Atypical Histopathological Aspects of Common Types of Lung Cancer—Our Experience and Literature Review
Abstract
1. Introduction
2. Materials and Methods
3. Results
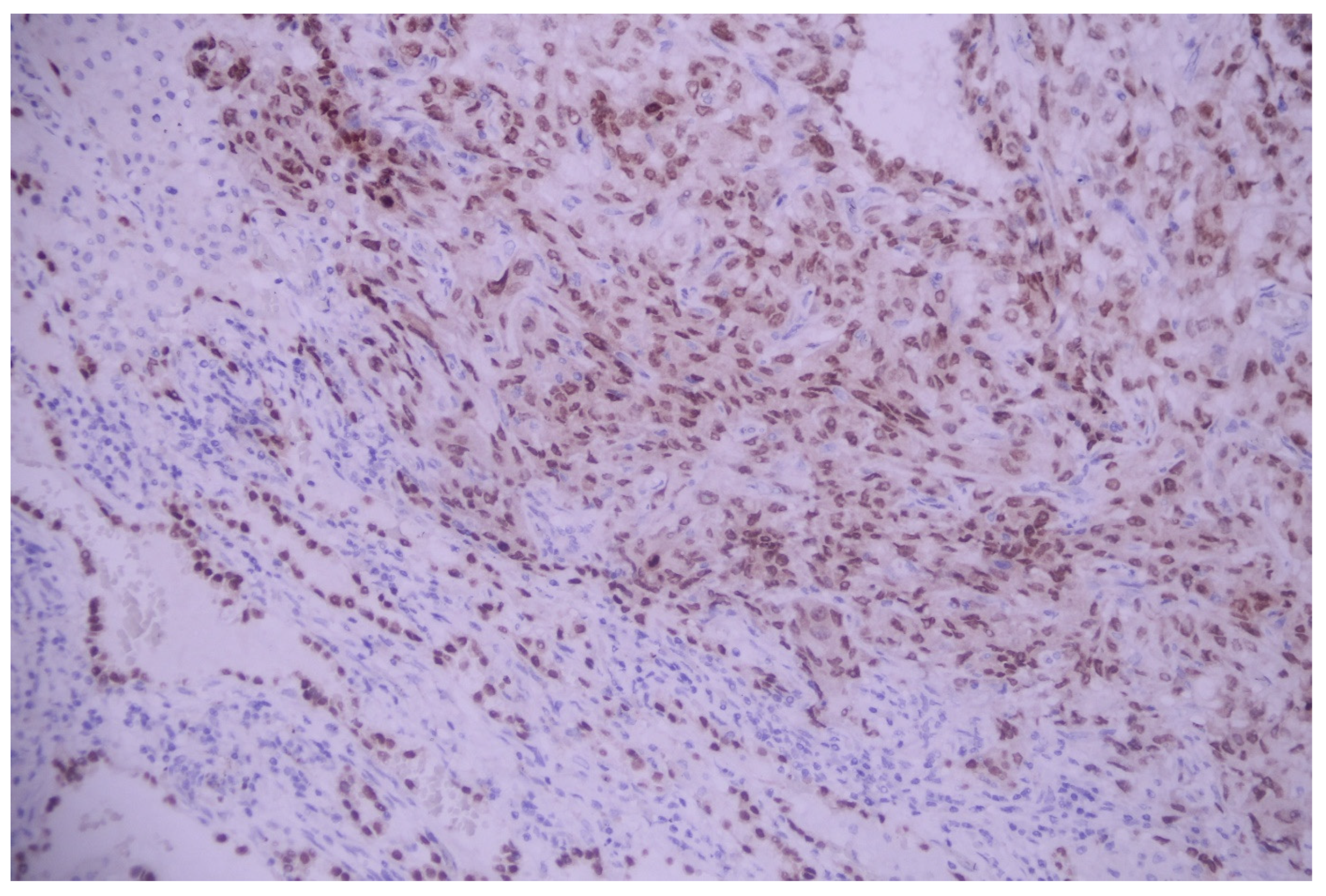
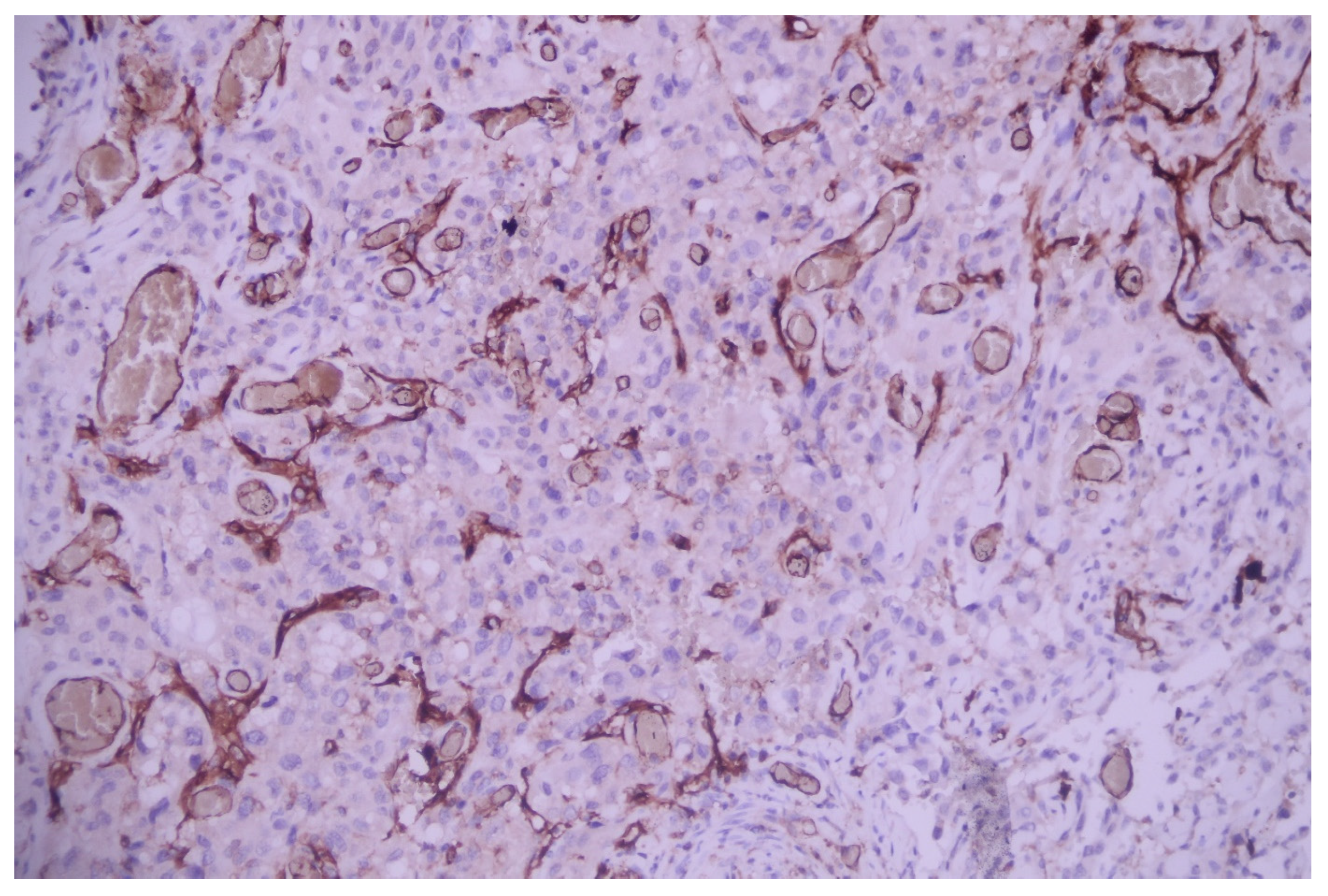
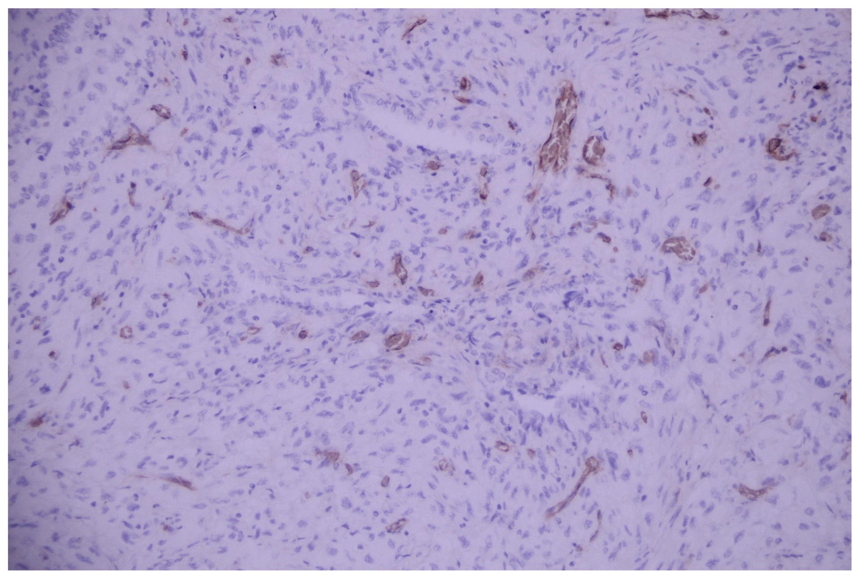
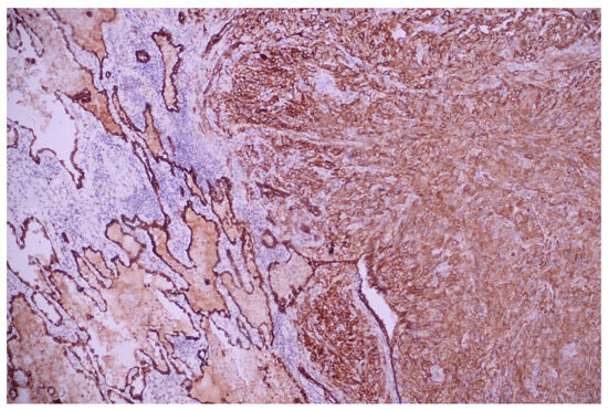
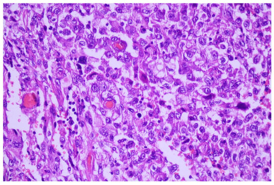
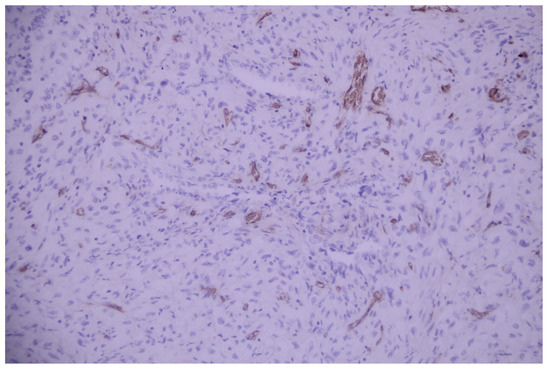
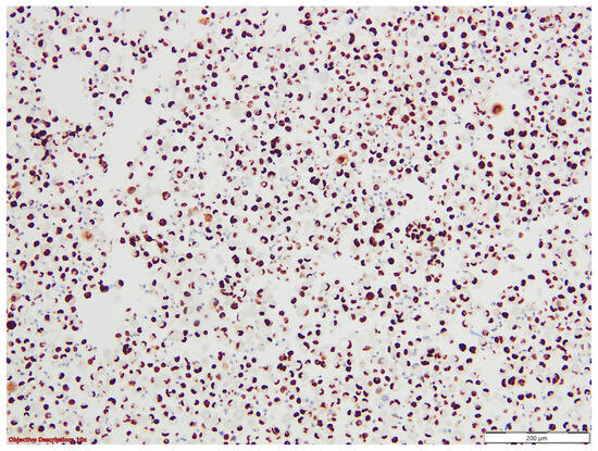
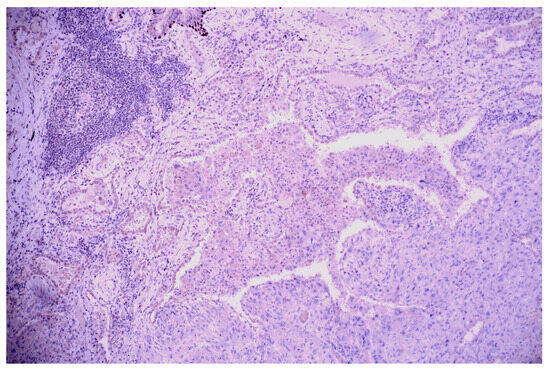
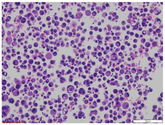
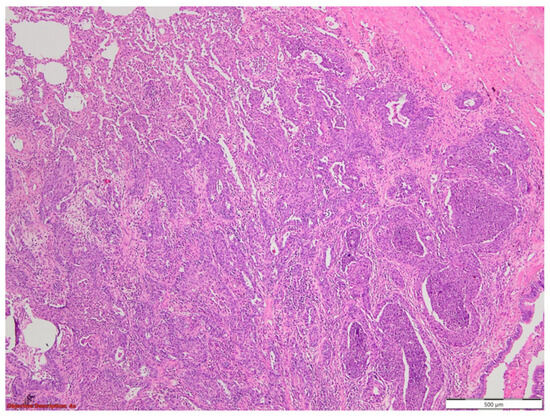
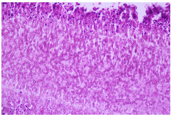
