Use of Short Stems in Revision Total Hip Arthroplasty: A Retrospective Observational Study of 31 Patients
Abstract
:1. Introduction
2. Materials and Methods
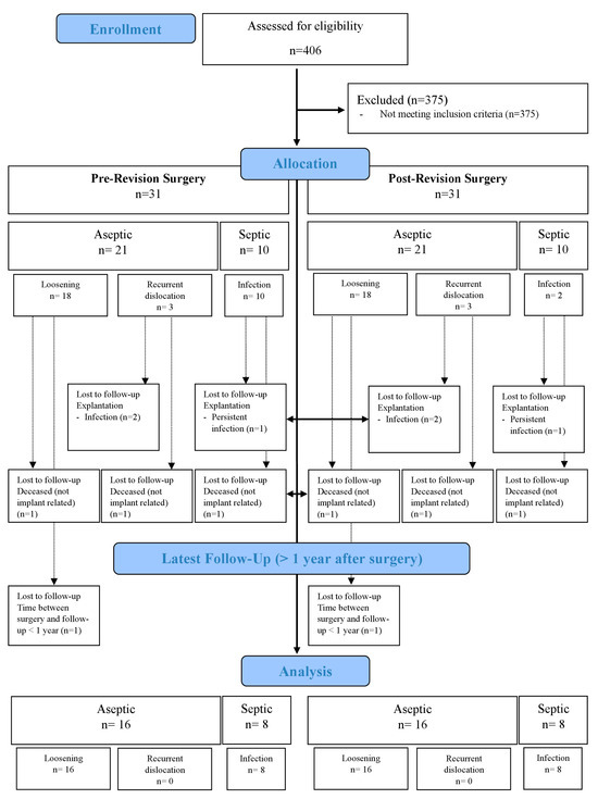
2.1. Study Design and Participants
2.2. Surgical Technique
2.3. Clinical Evaluation
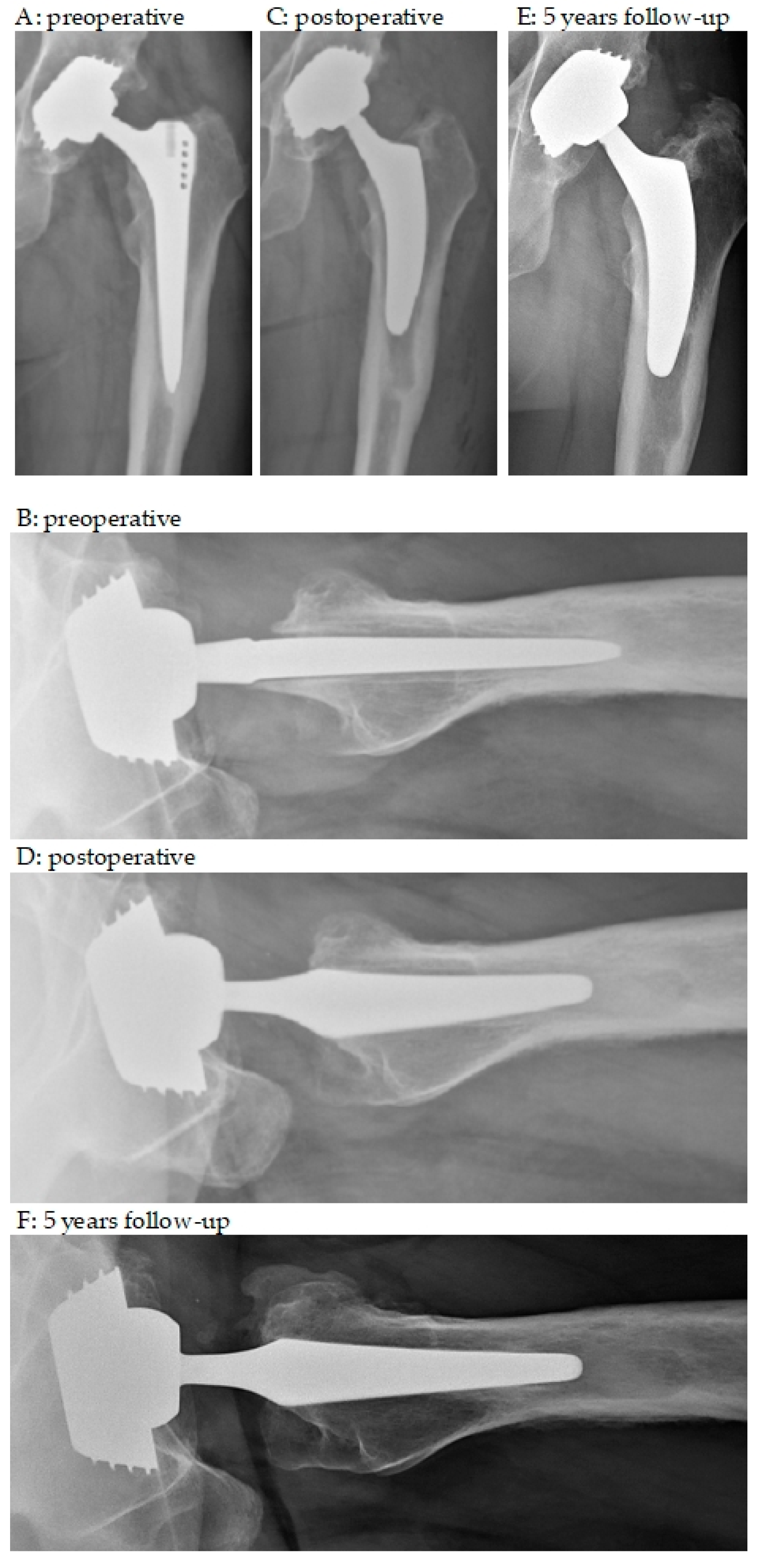
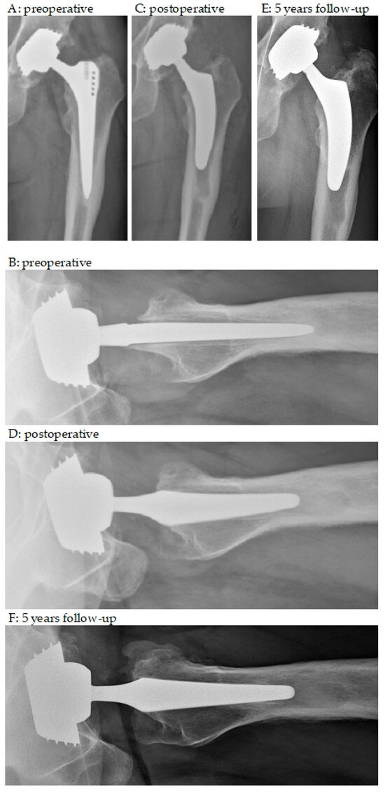
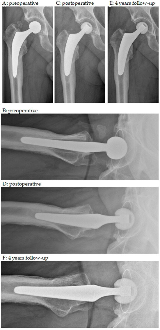
2.4. Radiographic Evaluation
2.5. Outcomes
2.6. Statistical Analyses
3. Results
3.1. Clinical Outcomes
3.2. Radiographic Outcomes
4. Discussion
Strength and Limitations
5. Conclusions
Author Contributions
Funding
Institutional Review Board Statement
Informed Consent Statement
Data Availability Statement
Conflicts of Interest
References
- Steinbruck, A.; Grimberg, A.W.; Elliott, J.; Melsheimer, O.; Jansson, V. Short versus conventional stem in cementless total hip arthroplasty: An evidence-based approach with registry data of mid-term survival. Orthopade 2021, 50, 296–305. [Google Scholar] [CrossRef]
- Gasbarra, E.; Celi, M.; Perrone, F.L.; Iundusi, R.; Di Primio, L.; Guglielmi, G.; Tarantino, U. Osseointegration of Fitmore stem in total hip arthroplasty. J. Clin. Densitom. 2014, 17, 307–313. [Google Scholar] [CrossRef]
- Kim, Y.H.; Choi, Y.; Kim, J.S. Comparison of bone mineral density changes around short, metaphyseal-fitting, and conventional cementless anatomical femoral components. J. Arthroplasty 2011, 26, 931–940. [Google Scholar] [CrossRef] [PubMed]
- Giardina, F.; Castagnini, F.; Stea, S.; Bordini, B.; Montalti, M.; Toni, A. Short Stems Versus Conventional Stems in Cementless Total Hip Arthroplasty: A Long-Term Registry Study. J. Arthroplasty 2018, 33, 1794–1799. [Google Scholar] [CrossRef] [PubMed]
- Chow, I.; Patel, R.M.; Stulberg, S.D. Short stem metaphyseal-engaging femoral implants: A case-controlled radiographic and clinical evaluation with eight year follow-up. J. Arthroplasty 2015, 30, 600–606. [Google Scholar] [CrossRef] [PubMed]
- Patel, R.M.; Lo, W.M.; Cayo, M.A.; Dolan, M.M.; Stulberg, S.D. Stable, dependable fixation of short-stem femoral implants at 5 years. Orthopedics 2013, 36, e301–e307. [Google Scholar] [CrossRef]
- Banerjee, S.; Pivec, R.; Issa, K.; Harwin, S.F.; Mont, M.A.; Khanuja, H.S. Outcomes of short stems in total hip arthroplasty. Orthopedics 2013, 36, 700–707. [Google Scholar] [CrossRef]
