A Novel Generative Adversarial Network-Based Approach for Automated Brain Tumour Segmentation
Abstract
1. Introduction
- In order to significantly improve tumour localisation and tumour segmentation, a real-time generative adversarial network is proposed. The generator is generating the segmented tumour output which is compared with the ground truth tumour mask in discriminator section.
- The model has attained a comparatively high accuracy in segmenting high-resolution images of brain tumour.
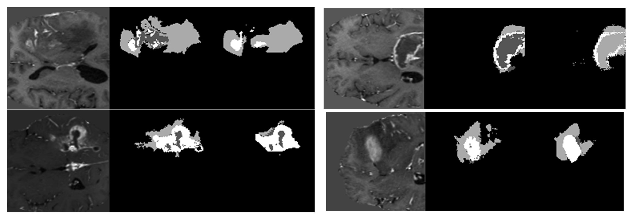
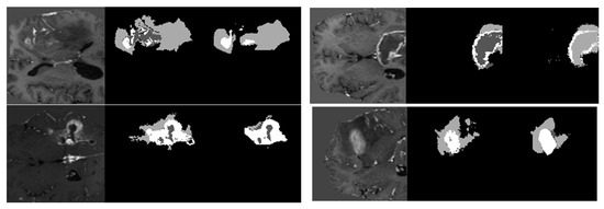
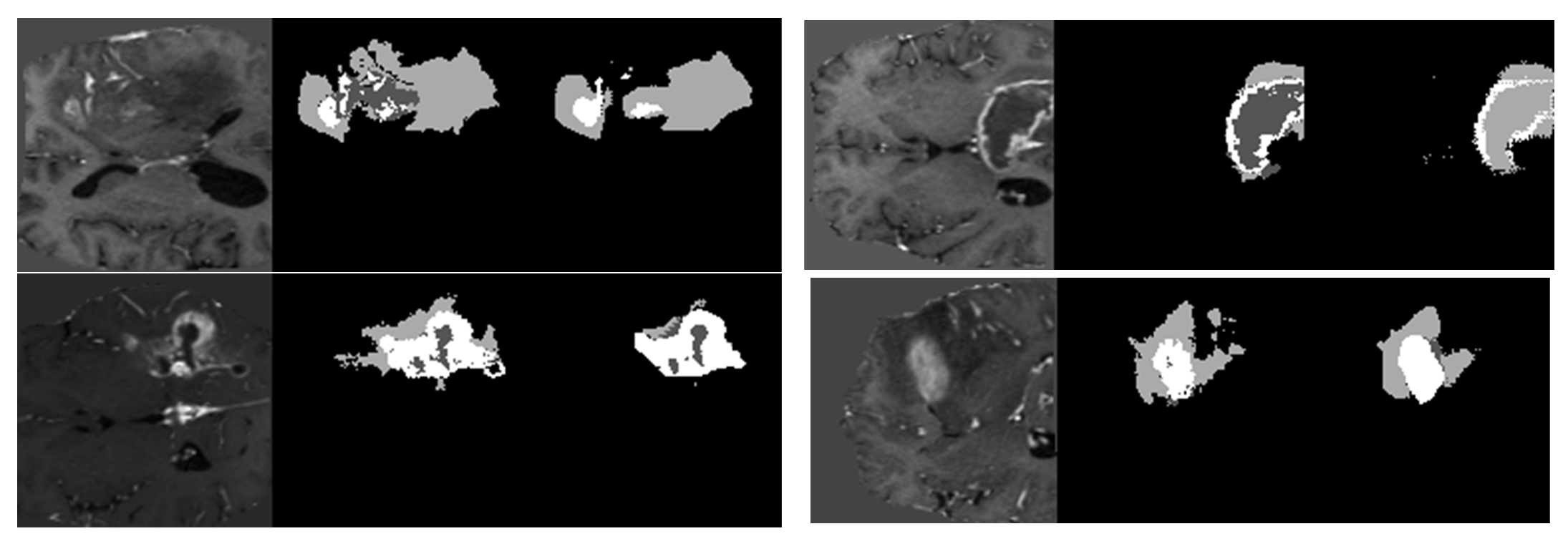
- The exact tumour areas have been clearly marked by the model.
