Iatrogenic Ankle Charcot Neuropathic Arthropathy after Spinal Surgery: A Case Report and Literature Review
Abstract
1. Introduction
2. Case Presentation
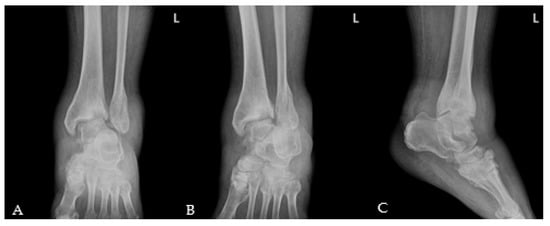
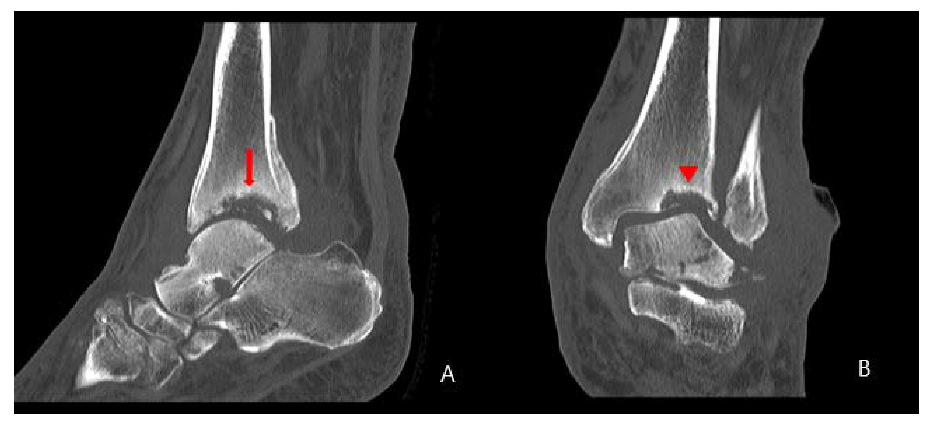
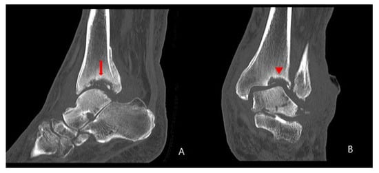
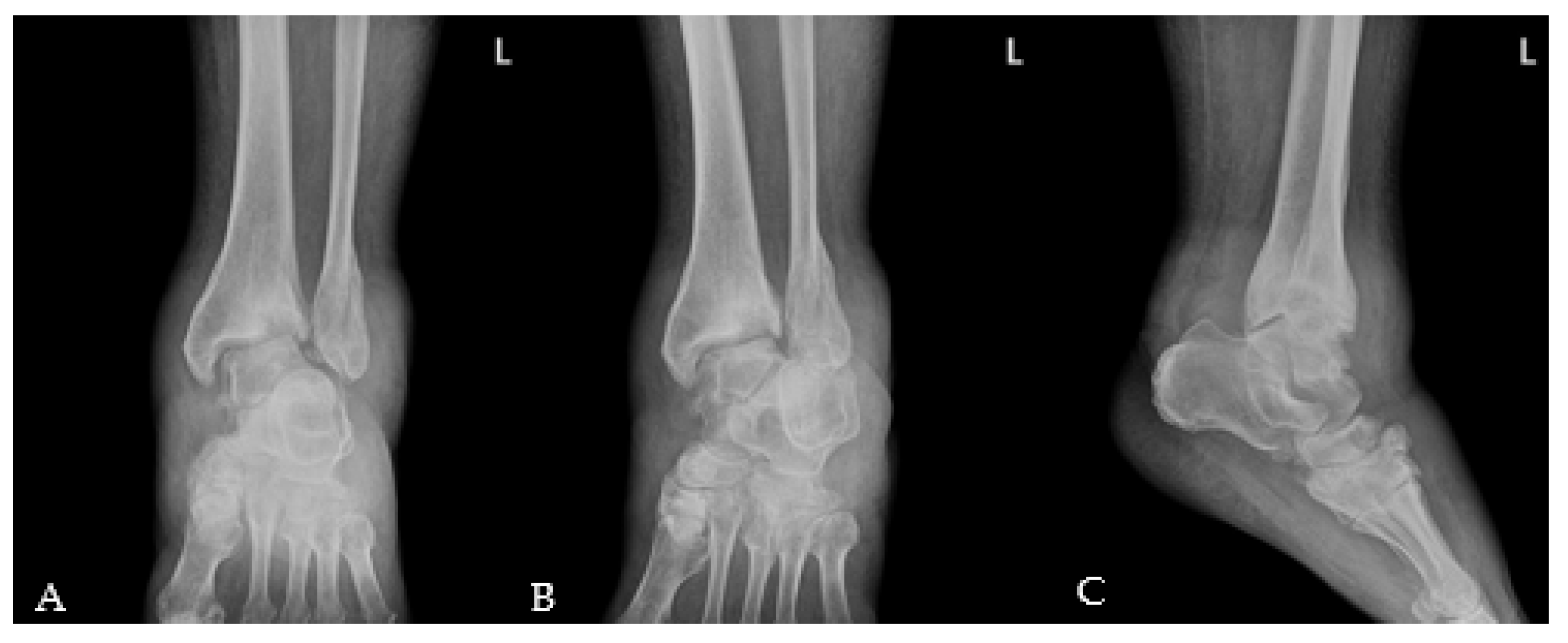
2.1. Preoperative Evaluation
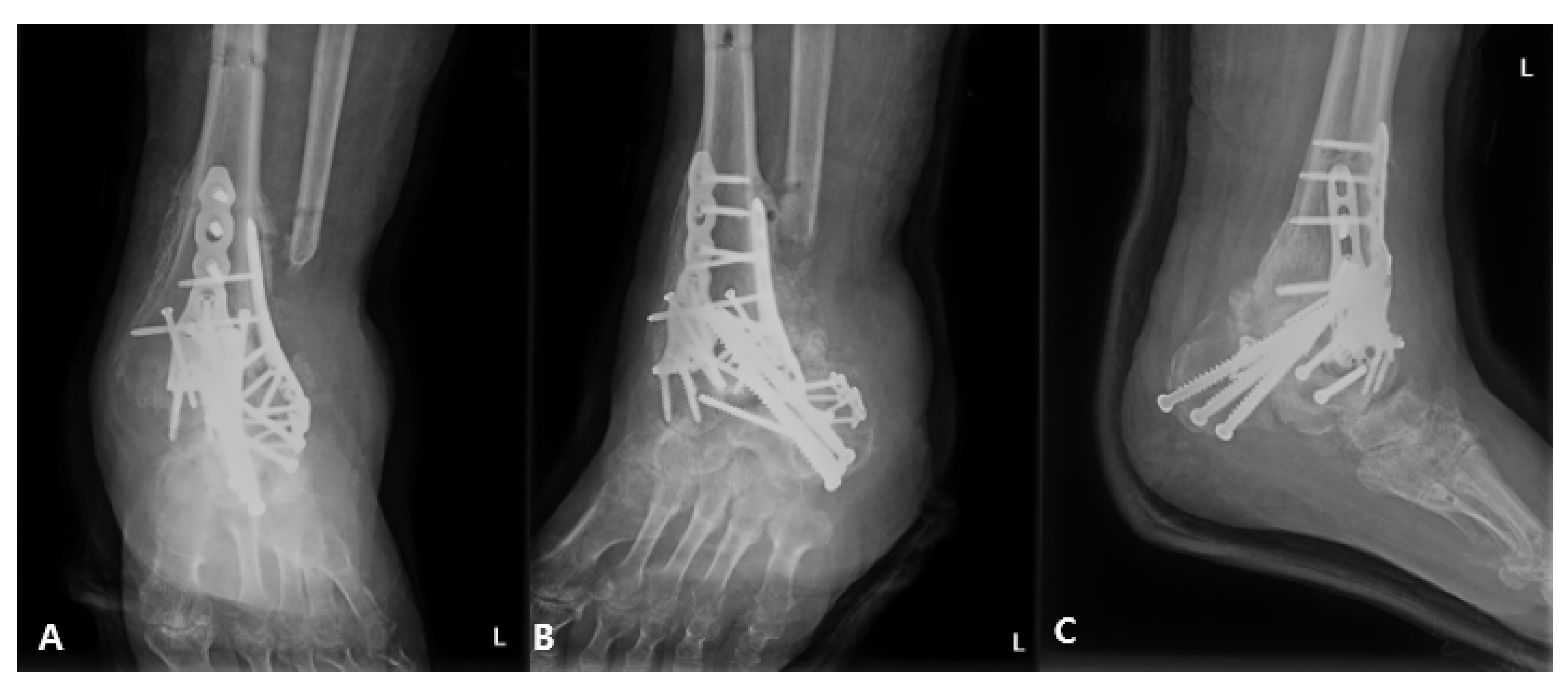
2.2. Surgical Procedure
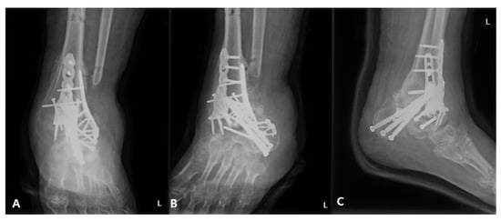
2.3. Postoperative Care
3. Discussion
4. Conclusions
Author Contributions
Funding
Institutional Review Board Statement
Informed Consent Statement
Data Availability Statement
Conflicts of Interest
Abbreviations
| CRP | C-reactive protein |
| ESR | Erythrocyte sedimentation rate |
| CT | Computer tomography |
| MRI | Magnetic resonance imaging |
| MSSA | Methicillin-sensitive Staphylococcus aureus |
References
- Eichenholtz, S.N. Charcot joints. J. Bone Jt. Surg. 1962, 44, 1485. [Google Scholar]
- Dardari, D. An overview of Charcot’s neuroarthropathy. J. Clin. Transl. Endocrinol. 2020, 22, 100239. [Google Scholar] [CrossRef] [PubMed]
- Rogers, L.C.; Frykberg, R.G.; Armstrong, D.G.; Boulton, A.J.; Edmonds, M.; Van, G.H.; Hartemann, A.; Game, F.; Jeffcoate, W.; Jirkovska, A.; et al. The Charcot foot in diabetes. J. Am. Podiatr. Med. Assoc. 2011, 101, 437–446. [Google Scholar] [CrossRef] [PubMed]
