Cardiac-to-Bronchial Fistula in Hepatocellular Carcinoma: A Case Report
Abstract
1. Introduction
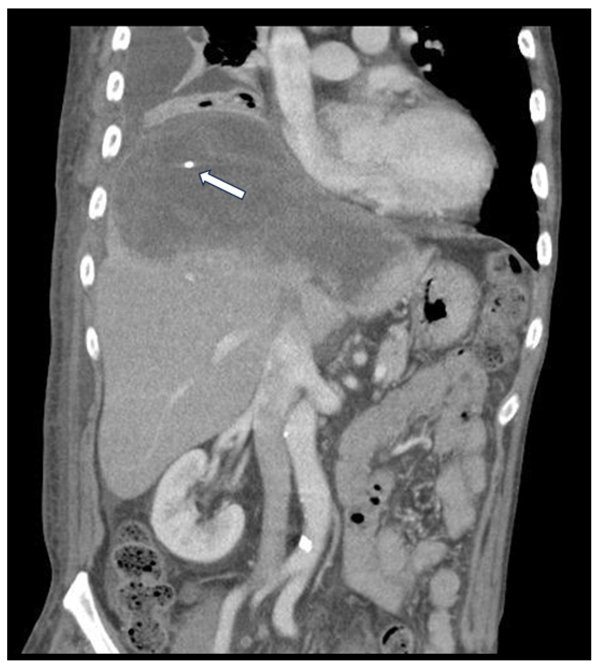
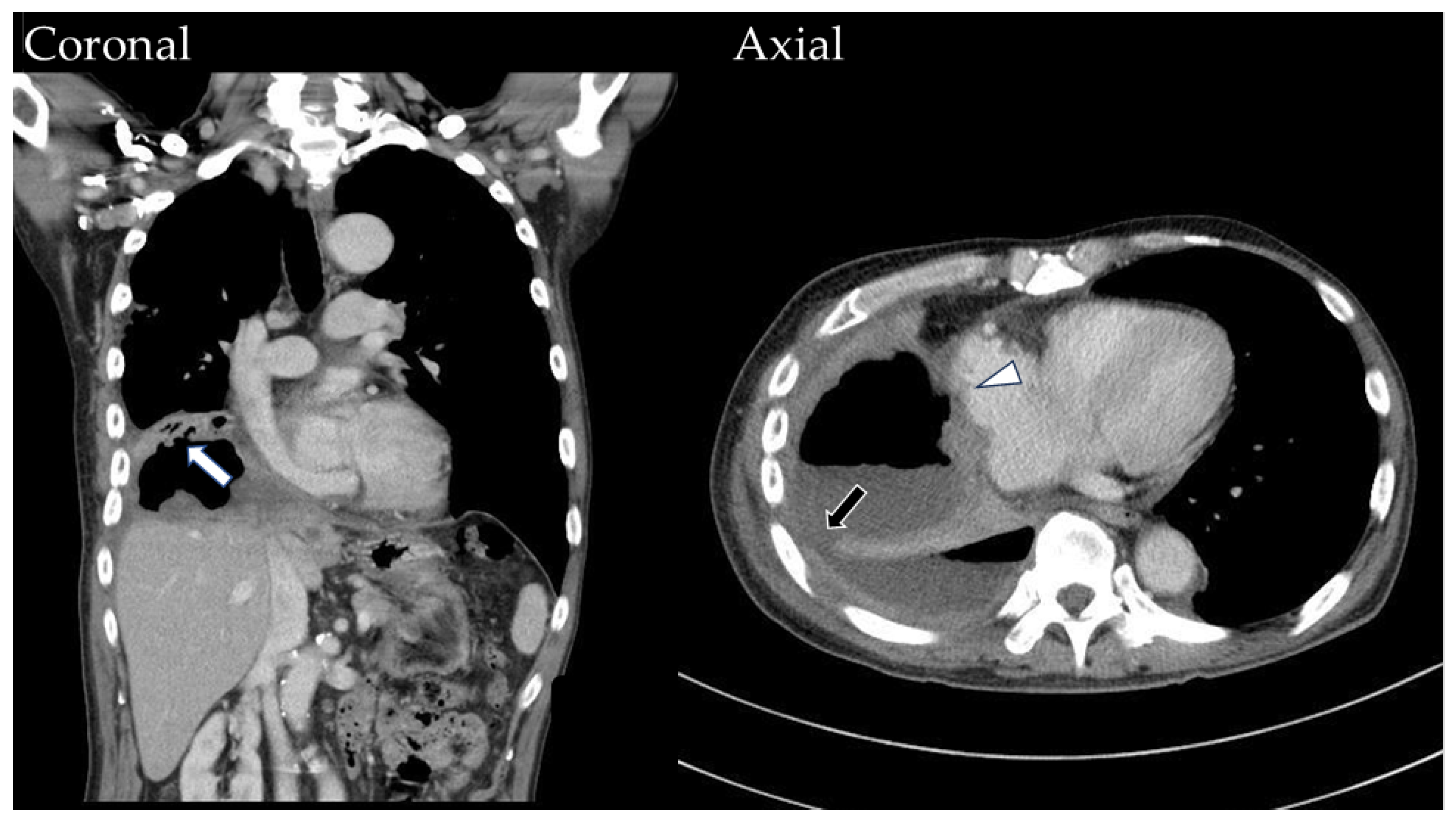
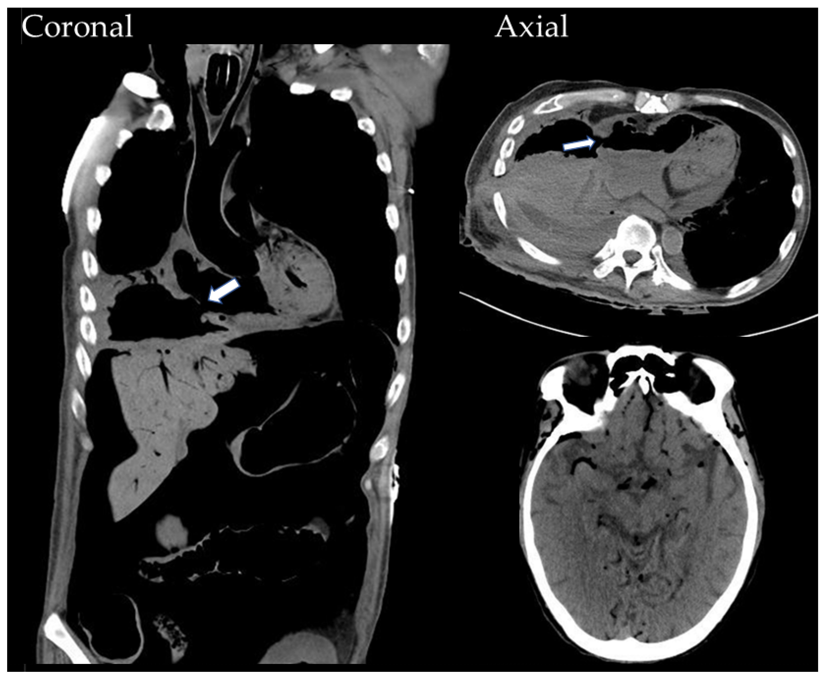
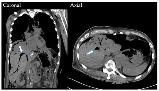
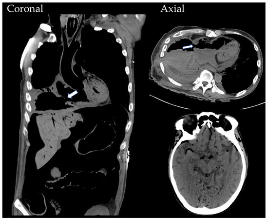
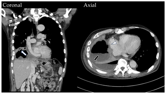
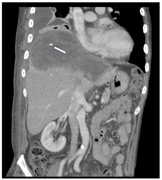
2. Case History
3. Discussion
4. Conclusions
Author Contributions
Funding
Institutional Review Board Statement
Informed Consent Statement
Data Availability Statement
Conflicts of Interest
References
- Liu, Y.; Liu, L. Changes in the Epidemiology of Hepatocellular Carcinoma in Asia. Cancers 2022, 14, 4473. [Google Scholar] [CrossRef] [PubMed]
- Bassi, N.; Caratozzolo, E.; Bonariol, L.; Ruffolo, C.; Bridda, A.; Padoan, L.; Antoniutti, M.; Massani, M. Management of ruptured hepatocellular carcinoma: Implications for therapy. World J. Gastroenterol. 2010, 16, 1221–1225. [Google Scholar] [CrossRef] [PubMed]
- Sahu, S.K.; Chawla, Y.K.; Dhuiman, R.K.; Singh, V.; Duseja, A.; Taneja, S.; Kalra, N.; Gorsi, U. Rupture of Hepatocellular Carcinoma: A Review of Literature. J. Clin. Exp. Hepatol. 2019, 9, 245–256. [Google Scholar] [CrossRef] [PubMed]
- Holomán, J.; Glasa, J. EASL clinical practice guidelines. J. Hepatol. 2009, 51, 821–822. [Google Scholar] [CrossRef] [PubMed]
