Genotype-Phenotype Insights of Inherited Cardiomyopathies—A Review
Abstract
1. Introduction
2. Materials and Methods
2.1. Material Content
Basic Concepts of Clinical Genetics
3. Genetic Testing? Whom, When and How
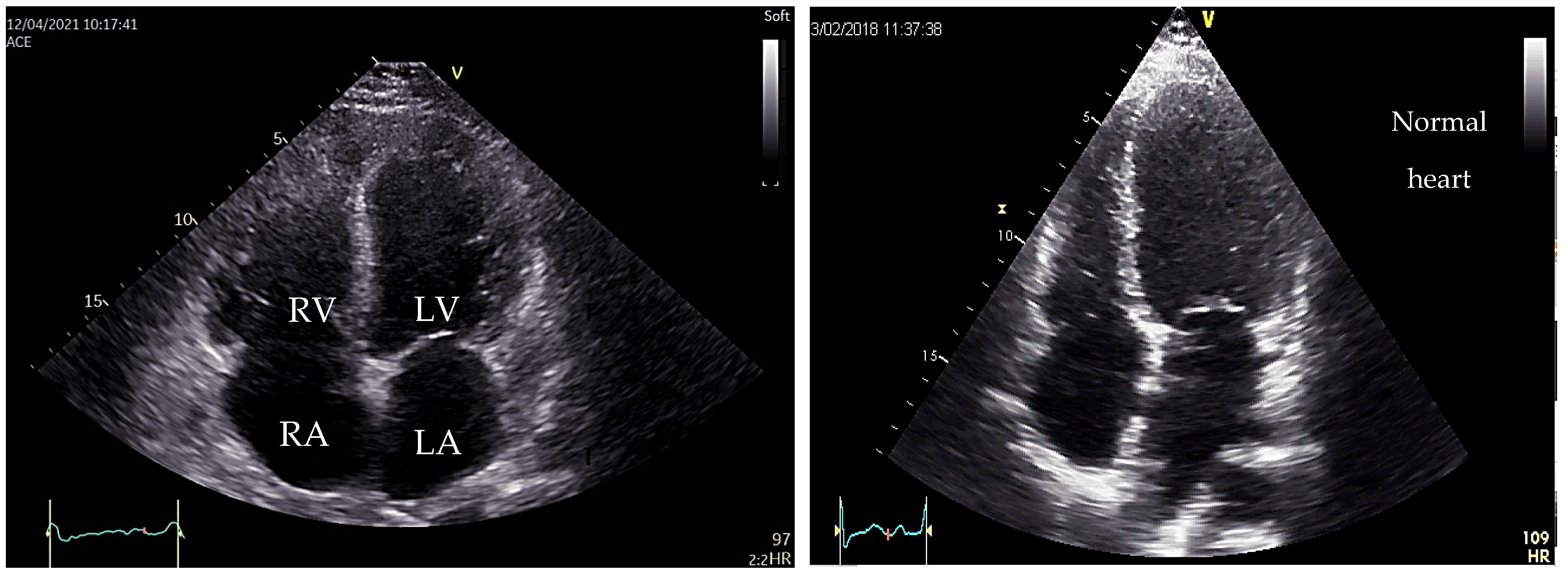
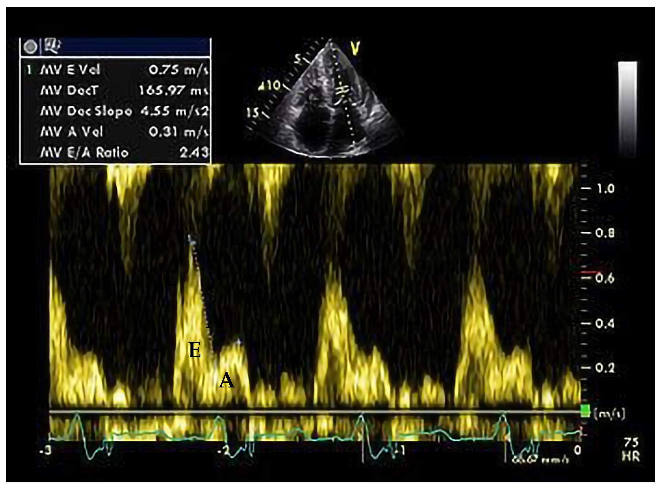
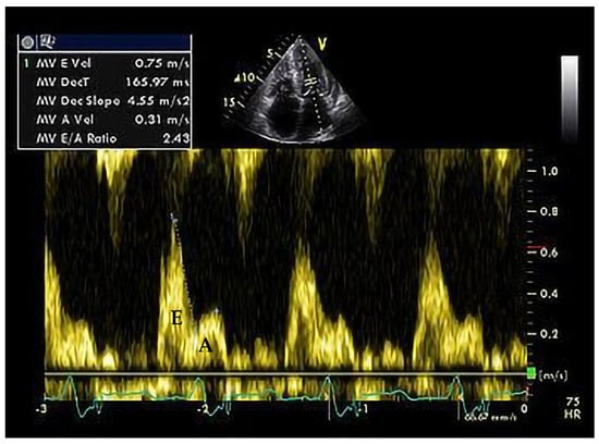
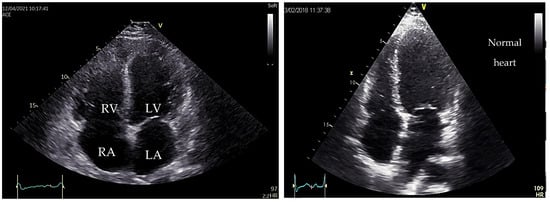
4. Hypertrophic Cardiomyopathy


| Gene Symbol | Disease OMIM # | Gene Name | Mode of Inheritance | HCM | DCM | RCM | ACM | LVNC |
|---|---|---|---|---|---|---|---|---|
| ABCC9 | 601439 | ATP-binding cassette | AD | - | Limited | - | - | - |
| ACTC1 | 102540 | Actin alpha | AD | Definitive | Moderate | - | - | - |
| ACTN2 | 102573 | Actinin alpha 2 | AD | Definitive | Definitive | Definitive | Definitive | Definitive |
| ALMS1 | 606844 | Centrosome and basal body associated protein | AR | - | Definitive | |||
| ALPK3 | 617608 | Alpha kinase 3 | AR | Definitive | - | - | - | - |
| ANKRD1 | 609599 | Ankyrin repeat domain-containing protein 1 | AD | Disputed | Limited | - | - | - |
| ARVD3 | 602086 | Arrhythmogenic right ventricular dysplasia, familial, 3 | AD | - | - | - | Limited evidence | - |
| ARVD4 | 602087 | Arrhythmogenic right ventricular dysplasia, familial, 4 | AD | - | - | - | Limited evidence | - |
| ARVD6 | 604401 | Arrhythmogenic right ventricular dysplasia, familial, 6 | AD | - | - | - | Limited evidence | - |
| BAG3 | 603883 | Bcl2-associated athanogene 3 | AD | - | Definitive | - | - | - |
| BRAF | 164757 | B-Raf proto-oncogene serine/threonine kinase | AD | Definitive | - | - | - | - |
| CASQ2 | 114251 | Calsequestrin 2 | AR, AD | Disputed | - | - | - | - |
| CAV3 | 601253 | Caveolin 3 | AD | Definitive | - | - | - | - |
| CRYAB | 123590 | Crystallin | AD | Limited evidence | Limited evidence | - | - | - |
| CSRP3 | 600824 | Cysteine and glycine rich protein 3 | AD | Definitive | Limited | |||
| CTF1 | 600435 | Cardiotrophin 1 | AR, AD | - | Limited | |||
| CTNNA3 | 607667 | Catenin alpha 3 | AD | - | - | - | Limited | - |
| DES | 125660 | Desmin | AD, AR | - | Definitive | - | Moderate | - |
| DMD | 300377 | Dystrophin | XLR | - | Definitive * Duchenne muscular dystrophy Becker muscular dystrophy | - | - | - |
| DOLK | 610746 | Dolichol kinase | AR | - | Limited | - | - | - |
| DSC2 | 600271 | Desmocollin 2 | AD, AR | - | Limited | - | Definitive | - |
| DSG2 | 125671 | Desmoglein 2 | AD | - | Limited | - | Definitive | - |
| DSP | 125485 | Desmoplakin | AD, AR | Disputed | Definitive | - | Definitive- | - |
| DTNA | 601239 | Dystrobrevin, alpha | AD | - | Limited | - | - | Limited Evidence |
| EMD | 300384 | Emerin | XLR1 | - Definitive * Emery-Dreifuss Muscular Dystrophy | Definitive * Emery-Dreifuss Muscular Dystrophy | - | - | - |
| EYA4 | 603550 | Eyes absent Drosophila homolog 4 | AD | - | Limited | |||
| FHL1 | 300163 | Four and a half LIM domain 1 | XL | Definitive * Emery-Dreifuss Muscular Dystrophy and related phenotypes | Definitive * Emery-Dreifuss Muscular Dystrophy and related phenotypes | - | - | - |
| FKRP | 606596 | Fukutin-related protein | AR | - | Definitive * Limb Girdle Muscular Dystrophy | |||
| FKTN | 607440 | Fukutin | AR | - | Definitive * Limb Girdle Muscular Dystrophy | |||
| FLNC | 102565 | Filamin C | AD | Definitive | Definitive | Limited evidence | Limited evidence | - |
| GAA | 606800 | Glucosidase alpha | AR | Definitive | - | - | - | - |
| GATA4 | 600576 | Gata-binding protein 4 | AD | - | Limited | - | - | - |
| GATAD1 | 614518 | Gata zinc finger domain-containing protein 1 | AR | - | Limited | - | - | - |
| GLA | 300644 | Galactosidase alpha | XL | - | - | Definitive | - | - |
| HCN4 | 605206 | Hyperpolarization-Activated. Cyclic nucleotide-gated. Potassium Channel 4 | AD | - | - | - | - | Limited |
| HRAS | 190020 | HRas proto-oncogene, GTPase | AD | Definitive | - | - | - | - |
| ILK | 602366 | Integrin-linked kinase | AD | - | Limited | - | - | - |
| JPH2 | 605267 | Junctophilin 2 | AD | Moderate | Moderate | - | - | - |
| JUP | 173325 | Junction plakoglobin | AD, AR | - | - | - | - | Definitive * Naxos Disease |
| LAMA4 | 600133 | Laminin alpha-4 | AD | - | Limited | |||
| LAMP2 | 309060 | Lysosome-associated membrane protein 2 | XLD | Definitive | Limited | |||
