Ultrasound-Guided Regional Anesthesia–Current Strategies for Enhanced Recovery after Cardiac Surgery
Abstract
1. Introduction
2. Techniques
2.1. Thoracic Epidural Anaesthesia (TEA)
2.2. Paravertebral Blocks (PVB)
2.2.1. Mechanism and Clinical Applications
Sonoanatomy and Block Techniques (Figure 1)
2.3. Chest Wall Fascial Plane Blocks (CWFPB)
2.3.1. Posterior CWFPB-Erector Spinae Plane Block (ESPB) and other PVB Variants
Mechanism and Clinical Applications
Sonoanatomy and Block Tachnique (Figure 2)
2.3.2. Anterolateral CWFPB—Pectoral Blocks and Serratus Plane Block
Mechanism and Clinical Application
Sonoanatomy and Block Technique (Figure 3)
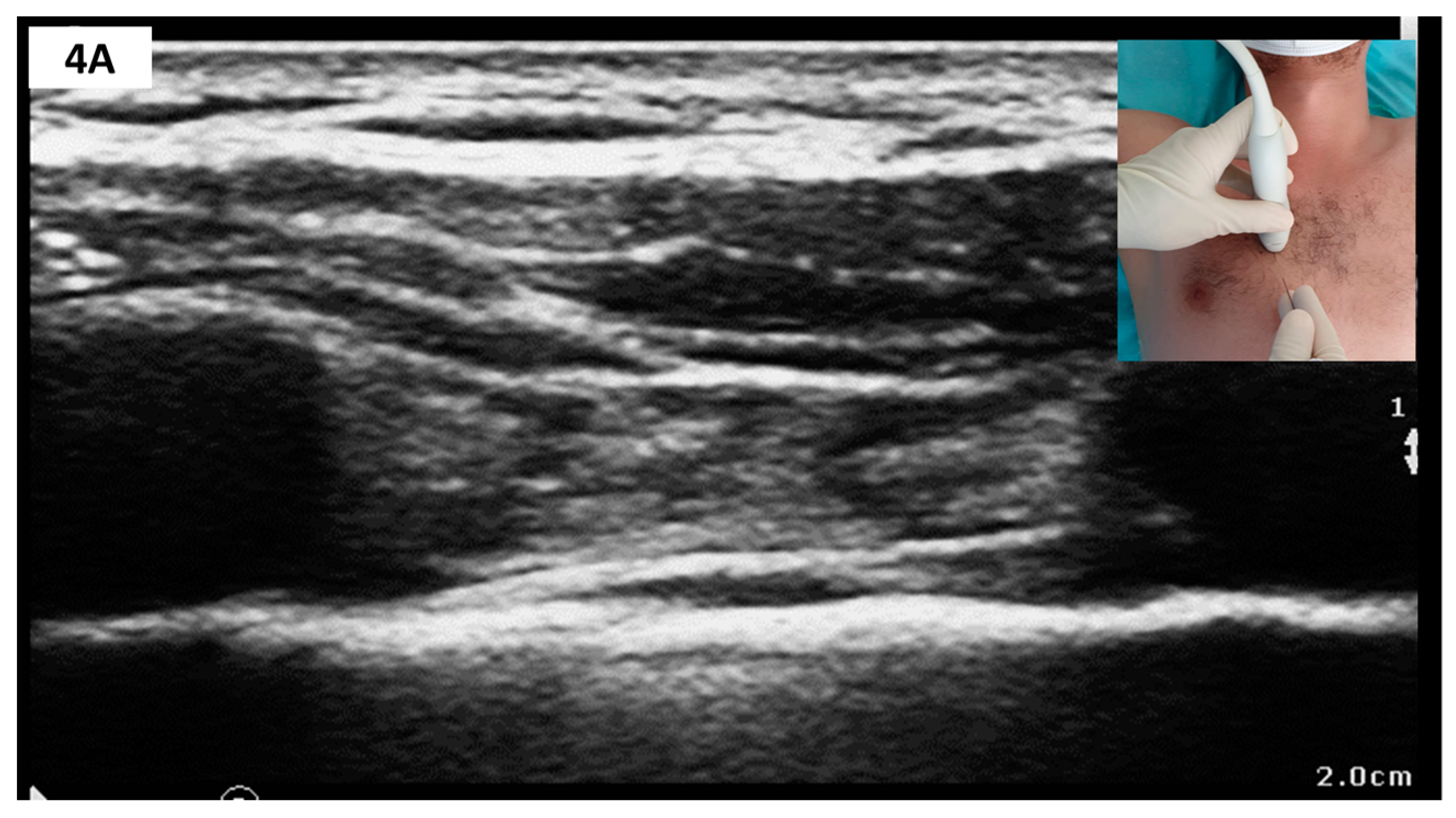
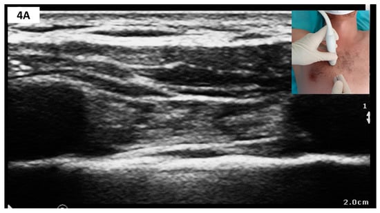
2.3.3. Anteromedial CWFPB—Parasternal Block Variants
Mechanism and Clinical Applications
Sonoanatomy and Block Technique (Figure 4)
3. Complications
4. Perspective
5. Conclusions
Author Contributions
Funding
Institutional Review Board Statement
Informed Consent Statement
Data Availability Statement
Acknowledgments
Conflicts of Interest
Appendix A
| Block | Target Plane or Space | Target Nerve | Autonomic Blockade | Maximum Area of Sensory Loss | Surgical Approach—Best Fit | LA Volume for Single-Shot Block/Side # | Practice Patterns |
|---|---|---|---|---|---|---|---|
| PVB | TPVS | Dorsal and ventral rami of spinal nerve roots | Yes | Ipsilateral hemithorax | Sternotomy (BLB) | 20–25 mL if single-level (4th TP) or 4–5 mL with multilevel strategy | • Formal contraindication with anticoagulation |
| • Single-level equivalent to multilevel shots | |||||||
| ESP | ESM-to-TP | Dorsal and ventral rami of spinal nerve roots | Yes | Ipsilateral hemithorax | Sternotomy (BLB) | 20 mL at the 5th TP | • Bilevel-injection to improve LA spread |
| • Preemptive approach | |||||||
| PECS I | PMAJOR-to-PMINOR | Medial and lateral pectoral nerves | No | Narrow upper anterolateral chest wall | Minimally invasive thoracotomy (ULB) | 15 mL at the 3rd rib | • Inadequate for sternotomy |
| PECS II | PMAJOR-to-PMINOR (1) and SUPRA- or SUB-SAM (2) | PECS I, LTN and TDN | No | Wide upper anterolateral chest wall, including axilla | Minimally invasive thoracotomy (ULB) | 30 mL at the 3rd rib | • Inadequate for sternotomy |
| • Perform (1) after (2) with a single-pass approach | |||||||
| SAPB | SUPRA- or SUB-SAM | Lateral branches of ICN, including LTN and TDN with superficial SABP | No | Lateral chest wall | Minimally invasive thoracotomy (ULB) | 30–40 mL at the 4th -5th rib | • Inadequate for sternotomy |
| • Anterior spread with deep SAPB; posterior spread with superficial SAPB | |||||||
| PIFB | PMAJOR-to-EIM | Anterior branches of ICN | No | Parasternal | Sternotomy (BLB) | 20 mL at the 4th rib | • Combined |
| TTMPB | INNIM-to-TTM | Anterior branches of ICN | No | Parasternal | Sternotomy (BLB) | 20 mL at the 4th rib | • Combined |
References
- Roques, F.; Nashef, S.A.M.; Michel, P.; Gauducheau, E.; De Vincentiis, C.; Baudet, E.; Cortina, J.; David, M.; Faichney, A.; Gavrielle, F.; et al. Risk factors and outcome in European cardiac surgery: Analysis of the EuroSCORE multinational database of 19030 patients. Eur. J. Cardio-Thoracic. Surg. 1999, 15, 816–823. [Google Scholar] [CrossRef]
