Maxillary Osteonecrosis Related with Herpes Zoster: A Case Report and Review of the Literature
Abstract
1. Introduction
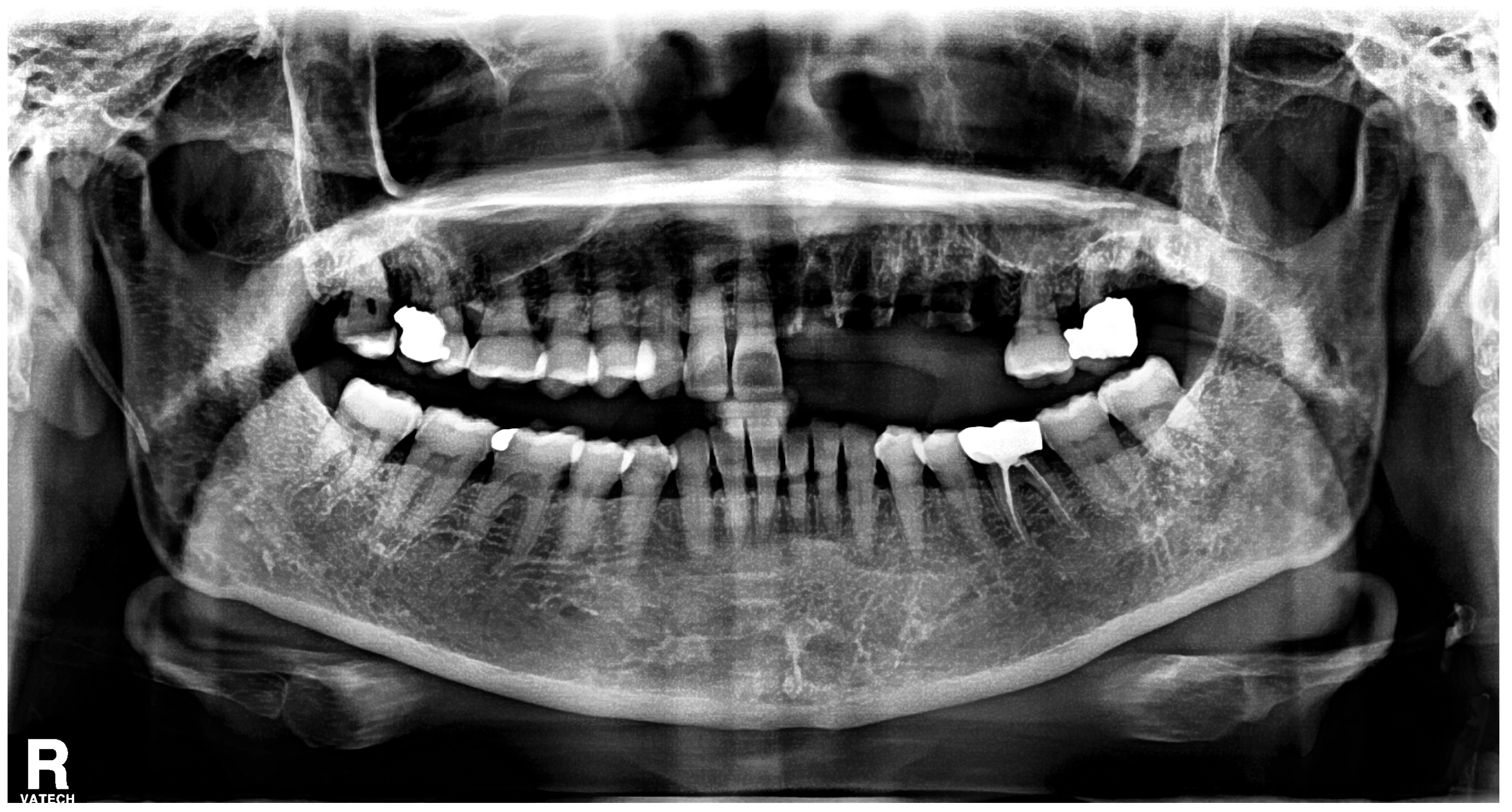
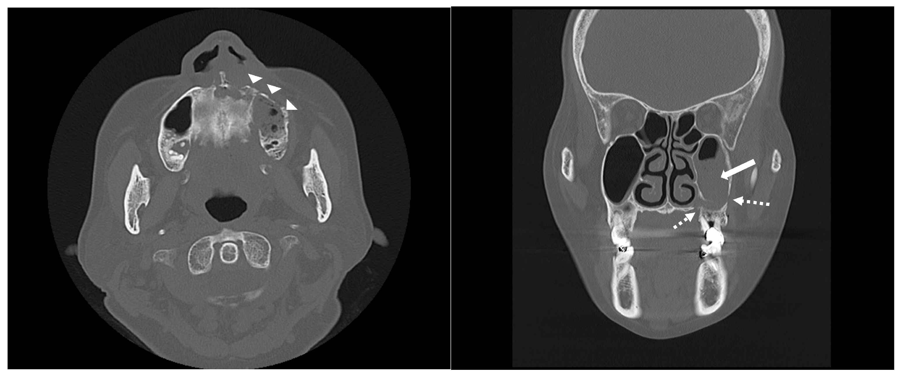
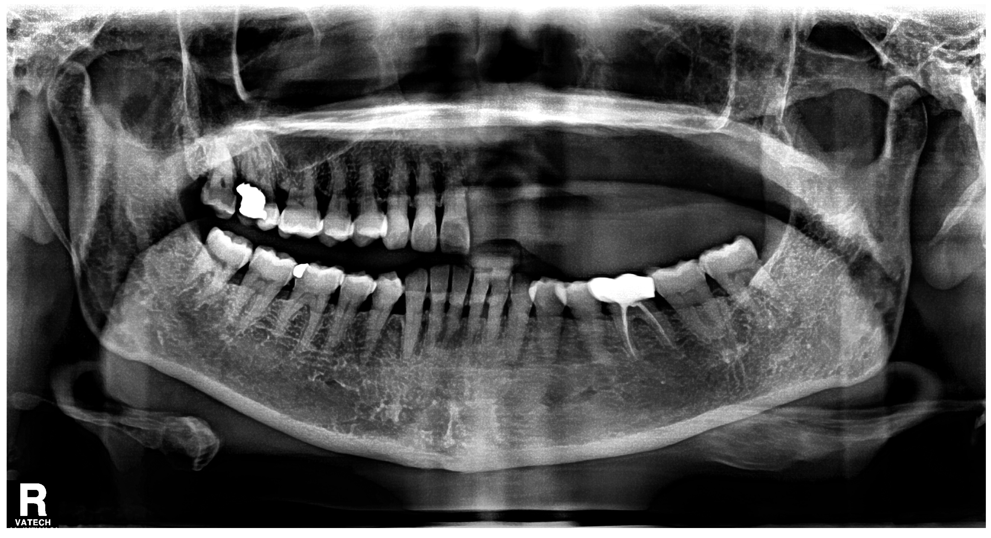
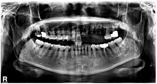
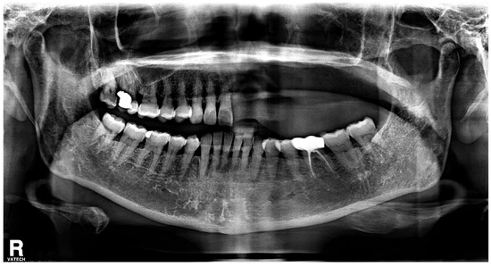
2. Case Report
3. Discussion
| No. | Author/Year | No. of Cases | Age/Gender | Systemic Disease | Site of Necrosis | Treatment |
|---|---|---|---|---|---|---|
| 1 | Hall et al., 1974 [22] | 1 | 62/F | Reticulum cell sarcoma (nasopharynx), radiation therapy | Maxilla | Necrotic bone removal |
| 2 | Vickery et al., 1976 [23] | 1 | 41/F | Disseminated Hodgkin’s, stage IV-B, chemotherapy | Mandible | Decortication |
| 3 | Cooper, 1977 [24] | 2 | 76/M 85/M | No major illness | Maxilla, Mandible | NP NP |
| 4 | Schwartz et al., 1982 [25] | 1 | 66/F | No major illness | Mandible | Necrotic bone removal |
| 5 | Wright et al., 1983 [4] | 1 | 56/F | Histiocytic lymphoma, stage IV-B, chemoradiation therapy | Maxilla | Necrotic bone removal |
| 6 | Garty et al., 1985 [26] | 1 | 12/F | No major illness | Maxilla | Necrotic bone removal |
| 7 | Manz et al., 1986 [27] | 1 | 60/F | Polymyalgia rheumatica | Mandible | None |
| 8 | Mostofi et al., 1987 [28] | 1 | 56/NP | Leukemia, chemotherapy | Mandible | Sequestrectomy |
| 9 | Muto et al., 1990 [19] | 1 | 72/M | NP | Mandible | Sequestrectomy |
| 10 | Mintz et al., 1992 [18] | 1 | 50/M | NP | Maxilla | Sequestrectomy |
| 11 | Owotade et al., 1999 [29] | 1 | 45/M | No major illness | Maxilla | Sequestrectomy |
| 12 | Pogrel et al., 2003 [30] | 1 | 51/M | NP | Maxilla | Inferior Hemimaxillectomy |
| 13 | Arikawa et al., 2003 [31] | 1 | 74/M | Pharyngeal cancer, radiation therapy | Mandible | Sequestrectomy |
| 14 | Yamamoto et al., 2004 [32] | 1 | 76/M | NP | Mandible | Necrotic bone removal |
| 15 | Mendieta et al., 2005 [11] | 1 | 63/F | No Major Illness | Mandible | Necrotic bone removal |
| 16 | van Heerden et al., 2005 [33] | 6 | 36, 38, 47, 48, 52, 73 (gender NP) | HIV | Mandible | NP |
| 17 | Siwamogstam et al., 2006 [34] | 4 | 30/F, 31/M, 29/M, 31/F | HIV | 2 Maxilla, 2 Mandible | 1 Sequestrectomy (Maxilla) 1 necrotic bone removal (1 mandible) 2 None |
| 18 | Pillai et al., 2006 [35] | 1 | 34/M | No Major Illness | Maxilla | Sequestrectomy |
| 19 | Meer S et al., 2006 [36] | 1 | 70/M | Diabetes, CMV infection | Mandible | Sequestrectomy |