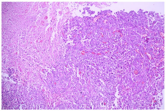
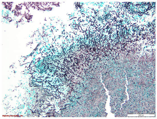
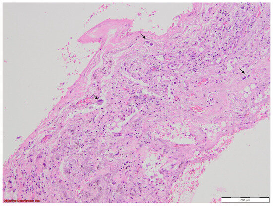
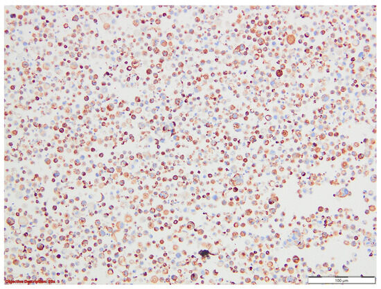
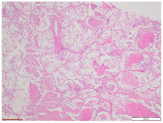
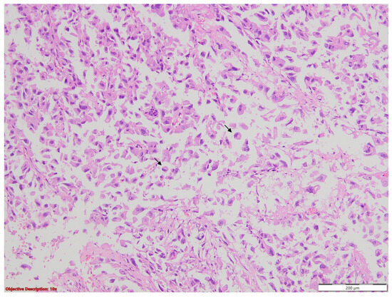
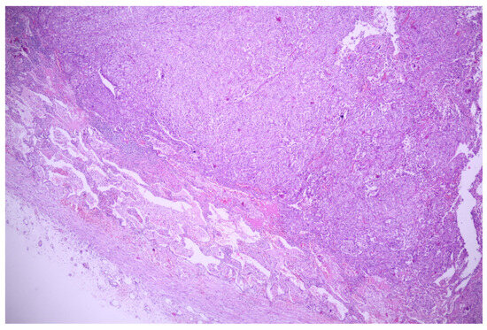
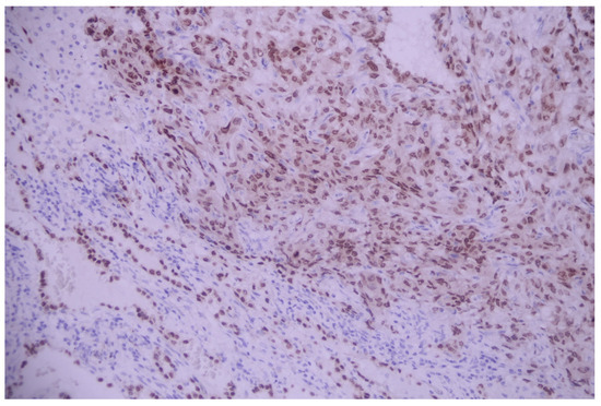
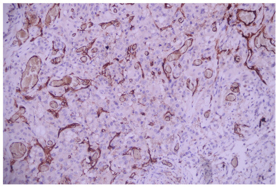
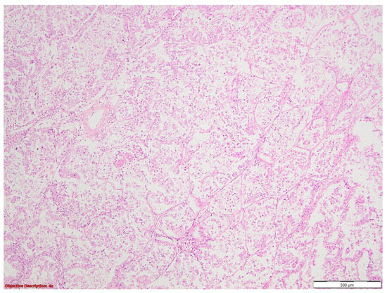
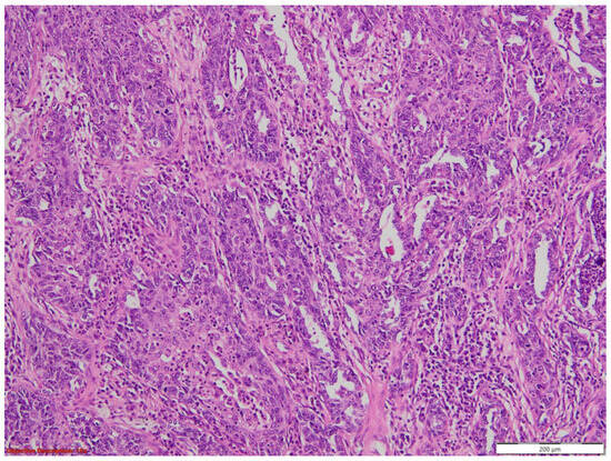
3.1. Case No. 1
3.2. Case No. 2
3.3. Case No. 3
3.4. Case No. 4
4. Discussion
4.1. WHO Classification of Lung Adenocarcinoma and Squamous Cell Carcinoma