- Wahba, A.; Milojevic, M.; Boer, C.; De Somer, F.M.; Gudbjartsson, T.; van den Goor, J.; Jones, T.J.; Lomivorotov, V.; Merkle, F.; Ranucci, M.; et al. 2019 EACTS/EACTA/EBCP guidelines on cardiopulmonary bypass in adult cardiac surgery. Br. J. Anaesth. 2019, 123, 713–757. [Google Scholar] [CrossRef]
- Ranucci, M. Anaesthesia and cardiopulmonary bypass aspects of fast track. Eur. Hear. J. Suppl. 2017, 19, A15–A17. [Google Scholar] [CrossRef][Green Version]
- Gerstein, N.S.; Petersen, T.R.; Ramakrishna, H. Evaluating the Cardiac Anesthesiologist’s Role in Surgical Outcomes—A Reappraisal Based on Recent Evidence. J. Cardiothorac. Vasc. Anesth. 2017, 31, 283–290. [Google Scholar] [CrossRef]
- Engelman, D.T.; Ali, W.B.; Williams, J.B.; Perrault, L.P.; Reddy, V.S.; Arora, R.C.; Roselli, E.E.; Khoynezhad, A.; Gerdisch, M.; Levy, J.H.; et al. Guidelines for Perioperative Care in Cardiac Surgery: Enhanced Recovery After Surgery Society Recommendations. JAMA Surg. 2019, 154, 755–766. [Google Scholar] [CrossRef]
- Mueller, X.M.; Tinguely, F.; Tevaearai, H.T.; Revelly, J.P.; Chioléro, R.; von Segesser, L.K. Pain location, distribution, and intensity after cardiac surgery. Chest 2000, 118, 391–396. [Google Scholar] [CrossRef]
- Lahtinen, P.; Kokki, H.; Hynynen, M. Pain after cardiac surgery: A prospective cohort study of 1-year incidence and intensity. Anesthesiology 2006, 105, 794–800. [Google Scholar] [CrossRef]
- Ochroch, J.; Usman, A.; Kiefer, J.; Pulton, D.; Shah, R.; Grosh, T.; Patel, S.; Vernick, W.; Gutsche, J.T.; Raiten, J. Reducing Opioid Use in Patients Undergoing Cardiac Surgery—Preoperative, Intraoperative, and Critical Care Strategies. J. Cardiothorac. Vasc. Anesth. 2020. [Google Scholar] [CrossRef]
- Shanthanna, H.; Ladha, K.S.; Kehlet, H.; Joshi, G.P. Perioperative Opioid Administration: A Critical Review of Opioid-free versus Opioid-sparing Approaches. Anesthesiology 2020. [Google Scholar] [CrossRef]
- Mittnacht, A.J.; Shariat, A.; Weiner, M.M.; Malhotra, A.; Miller, M.A.; Mahajan, A.; Bhatt, H.V. Regional Techniques for Cardiac and Cardiac-Related Procedures. J. Cardiothorac. Vasc. Anesth. 2019, 33, 532–546. [Google Scholar] [CrossRef] [PubMed]
- Horlocker, T.T.; Vandermeuelen, E.; Kopp, S.L.; Gogarten, W.; Leffert, L.R.; Benzon, H.T. Regional Anesthesia in the Patient Receiving Antithrombotic or Thrombolytic Therapy: American Society of Regional Anesthesia and Pain Medicine Evidence-Based Guidelines (Fourth Edition). Reg. Anesth. Pain Med. 2018, 43, 263–309. Available online: http://rapm.bmj.com/content/43/3/263.abstract (accessed on 20 January 2021). [CrossRef]
- Kelava, M.; Alfirevic, A.; Bustamante, S.; Hargrave, J.; Marciniak, D. Regional Anesthesia in Cardiac Surgery: An Overview of Fascial Plane Chest Wall Blocks. Anesth Analg 2020, 131, 127–135. Available online: https://journals.lww.com/anesthesia-analgesia/Fulltext/2020/07000/Regional_Anesthesia_in_Cardiac_Surgery__An.23.aspx (accessed on 20 January 2021). [CrossRef]
- Raymond, S.A.; Gissen, A.J. Mechanisms of Differential Nerve Block BT. In Local Anesthetics; Strichartz, G.R., Ed.; Springer: Berlin/Heidelberg, Germany, 1987; pp. 95–164. [Google Scholar] [CrossRef]
- Capek, S.; Tubbs, R.S.; Spinner, R.J. Do cutaneous nerves cross the midline? Clin. Anat. 2015, 28, 96–100. [Google Scholar] [CrossRef]
- Ladak, A.; Tubbs, R.S.; Spinner, R.J. Mapping sensory nerve communications between peripheral nerve territories. Clin. Anat. 2014, 27, 681–690. [Google Scholar] [CrossRef]