- Khanuja, H.S.; Banerjee, S.; Jain, D.; Pivec, R.; Mont, M.A. Short bone-conserving stems in cementless hip arthroplasty. J. Bone Joint Surg. Am. 2014, 96, 1742–1752. [Google Scholar] [CrossRef]
- Schwarze, M.; Budde, S.; von Lewinski, G.; Windhagen, H.; Keller, M.C.; Seehaus, F.; Hurschler, C.; Floerkemeier, T. No effect of conventional vs. minimally invasive surgical approach on clinical outcome and migration of a short stem total hip prosthesis at 2-year follow-up: A randomized controlled study. Clin. Biomech. 2018, 51, 105–112. [Google Scholar] [CrossRef]
- Kurtz, S.M.; Lau, E.; Ong, K.; Zhao, K.; Kelly, M.; Bozic, K.J. Future young patient demand for primary and revision joint replacement: National projections from 2010 to 2030. Clin. Orthop. Relat. Res. 2009, 467, 2606–2612. [Google Scholar] [CrossRef]
- Rahm, S.; Hoch, A.; Tondelli, T.; Fuchs, J.; Zingg, P.O. Revision rate of THA in patients younger than 40 years depends on primary diagnosis—A retrospective analysis with a minimum follow-up of 10 years. Eur. J. Orthop. Surg. Traumatol. 2021, 31, 1335–1344. [Google Scholar] [CrossRef] [PubMed]
- Australian Orthopaedic Association National Joint Replacement Registry. Annual Report (Hip, Knee & Shoulder Annual Report). 2020. Available online: https://aoanjrr.sahmri.com/annual-reports-2022 (accessed on 15 February 2022).
- Zhang, Z.; Zhuo, Q.; Chai, W.; Ni, M.; Li, H.; Chen, J. Clinical characteristics and risk factors of periprosthetic femoral fractures associated with hip arthroplasty: A retrospective study. Medicine 2016, 95, e4751. [Google Scholar] [CrossRef]
- Kerboull, L. Selecting the surgical approach for revision total hip arthroplasty. Orthop. Traumatol. Surg. Res. 2015, 101, S171–S178. [Google Scholar] [CrossRef] [PubMed]
- Cavagnaro, L.; Formica, M.; Basso, M.; Zanirato, A.; Divano, S.; Felli, L. Femoral revision with primary cementless stems: A systematic review of the literature. Musculoskelet. Surg. 2018, 102, 1–9. [Google Scholar] [CrossRef]
- Sambandam, S.N.; Duraisamy, G.; Chandrasekharan, J.; Mounasamy, V. Extended trochanteric osteotomy: Current concepts review. Eur. J. Orthop. Surg. Traumatol. 2016, 26, 231–245. [Google Scholar] [CrossRef]
- Bohm, P.; Bischel, O. The use of tapered stems for femoral revision surgery. Clin. Orthop. Relat. Res. 2004, 420, 148–159. [Google Scholar]
- Moga, M.; Pogarasteanu, M.E. Technical considerations and functional results in primary uncemented hip arthroplasty using short femoral stems through mini-invasive techniques. J. Med. Life 2014, 7, 403–407. [Google Scholar]
