Imaging of Bladder Cancer: Standard Applications and Future Trends
Abstract
1. Introduction
2. Imaging Considerations of Urinary Bladder Cancer
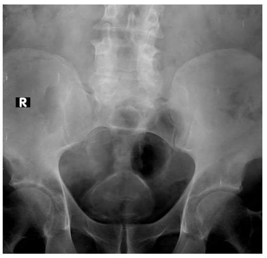
2.1. Plain X-ray
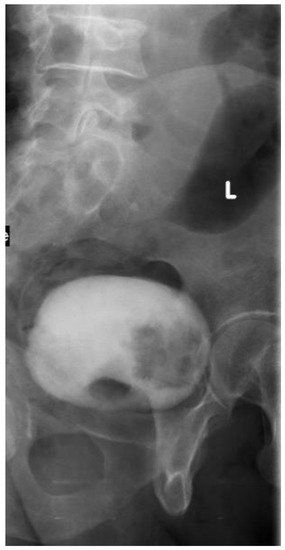
2.2. Intravenous Urography “IVU”
2.3. Ultrasonography
2.3.1. Conventional Ultrasonography
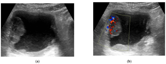
2.3.2. Color Flow Doppler Ultrasonography
2.3.3. Contrast-Enhanced Sonography
2.3.4. Three-Dimensional US
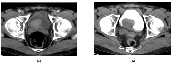
2.4. CT Urography
- T0:
- no evidence of tumor.
- Ta:
- noninvasive papillary carcinoma.
- Tis:
- Carcinoma in situ.
- T1:
- Tumor invades the subepithelial connective tissue (lamina propria).
- T2:
- Tumor invades the musclularis propria bladder wall
- T2a:
- Tumor invades the superficial muscle (inner half)
- T2b:
- Tumor invades the deep muscle (outer half)
- T3:
- Tumor invades the perivesical tissue
- T3a:
- Microscopic.
- T3b:
- Macroscopic. (extravesical tumor)
- T4:
- Tumor invades any of the following: prostate, uterus, vagina, pelvic wall, and abdominal wall
- T4a:
- Tumor invades the prostate, uterus, or vagina
- T4b:
- Tumor invades the pelvic or abdominal wall.
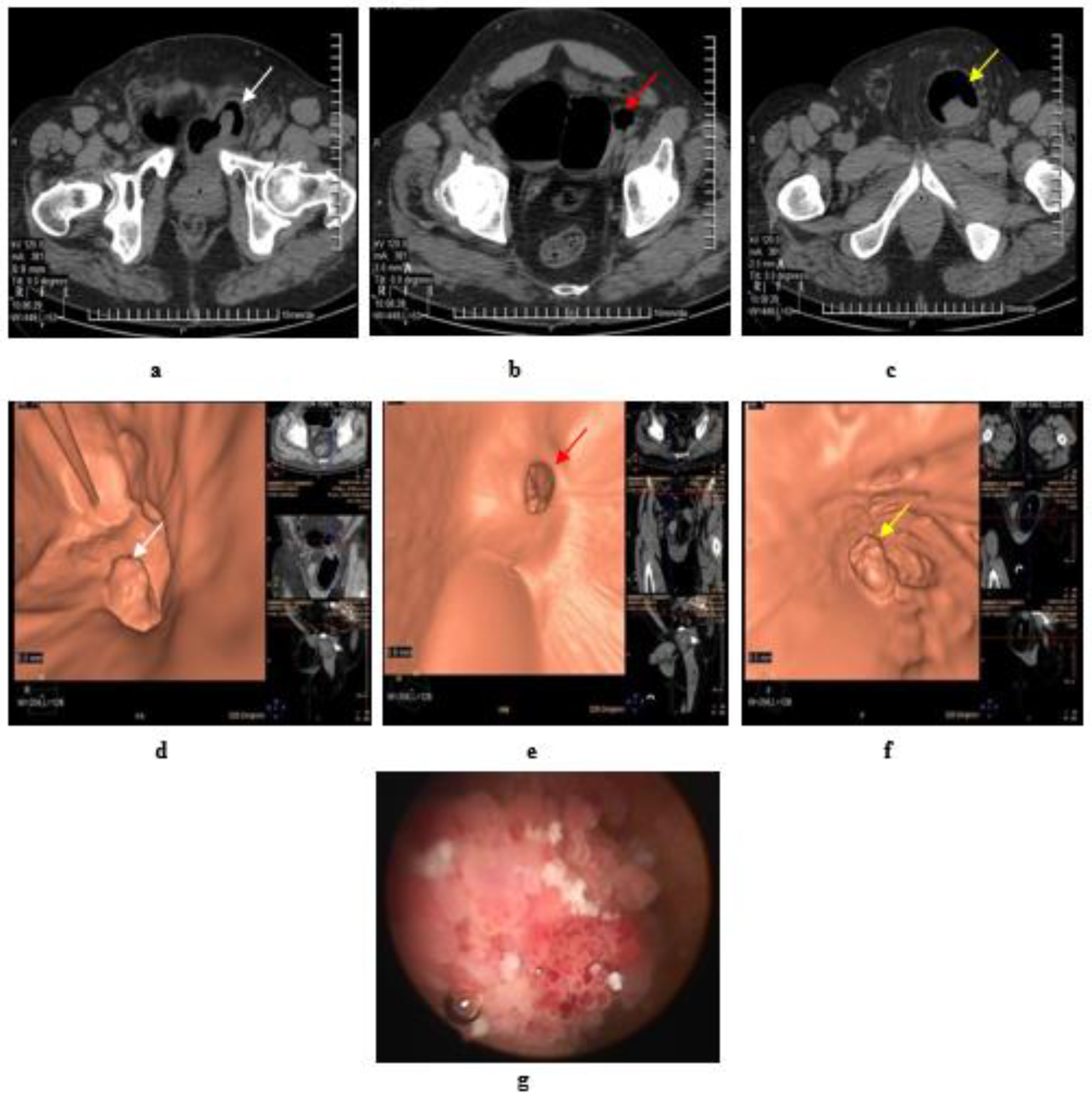
2.5. Virtual Cystoscopy (VC)
- Noncontrast CT of the pelvis subsequent to air/CO2 filling via a urethral catheter, then virtual reconstruction of images.
