, H.; Harada, M. 11C-Methionine PET/CT and 18F-FDG PET/CT in the Evaluation of Adult Alveolar Rhabdomyosarcoma. Mol. Imaging Radionucl. Ther. 2023, 32, 62–64. [Google Scholar] [CrossRef]
- Liu, J.H.; Qi, M.; Huang, W.H.; Sha, Y.; Zhang, F. The magnetic resonance characteristics of sinonasal rhabdomyosarcoma in adults: Analysis of 27 cases and comparison with pathological subtypes. BMC Med. Imaging. 2023, 23, 98. [Google Scholar] [CrossRef] [PubMed]
- Zeng, J.; Liu, L.; Li, J.; Huang, Q.; Pi, L.; Jin, K. MRI features of different types of sinonasal rhabdomyosarcomas: A series of eleven cases. Dentomaxillofacial Radiol. 2021, 50, 20210030. [Google Scholar] [CrossRef] [PubMed]
- Beltran, C.; Lukose, R.; Gangadharan, B.; Bani-Hashemi, A.; Faddegon, B.A. Image quality & dosimetric property of an investigational imaging beam line MV-CBCT. J. Appl. Clin. Med. Phys. 2009, 10, 3023–3036. [Google Scholar]
- Cripe, T.P.; Coppes, M.J. Pediatric Rhabdomyosarcoma Treatment & Management. 2018. Available online: https://emedicine.medscape.com/article/988803-treatment?form=fpf (accessed on 15 October 2024).
- Heim, C.; Moser, L.M.; Kreyenberg, H.; Bonig, H.B.; Tonn, T.; Wels, W.S.; Gradhand, E.; Ullrich, E.; Meister, M.T.; Koerkamp, M.G.; et al. ErbB2 (HER2)-CAR-NK-92 cells for enhanced immunotherapy of metastatic fusion-driven alveolar rhabdomyosarcoma. Front. Immunol. 2023, 14, 1228894. [Google Scholar] [CrossRef] [PubMed]
- Dorado García, H.; Pusch, F.; Bei, Y.; von Stebut, J.; Ibáñez, G.; Guillan, K.; Imami, K.; Gürgen, D.; Rolff, J.; Helmsauer, K.; et al. Therapeutic targeting of ATR in alveolar rhabdomyosarcoma. Nat. Commun. 2022, 13, 4297. [Google Scholar] [CrossRef]
- Filbin, M.; Monje, M. Developmental origins and emerging therapeutic opportunities for childhood cancer. Nat. Med. 2019, 25, 367–376. [Google Scholar] [CrossRef]
- Bisogno, G.; De Salvo, G.L.; Bergeron, C.; Melcón, S.G.; Merks, J.H.; Kelsey, A.; Martelli, H.; Minard-Colin, V.; Orbach, D.; Glosli, H.; et al. Vinorelbine and continuous low-dose cyclophosphamide as maintenance chemotherapy in patients with high-risk rhabdomyosarcoma (RMS 2005): A multicentre, open-label, randomised, phase 3 trial. Lancet Oncol. 2019, 20, 1566–1575. [Google Scholar] [CrossRef]
- Rajinder, S.; Rohaizam, J.; Irfan, M. Alveolar-type rhabdomyosarcoma of nasal cavity and paranasal sinus in adult with pulmonary metastasis: A case report. Egypt. J. Ear Nose Throat Allied Sci. 2016, 17, 177–179. [Google Scholar] [CrossRef]
- Moretti, G.; Guimarães, R.; Oliveira, K.M.; Sanjar, F.; Voegels, R.L. Rhabdomyosarcoma of the head and neck: 24 cases and literature review. Braz. J. Otorhinolaryngol. 2010, 76, 533–537. [Google Scholar] [CrossRef]
- Kainhofer, V.; Smolle, M.; Szkandera, J.; Liegl-Atzwanger, B.; Maurer-Ertl, W.; Gerger, A.; Riedl, J.; Leithner, A. The width of resection margins influences local recurrence in soft tissue sarcoma patients. Eur. J. Surg. Oncol. 2016, 42, 899–906. [Google Scholar] [CrossRef]
- Sparber-Sauer, M.; Ferrari, A.; Spunt, S.L.; Vokuhl, C.; Casey, D.; Lautz, T.B.; Meyer, W.H.; Walterhouse, D.O.; Pajtler, K.W.; Alaggio, R.; et al. The significance of margins in pediatric Non-Rhabdomyosarcoma soft tissue sarcomas: Consensus on surgical margin definition harmonization from the INternational Soft Tissue SaRcoma ConsorTium (INSTRuCT). Cancer Med. 2023, 12, 11719–11730. [Google Scholar] [CrossRef] [PubMed]