- Evola, F.R.; Evola, G.; Sessa, G. Use of short stems in revision of standard femoral stem: A case report. World J. Orthop. 2020, 11, 528–533. [Google Scholar] [CrossRef]
- Lee, P.Y.F.; Woodnutt, D.J.; Golding, D.M. A Short Femoral Stem in Revision Total Hip Replacement: An Alternative Solution for Prosthetic Fracture: A Case Report. JBJS Case Connect 2017, 7, e33. [Google Scholar] [CrossRef]
- Sanguesa-Nebot, M.J.; Soriano, F.C.; Gabarda, R.F.; Mordt, C.V. Revision hip arthroplasty with a short femoral component in fractured hydroxyapatite fully coated femoral stem. J. Arthroplasty 2010, 25, 1168.e13–1168.e16. [Google Scholar] [CrossRef]
- Thorat, B.; Singh, A.; Vohra, R. Role of a bone conserving short stem femoral component in revision total hip arthroplasty: A case report. J. Clin. Orthop. Trauma 2021, 14, 29–33. [Google Scholar] [CrossRef] [PubMed]
- Valle, C.J.; Paprosky, W.G. Classification and an algorithmic approach to the reconstruction of femoral deficiency in revision total hip arthroplasty. J. Bone Joint Surg. Am. 2003, 85-A (Suppl. 4). [Google Scholar] [CrossRef]
- Needham, D.M.; Scales, D.C.; Laupacis, A.; Pronovost, P.J. A systematic review of the Charlson comorbidity index using Canadian administrative databases: A perspective on risk adjustment in critical care research. J. Crit. Care 2005, 20, 12–19. [Google Scholar] [CrossRef]
- Byrd, J.W.; Jones, K.S. Prospective analysis of hip arthroscopy with 2-year follow-up. Arthroscopy 2000, 16, 578–587. [Google Scholar] [CrossRef] [PubMed]
- Kemp, J.L.; Collins, N.J.; Roos, E.M.; Crossley, K.M. Psychometric properties of patient-reported outcome measures for hip arthroscopic surgery. Am. J. Sports Med. 2013, 41, 2065–2073. [Google Scholar] [CrossRef] [PubMed]
- Williamson, A.; Hoggart, B. Pain: A review of three commonly used pain rating scales. J. Clin. Nurs. 2005, 14, 798–804. [Google Scholar] [CrossRef]
- Morup-Petersen, A.; Skou, S.T.; Holm, C.E.; Holm, P.M.; Varnum, C.; Krogsgaard, M.R.; Laursen, M.; Odgaard, A. Measurement properties of UCLA Activity Scale for hip and knee arthroplasty patients and translation and cultural adaptation into Danish. Acta Orthop. 2021, 92, 681–688. [Google Scholar] [CrossRef]
- Zahiri, C.A.; Schmalzried, T.P.; Szuszczewicz, E.S.; Amstutz, H.C. Assessing activity in joint replacement patients. J. Arthroplasty 1998, 13, 890–895. [Google Scholar] [CrossRef]