| LDB3 | 605906 | LJm domain-binding 3 | AD | Limited evidence | Limited | Disputed | Limited evidence | |
| LMNA | 150330 | Lamin A/C | AD, AR | Limited evidence | Definitive | Limited | Limited evidence | |
| MAP2K1 | 176872 | Mitogen activated protein kinase 1 | AD | Definitive * Cardiofaciocutaneous syndrome | - | - | - | - |
| MAP2K2 | 601263 | Mitogen activated protein kinase 2 | AD | Definitive * Cardiofaciocutaneous syndrome | - | - | - | - |
| MYBPC3 | 600958 | Myosin-binding protein C, cardiac | AD | Definitive | Limited | - | Limited | Limited evidence |
| MYH6 | 160710 | Myosin heavy chain 6 | AD | Limited | Limited | - | - | - |
| MYH7 | 160760 | Myosin, heavy chain 7, cardiac muscle, beta | AD | Definitive | Definitive | Limited evidence | Limited | Limited evidence |
| MYL2 | 160781 | Myosin light chain 2 | AD | Definitive | Limited | - | - | - |
| MYL3 | 160790 | Myosin light chain 3 | AD, AR | Definitive | Disputed | Limited evidence | Limited | - |
| MYLK2 | 606566 | Myosin light chain kinase 2 | AD | Disputed | Limited | - | - | - |
| MYOM1 | 603508 | Myomesin 1 | AD | Disputed | - | - | - | - |
| MYOT | 604103 | Myotilin | AD | - | Limited | - | - | - |
| MYOZ2 | 605602 | Myozenin 2 | AD | Disputed | Limited | Limited evidence | - | - |
| MYPN | 608517 | Myopalladin | AD | Disputed | Limited | Limited evidence | - | - |
| NEBL | 605491 | Nebulette | AD | - | Limited | - | - | - |
| NEXN | 613121 | Nexilin | AD | Limited | Moderate | - | - | - |
| NKX2-5 | 600584 | Nk2 homeobox 5 | AD | - | Limited | - | - | - |
| NRAS | 164790 | Neuroblastoma Ras viral oncogene homolog | AD | Definitive * Noonan syndrome | - | - | - | - |
| PDLIM3 | 605899 | Pdz and lim domain protein 3 | AD | Limited | Disputed | - | - | - |
| PKP2 | 602861 | Plakophilin 2 | AD | - | Disputed | - | Definitive | - |
| PLN | 172405 | Phospholamban | AD | Definitive | - | - | Moderate | - |
| PRDM16 | 605557 | Pr domain-containing protein 16 | AD | - | Limited- | - | - | Limited |
| PRKAG2 | 602743 | Protein kinase amp-activated non-catalytic | AD | Definitive | Limited evidence | - | - | - |
| PTPN11 | 176876 | Protein tyrosine phosphatase non-receptor type 11 | AD | Definitive * Noonan Syndrome | - | - | - | - |
| RAF1 | 164760 | V-Raf-1 murine leukemia viral oncogene homolog 1 | AD | Definitive * Noonan Syndrome | - | - | - | - |
| RBM20 | 613171 | RNA-binding motif protein 20 | AD | Limited | Definitive | - | - | - |
| RIT1 | 609591 | Ras-like without Caax 1 | AD | Definitive * Noonan Syndrome | - | - | - | - |
| SCN5A | 600163 | Sodium channel, voltage-gated, type V, alpha subunit | AD | - | Definitive | - | Limited | - |
| SGCA | 600119 | Sarcoglycan alpha | AR | - | Definitive * Limb Girdle Muscular Dystrophy | - | - | - |
| SGCB | 600900 | Sarcoglycan beta | AR | - | Definitive * Limb Girdle Muscular Dystrophy | - | - | - |
| SGCD | 601411 | Sarcoglycan delta | AD, AR | - | Limited Definitive * Limb Girdle Muscular Dystrophy | - | - | - |
| SHOC2 | 602775 | Soc-2 homolog | AD | Definitive * Noonan Syndrome | - | - | - | - |
| SLC25A4 | 103220 | Solute carrier family 25 | AD, AR | Definitive | Limited * Leigh Syndrome | |||
| SOS1 | 182530 | Son of sevenless Drosophila homolog 1 | AD | Definitive * Noonan Syndrome | - | - | - | - |
| TAZ | 300394 | Tafazzin | XL R | - | Definitive * Barth Syndrome | - | - | Limited Evidence |
| TBX20 | 606061 | T-box 20 | AD | - | Limited | - | - | Limited Evidence |
| TCAP | 604488 | Titin-Cap | AR | Disputed | Limited | - | - | - |
| TGFB3 | 190230 | Transforming growth factor beta 3 | AD | - | - | - | Limited | - |
| TMEM43 | 612048 | Transmembrane protein 43 | AD | - | - | - | Definitive | - |
| TNNI3 | 191044 | Troponin I type 3 (cardiac) | AD | Definitive | Moderate | Limited evidence | - | - |
| TNNC1 | 191040 | Troponin C type 1 | AD | Definitive | Definitive | - | - | - |
| TNNT2 | 191045 | Troponin T type 2 (cardiac) | AD | Definitive | Definitive | Limited evidence | - | Limited evidence |
| TOR1AIP1 | 614512 | Torsin-1a-interacting protein 1 | AR | - | Limited evidence | - | - | - |
| TPM1 | 191010 | Tropomyosin 1 (alpha) | AD | Definitive | Moderate | Limited evidence | - | - |
| TTN | 188840 | Titin | AD, AR | Limited | Definitive | - | Limited | - |