- Delayed phase of MDCT urography, then CT virtual cystoscopy reconstruction.
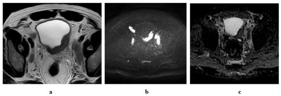
2.6. Magnetic Resonance Imaging
2.6.1. High-Resolution T2-Weighted Imaging (T2WI)
2.6.2. Diffusion-Weighted Imaging (DWI)
2.6.3. Dynamic Contrast-Enhanced (DCE) Imaging
- Stage T1: Intact muscle layer adjacent to the tumor and displays hypointense SI at high resolution T2W sequence without early enhancement on dynamic study.
- Stage T2: Interrupted hypointense line of the muscle layer with early enhancement of the tumor with no extravesical fat invasion.
- Stage T3: irregular outer boundary of the tumor with distortion of the extravesical fat with the same SI of the tumor.
- Stage T4: Tumor infiltrates the surrounding organs or pelvic walls.
2.6.4. Time-SI Curves
- Type I (ascending) curve: early tumoral enhancement, with sequential slow ascent.
- Type II (plateau) curve: early tumoral enhancement, then a plateau.
- Type III (descending) curve: early tumoral enhancement, then washout.
2.6.5. Inch Worm Sign
3. Staging of Urinary Bladder Cancer: TNM Guidelines
3.1. T-Staging
3.2. N-Staging
3.3. M-Staging
4. Intradiverticular Carcinoma
5. Ureterocele Urothelial Carcinoma
6. Mimics of Primary Urothelial Carcinoma
6.1. Neoplasms Mimicking Urothelial Carcinoma
6.1.1. Urachal Carcinoma
6.1.2. Lymphoma
6.1.3. Paraganglioma
6.1.4. Metastasis
6.2. Benign Lesions That Can Mimic Urothelial Carcinoma
6.2.1. Cystitis
6.2.2. Cystitis Glandularis
6.2.3. Endometriosis
6.2.4. Tuberculosis
7. Recurrence
8. Recent Advances and Future Directions
8.1. Multiparametric MRI
8.2. Vesical Imaging-Reporting and Data System (VI-RADS)
8.3. Positron Emission Tomography (PET)
8.4. The Use of 18F- Sodium Fluoride PET/CT and Bone Scintigraphy
8.5. Texture Analysis
8.6. Radiomics
9. Conclusions
Author Contributions
Funding
Institutional Review Board Statement
Informed Consent Statement
Data Availability Statement
Conflicts of Interest
References
- Bray, F.; Ferlay, J.; Soerjomataram, I.; Siegel, R.L.; Torre, L.A.; Jemal, A. Global cancer statistics 2018: GLOBOCAN estimates of incidence and mortality worldwide for 36 cancers in 185 countries. CA Cancer J. Clin. 2018, 68, 394–424. [Google Scholar] [CrossRef]
- Panebianco, V.; Barchetti, F.; de Haas, R.J.; Pearson, R.A.; Kennish, S.J.; Giannarini, G.; Catto, J.W.F. Improving Staging in Bladder Cancer: The Increasing Role of Multiparametric Magnetic Resonance Imaging. Eur. Urol. Focus 2016, 2, 113–121. [Google Scholar] [CrossRef]
- Chavan, S.; Bray, F.; Lortet-Tieulent, J.; Goodman, M.; Jemal, A. International variations in bladder cancer incidence and mortality. Eur. Urol. 2014, 66, 59–73. [Google Scholar] [CrossRef]
- Verma, S.; Rajesh, A.; Prasad, S.R.; Gaitonde, K.; Lall, C.G.; Mouraviev, V.; Aeron, G.; Bracken, R.B.; Sandrasegaran, K. Urinary bladder cancer: Role of MR imaging. Radiographics 2012, 32, 371–387. [Google Scholar] [CrossRef]
- Josephson, D.; Pasin, E.; Stein, J.P. Superficial bladder cancer: Part 2. Management. Expert Rev. Anticancer Ther. 2007, 7, 567–581. [Google Scholar] [CrossRef]
- Sherif, A.; Jonsson, M.N.; Wiklund, N.P. Treatment of muscle-invasive bladder cancer. Expert Rev. Anticancer Ther. 2007, 7, 1279–1283. [Google Scholar] [CrossRef]
- Spiess, P.E.; Agarwal, N.; Bangs, R.; Boorjian, S.A.; Buyyounouski, M.K.; Clark, P.E.; Downs, T.M.; Efstathiou, J.A.; Flaig, T.W.; Friedlander, T.; et al. Bladder Cancer, Version 5.2017, NCCN Clinical Practice Guidelines in Oncology. J. Natl. Compr. Cancer Netw. 2017, 15, 1240–1267. [Google Scholar] [CrossRef]
- Cassell, A.; Yunusa, B.; Jalloh, M.; Mbodji, M.M.; Diallo, A.; Ndoye, M.; Diallo, Y.; Labou, I.; Niang, L.; Gueye, S.M. Non-Muscle Invasive Bladder Cancer: A Review of the Current Trend in Africa. World J. Oncol. 2019, 10, 123–131. [Google Scholar] [CrossRef]
- Wang, H.; Guo, Y.; Zhou, X.; Yang, D. Urinary Bladder Cancer: The Current and Potential Role of MR Imaging in Non-Distant Metastatic Lesions. J. Cancer Ther. 2013, 4, 29680. [Google Scholar] [CrossRef][Green Version]
- Barentsz, J.; Wagner, B.; Abouh-Bieh, E. Imaging of the Male Pelvis. In Diseases of The Abdomen and Pelvis; Springer: Berlin/Heidelberg, Germany, 2006; pp. 153–173. [Google Scholar]