- Harris, W.H. Traumatic arthritis of the hip after dislocation and acetabular fractures: Treatment by mold arthroplasty. An end-result study using a new method of result evaluation. J. Bone Joint Surg. Am. 1969, 51, 737–755. [Google Scholar] [CrossRef]
- Ibrahim, D.A.; Fernando, N.D. Classifications In Brief: The Paprosky Classification of Femoral Bone Loss. Clin. Orthop. Relat. Res. 2017, 475, 917–921. [Google Scholar] [CrossRef]
- Regis, D.; Sandri, A.; Bonetti, I.; Braggion, M.; Bartolozzi, P. Femoral revision with the Wagner tapered stem: A ten- to 15-year follow-up study. J. Bone Joint Surg. Br. 2011, 93, 1320–1326. [Google Scholar] [CrossRef]
- Evola, F.R.; Evola, G.; Graceffa, A.; Sessa, A.; Pavone, V.; Costarella, L.; Sessa, G.; Avondo, S. Performance of the CLS Spotorno uncemented stem in the third decade after implantation. Bone Joint J. 2014, 96-B, 455–461. [Google Scholar] [CrossRef] [PubMed]
- Baktir, A.; Karaaslan, F.; Gencer, K.; Karaoglu, S. Femoral Revision Using the Wagner SL Revision Stem: A Single-Surgeon Experience Featuring 11-19 Years of Follow-Up. J. Arthroplasty 2015, 30, 827–834. [Google Scholar] [CrossRef]
- Fink, B.; Grossmann, A.; Schubring, S.; Schulz, M.S.; Fuerst, M. A modified transfemoral approach using modular cementless revision stems. Clin. Orthop. Relat. Res. 2007, 462, 105–114. [Google Scholar] [CrossRef] [PubMed]
- Brooker, A.F.; Bowerman, J.W.; Robinson, R.A.; Riley, L.H., Jr. Ectopic ossification following total hip replacement. Incidence and a method of classification. J. Bone Joint Surg. Am. 1973, 55, 1629–1632. [Google Scholar] [CrossRef]
- Lieberman, J.R.; Dorey, F.; Shekelle, P.; Schumacher, L.; Kilgus, D.J.; Thomas, B.J.; Finerman, G.A. Outcome after total hip arthroplasty. Comparison of a traditional disease-specific and a quality-of-life measurement of outcome. J. Arthroplasty 1997, 12, 639–645. [Google Scholar] [CrossRef]
- Soderman, P.; Malchau, H. Is the Harris hip score system useful to study the outcome of total hip replacement? Clin. Orthop. Relat. Res. 2001, 384, 189–197. [Google Scholar] [CrossRef]
- Cohen, J. A power primer. Psychol. Bull. 1992, 112, 155–159. [Google Scholar] [CrossRef]
- Lenhard, W.; Lenhard, A. Computation of Effect Sizes. Available online: https://www.psychometrica.de/effect_size.html (accessed on 10 June 2023).