- Guay, J.; Kopp, S. Epidural analgesia for adults undergoing cardiac surgery with or without cardiopulmonary bypass. Cochrane Database Syst. Rev. 2019, 3, CD006715. [Google Scholar] [CrossRef]
- Bulte, C.S.; Boer, C.; Hartemink, K.J.; Kamp, O.; Heymans, M.W.; Loer, S.A.; de Marchi, S.F.; Vogel, R.; Bouwman, R.A. Myocardial Microvascular Responsiveness During Acute Cardiac Sympathectomy Induced by Thoracic Epidural Anesthesia. J. Cardiothorac. Vasc. Anesth. 2017, 31, 134–141. [Google Scholar] [CrossRef] [PubMed]
- Wink, J.; Veering, B.T.; Aarts, L.P.H.J.; Wouters, P.F. Effects of Thoracic Epidural Anesthesia on Neuronal Cardiac Regulation and Cardiac Function. Anesthesiology 2019, 130, 472–491. [Google Scholar] [CrossRef]
- Ho, A.M.; Chung, D.C.; Joynt, G.M. Neuraxial blockade and hematoma in cardiac surgery: Estimating the risk of a rare adverse event that has not (yet) occurred. Chest 2000, 117, 551–555. [Google Scholar] [CrossRef]
- Landoni, G.; Isella, F.; Greco, M.; Zangrillo, A.; Royse, C.F. Benefits and risks of epidural analgesia in cardiac surgery. BJA Br. J. Anaesth. 2015, 115, 25–32. [Google Scholar] [CrossRef]
- Karmakar, M.K. Thoracic Paravertebral Block. Anesthesiology 2001, 95, 771–780. [Google Scholar] [CrossRef]
- Cowie, B.; McGlade, D.; Ivanusic, J.; Barrington, M.J. Ultrasound-guided thoracic paravertebral blockade: A cadaveric study. Anesth. Analg. 2010, 110, 1735–1739. [Google Scholar] [CrossRef] [PubMed]
- Naja, Z.M.; El-Rajab, M.; Al-Tannir, M.A.; Ziade, F.M.; Tayara, K.; Younes, F.; Lönnqvist, P.A. Thoracic paravertebral block: Influence of the number of injections. Reg. Anesth. Pain Med. 2006, 31, 196–201. [Google Scholar] [CrossRef]
- Kotzé, A.; Scally, A.; Howell, S. Efficacy and safety of different techniques of paravertebral block for analgesia after thoracotomy: A systematic review and metaregression. Br. J. Anaesth. 2009, 103, 626–636. [Google Scholar] [CrossRef]
- Renes, S.H.; Bruhn, J.; Gielen, M.J.; Scheffer, G.J.; van Geffen, G.J. In-plane ultrasound-guided thoracic paravertebral block: A preliminary report of 36 cases with radiologic confirmation of catheter position. Reg. Anesth. Pain Med. 2010, 35, 212–216. [Google Scholar] [CrossRef]
- Marhofer, D.; Marhofer, P.; Kettner, S.C.; Fleischmann, E.; Prayer, D.; Schernthaner, M.; Lackner, E.; Willschke, H.; Schwetz, P.; Zeitlinger, M. Magnetic resonance imaging analysis of the spread of local anesthetic solution after ultrasound-guided lateral thoracic paravertebral blockade: A volunteer study. Anesthesiology 2013, 118, 1106–1112. [Google Scholar] [CrossRef] [PubMed]
- Uppal, V.; Sondekoppam, R.V.; Sodhi, P.; Johnston, D.; Ganapathy, S. Single-Injection Versus Multiple-Injection Technique of Ultrasound-Guided Paravertebral Blocks: A Randomized Controlled Study Comparing Dermatomal Spread. Reg. Anesth. Pain Med. 2017, 42, 575–581. [Google Scholar] [CrossRef]
- Vogt, A. Review about ultrasounds in paravertebral blocks. Eur. J. Pain Suppl. 2011, 5, 489–494. Available online: http://www.sciencedirect.com/science/article/pii/S1754320711000460 (accessed on 24 January 2021). [CrossRef]
- D’Ercole, F.; Arora, H.; Kumar, P.A. Paravertebral Block for Thoracic Surgery. J. Cardiothorac. Vasc. Anesth. 2018, 32, 915–927. [Google Scholar] [CrossRef]