- Muttarak, M.; ChiangMai, W.N.; Lojanapiwat, B. Tuberculosis of the genitourinary tract: Imaging features with pathological correlation. Singapore Med. J. 2005, 46, 568–574. [Google Scholar]
- Pollack, H.M.; Banner, M.P.; Martinez, L.O.; Hodson, C.J. Diagnostic considerations in urinary bladder wall calcification. AJR Am. J. Roentgenol. 1981, 136, 791–797. [Google Scholar] [CrossRef]
- Rafique, M.; Javed, A.A. Role of intravenous urography and transabdominal ultrasonography in the diagnosis of bladder carcinoma. Int. Braz. J. Urol. 2004, 30, 185–190, discussion 191. [Google Scholar] [CrossRef] [PubMed]
- Katayama, H.; Yamaguchi, K.; Kozuka, T.; Takashima, T.; Seez, P.; Matsuura, K. Adverse reactions to ionic and nonionic contrast media. A report from the Japanese Committee on the Safety of Contrast Media. Radiology 1990, 175, 621–628. [Google Scholar] [CrossRef] [PubMed]
- Kirkali, Z.; Chan, T.; Manoharan, M.; Algaba, F.; Busch, C.; Cheng, L.; Kiemeney, L.; Kriegmair, M.; Montironi, R.; Murphy, W.M.; et al. Bladder cancer: Epidemiology, staging and grading, and diagnosis. Urology 2005, 66, 4–34. [Google Scholar] [CrossRef]
- Palou, J.; Rodriguez-Rubio, F.; Huguet, J.; Segarra, J.; Ribal, M.J.; Alcaraz, A.; Villavicencio, H. Multivariate analysis of clinical parameters of synchronous primary superficial bladder cancer and upper urinary tract tumor. J. Urol. 2005, 174, 859–861, discussion 861. [Google Scholar] [CrossRef] [PubMed]
- Palou, J.; Böhle, A.; Witjes, J.A.; Colombel, M.; Brausi, M.; Lamm, D.; Persad, R.; Buckley, R.; Akaza, H.; Soloway, M. Diagnosis of Non-Muscle Invasive Bladder Cancer. Eur. Urol. Suppl. 2008, 7, 627–636. [Google Scholar] [CrossRef]
- Sharma, S.; Ksheersagar, P.; Sharma, P. Diagnosis and treatment of bladder cancer. Am. Fam. Physician 2009, 80, 717–723. [Google Scholar] [PubMed]
- Zhang, J.; Gerst, S.; Lefkowitz, R.A.; Bach, A. Imaging of bladder cancer. Radiol. Clin. N. Am. 2007, 45, 183–205. [Google Scholar] [CrossRef]
- Dunnick, R.; Sandler, C.; Newhouse, J. The urinary bladder. In Textbook of Uroradiology; Lippincott Williams & Wilkins: Philadelphia, PA, USA, 2008; pp. 279–318. [Google Scholar]
- Smereczyński, A.; Szopiński, T.; Gołąbek, T.; Ostasz, O.; Bojko, S. Sonography of tumors and tumor-like lesions that mimic carcinoma of the urinary bladder. J. Ultrason. 2014, 14, 36–48. [Google Scholar]
- Caruso, G.; Salvaggio, G.; Campisi, A.; Melloni, D.; Midiri, M.; Bertolotto, M.; Lagalla, R. Bladder tumor staging: Comparison of contrast-enhanced and gray-scale ultrasound. AJR Am. J. Roentgenol. 2010, 194, 151–156. [Google Scholar] [CrossRef]
- Drudi, F.; Di Leo, N.; Malpassini, F.; Antonini, F.; Corongiu, E.; Iori, F. CEUS in the differentiation between low and high-grade bladder carcinoma. J. Ultrasound 2012, 15, 247–251. [Google Scholar] [CrossRef] [PubMed][Green Version]
- Wagner, B.; Nesslauer, T.; Bartsch, G., Jr.; Hautmann, R.E.; Gottfried, H.W. Staging bladder carcinoma by three-dimensional ultrasound rendering. Ultrasound Med. Biol. 2005, 31, 301–305. [Google Scholar] [CrossRef] [PubMed]
- Bostrom, P.J.; Van Rhijn, B.W.; Fleshner, N.; Finelli, A.; Jewett, M.; Thoms, J.; Hanna, S.; Kuk, C.; Zlotta, A.R. Staging and staging errors in bladder cancer. Eur. Urol. Suppl. 2010, 9, 2–9. [Google Scholar] [CrossRef]
- Sadow, C.A.; Silverman, S.G.; O’Leary, M.P.; Signorovitch, J.E. Bladder cancer detection with CT urography in an Academic Medical Center. Radiology 2008, 249, 195–202. [Google Scholar] [CrossRef]
- Lee, C.H.; Tan, C.H.; Faria, S.C.; Kundra, V. Role of Imaging in the Local Staging of Urothelial Carcinoma of the Bladder. AJR Am. J. Roentgenol. 2017, 208, 1193–1205. [Google Scholar] [CrossRef]
- Kim, J.K.; Park, S.-Y.; Ahn, H.J.; Kim, C.S.; Cho, K.-S. Bladder cancer: Analysis of multi–detector row helical CT enhancement pattern and accuracy in tumor detection and perivesical staging. Radiology 2004, 231, 725–731. [Google Scholar] [CrossRef]
- Kundra, V.; Silverman, P.M. Imaging in oncology from the University of Texas M. D. Anderson Cancer Center. Imaging in the diagnosis, staging, and follow-up of cancer of the urinary bladder. AJR Am. J. Roentgenol. 2003, 180, 1045–1054. [Google Scholar] [CrossRef]