| TTR | 176300 | Transthyretin | AD | Definitive | - | Definitive | - | - |
| TXNRD2 | 606448 | Thioredoxin reductase 2 | AD, AR | - | Limited evidence | - | - | - |
| VCL | 193065 | Vinculin | AD | Disputed | Moderate | - | - | Limited evidence |
5. Dilated Cardiomyopathy (DCM)


6. Non-Dilated Cardiomyopathy
7. Restrictive Cardiomyopathy (RCM)


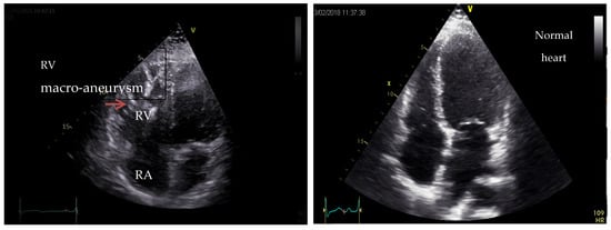
8. Arrhythmogenic Cardiomyopathy (ACM)


9. Left Ventricular Non-Compaction
10. Conclusions
Author Contributions
Funding
Institutional Review Board Statement
Conflicts of Interest
Abbreviations
| CMs | Cardiomyopathies |
| ACC | American College of Cardiology |
| ACM | Arrhythmogenic cardiomyopathy |
| AHA | American Heart Association |
| AL | Light chain amyloidosis |
| ASD | Atrial septal defect |
| ATPase | Adenozin triphosphate-ase |
| ATTR | Transthyretin amiloidosis |
| ATTR-ACT | Safety and Efficacy of Tafamidis in Patients With Transthyretin Cardiomyopathy |
| ATTRwt | Transthyretin amyloidosis wild-type |
| AVC | Arrhythmogenic ventricular cardiomyopathy |
| CHD | Congenital heart disease |
| CMs | Cardiomyopathies |
| CWD | Continuous Wave Doppler |
| DCM | Dilated cardiomyopathy |
| DNA | Deoxyribonucleic acid |
| ECG | Electrocardiogram |
| EMF | Endomyocardial fibrosis |
| GLS | Global Longitudinal strain |
| HCM | Hypertrophic cardiomyopathy |
| HLHS | Hypoplastic left heart syndrome |
| HOCM | Hypertrophic obstructive cardiomyopathy |
| ISFC | International Society and Federation of Cardiology |
| LA | Left atrium |
| LV | Left ventricle |
| LVNC | Left ventricular noncompaction |
| MRI | Magnetic resonance imaging |
| NGS | Next-Generation Sequencing |
| NYHA | New York Heart Association |
| PLN | Phospholamban |
| PS | Pulmonic stenosis |
| PWD | Pulsed Wave Doppler |
| RV | Right ventricle |
| SCD | Sudden cardiac death |
| VSD | Ventricular septal defect |
| VUS | Variant of uncertain significance |
| WHO | World Health Organization |
References
- Arbustini, E.; Narula, N.; Dec, G.W.; Reddy, K.S.; Greenberg, B.; Kushwaha, S.; Marwick, T.; Pinney, S.; Bellazzi, R.; Favalli, V.; et al. The MOGE(S) classification for a phenotype-genotype nomenclature of cardiomyopathy: Endorsed by the World Heart Federation. J. Am. Coll. Cardiol. 2013, 62, 2046–2072. [Google Scholar] [CrossRef] [PubMed]
- Braunwald, E. Cardiomyopathies: An Overview. Circ. Res. 2017, 121, 711–721. [Google Scholar] [CrossRef] [PubMed]
- McKenna, W.J.; Maron, B.J.; Thiene, G. Classification, Epidemiology, and Global Burden of Cardiomyopathies. Circ. Res. 2017, 121, 722–730. [Google Scholar] [CrossRef] [PubMed]
- Arbelo, E.; Protonotarios, A.; Gimeno, J.R.; Arbustini, E.; Barriales-Villa, R.; Basso, C.; Bezzina, C.R.; Biagini, E.; Blom, N.A.; de Boer, R.A.; et al. 2023 ESC Guidelines for the management of cardiomyopathies. Eur. Heart J. 2023, 44, 3503–3626. [Google Scholar] [PubMed]
- Vogiatzi, G.; Lazaros, G.; Oikonomou, E.; Lazarou, E.; Vavuranakis, E.; Tousoulis, D. Role of genetic testing in cardiomyopathies: A primer for cardiologists. World J. Cardiol. 2022, 14, 29–39. [Google Scholar] [CrossRef] [PubMed]
- Hershberger, R.E.; Givertz, M.M.; Ho, C.Y.; Judge, D.P.; Kantor, P.F.; McBride, K.L.; Morales, A.; Taylor, M.R.G.; Vatta, M.; Ware, S.M.; et al. Genetic evaluation of cardiomyopathy: A clinical practice resource of the American College of Medical Genetics and Genomics (ACMG). Genet. Med. 2018, 20, 899–909. [Google Scholar] [CrossRef] [PubMed]
- Lee, H.H.; Ching, C.K. Practical Aspects in Genetic Testing for Cardiomyopathies and Channelopathies. Clin. Biochem. Rev. 2019, 40, 187–200. [Google Scholar] [CrossRef] [PubMed]
- Charron, P. Clinical genetics in cardiology. Heart 2006, 92, 1172–1176. [Google Scholar] [CrossRef][Green Version]
- Popa-Fotea, N.M.; Micheu, M.M.; Bataila, V.; Scafa-Udriste, A.; Dorobantu, L.; Scarlatescu, A.I.; Zamfir, D.; Stoian, M.; Onciul, S.; Dorobantu, M. Exploring the Continuum of Hypertrophic Cardiomyopathy—From DNA to Clinical Expression. Medicina 2019, 55, 299. [Google Scholar] [CrossRef]
- Hughes, S.E.; McKenna, W.J. New insights into the pathology of inherited cardiomyopathy. Heart 2005, 91, 257–264. [Google Scholar] [CrossRef]