- Zang, J.; Uchiyama, K.; Moriya, M.; Fukushima, K.; Takahira, N.; Takaso, M. Long-term outcomes of Wagner self-locking stem with bone allograft for Paprosky type II and III bone defects in revision total hip arthroplasty: A mean 15.7-year follow-up. J. Orthop. Surg. 2019, 27, 2309499019854156. [Google Scholar] [CrossRef]
- Liu, Z.; Liu, B.; Zhang, B.; Ma, W.; Wu, T.; Huo, J.; Liu, S.; Han, Y. Short uncemented femoral component for hip revision: Prognosis and risk factors associated with failure. BMC Surg. 2021, 21, 192. [Google Scholar] [CrossRef] [PubMed]




| Age at rTHA (years) | Median, interquartile Range 68.2 (61.2–78.4) |
| Sex | Number (%) |
| Female | 12 (39%) |
| Male | 19 (61%) |
| Body Mass Index (BMI, kg/m2) | Median, interquartile range 26.7 (24.6–29.4) |
| Comorbidities (Charlson Score/Index) | Median, interquartile range Score: 3 (2–5) Index: 10.3% (6.9–17.2%) |
| Indications for primary THA | Number (%) |
| Osteoarthritis | 24 (77.4%) |
| Femoral neck fracture | 3 (9.7%) |
| Femoral head necrosis | 4 (12.9%) |
| Type of primary stem | Number (%) |
| Cemented | 9 (29%) |
| Cementless | 22 (71%) |
| Approach in primary THA | Number (%) |
| Anterior | 16 (51.6%) |
| Anterolateral | 1 (3.2%) |
| Lateral | 13 (42.0%) |
| Posterior | 1 (3.2%) |
| Indications for rTHA | Number (%) |
| Aseptic loosening | 18 (58.0%) |
| Recurrent dislocation (aseptic) | 3 (9.7%) |
| Infection | 10 (32.3%) |
| Approach in rTHA | Number (%) |
| Anterior | 6 (19.3%) |
| Lateral | 15 (48.4%) |
| Posterior | 10 (32.3%) |
| Components in rTHA | Number (%) |
| Stem only | 8 (25.8%) |
| Stem and cup | 23 (74.2%) |
| Time between primary THA and rTHA (years) | Median, interquartile range 2.7 (0.6–9.3) |
| Time between rTHA and last follow-up (years) | Median, interquartile range 2.3 (1.2–3.7) |
| Parameter | Preoperative rTHA Median (Interquartile Range) | Postoperative rTHA Median (Interquartile Range) | Wilcoxon Test | Effect Size | |
|---|---|---|---|---|---|
| z-Value | p-Value | Cohen’s d | |||
| mHHS (All) (n = 24) | 24.2 (15.4–52.8) | 80.9 (58.6–93.5) | −4.011 | <0.001 | 2.852 |
| HHS (Aseptic) (n = 16) | 34.1 (19.8–52.8) | 89.7 (58.9–96.0) | |||
| HHS (Septic) (n = 8) | 22.0 (3.9–66.8) | 69.3 (57.8–90.8) | |||
| Mann–Whitney U Test | |||||
| z-value | −0.615 | −0.922 | |||
| p-value | 0.538 | 0.357 | |||
| Effect size * | 0.253 | 0.383 | |||
| NAS (Pain) (All) # (n = 24) | 7.5 (5.3–8.8) | 1.0 (0.0–2.8) | −4.023 | <0.001 | 2.878 |
| NAS (Pain) (Aseptic) (n = 16) | 8.0 (6.3–9.0) | 1.0 (0.0–2.8) | |||
| NAS (Pain) (Septic) (n = 8) | 7.0 (2.8–8.0) | 0.0 (0.0–4.3) | |||
| Mann–Whitney U Test | |||||
| z-value | −1.031 | −0.648 | |||
| p-value | 0.302 | 0.517 | |||
| Effect size * | 0.431 | 0.267 | |||