- Özden, E.; Turgut, A.T.; MacLennan, G.T. Neoplasms of the Bladder. In Genitourinary Radiology: Kidney, Bladder and Urethra; Springer: Berlin/Heidelberg, Germany, 2013; pp. 297–328. [Google Scholar]
- Ng, C.S. Radiologic diagnosis and staging of renal and bladder cancer. Semin. Roentgenol. 2006, 41, 121–138. [Google Scholar] [CrossRef]
- Cornejo, K.M.; Rice-Stitt, T.; Wu, C.L. Updates in Staging and Reporting of Genitourinary Malignancies. Arch. Pathol. Lab. Med. 2020, 144, 305–319. [Google Scholar] [CrossRef]
- Pichler, R.; De Zordo, T.; Fritz, J.; Kroiss, A.; Aigner, F.; Heidegger, I.; Virgolini, I.; Horninger, W.; Uprimny, C. Pelvic Lymph Node Staging by Combined (18)F-FDG-PET/CT Imaging in Bladder Cancer Prior to Radical Cystectomy. Clin. Genitourin. Cancer 2017, 15, e387–e395. [Google Scholar] [CrossRef]
- Thoeny, H.C.; Froehlich, J.M.; Triantafyllou, M.; Huesler, J.; Bains, L.J.; Vermathen, P.; Fleischmann, A.; Studer, U.E. Metastases in normal-sized pelvic lymph nodes: Detection with diffusion-weighted MR imaging. Radiology 2014, 273, 125–135. [Google Scholar] [CrossRef]
- Browne, R.F.; Meehan, C.P.; Colville, J.; Power, R.; Torreggiani, W.C. Transitional cell carcinoma of the upper urinary tract: Spectrum of imaging findings. Radiographics 2005, 25, 1609–1627. [Google Scholar] [CrossRef] [PubMed]
- Hayashi, N.; Tochigi, H.; Shiraishi, T.; Takeda, K.; Kawamura, J. A new staging criterion for bladder carcinoma using gadolinium-enhanced magnetic resonance imaging with an endorectal surface coil: A comparison with ultrasonography. BJU Int. 2000, 85, 32–36. [Google Scholar] [CrossRef]
- Arslan, H.; Ceylan, K.; Harman, M.; Yilmaz, Y.; Temizoz, O.; Can, S. Virtual computed tomography cystoscopy in bladder pathologies. Int. Braz. J. Urol. 2006, 32, 147–154, discussion 154. [Google Scholar] [CrossRef] [PubMed]
- Kivrak, A.S.; Kiresi, D.; Emlik, D.; Odev, K.; Kilinc, M. Comparison of CT virtual cystoscopy of the contrast material-filled bladder with conventional cystoscopy in the diagnosis of bladder tumours. Clin. Radiol. 2009, 64, 30–37. [Google Scholar] [CrossRef]
- Vining, D.J.; Zagoria, R.J.; Liu, K.; Stelts, D. CT cystoscopy: An innovation in bladder imaging. AJR Am. J. Roentgenol. 1996, 166, 409–410. [Google Scholar] [CrossRef] [PubMed]
- Kocakoc, E.; Kiris, A.; Orhan, I.; Poyraz, A.K.; Artas, H.; Firdolas, F. Detection of bladder tumors with 3-dimensional sonography and virtual sonographic cystoscopy. J. Ultrasound Med. 2008, 27, 45–53. [Google Scholar] [CrossRef]
- Beer, A.; Saar, B.; Zantl, N.; Link, T.M.; Roggel, R.; Hwang, S.L.; Schwaibold, H.; Rummeny, E.J. MR cystography for bladder tumor detection. Eur. Radiol. 2004, 14, 2311–2319. [Google Scholar] [CrossRef]
- Teama, A.H.; Darweesh, A.E.-m.N.; Abol-Enin, H.A.; Abouelkheir, R.T. Role of multidetector computed tomography virtual cystoscopy in evaluation of urinary bladder carcinoma. Egypt. J. Radiol. Nucl. Med. 2014, 45, 543–554. [Google Scholar] [CrossRef][Green Version]
- Nambirajan, T.; Sohaib, S.A.; Muller-Pollard, C.; Reznek, R.; Chinegwundoh, F.I. Virtual cystoscopy from computed tomography: A pilot study. BJU Int. 2004, 94, 828–831. [Google Scholar] [CrossRef]
- Takeuchi, M.; Sasaki, S.; Naiki, T.; Kawai, N.; Kohri, K.; Hara, M.; Shibamoto, Y. MR imaging of urinary bladder cancer for T-staging: A review and a pictorial essay of diffusion-weighted imaging. J. Magn. Reson. Imaging 2013, 38, 1299–1309. [Google Scholar] [CrossRef] [PubMed]
- van der Pol, C.B.; Sahni, V.A.; Eberhardt, S.C.; Oto, A.; Akin, O.; Alexander, L.F.; Allen, B.C.; Coakley, F.V.; Froemming, A.T.; Fulgham, P.F. ACR appropriateness criteria® pretreatment staging of muscle-invasive bladder cancer. J. Am. Coll. Radiol. 2018, 15, S150–S159. [Google Scholar] [CrossRef]
- Nguyen, H.T.; Pohar, K.S.; Jia, G.; Shah, Z.K.; Mortazavi, A.; Zynger, D.L.; Wei, L.; Clark, D.; Yang, X.; Knopp, M.V. Improving Bladder Cancer Imaging Using 3T Functional Dynamic Contrast-Enhanced MRI. Investig. Radiol. 2014, 49, 390. [Google Scholar] [CrossRef] [PubMed]
- Malayeri, A.A.; Pattanayak, P.; Apolo, A.B. Imaging muscle-invasive and metastatic urothelial carcinoma. Curr. Opin. Urol. 2015, 25, 441–448. [Google Scholar] [CrossRef] [PubMed]
- de Haas, R.J.; Steyvers, M.J.; Futterer, J.J. Multiparametric MRI of the bladder: Ready for clinical routine? AJR Am. J. Roentgenol. 2014, 202, 1187–1195. [Google Scholar] [CrossRef] [PubMed]