- Yang, J.; Chen, S.; Duan, F.; Wang, X.; Zhang, X.; Lian, B.; Kou, M.; Chiang, Z.; Li, Z.; Lian, Q. Mitochondrial Cardiomyopathy: Molecular Epidemiology, Diagnosis, Models, and Therapeutic Management. Cells 2022, 11, 3511. [Google Scholar] [CrossRef] [PubMed]
- Wilson, K.D.; Shen, P.; Fung, E.; Karakikes, I.; Zhang, A.; InanlooRahatloo, K.; Odegaard, J.; Sallam, K.; Davis, R.W.; Lui, G.K.; et al. A Rapid, High-Quality, Cost-Effective, Comprehensive and Expandable Targeted Next-Generation Sequencing Assay for Inherited Heart Diseases. Circ. Res. 2015, 117, 603–611. [Google Scholar] [CrossRef] [PubMed]
- Burke, M.A.; Cook, S.A.; Seidman, J.G.; Seidman, C.E. Clinical and Mechanistic Insights Into the Genetics of Cardiomyopathy. J. Am. Coll. Cardiol. 2016, 68, 2871–2886. [Google Scholar] [CrossRef] [PubMed]
- Golbus, J.R.; Puckelwartz, M.J.; Fahrenbach, J.P.; Dellefave-Castillo, L.M.; Wolfgeher, D.; McNally, E.M. Population-based variation in cardiomyopathy genes. Circ. Cardiovasc. Genet. 2012, 5, 391–399. [Google Scholar] [CrossRef] [PubMed]
- Herman, D.S.; Lam, L.; Taylor, M.R.; Wang, L.; Teekakirikul, P.; Christodoulou, D.; Conner, L.; DePalma, S.R.; McDonough, B.; Sparks, E.; et al. Truncations of titin causing dilated cardiomyopathy. N. Engl. J. Med. 2012, 366, 619–628. [Google Scholar] [CrossRef] [PubMed]
- Morales, A.; Goehringer, J.; Sanoudou, D. Evolving cardiovascular genetic counseling needs in the era of precision medicine. Front. Cardiovasc. Med. 2023, 10, 1161029. [Google Scholar] [CrossRef] [PubMed]
- Walsh, R.; Thomson, K.L.; Ware, J.S.; Funke, B.H.; Woodley, J.; McGuire, K.J.; Mazzarotto, F.; Blair, E.; Seller, A.; Taylor, J.C.; et al. Reassessment of Mendelian gene pathogenicity using 7,855 cardiomyopathy cases and 60,706 reference samples. Genet. Med. 2017, 19, 192–203. [Google Scholar] [CrossRef]
- Couto, J.F.; Martins, E. Recommendations for the Management of Cardiomyopathy Mutation Carriers: Evidence, Doubts, and Intentions. J. Clin. Med. 2023, 12, 4706. [Google Scholar] [CrossRef]
- Bennette, C.S.; Gallego, C.J.; Burke, W.; Jarvik, G.P.; Veenstra, D.L. The cost-effectiveness of returning incidental findings from next-generation genomic sequencing. Genet. Med. 2015, 17, 587–595. [Google Scholar] [CrossRef]
- Elliott, P.M.; Anastasakis, A.; Borger, M.A.; Borggrefe, M.; Cecchi, F.; Charron, P.; Hagege, A.A.; Lafont, A.; Limongelli, G.; Mahrholdt, H.; et al. 2014 ESC Guidelines on diagnosis and management of hypertrophic cardiomyopathy: The Task Force for the Diagnosis and Management of Hypertrophic Cardiomyopathy of the European Society of Cardiology (ESC). Eur. Heart J. 2014, 35, 2733–2779. [Google Scholar]
- Geske, J.B.; Ommen, S.R.; Gersh, B.J. Hypertrophic Cardiomyopathy: Clinical Update. JACC Heart Fail. 2018, 6, 364–375. [Google Scholar] [CrossRef] [PubMed]
- Semsarian, C.; Ingles, J.; Maron, M.S.; Maron, B.J. New perspectives on the prevalence of hypertrophic cardiomyopathy. J. Am. Coll. Cardiol. 2015, 65, 1249–1254. [Google Scholar] [CrossRef] [PubMed]
- Michels, M.; Soliman, O.I.; Phefferkorn, J.; Hoedemaekers, Y.M.; Kofflard, M.J.; Dooijes, D.; Majoor-Krakauer, D.; Cate, F.J.T. Disease penetrance and risk stratification for sudden cardiac death in asymptomatic hypertrophic cardiomyopathy mutation carriers. Eur. Heart J. 2009, 30, 2593–2598. [Google Scholar] [CrossRef] [PubMed]
- Pan, S.; Caleshu, C.A.; Dunn, K.E.; Foti, M.J.; Moran, M.K.; Soyinka, O.; Ashley, E.A. Cardiac structural and sarcomere genes associated with cardiomyopathy exhibit marked intolerance of genetic variation. Circ. Cardiovasc. Genet. 2012, 5, 602–610. [Google Scholar] [CrossRef] [PubMed]
- Konno, T.; Chang, S.; Seidman, J.G.; Seidman, C.E. Genetics of hypertrophic cardiomyopathy. Curr. Opin. Cardiol. 2010, 25, 205–209. [Google Scholar] [CrossRef] [PubMed]
- Alfares, A.A.; Kelly, M.A.; McDermott, G.; Funke, B.H.; Lebo, M.S.; Baxter, S.B.; Shen, J.; McLaughlin, H.M.; Clark, E.H.; Babb, L.J.; et al. Results of clinical genetic testing of 2,912 probands with hypertrophic cardiomyopathy: Expanded panels offer limited additional sensitivity. Genet. Med. 2015, 17, 880–888. [Google Scholar] [CrossRef] [PubMed]
- Burns, C.; Bagnall, R.D.; Lam, L.; Semsarian, C.; Ingles, J. Multiple Gene Variants in Hypertrophic Cardiomyopathy in the Era of Next-Generation Sequencing. Circ. Cardiovasc. Genet. 2017, 10, e001666. [Google Scholar] [CrossRef] [PubMed]