4.1.1. Lung Adenocarcinoma
- Nomenclature change: bronchioloalveolar adenocarcinoma (mucinous/non-mucinous, invasive/minimally invasive/in situ) became lepidic adenocarcinoma (mucinous/non-mucinous, invasive/minimally invasive/in situ) [4];
- Micropapillary adenocarcinoma became a separate histopathological type, in addition to lepidic, acinar, papillary, and solid. The presence of micropapillary structures was also described in the 3rd edition of the WHO classification, but were included in the papillary histotype of lung adenocarcinoma [4];
- Differentiation between mucinous and colloid lung adenocarcinoma: both neoplasms are formed by cells with the same morphology, the difference being that in the colloid tumors, the extracellular mucin deposits are extensive, fulfill, and break the alveolar septa [4];
- Increase in the diagnostic accuracy of mixed mucinous and nonmucinous adenocarcinoma: introduction of a 10% cut-off as a minimum percentage needed for each component [4];
- Elimination of some of the particular patterns of adenocarcinoma, including mucinous cystadenocarcinoma, signet ring, and clear cell adenocarcinoma [4];
- Introduction of a new particular pattern of adenocarcinoma: enteric type [4].
4.1.2. Lung Squamous Cell Carcinoma
4.2. Atipycal Histopathological Aspects of Common Types of Lung Cancer in Literature Review
4.2.1. Acantholitic Features in Lung Carcinoma
4.2.2. Pseudoangiosarcomatous Feature in Lung Carcinoma
4.2.3. Signet Ring Features in Lung Carcinoma
4.2.4. Clear Cell Features in Lung Carcinoma
5. Conclusions
Author Contributions
Funding
Institutional Review Board Statement
Informed Consent Statement
Data Availability Statement
Conflicts of Interest
References
- Available online: https://gco.iarc.fr/ (accessed on 29 November 2023).
