Elucidating the Diagnostic Complexity of Round Cell Sarcoma with EWSR1-CREM Fusion: A Comprehensive Case Study
Abstract
1. Introduction
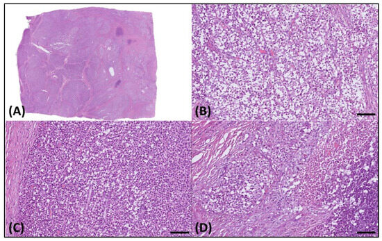
2. Case Report
3. Discussion
3.1. Histological Differential Diagnosis and Education Points
3.2. Summary of the Current Literature
| Indexed Case | Desmoplastic Small Round Cell Tumor [1] | Clear Cell Sarcoma [15] | Ewing Sarcoma | |
|---|---|---|---|---|
| Hematoxylin and eosin morphology | Clear, epithelioid, rhabdoid cytoplasm, hyperchromatic nuclei; hyalinized, fibrotic stroma | Small uniform, hyperchromatic nuclei, scant cytoplasm; prominent desmoplastic stroma | Nested, fascicular architecture with epithelioid-to-plump spindle cells, eosinophilic cytoplasm, vesicular nuclei; thin fibrous stroma | Small round nuclei with stippled chromatin, indistinct cytoplasmic membrane, and neuroectodermal differentiation |
| CK(AE1/AE3) | − | + | − | −/+ |
| CD99 | − | + | N/A | + |
| Desmin | Dot-like staining | Dot-like staining | − | N/A |
| Vimentin | Dot-like staining | Dot-like staining [14] | + | + |
| WT1’s C terminus | Faint nuclear staining | Strong nuclear staining | − | − |
| NKX2-2 | − | − | − | + |
| S100 | − | − | + | +/− |
| HMB45 | − | − | + | − |
| Synaptophysin | + | +/− | −/+ | +/− |
| ALK protein | + | − | N/A | N/A |
| Molecular findings | EWSR1-CREM fusion | EWSR1-WT1 fusion | EWSR1-ATF1/CREB1 fusion | FET-ETS fusion |
3.3. Therapeutics
4. Conclusions
Author Contributions
Funding
Institutional Review Board Statement
Informed Consent Statement
Data Availability Statement
Acknowledgments
Conflicts of Interest
References
- Wang, L.-L.; Ji, Z.-H.; Gao, Y.; Chang, H.; Sun, P.-P.; Li, Y. Clinicopathological features of desmoplastic small round cell tumors: Clinical series and literature review. World J. Surg. Oncol. 2021, 19, 193. [Google Scholar] [CrossRef]
- WHO Classification of Tumours Editorial Board. Soft Tissue and Bone Tumours, 5th ed.; WHO Classification of Tumours Series; International Agency for Research on Cancer: Lyon, France, 2020; Volume 3. Available online: https://publications.iarc.fr/588 (accessed on 2 February 2024).