| 20 | Feller et al., 2008 [37] | 1 | 30/M | HIV | Mandible | NP |
| 21 | Kamarthi et al., 2009 [38] | 1 | 43/M | HIV | Mandible | Necrotic bone removal |
| 22 | Badjate et al., 2009 [39] | 1 | 86/M | No major illness | Maxilla | Surgical debridement |
| 23 | Jain et al., 2010 [9] | 1 | 65/M | No major illness | Mandible | Sequestrectomy |
| 24 | Kim et al., 2012 [40] | 2 | 78/M 77/M | No major illness | Mandible Mandible | Sequestrectomy Conservative |
| 25 | Lambade et al., 2012 [41] | 1 | 52/M | NP | Maxilla | Conservative |
| 26 | Asha et al., 2014 [42] | 1 | 75/M | No major illness | Mandible | NP |
| 27 | Cloarec et al., 2014 [43] | 1 | 50/M | HIV | Mandible | Conservative |
| 28 | Rudd et al., 2014 [44] | 1 | 59/M | Granulomatosis with polyangiitis | Mandible | Surgical debridement |
| 29 | * Tabrizi et al., 2014 [45] | 30 | Mean age 52.6 ± 10.6 16 Male, 14 Female | Dialysis, Chemotherapy, Transplantation | Mandible (in 21 case) | 23 Surgical debridement 7 Conservative |
| 30 | Arora et al., 2015 [46] | 1 | 58/M | HIV | Mandible | Surgical debridement |
| 31 | Patil et al., 2015 [47] | 1 | 58/M | HIV | Maxilla | Conservative |
| 32 | Song et al., 2015 [48] | 1 | 64/M | No major illness | Mandible | Sequestrectomy |
| 33 | Gholami et al., 2016 [49] | 2 | 53/F 54/M | Kidney transplantation Diabetes | Mandible Mandible | Sequestrectomy |
| 34 | Faure et al., 2021 [50] | 1 | 87/M | Myocardial infarction, Diabetes | Mandible | Surgical resection |
| 35 | Chatterjee et al., 2023 [51] | 1 | 51/M | No major illness | Mandible | Necrotic bone removal |
| 36 | Huang et al., 2024 [20] | 1 | 67/M | HBV | Surgical debridement | |
| 37 | Present case | 1 | 73/F | No major illness | Maxilla | Sequestrectomy |
4. Conclusions
Funding
Institutional Review Board Statement
Informed Consent Statement
Data Availability Statement
Conflicts of Interest
References
- Gan, E.Y.; Tian, E.A.L.; Tey, H.L. Management of herpes zoster and post-herpetic neuralgia. Am. J. Clin. Dermatol. 2013, 14, 77–85. [Google Scholar] [CrossRef]
- Nagel, M.A.; Gilden, D. Complications of varicella zoster virus reactivation. Curr. Treat. Options Neurol. 2013, 15, 439–453. [Google Scholar] [CrossRef] [PubMed]
- Almazrooa, S.A.; Woo, S.-B. Bisphosphonate and nonbisphosphonate-associated osteonecrosis of the jaw: A review. J. Am. Dent. Assoc. 2009, 140, 864–875. [Google Scholar] [CrossRef]