- WHO Classification of Tumours Editorial Board. WHO Classification of Tumours. In Thoracic Tumours, 5th ed.; IACR Press: Lyon, France, 2021; pp. 20–28, 57–93, 97–99, 103–105. [Google Scholar]
- WHO Classification of Tumours Editorial Board. WHO Classification of Tumours of the Lung, Pleura, Thymus and Heart, 3rd ed.; IACR Press: Lyon, France, 2004; pp. 26–30, 35–50, 53–58. [Google Scholar]
- WHO Classification of Tumours Editorial Board. WHO Classification of Tumours of the Lung, Pleura, Thymus and Heart, 4th ed.; IARC Press: Lyon, France, 2015; pp. 26–62, 80–85, 88–90. [Google Scholar]
- WHO Classification of Tumours Editorial Board. WHO Classification of Skin Tumours, 5th ed.; IARC Press: Lyon, France, 2023. [Google Scholar]
- Yorita, K.; Tsuji, K.; Takano, Y.; Kuroda, N.; Sakamoto, K.; Arii, K.; Yoshimoto, Y.; Nakatani, K.; Ito, S. Acantholytic squamous cell carcinoma of the lung with marked lymphogenous metastases and high titers of myeloperoxidase-antineutrophil cytoplasmic antibodies: A case report. BMC Cancer 2018, 18, 300. [Google Scholar] [CrossRef] [PubMed]
- Choi, S.E.; Park, H.S. Pulmonary acantholytic squamous cell carcinoma with focal signet ring cell morphology mimicking malignant mesothelioma on fine needle aspiration cytology: A case report. Cytopathology 2016, 27, 131–133. [Google Scholar] [CrossRef] [PubMed]
- Yiğit, N.; Çelik, E.; Yavan, İ. Prominent signet ring cell morphology in a pulmonary squamous cell carcinoma. Turk Patoloji Derg. 2018, 34, 194–197. [Google Scholar] [CrossRef] [PubMed]
- Yilmaz, R.; Bedir, R. Pulmonary acantholytic squamous cell carcinoma mimicking lepidic pattern adenocarcinoma. Turk Patoloji Derg. 2021, 37, 89–91. [Google Scholar] [CrossRef] [PubMed]
- Park, H.S.; Lee, S. Acantholytic squamous cell carcinoma of the lung showing significant signet ring cell component. Histopathology 2016, 68, 463–465. [Google Scholar] [CrossRef]
- Banerjee, S.S.; Eyden, B.P.; Wells, S.; McWilliam, L.J.; Harris, M. Pseudoangiosarcomatous carcinoma: A clinicopathological study of seven cases. Histopathology 1992, 21, 13–23. [Google Scholar] [CrossRef]
- Kong, M.; Ren, X.; You, Q.; Yao, H.; Teng, X. Pseudoangiosarcomatous squamous cell carcinoma of the lung. J. Int. Med. Res. 2011, 39, 1546–1554. [Google Scholar] [CrossRef]
- Lin, Y.; Lin, J.; Xu, Y.; Sun, H.; Xie, S. Uncontrollable hemoptysis owing to pseudoangiosarcomatous carcinoma of the lung. Am. J. Respir. Crit. Care Med. 2021, 204, E1–E2. [Google Scholar] [CrossRef]
- Satala, C.B.; Kovacs, Z.; Bara, T.; Jung, I.; Gurzu, S. Signet-Ring Cell Squamous Cell Carcinoma: A Biphenotypic Neoplasm of the Gastro-Esophageal Junction with Uncertain Biological Potential: Case Report and Literature Review. Int. J. Mol. Sci. 2023, 24, 9535. [Google Scholar] [CrossRef]
- Handra-Luca, A. Signet-ring cell morphotype in lung carcinoma. Turk Patoloji Derg. 2020, 36, 275–276. [Google Scholar] [CrossRef]
- Cramer, S.F.; Heggeness, L.M. Signet-ring squamous cell carcinoma. Am. J. Clin. Pathol. 1989, 91, 488–491. [Google Scholar] [CrossRef] [PubMed][Green Version]