- Liu, C.; Liu, Y.; Zhao, Y.; Wei, J.; Ma, Y.; Liu, Y.; Huang, J. Primary Intracranial Mesenchymal Tumor with EWSR1-CREM Gene Fusion: A Case Report and Literature Review. World Neurosurg. 2020, 142, 318–324. [Google Scholar] [CrossRef] [PubMed]
- Yoshida, A.; Wakai, S.; Ryo, E.; Miyata, K.; Miyazawa, M.; Yoshida, K.-I.; Motoi, T.; Ogawa, C.; Iwata, S.; Kobayashi, E.; et al. Expanding the Phenotypic Spectrum of Mesenchymal Tumors Harboring the EWSR1-CREM Fusion. Am. J. Surg. Pathol. 2019, 43, 1622–1630. [Google Scholar] [CrossRef]
- Kao, Y.-C.; Sung, Y.-S.M.; Zhang, L.; Chen, C.-L.M.; Vaiyapuri, S.; Rosenblum, M.K.; Antonescu, C.R. EWSR1 Fusions with CREB Family Transcription Factors Define a Novel Myxoid Mesenchymal Tumor with Predilection for Intracranial Location. Am. J. Surg. Pathol. 2017, 41, 482–490. [Google Scholar] [CrossRef] [PubMed]
- Argani, P.; Harvey, I.; Nielsen, G.P.; Takano, A.; Suurmeijer, A.J.H.; Voltaggio, L.; Zhang, L.; Sung, Y.S.; Stenzinger, A.; Mechtersheimer, G.; et al. EWSR1/FUS-CREB fusions define a distinctive malignant epithelioid neoplasm with predilection for mesothelial-lined cavities. Mod. Pathol. 2020, 33, 2233–2243. [Google Scholar] [CrossRef]
- Komatsu, M.; Sakai, Y.; Nishikubo, M.; Tane, S.; Nishio, W.; Kajimoto, K.; Hirose, T. EWSR1-CREM fusion in pulmonary mesenchymal neoplasm showing distinctive clear cell morphology. Pathol. Int. 2020, 70, 1020–1026. [Google Scholar] [CrossRef] [PubMed]
- Cui, Q.; Wu, H.; Chen, Y.; Xiao, Z.; Liu, Z.; Chen, J.; Li, Z. A EWSR1-CREM-rearranged gastric mesenchymal tumor accompanied by gastritis cystica profunda and with probable benign behavior: A case report. Transl. Cancer Res. 2022, 11, 959–966. [Google Scholar] [CrossRef] [PubMed]
- Dickson, B.C.; Antonescu, C.R.; Argyris, P.P.; Bilodeau, E.A.; Bullock, M.J.; Freedman, P.D.; Gnepp, D.R.; Jordan, R.C.; Koutlas, I.G.; Lee, C.H.; et al. Ectomesenchymal Chondromyxoid Tumor: A Neoplasm Characterized by Recurrent RREB1-MKL2 Fusions. Am. J. Surg. Pathol. 2018, 42, 1297–1305. [Google Scholar] [CrossRef] [PubMed]
- Javaid, S.; Patton, A.; Tinoco, G.; Oghumu, S.; Iwenofu, O.H. Metastatic sporadic paraganglioma with EWSR1::CREM gene fusion: A unique molecular profile that expands the phenotypic diversity of the molecular landscape of the EWSR1::CREM gene fusion positive tumors. Genes Chromosom. Cancer 2023, 62, 85–92. [Google Scholar] [CrossRef] [PubMed]
- Li, S.; Hong, R.; Wang, X.; Yang, J. Ovarian epithelioid malignant peripheral nerve sheath tumor with EWSR1-CREM fusion: A case report and literature review. Int. J. Gynecol. Obstet. 2023, 163, 521–527. [Google Scholar] [CrossRef]
- Chapman, E.; Skalova, A.; Ptakova, N.; Martinek, P.; Goytain, A.; Tucker, T.; Xiong, W.; Leader, M.; Kudlow, B.A.; Haimes, J.D.; et al. Molecular Profiling of Hyalinizing Clear Cell Carcinomas Revealed a Subset of Tumors Harboring a Novel EWSR1-CREM Fusion: Report of 3 Cases. Am. J. Surg. Pathol. 2018, 42, 1182–1189. [Google Scholar] [CrossRef]
- Li, P.; Busam, K. Compound clear cell sarcoma with EWSR1::CREM fusion. J. Cutan. Pathol. 2023, 50, 1065–1069. [Google Scholar] [CrossRef]