- Ferrari, A.; Casanova, M.; Collini, P.; Meazza, C.; Luksch, R.; Massimino, M.; Cefalo, G.; Terenziani, M.; Spreafico, F.; Catania, S.; et al. Adult-type soft tissue sarcomas in pediatric-age patients: Experience at the Istituto Nazionale Tumori in Milan. J. Clin. Oncol. 2005, 23, 4021–4030. [Google Scholar] [CrossRef] [PubMed]
- Spunt, S.L.; Million, L.; Chi, Y.-Y.; Anderson, J.; Tian, J.; Hibbitts, E.; Coffin, C.; McCarville, M.B.; Randall, R.L.; Parham, D.M.; et al. A risk-based treatment strategy for non-rhabdomyosarcoma soft-tissue sarcomas in patients younger than 30 years (ARST0332): A Children’s Oncology Group prospective study. Lancet Oncol. 2020, 21, 145–161. [Google Scholar] [CrossRef] [PubMed]
- Ferrari, A.; van Noesel, M.M.; Brennan, B.; Zanetti, I.; Corradini, N.; Casanova, M.; Berlanga, P.; Merks, J.H.M.; Alaggio, R.; Schifflers, S.; et al. Paediatric non-rhabdomyosarcoma soft tissue sarcomas: The prospective NRSTS 2005 study by the European Pediatric Soft Tissue Sarcoma Study Group (EpSSG). Lancet Child Adolesc. Health 2021, 5, 546–558. [Google Scholar] [CrossRef]
- Liu, Z.; Zhu, F.; Cao, W.; Sun, J.; Zhang, C.; He, Y. Surgical treatment of pediatric rhabdomyosarcoma in the parameningeal-nonparameningeal region. J. Craniomaxillofacial Surg. 2020, 48, 75–82. [Google Scholar] [CrossRef]
- Dasgupta, R.; Rodeberg, D.A. Update on rhabdomyosarcoma. Semin. Pediatr. Surg. 2012, 21, 68–78. [Google Scholar] [CrossRef]
- Pappo, A.S.; Anderson, J.R.; Crist, W.M.; Wharam, M.D.; Breitfeld, P.P.; Hawkins, D.; Raney, R.B.; Womer, R.B.; Parham, D.M.; Qualman, S.J.; et al. Survival after relapse in children and adolescents with rhabdomyosarcoma: A report from the Intergroup Rhabdomyosarcoma Study Group. J. Clin. Oncol. 1999, 17, 3487–3493. [Google Scholar] [CrossRef]
- Million, L.; Anderson, J.; Breneman, J.; Hawkins, D.S.; Laurie, F.; Michalski, J.; Rodeberg, D.; Wharam, M.; Wolden, S.; Donaldson, S.S.; et al. Influence of noncompliance with radiation therapy protocol guidelines and operative bed recurrences for children with rhabdomyosarcoma and microscopic residual disease: A report from the children’s oncology group. Int. J. Radiat. Oncol. Biol. Phys. 2011, 80, 333–338. [Google Scholar] [CrossRef]
- Merchant, T.E. Proton beam therapy in pediatric oncology. Cancer J. 2009, 15, 298–305. [Google Scholar] [CrossRef]
- Mizumoto, M.; Murayama, S.; Akimoto, T.; Demizu, Y.; Fukushima, T.; Ishida, Y.; Oshiro, Y.; Numajiri, H.; Fuji, H.; Okumura, T.; et al. Preliminary results of proton radiotherapy for pediatric rhabdomyosarcoma: A multi-institutional study in Japan. Cancer Med. 2018, 7, 1870–1874. [Google Scholar] [CrossRef]
- Dávila Fajardo, R.; Scarzello, G.; Gaze, M.N.; Boterberg, T.; Cameron, A.; Fuchs, J.; Guérin, F.; Hoskin, P.; Krasin, M.J.; Kroon, P.; et al. Brachytherapy for rhabdomyosarcoma: Survey of international clinical practice and development of guidelines. Radiother. Oncol. 2024, 195, 110273. [Google Scholar] [CrossRef] [PubMed]
- Yokouchi, M.; Terahara, M.; Nagano, S.; Arishima, Y.; Zemmyo, M.; Yoshioka, T.; Tanimoto, A.; Komiya, S. Clinical implications of determination of safe surgical margins by using a combination of CT and 18FDG-positron emission tomography in soft tissue sarcoma. BMC Musculoskelet. Disord. 2011, 12, 166. [Google Scholar] [CrossRef] [PubMed]
