Individual Phenotype Does Not Impact the Outcome of Mechanical Aligned Total Knee Arthroplasties for Valgus Osteoarthritis
Abstract
:1. Introduction
2. Materials and Methods
2.1. Surgical Technique
2.2. Clinical Evaluation
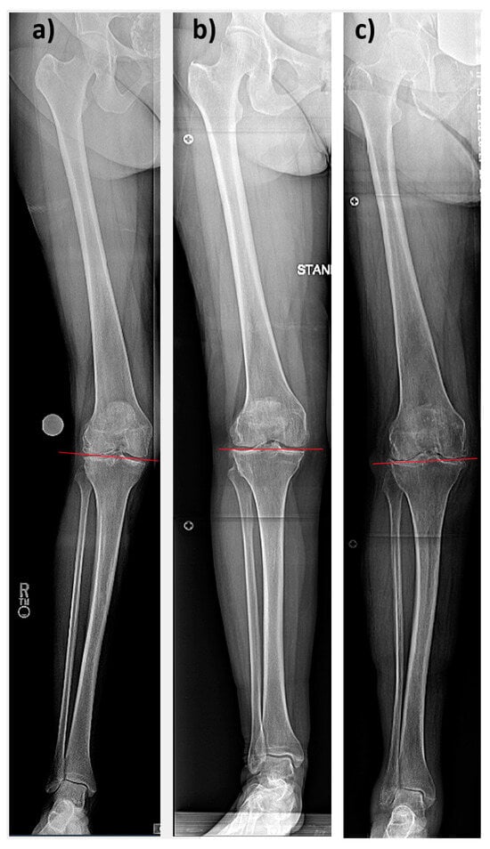
2.3. Radiographic Evaluation
2.4. Statistical Analysis
3. Results
3.1. Preoperative Alignment
3.2. Postoperative Alignment and Alignment Chances
3.3. Functional Outcome
4. Discussion
5. Conclusions
Author Contributions
Funding
Institutional Review Board Statement
Informed Consent Statement
Data Availability Statement
Conflicts of Interest
References
- D’Lima, D.D.; Chen, P.C.; Colwell, C.W., Jr. Polyethylene contact stresses, articular congruity, and knee alignment. Clin. Orthop. Relat. Res. 2001, 392, 232–238. [Google Scholar] [CrossRef] [PubMed]
- Jeffery, R.S.; Morris, R.W.; Denham, R.A. Coronal alignment after total knee replacement. J. Bone Jt. Surg. Br. 1991, 73, 709–714. [Google Scholar] [CrossRef]
- Berend, M.E.; Ritter, M.A.; Meding, J.B.; Faris, P.M.; Keating, E.M.; Redelman, R.; Faris, G.W.; Davis, K.E. Tibial component failure mechanisms in total knee arthroplasty. Clin. Orthop. Relat. Res. 2004, 428, 26–34. [Google Scholar] [CrossRef]
- Insall, J.; Scott, W.N.; Ranawat, C.S. The total condylar knee prosthesis. A report of two hundred and twenty cases. J. Bone Jt. Surg. Am. 1979, 61, 173–180. [Google Scholar] [CrossRef]
- Hirschmann, M.T.; Hess, S.; Behrend, H.; Amsler, F.; Leclercq, V.; Moser, L.B. Phenotyping of hip-knee-ankle angle in young non-osteoarthritic knees provides better understanding of native alignment variability. Knee Surg. Sports Traumatol. Arthrosc. 2019, 27, 1378–1384. [Google Scholar] [CrossRef] [PubMed]
- Hess, S.; Moser, L.B.; Robertson, E.L.; Behrend, H.; Amsler, F.; Iordache, E.; Leclercq, V.; Hirschmann, M.T. Osteoarthritic and non-osteoarthritic patients show comparable coronal knee joint line orientations in a cross-sectional study based on 3D reconstructed CT images. Knee Surg. Sports Traumatol. Arthrosc. 2022, 30, 407–418. [Google Scholar] [CrossRef]
- Kurtz, S.M.; Lau, E.; Ong, K.; Zhao, K.; Kelly, M.; Bozic, K.J. Future young patient demand for primary and revision joint replacement: National projections from 2010 to 2030. Clin. Orthop. Relat. Res. 2009, 467, 2606–2612. [Google Scholar] [CrossRef]
- Witjes, S.; van Geenen, R.C.I.; Koenraadt, K.L.M.; van der Hart, C.P.; Blankevoort, L.; Kerkhoffs, G.M.M.J.; Kuijer, P.P.F.M. Expectations of younger patients concerning activities after knee arthroplasty: Are we asking the right questions? Qual. Life Res. 2017, 26, 403–417. [Google Scholar] [CrossRef]
- Howell, S.M.; Howell, S.J.; Kuznik, K.T.; Cohen, J.; Hull, M.L. Does a kinematically aligned total knee arthroplasty restore function without failure regardless of alignment category? Clin. Orthop. Relat. Res. 2013, 471, 1000–1007. [Google Scholar] [CrossRef]
- Planckaert, C.; Larose, G.; Ranger, P.; Lacelle, M.; Fuentes, A.; Hagemeister, N. Total knee arthroplasty with unexplained pain: New insights from kinematics. Arch. Orthop. Trauma Surg. 2018, 138, 553–561. [Google Scholar] [CrossRef]
- Weber, P.; Gollwitzer, H. Kinematic alignment in total knee arthroplasty. Oper. Orthop. Traumatol. 2021, 33, 525–537. [Google Scholar] [CrossRef] [PubMed]