- Sevcenco, S.; Ponhold, L.; Heinz-Peer, G.; Fajkovic, H.; Haitel, A.; Susani, M.; Shariat, S.F.; Szarvas, T.; Baltzer, P.A. Prospective evaluation of diffusion-weighted MRI of the bladder as a biomarker for prediction of bladder cancer aggressiveness. In Urologic Oncology: Seminars and Original Investigations; Elsevier: Amsterdam, The Netherlands, 2014; pp. 1166–1171. [Google Scholar]
- Barsoum, N.; Talaat, M.; Saraya, S. Can diffusion-weighted MRI predict the histological grade of urinary bladder carcinoma? Kasr Al Ainy Med. J. 2017, 23, 86. [Google Scholar]
- Takeuchi, M.; Sasaki, S.; Ito, M.; Okada, S.; Takahashi, S.; Kawai, T.; Suzuki, K.; Oshima, H.; Hara, M.; Shibamoto, Y. Urinary bladder cancer: Diffusion-weighted MR imaging—Accuracy for diagnosing T stage and estimating histologic grade. Radiology 2009, 251, 112–121. [Google Scholar] [CrossRef]
- Wang, H.J.; Pui, M.H.; Guo, Y.; Li, S.R.; Liu, M.J.; Guan, J.; Zhang, X.L.; Feng, Y. Value of normalized apparent diffusion coefficient for estimating histological grade of vesical urothelial carcinoma. Clin. Radiol. 2014, 69, 727–731. [Google Scholar] [CrossRef] [PubMed]
- Rabie, E.; Faeghi, F.; Izadpanahi, M.H.; Dayani, M.A. Role of Dynamic Contrast-Enhanced Magnetic Resonance Imaging in Staging of Bladder Cancer. J. Clin. Diagn Res. 2016, 10, TC01–TC05. [Google Scholar] [CrossRef]
- Gupta, N.; Sureka, B.; Kumar, M.M.; Malik, A.; Bhushan, T.B.; Mohanty, N.K. Comparison of dynamic contrast-enhanced and diffusion weighted magnetic resonance image in staging and grading of carcinoma bladder with histopathological correlation. Urol. Ann. 2015, 7, 199–204. [Google Scholar] [CrossRef]
- Tekes, A.; Kamel, I.; Imam, K.; Szarf, G.; Schoenberg, M.; Nasir, K.; Thompson, R.; Bluemke, D. Dynamic MRI of bladder cancer: Evaluation of staging accuracy. AJR Am. J. Roentgenol. 2005, 184, 121–127. [Google Scholar] [CrossRef]
- Hassanien, O.A.; Abouelkheir, R.T.; Abou El-Ghar, M.I.; Badawy, M.E.; El Gamal, S.A.-H.; El-Hamid, M.A. Dynamic contrast-enhanced magnetic resonance imaging as a diagnostic tool in the assessment of tumour angiogenesis in urinary bladder cancer. Can. Assoc. Radiol. J. 2019, 70, 254–263. [Google Scholar] [CrossRef] [PubMed]
- Cheng, L.; Li, X. Breast magnetic resonance imaging: Kinetic curve assessment. Gland Surg. 2013, 2, 50–53. [Google Scholar] [CrossRef] [PubMed]
- Turkbey, B.; Kobayashi, H.; Ogawa, M.; Bernardo, M.; Choyke, P.L. Imaging of tumor angiogenesis: Functional or targeted? AJR Am. J. Roentgenol. 2009, 193, 304–313. [Google Scholar] [CrossRef]
- Gehani, K.; Al-Kikhia, L.; Mansuri, N.; Syrjanen, K.; Al-Fituri, O.; Elzagheid, A. Angiogenesis in urinary bladder carcinoma as defined by microvessel density (MVD) after immunohistochemical staining for Factor VIII and CD31. Libyan J. Med. 2011, 6. [Google Scholar] [CrossRef]
- Rose, T.L.; Lotan, Y. Advancements in optical techniques and imaging in the diagnosis and management of bladder cancer. In Urologic Oncology: Seminars and Original Investigations; Elsevier: Amsterdam, The Netherlands, 2018; pp. 97–102. [Google Scholar]
- Tuncbilek, N.; Kaplan, M.; Altaner, S.; Atakan, I.H.; Sut, N.; Inci, O.; Demir, M.K. Value of dynamic contrast-enhanced MRI and correlation with tumor angiogenesis in bladder cancer. AJR Am. J. Roentgenol. 2009, 192, 949–955. [Google Scholar] [CrossRef] [PubMed]
- Kobayashi, S.; Koga, F.; Yoshida, S.; Masuda, H.; Ishii, C.; Tanaka, H.; Komai, Y.; Yokoyama, M.; Saito, K.; Fujii, Y. Diagnostic performance of diffusion-weighted magnetic resonance imaging in bladder cancer: Potential utility of apparent diffusion coefficient values as a biomarker to predict clinical aggressiveness. Eur. Radiol. 2011, 21, 2178. [Google Scholar] [CrossRef] [PubMed]
- Ohgiya, Y.; Suyama, J.; Sai, S.; Kawahara, M.; Takeyama, N.; Ohike, N.; Sasamori, H.; Munechika, J.; Saiki, M.; Onoda, Y. Preoperative T staging of urinary bladder cancer: Efficacy of stalk detection and diagnostic performance of diffusion-weighted imaging at 3T. Magn. Reson. Med. Sci. 2014, 13, 2013–2104. [Google Scholar] [CrossRef] [PubMed]