- Agaimy, A.; Stoehr, R.; Otto, M.; Bräsen, J.H.; Pfarr, N.; Konukiewitz, B.; Kasajima, A.; Hartmann, A.; Klöppel, G. Intra-abdominal EWSR1/FUS-CREM-rearranged malignant epithelioid neoplasms: Two cases of an emerging aggressive entity with emphasis on misleading immunophenotype. Virchows Arch. 2022, 480, 481–486. [Google Scholar] [CrossRef]
- Hisaoka, M.; Ishida, T.; Kuo, T.T.; Matsuyama, A.; Imamura, T.; Nishida, K.; Kuroda, H.; Inayama, Y.; Oshiro, H.; Kobayashi, H.; et al. Clear cell sarcoma of soft tissue: A clinicopathologic, immunohistochemical, and molecular analysis of 33 cases. Am. J. Surg. Pathol. 2008, 32, 452–460. [Google Scholar] [CrossRef] [PubMed]
- Cheah, A.L.; Zou, Y.; Lanigan, C.; Billings, S.D.; Rubin, B.P.; Hornick, J.L.; Goldblum, J.R. ALK Expression in Angiomatoid Fibrous Histiocytoma: A Potential Diagnostic Pitfall. Am. J. Surg. Pathol. 2019, 43, 93–101. [Google Scholar] [CrossRef] [PubMed]
- Subbiah, V.; Holmes, O.; Gowen, K.; Spritz, D.; Amini, B.; Wang, W.-L.; Schrock, A.B.; Meric-Bernstam, F.; Zinner, R.; Piha-Paul, S.; et al. Activity of c-Met/ALK Inhibitor Crizotinib and Multi-Kinase VEGF Inhibitor Pazopanib in Metastatic Gastrointestinal Neuroectodermal Tumor Harboring EWSR1-CREB1 Fusion. Oncology 2016, 91, 348–353. [Google Scholar] [CrossRef] [PubMed]




| Reference | Age/Sex | Site | Morphology | Positive IHC |
|---|---|---|---|---|
| Indexed case | 15/F | Retroperitoneum | Clear, epithelioid, rhabdoid cytoplasm, separated by hyalinized, fibrotic stroma | Demin, Vimentin (dot-like staining), Synaptophysin, and ALK |
| Dickson et al. (2018) [9] | 48/M | Dorsal tongue | Small nodules of polygonal cells, indistinct cell borders, and prominent slit-like spaces (ECT) | Non |
| Chapman et al. (2018) [12] | 68/F | Tongue | Infiltrating tumor in hyalinized stroma with associated lymphocytic reaction (HCCC) | CK5 and p63 |
| 75/F | Lung | Hyalinized stroma with focal clear cells (HCCC) | CK7, CK14, and p63 | |
| 62/M | Nasopharynx | Cords and nests of tumor cells in hyalinized stroma (HCCC) | CK7, CK14, and p63 | |
| Yoshida et al. (2019) [4] | 48/F | Left hand | Monomorphic nuclei with prominent nucleoli and amphophilic-to-clear cytoplasm (CCS) | S100 protein, HMB45, Melan A, and SOX10 |
| 47/M | Lung | Myxoid variant, showing multinodular, predominantly myxoid growth populated by uniform round-to-spindle cells in a reticular pattern (myxoid AFH) | EMA, Desmin (2 of the cases were positive for ALK) | |
| 50/M | Finger | |||
| 54/M | Hand | |||
| 15/M | Abdominal cavity | Hypercellular storiform-to-whorled pattern, small oval-to-spindle cells with fine chromatin, and delicate intercellular collagen deposition | Vimentin, AE1/AE3, EMA (focal), CD56, CD34 (focal), ALK (focal), DOG1 (focal), and Synaptophysin (focal) | |
| 63/F | Left chest wall | Small round cells with fine chromatin, scant eosinophilic cytoplasm, fibrillary stroma, vague trabecular-to-reticular pattern, and perivascular pseudorosettes | CD99, Synaptophysin, Vimentin, CD56, MUC4, and EMA (focal) | |
| Argani et al. (2020) [6] | 9/M | Adrenal | Epithelioid, tubular structures; cystic, lymphoid cuff; calcifications | AE1/3, Cam5.2, EMA (focal), WT1(focal), inhibin, Desmin (focal), and CD99 (weak) |