| NAS (Satisfaction) (All) † (n = 24) | 5.0 (3.0–5.0) | 2.0 (1.0–3.0) | −3.698 | < 0.001 | 2.302 |
| NAS (Satisfaction) (Aseptic) (n = 16) | 5.0 (3.3–5.0) | 2.0 (1.0–3.5) | |||
| NAS (Satisfaction) (Septic) (n = 8) | 5.0 (2.3–5.0) | 2.0 (1.0–3.0) | |||
| Mann–Whitney U Test | |||||
| z-value | −0.106 | −0.227 | |||
| p-value | 0.916 | 0.821 | |||
| Effect size * | 0.043 | 0.093 | |||
| UCLA (All) (n = 24) | 2.0 (2.0–5.5) | 6.0 (4.0–7.0) | −3.237 | 0.001 | 1.761 |
| UCLA (Aseptic) (n = 16) | 2.0 (2.0–6.0) | 6.0 (3.3–7.0) | |||
| UCLA (Septic) (n = 8) | 2.5 (2.0–5.5) | 5.5 (4.0–6.8) | |||
| Mann–Whitney U Test | |||||
| z-value | −0.291 | −0.124 | |||
| p-value | 0.711 | 0.901 | |||
| Effect size * | 0.119 | 0.051 | |||
| Parameter | Number (%) |
|---|---|
| Stem fixation | |
| stable | 24 (100%) |
| Stem subsidence | |
| <10 mm | 1 (4%) |
| ≥10 mm | 1 (4%) |
| New cortical hypertrophy | 0 (0%) |
| Heterotopic ossification | |
| Brooker ≤ I | 17 (71%) |
| Brooker II | 5 (21%) |
| Brooker III | 2 (8%) |
| Fractures | |
| intraoperative (femur perforation) | 1 (4%) |
| postoperative (Vancouver type A) | 1 (4%) |
| Dislocation | 2 (8%) |
| Infection | 0 (0%) |
Disclaimer/Publisher’s Note: The statements, opinions and data contained in all publications are solely those of the individual author(s) and contributor(s) and not of MDPI and/or the editor(s). MDPI and/or the editor(s) disclaim responsibility for any injury to people or property resulting from any ideas, methods, instructions or products referred to in the content. |
© 2023 by the authors. Licensee MDPI, Basel, Switzerland. This article is an open access article distributed under the terms and conditions of the Creative Commons Attribution (CC BY) license (https://creativecommons.org/licenses/by/4.0/).
Share and Cite
Mauch, M.; Brecht, H.; Clauss, M.; Stoffel, K. Use of Short Stems in Revision Total Hip Arthroplasty: A Retrospective Observational Study of 31 Patients. Medicina 2023, 59, 1822. https://doi.org/10.3390/medicina59101822
Mauch M, Brecht H, Clauss M, Stoffel K. Use of Short Stems in Revision Total Hip Arthroplasty: A Retrospective Observational Study of 31 Patients. Medicina. 2023; 59(10):1822. https://doi.org/10.3390/medicina59101822
Chicago/Turabian StyleMauch, Marlene, Hendrik Brecht, Martin Clauss, and Karl Stoffel. 2023. "Use of Short Stems in Revision Total Hip Arthroplasty: A Retrospective Observational Study of 31 Patients" Medicina 59, no. 10: 1822. https://doi.org/10.3390/medicina59101822
APA StyleMauch, M., Brecht, H., Clauss, M., & Stoffel, K. (2023). Use of Short Stems in Revision Total Hip Arthroplasty: A Retrospective Observational Study of 31 Patients. Medicina, 59(10), 1822. https://doi.org/10.3390/medicina59101822

