Iatrogenic Pneumothorax during Acupuncture: Case Report
Abstract
1. Introduction
2. Case Presentation
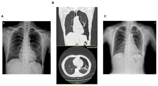
2.1. Case 1
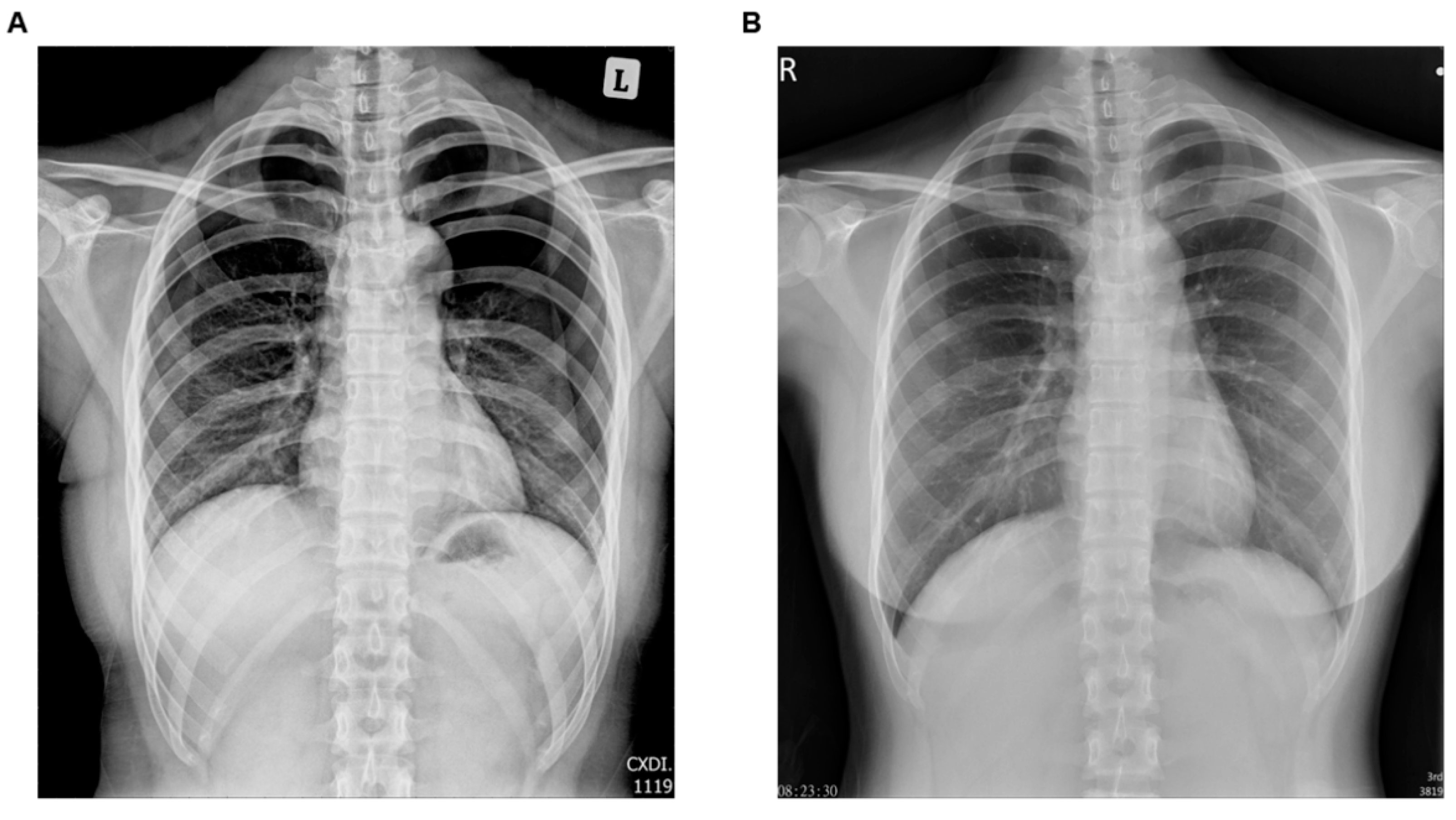
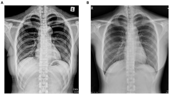
2.2. Case 2
3. Discussion
4. Conclusions
Author Contributions
Funding
Institutional Review Board Statement
Informed Consent Statement
Data Availability Statement
Conflicts of Interest
References
- Yuan, Q.L.; Wang, P.; Liu, L.; Sun, F.; Cai, Y.S.; Wu, W.T.; Ye, M.L.; Ma, J.T.; Xu, B.B.; Zhang, Y.G. Acupuncture for musculoskeletal pain: A meta-analysis and meta-regression of sham-controlled randomized clinical trials. Sci. Rep. 2016, 6, 30675. [Google Scholar] [CrossRef] [PubMed]
- Vickers, A.J.; Vertosick, E.A.; Lewith, G.; MacPherson, H.; Foster, N.E.; Sherman, K.J.; Irnich, D.; Witt, C.M.; Linde, K.; Acupuncture Trialists’ Collaboration. Acupuncture for Chronic Pain: Update of an Individual Patient Data Meta-Analysis. J. Pain 2018, 19, 455–474. [Google Scholar] [CrossRef] [PubMed]
- Kaptchuk, T.J. Acupuncture: Theory, efficacy, and practice. Ann. Intern. Med. 2002, 136, 374–383. [Google Scholar] [CrossRef]
- Yamashita, H.; Tsukayama, H. Safety of acupuncture practice in Japan: Patient reactions, therapist negligence and error reduction strategies. Evid.-Based Complement. Altern. Med. 2008, 5, 391–398. [Google Scholar] [CrossRef]
- Vickers, A.; Wilson, P.; Kleijnen, J. Acupuncture. Qual. Saf. Health Care 2002, 11, 92–97. [Google Scholar] [CrossRef]
- Zuo, G.; Gao, T.C.; Xue, B.H.; Gu, C.C.; Yan, Y.T.; Zhang, Y.W.; Liu, R.J.; Du, S.Q. Assessment of the efficacy of acupuncture and chiropractic on treating Cervical spondylosis radiculopathy: A systematic review and meta-analysis. Medicine 2019, 98, e17974. [Google Scholar] [CrossRef]
- Kwon, C.Y.; Lee, B. Clinical effects of acupressure on neck pain syndrome (nakchim): A systematic review. Integr. Med. Res. 2018, 7, 219–230. [Google Scholar] [CrossRef]
- Ahiskalioglu, E.O.; Alici, H.A.; Dostbil, A.; Celik, M.; Ahiskalioglu, A.; Aksoy, M. Pneumothorax after trigger point injection: A case report and review of literature. J. Back Musculoskelet. Rehabil. 2016, 29, 895–897. [Google Scholar] [CrossRef]
- He, W.; Zhao, X.; Li, Y.; Xi, Q.; Guo, Y. Adverse events following acupuncture: A systematic review of the Chinese literature for the years 1956–2010. J. Altern. Complement. Med. 2012, 18, 892–901. [Google Scholar] [CrossRef]
- Gilday, C.; Odunayo, A.; Hespel, A.M. Spontaneous Pneumothorax: Pathophysiology, Clinical Presentation and Diagnosis. Top. Companion Anim. Med. 2021, 45, 100563. [Google Scholar] [CrossRef]