- Sochocki, M.P.; Verity, S.; Atherton, P.J.; Huntington, J.L.; Sloan, J.A.; Embil, J.M.; Trepman, E. Health related quality of life in patients with Charcot arthropathy of the foot and ankle. Foot Ankle Surg. 2008, 14, 11–15. [Google Scholar] [CrossRef] [PubMed]
- Wukich, D.K.; Sung, W.; Wipf, S.A.M.; Armstrong, D.G. The consequences of complacency: Managing the effects of unrecognized Charcot feet. Diabet. Med. 2011, 28, 195–198. [Google Scholar] [CrossRef] [PubMed]
- Cianni, L.; Bocchi, M.B.; Vitiello, R.; Greco, T.; De Marco, D.; Masci, G.; Maccauro, G.; Pitocco, D.; Perisano, C. Arthrodesis in the Charcot foot: A systematic review. Orthop. Rev. 2020, 12, 8670. [Google Scholar] [CrossRef] [PubMed]
- Cıvan, M.; Yazıcıoğlu, Ö.; Çakmak, M.; Akgül, T. Charcot arthropathy of the knee after unsuccessful spinal stenosis surgery: A case report. Int. J. Surg. Case Rep. 2017, 36, 22–25. [Google Scholar] [CrossRef] [PubMed]
- Brown, C.W.; Jones, B.; Donaldson, D.H.; Akmakjian, J.; Brugman, J.L. Neuropathic (Charcot) Arthropathy of the Spine after Traumatic Spinal Paraplegia. Spine 1992, 17, S103–S108. [Google Scholar] [CrossRef] [PubMed]
- Wukich, D.K.; Sung, W. Charcot arthropathy of the foot and ankle: Modern concepts and management review. J. Diabetes Its Complicat. 2009, 23, 409–426. [Google Scholar] [CrossRef] [PubMed]
- Fabric, J.; Larsen, K.; Holstein, P.E. Long-term follow-up in diabetic Charcot feet with spontaneous onset. Diabetes Care 2000, 23, 796–800. [Google Scholar] [CrossRef] [PubMed]