- O’Sullivan, F.; Wolsztynski, E.; O’Sullivan, J.; Richards, T.; Conrad, E.U.; Eary, J.F. A statistical modeling approach to the analysis of spatial patterns of FDG-PET uptake in human sarcoma. IEEE Trans. Med. Imaging 2011, 30, 2059–2071. [Google Scholar] [CrossRef]
- Kumar, R.; Shandal, V.; Shamim, S.A.; Halanaik, D.; Malhotra, A. Clinical applications of PET and PET/CT in pediatric malignancies. Expert Rev. Anticancer. Ther. 2010, 10, 755–768. [Google Scholar] [CrossRef] [PubMed]
- Mody, R.J.; Bui, C.; Hutchinson, R.J.; Yanik, G.A.; Castle, V.P.; Frey, K.A.; Shulkin, B.L. FDG-PET imaging of childhood sarcomas. Pediatr. Blood Cancer 2010, 54, 222–227. [Google Scholar] [CrossRef]
- Pourmehdi Lahiji, A.; Jackson, T.; Nejadnik, H.; von Eyben, R.; Rubin, D.; Spunt, S.L.; Quon, A.; Daldrup-Link, H. Association of Tumor [18F]FDG Activity and Diffusion Restriction with Clinical Outcomes of Rhabdomyosarcomas. Mol. Imaging Biol. 2019, 21, 591–598. [Google Scholar] [CrossRef]
- Arndt, C.A.; Bisogno, G.; Koscielniak, E. Fifty years of rhabdomyosarcoma studies on both sides of the pond and lessons learned. Cancer Treat. Rev. 2018, 68, 94–101. [Google Scholar] [CrossRef]
- Hawkins, D.S.; Gupta, A.A.; Rudzinski, E.R. What is new in the biology and treatment of pediatric rhabdomyosarcoma? Curr. Opin. Pediatr. 2014, 26, 50–56. [Google Scholar] [CrossRef]
- Dantonello, T.M.; Int-Veen, C.; Harms, D.; Leuschner, I.; Schmidt, B.F.; Herbst, M.; Juergens, H.; Scheel-Walter, H.-G.; Bielack, S.S.; Klingebiel, T.; et al. Cooperative trial CWS-91 for localized soft tissue sarcoma in children, adolescents, and young adults. J. Clin. Oncol. 2009, 27, 1446–1455. [Google Scholar] [CrossRef]
- Oberlin, O.; Rey, A.; de Toledo, J.S.; Martelli, H.; Jenney, M.E.; Scopinaro, M.; Bergeron, C.; Merks, J.H.; Bouvet, N.; Ellershaw, C.; et al. Randomized comparison of intensified six-drug versus standard three-drug chemotherapy for high-risk nonmetastatic rhabdomyosarcoma and other chemotherapy-sensitive childhood soft tissue sarcomas: Long-term results from the International Society of Pediatric Oncology MMT95 study. J. Clin. Oncol. 2012, 30, 2457–2465. [Google Scholar]
- Dantonello, T.M.; Stark, M.; Timmermann, B.; Fuchs, J.; Selle, B.; Linderkamp, C.; Handgretinger, R.; Hagen, R.; Feuchtgruber, S.; Kube, S.; et al. Tumour volume reduction after neoadjuvant chemotherapy impacts outcome in localised embryonal rhabdomyosarcoma. Pediatr. Blood Cancer 2015, 62, 16–23. [Google Scholar] [CrossRef] [PubMed]
- Nitescu, D.C.K.; Constantin, M.; Martu, S. Evaluation of Cumulative Effects of Chemotherapy and Bevacizumab (Avastin) in Oncological Patients with Periodontal Disease. Rev. Chim. 2017, 68, 549–552. [Google Scholar] [CrossRef]
- Crist, W.; Gehan, E.A.; Ragab, A.H.; Dickman, P.S.; Donaldson, S.S.; Fryer, C.; Hammond, D.; Hays, D.M.; Herrmann, J.; Heyn, R. The Third Intergroup Rhabdomyosarcoma Study. J. Clin. Oncol. 1995, 13, 610–630. [Google Scholar] [CrossRef] [PubMed]
- Arndt, C.A.S.; Stoner, J.A.; Hawkins, D.S.; Rodeberg, D.A.; Hayes-Jordan, A.A.; Paidas, C.N.; Parham, D.M.; Teot, L.A.; Wharam, M.D.; Breneman, J.C.; et al. Vincristine, actinomycin, and cyclophosphamide compared with vincristine, actinomycin, and cyclophosphamide alternating with vincristine, topotecan, and cyclophosphamide for intermediate-risk rhabdomyosarcoma: Children’s oncology group study D9803. J. Clin. Oncol. 2009, 27, 5182–5188. [Google Scholar] [CrossRef]