- Baidya, D.K.; Khanna, P.; Maitra, S. Analgesic efficacy and safety of thoracic paravertebral and epidural analgesia for thoracic surgery: A systematic review and meta-analysis. Interact. Cardiovasc. Thorac. Surg. 2014, 18, 626–635. [Google Scholar] [CrossRef] [PubMed]
- Yeung, J.H.Y.; Gates, S.; Naidu, B.V.; Wilson, M.J.A.; Gao Smith, F. Paravertebral block versus thoracic epidural for patients undergoing thoracotomy. Cochrane Database Syst. Rev. 2016, 2, CD009121. [Google Scholar] [CrossRef]
- Scarci, M.; Joshi, A.; Attia, R. In patients undergoing thoracic surgery is paravertebral block as effective as epidural analgesia for pain management? Interact. Cardiovasc. Thorac. Surg. 2010, 10, 92–96. [Google Scholar] [CrossRef] [PubMed]
- Davies, R.G.; Myles, P.S.; Graham, J.M. A comparison of the analgesic efficacy and side-effects of paravertebral vs epidural blockade for thoracotomy—A systematic review and meta-analysis of randomized trials. Br. J. Anaesth. 2006, 96, 418–426. [Google Scholar] [CrossRef]
- Scarfe, A.J.; Schuhmann-Hingel, S.; Duncan, J.K.; Ma, N.; Atukorale, Y.N.; Cameron, A.L. Continuous paravertebral block for post-cardiothoracic surgery analgesia: A systematic review and meta-analysis. Eur. J. Cardio-Thoracic. Surg. Off. J. Eur. Assoc. Cardio-Thoracic. Surg. 2016, 50, 1010–1018. [Google Scholar] [CrossRef] [PubMed]
- Okitsu, K.; Iritakenishi, T.; Iwasaki, M.; Imada, T.; Fujino, Y. Risk of Hematoma in Patients With a Bleeding Risk Undergoing Cardiovascular Surgery With a Paravertebral Catheter. J. Cardiothorac. Vasc. Anesth. 2017, 31, 453–457. [Google Scholar] [CrossRef]
- El Shora, H.A.; El Beleehy, A.A.; Abdelwahab, A.A.; Ali, G.A.; Omran, T.E.; Hassan, E.A.; Arafat, A.A. Bilateral Paravertebral Block versus Thoracic Epidural Analgesia for Pain Control Post-Cardiac Surgery: A Randomized Controlled Trial. Thorac. Cardiovasc. Surg. 2020, 68, 410–416. [Google Scholar] [CrossRef]
- Luyet, C.; Herrmann, G.; Ross, S.; Vogt, A.; Greif, R.; Moriggl, B.; Eichenberger, U. Ultrasound-guided thoracic paravertebral puncture and placement of catheters in human cadavers: Where do catheters go? Br. J. Anaesth. 2011, 106, 246–254. [Google Scholar] [CrossRef]
- Luyet, C.; Eichenberger, U.; Greif, R.; Vogt, A.; Szücs Farkas, Z.; Moriggl, B. Ultrasound-guided paravertebral puncture and placement of catheters in human cadavers: An imaging study. Br. J. Anaesth. 2009, 102, 534–539. [Google Scholar] [CrossRef] [PubMed]
- Richardson, J.; Sabanathan, S.; Jones, J.; Shah, R.D.; Cheema, S.; Mearns, A.J. A prospective, randomized comparison of preoperative and continuous balanced epidural or paravertebral bupivacaine on post-thoracotomy pain, pulmonary function and stress responses. Br. J. Anaesth. 1999, 83, 387–392. [Google Scholar] [CrossRef] [PubMed]
- Krediet, A.C.; Moayeri, N.; van Geffen, G.J.; Bruhn, J.; Renes, S.; Bigeleisen, P.E.; Groen, G.J. Different Approaches to Ultrasound-guided Thoracic Paravertebral Block: An Illustrated Review. Anesthesiology 2015, 123, 459–474. [Google Scholar] [CrossRef] [PubMed]
- Costache, I.; De Neumann, L.; Ramnanan, C.J.; Goodwin, S.L.; Pawa, A.; Abdallah, F.W.; McCartney, C.J.L. The mid-point transverse process to pleura (MTP) block: A new end-point for thoracic paravertebral block. Anaesthesia 2017, 72, 1230–1236. [Google Scholar] [CrossRef] [PubMed]