- Lu, S.N.; Wang, J.H.; Su, C.W.; Wang, T.E.; Dai, C.Y.; Chen, C.H.; Chen, R.C.; Yang, S.S.; Hung, C.F.; Huang, S.F.; et al. Management consensus guideline for hepatocellular carcinoma: 2016 updated by the Taiwan Liver Cancer Association and the Gastroenterological Society of Taiwan. J. Formos. Med. Assoc. 2018, 117, 381–403. [Google Scholar] [CrossRef] [PubMed]
- Yan, J.; Li, T.; Deng, M.; Fan, H. Ruptured Hepatocellular Carcinoma: What Do Interventional Radiologists Need to Know? Front. Oncol. 2022, 12, 927123. [Google Scholar] [CrossRef] [PubMed]
- Webb, G.J.; Chapman, T.P.; Cadman, P.J.; Gorard, D.A. Pyogenic liver abscess. Frontline Gastroenterol. 2014, 5, 60–67. [Google Scholar] [CrossRef] [PubMed]
- Uchida, K.; Ozono, Y.; Uchiyama, N.; Hatada, H.; Nakamura, K.; Komaki, Y.; Iwakiri, H.; Hasuike, S.; Nagata, K.; Sato, Y.; et al. Liver abscess in advanced hepatocellular carcinoma after atezolizumab plus bevacizumab treatment: A case report. Medicine 2022, 101, e30486. [Google Scholar] [CrossRef] [PubMed]
- Shin, J.U.; Kim, K.M.; Shin, S.W.; Min, S.Y.; Park, S.U.; Sinn, D.H.; Gwak, G.Y.; Choi, M.S.; Lee, J.H.; Paik, S.W.; et al. A prediction model for liver abscess developing after transarterial chemoembolization in patients with hepatocellular carcinoma. Dig. Liver Dis. 2014, 46, 813–817. [Google Scholar] [CrossRef] [PubMed]
- Jorge, J.F.; Costa, A.B.; Rodrigues, J.L.; Girão, E.S.; Luiz, R.S.; Sousa, A.Q.; Moore, S.R.; Menezes, D.B.; Leitão, T.M.J.S. Salmonella typhi liver abscess overlying a metastatic melanoma. Am. J. Trop. Med. Hyg. 2014, 90, 716–718. [Google Scholar] [CrossRef]
- Mandal, A.; Sen, S.; Baig, S.J. Bronchobiliary fistula. J. Minimal Access Surg. 2008, 4, 111–113. [Google Scholar]