- McKay, D.J.; Sheehan, P.; DeLauro, T.M.; Iannuzzi, L.N. Vincristine-induced neuroarthropathy (Charcot’s joint). J. Am. Podiatr. Med. Assoc. 2000, 90, 478–480. [Google Scholar] [CrossRef] [PubMed]
- Arapostathi, C.; Tentolouris, N.; Jude, E.B. Charcot foot associated with chronic alcohol abuse. BMJ Case Rep. 2013, 2013, bcr2012008263. [Google Scholar] [CrossRef] [PubMed]
- Jeffcoate, W.J.; Game, F.; Cavanagh, P.R. The role of proinflammatory cytokines in the cause of neuropathic osteoarthropathy (acute Charcot foot) in diabetes. Lancet 2005, 366, 2058–2061. [Google Scholar] [CrossRef] [PubMed]
- Ramanujam, C.L.; Facaros, Z. An overview of conservative treatment options for diabetic Charcot foot neuroarthropathy. Diabet. Foot Ankle 2011, 2, 6418. [Google Scholar] [CrossRef] [PubMed]
- Paliwal, V.K.; Singh, P.; Rahi, S.K.; Agarwal, V.; Gupta, R.K. Charcot knee secondary to lumbar spinal cord syringomyelia: Complication of spinal anesthesia. J. Clin. Rheumatol. 2012, 18, 207–208. [Google Scholar] [CrossRef] [PubMed]
- Donegan, R.; Sumpio, B.; Blume, P.A. Charcot foot and ankle with osteomyelitis. Diabet. Foot Ankle 2013, 4, 21361. [Google Scholar] [CrossRef] [PubMed]
- Illgner, U.; Wetz, H.H. Infections of Charcot Feet: Diagnostics and Treatment. Clin. Res. Foot Ankle 2014, S3, 8. [Google Scholar] [CrossRef]