| 47/F | Mesocolon | Epithelioid and spindle cells, cystic, lymphoid cuffs | CK (focal) | |
| 25/M | Gastric fundus | Epithelioid and round cells, cystic, lymphoid cuffs | EMA (focal) and WT1 (rare) | |
| 44/F | Pleura | Epithelioid and round, rhabdoid cells, cystic, pseudopapillary | AE1/3 (focal); EMA and inhibin (focal) | |
| 20/F | Peri-rectal | Epithelioid and spindle cells, myxoid | CK (focal) and EMA (focal) | |
| 14/F | Thigh | Epithelioid and rhabdoid cells, cystic | CK (focal), EMA (focal), and CD99 | |
| 29/M | Kidney | Round and epithelioid, cystic | CK (focal) | |
| Komatsu et al. (2020) [7] | 56/M | Lung | Clear cell, alveolar and nested pattern | Vimentin, Synaptophysin, and ALK(5A4) |
| Agaimy et al. (2022) [14] | 55/M | Kidney | Epithelioid cells, few rhabdoid cells, communicating nests, trabeculae, and fibrous stroma | Vimentin, EMA, AE1/AE3, Cytoplasmic Alk, and variable MUC4 |
| Cui et al. (2022) [8] | 69/F | Stomach | Bland oval cells with scanty cytoplasm and monomorphic nuclei | CD10, CD117, and CD56 (patchy) |
| Philippa Li et al. (2023) [13] | 41/F | Right great toe | Large nuclei, prominent nucleoli, and abundant cytoplasm with focal clear cell change (CCS) | S100, HMB45, SOX10, and Melan-A |
| Sijian Li et al. (2023) [11] | 7/F | Left ovary | Epithelioid cytoplasm, round or oval nuclei, and fibrous/fibromyxoid stroma (OEMPNST) | SOX10, S-100, INI-1 (retained), α-inhibin, and H3k27me3 (retained) |
| Javaid et al. (2023) [10] | 36/M | Neck | Polygonal cells, pale eosinophilic cytoplasm, and solid growth (paraganglioma) | Synaptophysin, chromogranin, and S100 (sustentacular cells) |
Disclaimer/Publisher’s Note: The statements, opinions and data contained in all publications are solely those of the individual author(s) and contributor(s) and not of MDPI and/or the editor(s). MDPI and/or the editor(s) disclaim responsibility for any injury to people or property resulting from any ideas, methods, instructions or products referred to in the content. |
© 2024 by the authors. Licensee MDPI, Basel, Switzerland. This article is an open access article distributed under the terms and conditions of the Creative Commons Attribution (CC BY) license (https://creativecommons.org/licenses/by/4.0/).
Share and Cite
Yen, H.; Chou, J.-L.; Li, Y.-F.; Wang, D.-S. Elucidating the Diagnostic Complexity of Round Cell Sarcoma with EWSR1-CREM Fusion: A Comprehensive Case Study. Medicina 2024, 60, 544. https://doi.org/10.3390/medicina60040544
Yen H, Chou J-L, Li Y-F, Wang D-S. Elucidating the Diagnostic Complexity of Round Cell Sarcoma with EWSR1-CREM Fusion: A Comprehensive Case Study. Medicina. 2024; 60(4):544. https://doi.org/10.3390/medicina60040544
Chicago/Turabian StyleYen, Hao, Jian-Liang Chou, Yao-Feng Li, and Der-Shiun Wang. 2024. "Elucidating the Diagnostic Complexity of Round Cell Sarcoma with EWSR1-CREM Fusion: A Comprehensive Case Study" Medicina 60, no. 4: 544. https://doi.org/10.3390/medicina60040544
APA StyleYen, H., Chou, J.-L., Li, Y.-F., & Wang, D.-S. (2024). Elucidating the Diagnostic Complexity of Round Cell Sarcoma with EWSR1-CREM Fusion: A Comprehensive Case Study. Medicina, 60(4), 544. https://doi.org/10.3390/medicina60040544