- Wang, H.J.; Pui, M.H.; Guo, Y.; Yang, D.; Pan, B.T.; Zhou, X.H. Diffusion-weighted MRI in bladder carcinoma: The differentiation between tumor recurrence and benign changes after resection. Abdom. Imaging 2014, 39, 135–141. [Google Scholar] [CrossRef]
- Nguyen, H.T.; Mortazavi, A.; Pohar, K.S.; Zynger, D.L.; Wei, L.; Shah, Z.K.; Jia, G.; Knopp, M.V. Quantitative Assessment of Heterogeneity in Bladder Tumor MRI Diffusivity: Can Response be Predicted Prior to Neoadjuvant Chemotherapy? Bladder Cancer 2017, 3, 237–244. [Google Scholar] [CrossRef] [PubMed]
- El-Assmy, A.; Abou-El-Ghar, M.E.; Refaie, H.F.; Mosbah, A.; El-Diasty, T. Diffusion-weighted magnetic resonance imaging in follow-up of superficial urinary bladder carcinoma after transurethral resection: Initial experience. BJU Int. 2012, 110, E622–E627. [Google Scholar] [CrossRef]
- Wang, H.J.; Pui, M.H.; Guan, J.; Li, S.R.; Lin, J.H.; Pan, B.; Guo, Y. Comparison of Early Submucosal Enhancement and Tumor Stalk in Staging Bladder Urothelial Carcinoma. AJR Am. J. Roentgenol. 2016, 207, 797–803. [Google Scholar] [CrossRef] [PubMed]
- Babjuk, M.; Bohle, A.; Burger, M.; Capoun, O.; Cohen, D.; Comperat, E.M.; Hernandez, V.; Kaasinen, E.; Palou, J.; Roupret, M.; et al. EAU Guidelines on Non-Muscle-invasive Urothelial Carcinoma of the Bladder: Update 2016. Eur. Urol. 2017, 71, 447–461. [Google Scholar] [CrossRef] [PubMed]
- Zlotta, A.R. Limited, extended, superextended, megaextended pelvic lymph node dissection at the time of radical cystectomy: What should we perform? Eur. Urol. 2012, 61, 243. [Google Scholar] [CrossRef] [PubMed]
- Studer, U.E.; Scherz, S.; Scheidegger, J.; Kraft, R.; Sonntag, R.; Ackermann, D.; Zingg, E.J. Enlargement of regional lymph nodes in renal cell carcinoma is often not due to metastases. J. Urol. 1990, 144, 243–245. [Google Scholar] [CrossRef]
- Akduman, E.I.; Momtahen, A.J.; Balci, N.C.; Mahajann, N.; Havlioglu, N.; Wolverson, M.K. Comparison between malignant and benign abdominal lymph nodes on diffusion-weighted imaging. Acad. Radiol. 2008, 15, 641–646. [Google Scholar] [CrossRef] [PubMed]
- Knap, M.M.; Lundbeck, F.; Overgaard, J. Prognostic factors, pattern of recurrence and survival in a Danish bladder cancer cohort treated with radical cystectomy. Acta Oncol. 2003, 42, 160–168. [Google Scholar] [CrossRef]
- Witjes, J.A.; Lebret, T.; Compérat, E.M.; Cowan, N.C.; De Santis, M.; Bruins, H.M.; Hernandez, V.; Espinós, E.L.; Dunn, J.; Rouanne, M. Updated 2016 EAU guidelines on muscle-invasive and metastatic bladder cancer. Eur. Urol. 2017, 71, 462–475. [Google Scholar] [CrossRef]
- Schmidt, G.P.; Reiser, M.F.; Baur-Melnyk, A. Whole-body imaging of the musculoskeletal system: The value of MR imaging. Skeletal Radiol. 2007, 36, 1109–1119. [Google Scholar] [CrossRef]
- Padhani, A.R.; Koh, D.M.; Collins, D.J. Whole-body diffusion-weighted MR imaging in cancer: Current status and research directions. Radiology 2011, 261, 700–718. [Google Scholar] [CrossRef]
- Razik, A.; Das, C.J.; Sharma, S. PET-CT and PET-MR in urological cancers other than prostate cancer: An update on state of the art. Indian J. Urol. IJU J. Urol. Soc. India 2018, 34, 20. [Google Scholar]
- Melekos, M.D.; Asbach, H.W.; Barbalias, G.A. Vesical diverticula: Etiology, diagnosis, tumorigenesis, and treatment. Analysis of 74 cases. Urology 1987, 30, 453–457. [Google Scholar] [CrossRef]
- Haecker, A.; Riedasch, G.; Langbein, S.; Alken, P.; Michel, M.S. Diverticular carcinoma of the urinary bladder: Diagnosis and treatment problems. A case report. Med. Princ. Pract. 2005, 14, 121–124. [Google Scholar] [CrossRef]
- Matta, E.J.; Kenney, A.J.; Barre, G.M.; Vanlangendonck, R.M., Jr. Best cases from the AFIP: Intradiverticular bladder carcinoma. Radiographics 2005, 25, 1397–1403. [Google Scholar] [CrossRef]
- Carlos, A.J.; Milagros, A.-L.; Silva, E.; Alvarez, V.; Piccone, F.; Cruz, E.; Redorta, J.P. Ureterocele urothelial carcinoma: Managing a rare presentation. Ecancermedicalscience 2016, 10, 621. [Google Scholar]
- Andrew, W.; Thomas, R.; Aitken, F. Simple ureteroceles--ultrasonographic recognition and diagnosis of complications. S. Afr. Med. J. 1985, 67, 20–22. [Google Scholar]
- Yu, J.S.; Kim, K.W.; Lee, H.J.; Lee, Y.J.; Yoon, C.S.; Kim, M.J. Urachal remnant diseases: Spectrum of CT and US findings. Radiographics 2001, 21, 451–461. [Google Scholar] [CrossRef]