- Howell, S.M.; Papadopoulos, S.; Kuznik, K.T.; Hull, M.L. Accurate alignment and high function after kinematically aligned TKA performed with generic instruments. Knee Surg. Sports Traumatol. Arthrosc. 2013, 21, 2271–2280. [Google Scholar] [CrossRef] [PubMed]
- Takahashi, T.; Ansari, J.; Pandit, H.G. Kinematically Aligned Total Knee Arthroplasty or Mechanically Aligned Total Knee Arthroplasty. J. Knee Surg. 2018, 31, 999–1006. [Google Scholar] [CrossRef]
- Boettner, F.; Renner, L.; Arana Narbarte, D.; Egidy, C.; Faschingbauer, M. Total knee arthroplasty for valgus osteoarthritis: The results of a standardized soft-tissue release technique. Knee Surg. Sports Traumatol. Arthrosc. 2016, 24, 2525–2531. [Google Scholar] [CrossRef]
- Miyasaka, K.C.; Ranawat, C.S.; Mullaji, A. 10- to 20-year followup of total knee arthroplasty for valgus deformities. Clin. Orthop. Relat. Res. 1997, 345, 29–37. [Google Scholar] [CrossRef]
- Ranawat, A.S.; Ranawat, C.S.; Elkus, M.; Rasquinha, V.J.; Rossi, R.; Babhulkar, S. Total knee arthroplasty for severe valgus deformity. J. Bone Jt. Surg. Am. 2005, 87 (Suppl. 1), 271–284. [Google Scholar] [CrossRef]
- Whiteside, L.A. Selective ligament release in total knee arthroplasty of the knee in valgus. Clin. Orthop. Relat. Res. 1999, 367, 130–140. [Google Scholar] [CrossRef]
- Woon, J.T.K.; Zeng, I.S.L.; Calliess, T.; Windhagen, H.; Ettinger, M.; Waterson, H.B.; Toms, A.D.; Young, S.W. Outcome of kinematic alignment using patient-specific instrumentation versus mechanical alignment in TKA: A meta-analysis and subgroup analysis of randomised trials. Arch. Orthop. Trauma Surg. 2018, 138, 1293–1303. [Google Scholar] [CrossRef]
- Howell, S.M.; Shelton, T.J.; Hull, M.L. Implant Survival and Function Ten Years after Kinematically Aligned Total Knee Arthroplasty. J. Arthroplast. 2018, 33, 3678–3684. [Google Scholar] [CrossRef]
- Mullaji, A.; Bhoskar, R.; Singh, A.; Haidermota, M. Valgus arthritic knees can be classified into nine phenotypes. Knee Surg. Sports Traumatol. Arthrosc. 2021, 30, 2895–2904. [Google Scholar] [CrossRef]
- MacDessi, S.J.; Griffiths-Jones, W.; Harris, I.A.; Bellemans, J.; Chen, D.B. Coronal Plane Alignment of the Knee (CPAK) classification. Bone Jt. J. 2021, 103-B, 329–337. [Google Scholar] [CrossRef] [PubMed]
- Hirschmann, M.T.; Moser, L.B.; Amsler, F.; Behrend, H.; Leclerq, V.; Hess, S. Functional knee phenotypes: A novel classification for phenotyping the coronal lower limb alignment based on the native alignment in young non-osteoarthritic patients. Knee Surg. Sports Traumatol. Arthrosc. 2019, 27, 1394–1402. [Google Scholar] [CrossRef] [PubMed]
- Faul, F.; Erdfelder, E.; Buchner, A.; Lang, A.-G. Statistical power analyses using G*Power 3.1: Tests for correlation and regression analyses. Behav. Res. Methods 2009, 41, 1149–1160. [Google Scholar] [CrossRef] [PubMed]
- Faul, F.; Erdfelder, E.; Lang, A.-G.; Buchner, A. G*Power 3: A flexible statistical power analysis program for the social, behavioral, and biomedical sciences. Behav. Res. Methods 2007, 39, 175–191. [Google Scholar] [CrossRef]
- Rodriguez-Merchan, E.C. Instability following total knee arthroplasty. HSS J. 2011, 7, 273–278. [Google Scholar] [CrossRef]