- Wild, K.; Chin, K.J. Regional Techniques for Thoracic Wall Surgery. Curr. Anesthesiol. Rep. 2017, 7, 212–219. [Google Scholar] [CrossRef]
- Costache, I.; Pawa, A.; Abdallah, F.W. Paravertebral by proxy—Time to redefine the paravertebral block. Anaesthesia 2018, 73, 1185–1188. [Google Scholar] [CrossRef]
- Voscopoulos, C.; Palaniappan, D.; Zeballos, J.; Ko, H.; Janfaza, D.; Vlassakov, K. The ultrasound-guided retrolaminar block. Can. J. Anaesth. 2013, 60, 888–895. [Google Scholar] [CrossRef]
- Murouchi, T.; Yamakage, M. Retrolaminar block: Analgesic efficacy and safety evaluation. J. Anesth. 2016, 30, 1003–1007. [Google Scholar] [CrossRef]
- Roué, C.; Wallaert, M.; Kacha, M.; Havet, E. Intercostal/paraspinal nerve block for thoracic surgery. Anaesthesia 2016, 71, 112–113. [Google Scholar] [CrossRef]
- Elsharkawy, H.; Maniker, R.; Bolash, R.; Kalasbail, P.; Drake, R.L.; Elkassabany, N. Rhomboid Intercostal and Subserratus Plane Block: A Cadaveric and Clinical Evaluation. Reg. Anesth. Pain Med. 2018, 43, 745–751. [Google Scholar] [CrossRef]
- Forero, M.; Adhikary, S.D.; Lopez, H.; Tsui, C.; Chin, K.J. The Erector Spinae Plane Block: A Novel Analgesic Technique in Thoracic Neuropathic Pain. Reg. Anesth. Pain Med. 2016, 41, 621–627. [Google Scholar] [CrossRef] [PubMed]
- Choi, Y.J.; Kwon, H.J.; O, J.; Cho, T.H.; Won, J.Y.; Yang, H.M.; Kim, S.H. Influence of injectate volume on paravertebral spread in erector spinae plane block: An endoscopic and anatomical evaluation. PLoS ONE 2019, 14, e0224487. Available online: https://pubmed.ncbi.nlm.nih.gov/31658293 (accessed on 4 February 2021). [CrossRef] [PubMed]
- Vidal, E.; Giménez, H.; Forero, M.; Fajardo, M. Erector spinae plane block: A cadaver study to determine its mechanism of action. Rev. Esp. Anestesiol. Reanim. 2018, 65, 514–519. [Google Scholar] [CrossRef]
- Schwartzmann, A.; Peng, P.; Maciel, M.A.; Forero, M. Mechanism of the erector spinae plane block: Insights from a magnetic resonance imaging study. Can. J. Anaesth. 2018, 65, 1165–1166. [Google Scholar] [CrossRef]
- Krishna, S.N.; Chauhan, S.; Bhoi, D.; Kaushal, B.; Hasija, S.; Sangdup, T.; Bisoi, A.K. Bilateral Erector Spinae Plane Block for Acute Post-Surgical Pain in Adult Cardiac Surgical Patients: A Randomized Controlled Trial. J. Cardiothorac. Vasc. Anesth. 2019, 33, 368–375. [Google Scholar] [CrossRef]
- Nagaraja, P.S.; Ragavendran, S.; Singh, N.G.; Asai, O.; Bhavya, G.; Manjunath, N.; Rajesh, K. Comparison of continuous thoracic epidural analgesia with bilateral erector spinae plane block for perioperative pain management in cardiac surgery. Ann. Card. Anaesth. 2018, 21, 323–327. [Google Scholar]
- Bousquet, P.; Labaste, F.; Gobin, J.; Marcheix, B.; Minville, V. Bilateral Parasternal Block and Bilateral Erector Spinae Plane Block Reduce Opioid Consumption in During Cardiac Surgery. J. Cardiothorac. Vasc. Anesth. 2021. [Google Scholar] [CrossRef]
- Taketa, Y.; Irisawa, Y.; Fujitani, T. Ultrasound-guided erector spinae plane block elicits sensory loss around the lateral, but not the parasternal, portion of the thorax. J. Clin. Anesth. 2018, 47, 84–85. [Google Scholar] [CrossRef] [PubMed]
- Tulgar, S.; Selvi, O.; Ozer, Z. Clinical experience of ultrasound-guided single and bi-level erector spinae plane block for postoperative analgesia in patients undergoing thoracotomy. J. Clin. Anesth. 2018, 50, 22–23. [Google Scholar] [CrossRef] [PubMed]