2. Background and Related Work
- Do not require labelled datasets.
- Highly efficient.
- Fast computational speed
- Real-time diagnosis.
- Robust.
3. Research Methodology
- One 3D image with 4 different modalities: T1, T1gd, T2, and FLAIR.
- Four 3D convolutional down-sampling blocks having kernel size 4, same padding, stride 2, and leakyRelu activation function. The initial filter set is 64, which is doubled after every convolutional block.
- Four 3D convolutional residual blocks having kernel size, padding, and activation function the same as mentioned above and stride as 1.
- Three 3D deconvolutional up-sampling blocks having kernel size = 4, stride = 2, and activation function = Relu.
- One 3D deconvolutional layer with four filters (background, edema tumour (ED), core tumour (NET), and active tumour (ET), each labelled with 0, 1, 2, and 3).
- The 3D image generated from generator network and segmentation ground truth.
- Four 3D convolutional down-sampling blocks having same configuration as in generator.
- One 3D convolutional layer with kernel size = 4, filter = 1, stride = 1, and same padding.
4. Algorithm
- 1.
- Start
- 2.
- Reshaping image I = > 512 ∗ 512 ∗ 512 -> 128 ∗ 128 ∗ 128
- 3.
- Generator:
- I fed to 4 3D convolutional down-sampling blocks -> I‘ (16 ∗ 16 ∗ 16 ∗ 256).
- I‘ is fed to residual blocks with dropout = 0.2 ->I‘‘ (8 ∗ 8 ∗ 8 ∗ 512).
- I‘‘ is fed to 3 up-sampling blocks generating I1 (64 ∗ 64 ∗ 64 ∗ 128).
- I1 is fed to 3D deconvolutional layer with softmax function hence generates segmented image I2 -> 128 ∗ 128 ∗ 128 ∗ 4
- 4.
- Discriminator:
- I2 + ground truth segmented image -> Four 3D convolutional down-sampling blocks ->I2‘ (8 ∗ 8 ∗ 8 ∗ 512)
- I2‘ -> one 3D convolutional layer -> I3‘
- I3‘ -> sigmoid activation function -> Final segmented output I3(8 ∗ 8 ∗ 8 ∗ 1)
- 5.
- End
5. Experiments and Discussions
6. Results and Observations
7. Conclusions and Future Scope
Author Contributions
Funding
Institutional Review Board Statement
Informed Consent Statement
Data Availability Statement
Acknowledgments
Conflicts of Interest
References
- Bahadure, N.B.; Ray, A.K.; Thethi, H.P. Image analysis for MRI based brain tumor detection and feature extraction using biologically inspired BWT and SVM. Int. J. Biomed. Imaging 2017, 2017, 9749108. [Google Scholar] [CrossRef] [PubMed]
- Havaei, M.; Davy, A.; Warde-Farley, D.; Biard, A.; Courville, A.; Bengio, Y.; Pal, C.; Jodoin, P.M.; Larochelle, H. Brain tumor segmentation with deep neural networks. Med. Image Anal. 2017, 35, 18–31. [Google Scholar] [CrossRef] [PubMed]
- Agravat, R.R.; Raval, M.S. Deep Learning for Automated Brain Tumor Segmentation in Mri Images. In Soft Computing Based Medical Image Analysis; Academic Press: Cambridge, MA, USA, 2018; pp. 183–201. [Google Scholar]
- Goodfellow, I.; Pouget-Abadie, J.; Mirza, M.; Xu, B.; Warde-Farley, D.; Ozair, S.; Courville, A.; Bengio, Y. Generative adversarial nets. Commun. ACM 2020, 63, 139–144. [Google Scholar] [CrossRef]
- Ahmetoğlu, A.; Alpaydın, E. Hierarchical Mixtures of Generators for Adversarial Learning. In 2020 25th International Conference on Pattern Recognition (ICPR); IEEE: Piscataway, NJ, USA, 2021; pp. 316–323. [Google Scholar]
