Successful Management of Osimertinib-Induced Heart Failure
Abstract
:1. Introduction
2. Case Report
2.1. Before Admission
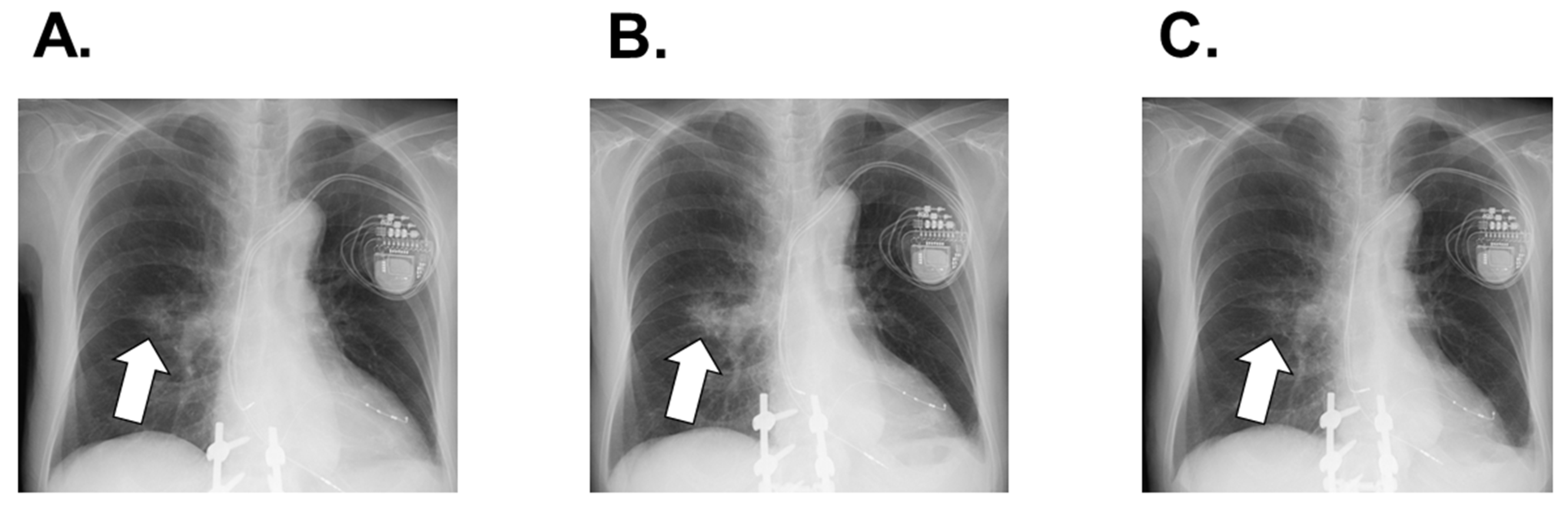
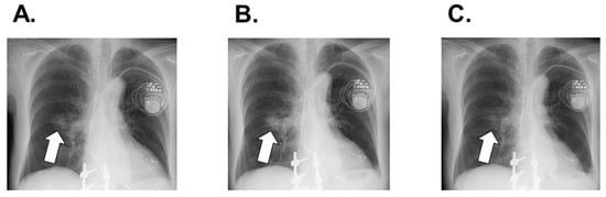
2.2. On Admission
2.3. In-Hospital Course
2.4. Post-Discharge Course
3. Discussion
3.1. Cardiotoxicity of Osimertinib
3.2. Therapeutic Strategy for Osimertinib-Induced Heart Failure
4. Conclusions
Author Contributions
Funding
Institutional Review Board Statement
Informed Consent Statement
Data Availability Statement
Conflicts of Interest
References
- Vallakati, A.; Konda, B.; Lenihan, D.J.; Baliga, R.R. Management of Cancer Therapeutics-Related Cardiac Dysfunction. Heart Fail. Clin. 2018, 14, 553–567. [Google Scholar] [CrossRef]
- Curigliano, G.; Cardinale, D.; Dent, S.; Criscitiello, C.; Aseyev, O.; Lenihan, D.; Cipolla, C.M. Cardiotoxicity of anticancer treatments: Epidemiology, detection, and management. CA A Cancer J. Clin. 2016, 66, 309–325. [Google Scholar] [CrossRef] [PubMed] [Green Version]
- Remon, J.; Steuer, C.E.; Ramalingam, S.S.; Felip, E. Osimertinib and other third-generation EGFR TKI in EGFR-mutant NSCLC patients. Ann. Oncol. 2018, 29 (Suppl. S1), i20–i27. [Google Scholar] [CrossRef] [PubMed]
- Izumida, T.; Imamura, T.; Nakamura, M.; Fukuda, N.; Kinugawa, K. How to consider target heart rate in patients with systolic heart failure. ESC Heart Fail. 2020, 7, 3231–3234. [Google Scholar] [CrossRef] [PubMed]
- Anand, K.; Ensor, J.; Trachtenberg, B.; Bernicker, E. Osimertinib-Induced Cardiotoxicity: A Retrospective Review of the FDA Adverse Events Reporting System (FAERS). J. Clin. Oncol. 2019, 37, 9044. [Google Scholar] [CrossRef]
- Kunimasa, K. Is Osimertinib-Induced Cardiotoxicity Really Harmless? J. Clin. Oncol. 2021, 39, 2050–2051. [Google Scholar] [CrossRef] [PubMed]
- Zamorano, J.L.; Lancellotti, P.; Rodriguez Muñoz, D. The Task Force for cancer treatments and cardiovascular toxicity of the European Society of Cardiology (ESC). Eur. Heart J. 2016, 37, 2768–2801. [Google Scholar] [CrossRef] [PubMed]