- Nishida, K.; Matsumoto, T.; Takayama, K.; Ishida, K.; Nakano, N.; Matsushita, T.; Kuroda, R.; Kurosaka, M. Remaining mild varus limb alignment leads to better clinical outcome in total knee arthroplasty for varus osteoarthritis. Knee Surg. Sports Traumatol. Arthrosc. 2017, 25, 3488–3494. [Google Scholar] [CrossRef]
- Wan, X.-F.; Yang, Y.; Wang, D.; Xu, H.; Huang, C.; Zhou, Z.-K.; Xu, J. Comparison of Outcomes after Total Knee Arthroplasty Involving Postoperative Neutral or Residual Mild Varus Alignment: A Systematic Review and Meta-analysis. Orthop. Surg. 2022, 14, 177–189. [Google Scholar] [CrossRef]
- Nam, D.; Nunley, R.M.; Barrack, R.L. Patient dissatisfaction following total knee replacement: A growing concern? Bone Jt. J. 2014, 96-B, 96–100. [Google Scholar] [CrossRef]
- DeFrance, M.J.; Scuderi, G.R. Are 20% of Patients Actually Dissatisfied Following Total Knee Arthroplasty? A Systematic Review of the Literature. J. Arthroplasty 2023, 38, 594–599. [Google Scholar] [CrossRef]
- Scott, C.E.H.; Howie, C.R.; MacDonald, D.; Biant, L.C. Predicting dissatisfaction following total knee replacement: A prospective study of 1217 patients. J. Bone Jt. Surg. Br. 2010, 92, 1253–1258. [Google Scholar] [CrossRef]
- Ali, A.; Lindstrand, A.; Sundberg, M.; Flivik, G. Preoperative Anxiety and Depression Correlate with Dissatisfaction after Total Knee Arthroplasty: A Prospective Longitudinal Cohort Study of 186 Patients, with 4-Year Follow-Up. J. Arthroplasty 2017, 32, 767–770. [Google Scholar] [CrossRef] [PubMed]
- Blakeney, W.; Beaulieu, Y.; Puliero, B.; Kiss, M.-O.; Vendittoli, P.-A. Bone resection for mechanically aligned total knee arthroplasty creates frequent gap modifications and imbalances. Knee Surg. Sports Traumatol. Arthrosc. 2020, 28, 1532–1541. [Google Scholar] [CrossRef]
- Boyer, P.; Boublil, D.; Magrino, B.; Massin, P.; Huten, D. Total knee replacement in the fixed valgus deformity using a lateral approach: Role of the automatic iliotibial band release for a successful balancing. Int. Orthop. 2009, 33, 1577–1583. [Google Scholar] [CrossRef] [PubMed]
- Brilhault, J.; Lautman, S.; Favard, L.; Burdin, P. Lateral femoral sliding osteotomy lateral release in total knee arthroplasty for a fixed valgus deformity. J. Bone Jt. Surg. Br. 2002, 84, 1131–1137. [Google Scholar] [CrossRef]
- Rueckl, K.; Runer, A.; Jungwirth-Weinberger, A.; Kasparek, M.F.; Faschingbauer, M.; Boettner, F. Severity of valgus knee osteoarthritis has no effect on clinical outcomes after total knee arthroplasty. Arch. Orthop. Trauma Surg. 2021, 141, 1385–1391. [Google Scholar] [CrossRef] [PubMed]
- Jenny, J.-Y.; Baldairon, F.; Hirschmann, M.T. Functional knee phenotypes of OA patients undergoing total knee arthroplasty are significantly more varus or valgus than in a non-OA control group. Knee Surg. Sports Traumatol. Arthrosc. 2021, 30, 2609–2616. [Google Scholar] [CrossRef] [PubMed]
- Shin, C.S.; Chaudhari, A.M.; Andriacchi, T.P. The effect of isolated valgus moments on ACL strain during single-leg landing: A simulation study. J. Biomech. 2009, 42, 280–285. [Google Scholar] [CrossRef]




| Mean [°] | Range [°] | Standard Deviation [°] | |
| Preoperative | |||
| HKA | 187.4 | 181.6–197.7 | 3.9 |
| LDFA | 85.4 | 81.4–89.9 | 2.1 |