- Jiang, J.; Hu, Y.C.; Tyagi, N.; Zhang, P.; Rimner, A.; Mageras, G.S.; Deasy, J.O.; Veeraraghavan, H. Tumor-Aware, Adversarial Domain Adaptation from ct to Mri for Lung Cancer Segmentation. In International Conference on Medical Image Computing and Computer-Assisted Intervention; Springer: Cham, Switzerland, 2018; pp. 777–785. [Google Scholar]
- Mok, T.C.; Chung, A. Learning Data Augmentation for Brain Tumor Segmentation with Coarse-to-Fine Generative Adversarial Networks. In International MICCAI Brainlesion Workshop; Springer: Cham, Switzerland, 2018; pp. 70–80. [Google Scholar]
- Rezaei, M.; Yang, H.; Meinel, C. Voxel-GAN: Adversarial Framework for Learning Imbalanced Brain Tumor Segmentation. In International MICCAI Brainlesion Workshop; Springer: Cham, Switzerland, 2018; pp. 321–333. [Google Scholar]
- Yang, W.; Zhao, J.; Qiang, Y.; Yang, X.; Dong, Y.; Du, Q.; Shi, G.; Zia, M.B. Dscgans: Integrate Domain Knowledge in Training Dual-Path Semi-Supervised Conditional Generative Adversarial Networks and s3vm for Ultrasonography Thyroid Nodules Classification. In International Conference on Medical Image Computing and Computer-Assisted Intervention; Springer: Cham, Switzerland, 2019; pp. 558–566. [Google Scholar]
- Chen, C.; Dou, Q.; Chen, H.; Heng, P.A. Semantic-Aware Generative Adversarial Nets for Unsupervised Domain Adaptation in Chest X-ray Segmentation. In International Workshop on Machine Learning in Medical Imaging; Springer: Cham, Switzerland, 2018; pp. 143–151. [Google Scholar]
- Yu, F.; Zhao, J.; Gong, Y.; Wang, Z.; Li, Y.; Yang, F.; Dong, B.; Li, Q.; Zhang, L. Annotation-free cardiac vessel segmentation via knowledge transfer from retinal images. In International Conference on Medical Image Computing and Computer-Assisted Intervention; Springer: Cham, Switzerland, 2019; pp. 714–722. [Google Scholar]
- Luo, B.; Shen, J.; Cheng, S.; Wang, Y.; Pantic, M. Shape Constrained Network for Eye Segmentation in the Wild. In Proceedings of the IEEE/CVF Winter Conference on Applications of Computer Vision, Snowmass Village, CO, USA, 2–5 March 2020; pp. 1952–1960. [Google Scholar]
- Wegmayr, V.; Hörold, M.; Buhmann, J.M. Generative Aging of Brain MRI for Early Prediction of MCI-AD Conversion. In Proceedings of the 2019 IEEE 16th International Symposium on Biomedical Imaging (ISBI 2019), Venice, Italy, 08–11 April 2019; IEEE: Piscataway, NJ, USA, 2019; pp. 1042–1046. [Google Scholar]
- Nema, S.; Dudhane, A.; Murala, S.; Naidu, S. RescueNet: An unpaired GAN for brain tumor segmentation. Biomed. Signal Process. Control. 2020, 55, 101641. [Google Scholar] [CrossRef]
- Sun, Y.; Zhou, C.; Fu, Y.; Xue, X. Parasitic GAN for semi-supervised brain tumor segmentation. In Proceedings of the 2019 IEEE International Conference on Image Processing (ICIP), Taipei, Taiwan, 22–25 September 2019; IEEE: Piscataway, NJ, USA, 2019; pp. 1535–1539. [Google Scholar]
- Cirillo, M.D.; Abramian, D.; Eklund, A. Vox2Vox: 3D-GAN for Brain Tumour Segmentation. In International MICCAI Brainlesion Workshop; Springer: Cham, Switzerland, 2020; pp. 274–284. [Google Scholar]