- Koster, I.M.; Cleyndert, P.; Giard, R.W. Best cases from the AFIP: Urachal carcinoma. Radiographics 2009, 29, 939–942. [Google Scholar] [CrossRef]
- Wong-You–Cheong, J.J.; Woodward, P.J.; Manning, M.A.; Sesterhenn, I.A. Neoplasms of the urinary bladder: Radiologic-pathologic correlation. Radiographics 2006, 26, 553–580. [Google Scholar] [CrossRef]
- Wong-You–Cheong, J.J.; Woodward, P.J.; Manning, M.A.; Davis, C.J. Inflammatory and nonneoplastic bladder masses: Radiologic-pathologic correlation. Radiographics 2006, 26, 1847–1868. [Google Scholar] [CrossRef]
- Venyo, A.K. Lymphoma of the urinary bladder. Adv. Urol. 2014, 2014, 327917. [Google Scholar] [CrossRef]
- Wentland, A.L.; Desser, T.S.; Troxell, M.L.; Kamaya, A. Bladder cancer and its mimics: A sonographic pictorial review with CT/MR and histologic correlation. Abdom. Radiol. (N. Y.) 2019, 44, 3827–3842. [Google Scholar] [CrossRef]
- Bosserman, A.J.; Dai, D.; Lu, Y. Imaging Characteristics of a Bladder Wall Paraganglioma. Clin. Nucl. Med. 2019, 44, 66–67. [Google Scholar] [CrossRef]
- Li, G.; Cai, B.; Song, H.; Yang, Z. Clinical and radiological character of eosinophilic cystitis. Int. J. Clin. Exp. Med. 2015, 8, 533–539. [Google Scholar] [PubMed]
- Semins, M.J.; Schoenberg, M.P. A case of florid cystitis glandularis. Nat. Clin. Pract. Urol. 2007, 4, 341–345. [Google Scholar] [CrossRef]
- Kim, S.H.; Kim, N.R. Polypoid and papillary cystitis mimicking a large transitional carcinoma in a patient without a history of catheterization: Computed tomography and magnetic resonance findings. J. Comput. Assist. Tomogr. 2004, 28, 485–487. [Google Scholar] [CrossRef] [PubMed]
- Maccagnano, C.; Pellucchi, F.; Rocchini, L.; Ghezzi, M.; Scattoni, V.; Montorsi, F.; Rigatti, P.; Colombo, R. Diagnosis and treatment of bladder endometriosis: State of the art. Urol. Int. 2012, 89, 249–258. [Google Scholar] [CrossRef]
- Beaty, S.D.; Silva, A.C.; De Petris, G. Bladder Endometriosis: Ultrasound and MRI Findings. Radiol. Case Rep. 2006, 1, 92–95. [Google Scholar] [CrossRef] [PubMed]
- Aswathaman, K.; Devasia, A. Thimble bladder. ANZ J. Surg. 2008, 78, 1049. [Google Scholar] [CrossRef] [PubMed]
- Herawi, M.; Leppert, J.T.; Thomas, G.V.; De Kernion, J.B.; Epstein, J.I. Implants of noninvasive papillary urothelial carcinoma in peritoneum and ileocolonic neobladder: Support for “seed and soil” hypothesis of bladder recurrence. Urology 2006, 67, 746–750. [Google Scholar] [CrossRef]
- Cherbanyk, F.; Prod’homme, M.; Pezzetta, E.; Chevaux, B.; Anaye, A.; Boillat, J.J. Urothelial Carcinoma Recurrence in an Ileal Neobladder Nine Years after Primary Surgery with Muir-Torre Syndrome. Case Rep. Urol. 2016, 2016, 4762514. [Google Scholar] [CrossRef] [PubMed]
- Mirmomen, S.M.; Shinagare, A.B.; Williams, K.E.; Silverman, S.G.; Malayeri, A.A. Preoperative imaging for locoregional staging of bladder cancer. Abdom. Radiol. 2019, 44, 3843–3857. [Google Scholar] [CrossRef]
- Xu, X.; Zhang, X.; Tian, Q.; Zhang, G.; Liu, Y.; Cui, G.; Meng, J.; Wu, Y.; Liu, T.; Yang, Z. Three-dimensional texture features from intensity and high-order derivative maps for the discrimination between bladder tumors and wall tissues via MRI. Int. J. Comput. Assist. Radiol. Surg. 2017, 12, 645–656. [Google Scholar] [CrossRef] [PubMed]
- Zhang, X.; Xu, X.; Tian, Q.; Li, B.; Wu, Y.; Yang, Z.; Liang, Z.; Liu, Y.; Cui, G.; Lu, H. Radiomics assessment of bladder cancer grade using texture features from diffusion-weighted imaging. J. Magn. Reson. Imaging 2017, 46, 1281–1288. [Google Scholar] [CrossRef]
- Panebianco, V.; Narumi, Y.; Altun, E.; Bochner, B.H.; Efstathiou, J.A.; Hafeez, S.; Huddart, R.; Kennish, S.; Lerner, S.; Montironi, R.; et al. Multiparametric Magnetic Resonance Imaging for Bladder Cancer: Development of VI-RADS (Vesical Imaging-Reporting And Data System). Eur. Urol. 2018, 74, 294–306. [Google Scholar] [CrossRef]
- Ahn, H.; Hwang, S.I.; Lee, H.J.; Choe, G.; Oh, J.J.; Jeong, S.J.; Byun, S.-S.; Kim, J.K. Quantitation of bladder cancer for the prediction of muscle layer invasion as a complement to the vesical imaging-reporting and data system. Eur. Radiol. 2021, 31, 1656–1666. [Google Scholar] [CrossRef] [PubMed]