- Blanco, R.; Parras, T.; McDonnell, J.G.; Prats-Galino, A. Serratus plane block: A novel ultrasound-guided thoracic wall nerve block. Anaesthesia 2013, 68, 1107–1113. [Google Scholar] [CrossRef] [PubMed]
- Blanco, R. The “pecs block”: A novel technique for providing analgesia after breast surgery. Anaesthesia 2011, 66, 847–848. [Google Scholar] [CrossRef]
- Blanco, R.; Fajardo, M.; Parras Maldonado, T. Ultrasound description of Pecs II (modified Pecs I): A novel approach to breast surgery. Rev. Esp. Anestesiol. Reanim. 2012, 59, 470–475. [Google Scholar] [CrossRef]
- Kumar, K.N.; Kalyane, R.N.; Singh, N.G.; Nagaraja, P.S.; Krishna, M.; Babu, B.; Varadaraju, R.; Sathish, N.; Manjunatha, N. Efficacy of bilateral pectoralis nerve block for ultrafast tracking and postoperative pain management in cardiac surgery. Ann. Card. Anaesth. 2018, 21, 333–338. [Google Scholar]
- Berthoud, V.; Ellouze, O.; Nguyen, M.; Konstantinou, M.; Aho, S.; Malapert, G.; Girard, C.; Guinot, P.G.; Bouchot, O.; Bouhemad, B. Serratus anterior plane block for minimal invasive heart surgery. BMC Anesthesiol. 2018, 18, 144. [Google Scholar] [CrossRef]
- Toscano, A.; Capuano, P.; Costamagna, A.; Burzio, C.; Ellena, M.; Scala, V.; Pasero, D.; Rinaldi, M.; Brazzi, L. The Serratus Anterior Plane Study: Continuous Deep Serratus Anterior Plane Block for Mitral Valve Surgery Performed in Right Minithoracotomy. J. Cardiothorac. Vasc. Anesth. 2020, 34, 2975–2982. [Google Scholar] [CrossRef] [PubMed]
- Gautam, S.; Pande, S.; Agarwal, A.; Agarwal, S.K.; Rastogi, A.; Shamshery, C.; Singh, A. Evaluation of Serratus Anterior Plane Block for Pain Relief in Patients Undergoing MIDCAB Surgery. Innovations 2020, 15, 148–154. [Google Scholar] [CrossRef]
- Moll, V.; Maffeo, C.; Mitchell, M.; Ward, C.T.; Groff, R.F.; Lee, S.C.; Halkos, M.E.; Jabaley, C.S.; O’Reilly-Shah, V.N. Association of Serratus Anterior Plane Block for Minimally Invasive Direct Coronary Artery Bypass Surgery With Higher Opioid Consumption: A Retrospective Observational Study. J. Cardiothorac. Vasc. Anesth. 2018, 32, 2570–2577. [Google Scholar] [CrossRef]
- Kaushal, B.; Chauhan, S.; Saini, K.; Bhoi, D.; Bisoi, A.K.; Sangdup, T.; Khan, M.A. Comparison of the Efficacy of Ultrasound-Guided Serratus Anterior Plane Block, Pectoral Nerves II Block, and Intercostal Nerve Block for the Management of Postoperative Thoracotomy Pain After Pediatric Cardiac Surgery. J. Cardiothorac. Vasc. Anesth. 2019, 33, 418–425. [Google Scholar] [CrossRef]
- Pérez, M.F.; Duany, O.; de la Torre, P.A. Redefining PECS Blocks for Postmastectomy Analgesia. Reg. Anesth. Pain Med. 2015, 40, 729–730. [Google Scholar] [CrossRef] [PubMed]
- Ueshima, H.; Otake, H. Addition of transversus thoracic muscle plane block to pectoral nerves block provides more effective perioperative pain relief than pectoral nerves block alone for breast cancer surgery. BJA Br. J. Anaesth. 2017, 118, 439–443. [Google Scholar] [CrossRef]
- De la Torre, P.A.; García, P.D.; Alvarez, S.L.; Miguel, F.J.G.; Pérez, M.F. A novel ultrasound-guided block: A promising alternative for breast analgesia. Aesthetic. Surg. J. 2014, 34, 198–200. [Google Scholar] [CrossRef]