- Yoshida, A.; Tsuta, K.; Watanabe, S.; Sekine, I.; Fukayama, M.; Tsuda, H.; Furuta, K.; Shibata, T. Frequent ALK rearrangement and TTF-1/p63 co-expression in lung adenocarcinoma with signet-ring cell component. Lung Cancer 2011, 72, 309–315. [Google Scholar] [CrossRef] [PubMed]
- Popat, S.; Gonzalez, D.; Min, T.; Swansbury, J.; Dainton, M.; Croud, J.G.; Rice, A.J.; Nicholson, A.G. ALK translocation is associated with ALK immunoreactivity and extensive signet-ring morphology in primary lung adenocarcinoma. Lung Cancer 2012, 75, 300–305. [Google Scholar] [CrossRef] [PubMed]
- Pareja, F.; Crapanzano, J.P.; Mansukhani, M.M.; Bulman, W.A.; Saqi, A. Cytomorphological features of ALK-positive lung adenocarcinomas: Psammoma bodies and signet ring cells. Cancer Cytopathol. 2015, 123, 162–170. [Google Scholar] [CrossRef] [PubMed]
- Rodig, S.J.; Mino-Kenudson, M.; Dacic, S.; Yeap, B.Y.; Shaw, A.; Barletta, J.A.; Stubbs, H.; Law, K.; Lindeman, N.; Mark, E.; et al. Unique clinicopathologic features characterize ALK-rearranged lung adenocarcinoma in the western population. Clin. Cancer Res. 2009, 15, 5216–5223, Erratum in Clin. Cancer Res. 2009, 15, 7110. [Google Scholar] [CrossRef] [PubMed]
- Miyata, K.; Morita, S.; Dejima, H.; Seki, N.; Matsutani, N.; Mieno, M.; Kondo, F.; Soejima, Y.; Tanaka, F.; Sawabe, M. Cytological markers for predicting ALK-positive pulmonary adenocarcinoma. Diagn. Cytopathol. 2017, 45, 963–970. [Google Scholar] [CrossRef] [PubMed]
- Kim, J.; Jang, S.J.; Choi, C.M.; Ro, J.Y. Correlation of Histologic Subtypes and Molecular Alterations in Pulmonary Adenocarcinoma: Therapeutic and Prognostic Implications. Adv. Anat. Pathol. 2016, 23, 330–338. [Google Scholar] [CrossRef]
- Suster, D.; Mackinnon, A.C.; Ronen, N.; Mejbel, H.A.; Harada, S.; Suster, S. Non-Small Cell Lung Carcinoma with Clear Cell Features and FGFR3::TACC3 Gene Rearrangement: Clinicopathologic and Next Generation Sequencing Study of 7 Cases. Am. J. Surg. Pathol. 2023. [Google Scholar] [CrossRef]
- Best, S.A.; Harapas, C.R.; Kersbergen, A.; Rathi, V.; Asselin-Labat, M.L.; Sutherland, K.D. FGFR3-TACC3 is an oncogenic fusion protein in respiratory epithelium. Oncogene 2018, 37, 6096–6104. [Google Scholar] [CrossRef]
- Haura, E.B.; Hicks, J.K.; Boyle, T.A. Erdafitinib Overcomes FGFR3-TACC3-Mediated Resistance to Osimertinib. J. Thorac. Oncol. 2020, 15, e154–e156. [Google Scholar] [CrossRef]
- Gött, H.; Uhl, E. FGFR3-TACCs3 Fusions and Their Clinical Relevance in Human Glioblastoma. Int. J. Mol Sci. 2022, 23, 8675. [Google Scholar] [CrossRef] [PubMed]
- Costa, R.; Carneiro, B.A.; Taxter, T.; Tavora, F.A.; Kalyan, A.; Pai, S.A.; Chae, Y.; Giles, F.J. FGFR3-TACC3 fusion in solid tumors: Mini review. Oncotarget 2016, 7, 55924–55938. [Google Scholar] [CrossRef] [PubMed]
- Pham, C.; Lang, D.; Iams, W.T. Successful Treatment and Retreatment With Erdafitinib for a Patient With FGFR3-TACC3 Fusion Squamous NSCLC: A Case Report. JTO Clin. Res. Rep. 2023, 4, 100511. [Google Scholar] [CrossRef] [PubMed]