- Maurizi, N.; Michels, M.; Rowin, E.J.; Semsarian, C.; Girolami, F.; Tomberli, B.; Cecchi, F.; Maron, M.S.; Olivotto, I.; Maron, B.J. Clinical Course and Significance of Hypertrophic Cardiomyopathy Without Left Ventricular Hypertrophy. Circulation 2019, 139, 830–833. [Google Scholar] [CrossRef] [PubMed]
- Hershberger, R.E.; Givertz, M.M.; Ho, C.Y.; Judge, D.P.; Kantor, P.F.; McBride, K.L.; Morales, A.; Taylor, M.R.; Vatta, M.; Ware, S.M. Genetic Evaluation of Cardiomyopathy—A Heart Failure Society of America Practice Guideline. J. Card. Fail. 2018, 24, 281–302. [Google Scholar] [CrossRef]
- Gersh, B.J.; Maron, B.J.; Bonow, R.O.; Dearani, J.A.; Fifer, M.A.; Link, M.S.; Naidu, S.S.; Nishimura, R.A.; Ommen, S.R.; Rakowski, H.; et al. 2011 ACCF/AHA Guideline for the Diagnosis and Treatment of Hypertrophic Cardiomyopathy: A report of the American College of Cardiology Foundation/American Heart Association Task Force on Practice Guidelines. Developed in collaboration with the American Association for Thoracic Surgery, American Society of Echocardiography, American Society of Nuclear Cardiology, Heart Failure Society of America, Heart Rhythm Society, Society for Cardiovascular Angiography and Interventions, and Society of Thoracic Surgeons. J. Am. Coll. Cardiol. 2011, 58, e212–e260. [Google Scholar]
- Wheeler, M.T.; Olivotto, I.; Elliott, P.M.; Saberi, S.; Owens, A.T.; Maurer, M.S.; Masri, A.; Sehnert, A.J.; Edelberg, J.M.; Chen, Y.-M.; et al. Effects of Mavacamten on Measures of Cardiopulmonary Exercise Testing Beyond Peak Oxygen Consumption: A Secondary Analysis of the EXPLORER-HCM Randomized Trial. JAMA Cardiol. 2023, 8, 240–247. [Google Scholar] [CrossRef] [PubMed]
- Rehm, H.L.; Berg, J.S.; Brooks, L.D.; Bustamante, C.D.; Evans, J.P.; Landrum, M.J.; Ledbetter, D.H.; Maglott, D.R.; Martin, C.L.; Nussbaum, R.L.; et al. ClinGen The Clinical Genome Resource. N. Engl. J. Med. 2015, 372, 2235–2242. [Google Scholar] [CrossRef] [PubMed]
- Rosca, C.I.; Branea, H.S.; Sharma, A.; Nicoras, V.A.; Borza, C.; Lighezan, D.F.; Morariu, S.I.; Kundnani, N.R. Rhythm Disturbances in Post-Acute COVID-19 Syndrome in Young Men without Pre-Existing Known Cardiovascular Disease—A Case Series. Biomedicines 2023, 11, 1146. [Google Scholar] [CrossRef] [PubMed]
- Yancy, C.W.; Jessup, M.; Bozkurt, B.; Butler, J.; Casey, D.E., Jr.; Drazner, M.H.; Fonarow, G.C.; Geraci, S.A.; Horwich, T.; Januzzi, J.L.; et al. 2013 ACCF/AHA guideline for the management of heart failure: A report of the American College of Cardiology Foundation/American Heart Association Task Force on practice guidelines. Circulation 2013, 62, e240–e327. [Google Scholar] [CrossRef] [PubMed]
- McNally, E.M.; Mestroni, L. Dilated Cardiomyopathy: Genetic Determinants and Mechanisms. Circ. Res. 2017, 121, 731–748. [Google Scholar] [CrossRef]
- Haas, J.; Frese, K.S.; Peil, B.; Kloos, W.; Keller, A.; Nietsch, R.; Feng, Z.; Müller, S.; Kayvanpour, E.; Vogel, B.; et al. Atlas of the clinical genetics of human dilated cardiomyopathy. Eur. Heart J. 2015, 36, 1123–1135. [Google Scholar] [CrossRef] [PubMed]
- Fatkin, D.; Huttner, I.G.; Kovacic, J.C.; Seidman, J.G.; Seidman, C.E. Precision Medicine in the Management of Dilated Cardiomyopathy: JACC State-of-the-Art Review. J. Am. Coll. Cardiol. 2019, 74, 2921–2938. [Google Scholar] [CrossRef] [PubMed]
- Jordan, E.; Peterson, L.; Ai, T.; Asatryan, B.; Bronicki, L.; Brown, E.; Celeghin, R.; Edwards, M.; Fan, J.; Ingles, J.; et al. Evidence-Based Assessment of Genes in Dilated Cardiomyopathy. Circulation 2021, 144, 7–19. [Google Scholar] [CrossRef]
- Akinrinade, O.; Ollila, L.; Vattulainen, S.; Tallila, J.; Gentile, M.; Salmenperä, P.; Koillinen, H.; Kaartinen, M.; Nieminen, M.S.; Myllykangas, S.; et al. Genetics and genotype-phenotype correlations in Finnish patients with dilated cardiomyopathy. Eur. Heart J. 2015, 36, 2327–2337. [Google Scholar] [CrossRef]
- McNally, E.M.; Golbus, J.R.; Puckelwartz, M.J. Genetic mutations and mechanisms in dilated cardiomyopathy. J. Clin. Investig. 2013, 123, 19–26. [Google Scholar] [CrossRef]