- Wright, W.E.; Davis, M.L.; Geffen, D.B.; Martin, S.E.; Nelson, M.J.; Straus, S.E. Alveolar bone necrosis and tooth loss: A rare complication associated with herpes zoster infection of the fifth cranial nerve. Oral Surg. Oral Med. Oral Pathol. 1983, 56, 39–46. [Google Scholar] [CrossRef] [PubMed]
- Khan, A.A.; Morrison, A.; Hanley, D.A.; Felsenberg, D.; McCauley, L.K.; O’Ryan, F.; Reid, I.R.; Ruggiero, S.L.; Taguchi, A.; Tetradis, S. Diagnosis and management of osteonecrosis of the jaw: A systematic review and international consensus. J. Bone Miner. Res. 2015, 30, 3–23. [Google Scholar] [CrossRef]
- Ruggiero, S.L.; Dodson, T.B.; Aghaloo, T.; Carlson, E.R.; Ward, B.B.; Kademani, D. American Association of Oral and Maxillofacial Surgeons’ position paper on medication-related osteonecrosis of the jaws—2022 update. J. Oral Maxillofac. Surg. 2022, 80, 920–943. [Google Scholar] [CrossRef]
- Ramchandani, P.; Mellor, T. Herpes zoster associated with tooth resorption and periapical lesions. Br. J. Oral Maxillofac. Surg. 2007, 45, 71–73. [Google Scholar] [CrossRef]
- Gupta, S.; Sreenivasan, V.; Patil, P.B. Dental complications of herpes zoster: Two case reports and review of literature. Indian J. Dent. Res. 2015, 26, 214–219. [Google Scholar] [CrossRef]
- Jain, M.K.; Manjunath, K.; Jagadish, S. Unusual oral complications of herpes zoster infection: Report of a case and review of literature. Oral Surg. Oral Med. Oral Pathol. Oral Radiol. Endodontology 2010, 110, e37–e41. [Google Scholar] [CrossRef] [PubMed]
- Gershon, A.A.; Breuer, J.; Cohen, J.I.; Cohrs, R.J.; Gershon, M.D.; Gilden, D.; Grose, C.; Hambleton, S.; Kennedy, P.G.; Oxman, M.N. Varicella zoster virus infection. Nat. Rev. Dis. Primers 2015, 1, 15016. [Google Scholar] [CrossRef]
- Mendieta, C.; Miranda, J.; Brunet, L.; Gargallo, J.; Berini, L. Alveolar bone necrosis and tooth exfoliation following herpes zoster infection: A review of the literature and case report. J. Periodontol. 2005, 76, 148–153. [Google Scholar] [CrossRef]
- Kaur, R.; Rani, P.; Malhotra, D.; Kaur, R.; Dass, P.K. A rare case report and appraisal of the literature on spontaneous tooth exfoliation associated with trigeminal herpes zoster. Oral Maxillofac. Surg. 2016, 20, 331–336. [Google Scholar] [CrossRef] [PubMed]
- Rai, N.P.; Chattopadhyay, J.; Abhinandan, S.G. Herpes Zoster Infection of Maxillary and Mandibular Branch: A Case Report and Current Trends in Management. Int. J. Contemp. Med. Res. 2016, 3, 1437–1440. [Google Scholar]