- Zarrabi, A.; Perrin, D.; Kavoosi, M.; Sommer, M.; Sezen, S.; Mehrbod, P.; Bhushan, B.; Machaj, F.; Rosik, J.; Kawalec, P.; et al. Rhabdomyosarcoma: Current Therapy, Challenges, and Future Approaches to Treatment Strategies. Cancers 2023, 15, 5269. [Google Scholar] [CrossRef]
- Yang, L.; Takimoto, T.; Fujimoto, J. Prognostic model for predicting overall survival in children and adolescents with rhabdomyosarcoma. BMC Cancer 2014, 14, 654. [Google Scholar] [CrossRef]
- Choi, P.J.; Iwanaga, J.; Tubbs, R.S.; Yilmaz, E. Surgical Interventions for Advanced Parameningeal Rhabdomyosarcoma of Children and Adolescents. Cureus 2018, 10, e2045. [Google Scholar] [CrossRef]
- Jacobson, J.; Jamieson, J.; Mushunje, S.; Harrison, D. Management and outcomes of children with rhabdomyosarcoma in a low-to-middle-income country: A first report from Chris Hani Baragwanath Academic Hospital, South Africa. J. Pediatr. Surg. Open 2024, 6, 100139. [Google Scholar] [CrossRef]
- Ferrari, A.; Miceli, R.; Meazza, C.; Casanova, M.; Favini, F.; Morosi, C.; Trecate, G.; Marchianò, A.; Luksch, R.; Cefalo, G.; et al. Comparison of the prognostic value of assessing tumor diameter versus tumor volume at diagnosis or in response to initial chemotherapy in rhabdomyosarcoma. J. Clin. Oncol. 2010, 28, 1322–1328. [Google Scholar] [CrossRef]
- Mandeville, H.C. Radiotherapy in the Management of Childhood Rhabdomyosarcoma. Clin. Oncol. 2019, 31, 462–470. [Google Scholar] [CrossRef]


Disclaimer/Publisher’s Note: The statements, opinions and data contained in all publications are solely those of the individual author(s) and contributor(s) and not of MDPI and/or the editor(s). MDPI and/or the editor(s) disclaim responsibility for any injury to people or property resulting from any ideas, methods, instructions or products referred to in the content. |
© 2025 by the authors. Published by MDPI on behalf of the Lithuanian University of Health Sciences. Licensee MDPI, Basel, Switzerland. This article is an open access article distributed under the terms and conditions of the Creative Commons Attribution (CC BY) license (https://creativecommons.org/licenses/by/4.0/).
Share and Cite
Mârțu, C.; Tîrnovanu, Ș.D.; Mârțu, I.; Ferariu, D.; Mârțu, D.; Jităreanu, A.; Rădulescu, L. Alveolar Rhabdomyosarcoma of Nasopharynx and Paranasal Sinuses in Children Diagnosis and Treatment—Review of the Literature and Case Report. Medicina 2025, 61, 80. https://doi.org/10.3390/medicina61010080
Mârțu C, Tîrnovanu ȘD, Mârțu I, Ferariu D, Mârțu D, Jităreanu A, Rădulescu L. Alveolar Rhabdomyosarcoma of Nasopharynx and Paranasal Sinuses in Children Diagnosis and Treatment—Review of the Literature and Case Report. Medicina. 2025; 61(1):80. https://doi.org/10.3390/medicina61010080
Chicago/Turabian StyleMârțu, Cristian, Ștefan Dragoș Tîrnovanu, Ioana Mârțu, Dan Ferariu, Dan Mârțu, Alexandra Jităreanu, and Luminița Rădulescu. 2025. "Alveolar Rhabdomyosarcoma of Nasopharynx and Paranasal Sinuses in Children Diagnosis and Treatment—Review of the Literature and Case Report" Medicina 61, no. 1: 80. https://doi.org/10.3390/medicina61010080
APA StyleMârțu, C., Tîrnovanu, Ș. D., Mârțu, I., Ferariu, D., Mârțu, D., Jităreanu, A., & Rădulescu, L. (2025). Alveolar Rhabdomyosarcoma of Nasopharynx and Paranasal Sinuses in Children Diagnosis and Treatment—Review of the Literature and Case Report. Medicina, 61(1), 80. https://doi.org/10.3390/medicina61010080

