Infraocclusion in the Primary and Permanent Dentition—A Narrative Review
Abstract
1. Introduction
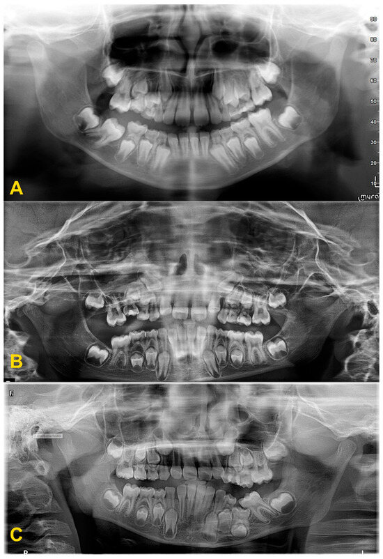
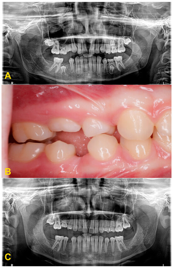
2. Diagnostics and Treatment
3. Discussion
4. Conclusions
Author Contributions
Funding
Institutional Review Board Statement
Informed Consent Statement
Data Availability Statement
Conflicts of Interest
Abbreviations
| CBCT | Cone beam computed tomography |
| GAPO syndrome | Growth delay–alopecia–pseudoanodontia–optic atrophy syndrome |
| LIPUS | Low-intensity pulsed ultrasound |
| MFE | Mechanical failure of eruption |
| PFE | Primary failure of eruption |
| Phase A1 | The tooth crown reaches half the height of the crowns of adjacent teeth |
| Phase A2 | The crown of the embedded tooth is located between half the height of the crowns of adjacent teeth and the cervix |
| phase B | The tooth crown is below the oral mucosa |
| PRP | Platelet-rich plasma |
| TTS | Titanium trauma splint |
| 36 | Permanent lower first molar |
| 55 | Primary upper right second molar |
| 74 | Primary lower left first molar |
| 75 | Primary lower left second molar |
| 84 | Primary lower right first molar |
| 85 | Primary lower right second molar |
References
- Shalish, M.; Peck, S.; Wasserstein, A.; Peck, L. Increased occurrence of dental anomalies associated with infraocclusion of deciduous molars. Angle Orthod. 2010, 80, 440–445. [Google Scholar] [CrossRef]
- Patano, A.; Inchingolo, A.M.; Laudadio, C.; Azzollini, D.; Marinelli, G.; Ceci, S.; Latini, G.; Rapone, B.; Inchingolo, A.D.; Mancini, A.; et al. Therapeutic Strategies of Primary Molar Infraocclusion: A Systematic Review. Children 2023, 10, 582. [Google Scholar] [CrossRef]
- Antoniades, K.; Kavadia, S.; Milioti, K.; Antoniades, V.; Markovitsi, E. Submerged teeth. J. Clin. Pediatr. Dent. 2002, 26, 239–242. [Google Scholar] [CrossRef]
- McGeown, M.; O’Connell, A. Management of primary molar infraocclusion in general practice. J. Ir. Dent. Assoc. 2014, 60, 192–198. [Google Scholar]
- Noble, J.; Karaiskos, N.; Wiltshire, W.A. Diagnosis and management of the infraerupted primary molar. Br. Dent. J. 2007, 203, 632–634. [Google Scholar] [CrossRef]
- Gondim, J.O.; Neto, J.J.; de Carvalho, F.M.; da Costa, R.C.; Monteiro, A.L.; Giro, E.M. An unusual case of severe primary molar infraocclusion. J. Dent. Child. 2013, 80, 88–91. [Google Scholar]
- Loriato, L.B.; Machado, A.W.; Souki, B.Q.; Pereira, T.J. Late diagnosis of dentoalveolar ankylosis: Impact on effectiveness and efficiency of orthodontic treatment. Am. J. Orthod. Dentofac. Orthop. 2009, 135, 799–808. [Google Scholar] [CrossRef] [PubMed]
- Kjaer, I.; Fink-Jensen, M.; Andreasen, J.O. Classification and sequelae of arrested eruption of primary molars. Int. J. Paediatr. Dent. 2008, 18, 11–17. [Google Scholar] [CrossRef] [PubMed]
- Kurol, J. Impacted and ankylosed teeth: Why, when, and how to intervene. Am. J. Orthod. Dentofac. Orthop. 2006, 129, S86–S90. [Google Scholar] [CrossRef] [PubMed]
- Frazier-Bowers, S.A.; Puranik, C.P.; Mahaney, M.C. The etiology of eruption disorders—Further evidence of a ‘genetic paradigm’. Semin. Orthod. 2010, 16, 180–185. [Google Scholar] [CrossRef] [PubMed]