- Desir, A.; Ghaye, B. CT of blunt diaphragmatic rupture. Radiographics 2012, 32, 477–498. [Google Scholar] [CrossRef] [PubMed]
- Head, H.W.; Dodd, G.D., 3rd; Dalrymple, N.C.; Prasad, S.R.; El-Merhi, F.M.; Freckleton, M.W.; Hubbard, L.G. Percutaneous radiofrequency ablation of hepatic tumors against the diaphragm: Frequency of diaphragmatic injury. Radiology 2007, 243, 877–884. [Google Scholar] [CrossRef] [PubMed]
- Kanso, F.; Nahon, P.; Blaison, D.; Trinchet, J.C.; Beaugrand, M.; Seror, O.; Martinod, E. Diaphragmatic necrosis after radiofrequency ablation of hepatocellular carcinoma: A successful surgical repair. Clin. Res. Hepatol. Gastroenterol. 2013, 37, e59–e63. [Google Scholar] [CrossRef] [PubMed]
- RO’Connor, P.; Kobryn, K.; Grąt, M. Bronchobiliary Fistula: A Challenging Opponent to Treat in Stage IV intrahepatic Cholangiocarcinoma (iCC) Patients. J. Surg. Res. Pract. 2023, 4, 1–6. [Google Scholar]
- Eifel, P.J.; Levenback, C.; Wharton, J.T.; Oswald, M.J. Time course and incidence of late complications in patients treated with radiation therapy for FIGO stage IB carcinoma of the uterine cervix. Int. J. Radiat. Oncol. *Biol.* Phys. 1995, 32, 1289–1300. [Google Scholar] [CrossRef] [PubMed]
- Kontoravdis, N.; Panagiotopoulos, N.; Lawrence, D. The challenging management of hepatopulmonary fistulas. J. Thorac. Dis. 2014, 6, 1336–1339. [Google Scholar] [PubMed]
- Joh, H.K.; Park, S.Y. Surgical Treatment of Bronchobiliary Fistula with Pulmonary Resection and Omentopexy. Korean J. Thorac. Cardiovasc. Surg. 2020, 53, 38–40. [Google Scholar] [CrossRef] [PubMed]