- Cui, S.; Wei, M.; Liu, C.; Jiang, J. GAN-segNet: A deep generative adversarial segmentation network for brain tumor semantic segmentation. Int. J. Imaging Syst. Technol. 2021, 32, 857–868. [Google Scholar] [CrossRef]
- Gan, X.; Wang, L.; Chen, Q.; Ge, Y.; Duan, S. GAU-Net: U-Net Based on Global Attention Mechanism for brain tumor segmentation. J. Phys. Conf. Ser. 2021, 1861, 012041. [Google Scholar] [CrossRef]
- Cheng, G.; Ji, H.; He, L. Correcting and reweighting false label masks in brain tumor segmentation. Med. Phys. 2021, 48, 169–177. [Google Scholar] [CrossRef] [PubMed]
- Xi, N. Semi-supervised Attentive Mutual-info Generative Adversarial Network for Brain Tumor Segmentation. In Proceedings of the 2019 International Conference on Image and Vision Computing New Zealand (IVCNZ), Dunedin, New Zealand, 2–4 December 2019; IEEE: Piscataway, NJ, USA, 2019; pp. 1–7. [Google Scholar]
- Tokuoka, Y.; Suzuki, S.; Sugawara, Y. An Inductive Transfer Learning Approach Using Cycle-Consistent Adversarial Domain Adaptation with Application to Brain Tumor Segmentation. In Proceedings of the 2019 6th International Conference on Biomedical and Bioinformatics Engineering, Shanghai, China, 2–4 November 2019; pp. 44–48. [Google Scholar]
- Chen, H.; Qin, Z.; Ding, Y.; Lan, T. Brain Tumor Segmentation with Generative Adversarial Nets. In Proceedings of the 2019 2nd International Conference on Artificial Intelligence and Big Data (ICAIBD), Chengdu, China, 25–28 May 2019; IEEE: Piscataway, NJ, USA, 2019; pp. 301–305. [Google Scholar]
- Das, J.; Patel, R.; Pankajakshan, V. Brain Tumor Segmentation Using Discriminator Loss. In Proceedings of the 2019 National Conference on Communications (NCC), Bangalore, India, 20–23 February 2019; IEEE: Piscataway, NJ, USA, 2019; pp. 1–6. [Google Scholar]
- Wu, X.; Bi, L.; Fulham, M.; Feng, D.D.; Zhou, L.; Kim, J. Unsupervised brain tumor segmentation using a symmetric-driven adversarial network. Neurocomputing 2021, 455, 242–254. [Google Scholar] [CrossRef]
- Hamghalam, M.; Lei, B.; Wang, T. Brain Tumor Synthetic Segmentation in 3D Multimodal MRI Scans. In International MICCAI Brainlesion Workshop; Springer: Cham, Switzerland, 2019; pp. 153–162. [Google Scholar]
- Alex, V.; KP, M.S.; Chennamsetty, S.S.; Krishnamurthi, G. Generative Adversarial Networks for Brain Lesion Detection. In Medical Imaging 2017: Image Processing; International Society for Optics and Photonics: Bellingham, WA, USA, 2017; Volume 10133, p. 101330G. [Google Scholar]
- Pang, S.; Du, A.; Orgun, M.A.; Yu, Z.; Wang, Y.; Wang, Y.; Liu, G. CTumorGAN: A unified framework for automatic computed tomography tumor segmentation. Eur. J. Nucl. Med. Mol. Imaging 2020, 47, 2248–2268. [Google Scholar] [CrossRef] [PubMed]
- Li, Y.; Chen, Y.; Shi, Y. Brain tumor segmentation using 3D generative adversarial networks. Int. J. Pattern Recognit. Artif. Intell. 2021, 35, 2157002. [Google Scholar] [CrossRef]
- Mukherkjee, D.; Saha, P.; Kaplun, D.; Sinitca, A.; Sarkar, R. Brain tumor image generation using an aggregation of GAN models with style transfer. Sci. Rep. 2022, 12, 9141. [Google Scholar] [CrossRef] [PubMed]