- Nouhravesh, N.; Ahlberg, G.; Ghouse, J.; Andreasen, C.; Svendsen, J.H.; Haunsø, S.; Bundgaard, H.; Weeke, P.E.; Olesen, M.S. Analyses of more than 60,000 exomes questions the role of numerous genes previously associated with dilated cardiomyopathy. Mol. Genet. Genom. Med. 2016, 4, 617–623. [Google Scholar] [CrossRef] [PubMed]
- Maggi, L.; Carboni, N.; Bernasconi, P. Skeletal Muscle Laminopathies: A Review of Clinical and Molecular Features. Cells 2016, 5, 33. [Google Scholar] [CrossRef] [PubMed]
- Hasselberg, N.E.; Edvardsen, T.; Petri, H.; Berge, K.E.; Leren, T.P.; Bundgaard, H.; Haugaa, K.H. Risk prediction of ventricular arrhythmias and myocardial function in Lamin A/C mutation positive subjects. Europace 2014, 16, 563–571. [Google Scholar] [CrossRef] [PubMed]
- Pugh, T.J.; Kelly, M.A.; Gowrisankar, S.; Hynes, E.; Seidman, M.A.; Baxter, S.M.; Bowser, M.; Harrison, B.; Aaron, D.; Mahanta, L.M.; et al. The landscape of genetic variation in dilated cardiomyopathy as surveyed by clinical DNA sequencing. Genet. Med. 2014, 16, 601–608. [Google Scholar] [CrossRef] [PubMed]
- Liu, G.S.; Morales, A.; Vafiadaki, E.; Lam, C.K.; Cai, W.F.; Haghighi, K.; Adly, G.; Hershberger, R.E.; Kranias, E.G. A novel human R25C-phospholamban mutation is associated with super-inhibition of calcium cycling and ventricular arrhythmia. Cardiovasc. Res. 2015, 107, 164–174. [Google Scholar] [CrossRef] [PubMed]
- McNair, W.P.; Sinagra, G.; Taylor, M.R.; Di Lenarda, A.; Ferguson, D.A.; Salcedo, E.E.; Slavov, D.; Zhu, X.; Caldwell, J.H.; Mestroni, L. SCN5A mutations associate with arrhythmic dilated cardiomyopathy and commonly localize to the voltage-sensing mechanism. J. Am. Coll. Cardiol. 2011, 57, 2160–2168. [Google Scholar] [CrossRef] [PubMed]
- Tayal, U.; Prasad, S.; Cook, S.A. Genetics and genomics of dilated cardiomyopathy and systolic heart failure. Genome Med. 2017, 9, 20. [Google Scholar] [CrossRef] [PubMed]
- Pinto, Y.M.; Elliott, P.M.; Arbustini, E.; Adler, Y.; Anastasakis, A.; Böhm, M.; Duboc, D.; Gimeno, J.; De Groote, P.; Imazio, M.; et al. Proposal for a revised definition of dilated cardiomyopathy, hypokinetic non-dilated cardiomyopathy, and its implications for clinical practice: A position statement of the ESC working group on myocardial and pericardial diseases. Eur. Heart J. 2016, 37, 1850–1858. [Google Scholar] [CrossRef]
- Rosca, C.I.; Sharma, A.; Nisulescu, D.-D.; Otiman, G.; Duda-Seiman, D.-M.; Morariu, S.I.; Lighezan, D.F.; Kundnani, N.R. Prevalence of Cardio-Embolic Brain Complications in Permanent and Paroxysmal Atrial Fibrillation Patients. Healthcare 2023, 11, 175. [Google Scholar] [CrossRef]
- Rosca, C.I.; Lighezan, D.F.; Nisulescu, D.-D.; Sharma, A.; Neagu, M.N.; Nistor, D.; Georgescu, D.; Kundnani, N.R. Metabolic Syndrome: A Strange Companion of Atrial Fibrillation; A Blessing in Disguise from the Neuropsychiatric Point of View. Biomedicines 2023, 11, 2012. [Google Scholar] [CrossRef]
- Muchtar, E.; Blauwet, L.A.; Gertz, M.A. Restrictive Cardiomyopathy: Genetics, Pathogenesis, Clinical Manifestations, Diagnosis, and Therapy. Circ. Res. 2017, 121, 819–837. [Google Scholar] [CrossRef] [PubMed]
- Towbin, J.A. Inherited cardiomyopathies. Circ. J. 2014, 78, 2347–2356. [Google Scholar] [CrossRef] [PubMed]
- Caleshu, C.; Sakhuja, R.; Nussbaum, R.L.; Schiller, N.B.; Ursell, P.C.; Eng, C.; De Marco, T.; McGlothlin, D.; Burchard, E.G.; Rame, J.E. Furthering the link between the sarcomere and primary cardiomyopathies: Restrictive cardiomyopathy associated with multiple mutations in genes previously associated with hypertrophic or dilated cardiomyopathy. Am. J. Med. Genet. Part A 2011, 155, 2229–2235. [Google Scholar] [CrossRef] [PubMed]
- Gallego-Delgado, M.; Delgado, J.F.; Brossa-Loidi, V.; Palomo, J.; Marzoa-Rivas, R.; Perez-Villa, F.; Salazar-Mendiguchía, J.; Ruiz-Cano, M.J.; Gonzalez-Lopez, E.; Padron-Barthe, L.; et al. Idiopathic Restrictive Cardiomyopathy Is Primarily a Genetic Disease. J. Am. Coll. Cardiol. 2016, 67, 3021–3023. [Google Scholar] [CrossRef] [PubMed]
- Brodehl, A.; Pour Hakimi, S.A.; Stanasiuk, C.; Ratnavadivel, S.; Hendig, D.; Gaertner, A.; Gerull, B.; Gummert, J.; Paluszkiewicz, L.; Milting, H. Restrictive Cardiomyopathy is Caused by a Novel Homozygous Desmin (DES) Mutation p.Y122H Leading to a Severe Filament Assembly Defect. Genes 2019, 10, 918. [Google Scholar] [CrossRef] [PubMed]