Disclaimer/Publisher’s Note: The statements, opinions and data contained in all publications are solely those of the individual author(s) and contributor(s) and not of MDPI and/or the editor(s). MDPI and/or the editor(s) disclaim responsibility for any injury to people or property resulting from any ideas, methods, instructions or products referred to in the content. |
© 2024 by the authors. Licensee MDPI, Basel, Switzerland. This article is an open access article distributed under the terms and conditions of the Creative Commons Attribution (CC BY) license (https://creativecommons.org/licenses/by/4.0/).
Share and Cite
Chen, H.-H.; Lai, Y.-H.; Wu, C.-C.; Hsieh, W.-P. Cardiac-to-Bronchial Fistula in Hepatocellular Carcinoma: A Case Report. Medicina 2024, 60, 982. https://doi.org/10.3390/medicina60060982
Chen H-H, Lai Y-H, Wu C-C, Hsieh W-P. Cardiac-to-Bronchial Fistula in Hepatocellular Carcinoma: A Case Report. Medicina. 2024; 60(6):982. https://doi.org/10.3390/medicina60060982
Chicago/Turabian StyleChen, Hung-Hsu, Yu-Hung Lai, Chin-Chu Wu, and Wen-Pei Hsieh. 2024. "Cardiac-to-Bronchial Fistula in Hepatocellular Carcinoma: A Case Report" Medicina 60, no. 6: 982. https://doi.org/10.3390/medicina60060982
APA StyleChen, H.-H., Lai, Y.-H., Wu, C.-C., & Hsieh, W.-P. (2024). Cardiac-to-Bronchial Fistula in Hepatocellular Carcinoma: A Case Report. Medicina, 60(6), 982. https://doi.org/10.3390/medicina60060982