- Cardinale, D.; Colombo, A.; Lamantia, G.; Colombo, N.; Civelli, M.; De Giacomi, G.; Rubino, M.; Veglia, F.; Fiorentini, C.; Cipolla, C.M. Anthracycline-induced cardiomyopathy: Clinical relevance and response to pharmacologic therapy. J. Am. Coll. Cardiol. 2010, 55, 213–220. [Google Scholar] [CrossRef] [PubMed] [Green Version]
- Hayıroğlu, M.İ.; Çınar, T.; Çiçek, V.; Asal, S.; Kılıç, Ş.; Keser, N.; Uzun, M.; Orhan, A.L. A simple formula to predict echocardiographic diastolic dysfunction-electrocardiographic diastolic index. Herz 2021, 46, 159–165. [Google Scholar] [CrossRef] [PubMed]
- Kalam, K.; Marwick, T.H. Role of cardioprotective therapy for prevention of cardiotoxicity with chemotherapy: A systematic review and meta-analysis. Eur. J. Cancer 2013, 49, 2900–2909. [Google Scholar] [CrossRef] [PubMed]
- Imamura, T.; Kinugawa, K. Optimal Heart Rate Modulation Using Ivabradine. Int. Heart J. 2021, 62, 717–721. [Google Scholar] [CrossRef] [PubMed]






Publisher’s Note: MDPI stays neutral with regard to jurisdictional claims in published maps and institutional affiliations. |
© 2022 by the authors. Licensee MDPI, Basel, Switzerland. This article is an open access article distributed under the terms and conditions of the Creative Commons Attribution (CC BY) license (https://creativecommons.org/licenses/by/4.0/).
Share and Cite
Fukuo, A.; Imamura, T.; Onoda, H.; Kinugawa, K. Successful Management of Osimertinib-Induced Heart Failure. Medicina 2022, 58, 312. https://doi.org/10.3390/medicina58020312
Fukuo A, Imamura T, Onoda H, Kinugawa K. Successful Management of Osimertinib-Induced Heart Failure. Medicina. 2022; 58(2):312. https://doi.org/10.3390/medicina58020312
Chicago/Turabian StyleFukuo, Atsuko, Teruhiko Imamura, Hiroshi Onoda, and Koichiro Kinugawa. 2022. "Successful Management of Osimertinib-Induced Heart Failure" Medicina 58, no. 2: 312. https://doi.org/10.3390/medicina58020312
APA StyleFukuo, A., Imamura, T., Onoda, H., & Kinugawa, K. (2022). Successful Management of Osimertinib-Induced Heart Failure. Medicina, 58(2), 312. https://doi.org/10.3390/medicina58020312