- Nyúl, L.G.; Udupa, J.K.; Zhang, X. New variants of a method of MRI scale standardization. IEEE Trans. Med. Imaging 2000, 19, 143–150. [Google Scholar] [CrossRef] [PubMed]
- Menze, B.H.; Jakab, A.; Bauer, S.; Kalpathy-Cramer, J.; Farahani, K.; Kirby, J.; Burren, Y.; Porz, N.; Slotboom, J.; Wiest, R.; et al. The Multimodal Brain Tumor Image Segmentation Benchmark (BRATS). IEEE Trans. Med. Imaging 2015, 34, 1993–2024. [Google Scholar] [CrossRef] [PubMed]
- Bakas, S.; Akbari, H.; Sotiras, A.; Bilello, M.; Rozycki, M.; Kirby, J.S.; Freymann, J.B.; Farahani, K.; Davatzikos, C. Advancing The Cancer Genome Atlas glioma MRI collections with expert segmentation labels and radiomic features. Nat. Sci. Data 2017, 4, 170117. [Google Scholar] [CrossRef] [PubMed]
- Bakas, S.; Reyes, M.; Jakab, A.; Bauer, S.; Rempfler, M.; Crimi, A.; Shinohara, R.T.; Berger, C.; Ha, S.M.; Rozycki, M.; et al. Identifying the Best Machine Learning Algorithms for Brain Tumor Segmentation, Progression Assessment, and Overall Survival Prediction in the BRATS Challenge. arXiv 2018, arXiv:1811.02629. [Google Scholar]
- Asante-Mensah, M.G.; Cichocki, A. Medical Image de-Noising Using Deep Networks. In 2018 IEEE International Conference on Data Mining Workshops (ICDMW); IEEE: Piscataway, NJ, USA, 2018; pp. 315–319. [Google Scholar]











| Technique | Datasets | Computation Time | Methodology | Evaluation |
|---|---|---|---|---|
| Tony C.W. Mok et al. [7] | BraTS15 | 2.1 s for one inference | Generative Adversarial Networks (coarse to fine generators) | DSC: WT = 0.84 CT = 0.63 ET = 0.57 |
| Mina Rezaei et al. [8] | BraTS18 | 3D Conditional Generative Adversarial Network (cGAN) | DSC (WT = 0.84, CT = 0.79, ET = 0.63) Dice = 0.83 Hausdorf = 9.3 Precision = 0.81 Recall = 0.78 | |
| Cheng Chen et al. [10] | JSRT (chest X-ray) | Semantic Aware GAN | DSC = 95.59 Recall-96.59 Precision-94.77 | |
| Jue Jiang et al. [11] | T2 MRI images | Tumour Aware loss with GAN | DSC = 0.74 | |
| Fei Yu et.al. [12] | DRIVE dataset | Shape-consistent generative adversarial network (SC-GAN) | Accuracy = 0.953 ± 0.009 Precision = 0.820 ± 0.031 Recall = 0.829 ± 0.039 DSC = 0.824 ± 0.026 | |
| Bingnan Luo et.al. [13] | Eye Segmentation Dataset (i-bug) | 0.033 s | Shape constraint generative adversarial networks | Mean mIOU = 79.02% S-mIOU = 71.86% I-mIOU = 86.185 |
| Viktor Wegmayr et al. [14] | T1 MRI images | Wasserstein-GAN | Accuracy = 73% Precision = 68% Recall = 75% |
| Techniques | Datasets | Performance | Advantage | Disadvantage |
|---|---|---|---|---|
| RescueNet | BraTS 2015 and 2017 | Dice = 0.94 Sensitivity = 0.91 | Requires less training Data | Not trained on other image modalities. |
| Parasitic GAN | BraTS 2015 and 2017 | Dice score—0.010–0.035 | More reliable ground truth for self-taught. | The visual quality of the predicted segmentor should be improved. |
| 3D GAN | BraTS 2020 | Dice Score = 87.20% Hausdroff = 6.66 | Realistic outputs generated | Model can be improved for different BraTS challenges |