- Cimiotti, D.; Budde, H.; Hassoun, R.; Jaquet, K. Genetic Restrictive Cardiomyopathy: Causes and Consequences—An Integrative Approach. Int. J. Mol. Sci. 2021, 22, 558. [Google Scholar] [CrossRef]
- Su, W.; van Wijk, S.W.; Brundel, B. Desmin variants: Trigger for cardiac arrhythmias? Front. Cell Dev. Biol. 2022, 10, 986718. [Google Scholar] [CrossRef] [PubMed]
- Kittleson, M.M.; Maurer, M.S.; Ambardekar, A.V.; Bullock-Palmer, R.P.; Chang, P.P.; Eisen, H.J.; Nair, A.P.; Nativi-Nicolau, J.; Ruberg, F.L.; On behalf of the American Heart Association Heart Failure and Transplantation Committee of the Council on Clinical Cardiology; et al. Cardiac Amyloidosis: Evolving Diagnosis and Management: A Scientific Statement From the American Heart Association. Circulation 2020, 142, e7–e22. [Google Scholar] [CrossRef] [PubMed]
- Saef, J.; Martyn, T.; Ives, L.; Roth, L.R.; Grodin, J.L.; Maurer, M.S.; Hanna, M.; Tang, W.W. Predictive Modeling to Assess Pretest Probability of Transthyretin Gene Variants Based on Demographic Information. Circ. Heart Fail. 2023, 16, e009908. [Google Scholar] [CrossRef]
- Pietrangelo, A. Genetics, Genetic Testing, and Management of Hemochromatosis: 15 Years Since Hepcidin. Gastroenterology 2015, 149, 1240–1251.e4. [Google Scholar] [CrossRef]
- Suzuki, H.; Ota, M.; Meguro, A.; Katsuyama, Y.; Kawagoe, T.; Ishihara, M.; Asukata, Y.; Takeuchi, M.; Ito, N.; Shibuya, E.; et al. Genetic characterization and susceptibility for sarcoidosis in Japanese patients: Risk factors of BTNL2 gene polymorphisms and HLA class II alleles. Investig. Ophthalmol. Vis. Sci. 2012, 53, 7109–7115. [Google Scholar] [CrossRef] [PubMed][Green Version]
- Maurer, M.S.; Schwartz, J.H.; Gundapaneni, B.; Elliott, P.M.; Merlini, G.; Waddington-Cruz, M.; Kristen, A.V.; Grogan, M.; Witteles, R.; Damy, T.; et al. Tafamidis Treatment for Patients with Transthyretin Amyloid Cardiomyopathy. N. Engl. J. Med. 2018, 379, 1007–1016. [Google Scholar] [CrossRef]
- te Riele, A.S.; Tandri, H.; Bluemke, D.A. Arrhythmogenic right ventricular cardiomyopathy (ARVC): Cardiovascular magnetic resonance update. J. Cardiovasc. Magn. Reson. 2014, 16, 50. [Google Scholar] [CrossRef]
- Graziano, F.; Zorzi, A.; Cipriani, A.; De Lazzari, M.; Bauce, B.; Rigato, I.; Brunetti, G.; Pilichou, K.; Basso, C.; Marra, M.P.; et al. The 2020 “Padua Criteria” for Diagnosis and Phenotype Characterization of Arrhythmogenic Cardiomyopathy in Clinical Practice. J. Clin. Med. 2022, 11, 279. [Google Scholar] [CrossRef] [PubMed]
- Protonotarios, N.; Tsatsopoulou, A. Naxos disease and Carvajal syndrome: Cardiocutaneous disorders that highlight the pathogenesis and broaden the spectrum of arrhythmogenic right ventricular cardiomyopathy. Cardiovasc. Pathol. 2004, 13, 185–194. [Google Scholar] [CrossRef]
- Vatta, M.; Marcus, F.; Towbin, J.A. Arrhythmogenic right ventricular cardiomyopathy: A ‘final common pathway’ that defines clinical phenotype. Eur. Heart J. 2007, 28, 529–530. [Google Scholar] [CrossRef] [PubMed]
- Groeneweg, J.A.; Bhonsale, A.; James, C.A.; te Riele, A.S.; Dooijes, D.; Tichnell, C.; Murray, B.; Wiesfeld, A.C.; Sawant, A.C.; Kassamali, B.; et al. Clinical Presentation, Long-Term Follow-Up, and Outcomes of 1001 Arrhythmogenic Right Ventricular Dysplasia/Cardiomyopathy Patients and Family Members. Circ. Cardiovasc. Genet. 2015, 8, 437–446. [Google Scholar] [CrossRef] [PubMed]
- Towbin, J.A.; McKenna, W.J.; Abrams, D.J.; Ackerman, M.J.; Calkins, H.; Darrieux, F.C.C.; Daubert, J.P.; de Chillou, C.; DePasquale, E.C.; Desai, M.Y.; et al. 2019 HRS expert consensus statement on evaluation, risk stratification, and management of arrhythmogenic cardiomyopathy. Heart Rhythm 2019, 16, e301–e372. [Google Scholar] [CrossRef] [PubMed]
- van Waning, J.I.; Moesker, J.; Heijsman, D.; Boersma, E.; Majoor-Krakauer, D. Systematic Review of Genotype-Phenotype Correlations in Noncompaction Cardiomyopathy. J. Am. Heart Assoc. 2019, 8, e012993. [Google Scholar] [CrossRef]
- Zhang, W.; Chen, H.; Qu, X.; Chang, C.P.; Shou, W. Molecular mechanism of ventricular trabeculation/compaction and the pathogenesis of the left ventricular noncompaction cardiomyopathy (LVNC). Am. J. Med. Genet. Part C Semin. Med. Genet. 2013, 163, 144–156. [Google Scholar] [CrossRef]