- Ueshima, H.; Kitamura, A. Blocking of Multiple Anterior Branches of Intercostal Nerves (Th2-6) Using a Transversus Thoracic Muscle Plane Block. Reg. Anesth. Pain Med. 2015, 40, 388. [Google Scholar] [CrossRef] [PubMed]
- Scimia, P.; Fusco, P.; Tedesco, M.; Sepolvere, G. Bilateral ultrasound-guided parasternal block for postoperative analgesia in cardiac surgery: Could it be the safest strategy? Reg. Anesth. Pain Med. 2020. Available online: http://rapm.bmj.com/content/early/2020/01/19/rapm-2019-100872.abstract (accessed on 20 January 2021). [CrossRef]
- Del Buono, R.; Costa, F.; Agrò, F.E. Parasternal, Pecto-intercostal, Pecs, and Transverse Thoracic Muscle Plane Blocks: A Rose by Any Other Name Would Smell as Sweet. Reg. Anesth. Pain Med. 2016, 41, 791–792. Available online: http://rapm.bmj.com/content/41/6/791.abstract (accessed on 1 November 2020). [CrossRef]
- Murata, H.; Hida, K.; Hara, T. Transverse Thoracic Muscle Plane Block: Tricks and Tips to Accomplish the Block. Reg. Anesth. Pain Med. 2016, 41, 411–412. Available online: http://rapm.bmj.com/content/41/3/411.2.abstract (accessed on 1 November 2020). [CrossRef] [PubMed]
- Kumar, A.K.; Chauhan, S.; Bhoi, D.; Kaushal, B. Pectointercostal Fascial Block (PIFB) as a Novel Technique for Postoperative Pain Management in Patients Undergoing Cardiac Surgery. J. Cardiothorac. Vasc. Anesth. 2021, 35, 116–122. [Google Scholar] [CrossRef] [PubMed]
- Khera, T.; Murugappan, K.R.; Leibowitz, A.; Bareli, N.; Shankar, P.; Gilleland, S.; Wilson, K.; Oren-Grinberg, A.; Novack, V.; Venkatachalam, S.; et al. Ultrasound-Guided Pecto-Intercostal Fascial Block for Postoperative Pain Management in Cardiac Surgery: A Prospective, Randomized, Placebo-Controlled Trial. J. Cardiothorac. Vasc. Anesth. 2021, 35, 896–903. [Google Scholar] [CrossRef]
- Jones, J.; Murin, P.J.; Tsui, J.H. Combined Pectoral-Intercostal Fascial Plane and Rectus Sheath Blocks for Opioid-Sparing Pain Control After Extended Sternotomy for Traumatic Nail Gun Injury. J. Cardiothorac. Vasc. Anesth. 2021. [Google Scholar] [CrossRef]
- Aydin, M.E.; Ahiskalioglu, A.; Ates, I.; Tor, I.H.; Borulu, F.; Erguney, O.D.; Celik, M.; Dogan, N. Efficacy of Ultrasound-Guided Transversus Thoracic Muscle Plane Block on Postoperative Opioid Consumption After Cardiac Surgery: A Prospective, Randomized, Double-Blind Study. J. Cardiothorac. Vasc. Anesth. 2020, 34, 2996–3003. [Google Scholar] [CrossRef] [PubMed]
- Abdelbaser, I.I.; Mageed, N.A. Analgesic efficacy of ultrasound guided bilateral transversus thoracis muscle plane block in pediatric cardiac surgery: A randomized, double-blind, controlled study. J. Clin. Anesth. 2020, 67, 110002. [Google Scholar] [CrossRef]
- Zhang, Y.; Chen, S.; Gong, H.; Zhan, B. Efficacy of Bilateral Transversus Thoracis Muscle Plane Block in Pediatric Patients Undergoing Open Cardiac Surgery. J. Cardiothorac. Vasc. Anesth. 2020, 34, 2430–2434. [Google Scholar] [CrossRef] [PubMed]
- Yamamoto, T.; Seino, Y.; Matsuda, K.; Imai, H.; Bamba, K.; Sugimoto, A.; Shiraishi, S.; Schindler, E. Preoperative Implementation of Transverse Thoracic Muscle Plane Block and Rectus Sheath Block Combination for Pediatric Cardiac Surgery. J. cardioThorac. Vasc. Anesth. 2020, 34, 3367–3372. Available online: https://www.sciencedirect.com/science/article/pii/S1053077020307126 (accessed on 1 November 2020). [CrossRef]