- Luo, C.; Huang, B.; Wu, Y.; Chen, J.; Chen, L. Use of Vesical Imaging-Reporting and Data System (VI-RADS) for detecting the muscle invasion of bladder cancer: A diagnostic meta-analysis. Eur. Radiol. 2020, 30, 4606–4614. [Google Scholar] [CrossRef]
- Powles, T.; Murray, I.; Brock, C.; Oliver, T.; Avril, N. Molecular positron emission tomography and PET/CT imaging in urological malignancies. Eur. Urol. 2007, 51, 1511–1520, discussion 1520–1511. [Google Scholar] [CrossRef]
- Hautmann, R.E.; de Petriconi, R.C.; Pfeiffer, C.; Volkmer, B.G. Radical cystectomy for urothelial carcinoma of the bladder without neoadjuvant or adjuvant therapy: Long-term results in 1100 patients. Eur. Urol. 2012, 61, 1039–1047. [Google Scholar] [CrossRef]
- Soubra, A.; Gencturk, M.; Froelich, J.; Balaji, P.; Gupta, S.; Jha, G.; Konety, B.R. FDG-PET/CT for Assessing the Response to Neoadjuvant Chemotherapy in Bladder Cancer Patients. Clin. Genitourin. Cancer 2018, 16, 360–364. [Google Scholar] [CrossRef]
- Jadvar, H.; Desai, B.; Conti, P.S. Sodium 18F-fluoride PET/CT of bone, joint, and other disorders. Semin. Nucl. Med. 2015, 45, 58–65. [Google Scholar]
- Mick, C.G.; James, T.; Hill, J.D.; Williams, P.; Perry, M. Molecular imaging in oncology: 18F-sodium fluoride PET imaging of osseous metastatic disease. Am. J. Roentgenol. 2014, 203, 263–271. [Google Scholar] [CrossRef]
- McInnes, M.D.; Siemens, D.R.; Mackillop, W.J.; Peng, Y.; Wei, S.; Schieda, N.; Booth, C.M. Utilisation of preoperative imaging for muscle-invasive bladder cancer: A population-based study. BJU Int. 2016, 117, 430–438. [Google Scholar] [CrossRef] [PubMed]
- Lubner, M.G.; Smith, A.D.; Sandrasegaran, K.; Sahani, D.V.; Pickhardt, P.J. CT Texture Analysis: Definitions, Applications, Biologic Correlates, and Challenges. Radiographics 2017, 37, 1483–1503. [Google Scholar] [CrossRef]
- Rozenberg, R.; Thornhill, R.E.; Flood, T.A.; Hakim, S.W.; Lim, C.; Schieda, N. Whole-tumor quantitative apparent diffusion coefficient histogram and texture analysis to predict Gleason score upgrading in intermediate-risk 3+ 4= 7 prostate cancer. Am. J. Roentgenol. 2016, 206, 775–782. [Google Scholar] [CrossRef]
- Sun, H.; Shi, B.; Jin, Z.-Y.; Xue, H.-D. Quantitative CT texture analysis for evaluating histologic grade of urothelial carcinoma. Abdom. Radiol. 2017, 42, 561–568. [Google Scholar]
- Mackin, D.; Fave, X.; Zhang, L.; Fried, D.; Yang, J.; Taylor, B.; Rodriguez-Rivera, E.; Dodge, C.; Jones, A.K.; Court, L. Measuring CT scanner variability of radiomics features. Investig. Radiol. 2015, 50, 757. [Google Scholar] [CrossRef]
- Aerts, H.J.; Velazquez, E.R.; Leijenaar, R.T.; Parmar, C.; Grossmann, P.; Carvalho, S.; Bussink, J.; Monshouwer, R.; Haibe-Kains, B.; Rietveld, D. Decoding tumour phenotype by noninvasive imaging using a quantitative radiomics approach. Nat. Commun. 2014, 5, 1–9. [Google Scholar] [CrossRef]
- Ge, L.; Chen, Y.; Yan, C.; Zhao, P.; Zhang, P.; A, R.; Liu, J. Study Progress of Radiomics With Machine Learning for Precision Medicine in Bladder Cancer Management. Front. Oncol. 2019, 9, 1296. [Google Scholar] [CrossRef]














Publisher’s Note: MDPI stays neutral with regard to jurisdictional claims in published maps and institutional affiliations. |
© 2021 by the authors. Licensee MDPI, Basel, Switzerland. This article is an open access article distributed under the terms and conditions of the Creative Commons Attribution (CC BY) license (http://creativecommons.org/licenses/by/4.0/).
Share and Cite
Abouelkheir, R.T.; Abdelhamid, A.; Abou El-Ghar, M.; El-Diasty, T. Imaging of Bladder Cancer: Standard Applications and Future Trends. Medicina 2021, 57, 220. https://doi.org/10.3390/medicina57030220
Abouelkheir RT, Abdelhamid A, Abou El-Ghar M, El-Diasty T. Imaging of Bladder Cancer: Standard Applications and Future Trends. Medicina. 2021; 57(3):220. https://doi.org/10.3390/medicina57030220
Chicago/Turabian StyleAbouelkheir, Rasha Taha, Abdalla Abdelhamid, Mohamed Abou El-Ghar, and Tarek El-Diasty. 2021. "Imaging of Bladder Cancer: Standard Applications and Future Trends" Medicina 57, no. 3: 220. https://doi.org/10.3390/medicina57030220
APA StyleAbouelkheir, R. T., Abdelhamid, A., Abou El-Ghar, M., & El-Diasty, T. (2021). Imaging of Bladder Cancer: Standard Applications and Future Trends. Medicina, 57(3), 220. https://doi.org/10.3390/medicina57030220