- Verbin, R.S.; Heineman, H.S.; Stiff, R.H. Localized odontalgia occurring during herpes zoster of the maxillary division of the fifth cranial nerve: Report of a case. Oral Surg. Oral Med. Oral Pathol. 1968, 26, 441–445. [Google Scholar] [CrossRef] [PubMed]
- Jakovljevic, A.; Pficer, J.K.; Dragan, I.F.; Knezevic, A.; Miletic, M.; Beljic-Ivanovic, K.; Milasin, J.; Andric, M. The role of varicella zoster virus in the development of periapical pathoses and root resorption: A systematic review. J. Endod. 2017, 43, 1230–1236. [Google Scholar] [CrossRef] [PubMed]
- Talebzadeh, B.; Rahimi, S.; Abdollahi, A.A.; Nouroloyuni, A.; Asghari, V. Varicella zoster virus and internal root resorption: A case report. J. Endod. 2015, 41, 1375–1381. [Google Scholar] [CrossRef]
- Smith, S.; Ross, J.; Scully, C. An unusual oral complication of herpes zoster infection. Oral Surg. Oral Med. Oral Pathol. 1984, 57, 388–389. [Google Scholar] [CrossRef] [PubMed]
- Mintz, S.M.; Anavi, Y. Maxillary osteomyelitis and spontaneous tooth exfoliation after herpes zoster. Oral Surg. Oral Med. Oral Pathol. 1992, 73, 664–666. [Google Scholar] [CrossRef]
- Muto, T.; Tsuchiya, H.; Sato, K.; Kanazawa, M. Tooth exfoliation and necrosis of the mandible—A rare complication following trigeminal herpes zoster: Report of a case. J. Oral Maxillofac. Surg. 1990, 48, 1000–1003. [Google Scholar] [CrossRef]
- Huang, K.; Wang, Y.; Huang, Y.; Han, S.; Yang, Y.; Qu, P.; Liang, B.; Zhen, Q.; Chen, W.; Lin, Y. Infection may play an important role in the pathogenesis of alveolar osteonecrosis following facial herpes zoster: A case report and literature review. BMC Oral Health 2024, 24, 409. [Google Scholar] [CrossRef]
- Aghaloo, T.L.; Tetradis, S. Osteonecrosis of the jaw in the absence of antiresorptive or antiangiogenic exposure: A series of 6 cases. J. Oral Maxillofac. Surg. 2017, 75, 129–142. [Google Scholar] [CrossRef]
- Hall, H.D.; Jacobs, J.S.; O’Malley, J.P. Necrosis of maxilla in patient with herpes zoster: Report of a case. Oral Surg. Oral Med. Oral Pathol. 1974, 37, 657–662. [Google Scholar] [CrossRef]
- Vickery, I.; Midda, M. Dental complications of cytotoxic therapy in Hodgkin’s disease—A case report. Br. J. Oral Surg. 1976, 13, 282–288. [Google Scholar] [CrossRef]
- Cooper, J.C. Tooth exfoliation and osteonecrosis of the jaw following herpes zoster. Br. Dent. J. 1977, 143, 297–300. [Google Scholar] [CrossRef]
- Schwartz, O.; Kvorning, S. Tooth exfoliation, osteonecrosis of the jaw and neuralgia following herpes zoster of the trigeminal nerve. Int. J. Oral Surg. 1982, 11, 364–371. [Google Scholar] [CrossRef]