- Peretz, B.; Absawi-Huri, M.; Bercovich, R.; Amir, E. Inter-relations between infraocclusion of primary mandibular molars, tipping of adjacent teeth, and alveolar bone height. Pediatr. Dent. 2013, 35, 325–328. [Google Scholar]
- Goel, M.; Batra, J.; Kamal, M.; Attresh, G.; Agrawal, A. Primary maxillary second molar and its succedaneous tooth—A rare occurrence. J. Oral Health Community Dent. 2015, 9, 47–49. [Google Scholar] [CrossRef]
- Heliövaara, A.; Küseler, A.; Skaare, P.; Shaw, W.; Mølsted, K.; Karsten, A.; Brinck, E.; Rizell, S.; Marcusson, A.; Sæle, P.; et al. Scandcleft randomised trials of primary surgery for unilateral cleft lip and palate: 6. Dental arch relationships in 5 year-olds. J. Plast. Surg. Hand Surg. 2017, 51, 52–57. [Google Scholar] [CrossRef] [PubMed]
- Pytlik, W. Doświadczalna ankyloza, infraokluzja i resorpcje korzeni a kliniczna reinkluzja zęba. Czas. Stomatol. 1987, 40, 643–649. [Google Scholar]
- Kukuła, K.; Plakwicz, P. Unusually intruded primary upper incisor: Potential threat after 7 years of asymptomatic course. Diagnosis and treatment. Eur. J. Paediatr. Dent. 2016, 17, 104–106. [Google Scholar]
- Baccetti, T. Tooth anomalies associated with failure of eruption of first and second permanent molars. Am. J. Orthod. Dentofac. Orthop. 2000, 118, 608–610. [Google Scholar] [CrossRef]
- Hanisch, M.; Hanisch, L.; Kleinheinz, J.; Jung, S. Primary failure of eruption (PFE): A systematic review. Head Face Med. 2018, 14, 5. [Google Scholar] [CrossRef] [PubMed]
- Santosh, P. Impacted Mandibular Third Molars: Review of Literature and a Proposal of a Combined Clinical and Radiological Classification. Ann. Med. Health Sci. Res. 2015, 5, 229–234. [Google Scholar] [CrossRef]
- Mandrekar, P.N.; Gavhane, S.; Fernandes, T.B.; Dhupar, V.; Dhupar, A. A diagnostic dilemma in pediatric osteomyelitis: A case report. J. Korean Assoc. Oral Maxillofac. Surg. 2022, 48, 117–121. [Google Scholar] [CrossRef]
- Ponduri, S.; Birnie, D.J.; Sandy, J.R. Infraocclusion of secondary deciduous molars—An unusual outcome. J. Orthod. 2009, 36, 186–189. [Google Scholar] [CrossRef]
- Shalish, M.; Har-Zion, G.; Zini, A.; Harari, D.; Chaushu, S. Deep submersion: Severe phenotype of deciduous-molar infraocclusion with biological associations. Angle Orthod. 2014, 84, 292–296. [Google Scholar] [CrossRef]
- Salem, K.; Mirzaee, B. Infraocclusion of primary molars and associated dental abnormalities. Res. J. Biol. Sci. 2009, 4, 1217–1220. [Google Scholar] [CrossRef]
- Eşian, D.; Bica, C.I.; Stoica, O.E.; Dako, T.; Vlasa, A.; Bud, E.S.; Salcudean, D.; Beresescu, L. Prevalence and Manifestations of Dental Ankylosis in Primary Molars Using Panoramic X-rays: A Cross-Sectional Study. Children 2022, 9, 1188. [Google Scholar] [CrossRef] [PubMed]
- Stasiak, M.; Adamska, P. Should Cone-Beam Computed Tomography Be Performed Prior to Orthodontic Miniscrew Placement in the Infrazygomatic Crest Area?—A Systematic Review. Biomedicines 2023, 11, 2389. [Google Scholar] [CrossRef]
- Odeh, R.; Mihailidis, S.; Townsend, G.; Lähdesmäki, R.; Hughes, T.; Brook, A. Prevalence of infraocclusion of primary molars determined using a new 2D image analysis methodology. Aust. Dent. J. 2016, 61, 183–189. [Google Scholar] [CrossRef] [PubMed]