- Lin, S.K.; Liu, J.M.; Hsu, R.L.; Chuang, H.C.; Wang, Y.X.; Lin, P.H. Incidence of iatrogenic pneumothorax following acupuncture treatments in Taiwan. Acupunct. Med. 2019, 37, 332–339. [Google Scholar] [CrossRef] [PubMed]
- Witt, C.M.; Pach, D.; Brinkhaus, B.; Wruck, K.; Tag, B.; Mank, S.; Willich, S.N. Safety of acupuncture: Results of a prospective observational study with 229,230 patients and introduction of a medical information and consent form. Forsch. Komplementmed. 2009, 16, 91–97. [Google Scholar] [CrossRef]
- Furuse, N.; Shinbara, H.; Uehara, A.; Sugawara, M.; Yamazaki, T.; Hosaka, M.; Yamashita, H. A Multicenter Prospective Survey of Adverse Events Associated with Acupuncture and Moxibustion in Japan. Med. Acupunct. 2017, 29, 155–162. [Google Scholar] [CrossRef] [PubMed]
- Chen, H.N.; Chang, C.Y.; Chen, L.Z.; Chang, Y.J.; Lin, J.G. Using Ultrasonography Measurements to Determine the Depth of the GB 21 Acupoint to Prevent Pneumothorax. J. Acupunct. Meridian Stud. 2018, 11, 355–360. [Google Scholar] [CrossRef] [PubMed]
- Chou, P.C.; Huang, Y.C.; Hsueh, C.J.; Lin, J.G.; Chu, H.Y. Retrospective study using MRI to measure depths of acupuncture points in neck and shoulder region. BMJ Open 2015, 5, e007819. [Google Scholar] [CrossRef]
- Chou, P.C.; Chu, H.Y.; Lin, J.G. Safe needling depth of acupuncture points. J. Altern. Complement. Med. 2011, 17, 199–206. [Google Scholar] [CrossRef]
- Chu, H.; Kim, J.; Ha, W.; Cho, E.; Kang, G.; Park, S.; Jang, J.; Yang, S.B.; Kang, Y.; Lee, S.; et al. Change of Safe Needling Depth at Acupoint GB21 according to Posture and Breathing. Evid.-Based Complement. Altern. Med. 2018, 2018, 2308102. [Google Scholar] [CrossRef]
- Mohammad, N. Bilateral tension pneumothorax after acupuncture. BMJ Case Rep. 2018, 2018, bcr2017221550. [Google Scholar] [CrossRef]
- Th’ng, F.; Rao, K.A.; Huang, P.Y. Case series: Acupuncture-related pneumothorax. Int. J. Emerg. Med. 2022, 15, 48. [Google Scholar] [CrossRef]
- Ghisalberti, M.; Guerrera, F.; De Vico, A.; Bertolaccini, L.; De Palma, A.; Fiorelli, A.; Paladini, P.; Ruffini, E.; Crisci, R.; Nosotti, M.; et al. Age and Clinical Presentation for Primary Spontaneous Pneumothorax. Heart Lung Circ. 2020, 29, 1648–1655. [Google Scholar] [CrossRef]
- Aissa, S.; Benzarti, W.; Alimi, F.; Gargouri, I.; Salem, H.B.; Aissa, A.; Fathallah, K.; Abdelkade, A.B.; Alouini, R.; Garrouche, A.; et al. Catamenial pneumothorax revealing diaphragmatic endometriosis: A case report and revue of literature. Pan Afr. Med. J. 2017, 27, 112. [Google Scholar] [CrossRef]