- Garty, B.-Z.; Dinari, G.; Sarnat, H.; Cohen, S.; Nitzan, M. Tooth exfoliation and osteonecrosis of the maxilla after trigeminal herpes zoster. J. Pediatr. 1985, 106, 71–73. [Google Scholar] [CrossRef]
- Manz, H.; Canter, H.; Melton, J. Trigeminal herpes zoster causing mandibular osteonecrosis and spontaneous tooth exfoliation. South. Med. J. 1986, 79, 1026–1028. [Google Scholar] [CrossRef]
- Mostofi, R.; Marchmont-Robinson, H.; Freije, S. Spontaneous tooth exfoliation and osteonecrosis following a herpes zoster infection of the fifth cranial nerve. J. Oral Maxillofac. Surg. 1987, 45, 264–266. [Google Scholar] [CrossRef]
- Owotade, F.J.; Ugboko, V.I.; Kolude, B. Herpes zoster infection of the maxilla: Case report. J. Oral Maxillofac. Surg. 1999, 57, 1249–1251. [Google Scholar] [CrossRef]
- Pogrel, M.; Miller, C.E. A case of maxillary necrosis. J. Oral Maxillofac. Surg. 2003, 61, 489–493. [Google Scholar] [CrossRef]
- Arikawa, J.; Mizushima, J.; Higaki, Y.; Hoshino, J.; Kawashima, M. Mandibular alveolar bone necrosis after trigeminal herpes zoster. Int. J. Dermatol. 2004, 43, 136–137. [Google Scholar] [CrossRef]
- Yamamoto, K.; Inagake, K.; Tatebayashi, S.; Yamakawa, N.; Inoue, M.; Yasumoto, J.; Kajiwara, A.; Fujimoto, M.; Kirita, T. Alveolar osteonecrosis of the mandible after varicella zoster infection of the trigeminal nerve. Asian J. Oral Maxillofac. Surg. 2004, 16, 204–208. [Google Scholar] [CrossRef]
- van Heerden, W.F.; McEachen, S.E.; Boy, S.C. Alveolar bone necrosis and tooth exfoliation secondary to herpes zoster in the setting of HIV/AIDS. Aids 2005, 19, 2183–2184. [Google Scholar] [CrossRef]
- Siwamogstham, P.; Kuansuwan, C.; Reichart, P. Herpes zoster in HIV infection with osteonecrosis of the jaw and tooth exfoliation. Oral Dis. 2006, 12, 500–505. [Google Scholar] [CrossRef]
- Pillai, K.G.; Nayar, K.; Rawal, Y.B. Spontaneous tooth exfoliation, maxillary osteomyelitis and facial scarring following trigeminal herpes zoster infection. Prim. Dent. Care 2006, 13, 114–116. [Google Scholar] [CrossRef]
- Meer, S.; Coleman, H.; Altini, M.; Alexander, T. Mandibular osteomyelitis and tooth exfoliation following zoster-CMV co-infection. Oral Surg. Oral Med. Oral Pathol. Oral Radiol. Endodontology 2006, 101, 70–75. [Google Scholar] [CrossRef]