- Suda, K.; Mitsudomi, T. Emerging oncogenic fusions other than ALK, ROS1, RET, and NTRK in NSCLC and the role of fusions as resistance mechanisms to targeted therapy. Transl. Lung Cancer Res. 2020, 9, 2618–2628. [Google Scholar] [CrossRef]
- Eldessouki, I.; Gaber, O.; Riaz, M.K.; Wang, J.; Abdel Karim, N. Clinical Presentation and Treatment Options for Clear Cell Lung Cancer: University of Cincinnati A Case Series and Literature Review of Clear Cell Lung Cancer. Asian Pac. J. Cancer Prev. 2018, 19, 2373–2376. [Google Scholar] [CrossRef]





















| No. | Rare Histopathological Features of Lung Carcinoma | Keywords | Total Number of Articles | Number of Relevant Articles |
|---|---|---|---|---|
| 1 | Acantholytic | acantholytic, carcinoma, lung, pulmonary | 8 | 5 |
| 2 | Pseudoangiosarcomatous | pseudoangiosarcomatous, lung, pulmonary, carcinoma | 2 | 1 |
| 3 | Signet ring cell | signet ring, lung, pulmonary, carcinoma, squamous cell carcinoma, adenocarcinoma | 11 | 5 |
| 4 | Clear cell | clear features, lung, pulmonary, carcinoma, squamous cell carcinoma, adenocarcinoma | 38 | 2 |
Disclaimer/Publisher’s Note: The statements, opinions and data contained in all publications are solely those of the individual author(s) and contributor(s) and not of MDPI and/or the editor(s). MDPI and/or the editor(s) disclaim responsibility for any injury to people or property resulting from any ideas, methods, instructions or products referred to in the content. |
© 2024 by the authors. Licensee MDPI, Basel, Switzerland. This article is an open access article distributed under the terms and conditions of the Creative Commons Attribution (CC BY) license (https://creativecommons.org/licenses/by/4.0/).
Share and Cite
Marghescu, A.-Ș.; Leonte, D.G.; Radu, A.D.; Măgheran, E.D.; Tudor, A.V.; Teleagă, C.; Țigău, M.; Georgescu, L.; Costache, M. Atypical Histopathological Aspects of Common Types of Lung Cancer—Our Experience and Literature Review. Medicina 2024, 60, 112. https://doi.org/10.3390/medicina60010112
Marghescu A-Ș, Leonte DG, Radu AD, Măgheran ED, Tudor AV, Teleagă C, Țigău M, Georgescu L, Costache M. Atypical Histopathological Aspects of Common Types of Lung Cancer—Our Experience and Literature Review. Medicina. 2024; 60(1):112. https://doi.org/10.3390/medicina60010112
Chicago/Turabian StyleMarghescu, Angela-Ștefania, Diana Gabriela Leonte, Alexandru Daniel Radu, Elena Doina Măgheran, Adrian Vasilică Tudor, Cristina Teleagă, Mirela Țigău, Livia Georgescu, and Mariana Costache. 2024. "Atypical Histopathological Aspects of Common Types of Lung Cancer—Our Experience and Literature Review" Medicina 60, no. 1: 112. https://doi.org/10.3390/medicina60010112
APA StyleMarghescu, A.-Ș., Leonte, D. G., Radu, A. D., Măgheran, E. D., Tudor, A. V., Teleagă, C., Țigău, M., Georgescu, L., & Costache, M. (2024). Atypical Histopathological Aspects of Common Types of Lung Cancer—Our Experience and Literature Review. Medicina, 60(1), 112. https://doi.org/10.3390/medicina60010112