| MPTA | 90.4 | 84.6–98.0 | 2.6 |
| Postoperative | |||
| HKA | 179.6 | 172.8–187.3 | 2.5 |
| LDFA | 90.9 | 84.9–96.1 | 2.0 |
| MPTA | 90.4 | 86.8–93.1 | 1.4 |
| Changes pre- to postoperative | |||
| ΔHKA | 8.9 | −1.8- 31.3 | 5.9 |
| ΔLDFA | −5.8 | −20.7–−0.1 | 2.9 |
| ΔMPTA | 0.2 | −7.0–11.4 | 3.1 |
| Outcome | Valgus Alignment | Mechanical Alignment | p |
|---|---|---|---|
| WOMAC [points] | 30 (0–88), SD 26 | 28 (0–95), SD 28 | 0.506 |
| SF-12 physical component [points] | 46 (19–63), SD 8 | 47 (33–59) SD 7 | 0.380 |
| SF-12 mental component [points] | 47 (45–58), SD 6 | 47 (33–59), SD 6 | 0.649 |
| SF-12 total [points] | 93 (75–112), SD 8 | 94 (68–114), SD 8 | 0.422 |
| UCLA [points] | 5 (1–10), SD 2 | 6 (2–10), SD 2 | 0.011 * |
| Pain [points] | 2 (0–8), SD 2 | 2 (0–8), SD 2 | 0.914 |
| ROM [degree] | 123 (60–140), SD 9 | 124 (110–140), SD 6 | 0.586 |
| ΔWOMAC [points] | −18 (−69–54), SD 29 | −25 (−77–47), SD 27 | 0.106 |
| ΔSF-12 physical component [points] | 6 (−10–26), SD 8 | 9 (−4–23), ‚SD 6 | 0.463 |
| ΔSF-12 mental component [points] | 0 (−26–13), SD 8 | 0 (−26–18), SD 9 | 0.849 |
| ΔSF-12 total [points] | 6 (−11–29), SD 8 | 9 (−5–27), SD 7 | 0.028 * |
| ΔUCLA [points] | 1 (−6–8), SD 2 | 1 (−2–6), SD 2 | 0.246 |
| ΔPain [points] | −6 (−10–5), SD 3 | −5 (−10–3), SD 2 | 0.358 |
| ΔROM [degree] | 12 (−15–85), SD 16 | 8 (−30–60), SD 15 | 0.910 |
Disclaimer/Publisher’s Note: The statements, opinions and data contained in all publications are solely those of the individual author(s) and contributor(s) and not of MDPI and/or the editor(s). MDPI and/or the editor(s) disclaim responsibility for any injury to people or property resulting from any ideas, methods, instructions or products referred to in the content. |
© 2023 by the authors. Licensee MDPI, Basel, Switzerland. This article is an open access article distributed under the terms and conditions of the Creative Commons Attribution (CC BY) license (https://creativecommons.org/licenses/by/4.0/).
Share and Cite
Streck, L.E.; Faschingbauer, M.; Brenneis, M.; Boettner, C.S.; List, K.; Kasparek, M.F.; Boettner, F. Individual Phenotype Does Not Impact the Outcome of Mechanical Aligned Total Knee Arthroplasties for Valgus Osteoarthritis. Medicina 2023, 59, 1852. https://doi.org/10.3390/medicina59101852
Streck LE, Faschingbauer M, Brenneis M, Boettner CS, List K, Kasparek MF, Boettner F. Individual Phenotype Does Not Impact the Outcome of Mechanical Aligned Total Knee Arthroplasties for Valgus Osteoarthritis. Medicina. 2023; 59(10):1852. https://doi.org/10.3390/medicina59101852
Chicago/Turabian StyleStreck, Laura E., Martin Faschingbauer, Marco Brenneis, Cosima S. Boettner, Kilian List, Maximilian F. Kasparek, and Friedrich Boettner. 2023. "Individual Phenotype Does Not Impact the Outcome of Mechanical Aligned Total Knee Arthroplasties for Valgus Osteoarthritis" Medicina 59, no. 10: 1852. https://doi.org/10.3390/medicina59101852
APA StyleStreck, L. E., Faschingbauer, M., Brenneis, M., Boettner, C. S., List, K., Kasparek, M. F., & Boettner, F. (2023). Individual Phenotype Does Not Impact the Outcome of Mechanical Aligned Total Knee Arthroplasties for Valgus Osteoarthritis. Medicina, 59(10), 1852. https://doi.org/10.3390/medicina59101852