- Feller, L.; Wood, H.; Raubenheimer, E.; Meyerov, R.; Lemmer, J. Alveolar bone necrosis and spontaneous tooth exfoliation in an HIV-seropositive subject with Herpes Zoster: Case report. S. Afr. Dent. J. 2008, 63, 106–110. [Google Scholar]
- Kamarthi, N.; Narasimha, G.E.; Lingappa, A. An Unusual Case of Osteonecrosis and Spontaneous Tooth Exfoliation Following Trigeminal Herpes Zoster in a HIV Seropositive Patient. Int. J. Oral-Med. Sci. 2009, 8, 52–59. [Google Scholar] [CrossRef]
- Badjate, S.J.; Cariappa, K.M.; Shenoi, S.R.; Nakhate, S. Ramsay-Hunt syndrome complicating osteonecrosis of edentulous maxilla and mandible: Report of a rare case. J. Maxillofac. Oral Surg. 2009, 8, 188–191. [Google Scholar] [CrossRef]
- Kim, N.-K.; Kim, B.C.; Nam, J.-w.; Kim, H.J. Alveolar bone necrosis and spontaneous tooth exfoliation associated with trigeminal herpes zoster: A report of three cases. J. Korean Assoc. Oral Maxillofac. Surg. 2012, 38, 177–183. [Google Scholar] [CrossRef]
- Lambade, P.; Lambade, D.; Saha, T.K.; Dolas, R.S.; Pandilwar, P.K. Maxillary osteonecrosis and spontaneous teeth exfoliation following herpes zoster. Oral Maxillofac. Surg. 2012, 16, 369–372. [Google Scholar] [CrossRef] [PubMed]
- Asha, M.; Chatterjee, I.; Patil, P.; Vijayan, A. Herpes zoster leading to viral osteomyelitis or neuralgia inducing cavitational osteonecrosis?–A case report and review of literature. Int. J. Sci. Stud. 2014, 2, 125–130. [Google Scholar]
- Cloarec, N.; Zaegel-Faucher, O.; Bregigeon, S.; Cano, C.E.; Chossegros, C.; Wajszczak, B.; Poizot-Martin, I. Mandibular osteonecrosis and dental exfoliation after trigeminal zoster in an HIV-infected patient: Case report and review of the literature. Aids 2014, 28, 448–450. [Google Scholar] [CrossRef] [PubMed]
- Rudd, T.; Chai, B.Y.; Gurunluoglu, R.; Glasgow, M. Mandibular osteonecrosis and Ramsay Hunt syndrome following a case of herpes zoster. J. Oral Maxillofac. Surg. 2014, 72, 1974.e1–1974.e6. [Google Scholar] [PubMed]
- Tabrizi, R.; Nazhvani, A.D.; Vahedi, A.; Gholami, M.; Zare, R.; Parsa, R.E. Herpes zoster induced osteomyelitis in the immunocompromised patients: A 10-year multicenter study. J. Dent. 2014, 15, 112. [Google Scholar]
- Arora, P.C.; Manchanda, A.S.; Narang, R.S.; Arora, A. Mandibular osteonecrosis and teeth exfoliation after herpes zoster infection in an HIV-inflicted individual. J. Indian Acad. Oral Med. Radiol. 2015, 27, 101. [Google Scholar] [CrossRef]
- Patil, S.; Al Zarea, B. Spontaneous exfoliation and osteonecrosis following herpes zoster infection in an HIV-seropositive subject: A case report. Austin J. Dent. 2015, 2, 1015. [Google Scholar]