- Captur, G.; Syrris, P.; Obianyo, C.; Limongelli, G.; Moon, J.C. Formation and Malformation of Cardiac Trabeculae: Biological Basis, Clinical Significance, and Special Yield of Magnetic Resonance Imaging in Assessment. Can. J. Cardiol. 2015, 31, 1325–1337. [Google Scholar] [CrossRef] [PubMed]
- Petersen, S.E.; Selvanayagam, J.B.; Wiesmann, F.; Robson, M.D.; Francis, J.M.; Anderson, R.H.; Watkins, H.; Neubauer, S. Left ventricular non-compaction: Insights from cardiovascular magnetic resonance imaging. J. Am. Coll. Cardiol. 2005, 46, 101–105. [Google Scholar] [CrossRef]
- Towbin, J.A. Left ventricular noncompaction: A new form of heart failure. Heart Fail. Clin. 2010, 6, 453–469. [Google Scholar] [CrossRef] [PubMed]
- Teekakirikul, P.; Kelly, M.A.; Rehm, H.L.; Lakdawala, N.K.; Funke, B.H. Inherited cardiomyopathies: Molecular genetics and clinical genetic testing in the postgenomic era. J. Mol. Diagn. 2013, 15, 158–170. [Google Scholar] [CrossRef] [PubMed]
- Gati, S.; Papadakis, M.; Papamichael, N.D.; Zaidi, A.; Sheikh, N.; Reed, M.; Sharma, R.; Thilaganathan, B.; Sharma, S. Reversible de novo left ventricular trabeculations in pregnant women: Implications for the diagnosis of left ventricular noncompaction in low-risk populations. Circulation 2014, 130, 475–483. [Google Scholar] [CrossRef] [PubMed]
- de la Chica, J.A.; Gómez-Talavera, S.; García-Ruiz, J.M.; García-Lunar, I.; Oliva, B.; Fernández-Alvira, J.M.; López-Melgar, B.; Sánchez-González, J.; de la Pompa, J.L.; Mendiguren, J.M.; et al. Association Between Left Ventricular Noncompaction and Vigorous Physical Activity. J. Am. Coll. Cardiol. 2020, 76, 1723–1733. [Google Scholar] [CrossRef] [PubMed]
- Probst, S.; Oechslin, E.; Schuler, P.; Greutmann, M.; Boyé, P.; Knirsch, W.; Berger, F.; Thierfelder, L.; Jenni, R.; Klaassen, S. Sarcomere gene mutations in isolated left ventricular noncompaction cardiomyopathy do not predict clinical phenotype. Circ. Cardiovasc. Genet. 2011, 4, 367–374. [Google Scholar] [CrossRef] [PubMed]
- van Waning, J.I.; Caliskan, K.; Michels, M.; Schinkel, A.F.L.; Hirsch, A.; Dalinghaus, M.; Hoedemaekers, Y.M.; Wessels, M.W.; Ijpma, A.S.; Hofstra, R.M.; et al. Cardiac Phenotypes, Genetics, and Risks in Familial Noncompaction Cardiomyopathy. J. Am. Coll. Cardiol. 2019, 73, 1601–1611. [Google Scholar] [CrossRef]
- Cerrone, M.; Remme, C.A.; Tadros, R.; Bezzina, C.R.; Delmar, M. Beyond the One Gene-One Disease Paradigm: Complex Genetics and Pleiotropy in Inheritable Cardiac Disorders. Circulation 2019, 140, 595–610. [Google Scholar] [CrossRef]
Disclaimer/Publisher’s Note: The statements, opinions and data contained in all publications are solely those of the individual author(s) and contributor(s) and not of MDPI and/or the editor(s). MDPI and/or the editor(s) disclaim responsibility for any injury to people or property resulting from any ideas, methods, instructions or products referred to in the content. |
© 2024 by the authors. Licensee MDPI, Basel, Switzerland. This article is an open access article distributed under the terms and conditions of the Creative Commons Attribution (CC BY) license (https://creativecommons.org/licenses/by/4.0/).
Share and Cite
Voinescu, O.R.; Ionac, A.; Sosdean, R.; Ionac, I.; Ana, L.S.; Kundnani, N.R.; Morariu, S.; Puiu, M.; Chirita-Emandi, A. Genotype-Phenotype Insights of Inherited Cardiomyopathies—A Review. Medicina 2024, 60, 543. https://doi.org/10.3390/medicina60040543
Voinescu OR, Ionac A, Sosdean R, Ionac I, Ana LS, Kundnani NR, Morariu S, Puiu M, Chirita-Emandi A. Genotype-Phenotype Insights of Inherited Cardiomyopathies—A Review. Medicina. 2024; 60(4):543. https://doi.org/10.3390/medicina60040543
Chicago/Turabian StyleVoinescu, Oana Raluca, Adina Ionac, Raluca Sosdean, Ioana Ionac, Luca Silvia Ana, Nilima Rajpal Kundnani, Stelian Morariu, Maria Puiu, and Adela Chirita-Emandi. 2024. "Genotype-Phenotype Insights of Inherited Cardiomyopathies—A Review" Medicina 60, no. 4: 543. https://doi.org/10.3390/medicina60040543
APA StyleVoinescu, O. R., Ionac, A., Sosdean, R., Ionac, I., Ana, L. S., Kundnani, N. R., Morariu, S., Puiu, M., & Chirita-Emandi, A. (2024). Genotype-Phenotype Insights of Inherited Cardiomyopathies—A Review. Medicina, 60(4), 543. https://doi.org/10.3390/medicina60040543