- Tiwana, P.S.; Kushner, G.M. Management of impacted teeth in children. Oral Maxillofac. Surg. Clin. N. Am. 2005, 17, 365–373. [Google Scholar] [CrossRef] [PubMed]
- Hvaring, C.L.; Birkeland, K. The long-term fate of persisting deciduous molars and canines in 42 patients with severe hypodontia: A 12-year follow-up. Eur. J. Orthod. 2020, 42, 581–586. [Google Scholar] [CrossRef] [PubMed]
- Bjerklin, K.; Al-Najjar, M.; Kårestedt, H.; Andrén, A. Agenesis of mandibular second premolars with retained primary molars: A longitudinal radiographic study of 99 subjects from 12 years of age to adulthood. Eur. J. Orthod. 2008, 30, 254–261. [Google Scholar] [CrossRef]
- Quevedo, B.; Miranda, F.; Pereira Lauris, J.R.; Ferrari Junior, F.M.; Garib, D. Mandibular second premolar distoangulation: A longitudinal follow-up from the mixed to the permanent dentition. Eur. J. Orthod. 2023, 45, 731–738. [Google Scholar] [CrossRef] [PubMed]
- Dos Santos, C.C.O.; Melo, D.L.; da Silva, P.P.; Normando, D. What is the survival rate of deciduous molars in cases with agenesis of premolar successors? A systematic review. Angle Orthod. 2022, 92, 110–117. [Google Scholar] [CrossRef]
- Stasiak, M.; Kołodziejska, A.; Racka-Pilszak, B. Orthodontic Treatment of Palatally Impacted Canines in Severe Non-Syndromic Oligodontia with the Use of Mini-Implants: A Case Report. Medicina 2023, 59, 2032. [Google Scholar] [CrossRef] [PubMed]
- Karacay, S.; Guven, G.; Basak, F. Treatment of space loss caused by submerged maxillary second primary molar. J. Indian Soc. Pedod. Prev. Dent. 2007, 25, 36–38. [Google Scholar] [PubMed]
- Suchak, D.; Kamble, R.; Agarwal, N.; Shirbhate, U.; Talla, R. Accelerated Orthodontics: Getting Ahead of Ourselves with Corticotomy. Cureus 2023, 15, e50858. [Google Scholar] [CrossRef] [PubMed]
- Malmgren, B.; Cvek, M.; Lundberg, M.; Frykholm, A. Surgical treatment of ankylosed and inirapositioned reimplanted incisors in adolescents. Scand. J. Dent. Res. 1984, 92, 391–399. [Google Scholar] [CrossRef] [PubMed]
- Mohadeb, J.V.; Somar, M.; He, H. Effectiveness of decoronation technique in the treatment of ankylosis: A systematic review. Dent. Traumatol. 2016, 32, 255–263. [Google Scholar] [CrossRef] [PubMed]
- Malmgren, B.; Tsilingaridis, G.; Malmgren, O. Long-term follow up of 103 ankylosed permanent incisors surgically treated with decoronation—A retrospective cohort study. Dent. Traumatol. 2015, 31, 184–189. [Google Scholar] [CrossRef] [PubMed]
- Chalmers, E.; Goodall, C.; Gardner, A. Coronectomy for infraoccluded lower first permanent molars: A report of two cases. J. Orthod. 2012, 39, 117–121. [Google Scholar] [CrossRef] [PubMed]
- Narendranath, R.Y.; Upendra, J. Treatment of space loss caused by submerged mandibular second primary molar. Ann. Essenc. Dent. 2010, 2, 81–84. [Google Scholar] [CrossRef][Green Version]
- Tieu, L.D.; Walker, S.L.; Major, M.P.; Flores-Mir, C. Management of ankylosed primary molars with premolar successors: A systematic review. J. Am. Dent. Assoc. 2013, 144, 602–611. [Google Scholar] [CrossRef]
- Smith, C.P.; Al-Awadhi, E.A.; Garvey, M.T. An atypical presentation of mechanical failure of eruption of a mandibular permanent molar: Diagnosis and treatment case report. Eur. Arch. Paediatr. Dent. 2012, 13, 152–156. [Google Scholar] [CrossRef]