- Song, J.-M.; Seo, J.-S.; Lee, J.-Y. Mandibular osteonecrosis following herpes zoster infection in the mandibular branch of the trigeminal nerve: A case report and literature review. J. Korean Assoc. Oral Maxillofac. Surg. 2015, 41, 357–360. [Google Scholar]
- Gholami, M.; Shahakbari, R.; Abdolahpour, S.; Hatami, M.; Roshanmir, A. Herpes Zoster Induced Alveolar Bone Necrosis in Immunocompromised Patients; Two Case Reports. Iran. J. Otorhinolaryngol. 2016, 28, 369–373. [Google Scholar]
- Faure, E.; Engels-Deutsch, M.; Paraschiv, E.-A.; Gérard, E.; Curien, R. Mandibular osteonecrosis following herpes zoster infection: Report of a rare case with a literature review. Clin. Case Rep. 2021, 9, e04196. [Google Scholar] [CrossRef]
- Chatterjee, A.; Chattopadhyay, A.; Mandal, S.; De, N.; Hossain, M.A.; Pakhira, S. Delayed Presentation of Mandibular Osteonecrosis Following Herpes Zoster Infection-A Case Report. Ann. Maxillofac. Surg. 2023, 13, 220–223. [Google Scholar] [CrossRef] [PubMed]





Disclaimer/Publisher’s Note: The statements, opinions and data contained in all publications are solely those of the individual author(s) and contributor(s) and not of MDPI and/or the editor(s). MDPI and/or the editor(s) disclaim responsibility for any injury to people or property resulting from any ideas, methods, instructions or products referred to in the content. |
© 2024 by the author. Licensee MDPI, Basel, Switzerland. This article is an open access article distributed under the terms and conditions of the Creative Commons Attribution (CC BY) license (https://creativecommons.org/licenses/by/4.0/).
Share and Cite
Park, K.-S. Maxillary Osteonecrosis Related with Herpes Zoster: A Case Report and Review of the Literature. Medicina 2024, 60, 883. https://doi.org/10.3390/medicina60060883
Park K-S. Maxillary Osteonecrosis Related with Herpes Zoster: A Case Report and Review of the Literature. Medicina. 2024; 60(6):883. https://doi.org/10.3390/medicina60060883
Chicago/Turabian StylePark, Kwan-Soo. 2024. "Maxillary Osteonecrosis Related with Herpes Zoster: A Case Report and Review of the Literature" Medicina 60, no. 6: 883. https://doi.org/10.3390/medicina60060883
APA StylePark, K.-S. (2024). Maxillary Osteonecrosis Related with Herpes Zoster: A Case Report and Review of the Literature. Medicina, 60(6), 883. https://doi.org/10.3390/medicina60060883