- Ho, A.H.; Karmakar, M.K.; Ng, S.K.; Wan, S.; Ng, C.S.H.; Wong, R.H.L.; Chan, S.K.C.; Joynt, G.M. Local anaesthetic toxicity after bilateral thoracic paravertebral block in patients undergoing coronary artery bypass surgery. Anaesth. Intensive Care 2016, 44, 615–619. [Google Scholar] [CrossRef]
- Lockwood, G.G.; Cabreros, L.; Banach, D.; Punjabi, P.P. Continuous bilateral thoracic paravertebral blockade for analgesia after cardiac surgery: A randomised, controlled trial. Perfusion 2017, 32, 591–597. [Google Scholar] [CrossRef]
- Chin, K.J. Thoracic wall blocks: From paravertebral to retrolaminar to serratus to erector spinae and back again—A review of evidence. Best Pract. Res. Clin. Anaesthesiol. 2019, 33, 67–77. [Google Scholar] [CrossRef] [PubMed]
- Fang, B.; Wang, Z.; Huang, X. Ultrasound-guided preoperative single-dose erector spinae plane block provides comparable analgesia to thoracic paravertebral block following thoracotomy: A single center randomized controlled double-blind study. Ann. Transl. Med. 2019, 7, 174. [Google Scholar] [CrossRef]
- Chin, K.J.; El-Boghdadly, K. Mechanisms of action of the erector spinae plane (ESP) block: A narrative review. Can. J. Anesth. Can. D’anesthésie 2021. [Google Scholar] [CrossRef] [PubMed]
- De Cassai, A.; Ieppariello, G.; Ori, C. Erector spinae plane block and dual antiplatelet therapy. Minerva. Anestesiol. 2018, 84, 1230–1231. [Google Scholar] [CrossRef]
- Gao, Z.; Xiao, Y.; Wang, Q.; Li, Y. Comparison of dexmedetomidine and dexamethasone as adjuvant for ropivacaine in ultrasound-guided erector spinae plane block for video-assisted thoracoscopic lobectomy surgery: A randomized, double-blind, placebo-controlled trial. Ann. Transl. Med. 2019, 7, 668. [Google Scholar] [CrossRef] [PubMed]
- Josh Luftig, P.A.; Mantuani, D.; Herring, A.A.; Dixon, B.; Clattenburg, E.; Nagdev, A. The authors reply to the optimal dose and volume of local anesthetic for erector spinae plane blockade for posterior rib fractures. Am. J. Emerg. Med. 2018, 36, 1103–1104. [Google Scholar] [CrossRef]






Publisher’s Note: MDPI stays neutral with regard to jurisdictional claims in published maps and institutional affiliations. |
© 2021 by the authors. Licensee MDPI, Basel, Switzerland. This article is an open access article distributed under the terms and conditions of the Creative Commons Attribution (CC BY) license (http://creativecommons.org/licenses/by/4.0/).
Share and Cite
Balan, C.; Bubenek-Turconi, S.-I.; Tomescu, D.R.; Valeanu, L. Ultrasound-Guided Regional Anesthesia–Current Strategies for Enhanced Recovery after Cardiac Surgery. Medicina 2021, 57, 312. https://doi.org/10.3390/medicina57040312
Balan C, Bubenek-Turconi S-I, Tomescu DR, Valeanu L. Ultrasound-Guided Regional Anesthesia–Current Strategies for Enhanced Recovery after Cardiac Surgery. Medicina. 2021; 57(4):312. https://doi.org/10.3390/medicina57040312
Chicago/Turabian StyleBalan, Cosmin, Serban-Ion Bubenek-Turconi, Dana Rodica Tomescu, and Liana Valeanu. 2021. "Ultrasound-Guided Regional Anesthesia–Current Strategies for Enhanced Recovery after Cardiac Surgery" Medicina 57, no. 4: 312. https://doi.org/10.3390/medicina57040312
APA StyleBalan, C., Bubenek-Turconi, S.-I., Tomescu, D. R., & Valeanu, L. (2021). Ultrasound-Guided Regional Anesthesia–Current Strategies for Enhanced Recovery after Cardiac Surgery. Medicina, 57(4), 312. https://doi.org/10.3390/medicina57040312