Publisher’s Note: MDPI stays neutral with regard to jurisdictional claims in published maps and institutional affiliations. |
© 2022 by the authors. Licensee MDPI, Basel, Switzerland. This article is an open access article distributed under the terms and conditions of the Creative Commons Attribution (CC BY) license (https://creativecommons.org/licenses/by/4.0/).
Share and Cite
Kim, S.H.; Kim, W.-J.; Park, E.S.; Kim, J.Y.; Lee, Y.K. Iatrogenic Ankle Charcot Neuropathic Arthropathy after Spinal Surgery: A Case Report and Literature Review. Medicina 2022, 58, 1776. https://doi.org/10.3390/medicina58121776
Kim SH, Kim W-J, Park ES, Kim JY, Lee YK. Iatrogenic Ankle Charcot Neuropathic Arthropathy after Spinal Surgery: A Case Report and Literature Review. Medicina. 2022; 58(12):1776. https://doi.org/10.3390/medicina58121776
Chicago/Turabian StyleKim, Sung Hwan, Woo-Jong Kim, Eun Seok Park, Jun Yong Kim, and Young Koo Lee. 2022. "Iatrogenic Ankle Charcot Neuropathic Arthropathy after Spinal Surgery: A Case Report and Literature Review" Medicina 58, no. 12: 1776. https://doi.org/10.3390/medicina58121776
APA StyleKim, S. H., Kim, W.-J., Park, E. S., Kim, J. Y., & Lee, Y. K. (2022). Iatrogenic Ankle Charcot Neuropathic Arthropathy after Spinal Surgery: A Case Report and Literature Review. Medicina, 58(12), 1776. https://doi.org/10.3390/medicina58121776