| GAN-SegNet | BraTS 2018 | Dice Score = 0.9022 Positive Predictive Values = 0.9270 | Small intratumor region(s) segmentation is improved | Dice score value is not sufficient for real-time use. |
| Voxel-GAN | BraTS-2018 and ISLES-2018 | Mitigates imbalanced data problem in brain tumour semantic segmentation | Dice score value is not sufficient for real-time use. | |
| GAU-Net | BraTS 2018 | Increased the mIoU = 0.65 to 0.75 with only 5.4% of U-Net parameters | Captures long-distance dependencies hence improving network performance and less inference time. | Segmentation effect is still far from clinical use. |
| Cycle GAN | BraTS and ADNI | Dice Score = 0.7086 | Can use combination of 2d and 3D data including MRI or CT datasets. | Dice score value is not sufficient for real-time use. |
| SD-GAN | BraTS 2012 and BraTS 2018 | Dice Score = 0.646 Sensitivity = 0.802 Precision = 0.701 | Achieved the best-unsupervised segmentation performance | Dice score value is not sufficient for real-time use. |
| Images | Image Number | Structured Similarity Index (SSIM) | Peak Signal-to-Noise Ratio (PSNR) | Dice Score Coefficient (DSC) |
|---|---|---|---|---|
![]() | I1 | 0.9021 | 57.30 dB | 0.87 |
![]() | I2 | 0.9110 | 69.01 dB | 0.88 |
![]() | I3 | 0.8251 | 59.32 dB | 0.93 |
![]() | I4 | 0.8761 | 61.21 dB | 0.93 |
![]() | I5 | 0.9121 | 61.65 dB | 0.80 |
![]() | I6 | 0.8366 | 60.23 dB | 0.94 |
![]() | I7 | 0.9231 | 62.16 dB | 0.90 |
![]() | I8 | 0.9081 | 58.52 dB | 0.89 |
![]() | I9 | 0.8845 | 62.47 dB | 0.91 |
![]() | I10 | 0.9125 | 68.97 dB | 0.89 |
Disclaimer/Publisher’s Note: The statements, opinions and data contained in all publications are solely those of the individual author(s) and contributor(s) and not of MDPI and/or the editor(s). MDPI and/or the editor(s) disclaim responsibility for any injury to people or property resulting from any ideas, methods, instructions or products referred to in the content. |
© 2023 by the authors. Licensee MDPI, Basel, Switzerland. This article is an open access article distributed under the terms and conditions of the Creative Commons Attribution (CC BY) license (https://creativecommons.org/licenses/by/4.0/).
Share and Cite
Sille, R.; Choudhury, T.; Sharma, A.; Chauhan, P.; Tomar, R.; Sharma, D. A Novel Generative Adversarial Network-Based Approach for Automated Brain Tumour Segmentation. Medicina 2023, 59, 119. https://doi.org/10.3390/medicina59010119
Sille R, Choudhury T, Sharma A, Chauhan P, Tomar R, Sharma D. A Novel Generative Adversarial Network-Based Approach for Automated Brain Tumour Segmentation. Medicina. 2023; 59(1):119. https://doi.org/10.3390/medicina59010119
Chicago/Turabian StyleSille, Roohi, Tanupriya Choudhury, Ashutosh Sharma, Piyush Chauhan, Ravi Tomar, and Durgansh Sharma. 2023. "A Novel Generative Adversarial Network-Based Approach for Automated Brain Tumour Segmentation" Medicina 59, no. 1: 119. https://doi.org/10.3390/medicina59010119
APA StyleSille, R., Choudhury, T., Sharma, A., Chauhan, P., Tomar, R., & Sharma, D. (2023). A Novel Generative Adversarial Network-Based Approach for Automated Brain Tumour Segmentation. Medicina, 59(1), 119. https://doi.org/10.3390/medicina59010119