- Quercia, R.; De Palma, A.; De Blasi, F.; Carleo, G.; De Iaco, G.; Panza, T.; Garofalo, G.; Simone, V.; Costantino, M.; Marulli, G. Catamenial pneumothorax: Not only VATS diagnosis. Front. Surg. 2023, 10, 1156465. [Google Scholar] [CrossRef]
- Volakova, E.; Kolek, V.; Kufa, J.; Zatloukal, J.; Chudacek, J.; Szkorupa, M.; Pilka, R. Catamenial pneumothorax—Case reports and literature review. Ceska Gynekol. 2017, 82, 308–312. [Google Scholar] [PubMed]
- Liu, L.; Huang, Q.M.; Liu, Q.G.; Ye, G.; Bo, C.Z.; Chen, M.J.; Li, P. Effectiveness of dry needling for myofascial trigger points associated with neck and shoulder pain: A systematic review and meta-analysis. Arch. Phys. Med. Rehabil. 2015, 96, 944–955. [Google Scholar] [CrossRef] [PubMed]
- Chi, L.M.; Lin, L.M.; Chen, C.L.; Wang, S.F.; Lai, H.L.; Peng, T.C. The Effectiveness of Cupping Therapy on Relieving Chronic Neck and Shoulder Pain: A Randomized Controlled Trial. Evid.-Based Complement. Alternat. Med. 2016, 2016, 7358918. [Google Scholar] [CrossRef] [PubMed]
- Hou, X.; Xiong, W.; Lin, X.; Zhu, Y.; Yang, R.; Huang, J.; Chen, Z.; Ma, H. Auricular acupuncture for shoulder pain: A protocol for systematic review and meta-analysis. Medicine 2021, 100, e25666. [Google Scholar] [CrossRef] [PubMed]


Disclaimer/Publisher’s Note: The statements, opinions and data contained in all publications are solely those of the individual author(s) and contributor(s) and not of MDPI and/or the editor(s). MDPI and/or the editor(s) disclaim responsibility for any injury to people or property resulting from any ideas, methods, instructions or products referred to in the content. |
© 2023 by the authors. Licensee MDPI, Basel, Switzerland. This article is an open access article distributed under the terms and conditions of the Creative Commons Attribution (CC BY) license (https://creativecommons.org/licenses/by/4.0/).
Share and Cite
Chiu, W.-S.; Lu, Y.-W.; Lien, T.-H. Iatrogenic Pneumothorax during Acupuncture: Case Report. Medicina 2023, 59, 1100. https://doi.org/10.3390/medicina59061100
Chiu W-S, Lu Y-W, Lien T-H. Iatrogenic Pneumothorax during Acupuncture: Case Report. Medicina. 2023; 59(6):1100. https://doi.org/10.3390/medicina59061100
Chicago/Turabian StyleChiu, Wen-Shan, Yu-Wen Lu, and Ting-Hsuan Lien. 2023. "Iatrogenic Pneumothorax during Acupuncture: Case Report" Medicina 59, no. 6: 1100. https://doi.org/10.3390/medicina59061100
APA StyleChiu, W.-S., Lu, Y.-W., & Lien, T.-H. (2023). Iatrogenic Pneumothorax during Acupuncture: Case Report. Medicina, 59(6), 1100. https://doi.org/10.3390/medicina59061100