- Baek, J.H.; Kim, B.O.; Lee, W.P. Implant Placement after Closure of Oroantral Communication by Sinus Bone Graft Using a Collagen Barrier Membrane in the Shape of a Pouch: A Case Report and Review of the Literature. Medicina 2021, 57, 626. [Google Scholar] [CrossRef] [PubMed]
- Gojayeva, G.; Tekin, G.; Saruhan Kose, N.; Dereci, O.; Kosar, Y.C.; Caliskan, G. Evaluation of complications and quality of life of patient after surgical extraction of mandibular impacted third molar teeth. BMC Oral Health 2024, 24, 131. [Google Scholar] [CrossRef] [PubMed]
- Joshi, A.; Goel, M.; Thorat, A. Identifying the risk factors causing iatrogenic mandibular fractures associated with exodontia: A systemic meta-analysis of 200 cases from 1953 to 2015. Oral Maxillofac. Surg. 2016, 20, 391–396. [Google Scholar] [CrossRef] [PubMed]
- Harrison, A.; Alt, V. Low-intensity pulsed ultrasound (LIPUS) for stimulation of bone healing—A narrative review. Injury 2021, 52 (Suppl. S2), S91–S96. [Google Scholar] [CrossRef]
- Kuo, H.Y.; Lo, Y.J.; Huang, Y.W. New era of tooth autotransplantation. Part I: Thoughts on clinical aspects. J. Dent. Sci. 2024, 19, 8–10. [Google Scholar] [CrossRef]
- Hou, R.; Hui, X.; Xu, G.; Li, Y.; Yang, X.; Xu, J.; Liu, Y.; Zhu, M.; Zhu, Q.; Sun, Y. Use of 3D printing models for donor tooth extraction in autotransplantation cases. BMC Oral Health 2024, 24, 179. [Google Scholar] [CrossRef]











Disclaimer/Publisher’s Note: The statements, opinions and data contained in all publications are solely those of the individual author(s) and contributor(s) and not of MDPI and/or the editor(s). MDPI and/or the editor(s) disclaim responsibility for any injury to people or property resulting from any ideas, methods, instructions or products referred to in the content. |
© 2024 by the authors. Licensee MDPI, Basel, Switzerland. This article is an open access article distributed under the terms and conditions of the Creative Commons Attribution (CC BY) license (https://creativecommons.org/licenses/by/4.0/).
Share and Cite
Adamska, P.; Sobczak-Zagalska, H.; Stasiak, M.; Adamski, Ł.J.; Pylińska-Dąbrowska, D.; Barkowska, S.; Zedler, A.; Studniarek, M. Infraocclusion in the Primary and Permanent Dentition—A Narrative Review. Medicina 2024, 60, 423. https://doi.org/10.3390/medicina60030423
Adamska P, Sobczak-Zagalska H, Stasiak M, Adamski ŁJ, Pylińska-Dąbrowska D, Barkowska S, Zedler A, Studniarek M. Infraocclusion in the Primary and Permanent Dentition—A Narrative Review. Medicina. 2024; 60(3):423. https://doi.org/10.3390/medicina60030423
Chicago/Turabian StyleAdamska, Paulina, Hanna Sobczak-Zagalska, Marcin Stasiak, Łukasz Jan Adamski, Dorota Pylińska-Dąbrowska, Sandra Barkowska, Adam Zedler, and Michał Studniarek. 2024. "Infraocclusion in the Primary and Permanent Dentition—A Narrative Review" Medicina 60, no. 3: 423. https://doi.org/10.3390/medicina60030423
APA StyleAdamska, P., Sobczak-Zagalska, H., Stasiak, M., Adamski, Ł. J., Pylińska-Dąbrowska, D., Barkowska, S., Zedler, A., & Studniarek, M. (2024). Infraocclusion in the Primary and Permanent Dentition—A Narrative Review. Medicina, 60(3), 423. https://doi.org/10.3390/medicina60030423

